Comparison of Two Light Wavelengths (λ = 660 nm and λ = 780 nm) in the Repair Process of Oral Mucositis Induced by Ionizing Radiation: Clinical and Microscopic Evaluations in Rats
Abstract
1. Introduction
2. Materials and Methods
2.1. Oral Mucositis Model and Experimental Groups
2.2. Photobiomodulation
2.3. Clinical Assessment
2.4. Euthanasia and Histopathological Analysis
2.5. Statistical Tests
3. Results
3.1. Clinical Outcomes
3.1.1. Edema and Erythema
3.1.2. Pseudomembrane Formation
3.1.3. Ulcerated Surface
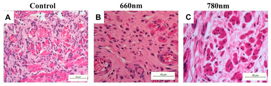
3.2. Histopathological Evaluation
3.3. Blood Vessel Counting
3.4. Collagen Matrix Measurement
4. Discussion
5. Conclusions
Author Contributions
Funding
Institutional Review Board Statement
Data Availability Statement
Acknowledgments
Conflicts of Interest
References
- Elad, S.; Cheng, K.K.F.; Lalla, R.V.; Yarom, N.; Hong, C.; Logan, R.M.; Bowen, J.; Gibson, R.; Saunders, D.P.; Zadik, Y.; et al. MASCC/ISOO Clinical Practice Guidelines for the Management of Mucositis Secondary to Cancer Therapy. Cancer 2020, 126, 4423–4431. [Google Scholar] [CrossRef] [PubMed]
- Sonis, S.T. The Pathobiology of Mucositis. Nat. Rev. Cancer 2004, 4, 277–284. [Google Scholar] [CrossRef]
- Epstein, J.B.; Thariat, J.; Bensadoun, R.-J.; Barasch, A.; Murphy, B.A.; Kolnick, L.; Popplewell, L.; Maghami, E. Oral Complications of Cancer and Cancer Therapy. CA Cancer J. Clin. 2012, 62, 400–422. [Google Scholar] [CrossRef] [PubMed]
- Curra, M.; Pellicioli, A.C.A.; Filho, N.A.K.; Ochs, G.; Matte, Ú.; Filho, M.S.; Martins, M.A.T.; Martins, M.D. Photobiomodulation Reduces Oral Mucositis by Modulating NF-KB. J. Biomed. Opt. 2015, 20, 125008. [Google Scholar] [CrossRef] [PubMed]
- Antunes, H.S.; Schluckebier, L.F.; Herchenhorn, D.; Small, I.A.; Araújo, C.M.M.; Viégas, C.M.P.; Rampini, M.P.; Ferreira, E.M.S.; Dias, F.L.; Teich, V.; et al. Cost-Effectiveness of Low-Level Laser Therapy (LLLT) in Head and Neck Cancer Patients Receiving Concurrent Chemoradiation. Oral Oncol. 2016, 52, 85–90. [Google Scholar] [CrossRef] [PubMed]
- Sonis, S.T. Oral Mucositis. Anticancer Drugs 2011, 22, 607–612. [Google Scholar] [CrossRef] [PubMed]
- Hong, C.H.L.; Gueiros, L.A.; Fulton, J.S.; Cheng, K.K.F.; Kandwal, A.; Galiti, D.; Fall-Dickson, J.M.; Johansen, J.; Ameringer, S.; Kataoka, T.; et al. Systematic Review of Basic Oral Care for the Management of Oral Mucositis in Cancer Patients and Clinical Practice Guidelines. Support. Care Cancer 2019, 27, 3949–3967. [Google Scholar] [CrossRef]
- Chaveli-López, B.; Bagán-Sebastián, J.V. Treatment of Oral Mucositis Due to Chemotherapy. J. Clin. Exp. Dent. 2016, 8, e201–e209. [Google Scholar] [CrossRef]
- Leite Cavalcanti, A.; José de Macêdo, D.; Suely Barros Dantas, F.; dos Santos Menezes, K.; Filipe Bezerra Silva, D.; Alves de Melo Junior, W.; Fabia Cabral Cavalcanti, A. Evaluation of Oral Mucositis Occurrence in Oncologic Patients under Antineoplastic Therapy Submitted to the Low-Level Laser Coadjuvant Therapy. J. Clin. Med. 2018, 7, 90. [Google Scholar] [CrossRef]
- Gautam, A.P.; Fernandes, D.J.; Vidyasagar, M.S.; Maiya, A.G.; Guddattu, V. Low Level Laser Therapy against Radiation Induced Oral Mucositis in Elderly Head and Neck Cancer Patients-a Randomized Placebo Controlled Trial. J. Photochem. Photobiol. B Biol. 2015, 144, 51–56. [Google Scholar] [CrossRef]
- Kuhn-Dall’Magro, A.; Zamboni, E.; Fontana, T.; Dogenski, L.C.; De Carli, J.P.; Dall’Magro, E.; Fornari, F. Low-Level Laser Therapy in the Management of Oral Mucositis Induced by Radiotherapy: A Randomized Double-Blind Clinical Trial. J. Contemp. Dent. Pract. 2022, 23, 31–36. [Google Scholar] [PubMed]
- Peng, H.; Chen, B.B.; Chen, L.; Chen, Y.P.; Liu, X.; Tang, L.L.; Mao, Y.P.; Li, W.F.; Zhang, Y.; Lin, A.H.; et al. A Network Meta-Analysis in Comparing Prophylactic Treatments of Radiotherapy-Induced Oral Mucositis for Patients with Head and Neck Cancers Receiving Radiotherapy. Oral Oncol. 2017, 75, 89–94. [Google Scholar] [CrossRef] [PubMed]
- Lalla, R.V.; Brennan, M.T.; Gordon, S.M.; Sonis, S.T.; Rosenthal, D.I.; Keefe, D.M. Oral Mucositis Due to High-Dose Chemotherapy and/or Head and Neck Radiation Therapy. J. Natl. Cancer Inst. Monogr. 2019, 2019, 17–24. [Google Scholar] [CrossRef]
- Zadik, Y.; Arany, P.R.; Fregnani, E.R.; Bossi, P.; Antunes, H.S.; Bensadoun, R.-J.; Gueiros, L.A.; Majorana, A.; Nair, R.G.; Ranna, V.; et al. Systematic Review of Photobiomodulation for the Management of Oral Mucositis in Cancer Patients and Clinical Practice Guidelines. Support. Care Cancer 2019, 27, 3969–3983. [Google Scholar] [CrossRef] [PubMed]
- Bensadoun, R.-J. Photobiomodulation or Low-Level Laser Therapy in the Management of Cancer Therapy-Induced Mucositis, Dermatitis and Lymphedema. Curr. Opin. Oncol. 2018, 30, 226–232. [Google Scholar] [CrossRef]
- Soares, R.G.; Farias, L.C.; da Silva Menezes, A.S.; de Oliveira e Silva, C.S.; Tabosa, A.T.L.; Chagas, P.V.F.; Santiago, L.; Santos, S.H.S.; de Paula, A.M.B.; Guimarães, A.L.S. Treatment of Mucositis with Combined 660- and 808-Nm-Wavelength Low-Level Laser Therapy Reduced Mucositis Grade, Pain, and Use of Analgesics: A Parallel, Single-Blind, Two-Arm Controlled Study. Lasers Med. Sci. 2018, 33, 1813–1819. [Google Scholar] [CrossRef]
- Pires Marques, E.C.; Piccolo Lopes, F.; Nascimento, I.C.; Morelli, J.; Pereira, M.V.; Machado Meiken, V.M.; Pinheiro, S.L. Photobiomodulation and Photodynamic Therapy for the Treatment of Oral Mucositis in Patients with Cancer. PhotodiagnosisPhotodyn. Ther. 2020, 29, 101621. [Google Scholar] [CrossRef]
- Usumez, A.; Cengiz, B.; Oztuzcu, S.; Demir, T.; Aras, M.H.; Gutknecht, N. Effects of Laser Irradiation at Different Wavelengths (660, 810, 980, and 1,064 Nm) on Mucositis in an Animal Model of Wound Healing. Lasers Med. Sci. 2014, 29, 1807–1813. [Google Scholar] [CrossRef]
- De Freitas Cuba, L.; Braga Filho, A.; Cherubini, K.; Salum, F.G.; Figueiredo, M.A.Z. de Topical Application of Aloe Vera and Vitamin E on Induced Ulcers on the Tongue of Rats Subjected to Radiation: Clinical and Histological Evaluation. Support. Care Cancer 2016, 24, 2557–2564. [Google Scholar] [CrossRef]
- Mussttaf, R.A.; Jenkins, D.F.L.; Jha, A.N. Assessing the Impact of Low Level Laser Therapy (LLLT) on Biological Systems: A Review. Int. J. Radiat. Biol. 2019, 95, 120–143. [Google Scholar] [CrossRef]
- Park, I.-S.; Kim, D.-K.; Kim, J.H.; Bae, J.-S.; Kim, E.H.; Yoo, S.H.; Chung, Y.-J.; Lyu, L.; Mo, J.-H. Increased Anti-Allergic Effects of Secretome of Low-Level Light Treated Tonsil-Derived Mesenchymal Stem Cells in Allergic Rhinitis Mouse Model. Am. J. Rhinol. Allergy 2022, 36, 261–268. [Google Scholar] [CrossRef] [PubMed]
- Oton-Leite, A.F.; Silva, G.B.L.; Morais, M.O.; Silva, T.A.; Leles, C.R.; Valadares, M.C.; Pinezi, J.C.D.; Batista, A.C.; Mendonça, E.F. Effect of Low-Level Laser Therapy on Chemoradiotherapy-Induced Oral Mucositis and Salivary Inflammatory Mediators in Head and Neck Cancer Patients. Lasers Surg. Med. 2015, 47, 296–305. [Google Scholar] [CrossRef] [PubMed]
- Villa, A.; Sonis, S.T. Mucositis. Curr. Opin. Oncol. 2015, 27, 159–164. [Google Scholar] [CrossRef] [PubMed]
- Fernandes, K.P.; Souza, N.H.; Mesquita-Ferrari, R.A.; Silva, D.F.; Rocha, L.A.; Alves, A.N.; de Brito Sousa, K.; Bussadori, S.K.; Hamblin, M.R.; Nunes, F.D. Photobiomodulationwith 660-nm and 780-nm laser on activated J774 macrophage-like cells: Effecton M1 inflammatory markers. J. Photochem. Photobiol. B 2015, 153, 344–351. [Google Scholar] [CrossRef] [PubMed]
- Silva, I.H.; de Andrade, S.C.; de Faria, A.B.; Fonsêca, D.D.; Gueiros, L.A.; Carvalho, A.A.; da Silva, W.T.; de Castro, R.M.; Leão, J.C. Increase in the nitric oxide release without changes in cell viability of macrophages after laser therapy with 660 and 808 nm lasers. Lasers Med. Sci. 2016, 31, 1855–1862. [Google Scholar] [CrossRef] [PubMed]
- Robijns, J.; Censabella, S.; Bulens, P.; Maes, A.; Mebis, J. The Use of Low-Level Light Therapy in Supportive Care for Patients with Breast Cancer: Review of the Literature. Lasers Med. Sci. 2017, 32, 229–242. [Google Scholar] [CrossRef]
- Vasconcelos, R.M.; Sanfilippo, N.; Paster, B.J.; Kerr, A.R.; Li, Y.; Ramalho, L.; Queiroz, E.L.; Smith, B.; Sonis, S.T.; Corby, P.M. Host-Microbiome Cross-Talk in Oral Mucositis. J. Dent. Res. 2016, 95, 725–733. [Google Scholar] [CrossRef]
- Antunes, H.S.; Wajnberg, G.; Pinho, M.B.; Jorge, N.A.N.; de Moraes, J.L.M.; Stefanoff, C.G.; Herchenhorn, D.; Araújo, C.M.M.; Viégas, C.M.P.; Rampini, M.P.; et al. CDNA Microarray Analysis of Human Keratinocytes Cells of Patients Submitted to Chemoradiotherapy and Oral Photobiomodulation Therapy: Pilot Study. Lasers Med. Sci. 2018, 33, 11–18. [Google Scholar] [CrossRef]
- Topaloglu, N.; Özdemir, M.; Çevik, Z.B.Y. Comparative analysis of the light parameters of red and near-infrared diode lasers to induce photobiomodulation on fibroblasts and keratinocytes: An in vitro study. Photodermatol. Photoimmunol. Photomed. 2021, 37, 253–262. [Google Scholar] [CrossRef]
- Wagner, V.P.; Curra, M.; Webber, L.P.; Nör, C.; Matte, U.; Meurer, L.; Martins, M.D. Photobiomodulation Regulates Cytokine Release and New Blood Vessel Formation during Oral Wound Healing in Rats. Lasers Med. Sci. 2016, 31, 665–671. [Google Scholar] [CrossRef]
- Cury, V.; Moretti, A.I.S.; Assis, L.; Bossini, P.; de Souza Crusca, J.; Neto, C.B.; Fangel, R.; de Souza, H.P.; Hamblin, M.R.; Parizotto, N.A. Low Level Laser Therapy Increases Angiogenesis in a Model of Ischemic Skin Flap in Rats Mediated by VEGF, HIF-1α and MMP-2. J. Photochem. Photobiol. B Biol. 2013, 125, 164–170. [Google Scholar] [CrossRef] [PubMed]
- Stepanov, Y.V.; Golovynska, I.; Golovynskyi, S.; Garmanchuk, L.V.; Gorbach, O.; Stepanova, L.I.; Khranovska, N.; Ostapchenko, L.I.; Ohulchanskyy, T.Y.; Qu, J. Red and near infrared light-stimulated angiogenesis mediated via Ca2+ influx, VEGF production and NO synthesis in endothelial cells in macrophage or malignant environments. J.Photochem. Photobiol. B 2022, 227, 112388. [Google Scholar] [CrossRef] [PubMed]
- Martignago, C.C.S.; Tim, C.R.; Assis, L.; Neves, L.M.G.; Bossini, P.S.; Renno, A.C.; Avo, L.R.S.; Liebano, R.E.; Parizotto, N.A. Comparison of Two Different Laser Photobiomodulation Protocols on the Viability of Random Skin Flap in Rats. Lasers Med. Sci. 2019, 34, 1041–1047. [Google Scholar] [CrossRef] [PubMed]
- Volpato, L.E.R.; de Oliveira, R.C.; Espinosa, M.M.; Bagnato, V.S.; Machado, M.A.A.M. Viability of Fibroblasts Cultured under Nutritional Stress Irradiated with Red Laser, Infrared Laser, and Red Light-Emitting Diode. J. Biomed. Opt. 2011, 16, 075004. [Google Scholar] [CrossRef]
- Martignago, C.C.S.; Tim, C.R.; Assis, L.; Da Silva, V.R.; Santos, E.C.B.D.; Vieira, F.N.; Parizotto, N.A.; Liebano, R.E. Effects of red and near-infrared LED light therapy on full-thickness skin graft in rats. Lasers Med Sci. 2020, 35, 157–164. [Google Scholar] [CrossRef]
- Bezinelli, L.M.; Corrêa, L.; Vogel, C.; Kutner, J.M.; Ribeiro, A.F.; Hamerschlak, N.; Eduardo, C.P.; Migliorati, C.A.; Eduardo, F.P. Long-term safety of photobiomodulation therapy for oral mucositis in hematopoietic cell transplantation patients: A 15-year retrospective study. Support Care Cancer 2021, 29, 6891–6902. [Google Scholar] [CrossRef]






| Groups and Laser Parameters | Number of Animals | |||
|---|---|---|---|---|
| Day 8 | Day14 | Day 20 | Total | |
| λ = 780 nm, 30 mW, 7.5 J/cm2, 10 s, spot size = 0.04 mm ø; Irradiation = every 48 h | 07 | 07 | 07 | 21 |
| Λ = 660 nm, 30 mW, 7.5 J/cm2, 10 s, spot size = 0.04 mm ø; Irradiation = 48/48 h | 07 | 07 | 06 | 20 |
| Control | 04 | 04 | 03 | 11 |
| Total | 18 | 18 | 16 | 52 |
| Grades | Description |
|---|---|
| Edema and erythema | |
| 0 | Absence of tumor and redness in the tongue |
| 1 | Absence of tumor; slight redness in some areas of the tongue |
| 2 | Presence of tumor; slight redness in some areas of the tongue |
| 3 | Presence of tumor; intense redness in some areas of the tongue |
| 4 | Presence of tumor; intense redness in the entire tongue surface |
| Pseudomembrane formation | |
| 0 | Absence of pseudomembrane |
| 1 | Isolated pseudomembrane |
| 2 | Continuous pseudomembrane covering ≤ 20% of the tongue surface |
| 3 | Continuous pseudomembrane covering 21% to 50% of the tongue surface |
| 4 | Continuous pseudomembrane covering ≥ 51% of the tongue surface |
| Ulcerated surface | |
| 0 | Absence of ulcers |
| 1 | One small ulcer (unifocal) |
| 2 | Multiple small ulcers with a total extension of ≤20% of tongue surface |
| 3 | Multiple small ulcers with a total extension of ≥21% of the tongue surface |
| 4 | Coalescent ulcers with a total extension of ≤30% of the tongue surface |
| 5 | Coalescent ulcers with a total extension of 31% to 50% of the tongue surface |
| 6 | Coalescent ulcers with a total extension of ≥51% of the tongue surface |
| Mucosa | Submucosa | ||
|---|---|---|---|
| Group | Collagen (%) | Collagen (%) | Muscle (%) |
| Control Group | 16.93 ± 5 A | 16.93 ± 5 | 47.89 ± 11 B |
| Laser 660 nm | 35.69 ± 8 B | 17.46 ± 8 | 52.95 ± 6 A |
| Laser 780 nm | 28.13 ± 5 C | 15.3 ± 9 | 53.62 ± 7 A |
Disclaimer/Publisher’s Note: The statements, opinions and data contained in all publications are solely those of the individual author(s) and contributor(s) and not of MDPI and/or the editor(s). MDPI and/or the editor(s) disclaim responsibility for any injury to people or property resulting from any ideas, methods, instructions or products referred to in the content. |
© 2022 by the authors. Licensee MDPI, Basel, Switzerland. This article is an open access article distributed under the terms and conditions of the Creative Commons Attribution (CC BY) license (https://creativecommons.org/licenses/by/4.0/).
Share and Cite
Andrade, M.F.; Sardo, A.V.N.; Benetti, C.; Sicchieri, L.B.; Corrêa, L.; Zezell, D.M. Comparison of Two Light Wavelengths (λ = 660 nm and λ = 780 nm) in the Repair Process of Oral Mucositis Induced by Ionizing Radiation: Clinical and Microscopic Evaluations in Rats. Photonics 2023, 10, 16. https://doi.org/10.3390/photonics10010016
Andrade MF, Sardo AVN, Benetti C, Sicchieri LB, Corrêa L, Zezell DM. Comparison of Two Light Wavelengths (λ = 660 nm and λ = 780 nm) in the Repair Process of Oral Mucositis Induced by Ionizing Radiation: Clinical and Microscopic Evaluations in Rats. Photonics. 2023; 10(1):16. https://doi.org/10.3390/photonics10010016
Chicago/Turabian StyleAndrade, Maíra Franco, Ariane Venzon Naia Sardo, Carolina Benetti, Leticia Bonfante Sicchieri, Luciana Corrêa, and Denise Maria Zezell. 2023. "Comparison of Two Light Wavelengths (λ = 660 nm and λ = 780 nm) in the Repair Process of Oral Mucositis Induced by Ionizing Radiation: Clinical and Microscopic Evaluations in Rats" Photonics 10, no. 1: 16. https://doi.org/10.3390/photonics10010016
APA StyleAndrade, M. F., Sardo, A. V. N., Benetti, C., Sicchieri, L. B., Corrêa, L., & Zezell, D. M. (2023). Comparison of Two Light Wavelengths (λ = 660 nm and λ = 780 nm) in the Repair Process of Oral Mucositis Induced by Ionizing Radiation: Clinical and Microscopic Evaluations in Rats. Photonics, 10(1), 16. https://doi.org/10.3390/photonics10010016

