Isolation and Hydrolysis of Proteins from Vigna umbellata and the Effect on Their Antioxidant and Anticancer Activities
Abstract
1. Introduction
2. Materials and Methods
2.1. Vegetal Material
2.2. Preparation of Protein Isolates
2.3. Enzymatic Hydrolysis
Determination of Hydrolysis Degree
2.4. Antioxidant Activity
2.4.1. ABTS•+ Radical
2.4.2. Ferric Reducing Antioxidant Power (FRAP)
2.4.3. Total Phenolic Content (TPC)
2.5. Anticancer Activity
2.5.1. Cell Culture
2.5.2. Anticancer Activity Assay
2.6. Statistical Analysis
3. Results and Discussion
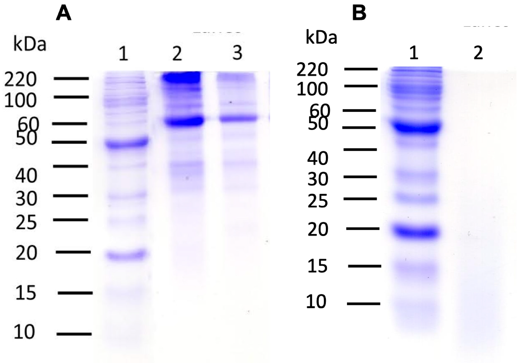
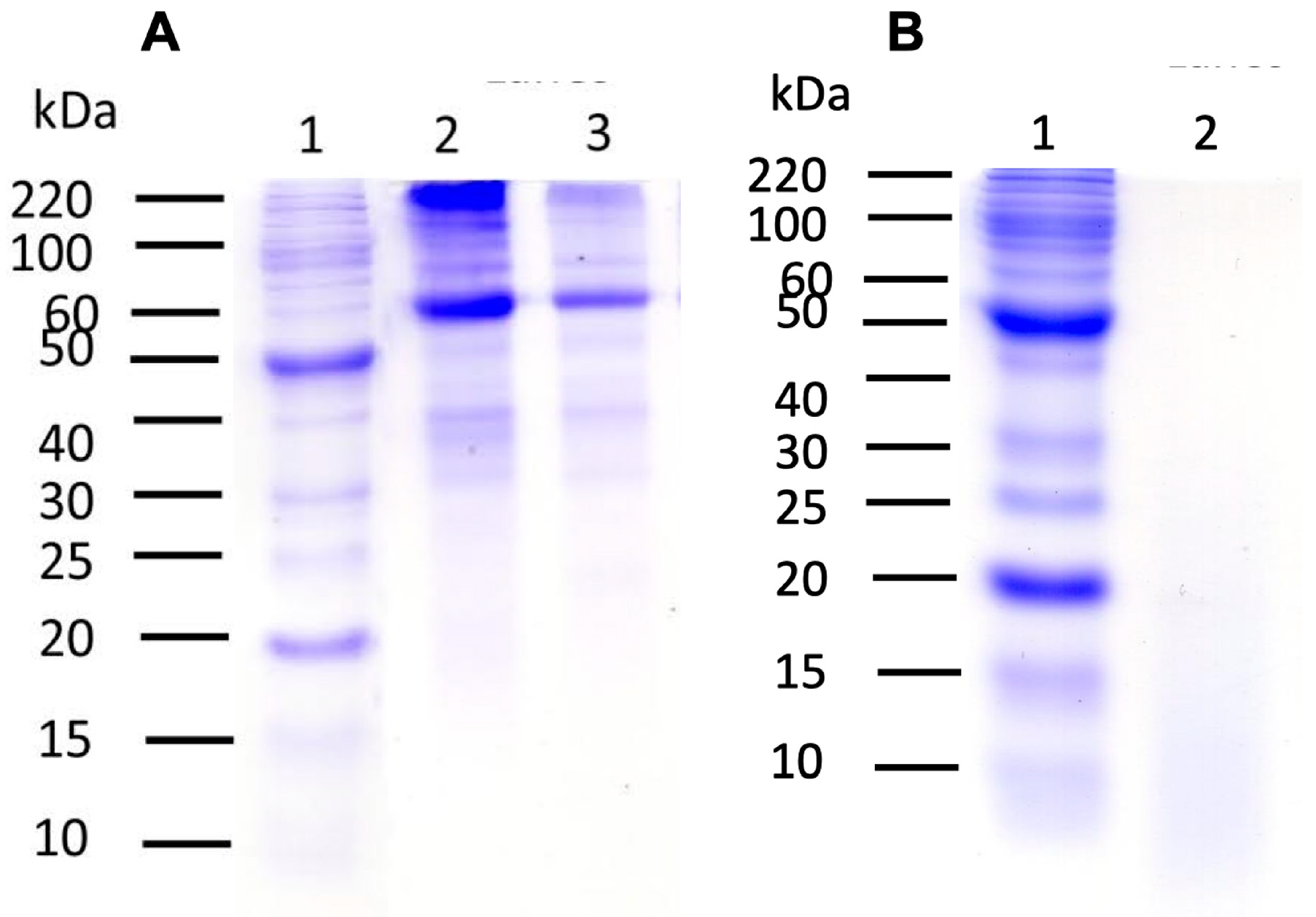
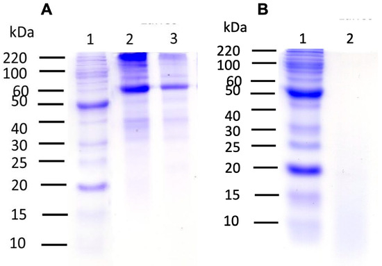
3.1. Protein Isolate and Degree of Hydrolysis
3.2. Antioxidant Activity and Total Phenolic Compounds
3.3. Effect of the Protein Isolate of Rice Bean on MDA and SiHa Cell Proliferation
3.4. Effect of the Protein Hydrolysate of Rice Bean on MDA and SiHa Cell Proliferation
3.5. Multivariate Analysis
4. Conclusions
Author Contributions
Funding
Data Availability Statement
Acknowledgments
Conflicts of Interest
References
- El Sheikha, A.F. In Medicinal plants: Ethno-uses to biotechnology era. In Biotechnology and Production of Anti-Cancer Compounds; Part of Springer Nature; Springer International Publishing AG: Cham, Switzerland, 2017; pp. 1–38. [Google Scholar]
- Rao, S.; Chinkwo, K.A.; Santhakumar, A.B.; Blanchard, C.L. Inhibitory Effects of Pulse Bioactive Compounds on Cancer Development Pathways. Diseases 2018, 6, 72. [Google Scholar] [CrossRef] [PubMed]
- Teniente-Martínez, G.; Bernardino-Nicanor, A.; Cariño-Cortés, R.; Valadez-Vega, M.d.C.; Montañez-Soto, J.L.; Acosta-García, G.; González-Cruz, L. Cytotoxic and genotoxic activity of protein isolate of ayocote beans and anticancer activity of their protein fractions. J. Food Meas. Charact. 2019, 13, 1040–1048. [Google Scholar] [CrossRef]
- Delgado-Andrade, C.; Olías, R.; Jiménez-López, J.C.; Clemente, A. Aspectos De Las Legumbres Nutricionales Y Beneficiosos Para La Salud Humana. Arbor 2016, 192, a313. [Google Scholar] [CrossRef][Green Version]
- Chalamaiah, M.; Yu, W.; Wu, J. Immunomodulatory and anticancer protein hydrolysates (peptides) from food proteins: A review. Food Chem. 2018, 245, 205–222. [Google Scholar] [CrossRef] [PubMed]
- Agyei, D. Bioactive Proteins and Peptides from Soybean. Recent Pat. Food Nutr. Agric. 2015, 7, 100–1007. [Google Scholar] [CrossRef] [PubMed]
- Nasri, M. Protein Hydrolysates and Biopeptides: Production, Biological Activities, and Applications in Foods and Health Benefits. A Review. Adv. Food Nutr. Res. 2017, 81, 109. [Google Scholar] [CrossRef] [PubMed]
- Magsumov, T.; Ziying, L.; Sedov, I. Comparative study of the protein denaturing ability of different organic cosolvents. Int. J. Biol. Macromol. 2020, 160, 880–888. [Google Scholar] [CrossRef] [PubMed]
- Tanger, C.; Müller, M.; Andlinger, D.; Kulozik, U. Influence of pH and ionic strength on the thermal gelation behaviour of pea protein. Food Hydrocoll. 2022, 123, 106903. [Google Scholar] [CrossRef]
- Iseki, K.; Takahashi, Y.; Muto, C.; Naito, K.; Tomooka, N. Diversity and evolution of salt tolerance in the genus Vigna. PLoS ONE 2016, 11, e0164711. [Google Scholar] [CrossRef] [PubMed]
- Saikia, P.; Sarkar, C.R.; Borua, I. Chemical composition, antinutritional factors and effect of cooking on nutritional quality of rice bean [Vigna umbellata (Thunb; Ohwi and Ohashi)]. Food Chem. 1999, 67, 347–352. [Google Scholar] [CrossRef]
- Katoch, R. Morpho-physiological and nutritional characterization of rice bean (Vigna umbellata). Acta Agron. Hung. 2011, 59, 125–136. [Google Scholar] [CrossRef]
- Katoch, R. Nutritional potential of rice bean (Vigna umbellata): An underutilized legume. J. Food Sci. 2013, 78, C8–C16. [Google Scholar] [CrossRef] [PubMed]
- Bepary, R.H.; Wadikar, D.D.; Patki, P.E. Rice bean: Nutritional vibrant bean of Himalayan belt (North East India). Nutr. Food Sci. 2016, 46, 412–431. [Google Scholar] [CrossRef]
- Kujur, M.J.; Bilaiya, S.K.; Mehta, A.K. Character association study among components of green fodder yield in rice bean. Indian J. Agric. Res. 2017, 51, 370–374. [Google Scholar] [CrossRef][Green Version]
- Yao, Y.; Cheng, X.-Z.; Wang, L.-X.; Wang, S.-H.; Ren, G. Major Phenolic Compounds, Antioxidant Capacity and Antidiabetic Potential of Rice Bean (Vigna umbellate L.) in China. Int. J. Mol. Sci. 2012, 13, 2707–2716. [Google Scholar] [CrossRef]
- Katoch, R.; Sanadya, S.K.; Pathania, K.; Chaudhary, H.K. Nutritional and nutraceutical potential of rice bean (Vigna umbellata)–a legume with hidden potential. Front. Nutr. 2023, 10, 1126544. [Google Scholar] [CrossRef]
- Bhagyawant, S.S.; Bhadkaria, A.; Narvekar, D.T.; Srivastave, N. Multivariate biochemical characterization of rice bean (Vigna umbellata) seeds for nutritional enhancement. Biocatal. Agric. Biotechnol. 2019, 20, 101193. [Google Scholar] [CrossRef]
- Grijaldo, S.J.B.; Purificacion, M.V.; Relox, P.E.; Torio, M.A.O. Purification and characterization of Antioxidant Peptides and Enzu¡ymatic Hydrolysates from Rice Bean (Vigna umbellata). KIMIKA 2022, 33, 34–43. [Google Scholar] [CrossRef]
- Zhang, H.; Guo, M.; Chen, C.; Pan, Q.; Zhang, Y.; Li, L. The preparation process of three leguminous plant peptides and their activities. China Surfactant Deterg. Cosmet. 2023, 53, 423. [Google Scholar] [CrossRef]
- González-Cruz, L.; Juárez-Goiz, J.M.S.; Teniente-Martínez, G.; Acosta-García, G.; Flores-Martínez, N.L.; Bernardino-Nicanor, A. Structural changes in the proteins from two species of the genus Vigna by effect of different treatments. Rev. Mex. Ing. Química 2020, 19 (Suppl. S1), 333–347. [Google Scholar] [CrossRef]
- Mora-Escobedo, R.; Robles-Ramírez, M.D.C.; Ramón-Gallegos, E.; Reza-Alemán, R. Effect of protein hydrolysates from germinated soybean on cancerous cells of the human cervix: An in vitro study. Plant Foods Hum. Nutr. 2009, 64, 271–278. [Google Scholar] [CrossRef]
- Kim, S.Y.; Park, P.S.; Rhee, K.C. Functional properties of proteolytic enzyme modified soy protein isolate. J. Agric. Food Chem. 1990, 38, 651–656. [Google Scholar] [CrossRef]
- AOAC (Association of Official Analytical Chemists). Official Methods of Analysis, 15th ed.; AOAC International: Arlington, VA, USA, 1990. [Google Scholar]
- Re, R.; Pellegrini, N.; Proteggente, A.; Pannala, A.; Yang, M.; Rice-Evans, C. Antioxidant activity applying an improved ABTS radical cation decolorization assay. Free Radic. Biol. Med. 1999, 26, 1231–1237. [Google Scholar] [CrossRef]
- Benzie, I.F.; Strain, J.J. The ferric reducing ability of plasma (FRAP) as a measure of “antioxidant power”: The FRAP assay. Anal. Biochem. 1996, 239, 70–76. [Google Scholar] [CrossRef] [PubMed]
- Singleton, V.L.; Orthofer, R.; Lamuela-Raventos, R.M. Analysis of total phenols and other oxidation substrates and antioxidants by means of Folin–Ciocalteu reagent. Methods Enzymol. 1999, 299, 152–178. [Google Scholar] [CrossRef]
- Hansen, M.B.; Nielsen, S.E.; Berg, K. Re-examination and further development of a precise and rapid dye method for measuring cell growth/cell kill. J. Immunol. Methods 1989, 119, 203–210. [Google Scholar] [CrossRef] [PubMed]
- Baudoin, J.P.; Maquet, A. Improvement of protein and amino acid contents in seeds of food legumes. A case study in Phaseolus. Biotechnol. Agron. Soc. Environ. 1999, 3, 220–224. [Google Scholar]
- Gunathilake, K.G.T.; Wansapala, M.A.J.; Herath, H.M.T. Comparison of nutritional and functional properties of mung bean (Vigna radiate) and cowpea (Vigna unguiculata) protein isolates processed by isoelectric precipitation. Int. J. Innov. Res. Technol. 2016, 3, 2349–6002. [Google Scholar]
- Klupšaitė, D.; Juodeikienė, G. Legume: Composition, protein extraction and functional properties. A review. Chem. Technol. 2015, 66, 5–12. [Google Scholar] [CrossRef]
- Wani, I.A.; Sogi, D.S.; Shivhare, U.S.; Gill, B.S. Physico-chemical and functional properties of native and hydrolyzed kidney bean (Phaseolus vulgaris L.) protein isolates. Food Res. Int. 2015, 76, 11–18. [Google Scholar] [CrossRef]
- Tavano, O.L. Protein hydrolysis using proteases: An important tool for food biotechnology. J. Mol. Catal. B Enzym. 2013, 90, 1–11. [Google Scholar] [CrossRef]
- Segura-Campos, M.R.; Espinosa-García, L.; Chel-Guerrero, L.A.; Betancur-Ancona, D.A. Effect of enzymatic hydrolysis on solubility, hydrophobicity, and in vivo digestibility in cowpea (Vigna unguiculata). Int. J. Food Prop. 2012, 15, 770–780. [Google Scholar] [CrossRef]
- Segura-Campos, M.; Ruiz-Ruiz, J.; Chel-Guerrero, L.; Betancur-Ancona, D. Antioxidant activity of Vigna unguiculata L. walp and hard-to-cook Phaseolus vulgaris L. protein hydrolysates. CyTA-J. Food. 2013, 11, 208–215. [Google Scholar] [CrossRef]
- Torres, J.; Rutherfurd, S.M.; Muñoz, L.S.; Peters, M.; Montoya, C.A. The Impact of Heating and Soaking on the In Vitro Enzymatic Hydrolysis of Protein Varies in Different Species of Tropical Legumes. Food Chem. 2016, 194, 377–382. [Google Scholar] [CrossRef] [PubMed]
- Gómez, A.; Gay, C.; Tironi, V.; Avanza, M.V. Structural and antioxidant properties of cowpea protein hydrolysates. Food Biosci. 2021, 41, 101074. [Google Scholar] [CrossRef]
- Gómez-Ruiz, J.Á.; López-Expósito, I.; Pihlanto, A.; Ramos, M.; Recio, I. Antioxidant activity of ovine casein hydrolysates: Identification of active peptides by HPLC–MS/MS. Eur. Food Res. Technol. 2008, 227, 1061–1067. [Google Scholar] [CrossRef]
- Azman, A.T.; Mohd, I.N.S.; Mohd, Z.Z.; Abdullah, M.A.A.; Aidat, O.; Zainol, M.K. Protein hydrolysate from Underutilized Legumes: Unleashing the Potential for Future Functional Foods. Prev. Nutr. Food Sci. 2023, 28, 209–223. [Google Scholar] [CrossRef] [PubMed]
- Memarpoor-Yazdi, M.; Makaki, H.; Zare-Zardini, H. Antioxidant activity of protein hydrolysates and purified peptides from Zizyphus jujuba fruits. J. Funct. Food 2013, 5, 62–70. [Google Scholar] [CrossRef]
- Matemu, A.; Nakamura, S.; Katayama, S. Health Benefits of Antioxidative Peptides Derived from Legume Proteins with a High Amino Acid Score. Antioxidants 2021, 10, 316. [Google Scholar] [CrossRef] [PubMed]
- Shah, P.; Modi, H.A. Comparative Study of DPPH, ABTS and FRAP Assays for Determination of Antioxidant Activity. Int. J. Res. Appl. Sci. Eng. Technol. 2015, 3, 636–641. [Google Scholar]
- Awika, J.M.; Duodu, K.G. Bioactive polyphenols and peptides in cowpea (Vigna unguiculata) and their health promoting properties: A review. J. Funct. Food 2017, 38, 686–697. [Google Scholar] [CrossRef]
- Chen, Z.; Wang, J.; Liu, W.; Chen, H. Physicochemical characterization, antioxidant and anticancer activities of proteins from four legume species. J. Food Sci. Technol. 2017, 54, 964–972. [Google Scholar] [CrossRef] [PubMed]
- Badger, T.M.; Ronis, M.J.; Simmen, R.C.; Simmen, F.A. Soy protein isolate and protection against cancer. J. Am. Coll. Nutr. 2005, 24, 146S–149S. [Google Scholar] [CrossRef]
- Younes, M.; Ammoury, C.; Haykal, T.; Nasr, L.; Sarkis, R.; Rizk, S. The selective anti-proliferative and pro-apoptotic effect of A. cherimola on MDA-MB-231 breast cancer cell line. BMC Complement. Med. Ther. 2020, 20, 343. [Google Scholar] [CrossRef] [PubMed]
- Paredes-Gamero, E.J.; Martins, M.N.; Cappabianco, F.A.; Ide, J.S.; Miranda, A. Characterization of dual effects induced by antimicrobial peptides: Regulated cell death or membrane disruption. Biochim. Biophys. Acta Gen. Subj. 2012, 1820, 1062–1072. [Google Scholar] [CrossRef] [PubMed]
- Ghadiri, N.; Javidan, M.; Sheikhi, S.; Tastan, O.; Parodi, A.; Liao, Z.; Azar, M.T.; Ganjalikhani-Hakemi, M. Bioactive peptides: An alternative therapeutic approach for cancer management. Front. Immunol. 2024, 15, 1310443. [Google Scholar] [CrossRef] [PubMed]
- Wong, F.C.; Xiao, J.; Wang, S.; Ee, K.Y.; Chai, T.T. Advances on the antioxidant peptides from edible plant sources. Trend Food Sci. Technol. 2020, 99, 44–57. [Google Scholar] [CrossRef]




| Sample | ABTS•+ | FRAP | |
|---|---|---|---|
| µmol TE/g | IC50 (mg/mL) | µmol TE/g | |
| Isolate | 48.21 ± 1.92 b | 34.66 ± 1.91 a | 37.15 ± 0.29 b |
| Hydrolysate | 877.08 ± 66.40 a | 1.67 ± 0.10 b | 166.79 ± 3.26 a |
| Exposition Time (h) | MDA | SiHa |
|---|---|---|
| IC50 (μg/mL) | ||
| 3 | 2315.560 | 1882.059 |
| 6 | 1930.020 | 1823.533 |
| 12 | 1668.380 | 818.458 |
| 24 | 1723.718 | 248.258 |
| 48 | 575.639 | 125.956 |
| 72 | 369.195 | 102.438 |
Disclaimer/Publisher’s Note: The statements, opinions and data contained in all publications are solely those of the individual author(s) and contributor(s) and not of MDPI and/or the editor(s). MDPI and/or the editor(s) disclaim responsibility for any injury to people or property resulting from any ideas, methods, instructions or products referred to in the content. |
© 2025 by the authors. Licensee MDPI, Basel, Switzerland. This article is an open access article distributed under the terms and conditions of the Creative Commons Attribution (CC BY) license (https://creativecommons.org/licenses/by/4.0/).
Share and Cite
González-Cruz, L.; Morales-Cerda, L.; Teniente-Martínez, G.; Valadez-Vega, C.; Bernardino-Nicanor, A. Isolation and Hydrolysis of Proteins from Vigna umbellata and the Effect on Their Antioxidant and Anticancer Activities. Separations 2025, 12, 55. https://doi.org/10.3390/separations12030055
González-Cruz L, Morales-Cerda L, Teniente-Martínez G, Valadez-Vega C, Bernardino-Nicanor A. Isolation and Hydrolysis of Proteins from Vigna umbellata and the Effect on Their Antioxidant and Anticancer Activities. Separations. 2025; 12(3):55. https://doi.org/10.3390/separations12030055
Chicago/Turabian StyleGonzález-Cruz, Leopoldo, Leonardo Morales-Cerda, Gerardo Teniente-Martínez, Carmen Valadez-Vega, and Aurea Bernardino-Nicanor. 2025. "Isolation and Hydrolysis of Proteins from Vigna umbellata and the Effect on Their Antioxidant and Anticancer Activities" Separations 12, no. 3: 55. https://doi.org/10.3390/separations12030055
APA StyleGonzález-Cruz, L., Morales-Cerda, L., Teniente-Martínez, G., Valadez-Vega, C., & Bernardino-Nicanor, A. (2025). Isolation and Hydrolysis of Proteins from Vigna umbellata and the Effect on Their Antioxidant and Anticancer Activities. Separations, 12(3), 55. https://doi.org/10.3390/separations12030055

