Thin Layer Chromatographic Method for Detection of Conventional Drug Adulterants in Herbal Products
Abstract
1. Introduction
2. Materials and Methods
2.1. Materials, Reagents and Chemicals
2.2. Preparation of Standards and Samples
2.3. Optimization of Mobile Phase Composition for TLC Method
2.4. Application of the Optimized Method
2.4.1. Sample Collection
2.4.2. Analysis of Collected Samples
3. Results and Discussion
3.1. Optimization of Mobile Phase Composition for TLC Methods
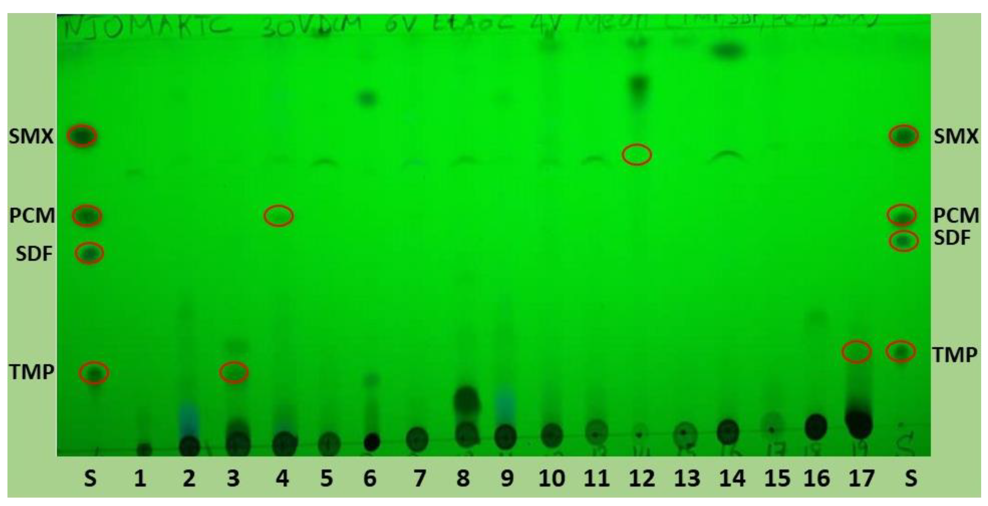
3.2. Application of the Optimized Method
3.2.1. Characterization of Collected Herbal Samples
3.2.2. Adulteration of Herbal Products
3.2.3. Frequency of Adulterants
3.2.4. Distribution of Adulterants among Therapeutic Areas
4. Conclusions
Author Contributions
Funding
Data Availability Statement
Acknowledgments
Conflicts of Interest
References
- WHO. WHO Global Report on Traditional and Complementary Medicine 2019; WHO: Geneva, Switzerland, 2019. [Google Scholar]
- Debella, A.; Abebe, D.; Mudie, K.; Tadele, A.; Gebreegziabher, A. Qualitative Laboratory Analysis for the Detection of Conventional Drugs in Herbal Preparations Supplied by Healers in Major Towns of Ethiopia. Ethiop. J. Health Dev. 2008, 22, 55–62. [Google Scholar] [CrossRef][Green Version]
- Ofori-Kwakye, K.; Ayensu, I.; Akyinah, B.; Kipo, S.L.; El Boakye-Gyasi, M. Adulteration of Ghanaian Topical Herbal Preparations with Dexamethasone. World J. Pharm. Pharm. Sci. 2014, 3, 134–141. [Google Scholar]
- Snyman, T.; Stewart, M.; Grove, A.; Steenkamp, V. Adulteration of South African Traditional Herbal Remedies. Ther. Drug Monit. 2005, 1, 86–89. [Google Scholar] [CrossRef] [PubMed]
- Xu, M.; Huang, B.; Gao, F.; Zhai, C.; Yang, Y.; Li, L.; Wang, W.; Shi, L. Assessment of Adulterated Traditional Chinese Medicines in China: 2003–2017. Front. Pharmacol. 2019, 10, 1446. [Google Scholar] [CrossRef] [PubMed]
- Abuga, K.O. Adulteration of Herbal Preparations. East Cent. Afr. J. Pharm. Sci. 2021, 1, 1–2. [Google Scholar]
- Otieno, J.N.; Kidukuli, A.W.; Nondo, R.S.O. Toxicity Evaluation for Herbal Products Used for Enhancing Male Sexual Desire and Penile Enlargement in Dar Es Salaam City, Tanzania. Int. J. Adv. Pharm. Biol. Chem. 2014, 3, 28–32. [Google Scholar]
- Nili-Ahmadabadi, A.; Borzouee, Z.; Ahmadimoghaddam, D.; Firozian, F.; Dastan, D. The Occurrence of Acetaminophen/Codeine as an Adulterant in Herbal Analgesic Supplements in Hamadan, Iran: A Pilot Study. Complement. Ther. Med. 2019, 42, 223–225. [Google Scholar] [CrossRef]
- Foroughi, M.H.; Akhgari, M.; Jokar, F.; Mousavi, Z. Identification of Undeclared Active Pharmaceutical Ingredients in Counterfeit Herbal Medicines Used as Opioid Substitution Therapy. Aust. J. Forensic Sci. 2017, 49, 720–729. [Google Scholar] [CrossRef]
- Park, H.J.; Cho, S.H.; Lee, J.H.; Hwang, I.S.; Han, K.M.; Yoon, C.Y.; Cho, S.; Kim, W.S. Screening for Corticosteroid Adulterants in Korean Herbal Medicines. J. Forensic Sci. 2016, 61, 226–229. [Google Scholar] [CrossRef]
- Savaliya, A.A.; Shah, R.P.; Prasad, B.; Singh, S. Screening of Indian Aphrodisiac Ayurvedic/Herbal Healthcare Products for Adulteration with Sildenafil, Tadalafil and/or Vardenafil Using LC/PDA and Extracted Ion LC-MS/TOF. J. Pharm. Biomed. Anal. 2010, 52, 406–409. [Google Scholar] [CrossRef]
- Izzo, A.A.; Ernst, E. Interactions between Herbal Medicines and Prescribed Drugs: An Updated Systematic Review. Drugs 2009, 69, 1777–1798. [Google Scholar] [CrossRef] [PubMed]
- Ekar, T.; Kreft, S. Common Risks of Adulterated and Mislabeled Herbal Preparations. Food Chem. Toxicol. 2018, 123, 288–297. [Google Scholar] [CrossRef] [PubMed]
- De Carvalho, L.M.; Martini, M.; Moreira, A.P.L.; de Lima, A.P.S.; Correia, D.; Falcão, T.; Garcia, S.C.; de Bairros, A.V.; do Nascimento, P.C.; Bohrer, D. Presence of Synthetic Pharmaceuticals as Adulterants in Slimming Phytotherapeutic Formulations and Their Analytical Determination. Forensic Sci. Int. 2011, 204, 6–12. [Google Scholar] [CrossRef] [PubMed]
- Hu, Z.; Yang, X.; Ho, P.C.L.; Sui, Y.C.; Heng, P.W.S.; Chan, E.; Duan, W.; Hwee, L.K.; Zhou, S. Herb-Drug Interactions: A Literature Review. Drugs 2005, 65, 1239–1282. [Google Scholar] [CrossRef]
- Cianchino, V.; Acosta, G.; Ortega, C.; Martínez, L.D.; Gomez, M.R. Analysis of Potential Adulteration in Herbal Medicines and Dietary Supplements for the Weight Control by Capillary Electrophoresis. Food Chem. 2008, 108, 1075–1081. [Google Scholar] [CrossRef] [PubMed]
- Saeed, M.A.; Mohamed, M.A.; Shantier, S.W.; Gadkariem, E.A.; Ismail, E.M.O. Determination of Undeclared Sildenafil Citrate and Tadalafil in Aphrodisiac Herbal Preparations by TLC and HPLC. Int. J. Innov. Pharm. Sci. Res. 2015, 3, 688–696. [Google Scholar]
- Dumba, K.; Kwiringira, W.; Namukobe, J.; Ntale, M. Identification and Analysis of Adulterants in Aphrodisiac Herbal Medicines Sold by Private Herbal Clinics, Pharmacies and Herbal Drug Shops in Kampala, Uganda. East Cent. Afr. J. Pharm. Sci. 2021, 24, 3–14. [Google Scholar]
- Al Lawati, H.A.J.; Al Busaidi, I.; Kadavilpparampu, A.M.; Suliman, F.O. Determination of Common Adulterants in Herbal Medicine and Food Samples Using Core-Shell Column Coupled to Tandem Mass Spectrometry. J. Chromatogr. Sci. 2017, 55, 232–242. [Google Scholar] [CrossRef]
- Haneef, J.; Shaharyar, M.; Husain, A.; Rashid, M.; Mishra, R.; Siddiqueb, N.A.; Palc, M. Analytical Methods for the Detection of Undeclared Synthetic Drugs in Traditional Herbal Medicines as Adulterants. Drug Test. Anal. 2013, 5, 607–613. [Google Scholar] [CrossRef]
- Mwankuna, C.J.; Uwamaliya, G.A.; Mariki, E.E.; Mabiki, F.; Malebo, H.M.; Mdegela, R.; Styrishave, B. A HPLC-MS/MS Method for Screening of Selected Antibiotic Adulterants in Herbal Drugs. Anal. Methods 2022, 14, 1060–1068. [Google Scholar] [CrossRef]
- Pyka, A. Detection Progress of Selected Drugs in TLC. Biomed Res. Int. 2014, 2014, 732078. [Google Scholar] [CrossRef] [PubMed]
- Satcher, J.H.; Maienschein, J.L.; Pagoria, P.F.; Racoveanu, A.; Carman, M.L.; Whipple, R.E.; Reynolds, J.G. Portable Thin Layer Chromatography for Field Detection of Explosives and Propellants. Chem. Biol. Radiol. Nucl. Explos. Sens. XIII 2012, 8358, 251–260. [Google Scholar] [CrossRef]
- Chi, B.H.; Lee, A.; Acosta, E.P.; Westerman, L.E.; Sinkala, M.; Stringer, J.S.A. Field Performance of a Thin-Layer Chromatography Assay for Detection of Nevirapine in Umbilical Cord Blood. HIV Clin. Trials 2006, 7, 263–269. [Google Scholar] [CrossRef] [PubMed]
- Risha, P.; Msuya, Z.; Ndomondo-Sigonda, M.; Lavloff, T. Proficiency Testing as a Tool to Assess the Performance of Visual TLC Quantitation Estimates. J. AOAC Int. 2006, 89, 1300–1304. [Google Scholar] [CrossRef] [PubMed]
- Lv, D.; Cao, Y.; Lou, Z.; Li, S.; Chen, X.; Chai, Y.; Lu, F. Rapid On-Site Detection of Ephedrine and Its Analogues Used as Adulterants in Slimming Dietary Supplements by TLC-SERS. Anal. Bioanal. Chem. 2015, 407, 1313–1325. [Google Scholar] [CrossRef]
- Sherma, J. Analysis of Counterfiet Drugs by Thin Layer Chromatography. Acta Chromatogr. 2007, 19, 5–20. [Google Scholar]
- Santiago, M.; Strobel, S. Thin Layer Chromatography, 1st ed.; Elsevier Inc.: Amsterdam, The Netherlands, 2013; Volume 533, ISBN 9780124200678. [Google Scholar]
- Lugimbana, L.; Malebo, H.; Segeja, M.; Akida, J.; Malle, L.; Lemnge, M. A Simple Technique for the Detection of Anti-Malarial Drug Formulations and Their Presence in Human Urine. Tanzan. J. Health Res. 2011, 8, 149–154. [Google Scholar] [CrossRef][Green Version]
- Hancu, G.; Simon, B.; Kelemen, H.; Rusu, A.; Mircia, E.; Gyéresi, Á. Thin Layer Chromatographic Analysis of Beta-Lactam Antibiotics. Adv. Pharm. Bull. 2013, 3, 367–371. [Google Scholar] [CrossRef]
- Bele, A.A.; Khale, A.; Archana, M.; Bele, A. An Overview on Thin Layer Chromatography. Int. J. Pharm. Sci. Res. 2011, 2, 256–267. [Google Scholar]
- Kayombo, E.J. Traditional and Alternative Medicine in Tanzania: Lesson from the Exhibition. SAS J. Med. 2017, 3, 23–31. [Google Scholar]
- Posthouwer, C. Medicinal Plants of Kariakoo Market; Leiden University: Dar Es Salaam, Tanzania, 2015. [Google Scholar]
- Huang, W.F.; Wen, K.C.; Hsiao, M.L. Adulteration by Synthetic Therapeutic Substances of Traditional Chinese Medicines in Taiwan. J. Clin. Pharmacol. 1997, 37, 344–350. [Google Scholar] [CrossRef] [PubMed]
- Marwa, K.J.; Mushi, M.F.; Konje, E.; Alele, P.E.; Kidola, J.; Mirambo, M.M. Resistance to Cotrimoxazole and Other Antimicrobials among Isolates from HIV/AIDS and Non-HIV/AIDS Patients at Bugando Medical Centre, Mwanza, Tanzania. AIDS Res. Treat. 2015, 2015, 103874. [Google Scholar] [CrossRef] [PubMed]
- Vila, J.; Vargas, M.; Casals, C.; Urassa, H.; Mshinda, H.; Schellemberg, D.; Gascon, J. Antimicrobial Resistance of Diarrheagenic Escherichia Coli Isolated from Children under the Age of 5 Years from Ifakara, Tanzania. Antimicrob. Agents Chemother. 1999, 43, 3022–3024. [Google Scholar] [CrossRef] [PubMed]
- Mikomangwa, W.P.; Minzi, O.; Mutagonda, R.; Baraka, V.; Mlugu, E.M.; Aklillu, E.; Kamuhabwa, A.A.R. Effect of Sulfadoxine-Pyrimethamine Doses for Prevention of Malaria during Pregnancy in Hypoendemic Area in Tanzania. Malar. J. 2020, 19, 160. [Google Scholar] [CrossRef] [PubMed]
- Wirth, J.H.; Hudgins, J.C.; Paice, J.A. Use of Herbal Therapies to Relieve Pain: A Review of Efficacy and Adverse Effects. Pain Manag. Nurs. 2005, 6, 145–167. [Google Scholar] [CrossRef]
- Ariffin, S.H.; Wahab, I.A.; Hassan, Y.; Wahab, M.S.A. Adulterated Traditional-Herbal Medicinal Products and Its Safety Signals in Malaysia. Drug. Healthc. Patient Saf. 2021, 13, 133–140. [Google Scholar] [CrossRef]
- Chandra, D.N.B.; Choon-sheen, L.; Rosemal, M.; Mas, H.; Tull, J. Screening of Adulterants in Unregistered Herbal Products in Malaysia. Der. Pharma Chem. 2013, 5, 278–285. [Google Scholar]

| Compound Name | Chemical Structure |
|---|---|
| Quinine | ![]() |
| Sulfadoxine | ![]() |
| Pyrimethamine | ![]() |
| Artemether | ![]() |
| Lumefantrine | ![]() |
| Metronidazole | ![]() |
| Trimethoprim | ![]() |
| Sulfamethoxazole | ![]() |
| Diclofenac | ![]() |
| Acetyl salicylic acid | ![]() |
| Sildenafil | ![]() |
| Ibuprofen | ![]() |
| Method | Solvent Composition | Separated Compounds | Retention Factor |
|---|---|---|---|
| I | Dichloromethane:ethyl acetate:methanol (75:15:10, v/v) | Trimethoprim | 0.15 |
| Sildenafil | 0.39 | ||
| Paracetamol | 0.60 | ||
| Sulfamethoxazole | 0.79 | ||
| II | Dichloromethane:ethyl acetate:methanol (77.5:12.5:10, v/v) | Pyrimethamine | 0.26 |
| Metronidazole | 0.48 | ||
| Sulfadoxine | 0.84 | ||
| III | Ethyl acetate:methanol:30% ammonia (75:22.5:2.5, v/v) | Acetyl salicylic acid | 0.16 |
| Ibuprofen | 0.26 | ||
| Diclofenac | 0.35 | ||
| Quinine | 0.60 | ||
| Lumefantrine | 0.91 |
| Source | No. of Samples | No. of Adulterated Samples (%) |
|---|---|---|
| Herbal Clinics | 51 | 20 (39.2) |
| Home-Based | 40 | 15 (37.5) |
| Herbal Shops | 68 | 34 (50.0) |
| Street Vendor | 66 | 33 (50.0) |
| Open Market | 4 | 2 (50.0) |
| Total | 229 | 104 |
| Ranking of Adulteration | Detected Adulterant | Frequency of Adulteration |
|---|---|---|
| 1 | Trimethoprim | 43 |
| 2 | Sulfamethoxazole | 28 |
| 3 | Pyrimethamine | 27 |
| 4 | Paracetamol | 25 |
| 5 | Sulfadoxine | 19 |
| 6 | Metronidazole | 15 |
| 7 | Sildenafil | 11 |
| 8 | Lumefantrine | 11 |
| 9 | Acetyl salicylic acid | 9 |
| 10 | Diclofenac | 8 |
| 11 | Ibuprofen | 7 |
| 12 | Quinine | 5 |
| Indications | No. of Screened Samples | No. of Adulterated Samples | % Adulterated Samples |
|---|---|---|---|
| Antibacterial | 55 | 26 | 47.3 |
| Antidiabetic | 19 | 8 | 42.1 |
| Antimalarial | 40 | 17 | 42.5 |
| Pain killer | 73 | 37 | 50.7 |
| Erectile dysfunction | 25 | 8 | 32.0 |
| Others | 17 | 8 | 47.1 |
Disclaimer/Publisher’s Note: The statements, opinions and data contained in all publications are solely those of the individual author(s) and contributor(s) and not of MDPI and/or the editor(s). MDPI and/or the editor(s) disclaim responsibility for any injury to people or property resulting from any ideas, methods, instructions or products referred to in the content. |
© 2022 by the authors. Licensee MDPI, Basel, Switzerland. This article is an open access article distributed under the terms and conditions of the Creative Commons Attribution (CC BY) license (https://creativecommons.org/licenses/by/4.0/).
Share and Cite
Mwankuna, C.J.; Mariki, E.E.; Mabiki, F.P.; Malebo, H.M.; Styrishave, B.; Mdegela, R.H. Thin Layer Chromatographic Method for Detection of Conventional Drug Adulterants in Herbal Products. Separations 2023, 10, 23. https://doi.org/10.3390/separations10010023
Mwankuna CJ, Mariki EE, Mabiki FP, Malebo HM, Styrishave B, Mdegela RH. Thin Layer Chromatographic Method for Detection of Conventional Drug Adulterants in Herbal Products. Separations. 2023; 10(1):23. https://doi.org/10.3390/separations10010023
Chicago/Turabian StyleMwankuna, Christopher Johnson, Eliapenda Elisante Mariki, Faith Philemon Mabiki, Hamisi Masanja Malebo, Bjarne Styrishave, and Robinson Hammerton Mdegela. 2023. "Thin Layer Chromatographic Method for Detection of Conventional Drug Adulterants in Herbal Products" Separations 10, no. 1: 23. https://doi.org/10.3390/separations10010023
APA StyleMwankuna, C. J., Mariki, E. E., Mabiki, F. P., Malebo, H. M., Styrishave, B., & Mdegela, R. H. (2023). Thin Layer Chromatographic Method for Detection of Conventional Drug Adulterants in Herbal Products. Separations, 10(1), 23. https://doi.org/10.3390/separations10010023













