Acral Melanocytic Neoplasms: A Comprehensive Review of Acral Nevus and Acral Melanoma in Asian Perspective
Abstract
:1. Acral Melanocytic Nevus
1.1. Epidemiology
1.2. Etiology and Genetics
1.3. Clinical Features
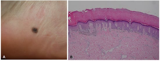
1.4. Histopathological Features
1.5. Management of Acral Melanocytic Nevus
2. Acral Melanoma
2.1. Epidemiology
2.2. Etiology and Genetics
2.3. Clinical Features
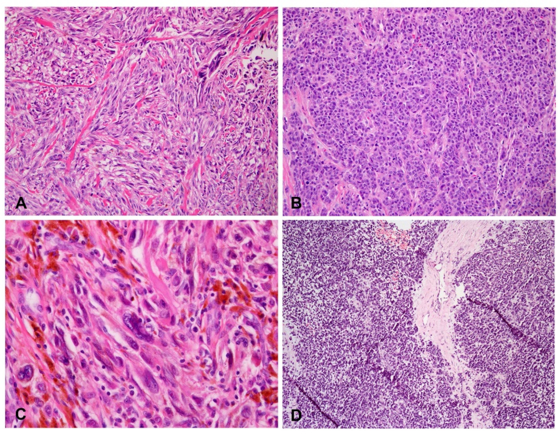
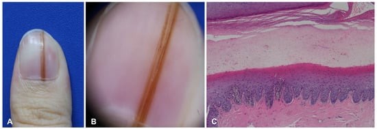
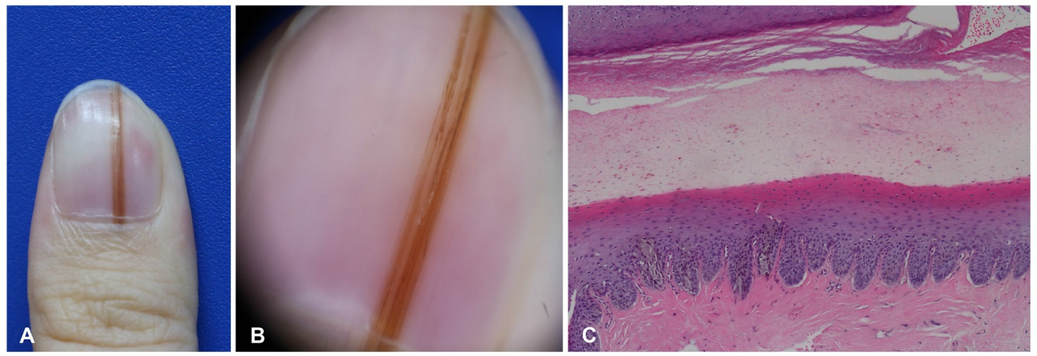
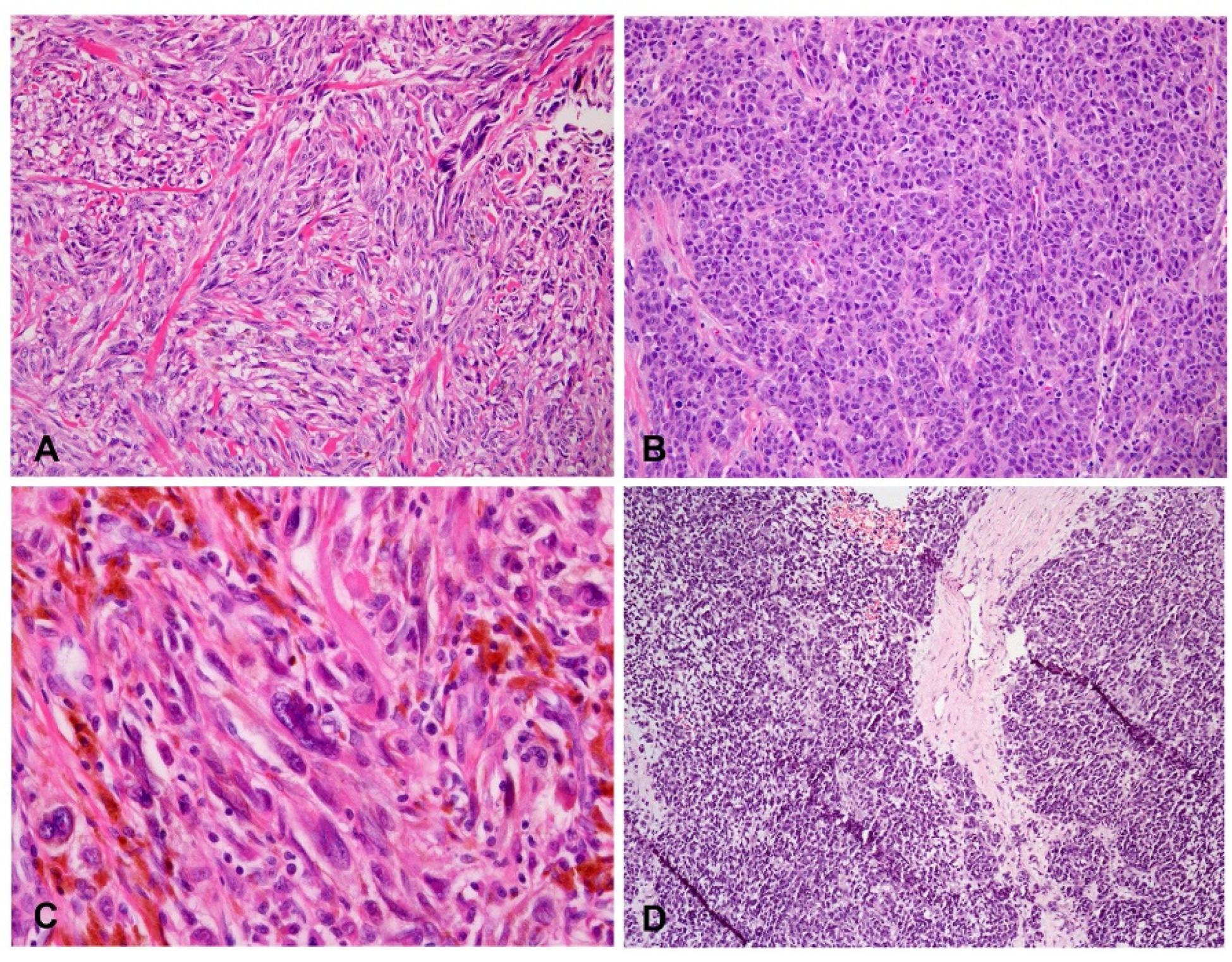
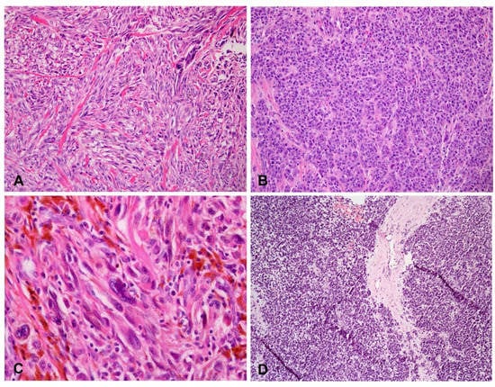
2.4. Histopathological Features
2.5. Staging and Treatment
3. Conclusions
Author Contributions
Funding
Institutional Review Board Statement
Informed Consent Statement
Conflicts of Interest
References
- Palicka, G.A.; Rhodes, A.R. Acral melanocytic nevi: Prevalence and distribution of gross morphologic features in white and black adults. Arch. Dermatol. 2010, 146, 1085–1094. [Google Scholar] [CrossRef]
- Madankumar, R.; Gumaste, P.V.; Martires, K.; Schaffer, P.R.; Choudhary, S.; Falto-Aizpurua, L.; Arora, H.; Kallis, P.J.; Patel, S.; Damanpour, S.; et al. Acral melanocytic lesions in the United States: Prevalence, awareness, and dermoscopic patterns in skin-of-color and non-Hispanic white patients. J. Am. Acad. Dermatol. 2016, 74, 724–730.e721. [Google Scholar] [CrossRef]
- Tuma, B.; Yamada, S.; Atallah, A.N.; Araujo, F.M.; Hirata, S.H. Dermoscopy of black skin: A cross-sectional study of clinical and dermoscopic features of melanocytic lesions in individuals with type V/VI skin compared to those with type I/II skin. J. Am. Acad. Dermatol. 2015, 73, 114–119. [Google Scholar] [CrossRef]
- Watanabe, S.; Sawada, M.; Ishizaki, S.; Kobayashi, K.; Tanaka, M. Comparison of dermatoscopic images of acral lentiginous melanoma and acral melanocytic nevus occurring on body weight-bearing areas. Dermatol. Pract. Concept. 2014, 4, 47–50. [Google Scholar] [CrossRef]
- Kogushi-Nishi, H.; Kawasaki, J.; Kageshita, T.; Ishihara, T.; Ihn, H. The prevalence of melanocytic nevi on the soles in the Japanese population. J. Am. Acad. Dermatol. 2009, 60, 767–771. [Google Scholar] [CrossRef]
- Jin, H.J.; Kim, G.W.; Kim, W.J.; Song, M.; Kim, H.S.; Ko, H.C.; Kim, B.S.; Kim, M.B.; Mun, J.H. A Study of the prevalence, distribution and dermoscopic patterns of acral melanocytic nevi in a Korean population. Korean J. Dermatol. 2015, 53, 612–616. [Google Scholar]
- Pollock, P.M.; Harper, U.L.; Hansen, K.S.; Yudt, L.M.; Stark, M.; Robbins, C.M.; Moses, T.Y.; Hostetter, G.; Wagner, U.; Kakareka, J.; et al. High frequency of BRAF mutations in nevi. Nat. Genet. 2003, 33, 19–20. [Google Scholar] [CrossRef]
- Colebatch, A.J.; Ferguson, P.; Newell, F.; Kazakoff, S.H.; Witkowski, T.; Dobrovic, A.; Johansson, P.A.; Saw, R.P.M.; Stretch, J.R.; McArthur, G.A.; et al. Molecular genomic profiling of melanocytic nevi. J. Investig. Dermatol. 2019, 139, 1762–1768. [Google Scholar] [CrossRef]
- Stark, M.S.; Tan, J.M.; Tom, L.; Jagirdar, K.; Lambie, D.; Schaider, H.; Soyer, H.P.; Sturm, R.A. Whole-exome sequencing of acquired nevi identifies mechanisms for development and maintenance of benign neoplasms. J. Investig. Dermatol. 2018, 138, 1636–1644. [Google Scholar] [CrossRef]
- Moon, K.R.; Choi, Y.D.; Kim, J.M.; Jin, S.; Shin, M.H.; Shim, H.J.; Lee, J.B.; Yun, S.J. Genetic alterations in primary acral melanoma and acral melanocytic nevus in Korea: Common mutated genes show distinct cytomorphological features. J. Investig. Dermatol. 2018, 138, 933–945. [Google Scholar] [CrossRef]
- Curtin, J.A.; Fridlyand, J.; Kageshita, T.; Patel, H.N.; Busam, K.J.; Kutzner, H.; Cho, K.H.; Aiba, S.; Brocker, E.B.; LeBoit, P.E.; et al. Distinct sets of genetic alterations in melanoma. N. Engl. J. Med. 2005, 353, 2135–2147. [Google Scholar] [CrossRef]
- Smalley, K.S.M.; Teer, J.K.; Chen, Y.A.; Wu, J.Y.; Yao, J.; Koomen, J.M.; Chen, W.S.; Rodriguez-Waitkus, P.; Karreth, F.A.; Messina, J.L. A mutational survey of acral nevi. JAMA Dermatol. 2021, 157, 831–835. [Google Scholar] [CrossRef]
- Kim, N.H.; Choi, Y.D.; Seon, H.J.; Lee, J.B.; Yun, S.J. Anatomic mapping and clinicopathologic analysis of benign acral melanocytic neoplasms: A comparison between adults and children. J. Am. Acad. Dermatol. 2017, 77, 735–745. [Google Scholar] [CrossRef]
- Ghanavatian, S.; Costello, C.M.; Buras, M.R.; Cumsky, H.J.L.; Pittelkow, M.R.; Swanson, D.L.; Mangold, A.R. Density and distribution of acral melanocytic nevi and acral melanomas on the plantar surface of the foot. J. Am. Acad. Dermatol. 2019, 80, 790–792.e792. [Google Scholar] [CrossRef]
- Nishiguchi, M.; Yamamoto, Y.; Hara, T.; Okuhira, H.; Inaba, Y.; Kunimoto, K.; Mikita, N.; Kaminaka, C.; Kanazawa, N.; Jinnin, M. Difference in distribution of malignant melanoma and melanocytic nevus in the palm and finger. Biosci. Trends 2019, 13, 361–363. [Google Scholar] [CrossRef]
- Saida, T.; Koga, H. Dermoscopic patterns of acral melanocytic nevi: Their variations, changes, and significance. Arch. Dermatol. 2007, 143, 1423–1426. [Google Scholar] [CrossRef]
- Altamura, D.; Altobelli, E.; Micantonio, T.; Piccolo, D.; Fargnoli, M.C.; Peris, K. Dermoscopic patterns of acral melanocytic nevi and melanomas in a white population in central Italy. Arch. Dermatol. 2006, 142, 1123–1128. [Google Scholar] [CrossRef]
- Wawrzynkiewicz, M.; Pastuszczak, M.; Chlebicki, M.; Wojas-Pelc, A. Acral melanocytic nevi in the Polish population: Prevalence, clinical characteristics and dermoscopic patterns. Postepy Dermatol. Alergol. 2019, 36, 581–588. [Google Scholar] [CrossRef]
- Saida, T.; Koga, H.; Uhara, H. Key points in dermoscopic differentiation between early acral melanoma and acral nevus. J. Dermatol. 2011, 38, 25–34. [Google Scholar] [CrossRef]
- Miyazaki, A.; Saida, T.; Koga, H.; Oguchi, S.; Suzuki, T.; Tsuchida, T. Anatomical and histopathological correlates of the dermoscopic patterns seen in melanocytic nevi on the sole: A retrospective study. J. Am. Acad. Dermatol. 2005, 53, 230–236. [Google Scholar] [CrossRef]
- Ohn, J.; Choe, Y.S.; Mun, J.H. Dermoscopic features of nail matrix nevus (NMN) in adults and children: A comparative analysis. J. Am. Acad. Dermatol. 2016, 75, 535–540. [Google Scholar] [CrossRef] [PubMed]
- Stefanaki, C.; Soura, E.; Sgouros, D.; Leotsakos, G.; Rigopoulos, D.; Stratigos, A.; Kontochrostopoulos, G. Nail matrix naevi in children: A prospective study. J. Eur. Acad. Dermatol. Venereol. 2020, 34, e203–e205. [Google Scholar] [CrossRef]
- Ronge, R.S.; Touzet, S.; Ligeron, C.; Balme, B.; Barrut, D.; Colin, C.; Thomas, L. Dermoscopic examination of nail pigmentation. Arch. Dermatol. 2002, 138, 1327–1333. [Google Scholar] [CrossRef]
- Lee, J.H.; Lim, Y.; Park, J.H.; Lee, J.H.; Jang, K.T.; Kwon, E.J.; Lee, D.Y. Clinicopathologic features of 28 cases of nail matrix nevi (NMNs) in Asians: Comparison between children and adults. J. Am. Acad. Dermatol. 2018, 78, 479–489. [Google Scholar] [CrossRef]
- Gunes, P.; Goktay, F.; Haneke, E. A case of adult-onset longitudinal melanonychia due to nail matrix compound nevus. J. Cutan. Pathol. 2020, 47, 1159–1163. [Google Scholar] [CrossRef]
- Tosti, A.; Baran, R.; Piraccini, B.M.; Cameli, N.; Fanti, P.A. Nail matrix nevi: A clinical and histopathologic study of twenty-two patients. J. Am. Acad. Dermatol. 1996, 4, 765–771. [Google Scholar] [CrossRef]
- Haneke, E. Histopathology of the Nail: Onychopathology; CRC Press, Taylor & Francis Group: Boca Raton, FL, USA, 2017. [Google Scholar]
- Ren, J.; Ren, M.; Kong, Y.Y.; Lv, J.J.; Cai, X.; Kong, J.C. Clinicopathological diversity and outcome of longitudinal melanonychia in children and adolescents: Analysis of 35 cases identified by excision specimens. Histopathology 2020, 77, 380–390. [Google Scholar] [CrossRef]
- Saida, T. Lessons learned from studies of the development of early melanoma. Int. J. Clin. Oncol. 2005, 10, 371–374. [Google Scholar] [CrossRef]
- Hiroshi, K.; Toshiaki, S. Revised 3-step dermoscopic algorithm for the management of acral melanocytic lesions. Arch. Dermatol. 2011, 147, 741–743. [Google Scholar] [CrossRef]
- Lee, J.S.; Kim, S.; Kim, D.H.; Lee, J.W.; Mun, J.H.; Lee, S.H. Clinical features and natural course of pediatric longitudinal melanonychia: A retrospective cohort study in Korea. J. Am. Acad. Dermatol. 2022, 87, 366–372. [Google Scholar] [CrossRef]
- Bastian, B.C. The molecular pathology of melanoma: An integrated taxonomy of melanocytic neoplasia. Annu. Rev. Pathol. 2014, 9, 239–271. [Google Scholar] [CrossRef] [PubMed]
- Hutchinson, J. Clinical Memoranda, Melanosis often not black: Melanotic whitlow. Br. Med. J. 1886, 1, 491–4933. [Google Scholar]
- Elder, D.E.; Massi, D.; Scolyer, R.A.; Willemze, R. WHO Classification of Skin Tumours, 4th ed.; WHO: Lyon, France, 2018; ISBN 978-92-832-2440-2.
- Ossio, R.; Roldan-Marin, R.; Martinez-Said, H.; Adams, D.J.; Robles-Espinoza, C.D. Melanoma: A global perspective. Nat. Rev. Cancer 2017, 17, 393–394. [Google Scholar] [CrossRef] [PubMed]
- Jang, H.S.; Kim, J.H.; Park, K.H.; Lee, J.S.; Bae, J.M.; Oh, B.H.; Rha, S.Y.; Roh, M.R.; Chung, K.Y. Comparison of melanoma subtypes among Korean patients by morphologic features and ultraviolet exposure. Ann. Dermatol. 2014, 26, 485–490. [Google Scholar] [CrossRef] [PubMed]
- Kim, J.E.; Chung, B.Y.; Sim, C.Y.; Park, A.Y.; Lee, J.S.; Whang, K.U.; Park, Y.L.; Kim, H.O.; Park, C.W.; Lee, S.Y. Clinicopathologic features and prognostic factors of primary cutaneous melanoma: A multicenter study in Korea. J. Korean Med. Sci. 2019, 34, e126. [Google Scholar] [CrossRef]
- Jin, S.A.; Chun, S.M.; Choi, Y.D.; Kweon, S.S.; Jung, S.T.; Shim, H.J.; Yun, S.J. BRAF mutations and KIT aberrations and their clinicopathological correlation in 202 Korean melanomas. J. Investig. Dermatol. 2013, 133, 579–582. [Google Scholar] [CrossRef]
- Kim, J.H.; Park, J.H.; Lee, D.Y. Site distribution of cutaneous melanoma in South Korea: A retrospective study at a single tertiary institution. Int. J. Dermatol. 2015, 54, e38–e39. [Google Scholar] [CrossRef]
- Ishihara, K.; Saida, T.; Otsuka, F.; Yamazaki, N.; Prognosis & Statistical Investigation Committee of the Japanese Skin Cancer Society. Statistical profiles of malignant melanoma and other skin cancers in Japan: 2007 update. Int. J. Clin. Oncol. 2008, 13, 33–41. [Google Scholar] [CrossRef]
- Lee, H.Y.; Chay, W.Y.; Tang, M.B.; Chio, M.T.; Tan, S.H. Melanoma: Differences between Asian and Caucasian patients. Ann. Acad. Med. Singap. 2012, 41, 17–20. [Google Scholar] [PubMed]
- Chi, Z.; Li, S.; Sheng, X.; Si, L.; Cui, C.; Han, M.; Guo, J. Clinical presentation, histology, and prognoses of malignant melanoma in ethnic Chinese: A study of 522 consecutive cases. BMC Cancer 2011, 11, 85. [Google Scholar] [CrossRef]
- Chang, J.W.; Yeh, K.Y.; Wang, C.H.; Yang, T.S.; Chiang, H.F.; Wei, F.C.; Kuo, T.T.; Yang, C.H. Malignant melanoma in Taiwan: A prognostic study of 181 cases. Melanoma Res. 2004, 14, 537–541. [Google Scholar] [CrossRef] [PubMed]
- Wang, Y.; Zhao, Y.; Ma, S. Racial differences in six major subtypes of melanoma: Descriptive epidemiology. BMC Cancer 2016, 16, 691. [Google Scholar] [CrossRef] [PubMed]
- Green, A.; McCredie, M.; MacKie, R.; Giles, G.; Young, P.; Morton, C.; Jackman, L.; Thursfield, V. A case-control study of melanomas of the soles and palms (Australia and Scotland). Cancer Causes Control 1999, 10, 21–25. [Google Scholar] [CrossRef] [PubMed]
- Rokuhara, S.; Saida, T.; Oguchi, M.; Matsumoto, K.; Murase, S.; Oguchi, S. Number of acquired melanocytic nevi in patients with melanoma and control subjects in Japan: Nevus count is a significant risk factor for nonacral melanoma but not for acral melanoma. J. Am. Acad. Dermatol. 2004, 50, 695–700. [Google Scholar] [CrossRef] [PubMed]
- Jung, H.J.; Kweon, S.S.; Lee, J.B.; Lee, S.C.; Yun, S.J. A clinicopathologic analysis of 177 acral melanomas in Koreans: Relevance of spreading pattern and physical stress. JAMA Dermatol. 2013, 149, 1281–1288. [Google Scholar] [CrossRef]
- Minagawa, A.; Omodaka, T.; Okuyama, R. Melanomas and mechanical stress points on the plantar surface of the foot. N. Engl. J. Med. 2016, 374, 2404–2406. [Google Scholar] [CrossRef]
- Lee, J.H.; Choi, Y.D.; Hwang, J.H.; Shin, M.H.; Yun, S.J. Frequency of trauma, physical stress, and occupation in acral melanoma: Analysis of 313 acral melanoma patients in Korea. Ann. Dermatol. 2021, 33, 228–236. [Google Scholar] [CrossRef]
- Tod, B.M.; Schneider, J.W.; Bowcock, A.M.; Visser, W.I.; Kotze, M.J. The tumor genetics of acral melanoma: What should a dermatologist know? JAAD Int. 2020, 1, 135–147. [Google Scholar] [CrossRef]
- Hayward, N.K.; Wilmott, J.S.; Waddell, N.; Johansson, P.A.; Field, M.A.; Nones, K.; Patch, A.M.; Kakavand, H.; Alexandrov, L.B.; Burke, H.; et al. Whole-genome landscapes of major melanoma subtypes. Nature 2017, 545, 175–180. [Google Scholar] [CrossRef]
- Curtin, J.A.; Busam, K.; Pinkel, D.; Bastian, B.C. Somatic activation of KIT in distinct subtypes of melanoma. J. Clin. Oncol. 2006, 24, 4340–4346. [Google Scholar] [CrossRef]
- Yeh, I.; Jorgenson, E.; Shen, L.; Xu, M.; North, J.P.; Shain, A.H.; Reuss, D.; Wu, H.; Robinson, W.A.; Olshen, A.; et al. Targeted genomic profiling of acral melanoma. J. Natl. Cancer Inst. 2019, 111, 1068–1077. [Google Scholar] [CrossRef] [PubMed]
- Sheen, Y.S.; Tan, K.T.; Tse, K.P.; Liao, Y.H.; Lin, M.H.; Chen, J.S.; Liau, J.Y.; Tseng, Y.J.; Lee, C.H.; Hong, C.H.; et al. Genetic alterations in primary melanoma in Taiwan. Br. J. Dermatol. 2020, 182, 1205–1213. [Google Scholar] [CrossRef] [PubMed]
- Choi, Y.D.; Chun, S.M.; Jin, S.A.; Lee, J.B.; Yun, S.J. Amelanotic acral melanomas: Clinicopathological, BRAF mutation, and KIT aberration analyses. J. Am. Acad. Dermatol. 2013, 69, 700–707. [Google Scholar] [CrossRef] [PubMed]
- Yun, S.J.; Kim, S.J. Images in clinical medicine. Hutchinson’s nail sign. N. Engl. J. Med. 2011, 364, e38. [Google Scholar] [CrossRef] [PubMed]
- Koga, H. Dermoscopic evaluation of melanonychia. J. Dermatol. 2017, 44, 515–517. [Google Scholar] [CrossRef]
- Ohn, J.; Jo, G.; Cho, Y.; Sheu, S.L.; Cho, K.H.; Mun, J.H. Assessment of a predictive scoring model for dermoscopy of subungual melanoma in situ. JAMA Dermatol. 2018, 154, 890–896. [Google Scholar] [CrossRef]
- Haugh, A.M.; Zhang, B.; Quan, V.L.; Garfield, E.M.; Bubley, J.A.; Kudalkar, E.; Verzi, A.E.; Walton, K.; VandenBoom, T.; Merkel, E.A.; et al. Distinct patterns of acral melanoma based on site and relative sun exposure. J. Investig. Dermatol. 2018, 138, 384–393. [Google Scholar] [CrossRef]
- Desai, A.; Ugorji, R.; Khachemoune, A. Acral melanoma foot lesions. Part 2: Clinical presentation, diagnosis, and management. Clin. Exp. Dermatol. 2018, 43, 117–123. [Google Scholar] [CrossRef]
- McBride, J.D.; McAfee, J.L.; Piliang, M.; Bergfeld, W.F.; Fernandez, A.P.; Ronen, S.; Billings, S.D.; Ko, J.S. Preferentially expressed antigen in melanoma and p16 expression in acral melanocytic neoplasms. J. Cutan. Pathol. 2022, 49, 220–230. [Google Scholar] [CrossRef]
- Rothrock, A.T.; Torres-Cabala, C.A.; Milton, D.R.; Cho, W.C.; Nagarajan, P.; Vanderbeck, K.; Curry, J.L.; Ivan, D.; Prieto, V.G.; Aung, P.P. Diagnostic utility of PRAME expression by immunohistochemistry in subungual and non-subungual acral melanocytic lesions. J. Cutan. Pathol. 2022. [Google Scholar] [CrossRef]
- Gershenwald, J.E.; Scolyer, R.A.; Hess, K.R.; Sondak, V.K.; Long, G.V.; Ross, M.I.; Lazar, A.J.; Faries, M.B.; Kirkwood, J.M.; McArthur, G.A.; et al. Melanoma staging: Evidence-based changes in the American Joint Committee on Cancer eighth edition cancer staging manual. CA Cancer J. Clin. 2017, 67, 472–492. [Google Scholar] [CrossRef] [PubMed]
- Gumaste, P.V.; Fleming, N.H.; Silva, I.; Shapiro, R.L.; Berman, R.S.; Zhong, J.; Osman, I.; Stein, J.A. Analysis of recurrence patterns in acral versus nonacral melanoma: Should histologic subtype influence treatment guidelines? J. Natl. Compr. Cancer Netw. 2014, 12, 1706–1712. [Google Scholar] [CrossRef] [PubMed]
- Coit, D.G.; Thompson, J.A.; Albertini, M.R.; Barker, C.; Carson, W.E.; Contreras, C.; Daniels, G.A.; DiMaio, D.; Fields, R.C.; Fleming, M.D.; et al. Cutaneous melanoma, Version 2.2019, NCCN Clinical practice guidelines in oncology. J. Natl. Compr. Cancer Netw. 2019, 17, 367–402. [Google Scholar] [CrossRef] [PubMed]
- Swetter, S.M.; Thompson, J.A.; Albertini, M.R.; Barker, C.A.; Baumgartner, J.; Boland, G.; Chmielowski, B.; DiMaio, D.; Durham, A.; Fields, R.C.; et al. NCCN Guidelines(R) Insights: Melanoma: Cutaneous, Version 2.2021. J. Natl. Compr. Cancer Netw. 2021, 19, 364–376. [Google Scholar] [CrossRef]
- Ryu, G.W.; Choi, Y.D.; Jin, S.; Chung, I.J.; Shin, M.H.; Yun, S.J. Volar location and degree of pigmentation are associated with poor survival and first metastasis pattern in acral melanoma. Pigment. Cell Melanoma Res. 2021, 34, 1094–1104. [Google Scholar] [CrossRef]
- Ryu, G.W.; Choi, Y.D.; Ryu, Y.J.; Lee, J.B.; Shin, M.H.; Yun, S.J. Risk factors affecting the first metastasis of acral melanoma: Low- pigmentation independently predicts a first lung metastasis. J. Am. Acad. Dermatol. 2021, 84, 1739–1742. [Google Scholar] [CrossRef]
- Sladden, M.J.; Balch, C.; Barzilai, D.A.; Berg, D.; Freiman, A.; Handiside, T.; Hollis, S.; Lens, M.B.; Thompson, J.F. Surgical excision margins for primary cutaneous melanoma. Cochrane Database Syst. Rev. 2009, 4, CD004835. [Google Scholar] [CrossRef]
- Carvajal, R.D.; Antonescu, C.R.; Wolchok, J.D.; Chapman, P.B.; Roman, R.A.; Teitcher, J.; Panageas, K.S.; Busam, K.J.; Chmielowski, B.; Lutzky, J.; et al. KIT as a therapeutic target in metastatic melanoma. JAMA 2011, 305, 2327–2334. [Google Scholar] [CrossRef]
- Zhang, J.; Yun, S.J.; McMurray, S.L.; Miller, C.J. Management of nail unit melanoma. Dermatol. Clin. 2021, 39, 269–280. [Google Scholar] [CrossRef]







Publisher’s Note: MDPI stays neutral with regard to jurisdictional claims in published maps and institutional affiliations. |
© 2022 by the authors. Licensee MDPI, Basel, Switzerland. This article is an open access article distributed under the terms and conditions of the Creative Commons Attribution (CC BY) license (https://creativecommons.org/licenses/by/4.0/).
Share and Cite
Park, S.; Yun, S.-J. Acral Melanocytic Neoplasms: A Comprehensive Review of Acral Nevus and Acral Melanoma in Asian Perspective. Dermatopathology 2022, 9, 292-303. https://doi.org/10.3390/dermatopathology9030035
Park S, Yun S-J. Acral Melanocytic Neoplasms: A Comprehensive Review of Acral Nevus and Acral Melanoma in Asian Perspective. Dermatopathology. 2022; 9(3):292-303. https://doi.org/10.3390/dermatopathology9030035
Chicago/Turabian StylePark, Sanghyun, and Sook-Jung Yun. 2022. "Acral Melanocytic Neoplasms: A Comprehensive Review of Acral Nevus and Acral Melanoma in Asian Perspective" Dermatopathology 9, no. 3: 292-303. https://doi.org/10.3390/dermatopathology9030035
APA StylePark, S., & Yun, S.-J. (2022). Acral Melanocytic Neoplasms: A Comprehensive Review of Acral Nevus and Acral Melanoma in Asian Perspective. Dermatopathology, 9(3), 292-303. https://doi.org/10.3390/dermatopathology9030035

