Genital Folliculosebaceous Cystic Hamartoma: A Case Report and Concise Review of the Literature
Abstract
1. Introduction
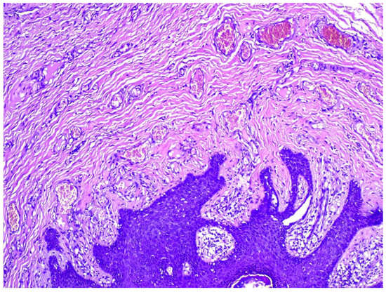
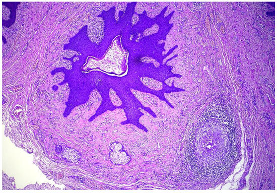
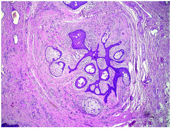
2. Detailed Case Description
3. Discussion
4. Conclusions
Author Contributions
Funding
Institutional Review Board Statement
Informed Consent Statement
Conflicts of Interest
References
- Haw, S.; Lee, M.-H. A Case of Giant Folliculosebaceous Cystic Hamartoma. Ann. Dermatol. 2009, 21, 63–65. [Google Scholar] [CrossRef] [PubMed]
- Kimura, T.; Miyazawa, H.; Aoyagi, T.; Ackerman, A.B. Folliculosebaceous cystic hamartoma. A distinctive malformation of the skin. Am. J. Dermatopathol. 1991, 13, 213–220. [Google Scholar] [CrossRef] [PubMed]
- Noh, S.; Kwon, J.E.; Gil Lee, K.; Roh, M.R. Folliculosebaceous Cystic Hamartoma in a Patient with Neurofibromatosis Type I. Ann. Dermatol. 2011, 23, S185–S187. [Google Scholar] [CrossRef] [PubMed]
- Bolognia, J.; Longley, B. Genital Variant of Folliculosebaceous Cystic Hamartoma. Dermatology 1998, 197, 258–260. [Google Scholar] [CrossRef] [PubMed]
- Nomura, M.; Hata, S. Sebaceous Trichofolliculoma on Scrotum and Penis. Dermatology 1990, 181, 68–70. [Google Scholar] [CrossRef] [PubMed]
- Hamada, M.; Kiryu, H.; Satoh, E.; Moroi, Y.; Urabe, K.; Furue, M. A case of genital folliculosebaceous cystic hamartoma with an unique aggregated manifestation. J. Dermatol. 2006, 33, 191–195. [Google Scholar] [CrossRef] [PubMed]
- Brücher, J.-J.; Franke, I.; Ulrich, J.; Gollnick, H.; Leverkus, M. Giant genital variant of folliculosebaceous cystic hamartoma: Successful management by CO2laser and acitretin therapy. Br. J. Dermatol. 2007, 157, 833–835. [Google Scholar] [CrossRef] [PubMed]
- Park, H.; Joo, M.; Lee, Y. A Case of Folliculosebaceous Cystic Hamartoma on the labia majora. Korean J. Dermatol. 2007, 45, 221–223. [Google Scholar]
- Wu, H.-S.; Cheng, H.-T.; Jung, S.-M.; Chang, S.C.-N. Distinctive Genital Folliculosebaceous Cystic Hamartomas in a Patient With Fibrous Dysplasia. J. Craniofacial. Surg. 2012, 23, e132–e134. [Google Scholar] [CrossRef]
- Alegría-Landa, V.; Prieto-Torres, L.; Requena, L.; Velasco, M.J. Genital folliculo-sebaceous cystic hamartoma: A claim of the stroma as a clue in the diagnosis of proliferations with follicular differentiation. J. Cutan. Pathol. 2017, 44, 504–508. [Google Scholar] [CrossRef] [PubMed]
- Khan, A.; Gowda, C.; Vasudevan, G.; Rodrigues, G. Giant folliculosebaceous cystic hamartoma of the vulva: A rare occurrence. Int. J. Gynecol. Obstet. 2020, 150, 423–424. [Google Scholar] [CrossRef] [PubMed]
- Plewig, G. Sebaceous Trichofolliculoma. J. Cutan. Pathol. 1980, 7, 394–403. [Google Scholar] [CrossRef]
- Shin, E.-J.; Jeong, K.-H.; Shin, M.-K. A Case of Late Stage Sebaceous Trichofolliculoma Showing Overlapping Features with Folliculosebaceous Cystic Hamartoma. Ann. Dermatol. 2016, 28, 511–512. [Google Scholar] [CrossRef][Green Version]
- Misago, N.; Kimura, T.; Toda, S.; Mori, T.; Narisawa, Y. A Revaluation of Folliculosebaceous Cystic Hamartoma: The Histopathological and Immunohistochemical Features. Am. J. Dermatopathol. 2010, 32, 154–161. [Google Scholar] [CrossRef] [PubMed]



| Author | Age (Years) | Sex | Size | Site | Duration | Clinical Description | Notes |
|---|---|---|---|---|---|---|---|
| Bolognia and Longley [4] | 34 | F | 4 cm | Left labia majora | Not available | Skin-coloured multinodular plaque | |
| Hamada et al. [6] | 40 | F | 5 cm | Pubis | 13 years | Three skin-coloured aggregated nodules | |
| Brucher et al. [7] | 74 | M | 23 × 16 cm | Whole scrotum | Since birth | Giant multinodular skin-coloured to yellowish lesion | |
| Park et al. [8] | 28 | F | Not available | Labia majora | Not available | Not available | Full article is not available in English |
| Wu et al. [9] | 28 | F | 6 × 2 × 1.5 cm (left) and 5.5 × 2.5 × 2 cm (right) | Bilateral labia majora | More than 10 years | Skin-coloured polypoid and pedunculated hypertrophy | Associated with fibrous dysplasia syndrome |
| Alegría-Land et al. [10] | 45 | F | 2 cm | Middle of right labia majora | Long-term (patient uncertain) | Skin-coloured nodule | |
| Khan et al. [11] | 29 | F | 5 × 3 cm | Right labia majora | 3 months | Giant papulonodular lesion |
Publisher’s Note: MDPI stays neutral with regard to jurisdictional claims in published maps and institutional affiliations. |
© 2022 by the authors. Licensee MDPI, Basel, Switzerland. This article is an open access article distributed under the terms and conditions of the Creative Commons Attribution (CC BY) license (https://creativecommons.org/licenses/by/4.0/).
Share and Cite
Daruish, M.; Ibrahim, M.A.-H. Genital Folliculosebaceous Cystic Hamartoma: A Case Report and Concise Review of the Literature. Dermatopathology 2022, 9, 277-281. https://doi.org/10.3390/dermatopathology9030032
Daruish M, Ibrahim MA-H. Genital Folliculosebaceous Cystic Hamartoma: A Case Report and Concise Review of the Literature. Dermatopathology. 2022; 9(3):277-281. https://doi.org/10.3390/dermatopathology9030032
Chicago/Turabian StyleDaruish, Maged, and Mona Abdel-Halim Ibrahim. 2022. "Genital Folliculosebaceous Cystic Hamartoma: A Case Report and Concise Review of the Literature" Dermatopathology 9, no. 3: 277-281. https://doi.org/10.3390/dermatopathology9030032
APA StyleDaruish, M., & Ibrahim, M. A.-H. (2022). Genital Folliculosebaceous Cystic Hamartoma: A Case Report and Concise Review of the Literature. Dermatopathology, 9(3), 277-281. https://doi.org/10.3390/dermatopathology9030032

