Pleomorphic Hyalinizing Angiectatic Tumor (PHAT): Review of the Literature with Case Presentation
Abstract
1. Introduction
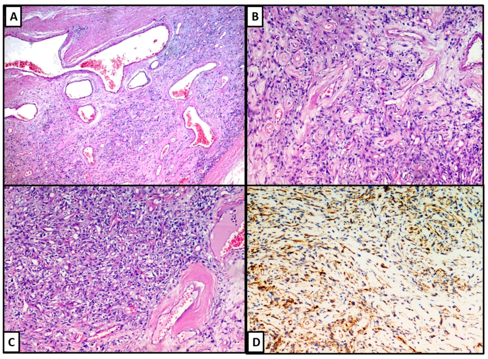
2. Case Report
3. Discussion
4. Conclusions
Author Contributions
Funding
Informed Consent Statement
Conflicts of Interest
References
- Smith, M.E.F.; Fisher, C.; Weiss, S.W. Pleomorphic hyalinizing angiectatic tumor of soft parts: A low-grade neoplasm resembling neurilemoma. Am. J. Surg. Pathol. 1996, 20, 21–29. [Google Scholar] [CrossRef]
- Soft Tissue and Bone Tumours. WHO Classification of Tumours, 5th ed.; World Health Organization: Geneva, Switzerland, 2020; Volume 3. [Google Scholar]
- Changchien, Y.C.; Bocskai, P.; Kovács, I.; Hargitai, Z.; Kollár, S.; Török, M. Pleomorphic hyalinizing angiectatic tumor of soft parts: Case report with unusual ganglion-like cells and review of the literature. Pathol. Res. Pract. 2014, 210, 1146–1151. [Google Scholar] [CrossRef]
- Choong, M.Y.; Ke, P.Z.; Huang, C.Y.; Li, T. Pleomorphic hyalinizing angiectatic tumor in the inguinal area: A potential diagnostic pitfall. Am. Surg. 2012, 78, E45–E46. [Google Scholar] [CrossRef]
- Peng, H.C.; Huang, M.T.; Chen, D.J.; Leung, T.K.; Chu, J.S. Pleomorphic hyalinizing angiectatic tumor of soft parts. J. Formos. Med. Assoc. 2010, 109, 616–620. [Google Scholar] [CrossRef]
- Fukunaga, M.; Ushigome, S. Pleomorphic hyalinizing angiectatic tumor of soft parts. Pathol. Int. 1997, 47, 784–788. [Google Scholar] [CrossRef]
- Silverman, J.S.; Dana, M.M. Pleomorphic hyalinizing angiectatic tumor of soft parts: Immunohistochemical case study shows cellular composition by CD34+ fibroblasts and factor XIIIa+ dendrophages. J. Cutan. Pathol. 1997, 24, 377–383. [Google Scholar] [CrossRef]
- Gallo, C.; Murer, B.; Roncaroli, F. Pleomorphic hyalinizing angiectasic soft-tissue tumor: Description of a case. Pathologica 1997, 89, 531–535. [Google Scholar]
- Groisman, G.M.; Bejar, J.; Amar, M.; Ben-Izhak, O. Pleomorphic hyalinizing angiectatic tumor of soft parts: Immunohistochemical study including the expression of vascular endothelial growth factor. Arch. Pathol. Lab. Med. 2000, 124, 423–426. [Google Scholar] [CrossRef]
- Matsumoto, K.; Yamamoto, T. Pleomorphic hyalinizing angi-ectatic tumor of soft parts: A case report and literature review. Pathol. Int. 2002, 52, 664–668. [Google Scholar] [CrossRef]
- Iwamoto, C.A.; Garcia, C.F.; Fung, C.; Razzak, M. A 49-year-old woman with a left axillary mass. Arch. Pathol. Lab. Med. 2003, 127, E107–E108. [Google Scholar] [CrossRef]
- Folpe, A.L.; Weiss, S.W. Pleomorphic hyalinizing angiectatic tumor: Analysis of 41 cases supporting evolution from a distinctive precursor lesion. Am. J. Surg. Pathol. 2004, 28, 1417–1425. [Google Scholar] [CrossRef]
- Fujiwara, M.; Yuba, Y.; Wada, A.; Ozawa, T.; Tanaka, T. Pleomorphic hyalinizing angiectatic tumor of soft parts: Report of a case and review of the literature. J. Dermatol. 2004, 31, 419–423. [Google Scholar] [CrossRef] [PubMed]
- Lee, J.C.; Jiang, X.Y.; Karpinski, R.H.; Moore, E.D. Pleomorphic hyalinizing angiectatic tumor of soft parts. Surgery 2004, 137, 119–121. [Google Scholar] [CrossRef]
- Luzar, B.; Gasljevic, G.; Juricic, V.; Bracko, M. Hemosiderotic fibrohistiocytic lipomatous lesion: Early pleomorphic hyalinizing angiectatic tumor? Pathol. Int. 2006, 56, 283–286. [Google Scholar] [CrossRef]
- Capovilla, M.; Birembaut, P.; Cucherousset, J.; Ploton, D.; de Saint-Maur, P.P.; Flejou, J.F.; Lesec, G. Pleomorphic hyalinizing angiectatic tumor of soft parts: Ultrastructural analysis of a case with original features. Ultrastruct. Pathol. 2006, 10, 59–64. [Google Scholar] [CrossRef]
- El-Tal, A.E.; Mehregan, D. Pleomorphic hyalinizing angiectatic tumor of soft parts: Case report and literature review. J. Cutan Pathol. 2006, 33, 361–364. [Google Scholar] [CrossRef]
- Kazakov, D.V.; Pavlovsky, M.; Mukensnabl, P.; Michal, M. Pleomorphic hyalinizing angiectatic tumor with a sarcomatous component recurring as high-grade myxofibrosarcoma. Pathol. Int. 2007, 57, 281–284. [Google Scholar] [CrossRef]
- Ke, Q.; Erbolat Zhang, H.Y.; Bu, H.; Li, S.; Shi, D.N.; Yang, G.H.; Chen, H.J.; Wei, B. Clinicopathologic features of pleomorphic hyalinizing angiectatic tumor of soft parts. Chin. Med. J. 2007, 120, 876–881. [Google Scholar] [CrossRef]
- Jaggon, J.R.; Aitken, R.D. Pleomorphic hyalinizing angiectatic tumour of soft parts: A case report and review of the literature. West Indian Med. 2007, 56, 544–546. [Google Scholar]
- Tallarigo, F.; Squillaci, S.; Putrino, I.; Zizzi, N.; Bisceglia, M. Pleomorphic hyalinizing angiectatic tumor of the male breast: A heretofore unreported occurrence. Pathol. Res. Pract. 2009, 205, 69–73. [Google Scholar] [CrossRef]
- Cimino-Mathews, A.; Ali, S.Z. Pleomorphic hyalinizing angi-ectatic tumor: Cytomorphologic features on fine-needle aspiration. Diagn. Cytopathol. 2011, 39, 214–217. [Google Scholar] [CrossRef]
- Parameshwarappa, S.; Rodrigues, G.; Nagpal, N.; Rao, L. Pleomorphic hyalinizing angiectatic tumor of soft parts involving the upper limb. Indian J. Surg. 2010, 72, 263–264. [Google Scholar] [CrossRef][Green Version]
- Illueca, C.; Machado, I.; Cruz, J.; Almenar, S.; Noguera, R.; Navarro, S.; Llombart-Bosch, A. Pleomorphic hyalinizing angiectatic tumor: A report of 3 new cases, 1 with sarcomatous myxofibro- sarcoma component and another with unreported soft tissue palpebral location. Appl. Immunohistochem. Mol. Morphol. 2012, 20, 96–101. [Google Scholar] [CrossRef]
- Subhawong, T.K.; Subhawong, A.P.; Montgomery, E.A.; Fayad, L.M. Pleomorphic hyalinizing angiectatic tumor: Imaging findings. Skeletal. Radiol. 2012, 41, 1621–1626. [Google Scholar] [CrossRef] [PubMed]
- Wei, S.; Pan, Z.; Siegal, G.P.; Winokur, T.S.; Carroll, A.J.; Jhala, D. Complex analysis of a recurrent pleomorphic hyalinizing angiectatic tumor of soft parts. Hum. Pathol. 2012, 43, 121–126. [Google Scholar] [CrossRef] [PubMed]
- Idrees, M.T.; Kieffer, T.; Badve, S. Pleomorphic hyalinizing angiectatic tumor of renal hilum. Ann. Diagn. Pathol. 2012, 16, 489–493. [Google Scholar] [CrossRef] [PubMed]
- Rekhi, B.; Aggarwal, S. Pleomorphic hyalinizing angiectatic tumor exhibiting intricate branching vasculature: An interesting pattern in a rare tumor. Indian J. Pathol. Microbiol. 2013, 56, 321–323. [Google Scholar] [CrossRef]
- Kuang, P. CT findings of pleomorphic hyalinizing angiectatic tumor (PHAT) of soft parts of the neck. Jpn. J. Radiol. 2013, 31, 204–207. [Google Scholar] [CrossRef]
- Felton, S.J.; Ramlogan, D. Spontaneous bruising overlying a subcutaneous swelling: Pleomorphic hyalinizing angiectatic tumor, a relatively new entity of intermediate malignancy. Int. J. Dermatol. 2015, 54, 204–206. [Google Scholar] [CrossRef]
- Morency, E.; Laskin, W.; Lin, X. Cytologic and histologic features of pleomorphic undifferentiated sarcoma arising in a hybrid hemosiderotic fibrolipomatous tumor and pleomorphic hyalinizing angiectatic tumor: Report of an unusual case with a literature review. Acta Cytol. 2015, 59, 493–497. [Google Scholar] [CrossRef]
- Brazio, P.S.; Morrison, A.L.; Oh, M.; Goldberg, N.; Boutros, C.N. Large pleomorphic hyalinizing angiectatic tumor of the forearm: A multidisciplinary perspective. Surgery 2016, 159, 1471–1473. [Google Scholar] [CrossRef] [PubMed]
- Kane, P.M.; Gaspar, M.P.; Whiting, B.B.; Culp, R.W. Pleomorphic Hyalinizing Angiectatic Tumor Arising in the Hand: A Case Report. Hand 2016, 11, NP20–NP23. [Google Scholar] [CrossRef] [PubMed]
- Chu, Z.G.; Liu, M.Q.; Zhu, Z.Y.; Lv, F.J.; Ouyang, Y. Pelvic retroperitoneal pleomorphic hyalinizing angiectatic tumor (PHAT) of soft tissue: A case report. BMC Med. Imaging 2016, 16, 28. [Google Scholar] [CrossRef] [PubMed]
- Chalmeti, A.; Arakeri, S.U.; Javalgi, A.P.; Goyal, S. Pleomorphic Hyalinizing Angiectatic Tumour: A Rare Case Report and Discussion of Differential Diagnosis. J. Clin. Diagn. Res. 2017, 11, ED15–ED16. [Google Scholar] [CrossRef] [PubMed]
- Scalici Gesolfo, C.; Serretta, V.; Di Maida, F.; Giannone, G.; Barresi, E.; Franco, V.; Montironi, R. Clinical implications of a rare renal entity: Pleomorphic Hyalinizing Angiectatic Tumor (PHAT). Pathol. Res. Pract. 2017, 213, 165–169. [Google Scholar] [CrossRef][Green Version]
- Jaramillo, C.J.; Wojcik, J.; Weber, K.; Sebro, R. Imaging and histological appearance of pleomorphic hyalinizing angiectatic tumors: A case series and literature review. Oncol. Lett. 2018, 15, 4720–4730. [Google Scholar] [CrossRef]
- Szep, Z.; Majernikova, A.; Rychly, B.; Majtan, J. Pleomorphic hyalinizing angiectatic tumor of soft parts with unusual lipoma-like clinical morphology. Indian J. Dermatol. Venereol. Leprol. 2018, 84, 619–621. [Google Scholar]
- Balasubiramaniyan, V.; Muduly, D.; Samal, S.; Kar, M.; Sultania, M.; Patra, S.; Das, P.K. Pleomorphic hyalinizing angiectatic tumor of the mesorectum: A rare case and review of literature. Autops. Case Rep. 2019, 9, e2019097. [Google Scholar] [CrossRef]
- Kökoğlu, K.; Gülmez, E.; Çağlı, S.; Yüce, I.; Deniz, K. Pleomorphic hyalinizing angiectatic tumor in the oral cavity: Report of a rare case. J. Stomatol. Oral Maxillofac. Surg. 2020, 121, 189–191. [Google Scholar] [CrossRef]
- Rush, A.J.; Patel, P.D.; Shemesh, S.; Subhawong, T.K.; Pretell-Mazzini, J. Treatment modalities and outcomes of pleomorphic hyalinizing angiectatic tumor: A systematic review of the literature. Musculoskelet. Surg. 2018, 102, 213–221. [Google Scholar] [CrossRef]


| Author | Year | Number of pts | Gender | Average Age | Localization |
|---|---|---|---|---|---|
| Silverman, J.S. [7] | 1997 | 1 | F | 59 | Right foot |
| Fukunaga, M. [6] | 1997 | 1 | M | 58 | Axils |
| Gallo, C. [8] | 1997 | 1 | F | 80 | Right popliteal fossa |
| Groisman, G.M. [9] | 2000 | 2 | 2 F | 43 | Lower extremities |
| Matsumoto, K. [10] | 2002 | 1 | F | 83 | Left thigh |
| Iwamoto, C.A. [11] | 2003 | 1 | F | 49 | Axils |
| Folpe, A. [12] | 2004 | 40 | 22 F; 18 M | 53 | ankle/foot (n 15), leg (n 10), thigh (n 6), other (n 9) |
| Fujiwara, M. [13] | 2004 | 1 | M | 69 | Back |
| Lee, J.C. [14] | 2005 | 1 | M | 63 | Right breast |
| Luzar, B. [15] | 2006 | 1 | F | 47 | Ankle region |
| Capovilla, M. [16] | 2006 | 1 | M | 66 | Right buttock |
| El-Tal, A.E. [17] | 2006 | 1 | F | 60 | Right foot |
| Kazakov, D.V. [18] | 2007 | 1 | F | 76 | Axilla |
| Ke, Q. [19] | 2007 | 9 | 5 F; 4 M | 46 | Lower extremities (n 2), inguinal (n 2), waist (n 1), forearm (n 1), buttock (n 1), foot (n 1), chest wall (n 1) |
| Jaggon, J.R. [20] | 2007 | 1 | F | 77 | Left loin |
| Tallarigo, F. [21] | 2009 | 1 | M | 75 | Breast |
| Peng, H.C. [5] | 2010 | 1 | M | 49 | Right buttock |
| Cimino-Matthews, A. [22] | 2010 | 1 | M | 46 | Right calf |
| Parameshwarappa, S. [23] | 2010 | 1 | F | 65 | Upper limb |
| Illueca, C. [24] | 2012 | 2 | 2 F | 51 | Back and eyelid |
| Choong, M.Y. [4] | 2012 | 1 | M | 53 | Inguinal area |
| Subhawong, T.K. [25] | 2012 | 3 | 2 F; 1 M | 51 | Lower extremities (n 2), upper extremity (n 1) |
| Wei, S. [26] | 2012 | 1 | F | 37 | Back |
| Idrees, M.T. [27] | 2012 | 1 | F | 72 | Renal hilum |
| Rekhi, B. [28] | 2013 | 1 | F | 63 | Lower leg |
| Kuang, P. [29] | 2013 | 1 | F | 35 | Neck |
| Changchien, Y.C. [3] | 2014 | 1 | M | 76 | Upper arm |
| Felton, S.J. [30] | 2015 | 1 | M | 61 | Back |
| Morency, E. [31] | 2015 | 1 | F | 55 | Dorsum of foot |
| Brazio, P.S. [32] | 2016 | 1 | F | 22 | Forearm |
| Kane, P.M. [33] | 2016 | 1 | M | 35 | Hand |
| Chu, Z.G. [34] | 2017 | 1 | F | 26 | Retroperitoneal |
| Chalmeti, A. [35] | 2017 | 1 | M | 50 | Left calf region |
| Scalici Gesolfo, C. [36] | 2017 | 1 | F | 61 | Kidney |
| Jaramillo, C.J. [37] | 2018 | 2 | 2 M | 50, 72 | Right buttock (n 2) |
| Szep, Z. [38] | 2019 | 1 | M | 63 | Left crura |
| Balasubiramaniyan, V. [39] | 2019 | 1 | F | 30 | Mesorectum |
| Kökoğlu, K. [40] | 2020 | 1 | F | 33 | Oral cavity |
Publisher’s Note: MDPI stays neutral with regard to jurisdictional claims in published maps and institutional affiliations. |
© 2021 by the authors. Licensee MDPI, Basel, Switzerland. This article is an open access article distributed under the terms and conditions of the Creative Commons Attribution (CC BY) license (https://creativecommons.org/licenses/by/4.0/).
Share and Cite
Cazzato, G.; Colagrande, A.; Cimmino, A.; Lettini, T.; Savino, M.T.; Martella, C.; Ingravallo, G.; Resta, L. Pleomorphic Hyalinizing Angiectatic Tumor (PHAT): Review of the Literature with Case Presentation. Dermatopathology 2021, 8, 97-102. https://doi.org/10.3390/dermatopathology8020015
Cazzato G, Colagrande A, Cimmino A, Lettini T, Savino MT, Martella C, Ingravallo G, Resta L. Pleomorphic Hyalinizing Angiectatic Tumor (PHAT): Review of the Literature with Case Presentation. Dermatopathology. 2021; 8(2):97-102. https://doi.org/10.3390/dermatopathology8020015
Chicago/Turabian StyleCazzato, Gerardo, Anna Colagrande, Antonietta Cimmino, Teresa Lettini, Maria Teresa Savino, Carmen Martella, Giuseppe Ingravallo, and Leonardo Resta. 2021. "Pleomorphic Hyalinizing Angiectatic Tumor (PHAT): Review of the Literature with Case Presentation" Dermatopathology 8, no. 2: 97-102. https://doi.org/10.3390/dermatopathology8020015
APA StyleCazzato, G., Colagrande, A., Cimmino, A., Lettini, T., Savino, M. T., Martella, C., Ingravallo, G., & Resta, L. (2021). Pleomorphic Hyalinizing Angiectatic Tumor (PHAT): Review of the Literature with Case Presentation. Dermatopathology, 8(2), 97-102. https://doi.org/10.3390/dermatopathology8020015

