Abstract
Introduction: Hafnia alvei is an enterobacteria that is a common inhabitant of the gastrointestinal flora of bees, birds, fish, and mammals. In humans this enterobacteria has been recovered from the oropharynx and the gastrointestinal tract but it has been rarely reported as a pathogen and usually identified as hospital-acquired enterobacteria. Case report: We describe a case of a 57-year-old woman, previously healthy, with a 7-day history of cough with brown sputum, sudden onset of chills, subjective fever, malaise, and pleuritic pain in the right hemithorax. A diagnosis of community-acquired pneumonia (CAP) was suspected and empiric antibiotic treatment was started. However, the patient showed no response and developed hemoptysis. A diagnosis of CAP by Hafnia alvei was confirmed with bronchoalveolar lavage and the patient was treated with i.v. cefepime 2 g TID with a good response. Conclusions: We presented a case of community-acquired pneumonia by Hafnia alvei in a previously healthy patient that, as far as our knowledge reaches, is the third reported case of CAP secondary to this pathogen.
Introduction
Hafnia alvei is an enterobacteria initially described in 1919 by Dr. Bahr who described a bacillus that affected bees, but not laboratory mice or pygmy pigs. Later, Møller in 1954 characterized the group of enteric bacteria and gave them the name of the genus Hafnia. Etymologically “alvei” comes from the Latin word “alveus” which means hive, and it was modified to “alvei” that translates into “beehive”. The genus name “Hafnia” originates from the name Havn of the city of Copenhagen [1].
Before 2010, the Hafnia genus was a genotypically heterogeneous group in which H. alvei was the unique Hafnia species. However, thanks to DNA hybridization and partial 16S rRNA gene sequencing, it was possible to recognize two hybridization groups and due to the techniques of complete genetic sequencing with 16S rRNA, a subdivision of the Hafnia genus into H. alvei and H. paralvei was established [2].
H. alvei is a Gram-negative facultatively anaerobic bacillus [2]. Although it has been initially collected from the intestine of bees, later studies documented that these bacteria are common inhabitants of the gastrointestinal flora of birds, fish, and mammals. They also have been recovered from food products including beef and pork, cheese, milk, and freshwater fish [1]. In humans this enterobacteria has been recovered from the oropharynx and the gastrointestinal tract but it has rarely been reported as a pathogen [1]. We report a case of community- acquired pneumonia by H. alvei in a healthy patient that, as far as our knowledge reaches, is the third such reported case [3,4,5,6].
Case Report
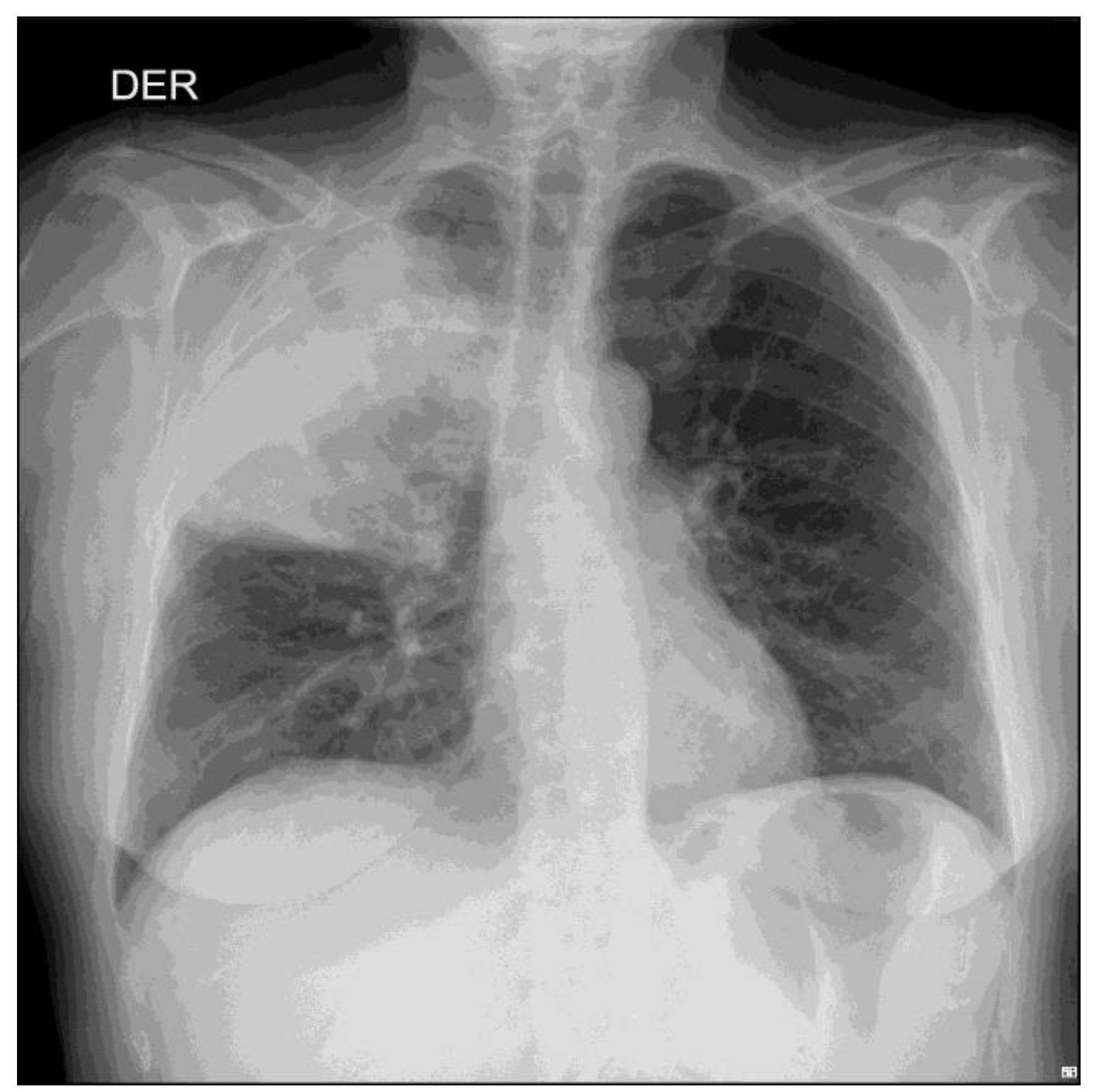
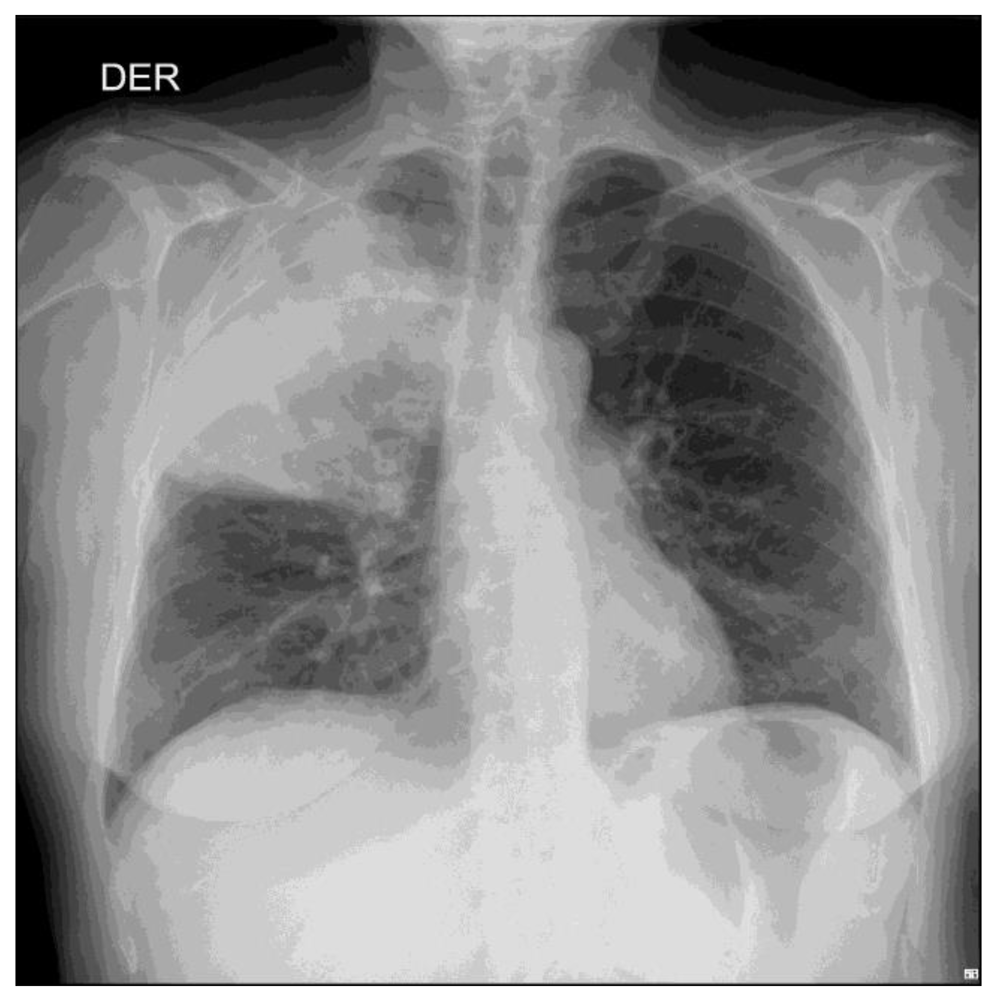
A 57-year-old woman, previously healthy, presented with a 7-day history of cough with brown sputum, sudden onset of chills, subjective fever, malaise and pleuritic pain in the right hemithorax. At admission, the patient was in poor general condition with tachycardia, fever, and tachypnea. Respiratory examination revealed bronchophony in the upper third of the right hemithorax. The initial investigations showed a high C-reactive protein (27.2 mg/dL), leukocytosis (26,700/mm3), neutrophilia (25,200/mm3) and a chest X-ray with a radiopaque image in the right upper lobe (Figure 1). A diagnosis of community-acquired pneumonia was considered, and intravenous antibiotic therapy was started with i.v. clarithromycin 500 mg BID and i.v. ampicillin- sulbactam 3 g QID.
Figure 1.
Chest radiograph with right apical radiopacity.
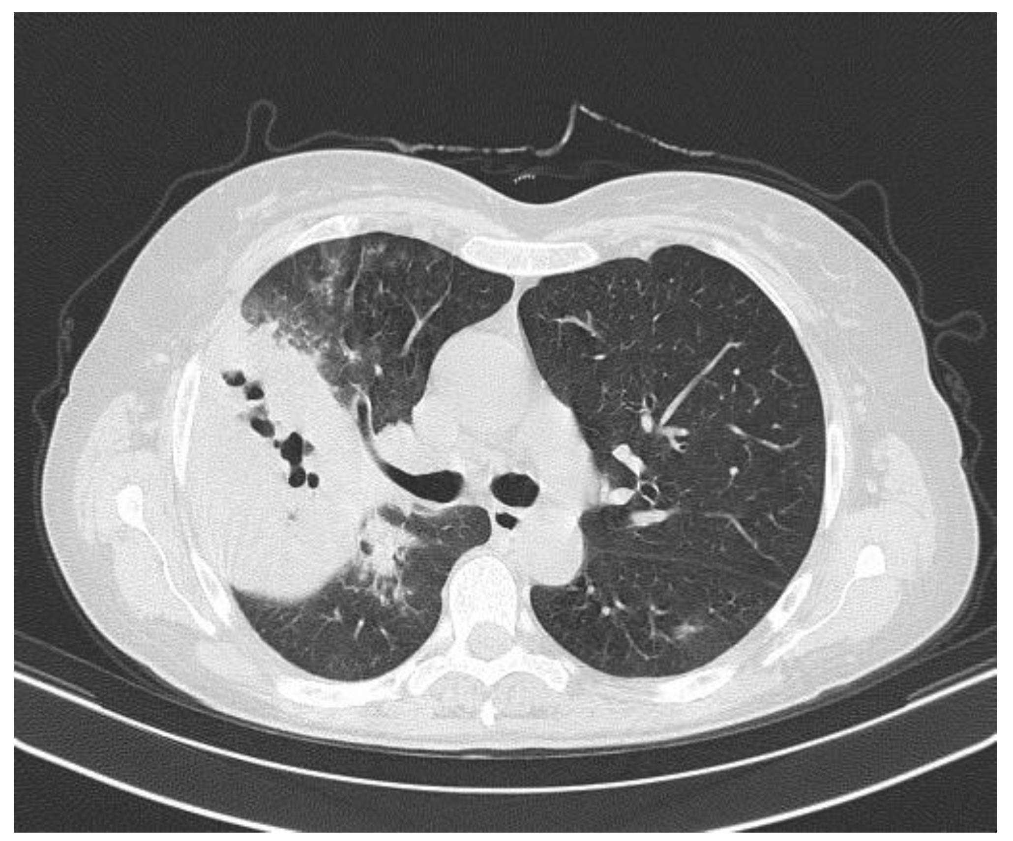
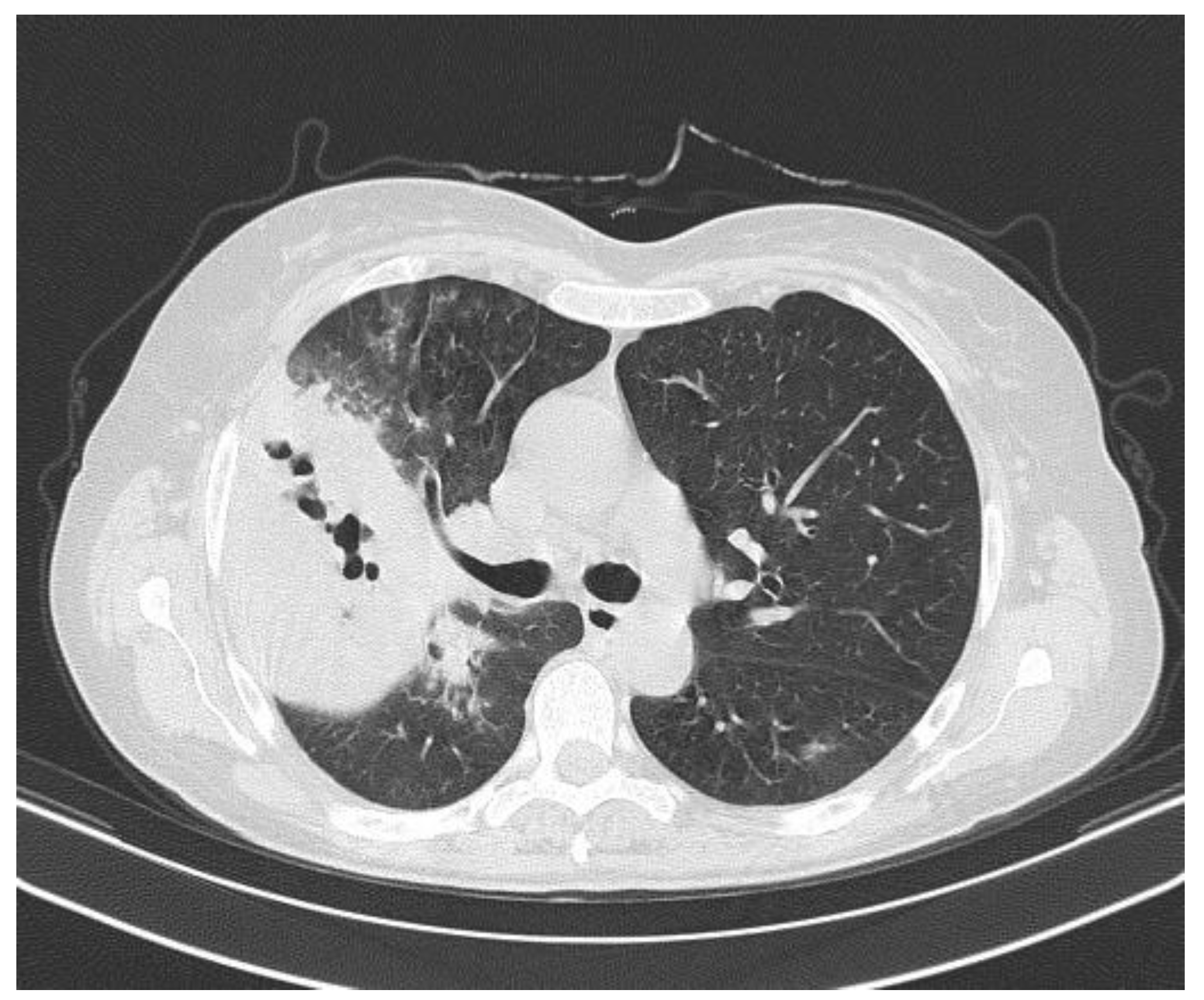
However, the patient showed no response after 2 days of therapy and developed hemoptysis. For this reason, the antibiotic treatment was shifted to i.v. piperacillin-tazobactam 4.5 g QID. A computed tomographic scan of the chest revealed an extensive area of consolidation with diffuse cavitation in the right upper lobe (Figure 2).
Figure 2.
Computed tomographic scan of the chest revealed extensive areas of pulmonary necrosis with diffuse cavitation in the right upper lobe.
Bronchoalveolar lavage confirmed growth of H. alvei using Vitek® 2 XL (bioMérieux, France) capable of distinguishing between H. alvei and H. paralvei. The antibiotic susceptibility testing according to the Clinical and Laboratory Standards Institute (CLSI) identified resistance to cefoxitin, ampicillin-sulbactam, and piperacillin- tazobactam, which suggested the presence of an AmpC beta-lactamase. Because of this, the patient was treated with i.v. cefepime 2 g TID. No other infectious agents were identified. After the antibiotic adjustment the patient`s evolution was favorable. The patient was discharged after 4 weeks of antibiotic treatment. The patient remains with follow up by the infectious disease specialist.
Discussion
H. alvei is an enterobacteria that has been recovered from samples of the respiratory and gastrointestinal tract of humans, but it has rarely been reported as a pathogenic organism and is usually considered a colonizing enterobacteria.
However, its role as a pathogenic organism was documented in 1967 by Dr. Jennis and later in 1969 by Dr. Englund [1,7]. It is important to mention that some H. alvei strains produce low- level inducible cephalosporinases and high-level constitutive cephalosporinases. These enzymes are chromosomally encoded cephalosporinases belonging to Bush group 1 β-lactamases (Ambler class C) [1] and this explains why our patient did not respond to the initial antibiotic treatment.
In 1970, in the study carried out at the Mayo Clinic by Washington et al., information on H. alvei isolates was collected over 2 years. Overall, 17 isolates were found, of which only 5 were the cause of the infection of the patients. Of these cases, only 2 cases were patients with pneumonia. However, in this case series it was considered that all H. alvei isolates were hospital acquired [4].
Subsequently, in 1998 a case series with 61 patients and 80 isolates, reported that only 6 isolates were the cause of the infectious process and only one case corresponded to pneumonia. Nevertheless, 3 of them were acquired in the hospital and the other 3 probably acquired in the community. Still, the same study reports that this last statement was difficult to confirm. The authors do not specify whether the case of pneumonia was acquired in the hospital or not [8].
As it was observed in the series of cases mentioned previously, the presence of H. alvei was mainly as a colonizing enterobacteria. However, these studies also showed that those patients who had a Hafnia infection were patients with chronic comorbidities such as hematologic malignancies, chronic lung diseases or patients with a history of trauma or a recent surgical procedure [1].
Regarding the cases of pneumonia due to H. alvei, the study by Washington et al. only reported two cases and both were hospital- acquired with fatal outcomes [4]. The study by Klapholsz et al. only reported one case of hospital-acquired pneumonia with a fatal outcome. The same study reported that most patients with H. alvei isolated in orotracheal secretions were patients with some comorbidity such as chronic obstructive pulmonary disease (COPD) [3]. Subsequently, a retrospective study conducted between 2007 and 2013, which sought to determine whether the pathogen characterization was an independent determinant of readmission in patients with pneumonia, reported 8 cases of pneumonia due to H. alvei. Nonetheless, the authors did not mention whether the cases were community-acquired or hospital-acquired [9].
It is important to mention that despite most cases were reported as hospital-acquired, the possible origin of the infection was not well established [9,10,11,12]. Possible transmission mechanisms could involve transmission by contaminated hands of the healthcare workers or transmission by food due to contaminated food. Another possible mechanism could be an opportunistic infection in a morbid patient that was already colonized by the pathogen. However, this aspect is beyond the scope of this case report.
An important question arises on whether this enterobacterium can be a pathogen of community-acquired pneumonia since the orotracheal secretion is the second most common place in which it is isolated [1]. Certainly, an intriguing question but difficult to answer because we only managed to find two case reports of pneumonia acquired in the community by this pathogen; one in a 95-year-old patient with chronic renal disease and Bonnet syndrome and another case in a 58-year-old patient with COPD [5],6]. It is important to mention that both cases were in patients with chronic diseases, unlike our patient.
Conclusions
Despite the fact that this enterobacterium seems to be a common and harmless colonizing enterobacteria, when it becomes pathogenic it implies a high risk of mortality. We present this case to bring the attention towards this enterobacterium as an etiologic agent in community-acquired pneumonia since, although it has historically been considered as a colonizing agent of the respiratory tract, it can also be pathogenic and it has been associated with a high risk of death in patients with comorbidities.
Funding
None to declare.
Consent
Written informed consent was obtained from the patient for the publication of this case report and the accompanying images. Ethics approval is not required for case reports at our institution.
Authors’ Contributions Statement
All authors contributed to study conception and design, acquisition of data, analysis and interpretation of data, drafting of manuscript, critical revision. All authors read and approve the final version of the manuscript.
Conflicts of Interest
All authors—none to declare.
References
- Janda, J.M.; Abbott, S.L. The genus Hafnia: From soup to nuts. Clin. Microbiol. Rev. 2006, 19, 12–18. [Google Scholar] [CrossRef] [PubMed]
- Ramos-Vivas, J. Microbiologa de Hafnia alvei. Enferm. Infecc. Microbiol. Clin. (Engl. Ed.) 2020, 38 Suppl 1, 1–6. [Google Scholar] [CrossRef]
- Klapholz, A.; Lessnau, K.-D.; Huang, B.; Talavera, W.; Boyle, J.F. Hafnia alvei. Chest 1994, 105, 1098–1100. [Google Scholar] [CrossRef] [PubMed]
- Washington, J.A.; Birk, R.J.; Ritts, R.E. Bacteriologic and epidemiologic characteristics of Enterobacter hafniae and Enterobacter liquefaciens. J. Infect. Dis. 1971, 124, 379–86. [Google Scholar] [CrossRef] [PubMed]
- Loya, M.K.; Walsh, J. A case of community acquired pneumonia caused by Hafnia alvei developing into an empyema. Chest. 2015, 148, 101A. [Google Scholar] [CrossRef]
- Englund, G.W. Persistent septicemia due to Hafnia alvei: Report of a case. Am. J. Clin. Pathol. 1969, 51, 717–719. [Google Scholar] [CrossRef] [PubMed]
- Günthard, H.; Pennekamp, A. Clinical Significance of Extraintestinal Hafnia alvei Isolates from 61 Patients and Review of the Literature. Clin. Infect. Dis. 1996, 22, 1040–1045. [Google Scholar] [CrossRef] [PubMed]
- Andruska, A.; Micek, S.T.; Shindo, Y.; Hampton, N.; Colona, B.; McCormick, S.; Kollef, M.H. Pneumonia pathogen characterization is an independent determinant of hospital readmission. Chest. 2015, 148, 103–111. [Google Scholar] [CrossRef] [PubMed]
- Karamanlı, H. A rare case of Hafnia alvei pneumonia presenting with chronic obstructive pulmonary disease. Turk. J. Thorac. Cardiovasc. Surg. 2017, 25, 308–311. [Google Scholar] [CrossRef]
- Rodríguez, M.R.M.; Pérez, M.A.M.; Frutos, M.D.M.; Sánchez, A.C.; Andreu, F.R.L.; Palao, J.S. Nosocomial pneumonia caused by Hafnia alvei. An. Med. Interna 2003, 20, 595–596. [Google Scholar] [CrossRef]
- Redondo, J.; Maseda, E.; Riquelme, A.; Alday, E.; Uña, R.; Criado, A. Hafnia alvei in a rare case of severe pneumonia in a post anesthesia recovery unit. Rev Esp Anestesiol Reanim. 2005, 52, 359–362. [Google Scholar] [PubMed]
- Galeas, F.J.; De la Torre, F.J.; Prada, J.L.; Del Arco, A. Pneumonia caused by Hafnia alvei in a patient infected with human immunodeficiency virus. Enferme. Infecc. Microbiol. Clin. 2001, 19, 41–42. [Google Scholar] [CrossRef]
© GERMS 2021.

