Hepatic Tuberculosis: Myriad of Hues
Abstract
Introduction
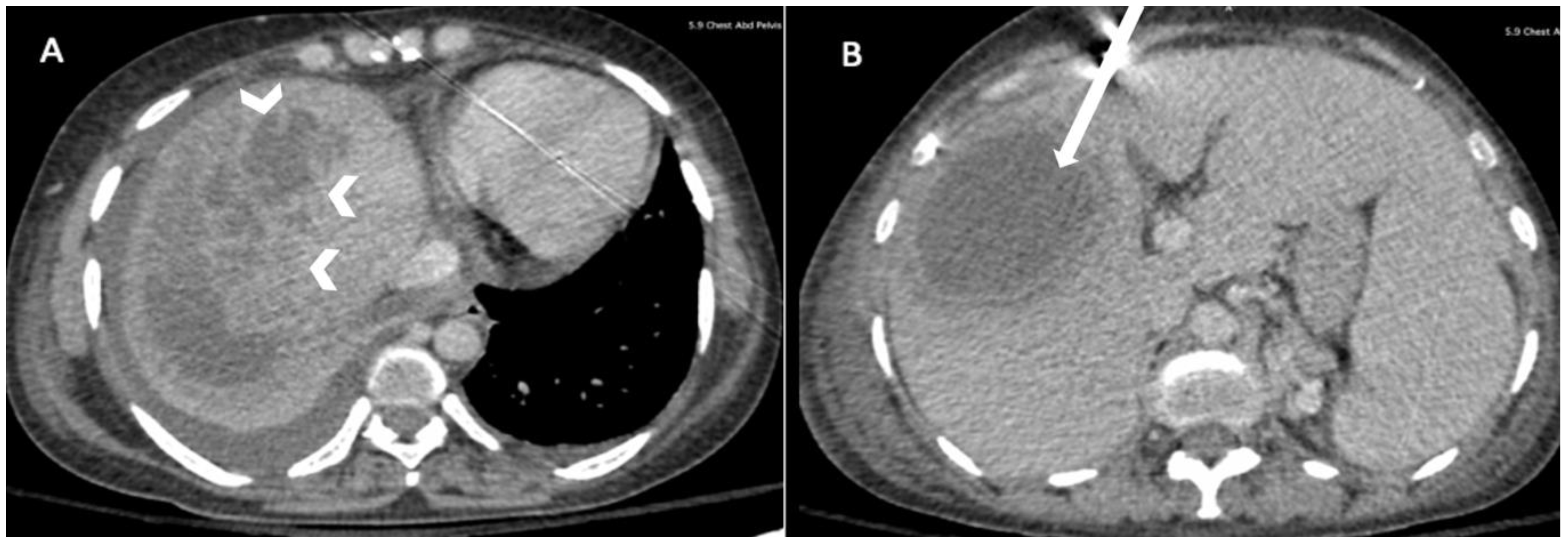
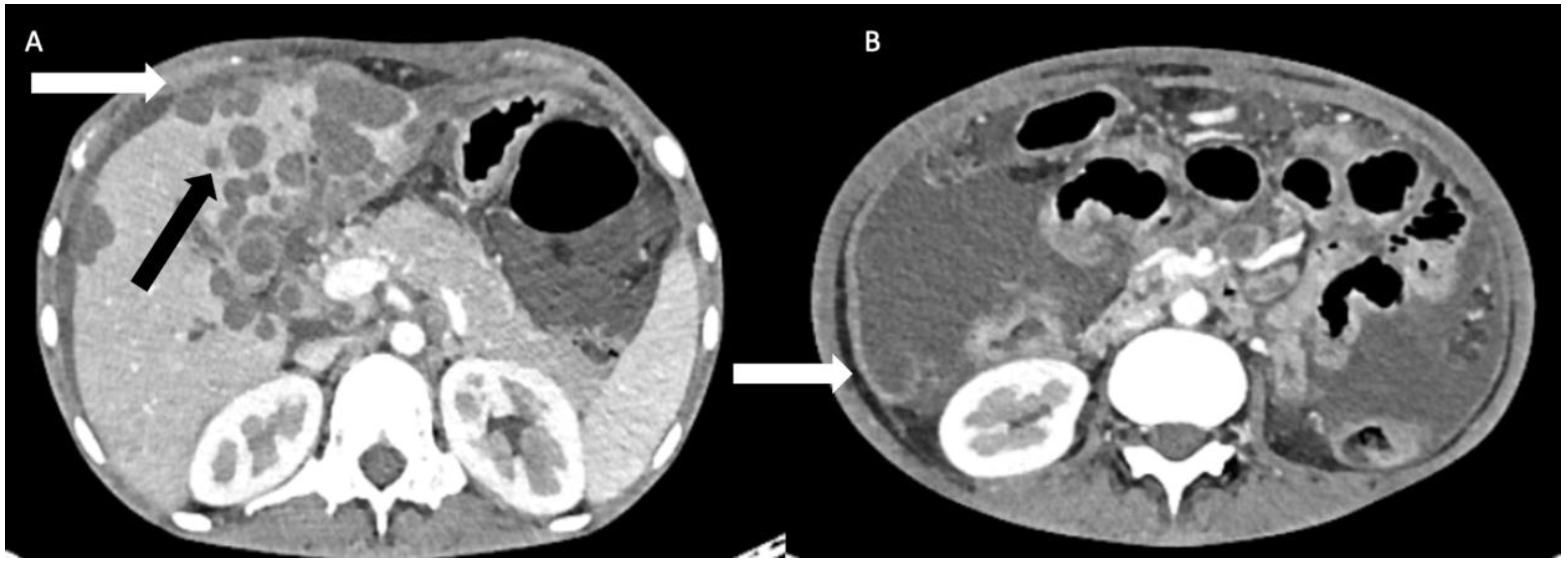
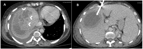
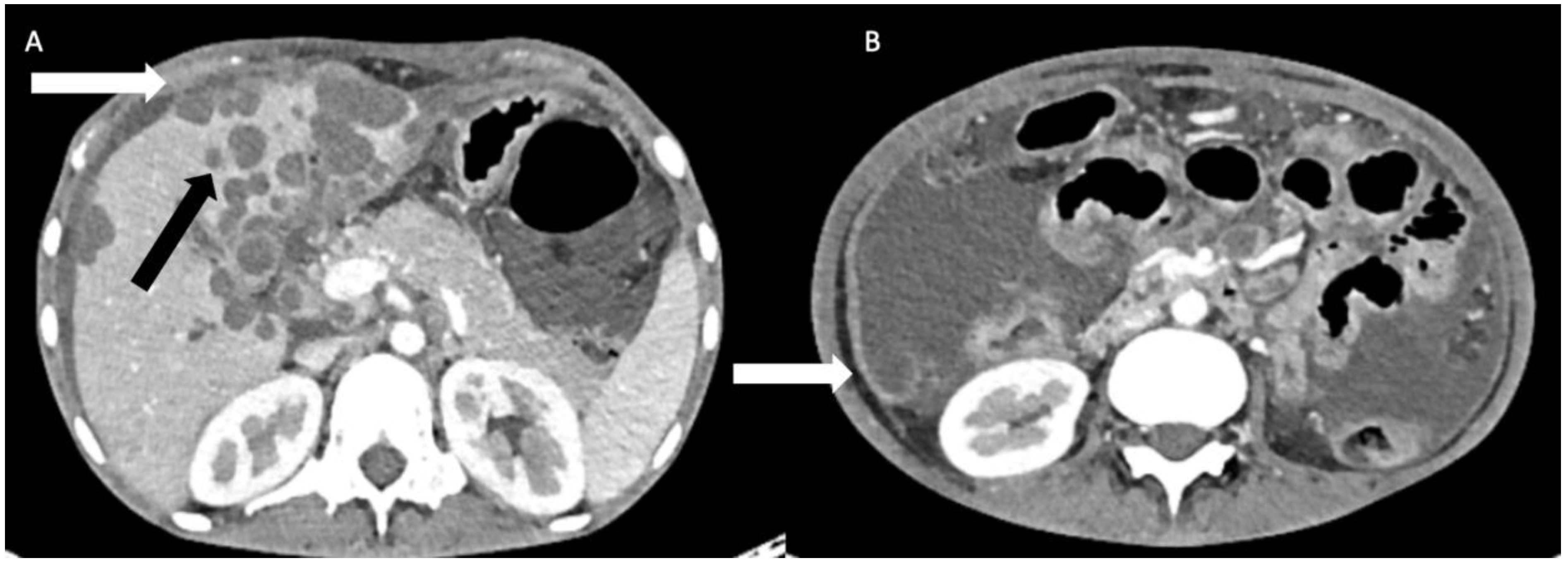
Case report
Discussion
Conclusions
Author Contributions
Funding
Informed Consent Statement
Conflicts of interest
References
- Goyal, P.; Shah, J.; Gupta, S.; Gupta, P.; Sharma, V. Imaging in discriminating intestinal tuberculosis and Crohn's disease: Past, present and the future. Expert Rev Gastroenterol Hepatol. 2019, 13, 995–1007. [Google Scholar] [CrossRef] [PubMed]
- Hickey, A.J.; Gounder, L.; Moosa, M.Y.; Drain, P.K. A systematic review of hepatic tuberculosis with considerations in human immunodeficiency virus co-infection. BMC Infect Dis. 2015, 15, 209. [Google Scholar] [CrossRef] [PubMed]
- Ozaras, R.; Yemisen, M.; Balkan, I.I. More on hepatic granulomas. Diagn Pathol. 2015, 10, 203. [Google Scholar] [CrossRef] [PubMed]
- Agarwala, R.; Dhooria, S.; Khaire, N.S.; et al. Xpert MTB/RIF for diagnosis of tubercular liver abscess. A case series. Infez Med. 2020, 28, 420–424. [Google Scholar] [PubMed]
- Sharma, K.; Gupta, N.; Goyal, K.; Duseja, A.K.; Sharma, A.; Rajwanshi, A. Evaluation of polymerase chain reaction in space-occupying lesions of liver reported as granulomatous inflammation/tuberculosis on fine-needle aspiration cytology. Cytojournal. 2017, 14, 1. [Google Scholar] [CrossRef] [PubMed]
- Culver, E.L.; Watkins, J.; Westbrook, R.H. Granulomas of the liver. Clin Liver Dis (Hoboken). 2016, 7, 92–96. [Google Scholar] [CrossRef] [PubMed]
- Sharma, V.; Bhatia, A.; Malik, S.; Singh, N.; Rana, S.S. Visceral scalloping on abdominal computed tomography due to abdominal tuberculosis. Ther Adv Infect Dis. 2017, 4, 3–9. [Google Scholar] [CrossRef] [PubMed]
- Yu, R.S.; Zhang, S.Z.; Wu, J.J.; Li, R.F. Imaging diagnosis of 12 patients with hepatic tuberculosis. World J Gastroenterol. 2004, 10, 1639–1642. [Google Scholar] [CrossRef] [PubMed]
- Sharma, V.; Soni, H.; Kumar, M.P.; et al. Diagnostic accuracy of the Xpert MTB/RIF assay for abdominal tuberculosis: A systematic review and meta-analysis. Expert Rev Anti Infect Ther. 2021, 19, 253–265. [Google Scholar] [CrossRef] [PubMed]


© GERMS 2021.
Share and Cite
Choudhury, A.; Shukla, J.; Mahajan, G.; Jha, D.K.; Gupta, P.; Sharma, V. Hepatic Tuberculosis: Myriad of Hues. Germs 2021, 11, 310-313. https://doi.org/10.18683/germs.2021.1266
Choudhury A, Shukla J, Mahajan G, Jha DK, Gupta P, Sharma V. Hepatic Tuberculosis: Myriad of Hues. Germs. 2021; 11(2):310-313. https://doi.org/10.18683/germs.2021.1266
Chicago/Turabian StyleChoudhury, Arup, Jayendra Shukla, Gaurav Mahajan, Day Krishna Jha, Pankaj Gupta, and Vishal Sharma. 2021. "Hepatic Tuberculosis: Myriad of Hues" Germs 11, no. 2: 310-313. https://doi.org/10.18683/germs.2021.1266
APA StyleChoudhury, A., Shukla, J., Mahajan, G., Jha, D. K., Gupta, P., & Sharma, V. (2021). Hepatic Tuberculosis: Myriad of Hues. Germs, 11(2), 310-313. https://doi.org/10.18683/germs.2021.1266
