Next Article in Journal
Effect of Air-Frying on the Bioactive Properties of Eggplant (Solanum melongena L.)
Next Article in Special Issue
Propylene Glycol Improves Stability of the Anti-Inflammatory Compounds in Scutellaria baicalensis Extract
Previous Article in Journal
Hydroxy-tyrosol as a Free Radical Scavenging Molecule in Polymeric Hydrogels Subjected to Gamma-Ray Irradiation
 
 
Font Type:
Arial Georgia Verdana
Font Size:
Aa Aa Aa
Line Spacing:
Column Width:
Background:
Article

Co-Treatment with Cefotaxime and High-Fructose Diet Inducing Nonalcoholic Fatty Liver Disease and Gut Microbial Dysbiosis in Mice

1
Graduate Institute of Veterinary Pathobiology, College of Veterinary Medicine, National Chung Hsing University, Taichung 400, Taiwan
2
Division of Animal Industry, Animal Technology Research Center, Agricultural Technology Research Institute, Xiangshan, Hsinchu 300, Taiwan
3
Department of Internal Medicine, College of Medicine, National Taiwan University, Taipei 222, Taiwan
4
Department of Exercise and Health Science, National Taipei University of Nursing and Health Sciences, Taipei 222, Taiwan
5
Graduate Institute of Metabolism and Obesity Sciences, College of Nutrition, Taipei Medical University, Taipei 222, Taiwan
6
Division of Neurosurgery, Department of Surgery, School of Medicine, College of Medicine, Taipei Medical University, Taipei 222, Taiwan
7
Graduate Institute of Sports Science, College of Exercise and Health Sciences, National Taiwan Sport University, Taoyuan 330, Taiwan
8
National Laboratory Animal Center, National Applied Research Laboratories, Taipei 222, Taiwan
*
Author to whom correspondence should be addressed.
These authors contributed equally to this work.
Processes 2021, 9(3), 434; https://doi.org/10.3390/pr9030434
Submission received: 23 December 2020 / Revised: 19 February 2021 / Accepted: 22 February 2021 / Published: 28 February 2021
(This article belongs to the Special Issue Innovative Application of Microbiology in Agriculture and Medicine)

Abstract

High fructose diet causes metabolic syndrome and induces host gut microbial dysbiosis and related obesity and nonalcoholic fatty liver disease (NAFLD). Several antibiotic treatments could prevent fatty liver. However, there are studies that have demonstrated that a high-fructose diet could influence the gut microbial dysbiosis and induce fatty liver. The purpose of this study was performed to partially modify the gut bacterial composition with a single cefotaxime treatment, which might affect the fructose-induced NAFLD severity. The C57BL/6JNarl male mice were divided into four groups including vehicle/chow diet (VE-CD), vehicle/high-fructose diet (VE-FD), antibiotic (cefotaxime (CF))/CD, and CF/FD. The results showed that body weight gain, moderate hepatic steatosis severity, epididymal white adipose tissue hypertrophy, and insulin resistance occurrence with NAFLD-related symptoms were observed only in the CF-FD group. The raised protein expression of hepatic lipogenesis was observed in the CF-FD group, but lipolysis protein expression was no difference. The diversity and composition of microbiota were significantly reduced in the CF-FD group. The Erysipelatoclostridium, Enterobacteriaceae, Lachnospiraceae, and Escherichia Shigella were in increased abundance in the feces of CF-FD group compared with VE-FD group. The novel model reveals that particular antibiotics such as cefotaxime co-treatment with high-fructose diet may affect the gut microbiota accelerating the NAFLD and obesity.

1. Introduction

Fructose is a type of ketonic monosaccharide present in various plants and fruits; it is the sweetest structure among all naturally occurring carbohydrates. Consequently, fructose is the most commonly added sugar in sweetened beverages, usually in the form of high-fructose corn syrup, which is a mixture of monosaccharides including glucose and fructose. High fructose consumption is considered an indicator of Western diets; however, it induces metabolic syndrome in gut microbial dysbiosis. During 1977–1978, the fructose consumption increased from 8% to 10.2% of the total calorie intake (37 g/d to 54.7 g/d). Among adolescents, the consumption of fructose was the highest, increasing up to 12.1% of the total calorie intake (72.8 g/d). In an epidemiological study, data from the US population were analyzed; these data were collected during the period from 1988 to 1994, for 21,483 adults and children. Furthermore, over 10% of the Americans’ daily calories originate from fructose [1]. The high fructose consumption is associated with diseases including nonalcoholic fatty liver disease (NAFLD), type 2 diabetes mellitus (T2DM), and metabolic syndrome [2,3,4].
The constituents of a diet are considered to have indirect effects, which can be mediated by gut microbiota. Digested food effects the function, community, and structure of the gut microbiota that can improve or deteriorate the host’s health. Intakes of fructose is specifically linked to gut flora dysbiosis [5,6], which suggests that the fatty liver could be mediated by some gut microbiome [4,7,8]. Xue et al. reported showed that the critical microbial products lipopolysaccharides (LPS) are involved in the pathogenesis of NAFLD [9]. LPS (also referred to as endotoxin) is derived from the outer membrane of gram-negative bacteria. It significantly contributes to the inflammatory processes and insulin resistance [10]. LPS can increase the permeability of the gastrointestinal mucosa through leaky tight junctions and infiltrating chylomicrons [11]. Recent studies have linked NAFLD to dysbiosis of the gut bacterial composition. The healthy individuals and patients with NAFLD have different microbial composition. [12].
Cefotaxime (a third-generation antibiotic) is a β-lactam antibiotic and broad-spectrum antibiotic against numerous bacteria. The last step of peptidoglycan synthesis in bacterial cell walls is inhibited by β-lactams, thus inhibiting cell wall biosynthesis. Bacteria lysis occurs, owing to the presence of cell wall autolytic enzymes, in the absence of cell wall assembly. Furthermore, cefotaxime is not active against a few organisms, including Enterococcus and Pseudomonas. It has a moderate activity against anaerobic bacteria such as Bacteroides fragilis [13]. The abovementioned results indicate that cefotaxime does not fully deplete the gut microbial. The effect of the remnants’ gut microbiota in fructose-induced NAFLD remains unclear.
Recent research has elucidated the effect of gut bacteria in the regulation of energy homeostasis and found it is associated with many metabolic diseases such as obesity, T2DM, and NAFLD [14,15,16]. These experiments usually combine multiple antibiotics to observe the effects of changes in intestinal microbiota. Therefore, this study was conducted to determine the effects of co-treatment with single antibiotic (cefotaxime) and high fructose diet on the severity of NAFLD to investigate and report on the involvement of gut microbiota in these mechanisms. We used this novel animal model to focus on the differences in diversity and composition of gut microbiota in each group, which may have a regulatory role in physiological activities.

2. Materials and Methods

2.1. Design of Animal Experiments

Forty specific-pathogen-free C57BL/6JNarl male mice were used in the study (7–8 weeks old). The mice were purchased from the National Laboratory Animal Center (Taipei, Taiwan). They were maintained in a vinyl isolator with a light/dark cycle (12/12 h), room temperature of 21 ± 1 °C and humidity of 55–65%. The mice were maintained on a standard rodent diet and were given sterile water to drink ad libitum for an acclimation period of one week. The mice were then divided into four groups (n = 8, respectively): vehicle (VE) + chow diet (CD, LabDiet 5010) (VE-CD), cefotaxime (CF) + chow diet (CF-CD), vehicle + high-fructose diet (FD) (66% of calories, D11707R) (VE-FD), and cefotaxime + high-fructose diet (CF-FD). The mice were administered by oral gavage of vehicle (saline) or antibiotic treatment (cefotaxime: 300 mg/kg) for 10 days and were then fed with either a standard chow or high-fructose diet. Finally, the mice were sacrificed by 95% CO2 asphyxiation and blood was withdrawn by cardiac puncture.
A part of the liver and epididymal fat pad tissues were removed and fixed in 10% neutral buffered formalin for histopathologic analysis and immunohistochemistry staining. A part of the liver tissues used for Oil Red O staining was fixed by a tissue-embedding medium compound (Tissue-Tek O.C.T. Compound, Sakura Finetek, CA USA), quickly frozen in a hexane environment with dry ice and acetone, and then stored at −80 °C. A part of the liver tissue was frozen in liquid Nitrogen and stored at −80 °C until it was used for liver triglyceride, protein, and messenger ribonucleic acid (mRNA) analysis.

2.2. Cefotaxime Treatment

The cefotaxime treatment was administered in saline by daily oral gavage (300 mg/kg) for 10 days. Cefotaxime was chosen because of the broad spectrum of activity and because it is used for various infections. In addition, the absorption of cefotaxime is poorly; thus, there were no systemic effects.

2.3. Ethics of Animal Use in Research

All procedures were conducted with the approval and under the supervision of the Institutional Animal Care and Use Committee (IACUC) at the National Laboratory Animal Center. The approval number of this study is IACUC2015M02.

2.4. Clinical Biochemistry

At the end of study, all mice were fasted for 6 h and sacrificed with CO2 asphyxiation. Blood was collected into 1.5 mL microfuge tubes by cardiac puncture. These blood samples were centrifuged at 3000× g for 10 min. Serum was immediately stored at −80 °C until analysis of aspartate aminotransferase (AST), alanine aminotransferase (ALT), total cholesterol (T-CHO), triglyceride (TG), high density lipoprotein (HDL), non-HDL, and blood glucose (GLU). The clinical biochemistry items were determined by an automated chemistry analyzer (Hitachi 7080).

2.5. Liver Triglyceride Determination

The samples of liver weighed approximately 50 mg and were homogeneous. Hepatic triglyceride (TG) levels were determined in liver tissues from each sample by triglyceride colorimetric assay kit (Cayman, Item No. 10010303). The principle of the TG assays kit is to determine the decomposition of triglycerides into glycerol and free fatty acids. The glycerol released is subsequently measured by a coupled enzymatic reaction system. The assays were performed in accordance with the manufacturer’s protocol and followed with the previous report [17].

2.6. Endotoxin Assay

Serum specimens were collected in a nonpyrogenic tube. The endotoxin assay was performed in accordance with manufacturer’s instruction for the endotoxin detection kit. (Associates of Cape Cod, item No. C1500-5).

2.7. Adipokine Assay

The adipokine level responses (IL-6, TNF-α, insulin, leptin, and resistin) from the serum were detected using a high-sensitivity mouse serum adipokine immunoassay kit (Millipore, Billerica, MA, USA). The assays were performed in accordance with the manufacture instruction protocol by Luminex Technology.

2.8. Oil Red O Stain

The frozen hepatic tissue was sectioned at 4 μm, used with freezing microtome cryostat (Leica CM3050S, Leica Microsystems, Germany), and processed for lipid droplets examination using Oil Red O staining. These slides were fixed with 10% neutral buffered formalin (NBF) for 10 min. The slides were placed in 100% 1,2-propanediol for 10 min and incubated with 60% Oil Red O working solution for 7 min, and then the tissue section was differentiated in 85% 1,2-propanediol mixture for 3 min. Finally, counterstained slides were placed in hematoxylin for 30 s.

2.9. Insulin Resistance Indicator: Homeostasis Model Assessment of Insulin Resistance (HOMA-IR)

HOMA-IR was calculated as (fasting glucose level × fasting insulin level)/22.5.

2.10. Histopathologic Evaluation

Tissue samples were fixed in 10% NBF, and then subsequently dehydrated and embedded in paraffin. The liver sections were cut into 4 μm and stained with hematoxylin–eosin (H&E) for a histopathologic evaluation. The liver steatosis score was performed as described by Dixon et al. [18]. These slides of liver were incubated with a 0.1% Sirius red solution for 1 h, washed in 0.1N hydrogen chloride solution, dehydrated, and mounted with DPX Mounting for a fibrosis evaluation. The stage of fibrosis was scored based on the 5-point scale proposed by Kleiner et al. [19]. All slides were reviewed by a veterinarian.

2.11. Immunohistochemistry Staining for CD68

The paraffin of liver sections (4 μm) was completely removed by xylene and ethanol, and blocked endogenous peroxidases by 3% hydrogen peroxide. These slides were submerged in a 10-mM citrate buffer (pH = 6.0) until boiling for antigen retrieval. Then the slides were incubated with the primary anti-CD68 antibody (ab125212, Abcam, Cambridge, UK) at 4 °C overnight. Subsequently, slides were stained with a PictureTM HRP Polymer conjugate (87-8963, Invitrogen, Carlsbad, CA, USA) at room temperature for 20 min. The horseradish peroxidase localization was visualized using a 3-amino-9-ethylcarbazole substrate-chromogen kit (K3461, Dako, Glostrup, Denmark).

2.12. Western Blot Analysis

The hepatic proteins were extracted by T-PER™ Tissue Protein Extraction Reagent (Pierce, Rockford, IL). The homogeneous lysates were centrifuged at 10,000× g at 4 °C for 15 min and supernatants were collected. Equal amounts of protein were loaded at 4–12% bis-tris sodium dodecyl sulfate polyacrylamide gel electrophoresis. Protein samples were transferred to nitrocellulose membranes by electroblotting. Primary antibodies (fatty acid synthase (FAS), phosphorylation of acetyl CoA carboxylase (pACC), GAPDH) were diluted and incubated with blot membrane at 4 °C overnight. The membranes were further incubated with secondary antibodies at room temperature for 1 h. Proteins were detected using an enhanced chemiluminescence reagent (Millipore, Billerica, MA, USA). The amount of protein expression was corrected using GAPDH internal control. The protein expression was quantified by the open-source software ImageJ (version 1.51).

2.13. Analysis of the Gut Microbiota Composition

Stool samples were collected as well as and were stored at −80 °C. DNA was extracted by the QIAamp Fast DNA Stool Mini Kit (#51604, QIAGEN). Subsequently, PCR was used to amplify the V3-V4 regions of the 16S ribosomal DNA (rDNA), and these amplicons were sequenced on the MiSeq platform (Illumina, San Diego, CA, USA). The raw data were processed including filtering and clustering with 97% similarity through the QIIME2 pipeline to form an operational taxonomic unit (OTU). The OTUs were annotated as taxonomic units using the SILVA database. The α-diversity and β-diversity were calculated using software R. The annotated OTUs were submitted to the LEfSe online tool to find the biomarker between our experiment groups.

2.14. Statistical Analysis

All the data were presented as mean ± SD. The GraphPad Prism software (version 6.0) was used to analyze differences among groups. The Mann–Whitney U test analyzed the differences between groups and one-way ANOVA (analysis of variance) was used for multiple comparisons. The statistical significance was set at p < 0.05.

3. Results

3.1. Mice Treated with Cefotaxime: Body, Liver, and Fat Pad Weight Increases under High-Fructose Feeding

The CF-FD group gained more body weight than the VE-FD group and developed obesity. In Table 1, it shows that the terminal body weight of the dietary intervention was 35.2 ± 3.4 g for the CF-FD group and 26.1 ± 1.7 g for the VE-FD group (p < 0.05). The body weight gain percentage of the CF-FD group was significantly more increased compared to that of the VE-FD group from week 2 to week 16 (Figure 1). Moreover, the liver weight was significantly increased in the CF-FD group than in the VE-FD group. The masses of epididymal white adipose tissue (eWAT), inguinal subcutaneous WAT (iWAT), perinephric WAT (pWAT), and total measurement WAT were significantly larger in the CF-FD group than in the VE-FD group (Table 1). The mean adipocyte size of epididymal white adipose tissue (eWAT) was significantly larger in the CF-FD group than in the VE-FD group (Supplemental Figure S1). The terminal body weight, liver weight, epididymal fat weight, subcutaneous fat weight, perirenal fat weight, and total fat weight were not significantly different between the CF-CD and VE-CD groups. The daily food intake converted to calories was significantly increased in the CD groups than with the FD groups (Figure 1D).

3.2. Cefotaxime Treatment Inducing Higher Metabolic Parameters under High-Fructose Feeding

In the CF-FD group, the serum insulin level was significantly increased compared to other groups. The serum insulin levels were increased more than 2.2 times in the CF-FD mice compared to those in the VE-FD mice (Figure 2A). In the CF-FD group, the glucose level of serum was significantly higher than in the VE-FD group (fasting serum glucose: 352.0 ± 40.0 mg/dL in the CF-FD vs. 275.7 ± 23.1 mg/dL in the VE-FD group) (Figure 2B). HOMA-IR was significantly higher in the CF-FD group than in the VE-FD group (Figure 2C). Among the levels of the four types of adipokines, only the leptin levels were significantly increased. Compared with the VE-FD group, the leptin level of serum was increased more than 8.7 times in the CF-FD group (Figure 2D). The serum level of resistin was not different between the CF-FD and VE-FD groups (Figure 2E).

3.3. Cefotaxime Treatment Inducing Hyperlipidemia and Higher Hepatic Lipid Accumulation under High-Fructose Feeding

We confirmed the development of hepatic steatosis in H&E-stained liver sections and visualized them by Oil Red O staining (Figure 3A). The hepatic steatosis score of the CF-FD group corresponded to moderately macrovesicular and microvesicular steatoses, enhanced in the pericentral area and extended to the entire liver (Figure 3B). In contrast, no steatosis was observed in the other three groups. The Oil Red O staining revealed that the hepatic lipid droplets accumulation was considerably higher in the CF-FD group than in the VE-FD group. Compared to the VE-FD group, the CF-FD group exhibited an accelerated degree of fatty liver, measured by the liver triglyceride content. The liver TG assay indicated that the CF-FD group exhibited 1.5 times higher value than that of the VE-FD group (312.8 ± 62.6 mg/g in CF-FD vs. 211.5 ± 54.1 mg/g in VE-FD). There was no significant difference between the CF-CD and VE-CD groups (Figure 3C). Although the serum level of TG did not rise in CF-FD, the T-CHO, non-HDL-C, and HDL-C levels were significantly higher in the CF-FD group than in the VE-FD group (T-CHO: 221.1 ± 16.2 mg/dL in CF-FD vs. 135.9 ± 10.7 mg/dL in VE-FD) (Figure 3D–G).

3.4. Cefotaxime Treatment with High-Fructose Diet Inducing More Hepatic Macrophages and Enzymes without Pro-Inflammatory Cytokines in Serum

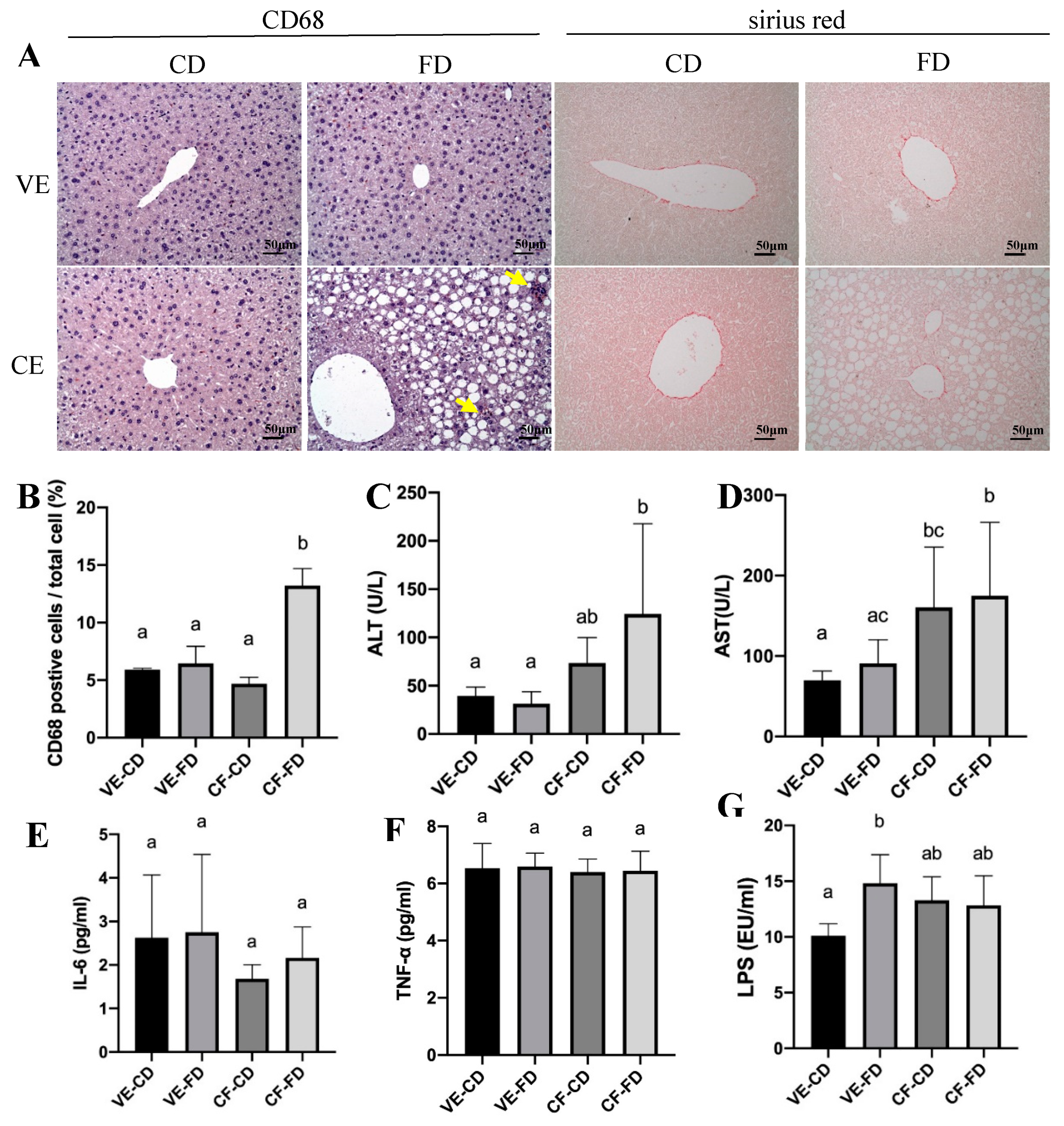
The histological and immunohistochemical staining showed that mildly hepatic focal necrosis was observed only in the CF-FD group (Figure 4A). In addition, the liver sections of the CF-FD group exhibited a slightly higher inflammatory cell infiltration than that of the VE-FD group. The immunohistochemical staining showed that the number of CD68-positive cells was higher in the CF-FD group compared with the VE-FD group (Figure 4B). The ALT and AST levels were considerably higher in the CF-FD group than in the VE-FD group (ALT: 124.3 ± 93.6 U/L in CF-FD vs. 31.4 ± 12.5 in VE-FD) (Figure 4C,D). In the CF-FD group, the IL-6, TNF-α, and LPS levels of serum were not significantly different from those in the VE-FD group (Figure 4E–G). The Fibrosis score revealed that no fibrosis was found in each group.

3.5. Cefotaxime Treatment with High-Fructose Diet Increasing the Lipogenesis Protein Expression

To elucidate the underlying mechanisms for the fatty liver acceleration in the CF-FD group, we evaluated the hepatic expression of lipogenesis and lipolysis enzyme by western blotting (Figure 5A). Compared to the VE-FD mice, the protein expression level of hepatic FAS was significantly higher in the CF-FD group (Figure 5B). The protein expression levels of hepatic phospho-ACC were not significantly different between the CF-FD and VE-FD groups (Figure 5C).

3.6. Gut Microbiome Analysis

The gut microbiota composition was analyzed with the 16S rRNA genes in the mice fed with FD under the cefotaxime treatment. The Shannon index indicated that the bacterial diversity of the CF-FD group was significantly lower than that of the VE-FD group (Figure 6A). The total number of OTUs showed that the species richness of the CF-FD group was significantly lower than those of the other groups. However, the total number showed the absence of significant differences between the CF-CD, VE-CD, and VE-FD groups (Figure 6B). A principal coordinate analysis showed that the mice were clustered into relatively distinct groups based on the different diet and cefotaxime treatment conditions according to the distances between the mouse samples. The results were clearly separated into four districts (Figure 6C). These results suggest that the effects of the high-fructose diet and cefotaxime on the gut microbiota might be important factors in this study. The phyla observed were Actinobacteria, Bacteroidetes, Deferribacteres, Firmicutes, Proteobacteria, Patescibacteria, Tenericutes, and Verrucomicrobia. The gut microbiota composition exhibited almost 100% of Firmicutes in the CF-CD and CF-FD groups. However, Firmicutes (47–67%) and Bacteroidetes (48–24%) dominated in the VE-CD and VE-FD groups (Figure 6D). The differential enrichment of specific bacteria at the family level was observed in both cladograms and histograms based on Linear discriminant analysis (LDA) score > 2 for pairwise comparisons. The abundance of Erysipelatoclostridium, Enterobacteriaceae, Lachnospiraceae, and Escherichia Shigella was raised higher in the CF-FD group than in the VE-FD group, while that of Muribaculaceae and Tannerellaceae were higher in the VE-FD group than in the CF-FD group (Figure 7A). The numbers of genera that differed for VE-FD and CF-FD were 19 and 13, respectively. Among the genera, all 12 belonging to the class level of Clostridia were increased in CF-FD compared to VE-FD (Figure 7B). The other group analysis and comparison results are shown in the Supplementary data (Supplementary Figures S2–S4).

4. Discussion

This study demonstrates that cefotaxime (a third-generation antibiotic) could induce composition changes in the gut microbiota, which could further affect the physiological and metabolic profiles of liver lipogenesis under high-fructose consumption. Co-treatment with cefotaxime and a high-fructose diet accelerated body weight gain, liver fat accumulation, and insulin-resistance effects; additionally, it partially modified the gut microbiota composition. Our results demonstrate that NAFLD and obesity cannot be induced only by the fructose diet (VE-FD) group. In the CF-FD group, more metabolic disorder symptoms (NAFLD and obesity) were observed. In contrast, the treatment of cefotaxime with CD diet (CF-CD) only and feeding CD diet only (VE-CD) could not induce NAFLD and obesity. These results show that high-fructose diet feeding induces obesity and that NAFLD needs to be co-treated with cefotaxime to shape the composition of the gut microbiota. These data, to the best of our knowledge, are the first to demonstrate that gut microbiota might play a crucial role in mediating NAFLD by cefotaxime co-compiled with a high-fructose diet. Moreover, various metabolic parameters and lipogenic indicators, including blood glucose level and serum cholesterol level, were upregulated. Therefore, cefotaxime co-treated with a high-fructose diet might induce gut microbiota dysbiosis, which largely facilitates lipid metabolism regulatory disorders and NAFLD. Although our results do not provide final proof, it appears most likely that the changes in microbiota cause cefotaxime-induced obesity and NAFLD.
Recent studies reported that the final body weights of animals after 8-week or 12-week high-fructose diet feeding were not statistically different when compared to the control diet [6,20]. In the CF-CD, VE-CD, and VE-FD groups, the body weight did not increase significantly during the 16-week experimental period. Moreover, the body weight of the VE-FD group was consistent with the study by Dai and McNeill, who reported the absence of an increase in the body mass with the increase in the consumption of fructose, even after 14 weeks [21]. Similarly, another study using a 60% fructose diet demonstrated the absence of association with insulin resistance during chronic ingestion of fructose in Sprague–Dawley rats [20]. These studies indicated that high-fructose feeding may not induce weight gain. Currently, this phenomenon remains unclear, and further research is needed.
A third-generation broad-spectrum oral cephalosporin (cefdinir) might alter the gut microbiota (particularly gram-negative bacteria) to ameliorate high-fructose-diet-induced diabetes, according to a study on rats [22]. Moreover, the gut microbiota belonging to gram-negative bacteria, the phyla Proteobacteria and Bacteroidetes, was relatively enriched across the subjects with T2DM. These changes in gut microbiota were related to an improvement in the metabolic disorders and inflammatory responses of the host, and reduction in body weight gain. In this study, approximately 100% of Firmicutes were present in the CF-FD group, compared to the other groups, and Bacteroidetes and Proteobacteria were almost undetectable. This alteration also observed weight gain, NAFLD acceleration, and insulin resistance, indicating that decreases in Bacteroidetes and Proteobacteria are highly correlated. The cefotaxime co-treatment with fructose diets caused severe NAFLD and increased the abundance of Erysipelatoclostridium, Enterobacteriaceae, Lachnospiraceae, and Escherichia Shigella in the gut microbiota composition. The above results are similar to Shen et al. who identified the relationship between gut microbiota and NAFLD [23]. Patients with NAFLD had lower diversity of gut microbiota than healthy subjects. Erysipelotrichaceae, Enterobacteriaceae, Lachnospiraceae, Streptococcaceae, and Escherichia Shigella families were enriched in the patients with NAFLD (84% of patients were overweight or obese).
One of the most significant observations following cefotaxime treatment was enhanced hepatic steatosis and hypertrophy of white adipocytes in different fat pads in the high-fructose-diet-fed group compared with the other groups. The histological characteristics of the current mouse model, including microvesicular and macrovesicular steatosis, were similar to those of human NAFLD [24]. Moreover, the number of CD68-positive cells and serum ALT levels were higher in the CF-FD group than in other groups. These results clarify that the combination of cefotaxime with a FD might cause a slight inflammation in the liver. In the study, although the serum levels of IL-6 and TNF-α were not significantly different among the groups, this might be the reason that there were several other pathways to liver inflammation, which we could not analyze in this study, such as oxidative stress, lipid peroxidation, and pyrotosis. Therefore, liver inflammation in this study needs further analysis.
Adipokines are cytokines secreted by adipose tissues. Leptin is produced directly from adipocytes and is associated with T2DM, characterized by insulin resistance. In the case of obesity, humans and rodents exhibit high serum levels of leptin [25,26], which indicates that serum leptin might be a predictive risk factor for insulin resistance. In this study, the serum levels of insulin, resistin, glucose, and HOMA-IR were more increased in the CF-FD group than in the other groups. This demonstrated that metabolic parameter disorder might be due to body fat and steatosis accumulated in the CF-FD mice.
Several studies suggest strong linkage between gut flora and pro-inflammatory cytokines, which contribute to the acceleration of NAFLD [24,27]. NAFLD/nonalcoholic steatohepatitis is associated with raised levels of gram-negative microbiomes and endotoxemia [27,28]. We analyzed possible correlations between NAFLD and gram-negative microbiomes, which are the source of LPS [29]. Our results demonstrated that the LPS levels were lower in the VE-CD group than those in the other groups. However, further analysis of the data revealed no correlation with the concentration of serum endotoxin in the VE-FD, CF-CD, and CF-FD groups. Therefore, the CF-FD mice might have little correlation with endotoxin production.
In this study, although our results do not provide final proof, it appears most likely that changes in microbiota precede and cause cefotaxime-induced obesity. In future studies, we intend to develop a simple strategy to induce NAFLD and gut microbiota dysbiosis through cefotaxime treatment with a high-fructose diet. This mouse model indicated that the gut microbiota modulation by cefotaxime and high-fructose diet co-treatment might have an accelerative role in NAFLD and obesity. However, our work does not provide an accurate distinction on whether NAFLD and metabolic derangements are specific attributes of cefotaxime treatment or are just the usual attributes of the obese phenotype. A germ-free mouse is required for further investigation. This novel animal model could be further applied in NAFLD drug development in the future.

Supplementary Materials

The following are available online at https://www.mdpi.com/2227-9717/9/3/434/s1, Supplemental Figure S1: Cross-sectional area of epididymal white adipose tissue. Supplemental Figure S2: Taxonomic representation of VE groups. Supplemental Figure S3: Taxonomic representation of CF groups. Supplemental Figure S4: Taxonomic representation of CD groups.

Author Contributions

C.-C.C. and H.-L.C. were in charge of conceptualization; W.-C.H., Y.-C.W., C.-F.C., T.-J.L., S.-W.H. and J.-Y.L. were in charge of methodology; Y.-P.L. and Y.-H.C. were in charge of software; W.-C.H. and S.-W.H. were in charge of validation; Y.-P.L. was in charge of writing-original draft preparation and visualization; Y.-P.L., C.-C.C. and H.-L.C. were in charge of writing-review and editing; W.-C.H., C.-C.C. and H.-L.C. were in charge of supervision. All authors have read and agreed to the published version of the manuscript.

Funding

This study was funded by Ministry of Science and Technology of Taiwan (MOST 109-2314-B-492-002-MY3).

Institutional Review Board Statement

The study was conducted according to the Institutional Animal Care and Use Committee (IACUC) at the National Laboratory Animal Center (approval number: IACUC2015M02).

Informed Consent Statement

Not applicable.

Data Availability Statement

Not applicable.

Acknowledgments

The authors thank the Germfree & Gnotobiotic Section of National Laboratory Animal Center, National Applied Research Laboratories, Taiwan, for providing support for technical and equipment.

Conflicts of Interest

All of the authors declare no interest conflict.

References

  1. Bray, G.A.; Nielsen, S.J.; Popkin, B.M. Consumption of high-fructose corn syrup in beverages may play a role in the epidemic of obesity. Am. J. Clin. Nutr. 2004, 79, 537–543. [Google Scholar] [CrossRef]
  2. Khitan, Z.; Kim, D.H. Fructose: A key factor in the development of metabolic syndrome and hypertension. J. Nutr. Metab. 2013, 2013, 682673. [Google Scholar] [CrossRef]
  3. Rivière, S.; Soubeyre, V.; Jarriault, D.; Molinas, A.; Léger-Charnay, E.; Desmoulins, L.; Grebert, D.; Meunier, N.; Grosmaitre, X. High fructose diet inducing diabetes rapidly impacts olfactory epithelium and behavior in mice. Sci. Rep. 2016, 6, 34011. [Google Scholar] [CrossRef]
  4. Lambertz, J.; Weiskirchen, S.; Landert, S.; Weiskirchen, R. Fructose: A dietary sugar in crosstalk with microbiota contributing to the development and progression of non-alcoholic liver disease. Front. Immunol. 2017, 8, 1159. [Google Scholar] [CrossRef] [PubMed]
  5. Zmora, N.; Suez, J.; Elinav, E. You are what you eat: Diet, health and the gut microbiota. Nat. Rev. Gastroenterol. Hepatol. 2019, 16, 35–56. [Google Scholar] [CrossRef]
  6. Do, M.H.; Lee, E.; Oh, M.-J.; Kim, Y.; Park, H.-Y. High-glucose or-fructose diet cause changes of the gut microbiota and metabolic disorders in mice without body weight change. Nutrients 2018, 10, 761. [Google Scholar] [CrossRef] [PubMed]
  7. Todoric, J.; Di Caro, G.; Reibe, S.; Henstridge, D.C.; Green, C.R.; Vrbanac, A.; Ceteci, F.; Conche, C.; McNulty, R.; Shalapour, S. Fructose stimulated de novo lipogenesis is promoted by inflammation. Nat. Metab. 2020, 2, 1034–1045. [Google Scholar] [CrossRef]
  8. Jin, R.; Willment, A.; Patel, S.S.; Sun, X.; Song, M.; Mannery, Y.O.; Kosters, A.; McClain, C.J.; Vos, M.B. Fructose induced endotoxemia in pediatric nonalcoholic fatty liver disease. Int. J. Hepatol. 2014, 2014, 560620. [Google Scholar] [CrossRef]
  9. Xue, L.; He, J.; Gao, N.; Lu, X.; Li, M.; Wu, X.; Liu, Z.; Jin, Y.; Liu, J.; Xu, J. Probiotics may delay the progression of nonalcoholic fatty liver disease by restoring the gut microbiota structure and improving intestinal endotoxemia. Sci. Rep. 2017, 7, 45176. [Google Scholar] [CrossRef]
  10. Liang, H.; Hussey, S.E.; Sanchez-Avila, A.; Tantiwong, P.; Musi, N. Effect of lipopolysaccharide on inflammation and insulin action in human muscle. PLoS ONE 2013, 8, e63983. [Google Scholar] [CrossRef]
  11. Boulangé, C.L.; Neves, A.L.; Chilloux, J.; Nicholson, J.K.; Dumas, M.-E. Impact of the gut microbiota on inflammation, obesity, and metabolic disease. Genome Med. 2016, 8, 1–12. [Google Scholar] [CrossRef] [PubMed]
  12. Mouzaki, M.; Comelli, E.M.; Arendt, B.M.; Bonengel, J.; Fung, S.K.; Fischer, S.E.; McGilvray, I.D.; Allard, J.P. Intestinal microbiota in patients with nonalcoholic fatty liver disease. Hepatology 2013, 58, 120–127. [Google Scholar] [CrossRef] [PubMed]
  13. Moellering Jr, R.; Eliopoulos, G. Activity of cefotaxime against enterococci. Diagn. Microbiol. Infect. Dis. 1984, 2, 85S. [Google Scholar]
  14. Chiu, C.-C.; Ching, Y.-H.; Li, Y.-P.; Liu, J.-Y.; Huang, Y.-T.; Huang, Y.-W.; Yang, S.-S.; Huang, W.-C.; Chuang, H.-L. Nonalcoholic fatty liver disease is exacerbated in high-fat diet-fed gnotobiotic mice by colonization with the gut microbiota from patients with nonalcoholic steatohepatitis. Nutrients 2017, 9, 1220. [Google Scholar] [CrossRef]
  15. Turnbaugh, P.J.; Ley, R.E.; Mahowald, M.A.; Magrini, V.; Mardis, E.R.; Gordon, J.I. An obesity-associated gut microbiome with increased capacity for energy harvest. Nature 2006, 444, 1027. [Google Scholar] [CrossRef]
  16. Gurung, M.; Li, Z.; You, H.; Rodrigues, R.; Jump, D.B.; Morgun, A.; Shulzhenko, N. Role of gut microbiota in type 2 diabetes pathophysiology. EBioMedicine 2020, 51, 102590. [Google Scholar] [CrossRef] [PubMed]
  17. Chen, Y.-H.; Wang, Y.-C.; Chiu, C.-C.; Lee, Y.-P.; Hung, S.-W.; Huang, C.-C.; Chiu, C.-F.; Chen, T.-H.; Huang, W.-C.; Chuang, H.-L. Housing condition-associated changes in gut microbiota further affect the host response to diet-induced nonalcoholic fatty liver. J. Nutr. Biochem. 2020, 79, 108362. [Google Scholar] [CrossRef]
  18. Dixon, J.B.; Bhathal, P.S.; Hughes, N.R.; O’Brien, P.E. Nonalcoholic fatty liver disease: Improvement in liver histological analysis with weight loss. Hepatology 2004, 39, 1647–1654. [Google Scholar] [CrossRef]
  19. Kleiner, D.E.; Brunt, E.M.; Van Natta, M.; Behling, C.; Contos, M.J.; Cummings, O.W.; Ferrell, L.D.; Liu, Y.C.; Torbenson, M.S.; Unalp-Arida, A. Design and validation of a histological scoring system for nonalcoholic fatty liver disease. Hepatology 2005, 41, 1313–1321. [Google Scholar] [CrossRef]
  20. Bier, A.; Khasbab, R.; Haberman, Y.; Braun, T.; Hadar, R.; Sosnovski, K.; Amir, A.; Leibowitz, A.; Grossman, E. Antibiotic Treatment Does Not Ameliorate the Metabolic Changes in Rats Presenting Dysbiosis After Consuming a High Fructose Diet. Nutrients 2020, 12, 203. [Google Scholar] [CrossRef]
  21. Dai, S.; McNeill, J.H. Fructose-induced hypertension in rats is concentration-and duration-dependent. J. Pharmacol. Toxicol. Methods 1995, 33, 101–107. [Google Scholar] [CrossRef]
  22. Jena, P.K.; Singh, S.; Prajapati, B.; Nareshkumar, G.; Mehta, T.; Seshadri, S. Impact of targeted specific antibiotic delivery for gut microbiota modulation on high-fructose-fed rats. Appl. Biochem. Biotechnol. 2014, 172, 3810–3826. [Google Scholar] [CrossRef]
  23. Shen, F.; Zheng, R.-D.; Sun, X.-Q.; Ding, W.-J.; Wang, X.-Y.; Fan, J.-G.J.H.; International, P.D. Gut microbiota dysbiosis in patients with non-alcoholic fatty liver disease. Hepatobiliary Pancreat. Dis. Int. 2017, 16, 375–381. [Google Scholar] [CrossRef]
  24. Liang, W.; Menke, A.L.; Driessen, A.; Koek, G.H.; Lindeman, J.H.; Stoop, R.; Havekes, L.M.; Kleemann, R.; van den Hoek, A.M. Establishment of a general NAFLD scoring system for rodent models and comparison to human liver pathology. PLoS ONE 2014, 9, e115922. [Google Scholar] [CrossRef]
  25. Schmidt, M.; Duncan, B.; Vigo, A.; Pankow, J.; Couper, D.; Ballantyne, C.; Hoogeveen, R.; Heiss, G.; Investigators, A. Leptin and incident type 2 diabetes: Risk or protection? Diabetologia 2006, 49, 2086–2096. [Google Scholar] [CrossRef] [PubMed][Green Version]
  26. Wang, J.; Obici, S.; Morgan, K.; Barzilai, N.; Feng, Z.; Rossetti, L. Overfeeding rapidly induces leptin and insulin resistance. Diabetes 2001, 50, 2786–2791. [Google Scholar] [CrossRef] [PubMed]
  27. Harte, A.L.; da Silva, N.F.; Creely, S.J.; McGee, K.C.; Billyard, T.; Youssef-Elabd, E.M.; Tripathi, G.; Ashour, E.; Abdalla, M.S.; Sharada, H. Elevated endotoxin levels in non-alcoholic fatty liver disease. J. Inflamm. 2010, 7, 1–10. [Google Scholar] [CrossRef]
  28. Yang, S.Q.; Lin, H.Z.; Lane, M.D.; Clemens, M.; Diehl, A.M. Obesity increases sensitivity to endotoxin liver injury: Implications for the pathogenesis of steatohepatitis. Proc. Natl. Acad. Sci. USA 1997, 94, 2557–2562. [Google Scholar] [CrossRef] [PubMed]
  29. Yuan, J.; Baker, S.S.; Liu, W.; Alkhouri, R.; Baker, R.D.; Xie, J.; Ji, G.; Zhu, L. Endotoxemia unrequired in the pathogenesis of pediatric nonalcoholic steatohepatitis. J. Gastroenterol. Hepatol. 2014, 29, 1292–1298. [Google Scholar] [CrossRef]
Figure 1. The effect of high fructose feeding under cefotaxime treatment on the body weight and food intake. (A) Body weights of mice fed with CD or FD for 16 weeks.; (B) Percentage of body weight gain; (C) Terminal body weight gain compared with baseline (Week 0); (D) daily food intake (gram) converting to calories (kcal/mouse). The results are presented as mean ± SD. * p < 0.05 CF-FD group vs. VE-FD group; # p < 0.05 CF-CD group vs VE-CD group. (a–c) Means in the row without common superscript letter (p < 0.05) differ as analyzed by one-way analysis of variance (ANOVA) (n = 8/group). CF: cefotaxime; VE: vehicle; CD: control diet; FD: high fructose diet.
Figure 1. The effect of high fructose feeding under cefotaxime treatment on the body weight and food intake. (A) Body weights of mice fed with CD or FD for 16 weeks.; (B) Percentage of body weight gain; (C) Terminal body weight gain compared with baseline (Week 0); (D) daily food intake (gram) converting to calories (kcal/mouse). The results are presented as mean ± SD. * p < 0.05 CF-FD group vs. VE-FD group; # p < 0.05 CF-CD group vs VE-CD group. (a–c) Means in the row without common superscript letter (p < 0.05) differ as analyzed by one-way analysis of variance (ANOVA) (n = 8/group). CF: cefotaxime; VE: vehicle; CD: control diet; FD: high fructose diet.
Processes 09 00434 g001
Figure 2. The effect of cefotaxime on metabolic parameters in high-fructose diet (FD) fed mice. (A) serum level of insulin; (B) Glucose; (C) HOMA-IR; (D) Leptin; (E) Resistin. Results are presented as mean ± SD. (a,b) Means in the row without common superscript letter (p < 0.05) differ as analyzed by one-way ANOVA (n = 8/group). CF: cefotaxime; VE: vehicle; CD: control diet; FD: high fructose diet; HOMA-IR: homeostasis model assessment of insulin resistance.
Figure 2. The effect of cefotaxime on metabolic parameters in high-fructose diet (FD) fed mice. (A) serum level of insulin; (B) Glucose; (C) HOMA-IR; (D) Leptin; (E) Resistin. Results are presented as mean ± SD. (a,b) Means in the row without common superscript letter (p < 0.05) differ as analyzed by one-way ANOVA (n = 8/group). CF: cefotaxime; VE: vehicle; CD: control diet; FD: high fructose diet; HOMA-IR: homeostasis model assessment of insulin resistance.
Processes 09 00434 g002
Figure 3. Cefotaxime with high fructose treatment induced more hepatic lipid accumulation. (A) Liver H&E and Oil red stained; (B) Hepatic steatosis score; (C) Liver TG content; (D) Serum level of TG; (E) Serum total cholesterol; (F) Non-HDL-C; (G) HDL-C. Results are presented as mean ± SD. (a–c) Means in the row without common superscript letter (p < 0.05) differ as analyzed by one-way ANOVA (n = 8/group). CF: cefotaxime; VE: vehicle; CD: control diet; FD: high fructose diet; H&E: hematoxylin–eosin; TG: triglyceride; HDL-C: high density lipoprotein cholesterol. Magnification: 100×, scale bar: 100 µm.
Figure 3. Cefotaxime with high fructose treatment induced more hepatic lipid accumulation. (A) Liver H&E and Oil red stained; (B) Hepatic steatosis score; (C) Liver TG content; (D) Serum level of TG; (E) Serum total cholesterol; (F) Non-HDL-C; (G) HDL-C. Results are presented as mean ± SD. (a–c) Means in the row without common superscript letter (p < 0.05) differ as analyzed by one-way ANOVA (n = 8/group). CF: cefotaxime; VE: vehicle; CD: control diet; FD: high fructose diet; H&E: hematoxylin–eosin; TG: triglyceride; HDL-C: high density lipoprotein cholesterol. Magnification: 100×, scale bar: 100 µm.
Processes 09 00434 g003
Figure 4. Cefotaxime with high fructose treatment induced more hepatic macrophages and Enzymes but no pro-inflammatory cytokines in serum. (A) Liver CD68 and Sirius red stained; (B) Quantitative of CD68 analyses; (C) ALT; (D) AST; (E) IL-6; (F) TNF-α; (G) LPS. Results are presented as mean ± SD. (a–c) Means in the row without common superscript letter (p < 0.05) differ as analyzed by one-way ANOVA (n = 8/group). CF: cefotaxime; VE: vehicle; CD: control diet; FD: high fructose diet; AST: aspartate aminotransferase; ALT: alanine aminotransferase; LPS: lipopolysaccharides. Magnification: 200×, scale bar: 50 µm. Yellow arrows point to positive staining for antigens.
Figure 4. Cefotaxime with high fructose treatment induced more hepatic macrophages and Enzymes but no pro-inflammatory cytokines in serum. (A) Liver CD68 and Sirius red stained; (B) Quantitative of CD68 analyses; (C) ALT; (D) AST; (E) IL-6; (F) TNF-α; (G) LPS. Results are presented as mean ± SD. (a–c) Means in the row without common superscript letter (p < 0.05) differ as analyzed by one-way ANOVA (n = 8/group). CF: cefotaxime; VE: vehicle; CD: control diet; FD: high fructose diet; AST: aspartate aminotransferase; ALT: alanine aminotransferase; LPS: lipopolysaccharides. Magnification: 200×, scale bar: 50 µm. Yellow arrows point to positive staining for antigens.
Processes 09 00434 g004
Figure 5. The effects of fructose on liver lipogenic protein expression in mice. (A) Representative western blot bands for FAS and phospho-ACC; (B) Quantitative of FAS data analyses; (C) phospho-ACC. Results are presented as mean ± SD. (a–c) Means in the row without common superscript letter (p < 0.05) differ as analyzed by one-way ANOVA (n = 8/group). CF: cefotaxime; VE: vehicle; CD: control diet; FD: high fructose diet; FAS: fatty acid synthase; ACC: acetyl-CoA carboxylase.
Figure 5. The effects of fructose on liver lipogenic protein expression in mice. (A) Representative western blot bands for FAS and phospho-ACC; (B) Quantitative of FAS data analyses; (C) phospho-ACC. Results are presented as mean ± SD. (a–c) Means in the row without common superscript letter (p < 0.05) differ as analyzed by one-way ANOVA (n = 8/group). CF: cefotaxime; VE: vehicle; CD: control diet; FD: high fructose diet; FAS: fatty acid synthase; ACC: acetyl-CoA carboxylase.
Processes 09 00434 g005
Figure 6. Diversity and similarity of gut microbiota under cefotaxime and high fructose diets. Bacterial diversity estimates by (A) Shannon index and species richness estimate by (B) Total number of OTUs; (C) PCoA plot with UniFrac distances; (D) Relative abundance of gut microbiota at phylum levels in each group (F: Firmicutes, B: Bacteroidetes). Results are presented as means ± S.D. and analyzed by one-way ANOVA with Tukey’s post hoc test (n = 3/group). * p < 0.05 compared to the VE-FD group. CF: cefotaxime; VE: vehicle; CD: control diet; FD: high fructose diet; OTU: operational taxonomic unit.
Figure 6. Diversity and similarity of gut microbiota under cefotaxime and high fructose diets. Bacterial diversity estimates by (A) Shannon index and species richness estimate by (B) Total number of OTUs; (C) PCoA plot with UniFrac distances; (D) Relative abundance of gut microbiota at phylum levels in each group (F: Firmicutes, B: Bacteroidetes). Results are presented as means ± S.D. and analyzed by one-way ANOVA with Tukey’s post hoc test (n = 3/group). * p < 0.05 compared to the VE-FD group. CF: cefotaxime; VE: vehicle; CD: control diet; FD: high fructose diet; OTU: operational taxonomic unit.
Processes 09 00434 g006
Figure 7. Comparison of gut microbiota composition under cefotaxime treatment and high fructose feeding. (A) Taxonomic representation of statistically and biologically consistent differences between VE-FD (green) and CF-FD (red) group. Differences are represented by the color of the most abundant class. Dot size is proportional to the abundance of the taxon. (B) Histogram of the LDA scores that are differentially abundant between CF-FD and VE-FD. Length indicates the effect size associated with a taxon. The cladogram was calculated by LEfSe, abundant taxons of OTUs were analyzed by metagenome, and only taxa with an LDA significant threshold >2 and p < 0.05 are shown (n = 3/group). CF: cefotaxime; VE: vehicle; FD: high fructose diet; LDA: Linear discriminant analysis.
Figure 7. Comparison of gut microbiota composition under cefotaxime treatment and high fructose feeding. (A) Taxonomic representation of statistically and biologically consistent differences between VE-FD (green) and CF-FD (red) group. Differences are represented by the color of the most abundant class. Dot size is proportional to the abundance of the taxon. (B) Histogram of the LDA scores that are differentially abundant between CF-FD and VE-FD. Length indicates the effect size associated with a taxon. The cladogram was calculated by LEfSe, abundant taxons of OTUs were analyzed by metagenome, and only taxa with an LDA significant threshold >2 and p < 0.05 are shown (n = 3/group). CF: cefotaxime; VE: vehicle; FD: high fructose diet; LDA: Linear discriminant analysis.
Processes 09 00434 g007aProcesses 09 00434 g007b
Table 1. Terminal body weight, liver, and fat pad weights of high fructose feeding under cefotaxime treatment.
Table 1. Terminal body weight, liver, and fat pad weights of high fructose feeding under cefotaxime treatment.
VECF
CDFDCDFD
Body weight (g)27.7 ± 1.326.1 ± 1.726.6 ± 1.235.2 ± 3.4 *
Liver (g)1.31 ± 0.100.96 ± 0.091.22 ± 0.061.48 ± 0.38 *
eWAT (g)0.49 ± 0.070.55 ± 0.130.58 ± 0.111.75 ± 0.37 *
iWAT (g)0.31 ± 0.030.41 ± 0.10.32 ± 0.111.41 ± 0.33 *
pWAT (g)0.18 ± 0.050.25 ± 0.080.25 ± 0.10.83 ± 0.19 *
Total measurement WAT (g)0.98 ± 0.121.20 ± 0.311.14 ± 0.294.00 ± 0.80 *
CF: cefotaxime; VE: vehicle; CD: control diet; FD: high fructose diet; WAT: white adipose tissue; eWAT: epididymal WAT; iWAT: inguinal subcutaneous WAT; pWAT: perinephric WAT; total measurement WAT: eWAT + iWAT + pWAT. Results are presented as mean ± SD. * p < 0.05 compared to the VE-FD group (n = 8/group).
Publisher’s Note: MDPI stays neutral with regard to jurisdictional claims in published maps and institutional affiliations.

Share and Cite

MDPI and ACS Style

Lee, Y.-P.; Chiu, C.-C.; Chen, Y.-H.; Huang, W.-C.; Wang, Y.-C.; Chiu, C.-F.; Lin, T.-J.; Hung, S.-W.; Liu, J.-Y.; Chuang, H.-L. Co-Treatment with Cefotaxime and High-Fructose Diet Inducing Nonalcoholic Fatty Liver Disease and Gut Microbial Dysbiosis in Mice. Processes 2021, 9, 434. https://doi.org/10.3390/pr9030434

AMA Style

Lee Y-P, Chiu C-C, Chen Y-H, Huang W-C, Wang Y-C, Chiu C-F, Lin T-J, Hung S-W, Liu J-Y, Chuang H-L. Co-Treatment with Cefotaxime and High-Fructose Diet Inducing Nonalcoholic Fatty Liver Disease and Gut Microbial Dysbiosis in Mice. Processes. 2021; 9(3):434. https://doi.org/10.3390/pr9030434

Chicago/Turabian Style

Lee, Yen-Peng, Chien-Chao Chiu, Yi-Hsun Chen, Wen-Ching Huang, Yu-Chih Wang, Ching-Feng Chiu, Tien-Jen Lin, Shao-Wen Hung, Ju-Yun Liu, and Hsiao-Li Chuang. 2021. "Co-Treatment with Cefotaxime and High-Fructose Diet Inducing Nonalcoholic Fatty Liver Disease and Gut Microbial Dysbiosis in Mice" Processes 9, no. 3: 434. https://doi.org/10.3390/pr9030434

APA Style

Lee, Y.-P., Chiu, C.-C., Chen, Y.-H., Huang, W.-C., Wang, Y.-C., Chiu, C.-F., Lin, T.-J., Hung, S.-W., Liu, J.-Y., & Chuang, H.-L. (2021). Co-Treatment with Cefotaxime and High-Fructose Diet Inducing Nonalcoholic Fatty Liver Disease and Gut Microbial Dysbiosis in Mice. Processes, 9(3), 434. https://doi.org/10.3390/pr9030434

Note that from the first issue of 2016, this journal uses article numbers instead of page numbers. See further details here.

Article Metrics

Back to TopTop