Biological Evaluation of Azetidine-2-One Derivatives of Ferulic Acid as Promising Anti-Inflammatory Agents
Abstract
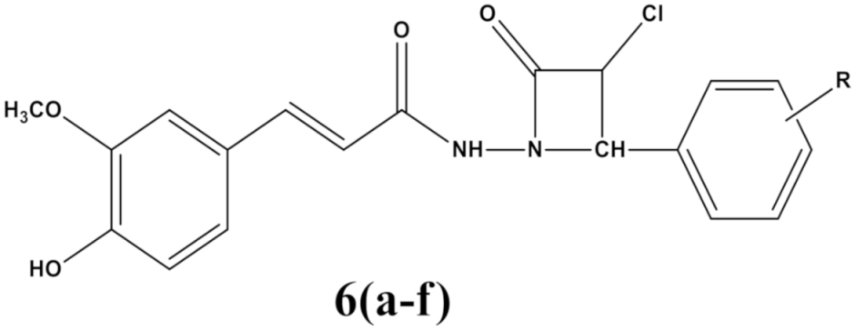
1. Introduction
2. Materials and Methods
2.1. Determination of Acute Toxicity
2.2. Determination of In Vivo Anti-Inflammatory Potential
2.2.1. Acute Inflammation Model Induced with Carrageenan in Rats
- ∆Vt/c = volume of edema in the treated/control group;
- Vt/c = volume of left hind paw of rats in the treated/control group;
- Vi = volume of left hind paw of rats before the carrageenan administration.
- ∆Vc = volume of edema in the control group;
- ∆Vt = volume of edema in the treated group.
2.2.2. Model of Chronic Inflammation Induced in Rats—Granuloma Test
2.3. Determination of Liver Toxicity
2.4. Histopathological Study
3. Results
3.1. Determination of Acute Toxicity
- a = the difference between two successive doses of administered substance;
- b = average number of dead animals in two successive lots;
- n = number of animals in a herd;
- LD100 = lethal dose 100 (representing the amount of substance that causes the death of all animals in the experimental group).
3.2. Determination of In Vivo Anti-Inflammatory Potential
3.2.1. Acute Inflammation Model Induced with Carrageenan in Rats
3.2.2. Model of Chronic Inflammation Induced in Rats—Granuloma Test
3.3. Determination of Liver Toxicity
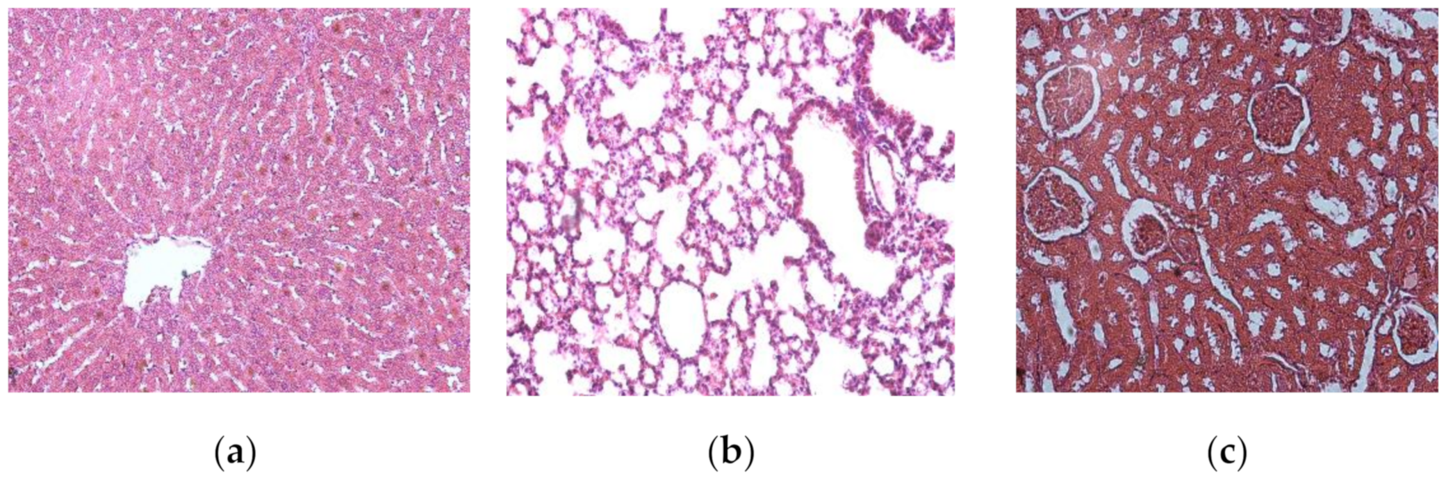
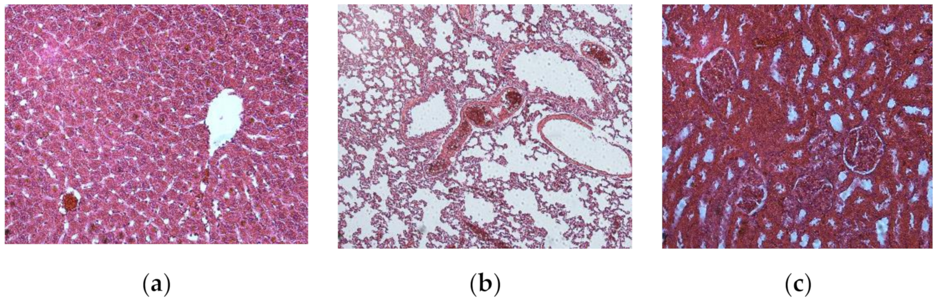
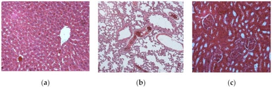
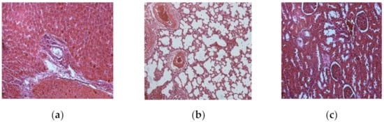
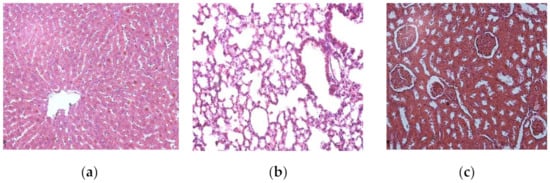
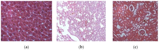
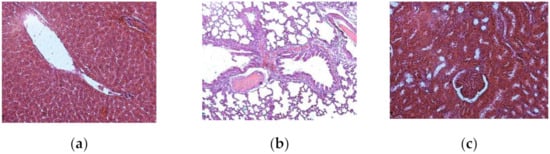
3.4. Histopathological Study
4. Discussion
5. Conclusions
Author Contributions
Funding
Conflicts of Interest
References
- Bakasatae, N.; Kunworarath, N.; Yupanqui, C.T.; Voravuthikunchai, S.P.; Joycharat, N. Bioactive components, antioxidant, and anti-inflammatory activities of the wood of Albizia myriophylla. Rev. Bras. De Farmacogn. 2018, 28, 4. [Google Scholar] [CrossRef]
- Arulselvan, P.; Tangestani, F.M.; Sean, T.W.; Gothai, S.; Fakurazi, S.; Norhaizan, M.E.; Kumar, S.S. Role of Antioxidants and Natural Products in Inflammation. Oxid. Med. Cell. Longev. 2016, 2016, 5276130. [Google Scholar] [CrossRef] [PubMed]
- Batista, R. Uses and Potential Applications of Ferulic Acid. In Ferulic Acid: Antioxidant Properties, Uses and Potential Health Benefits, 1st ed.; Warren, B., Ed.; Nova Science Publishers Inc.: New York, NY, USA, 2014; pp. 39–70. [Google Scholar]
- Ghuge, R.B.; Murumkar, P.R. Therapeutic Potential of Vicinal Diaryl Azetidin-2-ones. In Vicinal Diaryl Substituted Heterocycles; Yadav, M.R., Murumkar, P.R., Ghuge, R.B., Eds.; Elsevier Ltd.: Oxford, UK, 2018; pp. 21–46. [Google Scholar]
- Gupta, A.; Anand, K. Synthesis & Antifungal Screening of Novel Azetidin-2-ones. Open Chem. J. 2015, 2, 1–6. [Google Scholar]
- Salunkhe, D.S.; Piste, P.B. A Brief Review on Recent Synthesis of 2-Azetidinone Derivatives. Int. J. Pharm. Sci. Res. 2014, 4, 666–689. [Google Scholar]
- Dragan, M.; Dragostin, O.; Iacob, A.; Profire, L.; Stan, C.D.; Tuchilus, C. Antioxidant and antimicrobial potential of new azetidin-2-one of ferulic acid. Farmacia 2019, 67, 789–793. [Google Scholar] [CrossRef]
- Dragan, M.; Stan, C.D.; Iacob, A.; Profire, L. Assessment of in vitro antioxidant and anti-inflammatory activities of new azetidin-2-one derivatives of ferulic acid. Farmacia 2016, 64, 717–721. [Google Scholar]
- Cheaburu Yilmaz, C.N.; Pamfil, D.; Vasile, C.; Bibire, N.; Lupuşoru, R.V.; Zamfir, C.L.; Lupușoru, C.E. Toxicity, biocompatibility, pH-responsiveness and methotrexate release from PVA/hyaluronic acid cryogels for psoriasis therapy. Polymers 2017, 9, 123. [Google Scholar] [CrossRef]
- Mabozou, K.; Kossi, M.; Mamatchi, M.; Veeresh, P.V.; Negru, M.; Taulescu, M.; Potârniche, A.-V.; Suhas, D.S.; Puneeth, T.A.; Vijayakumar, S.; et al. Acute and subchronic oral toxicity assessments of Combretum micranthum (Combretaceae) in Wistar rats. Toxicol. Rep. 2020, 7, 162–168. [Google Scholar]
- Tabarraeia, H.; Hassanb, J.; Parvizia, M.R.; Golshahic, H.; Tarikhid, H. Evaluation of the acute and sub-acute toxicity of the black caraway seed essential oil in Wistar rats. Toxicol. Rep. 2019, 6, 869–874. [Google Scholar] [CrossRef]
- Shin, J.-S.; Baek, S.R.; Sohn, S.-I.; Cho, Y.-W.; Lee, K.-T. Anti-inflammatory effect of Pelubiprofen, 2-[4-(oxocyclohexylidenemethyl)-phenyl] propionic acid, mediated by dual suppression of Cox activity and lps-induced inflammatory gene expression via Nf-Kb inactivation. J. Cell Biochem. 2011, 112, 3594–3603. [Google Scholar] [CrossRef]
- Nayakn, A. In vitro and in vivo study of poly (ethylene glycol) conjugated ibuprofen to extend the duration of action. Sci. Pharm. 2011, 79, 359–373. [Google Scholar]
- Zadeh-Ardabilia, P.M.; Rad, S.K. Anti-pain and anti-inflammation like effects of Neptune krill oil and fish oil against carrageenan induced inflammation in mice models: Current statues and pilot study. Biotechnol. Rep. 2019, 22, e00341. [Google Scholar] [CrossRef]
- Ashraf, S.; Mapp, P.I.; Shahtaheri, S.M.; Walsh, D.A. Effects of carrageenan induced synovitis on joint damage and pain in a rat model of knee osteoarthritis. Osteoarthr. Cartil. 2018, 26, 1369–1378. [Google Scholar] [CrossRef] [PubMed]
- Ying, W.; Baojun, L.; Jing, S.; Yubao, L.; Qingli, L.; Feng, L.; Jingcheng, D. Regulation of Th17/Treg function contributes to the attenuation ofchronic airway inflammation by icariin in ovalbumin-induced murineasthma model. Immunobiology 2015, 220, 789–797. [Google Scholar]
- Marroquin-Segura, R.; Flores-Pimentel, M.; Carreon-Sanchez, R.; Garcia-Burciaga, M.; Mora-Guevara, J.L.A.; Aguilar-Contreras, A.; Hernandez-Abad, V.J. The effect of the aqueous extract of Helietta parvifolia A. Gray (Rutaceae) stem bark on carrageenan-induced paw oedema and granuloma tissue formation in mice. J. Ethnopharmacol. 2009, 124, 639–641. [Google Scholar] [CrossRef]
- Al-Hejjaj, W.K.G.; Numan, I.T.; Al-Sa’ad, R.Z.; Hussain, S.A. Anti-inflammatory activity of telmisartan in rat models of experimentally-induced chronic inflammation: Comparative study with dexamethasone. Saudi Pharm. J. 2011, 19, 29–34. [Google Scholar] [CrossRef]
- Arumugam, P.; Gayatri Priya, N.; Subathra, M.; Ramesh, A. Anti-inflammatory activity of four solvent fraction of ethanol extract of Mentha spicata L. Investigated on acute and chronic inflammation induced rats. Environ. Toxicol. Pharmacol. 2008, 26, 92–95. [Google Scholar] [CrossRef]
- Weber, D.K.; Danielson, K.; Wright, S.; Foley, J.E. Hematology and serum biochemistry values of dusky-footed wood rat (Neotoma Fuscipes). J. Wildl. Dis. 2002, 38, 576–582. [Google Scholar] [CrossRef]
- Johnson-Delaney, C. Exotic Companion Medicine Handbook for Veterinarians; Zoological Education Network: Lake Worth, FL, USA, 1996; Volume 2. [Google Scholar]
- Bucharoen, W.; Saenphet, S.; Chomdej, A.; Saenphet, K. Evaluation of biochemical, hematological and histopathological parameters of albino rats treated with Stemona aphylla Craib extract. J. Med. Plants Res. 2012, 6, 4429–4435. [Google Scholar]
- Chacon, G.E.; Ungalde, C.M. Perioperative management of the patient with hematologic disorders. Oral. Maxillofac. Surg. Clin. Nord Am. 2006, 18, 161–171. [Google Scholar] [CrossRef]
- Hobbenaghi, R.; Javanbakht, J.; Kamrani, M.; Dezfouli, A.B.; Hassan, M.A.; Zamani-Ahmadmahmudi, M. Histopathological Study of Acute Toxicity of Adonis Aestivalis (Summer Pheasant’s Eye) in Rabbits. J. Clin. Exp. Pathol. 2012, 2, 6. [Google Scholar] [CrossRef]
- Sunil, D.; Isloorb, A.M.; Shetty, P.; Nayak, P.G.; Pai, K.S.R. In vivo anticancer and histopathology studies of Schiff bases on Ehrlich ascitic carcinoma cells. Arab. J. Chem. 2013, 6, 25–33. [Google Scholar] [CrossRef]
- Puón-Peláez, X.H.D.; McEwan, N.R.; Gómez-Soto, J.G.; Álvarez-Martínez, R.C.; Olvera-Ramírez, A.M. Metataxonomic and Histopathological Study of Rabbit Epizootic Enteropathy in Mexico. Animals 2020, 10, 936. [Google Scholar] [CrossRef]
- Ambrosio, F.; Finco, G.; Mattia, C.; Mediati, R.; Paoletti, F.; Coluzzi, F.; Piacevoli, Q.; Savoia, G.; Amantea, B.; Aurilio, C.; et al. SIAARTI recommendations for chronic non-cancer pain. Min. Anestesiol. 2006, 72, 859–880. [Google Scholar]
- Yang, B.; Chen, Y.; Shi, J. Reactive Oxygen Species (ROS)—Based Nanomedicine. Chem. Rev. 2019, 119, 4881–4985. [Google Scholar] [CrossRef]
- Maxiaad, A.; Sannaad, C.; Frauad, M.A.; Pirasbd, A.; Karchulicd, M.S.; Kasture, V. Anti-inflammatory activity of Pistacia lentiscus essential oil: Involvement of IL-6 and TNF-α. Nat. Prod. Commun. 2011, 6, 1543–1544. [Google Scholar]
- Mohapatra, S.; Kabiraj, P.; Agarwal, T.; Asthana, S.; Annamalai, N.; Arsad, N.; Siddiqui, M.H.; Khursheed, A. Targeting jatropha derived phytochemicals to inhibit the xanthine oxidase & cyclooxygenase-2: In silico analysis towards gout treatment. Int. J. Pharm. Sci. 2015, 7, 360–363. [Google Scholar]
- Nile, S.H.; Ko, E.Y.; Kim, D.H.; Keum, Y.S. Screening of ferulic acid related compounds as inhibitors of xanthine oxidase and cyclooxygenase-2 with anti-inflammatory activity. Rev. Bras. Farm. 2016, 26, 50–55. [Google Scholar] [CrossRef]
- Nile, S.H.; Khobragade, C.N. In vitro anti-inflammatory and xanthine oxidase inhibitory activity of Tephrosia purpurea shoot extract. Nat. Prod. Commun. 2011, 6, 1437–1440. [Google Scholar] [CrossRef] [PubMed]
- Nile, S.H.; Park, S.W. HPTLC analysis, antioxidant, anti-inflammatory and antiproliferative activities of Arisaema tortuosum tuber extract. Pharm. Biol. 2014, 52, 221–227. [Google Scholar] [CrossRef]
- Krewski, D.; Acosta, D.; Andersen, M.; Anderson, H.; John, C.; Bailar, J.C., III; Boekelheide, K.; Brent, R.; Charnley, G.; Cheung, V.G.; et al. Toxicity testing in the 21st century: A vision and a strategy. J. Toxicol. Env. Health B Crit. Rev. 2010, 13, 51–138. [Google Scholar] [CrossRef]
- Jemli, M.E.; Kamal, R.; Marmouzi, I.; Doukkali, Z.; Bouidida, E.H.; Touati, D.; Nejjari, R.; Guessabi, L.E.; Cherrah, Y.; Alaoui, K. Chemical composition, acute toxicity, antioxidant and anti-inflammatory activities of Moroccan Tetraclinis articulata L. J. Tradit. Complementary Med. 2017, 7, 281–287. [Google Scholar] [CrossRef]
- Ezembu, E.N.; Okolo, C.A.; Obiegbuna, J.; Ikeogu, F.C. Acute toxicity and antidiabetic activity of Asystacia gangetica leaf ethanol extract. Nutr. Food Sci. 2019, 50, 179–196. [Google Scholar] [CrossRef]
- Farah, S.; Mansoor, A. Anti-diabetic and acute toxicity studies of Annona squamosal L. ethanolic leaves extract. Int. J. Phytomedicine 2017, 9, 642–647. [Google Scholar]
- Constantin, S.M.; Lupascu, F.G.; Apotrosoaei, M.; Focsa, A.V.; Vasincu, I.M.; Confederat, L.G.; Dimitriu, G.; Lupusoru, C.E.; Routier, S.; Buron, F.; et al. Antidiabetic effects and safety profile of chitosan delivery systems loaded with new xanthine-thiazolidine-4-one derivatives: In vivo studies. J. Drug Deliv. Sci. Technol. 2020, 60, 102091. [Google Scholar]
- Ugwah-Oguejiofor, C.J.; Okoli, C.O.; Ugwah-Oguejiofor, M.; Umaru, M.L.; Ogbulie, C.S.; Mshelia, H.E.; Umar, M.; Njan, A.A. Acute and sub-acute toxicity of aqueous extract of aerial parts of Caralluma dalzielii N. E. Brown in mice and rats. Heliyon 2019, 5, e01179. [Google Scholar] [CrossRef]
- Goncalves, N.Z.; Lino, R.S.; Rodrigues, C.R.; Rodrigues, A.R.; Cunha, L.C. Acute oral toxicity of Celtis iguanaea (Jacq.) Sargent leaf extract (Ulmaceae) in rats and mice. Rev. Bras. Plantas. Med. 2015, 17, 4. [Google Scholar] [CrossRef]
- Cobos, E.J.; Portillo-Salido, E. “Bedside-to-Bench” behavioral outcomes in animal models of pain: Beyond the evaluation of reflexes. Curr. Neuropharmacol. 2013, 11, 560–591. [Google Scholar] [CrossRef] [PubMed]
- Gregory, N.S.; Harris, A.L.; Robinson, C.R.; Dougherty, P.M.; Fuchs, P.N.; Sluka, K.A. An overview of animal models of pain: Disease models and outcome measures. J. Pain 2013, 14, 1255–1269. [Google Scholar] [CrossRef]
- Sireeratawong, S.; Itharat, A.; Lerdvuthisopon, N.; Piyabhan, P.; Khonsung, P.; Boonraeng, S.; Jaijoy, K. Anti-inflammatory, analgesic, and antipyretic activities of the ethanol extract of Piper interruptum opiz and Piper Chaba Linn. ISRN Pharm. 2012, 2012, 480265. [Google Scholar] [CrossRef]
- Guo, D.; Xu, L.; Cao, X.; Guo, Y.; Ye, Y.; Chan, C.O.; Mok, D.K.W.; Yu, Z.; Chen, S. Anti-inflammatory activities and mechanisms of action of the petroleum ether fraction of Rosa multiflora Thunb. Hips J. Ethnopharmacol. 2011, 138, 717–722. [Google Scholar] [CrossRef] [PubMed]
- De Almeida, S., Jr. In vivo methods for the evaluation of anti-inflammatory and antinoceptive potential. BrJP 2019, 2, 4. [Google Scholar] [CrossRef]
- Anosike, A.C.; Obidoa, O.; Ezeanyika, U.S.L. The anti-inflammatory activity of garden egg (Solanum aethiopicum) on egg albumin-induced oedema and granuloma tissue formation in rats. Asian Pac. J. Trop. Med. 2012, 5, 62–66. [Google Scholar] [CrossRef]
- Zhang, Z.; Luo, P.; Li, J.; Yi, T.; Wang, J.; An, J.; Zhang, H. Comparison of the anti-inflammatory activities of three medicinal plants known as “Meiduoluomi” in Tibetan folk medicine. Yakugaku Zasshi 2008, 128, 805–810. [Google Scholar] [CrossRef]
- Serhan, C.N.; Savil, J. Resolution of inflammation: The beginning programs, the end. Nat. Immunol. 2005, 6, 1191–1197. [Google Scholar] [CrossRef]
- Cangiano, L.R.; Zenobi, M.G.; Nelson, C.D.; Ipharraguerre, I.R.; Dilorenzo, N. A bioactive extract from Olea europaea protects newly weaned beef heifers against experimentally induced chronic inflammation. J. Anim. Sci. 2019, 97, 4349–4361. [Google Scholar] [CrossRef]
- Paschapur, M.S.; Patil, M.B.; Kumar, R.; Sachin, R.P. Evaluation of anti-inflammatory activity of ethanolic extract of Borassus flabellifer L. male flowers (inflorescences) in experimental animals. J. Med. Plants Res. 2009, 3, 49–54. [Google Scholar]
- Holt, M.; Ju, C. Drug-induced liver injury. Handb. Exp. Pharm. 2010, 196, 3–27. [Google Scholar]
- Stirnimann, G.; Kessebohm, K.; Lauterburg, B. Liver injury caused by drugs: An update. Swiss Méd. Wkly 2010, 140, 18. [Google Scholar] [CrossRef]
- Kim, J.H.; Nam, W.S.; Kim, S.J.; Kwon, O.K.; Seung, E.J.; Jo, J.J.; Shresha, R.; Lee, T.H.; Jeon, T.W.; Ki, S.H.; et al. Mechanism Investigation of Rifampicin-Induced Liver Injury Using Comparative Toxicoproteomics in Mice. Int. J. Mol. Sci. 2017, 18, 1417. [Google Scholar] [CrossRef]
- Coppini, R.; Santini, L.; Palandri, C.; Sartiani, L.; Cerbai, E.; Raimondi, L. Pharmacological Inhibition of Serine Proteases to Reduce Cardiac Inflammation and Fibrosis in Atrial Fibrillation. Front Pharm. 2019, 10, 1420. [Google Scholar] [CrossRef]
- Heuston, S.; Hyland, N.P. Chymase inhibition as a pharmacological target: A role in inflammatory and functional gastrointestinal disorders. Br. J. Pharm. 2012, 167, 732–740. [Google Scholar] [CrossRef] [PubMed]
- Batt, A.M.; Ferrari, L. Manifestations of chemically induced liver damage. Clin. Chem. 1995, 41, 1882–1887. [Google Scholar] [CrossRef]
- Debebe, M.; Afework, M.; Makonnen, E.; Debella, A.; Geleta, B.; Gemeda, N. Evaluations of Biochemical, Hematological and Histopathological Parameters of Subchronic Administration of Ethanol Extract of Albizia Gummifera Seed in Albino Wistar Rat. J. Clin. Toxicol. 2017, 7, 1. [Google Scholar] [CrossRef]
- Barnes, P.J. Inflammatory mechanisms in patients with chronic obstructive pulmonary disease. J. Allergy Clin. Immunol. 2016, 138, 16–27. [Google Scholar] [CrossRef]
- Suki, B.; Sato, S.; Parameswaran, H.; Szabari, M.V.; Takahashi, A.; Bartolák-Suki, E. Emphysema and mechanical stress-induced lung remodeling. Physiology 2013, 28, 404–413. [Google Scholar] [CrossRef]









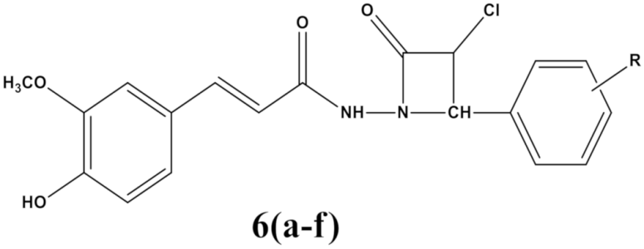
| Compound | –R | Compound | –R |
|---|---|---|---|
| 6a | –H | 6d | –NO2(2) |
| 6b | –F(4) | 6e | –Br(4) |
| 6c | –Cl(4) | 6f | –OH(2) |
| Compound | R | LD50 (mg/kg Body) | Compound | R | LD50 (mg/kg Body) |
|---|---|---|---|---|---|
| 6a | –H | 1187.5 | 1d | –NO2(2) | 1450 |
| 6b | –F(4) | 1750 | 6e | –Br(4) | 1650 |
| 6c | –Cl(4) | 1690 | 1f | –OH(2) | 1780 |
| Ferulic acid | 2875 | ||||
| Lot/Compound | % Inhibition of Inflammatory Edema | |||
|---|---|---|---|---|
| 2h | 4h | 6h | 24h | |
| L1/6a | 18.98 ± 2.60 | 17.85 ± 5.14 | 20.03 ± 2.45 | 87.17 ± 6.33 |
| L2/6b | 61.23 ± 3.01 | 57.38 ± 2.80 | 72.94 ± 3.91 | 96.66 ± 6.20 |
| L3/6c | 36.11 ± 2.01 | 17.62 ± 0.50 | 16.24 ± 0.23 | 91.28 ± 8.05 |
| L4/6d | 49.36 ± 1.58 | 33.33 ± 1.41 | 58.11 ± 1.63 | 49.74 ± 1.12 |
| L5/6e | 55.69 ± 1.45 | 38.09 ± 1.98 | 21.41 ± 0.88 | 75.89 ± 2.42 |
| L6/6f | 55.44 ± 3.03 | 50.23 ± 2.91 | 51.05 ± 2.36 | 78.20 ± 1.51 |
| L11/Ferulic acid | 51.89 ± 2.20 | 47.61 ± 2.41 | 76.51 ± 9.27 | 92.30 ± 8.25 |
| L12/Diclofenac sodium | 54.43 ± 3.48 | 53.57 ± 2.43 | 43.52 ± 2.25 | 94.87 ± 11.61 |
| L13/Indomethacin | 73.41 ± 2.70 | 64.28 ± 1.81 | 75.29 ± 2.15 | 96.15 ± 11.10 |
| Compound | R | Dose Administered (mg/kg Body/Day) | Average Weight of Dry Pellets (mg) | % Inhibition |
|---|---|---|---|---|
| 6a | -H | 118.75 | 0.623 | 20.53 |
| 6b | -F(4) | 175.00 | 0.188 | 76.02 |
| 6c | -Cl(4) | 169.25 | 0.330 | 57.90 |
| 6d | -NO2(2) | 145.00 | 0.570 | 27.29 |
| 6e | -Br(4) | 165.00 | 0.524 | 33.16 |
| 6f | -OH(2) | 178.00 | 0.452 | 42.34 |
| Ferulic acid | 287.50 | 0.173 | 77.94 | |
| Diclofenac sodium | 5.00 | 0.153 | 89.49 | |
| Indomethacin | 1.50 | 0.147 | 81.25 | |
| Tween 80 | 0.5 mL/100 g | 0.784 | - | |
| Biochemical Parameter | Lot/Compound | |||
|---|---|---|---|---|
| Lot 1/6a | Lot 2/6b | Lot 3/6c | Lot 4/6d | |
| AST (UI/L) | 212.5 ± 1.48 | 198.5 ± 0.90 | 224 ± 0.70 | 185.5 ± 5.72 |
| ALT (UI/L) | 70.5 ± 0.35 | 48.5 ± 0.43 | 64 ± 1.83 | 52.5 ± 1.20 |
| LDH (UI/L) | 1826.5 ± 2.92 | 2342 ± 4.81 | 2546 ± 4.07 | 1866.5 ± 9.76 |
| Total bilirubin (mg/dL) | 0.105 ± 0.01 | 0.13 ± 0.01 | 0.115 ± 0.007 | 0.105 ± 0.01 |
| Direct bilirubin (mg/dL) | 0.045 ± 0.01 | 0.05 ± 0.014 | 0.033 ±0.014 | 0.03 ± 0.01 |
| Biochemical Parameter | Lot/Compound | |||
|---|---|---|---|---|
| Lot 5/6e | Lot 6/6f | Lot 7/FA | Lot 8/Diclofenac | |
| AST (UI/L) | 545 ± 7.70 | 244 ± 0.28 | 198.5 ± 2.47 | 133.5 ± 2.61 |
| ALT (UI/L) | 130.5 ± 5.86 | 58 ± 0.56 | 65.5 ± 1.48 | 49 ± 0.56 |
| LDH (UI/L) | 1181 ± 7.72 | 2734.5 ± 0.34 | 2020 ± 5.68 | 1116 ± 6.15 |
| Total bilirubin (mg/dL) | 0.13 ± 0.09 | 0.11 ± 0.014 | 0.11 ± 0.01 | 0.115 ± 0.02 |
| Direct bilirubin (mg/dL) | 0.045 ± 0.01 | 0.045 ± 0.007 | 0.055 ± 0.02 | 0.035 ± 0.01 |
| Biochemical Parameter | Lot/Compound | ||
|---|---|---|---|
| Lot 9/Indomethacin | Lot 10 C1inflammation/Tween 80 | Lot 11 C2helthy/ Tween 80 | |
| AST (UI/L) | 124.5 ± 0.35 | 269.5 ± 1.62 | 100 ± 1.08 |
| ALT (UI/L) | 59.5 ± 1.90 | 51 ± 1.41 | 46.15 ± 1.33 |
| LDH (UI/L) | 908.5 ± 4.16 | 1364 ± 4.78 | 400 ± 0.83 |
| Total bilirubin (mg/dL) | 0.175 ± 0.05 | 0.115 ± 0.04 | 0.085 ± 0.04 |
| Direct bilirubin (mg/dL) | 0.045 ± 0.01 | 0.042 ± 0.01 | 0.03 ± 0.02 |
Publisher’s Note: MDPI stays neutral with regard to jurisdictional claims in published maps and institutional affiliations. |
© 2020 by the authors. Licensee MDPI, Basel, Switzerland. This article is an open access article distributed under the terms and conditions of the Creative Commons Attribution (CC BY) license (http://creativecommons.org/licenses/by/4.0/).
Share and Cite
Drăgan, M.; Stan, C.D.; Iacob, A.T.; Dragostin, O.M.; Boancă, M.; Lupuşoru, C.E.; Zamfir, C.L.; Profire, L. Biological Evaluation of Azetidine-2-One Derivatives of Ferulic Acid as Promising Anti-Inflammatory Agents. Processes 2020, 8, 1401. https://doi.org/10.3390/pr8111401
Drăgan M, Stan CD, Iacob AT, Dragostin OM, Boancă M, Lupuşoru CE, Zamfir CL, Profire L. Biological Evaluation of Azetidine-2-One Derivatives of Ferulic Acid as Promising Anti-Inflammatory Agents. Processes. 2020; 8(11):1401. https://doi.org/10.3390/pr8111401
Chicago/Turabian StyleDrăgan, Maria, Cătălina Daniela Stan, Andreea Teodora Iacob, Oana Maria Dragostin, Mihaela Boancă, Cătălina Elena Lupuşoru, Carmen Lăcrămioara Zamfir, and Lenuţa Profire. 2020. "Biological Evaluation of Azetidine-2-One Derivatives of Ferulic Acid as Promising Anti-Inflammatory Agents" Processes 8, no. 11: 1401. https://doi.org/10.3390/pr8111401
APA StyleDrăgan, M., Stan, C. D., Iacob, A. T., Dragostin, O. M., Boancă, M., Lupuşoru, C. E., Zamfir, C. L., & Profire, L. (2020). Biological Evaluation of Azetidine-2-One Derivatives of Ferulic Acid as Promising Anti-Inflammatory Agents. Processes, 8(11), 1401. https://doi.org/10.3390/pr8111401

