Abstract
Synthetic peptides are commonly obtained by means of solid-phase peptide synthesis (SPPS), in which separation of the peptide from the solid support requires treatment with 92.5% v/v trifluoroacetic acid (TFA); therefore, peptides are obtained as trifluoroacetate salts. For promising anticancer/antibacterial peptides it is essential to exchange the counterion from trifluoroacetate to hydrochloride or acetate, since the former are more widely studied in biological activity assays. In this research, RP-SPE-based methodologies were designed, developed, and implemented for simultaneous counterion exchange and peptide purification. Critical process steps were identified and parameters such as mobile phase composition, elution, and program were optimized. Analysis of the counterion exchange reaction and characterization of the final products was performed using high-performance liquid chromatography, attenuated total reflectance, nuclear magnetic resonance, and mass spectrometry. Peptides with purities between 82–97% and a trifluoroacetate ion content less than 0.36% were obtained. This novel counterion exchange proved efficient for peptides with different characteristics such as length, polarity, polyvalency, and presence of non-natural amino acids or non-protein molecules, therefore showing a wide range of applications in the field of therapeutic peptides. The methods developed are fast, efficient, low-cost, and do not require robust instrumentation and can be routinely implemented in SPPS.
1. Introduction
Active pharmaceutical ingredients (APIs), including peptides, are marketed in the form of salts due to their greater stability, solubility, absorption, and polymorphism, among other properties [1,2,3]. In addition, the counterion can significantly influence the structural conformation, biological activity, ADME properties, and toxicity of the peptide drug [3,4,5,6,7]. Between 1939 and 2022 about 600 drugs have been approved in the form of salts, from which halides (Cl−, Br−, I−) were the most used (32% of drugs) as counterions. In addition, the hydrochloride salts are the most used in APIs containing the amide functional group [8]. However, during the synthesis, purification, or processing of APIs, unwanted salts may be formed; therefore, identification and quantification of the counterion is required in this industry [1].
In recent decades, the number of FDA-approved peptides has increased significantly due to their diversity and versatility. Peptides as drugs have been used in oncology, metabolism, endocrinology, cardiovascular conditions, gastroenterology, bone disease, dermatology, and sexual dysfunction [9,10]. Peptide drug development is a long and costly process, starting with the screening of many molecules to identify promising peptides for preclinical and clinical studies. These steps are considered the cornerstone of drug development and small amounts of the peptide are required, with solid-phase peptide synthesis with the Fmoc/tBu strategy being one of the most used [11]. Solid-phase peptide synthesis using the Fmoc/tBu strategy (SPPS–Fmoc/tBu) requires the use of high concentrations of TFA for the separation of the peptide from the solid support and the removal of the protecting groups from the amino acids side chains [12,13]. Additionally, TFA is used as an ionic pair additive in peptide purification by RP-HPLC or RP-SPE [14]. Since the terminal amino group and the side chains of the Arg, Lys, and His residues are positively charged, the trifluoroacetate counterion can attach to it through electrostatic interactions, giving the formation of trifluoroacetate-peptide salt [15].
Trifluoroacetic acid (TFA) is a strong acid containing three fluorine atoms (F3C-COOH) and pKa = 0.3. Exposure to this acid can cause severe burns and necrosis of the epidermis, which reaches the dermis, and serious eye damage. This acid is harmful if inhaled and may be harmful to aquatic organisms [16]. Trifluoroacetate as a counterion has been studied to have effects on peptide activity. For instance, the amylin or calcitonin peptides with the trifluoroacetate counterion (amylin-TFA or calcitonin-TFA) induced less cell proliferation in osteoblasts compared to their counterpart peptide-HCl [17]. The M33-TFA peptide presented higher toxicity in vitro in CFBE410 cells and in vivo in C57BL/6NCr mice than the M33-AcOH peptide [17]. It has been established that CF3COO− as a counterion induces adverse effects such as protein trifluoroacetylation, cell membrane damage, alteration of enzymatic catalysis, and decreased API efficacy [18]. Therefore, it has been established that the trifluoroacetate counterion may affect the biological activity and physicochemical properties of synthetic peptides [19]. So far, the FDA has approved only two peptides that present a low content of trifluoroacetate counterion: bivalirudin, a synthetic analogue of hirudin that is a thrombin inhibitor during percutaneous coronary intervention, and corticorelin, a synthetic analogue of human peptide corticotropin-releasing factor (CRF) [20,21]. However, the great majority of peptides approved by this organism are presented as hydrochloride and acetate salts.
Given this problem, three methodologies have been described to exchange the trifluoroacetate counterion to acetate in peptides: (i) RP-HPLC using isocratic elution (ACN/H20 (20/80) with 1% acetic acid), (ii) anion exchange using a quaternary ammonium resin, and (iii) deprotonation/protonation of the peptide, the last two being the most efficient [22]. On the other hand, the exchange of the trifluoroacetate counterion to hydrochloride in solution has also been reported: peptides are dissolved in 0.1 M HCl, and after 5 min of incubation, the mixture is frozen and lyophilized, repeating this procedure four times [3]. The research field on peptide counterions embraces different topics of interest, such as the methodologies employed for the counterion exchange, the analytical techniques that can be used to analyze the counterion, and the effect on the peptides’ integrity and biological activity that the counterion exchange may induce.
Following this, in this research, critical reaction steps were identified, experimental conditions were optimized, and different methodologies were implemented to obtain LfcinB- derived synthetic peptides with the hydrochloride and/or acetate counterion parting from peptides with the trifluoroacetate counterion. These methodologies involved analytical techniques such as FT-ATR, HPLC, LC-MS, and NMR for monitoring the counterion exchange and characterization of the final product. It was evidenced that the counterion exchange did not affect the integrity and identity of the peptides. Following this, the antibacterial activity on E. coli ATCC 25,922 and S. aureus ATCC 29,213 strains and the cytotoxic effect of the peptides in MCF-7 (breast cancer), HeLa (cervical cancer), and A375 (melanoma) cell lines were evaluated, obtaining similar results when evaluating trifluoroacetate salts and hydrochloride/acetate salts, suggesting that changing the counterion did not affect the antibacterial or anticancer activity of the peptides. Herein, we report the development of new methodologies for peptide counterion exchange that can be used routinely, rapidly, and at low cost, marking a major contribution to obtaining peptides for preclinical studies and in the development of new peptide-based therapeutics.
2. Material and Methods
2.1. Chemicals and Reagents
Agar SPC, Muller Hinton Broth (MHB), Brain Heart Infusion Broth, were purchased from Oxoid (Hampshire, UK), Trypticase Soy Agar (TSA) was purchased from Sharlau (Istanbul, Turkey), and ciprofloxacin was purchased from Bayer, Leverkusen, Germany) were used in this study. Fetal bovine serum (FBS) was purchased from Gibco (Waltham, MA, USA). Bacterial strains E. coli ATCC 25,922, S. aureus ATCC 29,213, and cell lines MCF-7 and HeLa were obtained from ATCC (Manassas, VA, USA). A total of 18 different clinical isolates of E. coli from the collection of the Instituto Nacional de Cancerología (Bogotá, Colombia) were used. All previously identified and characterized by sensitivity to antibiotics using the VITEK system Silicycle® SiliaPrepTM C18 cartridges were kindly donated by EcoChem Especialidades Químicas (Bogotá, Colombia). N,N-Diisopropylethylamine (DIPEA), triisopropylsilane (TIPS), 1,2-ethanedithiol (EDT), 4-methylpiperidine, pyridine, EDTA, RPMI-1640 culture medium, trypsin, and ninhydrin were obtained from Sigma-Aldrich (St. Louis, MO, USA). Rink amide resin, Fmoc- amino acids, 6-chloro-1-hydroxybenzotriazole (6-Cl-HOBt), and N,N-dicyclohexylcarbodiimide (DCC) were purchased from AAPPTec (Louisville, KY, USA). Methanol, diethyl ether, N,N-dimethylformamide (DMF), absolute ethanol, dichloromethane (DCM), acetonitrile (ACN), isopropylalcohol (IPA), acetic acid (AcOH), hydrochloric acid (HCl), and trifluoroacetic acid (TFA) were obtained from Merck (Darmstadt, Germany). All reagents were used without further purification.
2.2. Peptide Synthesis
Peptides were manually synthesized using the SPPS–Fmoc/tBu methodology [23]. Briefly, (i) Rink Amide resin (0.46 meq/g) was swelled in DMF for 2 h with constant stirring at room temperature (RT). DMF was removed by filtration, and the resin was washed with DCM (3 × 1 min). (ii) Fmoc group removal reactions were carried out by treating the resin or resin-peptide with 5% 4-methylpiperidine in a N,N-dimethylformamide (DMF) solution for 10 min, with constant stirring at RT (twice). Subsequently, the reaction mixture (RM) was filtered, and the resin or resin-peptide was washed with DMF (5 times) and DCM (3 times), and then Kaiser’s test was performed. (iii) For the coupling reaction, the Fmoc-amino acid/DCC/6-Cl-HOBt (1:1:1 eq. and 5 excess with respect to resin substitution) were dissolved in DMF, and the RM was stirred for 15 min at RT. Then, the RM was mixed with the resin or resin-peptide and stirred at RT until a negative Kaiser’s test was obtained after washing the resin with DMF (3 times) and DCM (3 times). (iv) Side chain deprotection reactions and separation of the peptide from the resin were carried out by treating the dried resin-peptide with TFA/H2O/TIPS/EDT solution (93/2/2.5/2.5% v/v) for 4 h with constant stirring at RT, then the RM was filtered, and the peptide was precipitated from the solution with ethyl ether, centrifuged, and washed with ethyl ether (5 times) and the solid dried in a desiccator.
2.3. Peptide Purification by RP-SPE
Peptides were purified according to Insuasty et al. [14]; briefly, Supelclean solid- phase extraction columns (5 g LC-18 SPE) were activated according to the supplier’s recommendations, and briefly, the column was treated with 12 mL methanol (3 times), 12 mL solvent B (3 times), and equilibrated with 12 mL solvent A (3 times). The peptide (50 mg/mL) dissolved in solvent A (0.05% TFA in water) was seeded on the column and eluted by a stepwise gradient with increasing concentrations of solvent B (0.05% TFA in ACN); fractions were collected and analyzed by RP-HPLC, then fractions with higher chromatographic purity were pooled and lyophilized.
2.4. Peptides Analysis by RP-HPLC
Peptides were analyzed using an Agilent 1200 liquid chromatograph (Omaha, NE, USA), a Chromolith® C-18 column (50 × 4.6 mm), and a UV–Vis detector (210 nm). An amount of 10 µL of peptide (1 mg/mL) was injected, and the peptide was eluted using a linear gradient 5/5/50/50/100/100/100/5/5/5% B in 0/1/9/9.5/11/11.5/15 min, solvent A (0.05% TFA in water), and solvent B (0.05% TFA in ACN); the flow rate was 1.0 mL/min at RT, following the methodology described by Gonzalez et al. [24].
2.5. RP-HPLC Analysis of Acetate and Trifluoroacetate Counterions
Analysis of the trifluoroacetate and acetate counterions of the peptides was performed using an Agilent 1200 liquid chromatograph following the methodology reported by Huertas [25]. Briefly, the peptide (1 mg/mL) was dissolved in solvent A (phosphate buffer pH 2.56; 20 mM), analyzed on a C-18 Synergi Hydro-RP® column (Phenomenex, CA, USA) with polar end capping (150 × 4.6 mm, 4 μm), and eluted with the following analysis program: 0/0/100/100/0/0/0% B(ACN), in 0/5/6/9/10/16 min, flow rate 1.0 mL/min, injection volume 10 μL, and detection 195 nm. Solvent A was prepared by dissolving 2.720 g of KH2PO4 in one liter of H2O, and the pH was adjusted to 2.56 with H3PO4. The system suitability (tR and peak area) was evaluated according to Snyder et al. [26]. Briefly, 6.09 mg of TFA, 48.33 mg of acetic acid, and water were mixed until the weight of the solution was 9.92 g. The counterion was analyzed by RP-HPLC as described above (n = 6). Additionally, a calibration curve was constructed with 10 concentration levels prepared by weighing; for trifluoroacetate ion, the range was between 0.017 and 0.889 mg/g, and for acetic acid, it was 0.022–3.940 mg/g (n = 2).
2.6. Peptide Analysis by LC-MS
Peptides (10 μg/mL) were analyzed on a Bruker Impact II LC Q-TOF MS spectrometer equipped with an ESI ionization source operated in positive mode. Chromatographic conditions were as follows: Intensity Solo C-18 column (2.1 × 100 mm, 1.8 μm) (Bruker Daltonik; Bremen, Germany), 40 °C, and flow rate of 0.250 mL/min; solvent A (water–formic acid (FA) 0.1%), solvent B (ACN–FA 0.1%); elution gradient 5/5/95/95/5/5/5% B in 0/1/11/13/13.1/15 min. ESI source conditions were as follows: ionization energy 500 V, capillary 4500 V, nebulizer 1.8 bar, dry nitrogen gas 8.0 L/min, temperature 220 °C; Auto MS/MS scan mode with spectral range 20–1000 m/z, spectral rate 2 Hz, and collision energy 5.0 eV.
2.7. FT-ATR Analysis
The FT-ATR spectra were recorded in a SHIMADZU IRAffinity-1S spectrometer (Kyoto, Japan). The peptide was analyzed in transmittance mode, with a measuring range of 400–4000 cm−1, resolution 8, and 64 scans.
2.8. NMR Analysis
The 1H-NMR and 19F-NMR experiments were performed on a Bruker Avance 400 MHz spectrometer with a BBO probe and an AVANCE NEO console. The peptide (10 mg/500 μL) was dissolved in deuterated water (D2O). Then, 19F-RMN spectra were recorded at 376.4 MHz using a single pulse sequence, 7.5 kHz spectral window, and π/2 pulse width of 19.5 µs. The relaxation time was 2 s, the acquisition time was 0.87 s, and 16 scans were recorded for each analysis.
2.9. Exchange of Counterion in Solution
Method A: The exchange of trifluoroacetate counterion to hydrochloride was based on the methodology described by Sikora et al. [3,27] and modified to exchange the counterion of LfcinB-derived peptides; briefly, peptide-TFA (2.33 mg/mL) was dissolved in 0.02 M HCl and stirred for 30 s, and then the reaction mixture was frozen at −20 °C and lyophilized. This procedure was repeated twice. Then, the peptide-HCl was purified by RP-SPE as described above. Solvent A (water with 0.02 M HCl) and solvent B (ACN with 0.02 M HCl) were used.
The peptide was purified, and the counterion was exchanged in a single step using solid-phase extraction (RP-SPE). Prior to each method, the column was conditioned according to the supplier’s recommendations; briefly, the column was treated with 12 mL methanol (3 times), 12 mL solvent B (3 times), and equilibrated with 12 mL solvent A (3 times).
Method B: Counterion exchange from trifluoroacetate to hydrochloride was performed as follows: Crude peptide-TFA (50 mg/mL) was dissolved in 0.02 M HCl and seeded on the column, then 12 mL of 0.02 M HCl was added and allowed to flow without drying the column. The column outlet was capped and left for 20 min at RT, to facilitate the exchange (3 times). Then, the column was washed with water (3 times with 12 mL), and finally, peptide-HCl was eluted with the gradient 5/50% B, solvent B (ACN), and solvent A (water). The fractions were analyzed by RP-HPLC, and those containing the peptide-HCl were pooled and lyophilized.
Method C: Counterion exchange from trifluoroacetate to hydrochloride was performed as follows: Crude peptide-TFA (50 mg/mL) was dissolved in 0.02 M HCl , seeded on the column, and washed with 0.02 M HCl (3 times with 12 mL). Then, peptide-HCl was eluted with the gradient 5/50% B, solvent B (ACN–0.02 M HCl), and solvent A (0.02 M HCl). The fractions were analyzed by RP-HPLC, and those containing the peptide-HCl were pooled and lyophilized.
Counterion exchange from trifluoroacetate to acetate was performed by RP-SPE chromatography (methods D–F). The SPE column was conditioned and equilibrated as previously described.
Method D: The crude peptide-TFA (50 mg/mL) was dissolved in 5% acetic acid and seeded on the column, and then a 5% acetic acid aqueous solution was added and allowed to flow without drying the column; the column outlet was capped and left for 20 min at RT, to facilitate the exchange (4 times). The peptide-AcOH was eluted with the gradient 5/50% B, solvent B (ACN with 5% acetic acid), solvent A (water with 5% acetic acid). The fractions were analyzed by RP-HPLC, and those containing the peptide-AcOH were pooled and lyophilized.
Method E: The procedure is homologous to method D. Solvent A was water with 10% acetic acid and solvent B was ACN with 10% acetic acid.
Method F: The crude peptide-TFA (50 mg/mL) was dissolved in water with 10% acetic acid and seeded on the column, then washes were performed, where 12 mL of water–10% acetic acid was added (3 times) and water (1 time) to remove possible interferences. Peptide-AcOH elution was then performed in the same manner as described in method D. Solvent A was water with 10% acetic acid , and solvent B was ACN with 10% acetic acid.
2.10. Antibacterial Activity Assay
The minimum inhibitory concentration (MIC) and minimum bactericidal concentration (CLSI) were determined according to the Clinical and Laboratory Standards Institute guidance and [28]. In 96-well plates, 90 μL of peptide dissolved in Mueller Hinton broth (MHC) (200 to 6.25 μg/mL) and 10 μL of inoculum (5 × 106 CFU/mL) were seeded for a final volume of 100 μL (n = 3). Positive control ciprofloxacin (CIP) for Escherichia coli ATCC 25922 and vancomycin (VAN) for Staphylococcus aureus ATCC 25923 were evaluated. CMH with peptone water was used as technique control, and CMH with 10 μL of inoculum was used for growth control. The minimum bactericidal concentration (MBC) was determined by seeding in Trypticase Soy Agar and aliquoting the wells of the plate where no bacterial growth was observed. The Petri dishes were incubated at 37 °C for 24 h, and the MBC was determined as the minimum concentration at which there was no growth of bacterial colonies.
2.11. Cell Viability Assay by MTT
For MCF-7 and B16-F10 cells, the medium used was Dulbecco’s Modified Eagle’s Medium (DMEM)/Nutrient Mixture F-12 Ham. For A375 and HeLa cell lines, the medium used was Roswell Park Memorial Institute (RPMI-1640). The cell culture was maintained in an incubator at 37 °C with 5% CO2. For all cell lines, the medium was supplemented with 10% fetal bovine serum (SFB). All media were filtered through a 0.22 μm membrane.
The methodology was carried out as previously reported [29]; briefly, MCF-7, HeLa cells (1 × 105), A375, and B16-F10 cells (2.5 × 105) were seeded with complete medium in 96-well plates, and cell adhesion was allowed by incubating 24 h at 37 °C and 12 h at 37 °C, respectively. Subsequently, complete medium was removed, and incomplete medium was added for synchronization for 24 h at 37 °C and 12 h at 37 °C, respectively. The cells were incubated in complete medium containing 100 µL of peptide (200, 100, 50, 25, 12.5, 6.25, and 3.125 μg/mL) at 37 °C and 5% CO2 for 2 h. The medium was removed and 100 µL of incomplete medium containing 10% 3-4,5-dimethylthiazol-2-yl-2,5-diphenyltetrazole bromide (MTT) was added and incubated for 4 h. The medium was replaced with 100 µL of dimethyl sulfoxide (DMSO) and after 40 min incubation at 37 °C, the absorbance was measured at 590 nm. Incomplete culture medium with 10% MTT was used as a negative control, and cells without MTT treatment were used as a positive control (n = 2).
2.12. Hemolytic Activity Assay
Red blood cells (RBCs) were centrifuged at 2500 rpm for 8 min and washed three times with saline solution. Subsequently, 100 μL of cells (2% hematocrit) were mixed with 100 µL of peptide (200, 100, 50, 25, 12.5, and 6.3 μg/mL) and incubated at 37 °C for 2 h. Samples were centrifuged at 2500 rpm for 5 min. The supernatant was transferred to a 96-well plate, and absorbance was measured at 540 nm. Furthermore, 0% hemolysis was the supernatant of RBCs in saline solution, and 100% hemolysis corresponded to the supernatant of RBCs treated with distilled water [30].
2.13. Ethical Approval
Experiments were approved by the Universidad Nacional de Colombia ethical committee (code number 04-19 2019).
3. Results
In this work, RP-SPE methodologies were developed, optimized, and implemented to exchange the trifluoroacetate counterion for hydrochloride or acetate in peptides derived from LfcinB with demonstrated antibacterial or anticancer activity. Peptides were selected with the objective of determining whether chain length, number of residues, net charge, amphipathicity, polarity, and polyvalence affected the counterion exchange. The peptides were synthesized as trifluoroacetate salts (peptide-TFA) by SPPS–Fmoc/tBu, purified by RP-SPE, and characterized by RP-HPLC and MS (Table 1). In addition, analytical methods such as RP-HPLC, FT-ATR, and 19F-NMR were implemented to monitor the counterion exchange reaction and determine the amount of trifluoroacetate or acetate counterion in the purified products, finding that the majority of trifluoroacetate counterion could be exchanged by the developed methodologies.
Table 1.
RP-HPLC and MS characterization of peptides before and after the counterion exchange using optimized method A.
3.1. Synthesis of Trifluoroacetate Salt Peptides and Counterion Exchange
Fourteen peptides were synthesized by SPPS–Fmoc/tBu. Peptides 1–5 and 10–11 were used in pure form, while peptides 2, 6, 9, and 12–14 were used without purification as crude peptides (Table 1) [29,31,32,33,34,35]. The peptides studied presented a good synthetic viability, having no major inconvenience during SPPS. Peptides 1-TFA, 2-TFA, 3-TFA, and 4-TFA were used to optimize the counterion exchange reaction in solution to obtain peptides 1-HCl, 2-HCl, 3-HCl, and 4-HCl. The optimized methodology (method A) was applied to the counterion exchange of the other pure and unpurified peptides (5-TFA to 14-TFA). The reaction parameters were optimized to increase the peptide concentration, diminish the HCl concentration, stir, diminish the reaction time, and diminish the number of processes required for counterion exchange. The counterion exchange by RP-SPE was standardized using the unpurified peptide 2-TFA to obtain the peptides 2-HCl and 2-AcOH. The methodology developed reduced the time, the number of steps, the cost, and is more environmentally friendly. The counterion exchange reaction was monitored by RP-HPLC, FT-IR, and 19F-NMR and peptides were characterized by RP-HPLC, FT-ATR, NMR, and MS.
3.2. Counterion Analysis by RP-HPLC
The suitability of the developed method was evaluated with respect to tR and peak area (n = 6). The results showed that the method complies with the acceptance criteria for both trifluoroacetate and acetate counterions; for trifluoroacetate a tR = 2.43 ± 0.01 min and an area of 16,455,806 ± 0.1% (arbitrary units, AU) were observed, and similarly, for acetic acid, the values were tR = 3.36 ± 0.01 and an area of 27,705,744 ± 0.6% AU (Figure 1A).
Figure 1.
Chromatographic method by RP-HPLC (Synergi Hydro-RP® C-18 column) to trifluoroacetate and acetic acid analysis. The signals for trifluoroacetate anion (tR = 2.4 min) and acetic acid (tR = 3.4 min) are observed. (A) Overlay of chromatographic profiles to determine the suitability of the method with respect to tR and peak area (n = 6). (B) Superposition of the chromatographic profiles for the construction of the calibration curves to quantify the trifluoroacetate anion and acetic acid . The colour lines correspond to the concentration levels see Section 2.5.
The calibration curve for trifluoroacetate ion showed the following parameters: linear range of 0.017–0.889 mg TFA/g solution, r = 0.9999, r2 = 0.9998, LOD = 0.0038 mg TFA/g solution, LOQ = 0.0116 mg TFA/g solution, and the curve equation was y = (38,439,532 ± 125,355)x + 159,872. Meanwhile, the calibration curve for acetic acid had a linear range of 0.022–3.940 mg CH3COOH/g solution, r = 1.0000, r2 = 1.0000, LOD = 0.007 mg/g, LOQ = 0.022 mg CH3COOH/g solution, and the curve equation was y = (5,845,969 ± 8191)x − 6040 (Figure 1B, Figures S1, and S2 (Supplementary Materials)).
3.3. Counterion Exchange from Trifluoroacetate to Hydrochloride in Solution
Taking Sikora’s [27] report as a starting point, peptide 1-TFA: (RRWQWRRLLR)2K-Ahx (2.3 mg/mL) was dissolved in 0.1 M HCl and incubated for 3 min at RT; then, the reaction mixture (RM) was frozen and lyophilized, the process was repeated four times, and the final product was 1-HCl. The parameters of the counterion exchange reaction of trifluoroacetate to hydrochloride in peptide 1-TFA were evaluated and optimized. First, the HCl concentration (0.02, 0.04, 0.06, 0.08, and 0.10 M) and the number of process repetitions (one, two, three, four, and five times) were evaluated, maintaining constant the reaction time (3 min) and peptide concentration (2.3 mg/mL). The 1-TFA peptide was treated with the following conditions: a peptide concentration of 2.3 mg/mL, 0.02 M HCl, 3 min shaking at RT, and the process was repeated one, two, three, four, and five times. The trifluoroacetate counterion disappeared (signal lower than the LOD) in all cases; from these results, the process was repeated twice in the following experiments.
Evaluating HCl concentrations, a similar behavior was observed, where it was only necessary to repeat the process twice to exchange the counterion trifluoroacetate for hydrochloride. After, the reaction time was evaluated by dissolving the 1-TFA peptide (2.3 mg/mL) in 0.02 M HCl and stirring the RM at different times (0.5, 1, 2, 3, 4, and 5 min), and then the RM was frozen at 20 °C and lyophilized; the process was repeated twice. The trifluoroacetate counterion of peptide 1-TFA was removed completely in all reaction times evaluated, indicating that it only necessarily treated the peptide 1-TFA with 0.02 M HCl by 30 s at RT. Once the reaction time needed for the counterion exchange was evaluated, the peptide concentration was evaluated (0.5, 1, 2, 5, and 10 mg/mL), maintaining constant the conditions previously optimized: 0.02 M HCl, reaction time 30 s, and the process was repeated twice. The results showed that the trifluoroacetate counterion was eliminated when the peptide concentration was 0.5, 1, 2, or 5 mg/mL. When the reaction was carried out with peptide 1-TFA at 10 mg/mL, the chromatographic profile of the 1-HCl peptide showed a small signal at tR = 2.4 min corresponding to the remaining trifluoroacetate counterion, therefore showing that at this concentration there is not a total exchange of the trifluoroacetate counterion for hydrochloride. According to the results, the optimized method to exchange the counterion trifluoroacetate for hydrochloride is as follows: the peptide (5 mg/mL) is dissolved in 0.02 M HCl and stirred for 30 s at RT, and then the RM is frozen at −20 °C and subsequently lyophilized; this process must be repeated two times. The peptides were analyzed by RP-HPLC, LC-MS, and FT-ATR (Figure 2, Figures S3, and S4 (Supplementary Materials)) to quantify the counterion and establish if the HCl treatment affects the integrity and identity of the peptides. As an example, Figure 2 presents the analysis of peptides 1-TFA and 1-HCl by HPLC using C-18, a monolithic and polar embedded column.
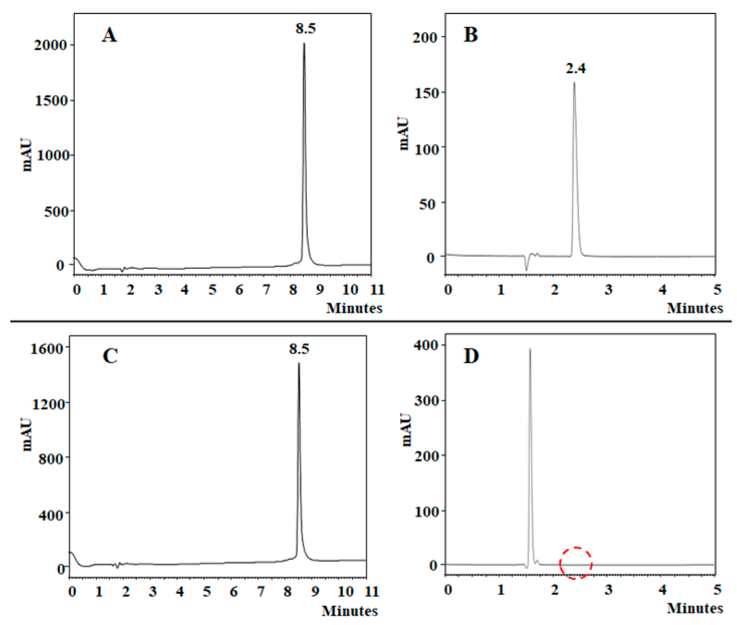
Figure 2.
Characterization by HPLC of peptides 1-TFA (A,B) and 1-HCl (C,D). Peptides were analyzed by RP-HPLC using a Chromolith® C-18 column, and the chromatographic profiles of the 1-TFA (A) and 1-HCl (C) peptides show a main signal at tR = 8.5 min. The counterion content was determined using a Synergy Hydro-RP® C-18 column. In peptide 3-TFA (B), a peak at tR = 2.4 min corresponding to the trifluoroacetate counterion is observed, while in the chromatogram of the 3-HCl peptide (D) this signal was not detected (red circle).
3.4. Peptide Characterization
The 1-TFA and 1-HCl peptides were analyzed by RP-HPLC with a monolithic C-18 column. The chromatographic profiles of both peptides show the same characteristics, with a main signal at tR = 8.5 min and chromatographic purities close to 90%, indicating that the peptide maintains its chromatographic properties after the counterion exchange process (Figure 2). In the chromatographic analyses of the counterion, peptide 1-HCl did not present the signal at tR = 2.4 min, evidencing that the counterion trifluoroacetate content is <LOD.
The results showed that the experimental molecular mass of peptides with the trifluoroacetate counterion is equal to that obtained for peptides with the hydrochloride counterion (Table 1 and Supplementary Materials). The optimized method A was used for the counterion exchange of 5-TFA to 14-TFA peptides, and the results showed that the trifluoroacetate content in 5-HCl to 14-HCl peptides was lower than the LOD (<0.0038 mg/g) in all cases, indicating that the counterion exchange by the proposed methodology was efficient. Method A was efficient for the trifluoroacetate counterion exchange of crude (6, 9, and 14) and purified peptides (5, 7, 8, 10, 11, 12, and 13) (Table 2).
Table 2.
RP-HPLC characterization of peptides before and after the trifluoroacetate counterion exchange using method A.
The counterion exchange of peptides was also monitored by FT-ATR, finding that the spectrum of peptide 1-TFA shows the signals corresponding to peptides and trifluoroacetate counterion. Signals 3–8 had a lower intensity in peptide 1-HCl compared with those observed in peptide 1-TFA (Figure S4, Supplementary Materials), corroborating that the trifluoroacetate counterion is being exchanged efficiently.
3.5. Counterion Exchange by RP-SPE
The solid- phase extraction (SPE) technique was evaluated to carry out the counterion exchange of trifluoroacetate to hydrochloride or acetate using hydrochloric acid and acetic acid solutions, respectively. Note that in peptides, the salt is formed by the anions hydrochloride, acetate, or trifluoroacetate, while the cations are the amino acid side chains (Lys, Arg, or His), which at physiological pH are positively charged. This was conducted with two objectives in mind: to develop a similar exchange methodology to obtain peptides with acetate or hydrochloride counterion (which is not possible or not so easy to do by means of SPPS) and to develop a counterion exchange-purification joint process that will allow obtaining therapeutic peptides quickly, at lower costs, and without requiring robust instrumentation. Based on the methodology reported by Insuasty et al., five methods were evaluated for counterion exchange from trifluoroacetate to hydrochloride (methods B and C) or acetate (methods D, E, and F) (Table 3).
Table 3.
Methods used to exchange trifluoroacetate counterion of peptide 2-TFA by RP-SPE.
When the counterion of the crude peptide 1-TFA was exchanged to obtain the purified 1-HCl peptide using method B, it was observed that the counterion was completely exchanged; however, the chromatographic purity of the 2-HCl peptide was 79%, indicating that the purification process was inadequate (Table 4), and therefore obtaining a product with lower chromatographic purity. On the other hand, the chromatographic profile (Synergy Hydro-RP® C-18 column, Phenomenex, CA, USA) of peptide 2-HCl obtained by method C does not present the signal at tR = 2.5 min corresponding to the trifluoroacetate counterion (Figure 3). The chromatographic profile of purified peptide 2-HCl obtained by method C using the Chromolith® C-18 column (Figure S5, Supplementary Materials) showed a signal at tR = 8.4 min and a chromatographic purity of 95%, indicating that the simultaneous process of purification and counterion exchange was efficient.
Table 4.
Counterion content of peptides obtained after counterion exchange and purification by RP-SPE.
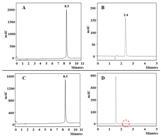
Figure 3.
Counterion exchange of peptide 2-TFA by methods C and F. Characterization by RP-HPLC (Synergy Hydro-RP® C-18 column) of 2-TFA (black), 2-HCl (blue), and 2-AcOH (purple). The counterion trifluoroacetate is only observed in peptide 2-TFA (tR = 2.5 min), while the acetic acid of peptide 2-AcOH shows a main signal at tR = 3.4 min.
The chromatogram (Synergy Hydro-RP® C-18 column) of the 2-AcOH peptide purified by method D shows two peaks at tR = 2.5 min and tR = 3.4 min, which correspond to trifluoroacetate counterion and acetic acid, respectively, indicating that the trifluoroacetate counterion was partially exchanged. On the other hand, the chromatographic profile of peptide 2-AcOH purified by methods E and F only showed the signal of acetic acid (tR = 3.4 min) (Figure 3). In the chromatographic profiles of the 2-TFA, 2-HCl (method C), and 2-AcOH (method F) peptides, a main signal (tR = 8.4 min) corresponding to the peptide was observed and in the chromatograms of the 2-HCl and 2-AcOH peptides, no additional signals were observed, indicating that the peptide did not undergo decomposition during the purification and counterion exchange step (Figure S5, Supplementary Materials).
Like what was observed for the 1-HCl peptide obtained by method A, in the FT-ATR spectra of the 2-AcOH and 2-HCl peptides, the signals 4–8 were of very low intensity with respect to those observed for the 2-TFA peptide, indicating that the removal of the trifluoroacetate counterion by RP-SPE was carried out (Figure S6, Supplementary Materials).
Trifluoroacetate counterion content of peptides 2-HCl (method C) and 2-AcOH (methods E and F) determined by RP-HPLC, using the hydroRP column, was lesser than the LOD (<0.0038 mg/g, <0.36%), while the trifluoroacetate counterion content of peptide 2-AcOH (method F), determined by 19F-NMR using trifluoroethanol (TFE) as a reference standard , was 1.3% (Figure S7, Supplementary Materials). For peptide 2-AcOH obtained by methods E and F, the acetate counterion content was 0.126 (12.1%) and 0.267 (25.4%) mg/g, respectively (Figure S7, Supplementary Materials).
3.6. Antimicrobial and Anticancer Activity of Peptides
The antimicrobial activity of peptides in E. coli ATCC 25922 and S. aureus ATCC 29213 strains was evaluated (Table 5). The peptides with TFA showed similar MIC and MBC values to the peptides with HCl in both strains evaluated, suggesting that the counterion exchange did not affect the antibacterial capacity of peptides in both Gram-positive and Gram-negative strains, and showing that counterion exchange did not affect peptide specificity for the strains evaluated, these results corresponding with results obtained in previous reports [33].
Table 5.
Peptide antibacterial activity on E. coli ATCC 25,922 and S. aureus ATCC 29,213 strains.
Hemolysis assays showed that peptides with trifluoroacetate or acetate counterion showed similar hemolytic activity. Peptides 1-TFA (40%) and 1-HCl (49%) presented similar values of hemolytic activity, suggesting that the peptide sequence is responsible for this and that it is independent of the counterion nature. Furthermore, peptides 2, 3, and 4 showed minimal hemolytic activity (less than 5%), indicating that the hemolytic activity is inherent to the peptide sequence (Table 5). The cytotoxic effect of peptides on cancer cell lines MCF-7, HeLa, A375, and B16-F10 was evaluated. The cytotoxic effect of peptides containing trifluoroacetate, hydrochloride, or acetate counterion did not vary in the cancer cells evaluated. The cytotoxic effect was higher as the peptide concentration was increased, and the maximum cytotoxic effect was observed at 200 µg/mL. The cellular viability curves allowed for the determination of the IC50 values for each peptide evaluated. Peptides 1-TFA (IC50 = 15 µM), 1-HCl (IC50 = 13 µM), and 1-AcOH (IC50 = 28 µM) showed similar cytotoxic effects in breast cancer cells MCF-7, and these peptides induced morphological changes in the cells as shrinking, rounding, and loss of the extensions were observed. Similar behavior was observed in these cells treated with the peptides 3-TFA and 3-HCl, as well as 4-TFA, 4-HCl, and 4-AcOH (Table 5 and Figure 4).
Figure 4.
Cytotoxic effect of peptides in breast cancer cells (MCF-7). Cytotoxic effect of (A). Peptide 1, (B) peptide 2, (C) peptide 3, (D) and peptide 4 against the MCF-7 cell line. The cells were treated with the peptides for 2 h at 37 °C. The data represent the mean ± SD (n = 3); 2-way ANOVA and t-test were used, p ≤ 0.05, showing (a) statistically not significant differences between 1-TFA, 1-HCl, and 1-AcOH peptides, (b) statistically not significant differences between 2-TFA and 2-HCl peptides, (c) statistically not significant differences between 3-TFA and 3-HCl peptides, and (d) statistically not significant differences between 4-TFA, 4-HCl, and 4-AcOH peptides.
The cytotoxic effect in HeLa cells of peptides 3-TFA and 3-HCl was evaluated, and the results showed that the peptides exert a fast and peptide- concentration- dependent cytotoxic effect. A375 and BF16-F10 melanoma cells were treated with the peptides 2-TFA and 2-HCl, and the cytotoxic effect of both peptides was similar in the two cell lines tested. Similar results were observed when A375 cells were incubated with peptides 4-TFA and 4-HCl (Figure S8, Supplementary Materials).
4. Discussion
In this research, methodologies were developed for trifluoroacetate counterion exchange to hydrochloride or acetate of peptides derived from bovine lactoferricin. Peptides with different characteristics were selected to establish whether length, number of residues, net charge, polarity, polyvalency, and primary structure affect counterion exchange. The peptides with trifluoroacetate counterion (peptide-TFA) were obtained by SPPS–Fmoc/tBu and peptides 1–5 and 10–11 had high chromatographic purity (86–97%). The counterion of the pure and crude peptides was exchanged in solution (method A), and the counterion exchange and purification of the crude peptide 2-TFA were performed simultaneously by RP-SPE (methods B–F).
4.1. Analytical Methods in Monitoring and Characterization of the Counterion Exchange
The chromatographic system for analyzing trifluoroacetate and acetate counterions consists of a Synergi HydroRP® C-18 column that allows elution of the analytes using an aqueous mobile phase (100% A), and the retention processes of the analytes are mainly governed by the interactions between the non-polar groups of the analytes and the hydrocarbon chain as well interactions between the polar groups of the analyte and the stationary phase. The pH of solvent A (phosphate buffer pH 2.5) is intermediate to the pKa values of TFA and acetic acid, allowing the trifluoroacetate ion (tR = 2.4 min) to elute before acetic acid (tR = 3.4 min). The chromatographic method implemented allowed simultaneous analysis of both counterions with a resolution value higher than 2.0. The chromatographic method for both analytes (C3FCOO- and CH3COOH), in terms of tR and peak area, was suitable as it meets the acceptance criteria (tR ±0.05 min and area ±1%) according to Snyder et al. [26], therefore confirming the chromatographic method developed is adequate for trifluoroacetate and acetate counterion analysis of promissory peptides in clinical trials. The calibration curves for each analyte showed that the values were adjusted to a linear regression model, where no outliers were observed. The sensitivity plots allowed us to establish the working range, and the ANOVA and tstudent t- tests indicated that the slope was different from zero and the percentage of relative residuals was less than 20%. It is established that the normal least squares fit is adequate for each calibration curve (Figures S1 and S2, Supplementary Materials). From the calibration curves, LOD and LOQ values were determined for trifluoroacetate (0.0038 and 0.0116 mg/g, respectively) and acetic acid (0.0070 and 0.0220 mg/g). Finally, it is evidenced that the calibration curve had a broad working range and allowed for the determination of the amount of trifluoroacetate in the peptides obtained by SPPS–Fmoc/tBu and remanent trifluoroacetate in the peptides with the hydrochloride or acetate counterion. It also evidenced that the procedures for counterion exchange work appropriately independently from the peptide’s nature and sequence.
The removal of the trifluoroacetate counterion was also monitored by FT-ATR and 19F-NMR to establish the advantages of these techniques. The reaction mixtures were lyophilized, and the solid was analyzed by FT-ATR or dissolved in deuterium oxide for analysis by 19F-NMR (Figure S7, Supplementary Materials). The FT-ATR spectrum of trifluoroacetate showed one signal at 1673 cm−1 corresponding to the stretching of the carbonyl group, two signals between 1100 and 1250 cm−1 due to stretching of the C-F and C-C bonds (1218 and 1141 cm−1, respectively), and three signals in the fingerprint region (842, 808, and 738 cm−1) (Figures S4 and S6, Supplementary Materials). The FT-ATR spectrum of the peptides presents three regions: amide I (1600–1690 cm−1, C=O stretching), amide II (1480–1575 cm−1, C-N stretching, N-H bending), and amide III (1229–1301 cm−1, C-N stretching, N-H bending). The FT-ATR spectrum of the 1-TFA peptide shows signals at 1655 cm−1 (amide I region; C=O stretch), 1543 cm−1 (amide II region), and 1200–1138 cm−1 from the C-F stretch and amide III region, as well as intense bands in the 750–900 cm−1 region due mainly to the trifluoroacetate ion. Signals at 1958 and 2928 cm−1 correspond to aliphatic C-H stretches (Figure S4, Supplementary Materials). On the FT-ATR spectrum of the 1-HCl peptide, it can be observed that the signals at 1655 and 1543 cm−1 (signals 1 and 2, respectively) have the same intensity as those observed in the FT-ATR spectrum of the 1-TFA peptide. On the other hand, the signals at 1204 (signal 3), 1134 (signal 4), 837 (signal 5), 802 (signal 6), and 721 cm−1 (signal 7) in the 2-HCl peptide spectrum had a lower intensity than those in peptide 1-TFA, evidencing the removal of the trifluoroacetate counterion and therefore suggesting that this technique can be used to monitor the counterion exchange reaction as a fast analysis method with very low sample treatment and instrumental requirements, presenting the limitation of not being completely adequate for quantitative analysis in comparison with other techniques (Figure S4, Supplementary Materials).
Testing NMR as a monitoring technique, 19F-NMR experiments were performed to determine the content of the trifluoroacetate counterion in 2-HCl and 2-AcOH peptides using trifluoroethanol (TFE) as a reference standard. The trifluoroacetate ion showed a singlet at –75.76 ppm, whereas TFE showed a triplet at –76.97 ppm (Figure S7, Supplementary Materials). The ratio of the areas of the two signals was calculated, and the trifluoroacetate ion concentration in the peptides was determined. The results showed that this technique is more sensible, allowing the quantification of trifluoroacetate in trace concentrations (lesser than <0.0038 mg/g); however, more studies are needed regarding this technique as a quantitative tool for trifluoroacetate on peptides challenging for a spot on preclinical and clinical trials.
4.2. Obtaining Peptide-HCl in Solution
The exchange of the trifluoroacetate counterion to hydrochloride in solution was developed from the methodology reported by Roux et al. [22] with some modifications, where peptide-TFA (2.3 mg/mL) was dissolved in 0.1 M HCl, stirred for 3 min, frozen at −20 °C, and lyophilized. This process was repeated four times to completely remove the trifluoroacetate counterion. To exchange the counterion of LfcinB-derived peptides, the reaction conditions were evaluated and optimized by doubling the amount of peptide (5 mg/mL), reducing by five times the acid concentration (0.02 M HCl) and by six times the stirring time (30 s), and it was necessary to repeat the process only twice. The results showed that the trifluoroacetate counterion content of peptides 1-HCl to 14-HCl was less than the LOD (corresponding to less than 0.4% of TFA (p/p) (see Table 1 and Table 2)). Furthermore, the RP-HPLC and LC-MS analyses showed that the counter exchange did not significantly affect the tR, peptide purity, and undesired species, indicating that the integrity and identity of peptides were not affected (Table 1). These results suggest that this optimized method was efficient to exchange the counterion of pure and unpurified peptides with different characteristics such as length, net charge, amphipathicity, polyvalence, and the presence of unnatural amino acids, suggesting that it is versatile and can be used in a routine manner with a wide range of peptides. The optimization of the methodology complies with the precepts of green chemistry since the HCl concentration, reaction time, and number of steps of the process were reduced, making it faster, less costly, and more environmentally friendly, and making an improvement in counterion exchange methodologies in comparison to traditional techniques such as HPLC and ion- exchange resins [3,22].
4.3. Peptide Purification and Counterion Exchange by RP-SPE
Method B was efficient to exchange the trifluoroacetate counterion of peptide 2-TFA to obtain 2-HCl; however, peptide 2-HCl presented a lower chromatographic purity (79%). This result indicates that the trifluoroacetate counterion can be effectively exchanged for the hydrochloride counterion by washing with 0.02 M HCl. The low purity of the 2-HCl peptide can be attributed to the peptide being eluted, increasing the ACN concentration in the eluent, and in the absence of an ionic pair additive in the mobile phase, causing the ionic groups of the peptide side chains to not be neutralized, leading to inefficient interaction of the peptide with the non-polar stationary phase. In method C, the peptide elution was carried out using a mobile phase (solvent A: H2O–0.02 M HCl and solvent B: ACN–0.02 M HCl) containing the ionic pair HCl. The peptide 2-HCl was obtained with high purity (95%), and trifluoroacetate counterion was determined by RP-HPLC (<LOD) and 19F-NMR (0.4%) (Figures S6 and S7, Supplementary Materials).
Method D partially allowed the counterion exchange of trifluoroacetate to acetate, and the purified 2-AcOH peptide contained 12% and 63.3% of trifluoroacetate and acetate counterion, respectively. This result could be because the pKa of acetic acid (4.8) is higher than the pKa of TFA (0.3), making it difficult for the acetate ion to replace the trifluoroacetate ion as the counterion of the 2-TFA peptide. Considering this, in methods E and F, the acetic acid was increased to 10%, and the counterion exchange was efficient since the content of the trifluoroacetate counterion in the purified 2-AcOH peptide determined by RP-HPLC was lower than the LOD (Figure 3 and Table 4). In the 2-AcOH peptide obtained by method F, the content of the trifluoroacetate counterion was 1.3%, as determined by 19F-NMR (Figure S7, Supplementary Materials). The pure 2-AcOH peptides obtained by methods E and F had an acetate content of 12.1 and 25.4%, respectively (Table 4). In summary, methods B and F allowed the complete exchange of the trifluoroacetate counterion of the 2-TFA peptide to hydrochloride and acetate, respectively. The methods developed in this work have great potential as they can be adapted to exchange the counterion of protein and non-protein molecules. In addition, this research is a valuable contribution to the pharmaceutical industry, industry in general, and research groups that use peptides as an input, since they can be implemented quickly, easily, at low cost, and without affecting the environment.
4.4. Antibacterial and Anticancer Activity
The antimicrobial activity of peptides 1–4 containing the trifluoroacetate, hydrochloride, or acetate counterion was evaluated against E. coli ATCC 25922 and S. aureus ATCC 29214 strains to establish whether the exchange of the counterion affects the antimicrobial activity. The MIC and MBC values obtained for the peptides with the trifluoroacetate counterion were like those of the peptides with the hydrochloride counterion. In addition, the MIC and MBC values were like those previously reported for peptides with the trifluoroacetate counterion [33]. Additionally, trifluoroacetate, acetate, and hydrochloride ions’ antimicrobial activities were evaluated, and none of the ions showed antibacterial activity at the concentrations evaluated. Therefore, this showed that the antimicrobial activity of the studied peptides is related to their sequence, more than the presence of the counterion, as well as showing that these peptides serve as promissory agents for therapeutic applications, since their activity is not bound to the reported toxicity of trifluoroacetate as a counterion. The fact that the antibacterial activity of the peptides with the trifluoroacetate or hydrochloride counterion was similar is consistent with the proposed mechanism of action of LfcinB. This peptide exerts an initial electrostatic interaction with the bacterium in which the side chains of the positively charged residues at physiological pH (Lys and Arg) interact with bacterial surface molecules, allowing the tryptophan side chains to interact with the lipid bilayer of the cell membrane causing its disruption leading to cell lysis; LfcinB has also been shown to be internalized to interact with intracellular targets [36,37,38,39,40,41,42]. From this it can be suggested that the counterion (trifluoroacetate or hydrochloride) of the peptide can be displaced by anions in the culture medium allowing the positively charged groups of the peptide to be available to interact with the negatively charged molecules in the cell surface (liposaccharide in Gram-negative bacteria and teichoic acid in Gram-positive bacteria).
The cytotoxic effect of peptides 1–4 was evaluated in MCF-7 breast cancer cells, HeLa cervical cancer cells, and A537 and B16-F10 melanoma cells to determine whether counterion exchange affected the cytotoxic effect of the peptides. The cytotoxic effect of the peptides evaluated in MCF-7 and HeLa cells did not vary when evaluating the studied peptides in comparison with what is previously reported [29,32,34]. The IC50 values, cell viability at the peptide concentrations tested, and morphological changes induced in MCF-7 cells were similar and independent of the counterion (trifluoroacetate, hydrochloride, or acetate) for peptides 1, 2, 3, and 4. These results suggest that the counterion exchange of peptides 1, 2, 3, and 4 did not affect the cytotoxic effect in breast cancer MCF-7 cells . The anticancer activity in MCF-7 cells of the 2-TFA peptide (IC50 = 28 µM) was like that in 2-HCl (IC50 = 42 µM) and 2-AcOH (IC50 = 37 µM), and the cellular viability curves and the morphological changes induced in the cell were also similar (Figure 4). The cytotoxic effect of the 2-TFA peptide has been associated with intrinsic and/or extrinsic apoptosis-mediated cell death. This suggests that the counterion does not interfere with the interaction of the peptide with the cell allowing the peptide to interact electrostatically with negatively charged molecules on the cell surface (phosphatidylserine, presence of O-glycosylated mucins, and presence of lactate anions) and enabling the peptide to either interact with cell death receptors or to be internalized [32,43,44].
Additionally, the cytotoxic effect of peptides 3-TFA and 3-HCl in HeLa cervical cancer cells was evaluated. The IC50 values for peptides 3-TFA (IC50 = 46 µM) and 3-HCl (IC50 = 49 µM), the cellular viability curves, and the morphological changes induced in HeLa cells were similar for both peptides, being the first report of the cytotoxic effect of these peptides in these cells (Figure S8c, Supplementary Materials). Furthermore, peptides 2-TFA, 2-HCl, 2-AcOH, 4-TFA, and 4-HCl showed significantly cytotoxic effects against A-375 melanoma cells. This effect was fast and concentration-dependent (0–200 µg/mL), and the maximum cytotoxic effect was observed at 200 µg/mL (Figure S8a,d, Supplementary Materials). The cytotoxic effect of peptides 2-TFA, 2-HCl, 2-AcOH, 4-TFA, or 4-HCl was similar between them and independent of the counterion. Similarly, peptides 2-TFA and 2-HCl had similar IC50 values in B16-F10 melanoma cells and the cytotoxic effect was similar for all three peptides (Figure S8b, Supplementary Materials). This is the first report of the anticancer activity in vitro of these peptides in these melanoma cells. The biological activity of these peptides being independent of the presence of the trifluoroacetate counterion serves as a promising go-ahead for these molecules to undergo further preclinical and clinical trials.
5. Conclusions
The trifluoroacetate counterion of LfcinB-derived peptides was exchanged for the hydrochloride counterion in solution using environmentally friendly reaction conditions; the peptide is dissolved (5 mg/mL) in a 0.02 M HCl solution, shaken for 30 s at room temperature, and then frozen at −20 °C and lyophilized; this process must be repeated two times. This methodology can be routinely used to exchange the trifluoroacetate counterion of peptides with different physical properties such as length, polarity, net charge, amphipathicity, polyvalence, and presence of non-natural amino acids, among others. The counterion exchange of LfcinB-derived peptides by RP-SPE was optimized and implemented by making counterion exchange a routine step in peptide purification. These methodologies can be applied in SPPS simply, quickly, and inexpensively; they do not require robust instrumentation and are environmentally friendly. For the LfcinB peptides evaluated, the antimicrobial and cytotoxic activity in vitro of these peptides can be determined using peptides containing trifluoroacetate as a counterion and the in vivo studies can be carried out with the peptides containing hydrochloride or acetate as counterions.
Supplementary Materials
The following supporting information can be downloaded at https://www.mdpi.com/article/10.3390/pr13010027/s1: Figure S1. Calibration curve of trifluoroacetate ion. (left) Regression parameters obtained by fitting the data to normal least squares regression. (right) Calibration curve of TFA (mg)g vs. peak area. Figure S2. Calibration curve of acetic acid. (left) Regression parameters obtained by fitting the data to normal least squares regression. (right) Calibration curve of acetic acid (mg/g) vs. peak area. Figure S3. Mass spectra of peptides 1-TFA (A) and 1-HCl (B). The multi-charged species and the broadening of the isotopic distribution are observed. From the m/z value of the first peak of the isotopic distribution, the experimental mass of the peptide was determined. Figure S4. ATR spectra of peptides 1-TFA and 1-HCl. The pink stripes show the signals that are attributed to TFA. Figure S5. Chromatographic profiles of peptides 2-TFA, 2-HCl, and 2-AcOH. Chromatographic system: Chromolith® C-18 monolithic column (10 × 4.6 mm); solvent (A) H2O–0.05% TFA and solvent (B) ACN–0.05% TFA; elution gradient: 10/10/50/100/100/100/10/10% B in 0/1/9/9.1/12/12.1/15 min; flow rate 1.0 mL/min; injection volume 10 μL (1 mg/mL); and 210 nm for detection. Figure S6. ATR spectra of peptides 2-TFA, 2-HCl, and 2- AcOH. The pink stripes show the signals that are attributed to TFA. Figure S7. 19F-NMR spectra of peptides 2-HCl and 2-AcOH, using trifluoroethanol (TFE) as reference standard. The chemical shift of TFA is –75.76 ppm (s) and of TFE –76.97 ppm (t). Figure S8. Cytotoxic effect of (A) peptide 2 against A375 cell line, (B) peptide 2 against B16-F10 cell line, (C) peptide 3 against HeLa cell line, (D) peptide 4 against A375 cell line. The cells were treated with peptides for 2 h at 37 °C. The data represent the mean ± SD (n = 3); 2-way ANOVA and t-tests were used, p ≤ 0.05, showing (A) statistically not significant differences between 1-TFA, 1-HCl, and 1-Act peptides, (B) statistically not significant differences between 2-TFA and 2-HCl peptides, (C) statistically not significant differences between 3-TFA and 3-HCl peptides, and (D) statistically not significant differences between 4-TFA and 4-HCl peptides.
Author Contributions
A.G.L.-S.: conceptualization, methodology, investigation, formal analysis, writing—original draft, visualization. K.G.R.-M.: formal analysis, resources, writing—original draft. K.J.C.-A.: formal analysis, resources, writing—original draft. N.A.-C.: formal analysis, resources, writing—original draft. J.E.R.-C.: formal analysis, resources, writing—original draft. N.M.G.-L.: formal analysis, resources, writing—original draft. K.A.H.-O.: formal analysis, resources, writing—original draft. Z.J.R.-M.: conceptualization, methodology, resources, writing—review and editing. R.F.-M.: conceptualization, methodology, writing—review and editing. J.E.G.-C.: conceptualization, methodology, formal analysis, resources, writing—original draft, visualization. All authors have read and agreed to the published version of the manuscript.
Funding
This research was conducted with the financial support of MINCIENCIAS with the project “Obtención de un prototipo peptídico promisorio para el desarrollo de un medicamento de amplio espectro para el tratamiento del cáncer de colon, cuello uterino y próstata”, Contract RC No. 845-2019.
Data Availability Statement
The original contributions presented in this study are included in the article/Supplementary Materials. Further inquiries can be directed to the corresponding authors.
Conflicts of Interest
The authors declare no conflicts of interest.
References
- Gupta, D.; Bhatia, D.; Dave, V.; Sutariya, V.; Gupta, S.V. Salts of therapeutic agents: Chemical, physicochemical, and biological considerations. Molecules 2018, 23, 1719. [Google Scholar] [CrossRef] [PubMed]
- Paulekuhn, G.S.; Dressman, J.B.; Saal, C. Trends in active pharmaceutical ingredient salt selection based on analysis of the orange book database. J. Med. Chem. 2007, 50, 6665–6672. [Google Scholar] [CrossRef] [PubMed]
- Sikora, K.; Jaśkiewicz, M.; Neubauer, D.; Bauer, M.; Bartoszewska, S.; Barańska-Rybak, W. Counter-ion effect on antistaphylococcal activity and cytotoxicity of selected antimicrobial peptides. Amino Acids 2018, 50, 609–619. [Google Scholar] [CrossRef] [PubMed]
- Greber, K.E.; Dawgul, M.; Kamysz, W.; Sawicki, W. Cationic net charge and counter ion type as antimicrobial activity determinant factors of short lipopeptides. Front. Microbiol. 2017, 8, 123. [Google Scholar] [CrossRef]
- Streuli, A.; Coxon, C.R.; Steuer, C. Simultaneous Quantification of Commonly Used Counter Ions in Peptides and Active Pharmaceutical Ingredients by Mixed Mode Chromatography and Evaporative Light Scattering Detection. J. Pharm. Sci. 2021, 110, 2997–3003. [Google Scholar] [CrossRef]
- Hjalte, J.; Hossain, S.; Hugerth, A.; Sjogren, H.; Wahlgren, M.; Larsson, P.; Lundberg, D. Aggregation Behavior of Structurally Similar Therapeutic Peptides Investigated by 1H NMR and All-Atom Molecular Dynamics Simulations. Mol. Pharm. 2022, 19, 904–917. [Google Scholar] [CrossRef]
- Sahakijpijarn, S.; Moon, C.; Koleng, J.J.; Williams, R.O. Formulation composition and process affect counterion for CSP7 peptide. Pharmaceutics 2019, 11, 498. [Google Scholar] [CrossRef]
- Muleva, C.T.; Bharate, S.S. Halide counterions in FDA-approved pharmaceutical salts. J. Drug Deliv. Sci. Technol. 2023, 89, 104999. [Google Scholar] [CrossRef]
- De la Torre, B.G.; Albericio, F. Peptide therapeutics 2.0. Molecules 2020, 25, 2293. [Google Scholar] [CrossRef]
- Albericio, F.; Kruger, H.G. Therapeutic peptides. Future Med. Chem. 2012, 4, 1527–1531. [Google Scholar] [CrossRef]
- Guzmán, F.; Aróstica, M.; Román, T.; Beltrán, D.; Gauna, A.; Albericio, F.; Cárdenas, C. Peptides, solid-phase synthesis and characterization: Tailor-made methodologies. Electron. J. Biotechnol. 2023, 64, 27–33. [Google Scholar] [CrossRef]
- Pires, D.A.T.; Bemquerer, M.P.; Nascimento, C.J.D. Some mechanistic aspects on Fmoc solid phase peptide synthesis. Int. J. Pept. Res. Ther. 2014, 20, 53–69. [Google Scholar] [CrossRef]
- Behrendt, R.; White, P.; Offer, J. Advances in Fmoc solid-phase peptide synthesis. J. Pept. Sci. 2016, 22, 4–27. [Google Scholar] [CrossRef] [PubMed]
- Insuasty Cepeda, D.S.; Pineda Castañeda, H.M.; Rodríguez Mayor, A.V.; García Castañeda, J.E.; Maldonado Villamil, M.; Fierro Medina, R.; Rivera Monroy, Z.J. Synthetic Peptide Purification via Solid-Phase Extraction with Gradient Elution: A Simple, Economical, Fast, and Efficient Methodology. Molecules 2019, 24, 1215. [Google Scholar] [CrossRef]
- Li, X.; Cazade, P.A.; Qi, P.; Thompson, D.; Guo, C. The role of externally-modulated electrostatic interactions in amplifying charge transport across lysine-doped peptide junctions. Chin. Chem. Lett. 2023, 34, 107466. [Google Scholar] [CrossRef]
- Namazian, M.; Zakery, M.; Noorbala, M.R.; Coote, M.L. Accurate calculation of the pKa of trifluoroacetic acid using high-level ab initio calculations. Chem. Phys. Lett. 2008, 451, 163–168. [Google Scholar] [CrossRef]
- Cornish, J.; Callon, K.E.; Lin, C.Q.; Xiao, C.L.; Mulvey, T.B.; Cooper, G.J.; Reid, I.R. Trifluoroacetate, a contaminant in purified proteins, inhibits proliferation of osteoblasts and chondrocytes. Am. J. Physiol.-Endocrinol. Metab. 1999, 277, E779–E783. [Google Scholar] [CrossRef]
- Ardino, C.; Sannio, F.; Pasero, C.; Botta, L.; Dreassi, E.; Docquier, J.D.; D’Agostino, I. The impact of counterions in biological activity: Case study of antibacterial alkylguanidino ureas. Mol. Divers. 2023, 27, 1489–1499. [Google Scholar] [CrossRef]
- Sikora, K.; Jaśkiewicz, M.; Neubauer, D.; Migoń, D.; Kamysz, W. The role of counter-ions in peptides—An overview. Pharmaceuticals 2020, 13, 442. [Google Scholar] [CrossRef]
- Chen, J.; Xie, X.; Zhang, H.; Li, G.; Yin, Y.; Cao, X.; Gao, Y.; Li, Y.; Zhang, Y.; Peng, F.; et al. Pharmacological Activities and Mechanisms of Hirudin and Its Derivatives—A Review. Front. Pharmacol. 2021, 12, 660757. [Google Scholar] [CrossRef]
- Yang, D.; Zhou, Q.; Labroska, V.; Qin, S.; Darbalaei, S.; Wu, Y.; Yuliantie, E.; Xie, L.; Tao, H.; Cheng, J. G protein-coupled receptors: Structure- and function-based drug discovery. Signal Transduct. Target. Ther. 2021, 6, 7. [Google Scholar] [CrossRef] [PubMed]
- Roux, S.; Zékri, E.; Rousseau, B.; Cintrat, J.C.; Fay, N. Elimination and exchange of trifluoroacetate counter-ion from cationic peptides: A critical evaluation of different approaches. J. Pept. Sci. 2008, 14, 354–359. [Google Scholar] [CrossRef] [PubMed]
- Francisco, C.; Galeano, V.; Jenny, Z.; Monroy, R.; Pérez, J.E.R.; Castañeda, J.E.G. Efficient Synthesis of Peptides with 4-Methylpiperidine as Fmoc Removal Reagent by Solid Phase Synthesis Article. J. Mex. Chem. Soc. 2014, 58, 386–392. [Google Scholar]
- González-López, N.M.; Insuasty-Cepeda, D.S.; Huertas-Ortiz, K.A.; Reyes-Calderón, J.E.; Martínez-Ramírez, J.A.; Fierro-Medina, R.; Rivera-Monroy, Z.J.; García-Castañeda, J.E. Gradient Retention Factor Concept Applied to Method Development for Peptide Analysis by Means of RP-HPLC. ACS Omega 2022, 7, 44817–44824. [Google Scholar] [CrossRef]
- Andrey, K.; Ortiz, H. Caracterización fisicoquímica de un péptido polivalente, derivado de la Lactoferricina Bovina, candidato a fármaco para el tratamiento del Cáncer de Mama. Master’s Thesis, Universidad Nacional de Colombia, Bogota, Colombia, 2021. [Google Scholar]
- Snyder, L.R.; Kirkland, J.J.; Dolan, J.W. Introduction to Modern Liquid Chromatography, 3rd ed.; Wiley-Interscience: New York, NY, USA, 2010. [Google Scholar]
- Sikora, K.; Neubauer, D.; Jaśkiewicz, M.; Kamysz, W. Citropin 1.1 Trifluoroacetate to Chloride Counter-Ion Exchange in HCl-Saturated Organic Solutions: An Alternative Approach. Int. J. Pept. Res. Ther. 2018, 24, 265–270. [Google Scholar] [CrossRef]
- National Committee for Clinical Laboratory Standards; Barry, A.L. Methods for Determining Bactericidal Activity of Antimicrobial Agents: Approved Guideline; National Committee for Clinical Laboratory Standards: Wayne, PA, USA, 1999. [Google Scholar]
- Barragán-Cárdenas, A.; Castellar-Almonacid, D.; Vargas-Casanova, Y.; Parra-Giraldo, C.; Umaña-Pérez, A.; López-Meza, J.; Rivera-Monroy, Z.; García-Castañeda, J. Enhanced breast cancer cell targeting: RGD integrin ligand potentiates RWQWRWQWR’s cytotoxicity and inhibits migration. Explor. Drug Sci. 2024, 2, 369–388. [Google Scholar] [CrossRef]
- Oddo, A.; Hansen, P.R. Hemolytic activity of antimicrobial peptides. In Antimicrobial Peptides: Methods and Protocols; Methods in Molecular Biology; Humana Press Inc.: New York, NY, USA, 2017; Volume 1548, pp. 427–435. [Google Scholar] [CrossRef]
- Barragán-Cárdenas, A.C.; Insuasty-Cepeda, D.S.; Cárdenas-Martínez, K.J.; López-Meza, J.; Ochoa-Zarzosa, A.; Umaña-Pérez, A.; Rivera-Monroy, Z.J.; García-Castañeda, J.E. LfcinB-Derived Peptides: Specific and punctual change of an amino acid in monomeric and dimeric sequences increase selective cytotoxicity in colon cancer cell lines. Arab. J. Chem. 2022, 15, 103998. [Google Scholar] [CrossRef]
- Insuasty-Cepeda, D.S.; Barragán-Cárdenas, A.C.; Ardila-Chantre, N.; Cárdenas-Martínez, K.J.; Rincón-Quiñones, I.; Vargas-Casanova, Y.; Ochoa-Zarzosa, A.; Lopez-Meza, J.E.; Parra-Giraldo, C.M.; Ospina-Giraldo, L.F.; et al. Non-natural amino acids into LfcinB-derived peptides: Effect in their (i) proteolytic degradation and (ii) cytotoxic activity against cancer cells. R. Soc. Open Sci. 2023, 10, 221493. [Google Scholar] [CrossRef]
- Pineda-Castañeda, H.M.; Huertas-Ortiz, K.A.; Leal-Castro, A.L.; Vargas-Casanova, Y.; Parra-Giraldo, C.M.; García-Castañeda, J.E.; Rivera-Monroy, Z.J. Designing Chimeric Peptides: A Powerful Tool for Enhancing Antibacterial Activity. Chem. Biodivers. 2021, 18, e2000885. [Google Scholar] [CrossRef]
- Barragán-Cárdenas, A.; Urrea-Pelayo, M.; Niño-Ramírez, V.A.; Umaña-Pérez, A.; Vernot, J.P.; Parra-Giraldo, C.M.; Fierro-Medina, R.; Rivera-Monroy, Z.; García-Castañeda, J. Selective cytotoxic effect against the MDA-MB-468 breast cancer cell line of the antibacterial palindromic peptide derived from bovine lactoferricin. RSC Adv. 2020, 10, 17593–17601. [Google Scholar] [CrossRef]
- Vargas Casanova, Y.; Rodríguez Guerra, J.A.; Umaña Pérez, Y.A.; Leal Castro, A.L.; Almanzar Reina, G.; García Castañeda, J.E.; Rivera Monroy, Z.J. Antibacterial Synthetic Peptides Derived from Bovine Lactoferricin Exhibit Cytotoxic Effect against MDA-MB-468 and MDA-MB-231 Breast Cancer Cell Lines. Molecules 2017, 22, 1641. [Google Scholar] [CrossRef] [PubMed]
- Farnaud, S.; Patel, A.; Odell, E.W.; Evans, R.W. Variation in antimicrobial activity of lactoferricin-derived peptides explained by structure modelling. FEMS Microbiol. Lett. 2004, 238, 221–226. [Google Scholar] [CrossRef] [PubMed]
- Farnaud, S.; Evans, R.W. Lactoferrin—A multifunctional protein with antimicrobial properties. Mol. Immunol. 2003, 40, 395–405. [Google Scholar] [CrossRef]
- Chan, D.I.; Prenner, E.J.; Vogel, H.J. Tryptophan- and arginine-rich antimicrobial peptides: Structures and mechanisms of action. Biochim. Biophys. Acta 2006, 1758, 1184–1202. [Google Scholar] [CrossRef]
- Haukland, H.H.; Ulvatne, H.; Sandvik, K.; Vorland, L.H. The antimicrobial peptides lactoferricin B and magainin 2 cross over the bacterial cytoplasmic membrane and reside in the cytoplasm. FEBS Lett. 2001, 508, 389–393. [Google Scholar] [CrossRef]
- Vorland, L.H.; Ulvatne, H.; Rekdal, Ø.; Svendsen, J.S. Initial binding sites of antimicrobial peptides in Staphylococcus aureus and Escherichia coli. Scand. J. Infect. Dis. 1999, 31, 467–473. [Google Scholar] [CrossRef]
- Tomita, M.; Wakabayashi, H.; Shin, K.; Yamauchi, K.; Yaeshima, T.; Iwatsuki, K. Twenty-five years of research on bovine lactoferrin applications. Biochimie 2009, 91, 52–57. [Google Scholar] [CrossRef]
- Ulvatne, H.; Haukland, H.H.; Olsvik, Ò.; Vorland, L.H. Lactoferricin B causes depolarization of the cytoplasmic membrane of Escherichia coli ATCC 25922 and fusion of negatively charged liposomes. FEBS Lett. 2001, 492, 62–65. [Google Scholar] [CrossRef]
- Chen, B.; Le, W.; Wang, Y.; Li, Z.; Wang, D.; Ren, L.; Lin, L.; Cui, S.; Hu, J.J.; Hu, Y.; et al. Targeting negative surface charges of cancer cells by multifunctional nanoprobes. Theranostics 2016, 6, 1887–1898. [Google Scholar] [CrossRef]
- Hoskin, D.W.; Ramamoorthy, A. Studies on anticancer activities of antimicrobial peptides. Biochim. Biophys. Acta 2008, 1778, 357–375. [Google Scholar] [CrossRef]
Disclaimer/Publisher’s Note: The statements, opinions and data contained in all publications are solely those of the individual author(s) and contributor(s) and not of MDPI and/or the editor(s). MDPI and/or the editor(s) disclaim responsibility for any injury to people or property resulting from any ideas, methods, instructions or products referred to in the content. |
© 2024 by the authors. Licensee MDPI, Basel, Switzerland. This article is an open access article distributed under the terms and conditions of the Creative Commons Attribution (CC BY) license (https://creativecommons.org/licenses/by/4.0/).



