Biodegradation of Polyethylene Using Bacillus tropicus Isolated from Sewage Wastewater Treatment Plant
Abstract
1. Introduction
2. Materials and Methods
2.1. Sample Collection
2.2. Applying Stress to Bacteria to Use Plastic as a Carbon Source
Minimal Salt Media (MSM) Preparation
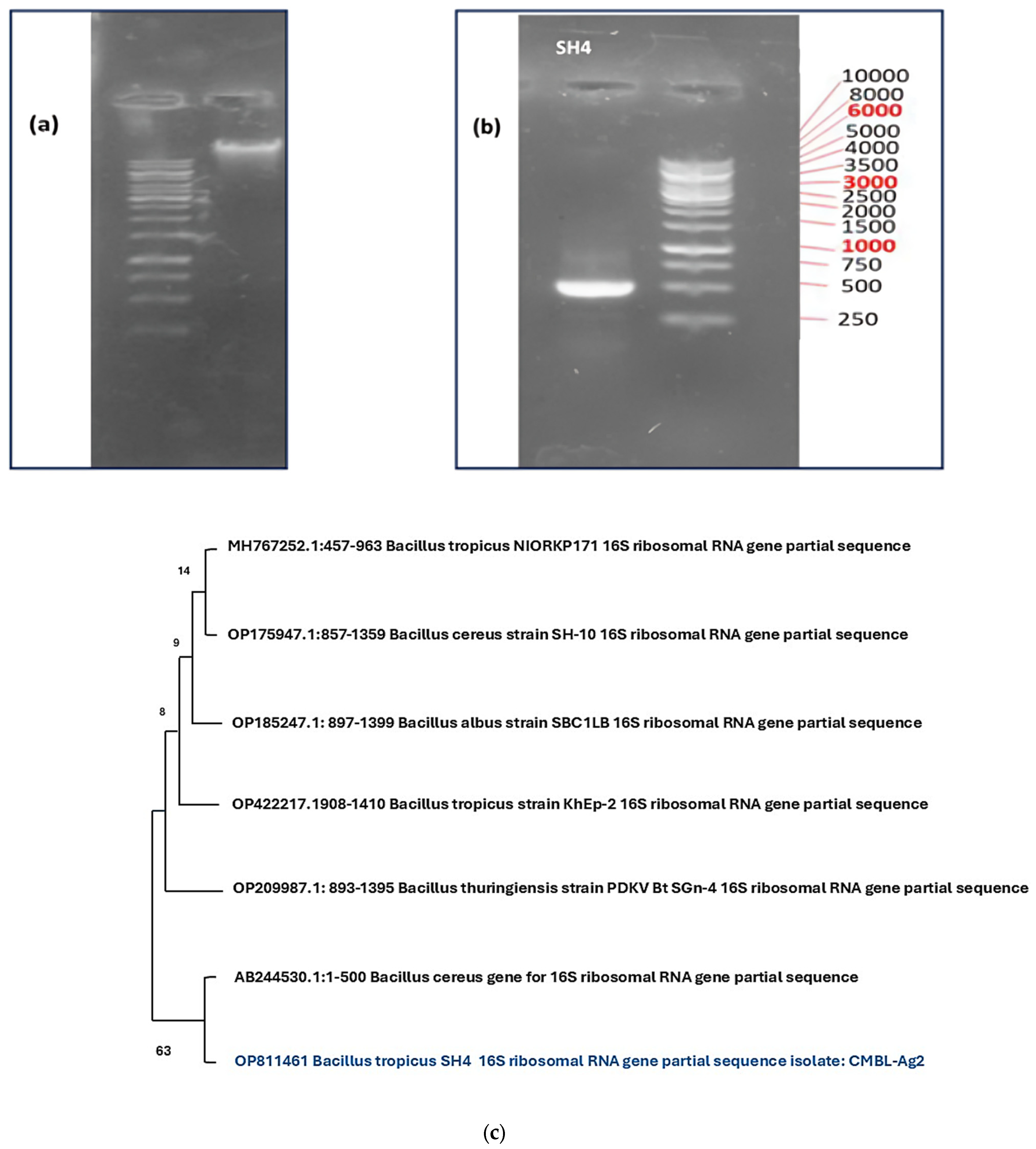
2.3. Molecular Identification of Bacteria
2.4. Weight Loss Experiment
2.5. Scanning Electron Microscopy (SEM) of Degraded Plastic Pieces
2.6. Gas Chromatography–Mass Spectrometry Analysis (GC-MS)
2.7. Fourier-Transform Infrared Spectroscopy (FTIR)
3. Results
3.1. Molecular Identification
3.2. Weight Reduction
3.3. GC_MS Analysis
3.4. FTIR Analysis
3.5. SEM Analysis of Physical Changes in Plastic Pieces
4. Discussion
5. Conclusions
Author Contributions
Funding
Data Availability Statement
Conflicts of Interest
References
- Sonke, J.E.; Koenig, A.M.; Yakovenko, N.; Hagelskjær, O.; Margenat, H.; Hansson, S.V.; De Vleeschouwer, F.; Magand, O.; Le Roux, G.; Thomas, J.L. A mass budget and box model of global plastics cycling, degradation and dispersal in the land-ocean-atmosphere system. Microplast. Nanoplast. 2022, 2, 28. [Google Scholar] [CrossRef]
- Schirmeister, C.G.; Mülhaupt, R. Closing the carbon loop in the circular plastics economy. Macromol. Rapid Commun. 2022, 43, e2200247. [Google Scholar] [CrossRef] [PubMed]
- Mohamadi, M. Plastic Types and Applications. In Plastic Waste Treatment and Management: Gasification Processes; Springer: Cham, Switzerland, 2023; pp. 1–19. [Google Scholar]
- Cudjoe, D.; Brahim, T.; Zhu, B. Assessing the economic and ecological viability of generating electricity from oil derived from pyrolysis of plastic waste in China. Waste Manag. 2023, 168, 354–365. [Google Scholar] [CrossRef] [PubMed]
- Ratnawati, R.V.; Tahar, N.; Sidik, U.S.; Onogawa, K.; Gamaralalage, P.J.D.; Makoto, T. National Plastic Waste Reduction Strategic Actions for Indonesia. 2020. Www.iges.or.jp, 46p. Available online: https://www.iges.or.jp/en/pub/national-plastic-waste-reduction-strategic-actions-indonesia/en (accessed on 30 September 2024).
- Arisman; Fatimah, Y.A. Waste management in indonesia: Strategies and implementation of sustainable development goals (sdgs) and circular economy. In Circular Economy Adoption: Catalysing Decarbonisation Through Policy Instruments; Springer: Singapore, 2023; pp. 131–157. [Google Scholar]
- Drzyzga, O.; Prieto, A. Plastic waste management, a matter for the ‘community’. Microb. Biotechnol. 2019, 12, 66. [Google Scholar] [CrossRef]
- Ali, S.; Isha; Chang, Y.C. Ecotoxicological Impact of Bioplastics Biodegradation: A Comprehensive Review. Processes 2023, 11, 3445. [Google Scholar] [CrossRef]
- Kibria, G.; Masuk, N.I.; Safayet, R.; Nguyen, H.Q.; Mourshed, M. Plastic waste: Challenges and opportunities to mitigate pollution and effective management. Int. J. Environ. Res. 2023, 17, 20. [Google Scholar] [CrossRef]
- Skariyachan, S.; Taskeen, N.; Kishore, A.P.; Krishna, B.V.; Naidu, G. Novel consortia of Enterobacter and Pseudomonas formulated from cow dung exhibited enhanced biodegradation of polyethylene and polypropylene. J. Environ. Manag. 2021, 284, 112030. [Google Scholar] [CrossRef]
- Maroof, L.; Khan, I.; Yoo, H.S.; Kim, S.; Park, H.-T.; Ahmad, B.; Azam, S. Identification and characterization of low density polyethylene-degrading bacteria isolated from soils of waste disposal sites. Environ. Eng. Res. 2020, 26, 200167. [Google Scholar] [CrossRef]
- Abdullah, H.; Othman, N.S.; Yaacob, N.S.; Ahmad, M.F.; Ibrahim, M.; Maniyam, M.N.; Azman, H.H. Low-Density Polyethylene (LDPE) Degradation by Malaysian Rhodococcus spp. Using Weight Reduction Test. Selangor Sci. Technol. Rev. (SeSTeR) 2021, 5, 41–47. [Google Scholar]
- Bakht, A.; Rasool, N.; Iftikhar, S. Characterization of plastic degrading bacteria isolated from landfill sites. Int. J. Clin. Microbiol. Biochem. Technol. 2020, 3, 30–35. [Google Scholar]
- Korotkov, E.V.; Suvorova, Y.M.; Kostenko, D.O.; Korotkova, M.A. Multiple alignment of promoter sequences from the Arabidopsis thaliana l. Genome. Genes 2021, 12, 135. [Google Scholar] [CrossRef] [PubMed]
- Saitou, N.; Nei, M. The neighbor-joining method: A new method for reconstructing phylogenetic trees. Mol. Biol. Evol. 1987, 4, 406–425. [Google Scholar] [PubMed]
- Felsenstein, J. Confidence limits on phylogenies: An approach using the bootstrap. Evolution 1985, 39, 783–791. [Google Scholar] [CrossRef] [PubMed]
- Tamura, K.; Nei, M.; Kumar, S. Prospects for inferring very large phylogenies by using the neighbor-joining method. Proc. Natl. Acad. Sci. USA 2004, 101, 11030–11035. [Google Scholar] [CrossRef]
- Tamura, K.; Stecher, G.; Kumar, S. MEGA11: Molecular evolutionary genetics analysis version 11. Mol. Biol. Evol. 2021, 38, 3022–3027. [Google Scholar] [CrossRef]
- Gao, L.; Gu, J.D. A new unified conceptual framework involving maintenance energy, metabolism and toxicity for research on degradation of organic pollutants. Biodegradation 2021, 162, 105253. [Google Scholar] [CrossRef]
- Tamnou, E.B.M.; Arfao, A.T.; Nougang, M.E.; Metsopkeng, C.S.; Ewoti, O.V.N.; Moungang, L.M.; Nana, P.A.; Takang-Etta, L.-R.A.; Perriere, F.; Nola, M. Biodegradation of polyethylene by the bacterium Pseudomonas aeruginosa in acidic aquatic microcosm and effect of the environmental temperature. Environ. Chall. 2021, 3, 100056. [Google Scholar] [CrossRef]
- Yao, Z.; Seong, H.J.; Jang, Y.-S. Degradation of low density polyethylene by Bacillus species. Appl. Biol. Chem. 2022, 65, 84. [Google Scholar] [CrossRef]
- Sun, X.; Chen, Z.; Kong, T.; Chen, Z.; Dong, Y.; Kolton, M.; Cao, Z.; Zhang, X.; Zhang, H.; Sun, W. Mycobacteriaceae mineralizes micropolyethylene in riverine ecosystems. Environ. Sci. Technol. 2022, 56, 15705–15717. [Google Scholar] [CrossRef]
- Abraham, J.; Ghosh, E.; Mukherjee, P.; Gajendiran, A. Microbial degradation of low density polyethylene. Environ. Prog. Sustain. Energy 2017, 36, 147–154. [Google Scholar] [CrossRef]
- Hou, L.; Xi, J.; Liu, J.; Wang, P.; Xu, T.; Liu, T.; Qu, W.; Lin, Y.B. Biodegradability of polyethylene mulching film by two Pseudomonas bacteria and their potential degradation mechanism. Chemosphere 2021, 286, 131758. [Google Scholar] [CrossRef] [PubMed]
- Das, M.P.; Kumar, S. An approach to low-density polyethylene biodegradation by Bacillus amyloliquefaciens. 3 Biotech 2014, 5, 81–86. [Google Scholar] [CrossRef] [PubMed]
- Kavitha, R.; Bhuvaneswari, V. Assessment of polyethylene degradation by biosurfactant producing ligninolytic bacterium. Biodegradation 2021, 32, 531–549. [Google Scholar] [CrossRef] [PubMed]
- Sangale, M.K.; Shahnawaz, M.; Ade, A.B. Gas chromatography-Mass Spectra analysis and deleterious potential of fungal based polythene-degradation products. Sci. Rep. 2019, 9, 1599. [Google Scholar] [CrossRef]
- Samanta, S.; Datta, D.; Halder, G. Biodegradation efficacy of soil inherent novel sp. Bacillus tropicus (MK318648) onto low-density polyethylene matrix. J. Polym. Res. 2020, 27, 1–16. [Google Scholar] [CrossRef]
- Arkatkar, A.; Juwarkar, A.A.; Bhaduri, S.; Uppara, P.V.; Doble, M. Growth of Pseudomonas and Bacillus biofilms on pretreated polypropylene surface. Biodegradation 2010, 64, 530–536. [Google Scholar] [CrossRef]
- Gupta, K.K.; Devi, D. Characteristics investigation on biofilm formation and biodegradation activities of Pseudomonas aeruginosa strain ISJ14 colonizing low density polyethylene (LDPE) surface. Heliyon 2020, 6, e04398. [Google Scholar] [CrossRef]
- MacLeod, M.; Arp, H.P.H.; Tekman, M.B.; Jahnke, A. The global threat from plastic pollution. Science 2021, 373, 61–65. [Google Scholar] [CrossRef]
- Li, X.; Tian, Y.; Xu, C.; Cheng, B. The impact of marine pollution control on the output value of marine fisheries based on the spatial econometric model. J. Coast. Res. 2019, 98, 381–384. [Google Scholar] [CrossRef]
- Velis, C.A. Plastic waste in marine litter: Action now and at the source. Waste Manag. Res. 2014, 32, 251–253. [Google Scholar] [CrossRef]
- Al-Atbi, H.S.; Mukhaifi, E.A.; Ali, S.F. Isolation and Identification of Polyethylene Terephthalate Degrading Bacteria from Shatt Al-Arab and Sewage Water of Basrah City. Baghdad Sci. J. 2023, 20, 1866–1872. [Google Scholar] [CrossRef]
- Meng, Q.; Yi, X.; Zhou, H.; Song, H.; Liu, Y.; Zhan, J.; Pan, H. Isolation of marine polyethylene (PE)-degrading bacteria and its potential degradation mechanisms. Mar. Pollut. Bull. 2024, 207, 116875. [Google Scholar] [CrossRef] [PubMed]
- Skariyachan, S.; Patil, A.A.; Shankar, A.; Manjunath, M.; Bachappanavar, N.; Kiran, S. Enhanced polymer degradation of polyethylene and polypropylene by novel thermophilic consortia of Brevibacillus sps. and Aneurinibacillus sp. screened from waste management landfills and sewage treatment plants. Polym. Degrad. Stab. 2018, 149, 52–68. [Google Scholar] [CrossRef]
- Shahnawaz, M.; Sangale, M.K.; Ade, A.B. Bacteria-based polythene degradation products: GC-MS analysis and toxicity testing. Environ. Sci. Pollut. Res. 2016, 23, 10733–10741. [Google Scholar] [CrossRef]
- Roy, P.; Titus, S.; Surekha, P.; Tulsi, E.; Deshmukh, C.; Rajagopal, C. Degradation of abiotically aged LDPE films containing pro-oxidant by bacterial consortium. Polym. Degrad. Stab. 2008, 93, 1917–1922. [Google Scholar] [CrossRef]
- Khandare, S.D.; Chaudhary, D.R.; Jha, B. Marine bacterial biodegradation of low-density polyethylene (LDPE) plastic. Biodegradation 2021, 32, 127–143. [Google Scholar] [CrossRef]
- Nadeem, H.; Alia, K.B.; Muneer, F.; Rasul, I.; Siddique, M.H.; Azeem, F.; Zubair, M. Isolation and identification of low-density polyethylene degrading novel bacterial strains. Arch. Microbiol. 2021, 203, 5417–5423. [Google Scholar] [CrossRef]
- Selke, S.; Auras, R.; Nguyen, T.A.; Castro Aguirre, E.; Cheruvathur, R.; Liu, Y. Evaluation of biodegradation-promoting additives for plastics. Environ. Sci. Technol. 2015, 49, 3769–3777. [Google Scholar] [CrossRef]
- Shah, A.A.; Hasan, F.; Akhter, J.I.; Hameed, A.; Ahmed, S. Degradation of polyurethane by novel bacterial consortium isolated from soil. Ann. Microbiol. 2008, 58, 381–386. [Google Scholar] [CrossRef]
- Dwicania, E.; Rinanti, A.; Fachrul, M.F. Biodegradation of LLDPE plastic by mixed bacteria culture of Pseudomonas aeruginosa and Brevibacterium sp. Phys. Conf. Ser. 2019, 1402, 022105. [Google Scholar] [CrossRef]
- Sanin, S.L.; Sanin, F.D.; Bryers, J.D. Effect of starvation on the adhesive properties of xenobiotic degrading bacteria. Process Biochem. 2003, 38, 909–914. [Google Scholar] [CrossRef]





| Serial No. | Compound | Quantity/500 mL |
|---|---|---|
| 1 | K2HPO4 | 2.27 g |
| 2 | Na2HPO4 | 5.97 g |
| 3 | NH4Cl | 0.5 g |
| 4 | MgSO4 | 0.25 g |
| 5 | CaCl2 | 0.0025 g |
| 6 | FeSO4 | 0.001 g |
| 7 | MnSO4 | 0.0005 g |
| 8 | ZnSO4 | 0.001 g |
| Bacteria | Compounds |
|---|---|
| Bacillus tropicus | Pentasiloxane, 1,1,3,3,5,5,7,7,9,9-decamethyl |
| 1,3,5-Benzetriol, 3TMS derivative | |
| Cyclotrisiloxane, hexamethyl | |
| Arsenous acid, tris(trimethylsilyl) ester | |
| Tris(tert-butyldimethylsilyloxy)arsane | |
| Cyclopentasiloxane, decamethyl- | |
| Cyclohexasiloxane, dodecamethyl | |
| 3-Amino-2-phenazinol ditms | |
| Benzeneethanamine, N-[(pentafluorophenyl)methylene]-.beta.,3,4-tris[(trimethylsilyl)oxy] | |
| Benzamide, 4-ethyl-N-benzyl-N-propyl | |
| trans-(2-Chlorovinyl)dimethylethoxysilane | |
| Ethanone, 2-(4-hydroxy-5,6-dimethylthieno[2,3-d]pyrimidin-2-ylthio)-1-(4-ethylphenyl) | |
| Cyclotetrasiloxane, octamethyl | |
| 1,4-Benzenedimethanethiol, 2TBDM | |
| 2,6-Dihydroxybenzoic acid, 3TMS | |
| Octasiloxane, 1,1,3,3,5,5,7,7,9,9,11,11,13,13,15,15-hexadecamethyl |
Disclaimer/Publisher’s Note: The statements, opinions and data contained in all publications are solely those of the individual author(s) and contributor(s) and not of MDPI and/or the editor(s). MDPI and/or the editor(s) disclaim responsibility for any injury to people or property resulting from any ideas, methods, instructions or products referred to in the content. |
© 2024 by the authors. Licensee MDPI, Basel, Switzerland. This article is an open access article distributed under the terms and conditions of the Creative Commons Attribution (CC BY) license (https://creativecommons.org/licenses/by/4.0/).
Share and Cite
Isha; Ali, S.; Chang, Y.-C. Biodegradation of Polyethylene Using Bacillus tropicus Isolated from Sewage Wastewater Treatment Plant. Processes 2024, 12, 2516. https://doi.org/10.3390/pr12112516
Isha, Ali S, Chang Y-C. Biodegradation of Polyethylene Using Bacillus tropicus Isolated from Sewage Wastewater Treatment Plant. Processes. 2024; 12(11):2516. https://doi.org/10.3390/pr12112516
Chicago/Turabian StyleIsha, Shakir Ali, and Young-Cheol Chang. 2024. "Biodegradation of Polyethylene Using Bacillus tropicus Isolated from Sewage Wastewater Treatment Plant" Processes 12, no. 11: 2516. https://doi.org/10.3390/pr12112516
APA StyleIsha, Ali, S., & Chang, Y.-C. (2024). Biodegradation of Polyethylene Using Bacillus tropicus Isolated from Sewage Wastewater Treatment Plant. Processes, 12(11), 2516. https://doi.org/10.3390/pr12112516

