Abstract
This work aimed to evaluate the chemical composition of essential oils from Catha edulis Forsk collected in the Day Forest of the Republic of Djibouti. Additionally, in vivo toxicity studies, biochemical profiling, and hematological tests were conducted to determine the biological activity of the investigated essential oils. Finally, in vitro tests were performed to investigate the antibacterial activity of the essential oils. The essential oils were obtained at yields of 0.75%. Chromatographic analysis identified 39 compounds, of which cathinone (81.4%) and cathine (10.55%) were determined as the two major components, representing 91.95% of the total composition. Catha edulis essential oil had a rat LD50 of 2500 mg/kg, indicating very low toxicity. Chronic exposure studies revealed that use of the essential oil in rats resulted in persistent stimulant action at dosages of 100 and 200 mg/kg, whereas the weight gain of control rats was faster than that of the essential oil-treated rats. Hematological parameters showed a significant increase in red blood cell counts, hemoglobin, hematocrit, and platelets in treated rats, which could indicate blood hyperviscosity that may increase the risk of blood clots and cardiovascular diseases. Furthermore, the investigated essential oil exhibited antimicrobial activity against several bacterial strains.
1. Introduction
The khat plant (Catha edulis Forsk) is a tree from the Celastraceae family, commonly cultivated in parts of East Africa and the Arabian Peninsula [1]. The plant’s leaves contain alkaloids that are structurally similar to amphetamines and are chewed daily by a high proportion of Djibouti’s adult population due to their mild stimulating effect. Initially, khat was used as a drink made from dried leaves, but it was later discovered that chewing the green leaves produced a stronger effect due to the loss of active constituents during the drying process [2,3]. Chewing khat leaves has been a common practice in Djibouti for hundreds of years. It is a major stimulant that helps people work harder, fights fatigue, and helps students study for tests. Recently, the consumption of fresh khat leaves has expanded due to air transport improvements, even in communities in Europe [4]. Chemical analysis has confirmed that the fresh leaves contain phenylalkylamine compounds (alkaloids) such as cathine and beta-cathinone, which are similar to amphetamines. Khat leaves also contain tannins, vitamins, minerals, and flavonoids. Currently, cathinone is believed to be the main active ingredient in fresh khat leaves [5,6,7]. Proponents of chewing khat claim that it has various health benefits, such as lowering blood sugar levels, acting as a remedy for asthma, and relieving symptoms of bowel tract disorders [8]. However, opponents argue that khat can harm health and affect many aspects of life, leading to social, economic, and medical consequences. In Djibouti, due to the widespread use of khat, it has become a serious national concern [9,10].
The objective of this study was to evaluate the chemical composition of essential oils extracted from Catha edulis Forsk collected in the Day Forest of the Republic of Djibouti. Additionally, the study aimed to determine the biological activity of the essential oils through in vivo toxicity studies, biochemical profiling, and hematological tests, as well as to investigate their antimicrobial activity through in vitro tests.
2. Materials and Methods
2.1. Plant Material and Sample Collection
The Catha edulis Forsk plant, which has medicinal properties, belongs to the Celastraceae family. In March 2022, the aerial parts of the plant were collected from the Day Forest in the Republic of Djibouti and then dried in the shade. The authentication of the plant species was performed by the first and last author of the work in the herbarium of the Institut de Recherches Médicinales de Djibouti (CERD) with the accession number CE11-2022.
2.2. Botanical Description of Catha edulis Forsk
Khat is an evergreen tree that is glabrous and upright and can grow to a height of 25 m. Its branches are dimorphic, with a small pointed crown at the end [11]. However, when cultivated, it is a shrub with multiple stems and a maximum height of 6 m. The trunk is straight and slender, and its bark differs between its natural and cultivated states. In cultivation, the bark is smooth and pale green–gray, while in large trees, it is rough. The branches are cylindrical and grayish to brownish [12]. Young twigs are usually flattened and have a dull green or brownish-red color. The leaves of the khat plant are alternate on orthotropic branches and opposite on plagiotropic branches. The triangular stipules are pale green, measure 3 cm by 1 mm, and are deciduous, leaving a beaded scar. The cylindrical petiole is 3 to 11 mm long and varies in color from pale to dark green. The leaf blade is oblong, elliptical, or obovate, with a size range of 5.5 × 1.5 cm to 11 × 6 cm. The base of the leaf is wedge-shaped to attenuate, and the apex is acute to acuminate or even obtuse. The edges of the leaf are glandular, serrated, and shiny. The mature leaf is leathery with reticulate venation [13].
2.3. Extraction and Analysis of Essential Oil
A Clevenger-type apparatus was used in a 4 h hydrodistillation process to obtain the essential oil from 500 g of dried Catha edulis Forsk plant parts. The resulting essential oil was collected and dried using anhydrous sodium sulfate, after which it was stored at 4 °C until analysis. The oil yield was determined based on the plant’s dry weight [14,15].
The yield of essential oil, represented as (Y), is determined by dividing the volume of extracted oil (v) by the weight of plant material used (W). This value is typically expressed in mL distillate per 100 g of dry matter and represented as a percentage of volume to mass, denoted as v/w% [16,17].
Gas chromatography coupled with mass spectrometry (GC-MS) is a commonly used analytical technique for the identification and quantification of volatile compounds in essential oils. In this analysis of Catha edulis Forsk essential oil, an Agilent GC-MS system was used. An Agilent Gas Chromatograph (GC-FID) model 6890 was utilized in the system and was equipped with a 30 m-long HP-5 MS silica capillary column. The column had an internal diameter of 0.25 mm and a film thickness of 0.25 µm. The stationary phase was composed of 5%-phenyl methylpolysiloxane. The column was programmed to increase from 50 °C (held for 5 min) to 250 °C at a rate of 5 °C/min and then held for 5 min. The injector temperature and flame ionization detector temperature were set to 280 °C and 300 °C, respectively. For analysis, 1 µL of essential oil diluted in 3.5% (v/v) acetone was injected in split mode (1/60). Hydrogen was used as the carrier gas with a flow rate of 1.0 mL/min [18,19,20].
2.4. Toxicity Study
2.4.1. Experimental Animals
The tests were performed on Swiss mice weighing 25–35 g and adult male Wistar rats weighing between 180–220 g. However, the tests to calculate the LD50 were carried out on female Swiss mice weighing 20–30 g. The animals were housed in the animal experimentation center of the faculty and kept under standard environmental conditions, including regulated temperature, relative humidity, and light exposure (26 ± 1 °C, 60–70% humidity and a 12 h light–12 h dark cycle) [21]. Food and water were provided ad libitum, except during the fasting period before the experimental procedures. The treatment of the animals strictly adhered to the guidelines stated in the Official Journal of the European Community for the care and use of laboratory animals [22]. Ethical approval for this study was granted by the ethics committee of ESTK-USMS (Morocco) and biological data were archived under accession number 2022/1000.
2.4.2. Study of the Acute Toxicity of the Essential Oil of Catha edulis Forsk
We used the acute oral toxicity method from OECD guideline 423 (OECD, 2002) to test the short-term toxicity of Catha edulis Forsk essential oil. This method is reproducible, uses very few animals, and is different from other acute toxicity methods (Guidelines 420 and 425). It allows substances to be classified by toxicity order. A determined dose of the substance was administered orally to a group of animals.
The experiment was carried out for each step on three non-pregnant female Swiss mice aged between 2 and 2.5 months and weighing between 20 and 30 g, which were kept healthy and fasted (food was removed but not water) for 4 h before and 2 h after oral administration of Catha edulis Forsk essential oil with an initial dose of 300 mg/kg. The essential oil was administered in solution in peanut oil by the oral route at a volume of 0.5 mL per 20 g of body weight. The treated mice were kept under continuous observation on the day of gavage to note any immediate disturbance. Observation of weight variations, mortality rates, animal behavior, and signs of toxicity was also carried out during the 14 days following exposure to detect any delayed effects of the extracts [23,24,25].
2.4.3. Study of the Chronic Toxicity of the Essential Oil of Catha edulis Forsk
We conducted a 90-day chronic toxicity study via oral administration following OECD Guidelines 408 and 452. The Wistar strain rats used in the study were bred in the central animal facility of the faculty. They were divided into six groups of twelve rats each, with each group composed of six males and six females housed separately in cages (females separated from males). The rats weighed between 180 and 200 g, pre-marked, and kept under standard conditions (temperature of 26 ± 1 °C, humidity of 60–70%, and a 12 h light–12 h dark cycle). All animals had free access to water and were acclimated for five days before the start of the study. One group of control rats received peanut oil instead of Catha edulis Forsk essential oil extract, while the other groups received the tested Catha edulis Forsk oil extract. The oil extract used in our study contained diluted Catha edulis Forsk essential oil in peanut oil at doses of 100 and 200 mg/kg administered orally. These doses were below the LD50 and represented a tenth of this value, corresponding to 100 and 200 mg/kg for Catha edulis Forsk essential oil, respectively. Throughout the exposure period, the animals’ body weight was monitored by weighing them weekly and noting their behavior. We also took blood samples at four different times (T0, T1, T2, and T3) to perform hematological and biochemical tests to evaluate the extracts’ impact on certain organs and animal metabolism. The samples were taken after a brief ether anesthesia on an empty stomach, through the retro-orbital sinus at eye level using a heparinized Pasteur pipette. Blood was collected in EDTA tubes (for hematological parameters) and heparinized tubes (for biochemical analysis) for the analysis of hematological and biochemical parameters [26,27,28].
2.4.4. Hematological Tests
The blood samples collected on EDTA were immediately used to measure levels of white blood cells, red blood cells, platelets, leukocyte formula, hemoglobin, and hematocrit. At the end of the experiment, all surviving animals were euthanized under ether anesthesia. The heart, lungs, liver, kidneys, and spleen were removed for histopathological analysis. This analysis aimed to identify any lesions caused by the treatment on these organs through macroscopic and microscopic analyses. After removal, each organ was weighed and preserved in a flask containing 10% formalin to prevent drying. Each organ underwent microscopic analysis. Hematological and biochemical measurements, as well as histopathological analyses, were performed in the laboratory [29,30].
2.4.5. Biochemical Tests
The blood samples collected in heparinized tubes were centrifuged at 4000 revolutions per minute for 10 min. The obtained serum was used to measure various biochemical parameters, including glucose, creatinine, urea, alanine aminotransferase (ALT), and aspartate aminotransferase (AST) levels [31,32].
2.5. In Vivo Activities of Catha edulis Forsk Essential Oil
The determination of the psychopharmacological profile of a substance requires an array of pharmacological tests to evaluate its impact on the nervous system. The study methods are classified into three groups: behavioral, neurochemical, and electrophysiological. These three methods are complementary in defining the psychopharmacological profile of a substance. In this study, behavioral methods were used to evaluate the psychotropic activity of an oily extract. The results of these tests helped to determine the potential clinical use of Catha edulis Forsk essential oil. In this experimental design, bromazepam (20 mg/kg, p.o.) was used as a reference drug [33,34,35].
2.5.1. Traction Test
During a test, mice were hung by their front legs from a wire that was stretched out horizontally. Typically, normal mice will quickly readjust themselves and reach the wire within 5 s. If a mouse fails to reach the wire using one of its hind legs, it is considered to be under the influence of a sedative, and this is classified as a negative reaction. On the other hand, if the mouse can reach the wire with one of its hind legs, it is classified as a positive reaction. The behavior of the mice was observed and recorded throughout the test [36].
2.5.2. Chimney Test
The experiment involved placing a rat in a 30 cm-long vertical glass tube and observing its attempts to climb backward. The maximum time a mouse was allowed to escape was 120 s, and a normal mouse usually escaped within 30 s. Mice that took longer than 30 s to respond were considered sedative-affected [37].
2.5.3. Hole-Board Test
This test allows the study of the exploration behavior of mice in a new environment and is used to highlight the inhibitory effect of psycholeptics on this reaction. The hole-board model LE-8825, measuring 40 cm × 40 cm by 2.2 cm thick and comprised of 16 holes of 3 cm diameter, was used in the study. Hole exploration movements were detected by infrared cells, and the counting of the number of holes explored was displayed every minute for 5 min. The mice were kept in their cages for up to 30 min after the administration of the essential oil (100, 200, 400, and 500 mg/kg; VO) to avoid any prior curiosity. The observer remained silent and still throughout the trial. This method was described by Boissier et al. in 1964 [38].
2.5.4. Rota-Rod Test
The rotarod test was performed using an LE 8500 Rota Rod/RS apparatus consisting of a 50 cm-long and 3 cm-diameter horizontal Perspex pole that provided optimal grip for rodents. Vertical partitions provide four isolated compartments that allow the simultaneous assessment of four animal subjects. The pole was located 25 cm above pallets mounted on an axis, allowing for their inclination and the stopping of the timer when the animal fell. The pole rotates freely around its longitudinal axis thanks to a DC motor. The rotation speed of the axis can be modified in a range from 4 to 40 rpm, and it is possible to use it with a constant rotation speed. The day before the rotarod test, mice were subjected to a pretest that involved placing them on the pole and exposing them to rotation at a speed of 12 revolutions per minute to select those that would remain on the bar for at least 60 s. On the following day, extracts were injected into preselected mice 30 min before the test. Motor incapacity was evaluated at 30, 60, and 120 min after oral administration of the essential oil (100, 200, 400, and 500 mg/kg; VO). The time taken by the mice before falling from the rotarod was recorded. For each test, three batches of five mice were used: a control group receiving the solvent of the extract, a reference group receiving bromazepam (20 mg/kg), and a group treated with the extracts [39].
2.6. Evaluation of the Antibacterial Activity
The antimicrobial efficacy of Catha edulis Forsk essential oils was evaluated against six susceptible microbial strains. The strains used included four Gram-negative bacteria—Escherichia coli, Pseudomonas aeruginosa, Proteus mirabilis, and Enterobacter cloacae—as well as two Gram-positive bacteria: Streptococcus pneumoniae and Staphylococcus aureus.
Antimicrobial Tests
We used the disk diffusion method to evaluate the antibacterial activity of plant extracts. The aromatogram method previously described by Jacob and Tonei in 1979 was employed in the study [40]. This method involves using sterile paper disks of 6 mm impregnated with different concentrations of extract obtained by a series of dilutions. Sterile Müller–Hinton agar was used to pour sterile petri dishes of 9 cm, on which an inoculum prepared from each strain was evenly spread. Paper disks impregnated with the extract were positioned on the agar surface and incubated at 37 °C for 18 h. A clear circular zone around the disk indicated the absence of bacterial growth. The diameter of this zone was measured with a ruler to determine the antimicrobial activity, which was expressed in terms of the diameter of the zone of inhibition (DZI). Negative controls (DMSO and distilled water) and positive control (ciprofloxacin) were also used to validate the results. The degree of sensitivity measured by the DZI was recorded as follows: extremely sensitive (+++) for D > 20 mm, very sensitive (++) for D between 15 and 19 mm, sensitive (+) for D between 9 and 14 mm, and nonsensitive (-) for D < 8 mm.
2.7. Statistical Analysis
Statistical analysis was performed using the XLSTAT toolbox (2016), which is part of the Microsoft Excel software. Values are presented as the mean ± uncertainty at a 5% significance level for each experiment, with three replicates conducted, and the Student’s t-test used for statistical analysis. Analysis of variance (ANOVA) with Tukey’s test was used to initially determine any significant data differences between the groups of samples.
3. Results and Discussion
3.1. Extraction and Analysis of Essential Oil
The average essential oil yield of Catha edulis, which was calculated based on the dry weight of plant material obtained from the aerial parts (stems, leaves, and flowers) of the studied plant, was estimated to be 0.75%.
However, this rate is lower than that obtained by hydrodistillation of the dried aerial parts of Catha edulis Forsk from Yemen, which is 0.9%, as described by Algabr et al. [41]. On the other hand, the essential oil yields obtained by hydrodistillation of the leaves of the two Ethiopian khat varieties are very low, less than 0.01% of the dry weight, as indicated by Hailu et al. [42]. It is therefore possible to conclude that several factors could be responsible for these variations, including the age of the plants, the age of the tree, the nature of the soil and climate, as well as the part of the plant used for extraction and the harvest period.
The results of gas chromatography coupled with mass spectrometry analysis of Catha edulis Forsk essential oil are presented in Table 1. Chromatographic analyses of the essential oil allowed for the identification of 39 compounds, which represent approximately 99.95% of the total composition. Cathinone (81.4%) and cathine (10.55%) were identified as the two major compounds. The remaining constituent content is low. It is important to note that cathinone is a stimulant alkaloid that is considered the most important psychoactive substance of the Catha edulis Forsk plant, while cathine is also a stimulant alkaloid, but is considered less psychoactive than cathinone. In general, the effects of consuming Catha edulis Forsk are due to the presence of these two compounds. These results may have implications for the consumption of Catha edulis, as the high concentration of cathinone may be associated with more intense psychostimulant effects. Additionally, the low content of other constituents may indicate that the plant does not have significant medicinal properties beyond its stimulant effects [43,44,45].
Table 1.
Chemical composition of Catha edulis Forsk essential oil.
According to Hailu et al. (2017) [42], the compositions of the essential oils of khat from two different parts of Ethiopia were studied. The results showed that 50 compounds were identified in the essential oil of khat from Bahir Dar, and the major constituents were 1-phenyl-1,2-propanedione (11.6%), limonene (30%), O-mentha-1(7),8-dien-3-ol (8.5%), camphor (6.3%), Z-caryophyllene (3.9%), 3-carene (2.2%), β-bourbonene (2.4%), β-humulene (1.6%), and α-cubebene (1.5%). On the other hand, 34 compounds were identified in the essential oils of khat from Wendo, and the major components were hexyl pentyl ether (2.2%), 1-hydroxy,1-phenyl-2-propanone (8.1%), tritriacontane (12%), 3,9-dimethyl-undecane (2.5%), 2,2,8-trimethyl-decane (2.4%), hexadecane (5.7%), sulfurous acid ester-2-propylundecyl (5.5%), 2-ethyl-1-dodecanol (2.6%), heptadecane (5.1%), 2,10-dimethyl-9-undecenol (4%), 10-methylnonadecane (5.3%), nonadecane (4.4%), butyltetradecyl phthalate (2.8%), isobutyloctadecyl phthalate (6%), and (E)-5-eicosene (2.6%). Algabr et al. (2014) [41] reported that the compositions of the essential oils obtained from khat grown in the two regions of Ethiopia differ from each other as well as from those of Yemen. The study revealed the presence of 56 constituents, accounting for 99.9% of the total content, out of which only 37 compounds were identified. Carvotanacetone was the major constituent, constituting 84.41% of the essential oil.
3.2. Acute Toxicity of Catha edulis
The LD50 of Catha edulis Forsk essential oil was determined using the method described in the European OECD Guideline 423. At a dose of 300 mg/kg administered orally, the mice showed slight sedation without any other notable effects. However, at a dose of 2000 mg/kg, only one mouse died shortly after administration, exhibiting signs of discomfort, such as accelerated breathing, agitation, and tremors. The surviving mice did not feed, but had recovered their normal state by the second day. The weight of the mice was not significantly affected by the extracts during the 14 days following treatment. Additionally, stimulant effects were observed in treated mice. As a result, the LD50 for Catha edulis Forsk essential oil was estimated to be 2500 mg/kg and was categorized as a toxic compound of class V.
3.3. Chronic Toxicity of Catha edulis Forsk
The essential oil of Catha edulis Forsk is considered to have very low toxicity. For this reason, we evaluated its chronic toxicity using experimental therapeutic doses to assess the impact of this essential oil after repeated administration. The results of this evaluation were divided into five points, as described below.
3.3.1. Animal Behavior
Rats treated with essential oil at a dose of 100 mg/kg exhibited normal behavior. On the other hand, those treated with a dose of 200 mg/kg showed prolonged stimulant activity for several hours, followed by a period of slowed movement and sedation combined with isolation, which lasted about 15 min, before returning to their normal state.
3.3.2. Weight Change
The results of the weight evaluation of two groups of treated animals are presented in Table 2. Compared to the body weight on the first day of the experiment, a significant and normal increase in weight was observed after 90 days in both control rats and those treated with respective doses of 100 and 200 mg/kg. However, a difference was noted between the two groups, with animals treated with doses of 100 and 200 mg/kg having lower weights than untreated animals. These weight changes are statistically significant (p < 0.05). It was observed that the weight gain of control rats was faster than that of treated rats, confirming the inhibitory effect of Catha edulis Forsk essential oil on weight gain.
Table 2.
Body weight of rats treated with Catha edulis Forsk essential oil.
3.3.3. Hematological Parameters
The results of the hematological parameters are presented in Table 3. The levels of red blood cells (RBC), hemoglobin (HGB), hematocrit (HCT), and platelets (PLT) increased significantly, which may be a sign of blood hyperviscosity and increased risk of blood clots and cardiovascular diseases [46]. However, these parameters should be interpreted in conjunction with other risk factors to assess the individual risk of cardiovascular disease [47]. On the other hand, no significant differences were observed for other parameters in rats treated compared to control groups, even as the duration of treatment increased. The hematological parameters remained the same in the two groups of treated rats compared to the results of the control group.
Table 3.
Effects of repeated oral administration of Catha edulis Forsk essential oil for 90 days on hematological parameters in Wistar rats.
3.3.4. Biochemical Parameters
After analyzing the results presented in Table 4, it was observed that the levels of ALAT, ASAT, triglycerides, and total proteins did not undergo significant changes in either treated group compared to the controls. However, the levels of urea and creatinine significantly increased in both groups of animals, while the cholesterol level significantly decreased. In addition, the blood glucose level remained stable. These results suggest that Catha edulis Forsk essential oil may reduce the level of blood cholesterol (HDL), thereby increasing the risk of cardiovascular disease [48]. However, an increase in the levels of urea and creatinine may indicate kidney dysfunction or dehydration. Although the khat plant has been associated with stabilizing blood sugar levels, surveys have revealed that consumers of this plant suffer from hyperglycemia due to the consumption of sugary drinks with this plant to improve taste, as the plant’s leaves cause dryness in the mouth [49,50].
Table 4.
Effects of repeated oral administration of Catha edulis Forsk essential oil for 90 days on biochemical parameters in Wistar rats.
3.3.5. Anatomopathological Exam
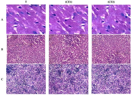
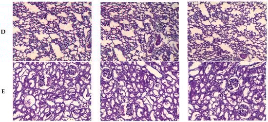
After macroscopic observation of the organs (lungs, heart, liver, kidneys, and spleen), no morphological anomalies or hemorrhage due to the administration of Catha edulis Forsk essential oil were revealed. Statistical analysis of organ weights in groups treated with doses of 100 and 200 mg/kg showed no significant difference compared to the control group (Table 5). Histological examination of tissues from the lungs, heart, liver, and spleen revealed no characteristic pathology or abnormalities in cell architecture compared to controls. However, at the level of the kidneys, we observed glomerular ischemia and focal tubular necrosis (Figure 1).
Table 5.
Effect of Catha edulis Forsk essential oil on the weight of organs removed from rats after 90 days of oral treatment.

Figure 1.
Micrography of the heart (A), liver (B), spleen (C), lungs (D), and kidneys (E) of rats treated with Catha edulis Forsk essential oil at doses of 100 and 200 mg/kg (CE1 and CE2) and control rats (T).
3.4. In Vivo Activities of Aqueous Extracts and Essential Oils of Catha edulis
3.4.1. Psychotropic Activity
The effect of the tested essential oil on psychotropic activity was measured by comparing the results obtained in subsequent experiments with those observed for control group and a reference group. Pharmacological tests were carried out by orally administering doses of 100, 200, 400, and 500 mg/kg of Catha edulis Forsk essential oil.
3.4.2. Traction Test
The animals that received a dose of 100 mg/kg of Catha edulis Forsk essential oil orally quickly recovered without any notable sedative effects. However, at doses of 200 mg/kg, 400 mg/kg, and 500 mg/kg given orally, the mean recovery time decreased significantly compared to the control group (by 0.06 s threshold). These results suggest that Catha edulis Forsk essential oil has a remarkable stimulating effect (Table 6).
Table 6.
The action of Catha edulis Forsk essential oil.
3.4.3. Chimney Test
The results obtained show that Catha edulis Forsk essential oil does not have a sedative effect on mice, but on the contrary, it appears to stimulate their initiative and curiosity. Indeed, mice treated with this essential oil were able to climb the tube, suggesting a stimulating activity of the plant (Table 6).
3.4.4. Hole-Board Test
The test shows that oral administration of Catha edulis Forsk essential oil at doses of 100, 200, 400, and 500 mg/kg significantly increases the cumulative number of holes explored by mice, reflecting their increased curiosity (Table 6). These results suggest that investigated essential oil stimulates the locomotor activity of mice.
3.4.5. Rotarod Test
The results of the rotarod test are presented in Table 7. After oral administration of Catha edulis Forsk essential oils for 30, 60, and 120 min, a significant increase (p < 0.001) was observed in the average time spent by the animals on the rod as well as their ability to stay on it. These results suggest that, unlike bromazepam, which produces a typical sedative effect, Catha edulis Forsk essential oil has a significant stimulating effect.
Table 7.
The behavior of mice on the rotating rod after oral administration of Catha edulis Forsk essential oil and bromazepam (20 mg/kg).
3.5. Antimicrobial Activity
The antimicrobial activity of Catha edulis Forsk essential oil was evaluated against several strains of Gram-positive bacteria (S. pneumoniae and S. aureus) and Gram-negative bacteria (E. coli, P. mirabilis, P. aeruginosa, and E. cloacae), and the results of the microbial growth inhibition tests are presented in Table 8. The results indicate that the essential oil exhibited effectiveness against all bacterial strains, with a zone of inhibition diameter ranging from 23.78 to 45.33 mm. Dilutions of 1/2, 1/4, 1/8, and 1/16 gave zone of inhibition diameters less than 25 mm, indicating that the concentration of the essential oils is proportional to their activity [51]. The essential oils of Catha edulis Forsk demonstrated noteworthy activity against Gram-negative bacteria, with zone of inhibition diameters varying from 1.99 to 31.15 mm. However, it exhibited even greater activity against Gram-positive bacteria, with a zone of inhibition diameter ranging from 2.33 to 45.33 mm. In general, Gram-positive bacteria are more sensitive to the action of essential oils than Gram-negative bacteria.
Table 8.
Antimicrobial activity of Catha edulis Forsk essential oils.
4. Conclusions
This study explored the chemical composition and toxicological properties of the essential oil of Catha edulis Forsk from Djibouti. Cathinone and cathine were identified as the main components of the investigated essential oil. Toxicological analysis revealed that the oil has not exhibited toxic effects in animals. Furthermore, it possesses potent antimicrobial properties against both Gram-positive and Gram-negative bacteria, indicating its potential as a supplementary or alternative antimicrobial agent in the treatment of bacterial infections. This work contributes to the current pool of literature data on the pharmacological and toxicological qualities of natural products. It also indicates that the essential oil of Catha edulis Forsk from Djibouti has promising antibacterial potential and could be utilized as complementary medicine in the treatment and prevention of antibiotic-resistant bacterial strain infections.
Author Contributions
Conceptualization, F.M.A.-L. and T.A.; methodology, A.M.A., and A.A.; software, I.H.A., M.K. and J.M.; validation, F.M.A.-L. and T.A.; formal analysis, M.K., Z.E.M., I.H.A. and A.A; investigation, F.M.A.-L.; resources, F.M.A.-L. data curation, A.M.A. and T.A.; writing—original draft preparation, A.A. and T.A.; writing—review and editing, M.K. and F.M.A.-L.; visualization, A.A.; supervision, F.M.A.-L.; project administration, F.M.A.-L.; funding acquisition, F.M.A.-L. All authors have read and agreed to the published version of the manuscript.
Funding
The authors received no external funding for this article.
Data Availability Statement
Data is contained within the article.
Conflicts of Interest
The authors declare no conflict of interest.
References
- Ngeny, L.C.; Keter, L.K.; Irungu, B.N.; Kuria, J.M.; Mwikwabe, N.M.; Ondicho, J.M.; Korir, R.K.; Mwitari, P.G.; Tolo, F.M.; Orwa, J.A. In vitro Cytotoxic Activities of Catha edulis (Vahl) Forssk. Ex Endl.(Khat) Varieties from Kenya on Select Cancer Cell Lines. EAS J. Pharm. Pharmacol. 2023, 5, 8–13. [Google Scholar] [CrossRef]
- Ademe, B.W.; Brimer, L.; Dalsgaard, A.; Belachew, T. Chemical and microbiological hazards of Khat (Catha edulis) from field to chewing in Ethiopia. GSC Biol. Pharm. Sci. 2020, 11, 24–35. [Google Scholar] [CrossRef]
- Ahsan, W.; Al Bratty, M.; Alhazmi, H.A.; Attafi, I.M.; Khardali, I.A.; Abdelwahab, S.I. Determination of trace metal concentrations in different parts of the khat varieties (Catha edulis) using inductively coupled plasma-mass spectroscopy technique and their human exposure assessment. Pharmacogn. Mag. 2019, 15, 449–458. [Google Scholar] [CrossRef]
- Jones, N.; Baird, S.; Hicks, J.; Devonald, M.; Neumeister, E.; Presler-Marshall, E.; Iyasu, A.; Yadete, W. Autonomisation Economique des Adolescents en Éthiopie; Genre et Adolescence: Données Mondiales: London, UK, 2019. [Google Scholar]
- Abdoul-Latif, F.M.; Elmi, A.; Merito, A.; Nour, M.; Risler, A.; Ainane, A.; Bignon, J.; Ainane, T. Essential oils of Tagetes minuta and Lavandula coronopifolia from Djibouti: Chemical composition, antibacterial activity and cytotoxic activity against various human cancer cell lines. Int. J. Plant Biol. 2022, 13, 315–329. [Google Scholar] [CrossRef]
- Abdoul-Latif, F.M.; Elmi, A.; Merito, A.; Nour, M.; Risler, A.; Ainane, A.; Bignon, J.; Ainane, T. Chemical Analysis of Essential Oils of Cymbopogon schoenanthus (L.) Spreng. and Nepeta azurea R. Br. ex Benth from Djbouti, In-Vitro Cytotoxicity against Cancer Cell Lines and Antibacterial Activities. Appl. Sci. 2022, 12, 8699. [Google Scholar] [CrossRef]
- Mohamed Abdoul-Latif, F.; Elmi, A.; Merito, A.; Nour, M.; Risler, A.; Ainane, A.; Bignon, J.; Ainane, T. Essential Oils of Ocimum basilicum L. and Ocimum americanum L. from Djibouti: Chemical Composition, Antimicrobial and Cytotoxicity Evaluations. Processes 2022, 10, 1785. [Google Scholar] [CrossRef]
- Alemu, A.; Tegegne, A. Assessment of chromium contamination in the soil and khat leaves (Catha edulis Forsk) and its health risks located in the vicinity of tannery industries; A case study in Bahir Dar City, Ethiopia. Heliyon 2022, 8, e11914. [Google Scholar] [CrossRef]
- Abdelwahab, S.I.; Mohamed, M.M.E.T. A comprehensive bibliometric analysis of Catha edulis (Vahl) Endli (Khat) research (1961–2021). Bull. Natl. Res. Cent. 2022, 46, 279. [Google Scholar] [CrossRef]
- Asfaw, G.; Abebe, M.G.; Senbeta, E.K. Evaluation of dried Khat (Catha Edulis) leaf as natural additives on egg quality, embryonic mortality, and chick quality of white leghorn layers. J. Indones. Trop. Anim. Agric. 2022, 47, 168–176. [Google Scholar] [CrossRef]
- Al-Qadhi, G.; Mohammed, M.M.A.; Al-Ak’Hali, M.; Al-Moraissi, E.A. Khat (Catha Edulis Forsk) induced apoptosis and cytotoxicity in cultured cells: A scoping review. Heliyon 2021, 7, e08466. [Google Scholar] [CrossRef]
- Abou-Elhamd, A.S.; Sumayli, S.; Steger, K.; Ali, A.K.M.; Zayed, A.E. Effect of khat (Catha edulis forsk) extract on testicular maturation in pre-pubertal and pubertal rats: A morphological and biochemical study. Anat. Histol. Embryol. 2021, 50, 271–283. [Google Scholar] [CrossRef] [PubMed]
- Chong, Z.X.; Ho, W.Y.; Yan, P.; Alshagga, M.A. Evaluation of khat (Catha edulis) use as a risk factor of cancer: A systematic review. Asian Pac. J. Cancer Prev. 2020, 21, 881. [Google Scholar] [CrossRef]
- Abdoul-Latif, F.M.; El Montassir, Z.; Ainane, A.; Gharby, S.; Sakar, E.H.; Merito, A.; Mohamed, J.; Ainane, T. Use of Thymus Plants as an Ecological Filler in Urea-Formaldehyde Adhesives Intended for Bonding Plywood. Processes 2022, 10, 2209. [Google Scholar] [CrossRef]
- Abdoul-Latif, F.M.; Ainane, A.; Abdoul-Latif, T.M.; Ainane, T. Chemical study and evaluation of insectical properties of African Lippia citriodora essential oil. J. Biopestic. 2020, 13, 119–126. [Google Scholar] [CrossRef]
- Abdoul-Latif, F.M.; Ainane, A.; Mohamed, J.; Attahar, W.; Ouassil, M.; Ainane, T. Essential oil of Thymus zygis: Chemical composition and biological valorization proposals. AMA Agric. Mech. Asia Afr. Lat. Am. 2021, 51, 801–810. [Google Scholar]
- Ainane, A.; Abdoul-Latif, F.M.; Abdoul-Latif, T.M.; Ainane, T. Feasibility study of a project to produce an insecticide formulation based on the essential oil of Rosmarinus officinalis. Environ. Asia 2021, 14, 33–40. [Google Scholar]
- Mohamed, J.; Ainane, T. Evaluation of the antibacterial activity of the essential oil of Rosmarinus officinalis L. from Khenifra (middle atlas of Morocco). PharmacologyOnLine 2021, 3, 847–856. [Google Scholar]
- Ainane, A.; Mohamed Abdoul-Latif, F.; Mohamed Abdoul-Latif, T.; Ainane, T. Evaluation of biological activities of two essential oils as a safe environmental bioinsecticides: Case of Eucalyptus globulus and Rosmarinus officinalis. Przegląd Naukowy. Inżynieria I Kształtowanie Sr. 2020, 29, 544–556. [Google Scholar] [CrossRef]
- Abdoul-Latif, F.M.; Ainane, A.; Merito, A.; Ainane, T. Chemical composition and biological activities of essential oils from Djibouti. J. Anal. Sci. Appl. Biotechnol. 2022, 4, 1–9. [Google Scholar]
- Caballero-Eraso, C.; Colinas, O.; Sobrino, V.; González-Montelongo, R.; Cabeza, J.M.; Gao, L.; Pardal, R.; López-Barneo, J.; Ortega-Sáenz, P. Réarrangement des types de cellules chez le rat niche neurogène du corps carotidien induite par une hypoxie intermittente chronique. J. Physiol. 2023, 601, 1017–1036. [Google Scholar] [CrossRef]
- Wu, L.; Cen, Y.; Feng, M.; Zhou, Y.; Tang, H.; Liao, X.; Wang, Y.; Wang, M.; Zhou, M. La metformine active les effets protecteurs de la voie AMPK dans les lésions pulmonaires aiguës causées par un empoisonnement au paraquat. Médecine Oxydative Et Longévité Cell. 2019, 2019, 1709718. [Google Scholar]
- Plata-Rueda, A.; Rolim, G.D.S.; Wilcken, C.F.; Zanuncio, J.C.; Serrão, J.E.; Martínez, L.C. Acute toxicity and sublethal effects of lemongrass essential oil and their components against the granary weevil, Sitophilus granarius. Insects 2020, 11, 379. [Google Scholar] [CrossRef]
- Ainane, T.; Abourriche, A.; Kabbaj, M.; Elkouali, M.; Bennamara, A.; Charrouf, M.; Talbi, M. Removal of hexavalent chromium from aqueous solution by raw and chemically modified seaweed Bifurcaria bifurcata. J. Mat. Env. Sci. 2014, 5, 975–982. [Google Scholar]
- Tabarraei, H.; Hassan, J.; Parvizi, M.R.; Golshahi, H.; Keshavarz-Tarikhi, H. Evaluation of the acute and sub-acute toxicity of the black caraway seed essential oil in Wistar rats. Toxicol. Rep. 2019, 6, 869–874. [Google Scholar] [CrossRef] [PubMed]
- Adokoh, C.K.; Asante, D.-B.; Acheampong, D.O.; Kotsuchibashi, Y.; Armah, F.A.; Sirikyi, I.H.; Kimura, K.; Gmakame, E.; Abdul-Rauf, S. Chemical profile and in vivo toxicity evaluation of unripe Citrus aurantifolia essential oil. Toxicol. Rep. 2019, 6, 692–702. [Google Scholar] [CrossRef]
- Borges, R.S.; Ortiz, B.L.S.; Pereira, A.C.M.; Keita, H.; Carvalho, J.C.T. Rosmarinus officinalis essential oil: A review of its phytochemistry, anti-inflammatory activity, and mechanisms of action involved. J. Ethnopharmacol. 2019, 229, 29–45. [Google Scholar] [CrossRef] [PubMed]
- Lulekal, E.; Tesfaye, S.; Gebrechristos, S.; Dires, K.; Zenebe, T.; Zegeye, N.; Feleke, G.; Kassahun, A.; Shiferaw, Y.; Mekonnen, A. Phytochemical analysis and evaluation of skin irritation, acute and sub-acute toxicity of Cymbopogon citratus essential oil in mice and rabbits. Toxicol. Rep. 2019, 6, 1289–1294. [Google Scholar] [CrossRef]
- Kaid, F.; Alabsi, A.M.; Alafifi, N.; Ali-Saeed, R.; Ameen Al-koshab, M.; Ramanathan, A.; Ali, A.M. Histological, biochemical, and hematological effects of goniothalamin on selective internal organs of male sprague-dawley rats. J. Toxicol. 2019, 2019, 6493286. [Google Scholar] [CrossRef] [PubMed]
- Rizwan, F.; Yesmine, S.; Banu, S.G.; Chowdhury, I.A.; Hasan, R.; Chatterjee, T.K. Renoprotective effects of stevia (Stevia rebaudiana Bertoni), amlodipine, valsartan, and losartan in gentamycin-induced nephrotoxicity in the rat model: Biochemical, hematological and histological approaches. Toxicol. Rep. 2019, 6, 683–691. [Google Scholar] [CrossRef] [PubMed]
- Ezealisiji, K.M.; Siwe-Noundou, X.; Maduelosi, B.; Nwachukwu, N.; Krause, R.W.M. Green synthesis of zinc oxide nanoparticles using Solanum torvum (L.) leaf extract and evaluation of the toxicological profile of the ZnO nanoparticles–hydrogel composite in Wistar albino rats. Int. Nano Lett. 2019, 9, 99–107. [Google Scholar] [CrossRef]
- Tancheva, L.P.; Lazarova, M.I.; Alexandrova, A.V.; Dragomanova, S.T.; Nicoletti, F.; Tzvetanova, E.R.; Hodzhev, Y.K.; Kalfin, R.E.; Miteva, S.A.; Mazzon, E.; et al. Neuroprotective mechanisms of three natural antioxidants on a rat model of parkinson’s disease: A comparative study. Antioxidants 2020, 9, 49. [Google Scholar] [CrossRef] [PubMed]
- Moline, M.; Asakura, S.; Beuckman, C.; Landry, I.; Setnik, B.; Ashworth, J.; Henningfield, J.E. The abuse potential of lemborexant, a dual orexin receptor antagonist, according to the 8 factors of the Controlled Substances Act. Psychopharmacology 2023, 240, 699–711. [Google Scholar] [CrossRef] [PubMed]
- Froger-Colléaux, C.; Esneault, E.; Hernier, A.M.; Goineau, S.; Castagné, V. Central Nervous System (CNS) Safety Pharmacology Studies. In Drug Discovery and Evaluation: Safety and Pharmacokinetic Assays; Springer International Publishing: Cham, Switzerland, 2022; pp. 1–69. [Google Scholar]
- Correll, C.U.; Solmi, M.; Cortese, S.; Fava, M.; Højlund, M.; Kraemer, H.C.; McIntyre, R.S.; Pine, D.S.; Schneider, L.S.; Kane, J.M. The future of psychopharmacology: A critical appraisal of ongoing phase 2/3 trials, and of some current trends aiming to de-risk trial programmes of novel agents. World Psychiatry 2023, 22, 48–74. [Google Scholar] [CrossRef]
- Byun, S.H.; Ahn, K.M. Functional and electron-microscopic changes after differential traction injury in the sciatic nerve of a rat. Maxillofac. Plast. Reconstr. Surg. 2021, 43, 12. [Google Scholar] [CrossRef] [PubMed]
- Karbowska, M.; Hermanowicz, J.M.; Tankiewicz-Kwedlo, A.; Kalaska, B.; Kaminski, T.W.; Nosek, K.; Wisniewska, R.J.; Pawlak, D. Neurobehavioral effects of uremic toxin–indoxyl sulfate in the rat model. Sci. Rep. 2020, 10, 9483. [Google Scholar] [CrossRef] [PubMed]
- Boissier, J.R.; Simon, P.; Lwoff, J.M. L’utilisation d’une réaction particulière de la souris (méthode de la planche à trous) pour l’étude des médicaments psychotropes. Therapie 1964, 19, 571–589. [Google Scholar]
- Krall, R.L.; Penry, J.K.; White, B.G.; Kupferberg, H.J.; Swinyard, E.A. Antiepileptic drug development: II. Anticonvulsant drug screening. Epilepsia 1978, 19, 409–428. [Google Scholar] [CrossRef]
- Jacob, M.; Pellecuer, J.; Tomei, R. Centre régional d’étude et de développement des plantes à usage pharmaceutique. Riv. Ital. EPPOS 1979, 11, 26–30. [Google Scholar]
- Algabr, M.N.; Al-Wadhaf, H.A.; Ameddah, S.; Menad, A.; Mekkiou, R.; Chalchat, J.C.; Benayache, S.; Benayache, F. Analysis of the essential oil of Catha edulis leaves from Yemen. Int. J. Appl. Res. Nat. Prod. 2014, 7, 21–24. [Google Scholar]
- Hailu, Y.M.; Atlabachew, M.; Chandravanshi, B.S.; Redi-Abshiro, M. Composition of essential oil and antioxidant activity of Khat (Catha edulis Forsk), Ethiopia. Chem. Int. 2017, 3, 25. [Google Scholar]
- Kalix, P. The pharmacology of psychoactive alkaloids from ephedra and catha. J. Ethnopharmacol. 1991, 32, 201–208. [Google Scholar] [CrossRef]
- Faro, A.F.L.; Di Trana, A.; La Maida, N.; Tagliabracci, A.; Giorgetti, R.; Busardò, F.P. Biomedical analysis of New Psychoactive Substances (NPS) of natural origin. J. Pharm. Biomed. Anal. 2020, 179, 112945. [Google Scholar] [CrossRef]
- Balint, E.E.; Falkay, G.; Balint, G.A. Khat—A controversial plant. Wien. Klin. Wochenschr. 2009, 121, 604–614. [Google Scholar] [CrossRef] [PubMed]
- Kargarfard, M.; Shariat, A.; Shaw, B.S.; Shaw, I.; Lam, E.T.C.; Kheiri, A.; Eatemadyboroujeni, A.; Tamrin, S.B.M. Effects of polluted air on cardiovascular and hematological parameters after progressive maximal aerobic exercise. Lung 2015, 193, 275–281. [Google Scholar] [CrossRef] [PubMed]
- Saygin, M.; Ozturk, O.; Ozguner, M.F.; Akkaya, A.; Varol, E. Hematological parameters as predictors of cardiovascular disease in obstructive sleep apnea syndrome patients. Angiology 2016, 67, 461–470. [Google Scholar] [CrossRef] [PubMed]
- Gebremedhin, M.H.; Lake, E.A.; Gebrekirstos, L.G. Heavy khat (Catha edulis) chewing and dyslipidemia as modifiable hypertensive risk factors among patients in Southwest, Ethiopia: Unmatched case-control study. PLoS ONE 2021, 16, e0259078. [Google Scholar] [CrossRef]
- Amin, A.R.; Kassab, R.B.; Abdel Moneim, A.E.; Amin, H.K. Comparison among garlic, berberine, resveratrol, Hibiscus sabdariffa, Genus zizyphus, hesperidin, red beetroot, Catha edulis, Portulaca oleracea, and mulberry leaves in the treatment of hypertension and type 2 DM: A comprehensive review. Nat. Prod. Commun. 2020, 15, 1934578X20921623. [Google Scholar]
- Maral, H.; Ulupınar, S.; Türk Baydır, A.; Özbay, S.; Altınkaynak, K.; Şebin, E.; Şiktar, E.; Kishalı, N.F.; Buzdağlı, Y.; Gençoğlu, C.; et al. Effect of Origanum dubium, Origanum vulgare subsp. hirtum, and Lavandula angustifolia essential oils on lipid profiles and liver biomarkers in athletes. Z. Für Nat. C 2022, 77, 177–187. [Google Scholar] [CrossRef]
- Wang, X.; Shen, Y.; Thakur, K.; Han, J.; Zhang, J.G.; Hu, F.; Wei, Z.J. Antibacterial activity and mechanism of ginger essential oil against Escherichia coli and Staphylococcus aureus. Molecules 2020, 25, 3955. [Google Scholar] [CrossRef]
Disclaimer/Publisher’s Note: The statements, opinions and data contained in all publications are solely those of the individual author(s) and contributor(s) and not of MDPI and/or the editor(s). MDPI and/or the editor(s) disclaim responsibility for any injury to people or property resulting from any ideas, methods, instructions or products referred to in the content. |
© 2023 by the authors. Licensee MDPI, Basel, Switzerland. This article is an open access article distributed under the terms and conditions of the Creative Commons Attribution (CC BY) license (https://creativecommons.org/licenses/by/4.0/).