Combined Biocidal Effect of Gaseous Ozone and Citric Acid on Acinetobacter baumannii Biofilm Formed on Ceramic Tiles and Polystyrene as a Novel Approach for Infection Prevention and Control
Abstract
1. Introduction
2. Materials and Methods
2.1. Bacterial Strains and Biofilm Formation on Ceramic Tile and Polystyrene
2.2. Ozone Treatment Test Protocol (Protocol A)
2.3. Citric Acid Treatment Test Protocol (Protocol B)
2.4. Combined Ozone–Citric Acid Test Protocols (Protocols C–E)
2.5. Cell Viability Using Propidium Iodide Dye
2.6. Crystal Violet Staining and Digital Microscopy
2.7. Statistical Analyses and Graphing
3. Results
3.1. Viable Bacteria Reduction with Gaseous Ozone–Citric Acid Solitary Effect and Combinations on Ceramic Tiles
3.2. Viable Bacteria Reduction with Gaseous Ozone–Citric Acid Solitary and Combination Effects on Polystyrene
3.3. Different Disinfection Protocols with Gaseous Ozone and Citric Acid Caused Different Inhibition Rates on Polystyrene and Ceramic Tiles
3.4. Combined Biocidal Effect of Gaseous Ozone and Citric Acid on Cell Viability
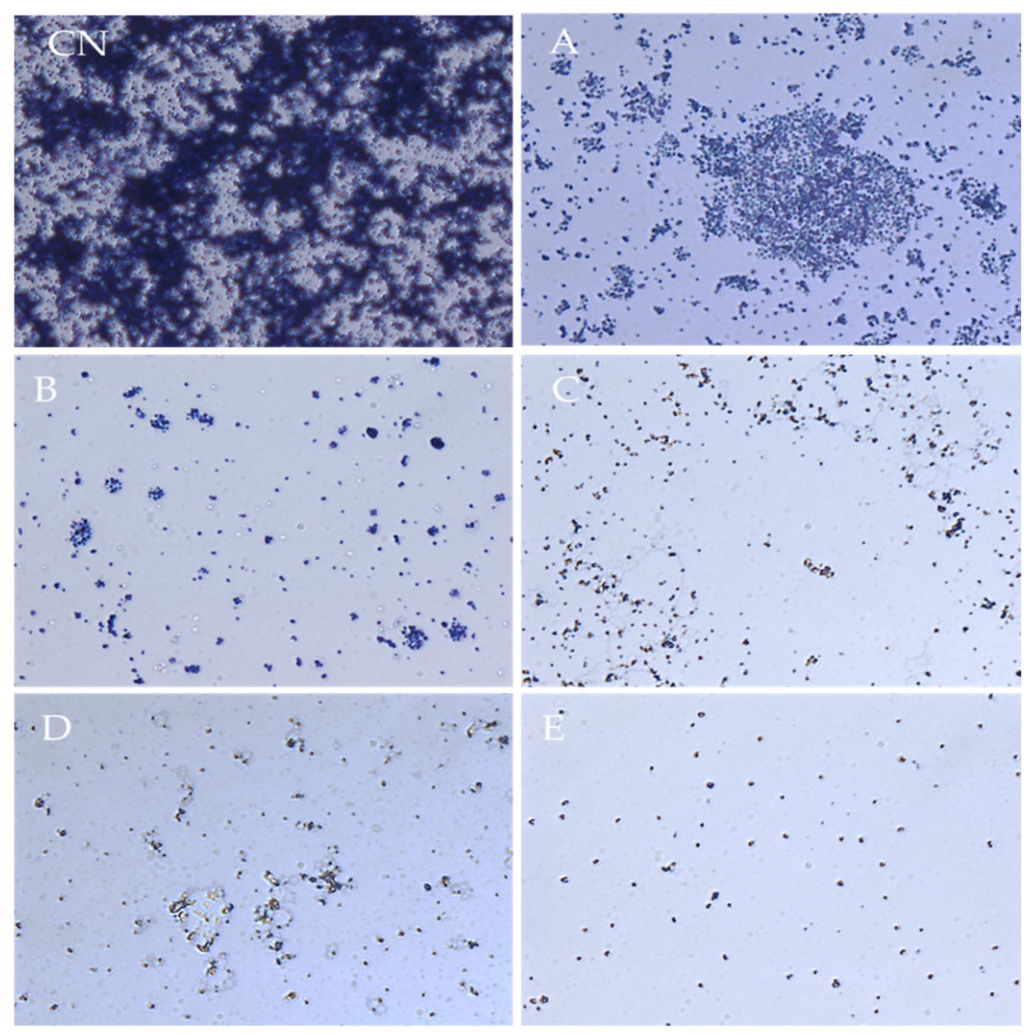
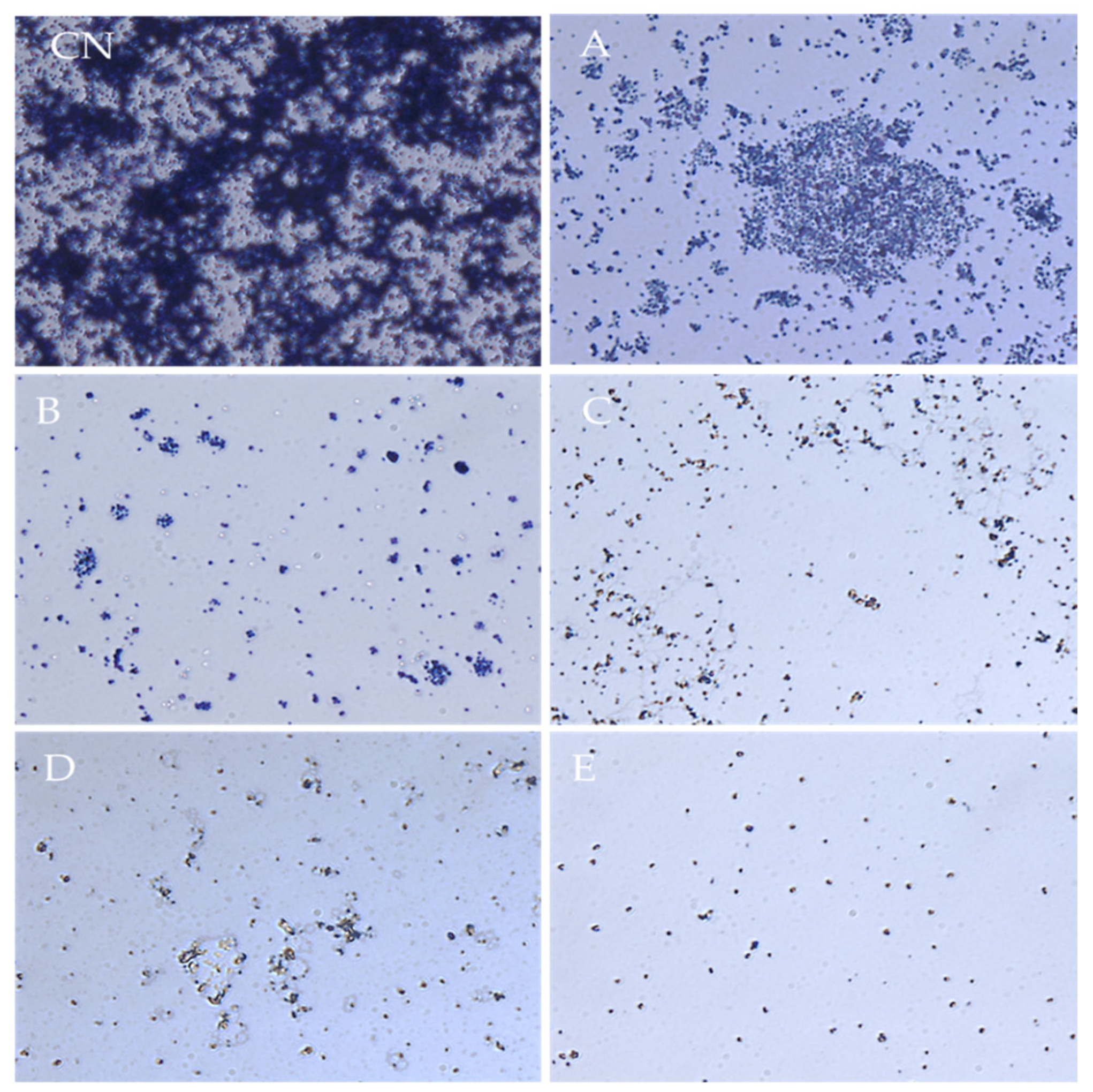
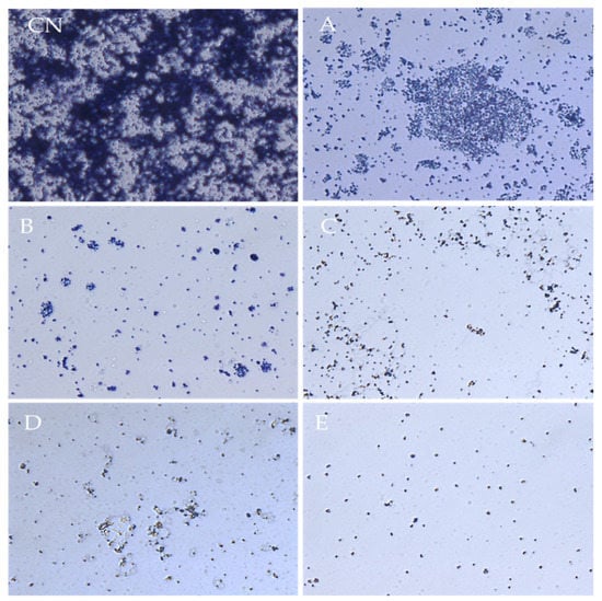
3.5. Crystal Violet Microscopy
4. Discussion
5. Conclusions
Author Contributions
Funding
Data Availability Statement
Acknowledgments
Conflicts of Interest
References
- Liu, W.L.; Liang, H.W.; Lee, M.F.; Lin, H.L.; Lin, Y.H.; Chen, C.C.; Chang, P.C.; Lai, C.C.; Chuang, Y.C.; Tang, H.J. The impact of inadequate terminal disinfection on an outbreak of imipenem-resistant Acinetobacter Baumanniiin an intensive care unit. PLoS ONE 2014, 9, e107975. [Google Scholar] [CrossRef]
- Qi, L.; Li, H.; Zhang, C.; Liang, B.; Li, J.; Wang, L.; Du, X.; Liu, X.; Qiu, S.; Song, H. Relationship between antibiotic resistance, biofilm formation, and biofilm-specific resistance in Acinetobacter baumannii. Front. Microbiol. 2016, 7, 483. [Google Scholar] [CrossRef] [PubMed]
- Gaddy, A.; Actis, J. A Regulation of Acinetobacter baumannii biofilm formation. Mol. Cell. Biochem. 2012, 23, 273–278. [Google Scholar] [CrossRef] [PubMed]
- Espinal, P.; Martí, S.; Vila, J. Effect of biofilm formation on the survival of Acinetobacter baumannii on dry surfaces. J. Hosp. Infect. 2012, 80, 56–60. [Google Scholar] [CrossRef]
- Tomaras, A.P.; Dorsey, C.W.; Edelmann, R.E.; Actis, L.A. Attachment to and biofilm formation on abiotic surfaces by Acinetobacter baumannii: Involvement of a novel chaperone-usher pili assembly system. Microbiology 2003, 149, 3473–3484. [Google Scholar] [CrossRef]
- Bergogne-Bé, E.; Zin, R.É.; Towner, K.J. Acinetobacter ssp. as nosocomial Pathogens. Clin. Microbiol. Rev. 1996, 9, 148–165. [Google Scholar] [CrossRef]
- Nor A’shimi, M.H.; Alattraqchi, A.G.; Rani, F.M.; Rahman, N.I.A.; Ismail, S.; Abdullah, F.H.; Othman, N.; Cleary, D.W.; Clarke, S.C.; Yeo, C.C. Biocide susceptibilities and biofilm-forming capacities of Acinetobacter baumannii clinical isolates from Malaysia. J. Infect. Dev. Ctries. 2019, 13, 626–633. [Google Scholar] [CrossRef]
- Wisplinghoff, H.; Schmitt, R.; Wöhrmann, A.; Stefanik, D.; Seifert, H. Resistance to disinfectants in epidemiologically defined clinical isolates of Acinetobacter baumannii. J. Hosp. Infect. 2007, 66, 174–181. [Google Scholar] [CrossRef]
- Rajamohan, G.; Srinivasan, V.B.; Gebreyes, W.A. Biocide-tolerant multidrug-resistant Acinetobacter baumannii clinical strains are associated with higher biofilm formation. J. Hosp. Infect. 2009, 73, 287–289. [Google Scholar] [CrossRef]
- Donlan, M. Rodney Biofilms: Microbial life on surfaces. An. Real Acad. Nac. Farm. 2016, 82, 108–126. [Google Scholar]
- Vickery, K.; Deva, A.; Jacombs, A.; Allan, J.; Valente, P.; Gosbell, I.B. Presence of biofilm containing viable multiresistant organisms despite terminal cleaning on clinical surfaces in an intensive care unit. J. Hosp. Infect. 2012, 80, 52–55. [Google Scholar] [CrossRef] [PubMed]
- Vickery, K. Special Issue: Microbial biofilms in healthcare: Formation, prevention and treatment. Materials 2019, 12, 2001. [Google Scholar] [CrossRef] [PubMed]
- Kim, H.W.; Lee, N.Y.; Park, S.M.; Rhee, M.S. A fast and effective alternative to a high-ethanol disinfectant: Low concentrations of fermented ethanol, caprylic acid, and citric acid synergistically eradicate biofilm-embedded methicillin-resistant Staphylococcus aureus. Int. J. Hyg. Environ. Health 2020, 229, 113586. [Google Scholar] [CrossRef] [PubMed]
- Narayanan, A.; Nair, M.S.; Karumathil, D.P.; Baskaran, S.A. Inactivation of Acinetobacter baumannii Biofilms on Polystyrene, Stainless Steel, and Urinary Catheters by Octenidine Dihydrochloride. Front. Microbiol. 2016, 7, 847. [Google Scholar] [CrossRef]
- Lanjri, S.; Uwingabiye, J.; Frikh, M.; Abdellatifi, L.; Kasouati, J.; Maleb, A.; Bait, A.; Lemnouer, A.; Elouennass, M. In vitro evaluation of the susceptibility of Acinetobacter baumannii isolates to antiseptics and disinfectants: Comparison between clinical and environmental isolates. Antimicrob. Resist. Infect. Control 2017, 6, 1–7. [Google Scholar] [CrossRef]
- Kawamura-Sato, K.; Wachino, J.I.; Kondo, T.; Ito, H.; Arakawa, Y. Correlation between reduced susceptibility to disinfectants and multidrug resistance among clinical isolates of Acinetobacter species. J. Antimicrob. Chemother. 2010, 65, 1975–1983. [Google Scholar] [CrossRef]
- Soares, N.C.; Cabral, M.P.; Gayoso, C.; Mallo, S.; Rodriguez-Velo, P.; Fernández-Moreira, E.; Bou, G. Associating growth-phase-related changes in the proteome of acinetobacter baumannii with increased resistance to oxidative stress. J. Proteome Res. 2010, 9, 1951–1964. [Google Scholar] [CrossRef]
- Martró, E.; Hernández, A.; Ariza, J.; Domínguez, M.A.; Matas, L.; Argerich, M.J.; Martin, R.; Ausina, V. Assessment of Acinetobacter baumannii susceptibility to antiseptics and disinfectants. J. Hosp. Infect. 2003, 55, 39–46. [Google Scholar] [CrossRef]
- Babaei, M.R.; Sulong, A.; Hamat, R.A.; Nordin, S.A.; Neela, V.K. Extremely high prevalence of antiseptic resistant quaternary ammonium compound E gene among clinical isolates of multiple drug resistant acinetobacter baumannii in Malaysia. Ann. Clin. Microbiol. Antimicrob. 2015, 14, 1–5. [Google Scholar] [CrossRef]
- Jawad, A.; Seifert, H.; Snelling, A.M.; Heritage, J.; Hawkey, P.M. Survival of Acinetobacter baumannii on dry surfaces: Comparison of outbreak and sporadic isolates. J. Clin. Microbiol. 1998, 36, 1938–1941. [Google Scholar] [CrossRef]
- Denton, M.; Wilcox, M.H.; Parnell, P.; Green, D.; Keer, V.; Hawkey, P.M.; Evans, I.; Murphy, P. Role of environmental cleaning in controlling an outbreak of Acinetobacter baumannii on a neurosurgical intensive care unit. J. Hosp. Infect. 2004, 56, 106–110. [Google Scholar] [CrossRef]
- Manian, F.A.; Griesenauer, S.; Senkel, D.; Setzer, J.M.; Doll, S.A.; Perry, A.M.; Wiechens, M. Isolation of Acinetobacter baumannii Complex and Methicillin-Resistant Staphylococcus aureus from Hospital Rooms Following Terminal Cleaning and Disinfection: Can We Do Better? Infect. Control Hosp. Epidemiol. 2011, 32, 667–672. [Google Scholar] [CrossRef]
- Abreu, A.C.; Tavares, R.R.; Borges, A.; Mergulhão, F.; Simões, M. Current and emergent strategies for disinfection of hospital environments. J. Antimicrob. Chemother. 2013, 68, 2718–2732. [Google Scholar] [CrossRef] [PubMed]
- Stickler, D.J.; Thomas, B.; Chawla, J.C. Antiseptic and antibiotic resistance in gram-negative bacteria causing urinary tract infection in spinal cord injured patients. Paraplegia 1981, 19, 50–58. [Google Scholar] [CrossRef] [PubMed][Green Version]
- Thomas, L.; Russell, A.D.; Maillard, J.-Y. Antimicrobial activity of chlorhexidine diacetate and benzalkonium chloride against Pseudomonas aeruginosa and its response to biocide residues. J. Appl. Microbiol. 2005, 98, 533–543. [Google Scholar] [CrossRef] [PubMed]
- Suller, M.T.E.; Russell, A.D. Antibiotic and biocide resistance in methicillin-resistant Staphylococcus aureus and vancomycin-resistant enterococcus. J. Hosp. Infect. 1999, 43, 281–291. [Google Scholar] [CrossRef]
- Russell, A.D. Bacterial resistance to disinfectants: Present knowledge and future problems. J. Hosp. Infect. 1999, 43, 57–68. [Google Scholar] [CrossRef]
- Bridier, A.; Briandet, R.; Thomas, V.; Dubois-Brissonnet, F. Biofouling: The Journal of Bioadhesion and Biofilm Resistance of bacterial biofilms to disinfectants: A review. Biofouling J. Bioadhesion Biofilm Res. 2011, 27, 1017–1032. [Google Scholar] [CrossRef]
- Ivanković, T.; Goić-Barišić, I.; Hrenović, J. Reduced susceptibility to disinfectants of Acinetobacter baumannii biofilms on glass and ceramic. Arh. Hig. Rada Toksikol. 2017, 68, 99–108. [Google Scholar] [CrossRef]
- Song, L.; Wu, J.; Xi, C. Biofilms on environmental surfaces: Evaluation of the disinfection efficacy of a novel steam vapor system. Am. J. Infect. Control 2012, 40, 926–930. [Google Scholar] [CrossRef]
- Sutherland, I.W. Biofilm exopolysaccharides: A strong and sticky framework. Microbiology 2001, 147, 3–9. [Google Scholar] [CrossRef] [PubMed]
- Stewart, P.S.; Rayner, J.; Roe, F.; Rees, W.M. Biofilm penetration and disinfection efficacy of alkaline hypochlorite and chlorosulfamates. J. Appl. Microbiol. 2001, 91, 525–532. [Google Scholar] [CrossRef] [PubMed]
- Tachikawa, M.; Yamanaka, K.; Nakamuro, K. Studies on the disinfection and removal of biofilms by ozone water using an artificial microbial biofilm system. Ozone Sci. Eng. 2009, 31, 3–9. [Google Scholar] [CrossRef]
- Smith, K.; Hunter, I.S. Efficacy of common hospital biocides with biofilms of multi-drug resistant clinical isolates. J. Med. Microbiol. 2008, 57, 966–973. [Google Scholar] [CrossRef] [PubMed]
- Park, K.M.; Yoon, S.; Choi, T.; Kim, H.J.; Park, K.J.; Koo, M. The bactericidal effect of a combination of food grade compounds and their application as alternative antibacterial agent for food contact surfaces. Foods 2020, 9, 59. [Google Scholar] [CrossRef]
- Russell, A.D. Possible link between bacterial resistance and use of anticiotics and biocides. Antimicrob. Agents Chemother. 1998, 42, 4804. [Google Scholar] [CrossRef] [PubMed]
- Britton, H.C.; Draper, M.; Talmadge, J.E. Antimicrobial efficacy of aqueous ozone in combination with short chain fatty acid buffers. Infect. Prev. Pract. 2020, 2, 100032. [Google Scholar] [CrossRef]
- Boyce, J.M. Modern technologies for improving cleaning and disinfection of environmental surfaces in hospitals. Antimicrob. Resist. Infect. Control 2016, 5, 10. [Google Scholar] [CrossRef]
- Bayan, M.A.G.; McGann, P.; Kwak, Y.I.; Summers, A.; Cummings, J.F.; Waterman, P.E.; Lesho, E.P.; Detusheva, E.V.; Ershova, O.N.; Fursova, N.K.; et al. Distribution of antiseptic resistance genes qacA, qacB, and smr in methicillin-resistant Staphylococcus aureus isolated in Toronto, Canada, from 2005 to 2009. J. Hosp. Infect. 2016, 66, 1–9. [Google Scholar]
- Sharma, M.; Hudson, J.B. Ozone gas is an effective and practical antibacterial agent. Am. J. Infect. Control 2008, 36, 559–563. [Google Scholar] [CrossRef]
- Boch, T.; Tennert, C.; Vach, K.; Al-Ahmad, A.; Hellwig, E.; Polydorou, O. Effect of gaseous ozone on Enterococcus faecalis biofilm—An in vitro study. Clin. Oral Investig. 2016, 20, 1733–1739. [Google Scholar] [CrossRef] [PubMed]
- Boer, H.E.L.d.; van Elzelingen-Dekker, C.M.; van Rheenen-Verberg, C.M.F.; Spanjaard, L. Use of Gaseous Ozone for Eradication of Methicillin-Resistant Staphylococcus aureus. From the Home Environment of a Colonized Hospital Employee. Infect. Control Hosp. Epidemiol. 2006, 27, 1120–1122. [Google Scholar] [CrossRef] [PubMed][Green Version]
- Giuliani, G.; Ricevuti, G.; Galoforo, A.; Franzini, M. Microbiological aspects of ozone: Bactericidal activity and antibiotic/antimicrobial resistance in bacterial strains treated with ozone. Ozone Ther. 2018, 3, 1–4. [Google Scholar] [CrossRef]
- Megahed, A.; Aldridge, B.; Lowe, J. The microbial killing capacity of aqueous and gaseous ozone on different surfaces contaminated with dairy cattle manure. PLoS ONE 2018, 13, e0196555. [Google Scholar] [CrossRef] [PubMed]
- Fontes, B.; Heimbecker, A.M.C.; Brito, G.d.S.; Costa, S.F.; van der Heijden, I.M.; Levin, A.S.; Rasslan, S. Effect of low-dose gaseous ozone on pathogenic bacteria. BMC Infect. Dis. 2012, 12, 2–7. [Google Scholar] [CrossRef] [PubMed]
- Conto, A. The EU chemical strategy for sustainability towards a toxic-free environment. Chim. Oggi Chem. Today 2021, 39, 40–41. [Google Scholar]
- Akbaş, M.Y. Effectiveness of Organic Acid Treatments for Inhibition and Removal of E. coli Biofilms. Hacettepe J. Biol. Chem. 2016, 1, 35. [Google Scholar] [CrossRef]
- Akbas, M.Y.; Kokumer, T. The prevention and removal of biofilm formation of Staphylococcus aureus strains isolated from raw milk samples by citric acid treatments. Int. J. Food Sci. Technol. 2015, 50, 1666–1672. [Google Scholar] [CrossRef]
- Park, S.H.; Choi, M.R.; Park, J.W.; Park, K.H.; Chung, M.S.; Ryu, S.; Kang, D.H. Use of organic acids to inactivate Escherichia coli O157: H7, salmonella typhimurium, and listeria monocytogenes on organic fresh apples and lettuce. J. Food Sci. 2011, 76, M293–M298. [Google Scholar] [CrossRef]
- Cherrington, C.A.; Hinton, M.; Mead, G.C.; Chopra, I. Organic Acids: Chemistry, Antibacterial Activity and Practical Applications. Adv. Microb. Physiol. 1991, 32, 87–108. [Google Scholar] [CrossRef]
- Wang, J.; Tao, D.; Wang, S.; Li, C.; Li, Y.; Zheng, F.; Wu, Z. Disinfection of lettuce using organic acids: An ecological analysis using 16S rRNA sequencing. RSC Adv. 2019, 9, 17514–17520. [Google Scholar] [CrossRef] [PubMed]
- Tsai, Y.P.; Pai, T.Y.; Hsin, J.Y.; Wan, T.J. Biofilm bacteria inactivation by citric acid and resuspension evaluations for drinking water production systems. Water Sci. Technol. 2004, 48, 463–472. [Google Scholar] [CrossRef]
- Hughes, G.; Webber, M.A. Novel approaches to the treatment of bacterial biofilm infections. Br. J. Pharmacol. 2017, 174, 2237–2246. [Google Scholar] [CrossRef] [PubMed]
- Hughes, G.; Lund, P. The Use of Weak Organic Acids as a Novel Antimicrobial and Biofilm Eradication Agent. In Proceedings of the European Congress of Clinical Microbiology and Infectious Diseases, Madrid, Spain, 21–24 April 2018. [Google Scholar]
- Piletić, K.; Kovač, B.; Perčić, M.; Žigon, J.; Broznić, D.; Karleuša, L.; Blagojević, S.L.; Oder, M.; Gobin, I. Disinfecting Action of Gaseous Ozone on OXA-48-Producing Klebsiella pneumoniae Biofilm In Vitro. Int. J. Environ. Res. Public Health 2022, 19, 6177. [Google Scholar] [CrossRef]
- Kampf, G.; Kramer, A. Epidemiologic background of hand hygiene and evaluation of the most important agents for scrubs and rubs. Clin. Microbiol. Rev. 2004, 17, 863–893. [Google Scholar] [CrossRef]
- Boyce, J.M. Environmental contamination makes an important contribution to hospital infection. J. Hosp. Infect. 2007, 65, 50–54. [Google Scholar] [CrossRef]
- Davies, A.; Pottage, T.; Bennett, A.; Walker, J. Gaseous and air decontamination technologies for Clostridium difficile in the healthcare environment. J. Hosp. Infect. 2011, 77, 199–203. [Google Scholar] [CrossRef]
- Moat, J.; Cargill, J.; Shone, J.; Upton, M. Application of a novel decontamination process using gaseous ozone. Can. J. Microbiol. 2009, 55, 928–933. [Google Scholar] [CrossRef]
- Kundukad, B.; Udayakumar, G.; Grela, E.; Kaur, D.; Rice, S.A.; Kjelleberg, S.; Doyle, P.S. Weak acids as an alternative anti-microbial therapy. Biofilm 2020, 2, 100019. [Google Scholar] [CrossRef]
- Jung, Y.J.; Oh, B.S.; Kang, J.W. Synergistic effect of sequential or combined use of ozone and UV radiation for the disinfection of Bacillus subtilis spores. Water Res. 2008, 42, 1613–1621. [Google Scholar] [CrossRef]
- Vankerckhoven, E.; Verbessem, B.; Crauwels, S.; Declerck, P.; Muylaert, K.; Willems, K.A.; Rediers, H. Exploring the potential synergistic effects of chemical disinfectants and UV on the inactivation of free-living bacteria and treatment of biofilms in a pilot-scale system. Water Sci. Technol. 2011, 64, 1247–1253. [Google Scholar] [CrossRef]
- Cho, G.L.; Ha, J.W. Synergistic effect of citric acid and xenon light for inactivating foodborne pathogens on spinach leaves. Food Res. Int. 2021, 142, 110210. [Google Scholar] [CrossRef]
- ECHA. Guidance on the Biocidal Products Regulation: Volume II Parts B+C; European Chemicals Agency: Helsinki, Finland, 2022; ISBN 9789290205029. [Google Scholar]
- Rodríguez-Baño, J.; Martí, S.; Soto, S.; Fernández-Cuenca, F.; Cisneros, J.M.; Pachón, J.; Pascual, A.; Martínez-Martínez, L.; Mcqueary, C.; Actis, L.A.; et al. Biofilm formation in Acinetobacter baumannii: Associated features and clinical implications. Clin. Microbiol. Infect. 2008, 14, 276–278. [Google Scholar] [CrossRef]
- Ha, J.H.; Jeong, S.H.; Ha, S.D. Synergistic effects of combined disinfection using sanitizers and uv to reduce the levels of staphylococcus aureus in oyster mushrooms. J. Appl. Biol. Chem. 2011, 54, 447–453. [Google Scholar] [CrossRef]
- Hirahara, Y.; Iwata, K.; Nakamuro, K. Effect of Citric Acid on Prolonging the Half-life of Dissolved Ozone in Water. Food Saf. 2019, 7, 90–94. [Google Scholar] [CrossRef] [PubMed]
- Nagayoshi, M.; Fukuizumi, T.; Kitamura, C.; Yano, J.; Terashita, M.; Nishihara, T. Efficacy of ozone on survival and permeability of oral microorganisms. Oral Microbiol. Immunol. 2004, 19, 240–246. [Google Scholar] [CrossRef] [PubMed]
- Franke, G.; Knobling, B.; Brill, F.H.; Becker, B.; Klupp, E.M.; Campos, C.B.; Pfefferle, S.; Lütgehetmann, M.; Knobloch, J.K. An automated room disinfection system using ozone is highly active against surrogates for SARS-CoV-2. J. Hosp. Infect. 2021, 112, 108–113. [Google Scholar] [CrossRef]







| Surfaces | A. baumannii ATCC BAA1605 | A. baumannii ATCC 19606 | ||||||||
|---|---|---|---|---|---|---|---|---|---|---|
| Treatments (% Biofilm Destruction) | ||||||||||
| Protocol | Protocol | |||||||||
| A | B | C | D | E | A | B | C | D | E | |
| Polystyrene | 61.6 | 94.06 | 99.4 | 99.33 | 99.98 | 80.32 | 97.35 | 99.02 | 99.13 | 99.93 |
| Ceramic tiles | 89.9 | 82.7 | 98.29 | 98.53 | 99.77 | 73.3 | 93.77 | 96.16 | 97.4 | 99.99 |
Publisher’s Note: MDPI stays neutral with regard to jurisdictional claims in published maps and institutional affiliations. |
© 2022 by the authors. Licensee MDPI, Basel, Switzerland. This article is an open access article distributed under the terms and conditions of the Creative Commons Attribution (CC BY) license (https://creativecommons.org/licenses/by/4.0/).
Share and Cite
Piletić, K.; Kovač, B.; Planinić, M.; Vasiljev, V.; Karačonji, I.B.; Žigon, J.; Gobin, I.; Oder, M. Combined Biocidal Effect of Gaseous Ozone and Citric Acid on Acinetobacter baumannii Biofilm Formed on Ceramic Tiles and Polystyrene as a Novel Approach for Infection Prevention and Control. Processes 2022, 10, 1788. https://doi.org/10.3390/pr10091788
Piletić K, Kovač B, Planinić M, Vasiljev V, Karačonji IB, Žigon J, Gobin I, Oder M. Combined Biocidal Effect of Gaseous Ozone and Citric Acid on Acinetobacter baumannii Biofilm Formed on Ceramic Tiles and Polystyrene as a Novel Approach for Infection Prevention and Control. Processes. 2022; 10(9):1788. https://doi.org/10.3390/pr10091788
Chicago/Turabian StylePiletić, Kaća, Bruno Kovač, Matej Planinić, Vanja Vasiljev, Irena Brčić Karačonji, Jure Žigon, Ivana Gobin, and Martina Oder. 2022. "Combined Biocidal Effect of Gaseous Ozone and Citric Acid on Acinetobacter baumannii Biofilm Formed on Ceramic Tiles and Polystyrene as a Novel Approach for Infection Prevention and Control" Processes 10, no. 9: 1788. https://doi.org/10.3390/pr10091788
APA StylePiletić, K., Kovač, B., Planinić, M., Vasiljev, V., Karačonji, I. B., Žigon, J., Gobin, I., & Oder, M. (2022). Combined Biocidal Effect of Gaseous Ozone and Citric Acid on Acinetobacter baumannii Biofilm Formed on Ceramic Tiles and Polystyrene as a Novel Approach for Infection Prevention and Control. Processes, 10(9), 1788. https://doi.org/10.3390/pr10091788

