RETRACTED: Gastroprophylactic Effects of p-Cymene in Ethanol-Induced Gastric Ulcer in Rats
Abstract
1. Introduction
2. Materials and Methods
2.1. Chemicals and Reagents
2.2. Acute Toxicity Study and Trial Rats
2.3. Investigational Animals for Stomach Ulcer
2.4. Initiation of Stomach Ulceration
2.5. Gross Evaluations of Stomachs
2.6. Measurement of Stomach pH
2.7. Measurement of Stomach Mucus Content
2.8. Formulating Stomach Tissue Homogenate
2.9. Measurements of Endogenous Antioxidant Enzymes
2.10. Quantities of Lipid Peroxidation (MDA) Level of Gastric Homogenate
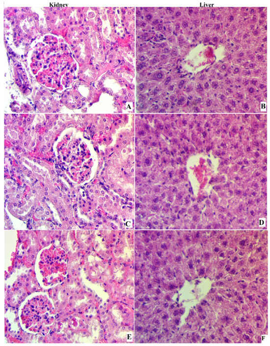
2.11. Histological Evaluation
2.12. Hematoxylin and Eosin Stain
2.13. Periodic acid Schiff Stain (PAS)
2.14. Immunohistochemical Staining
2.15. Measurement Provocative Cytokines (TNF-α IL-6 and IL-10)
2.16. Statistical Analysis
3. Results
3.1. Acute Toxicity Study
3.2. Effect of p-Cymene on Gross Assessment of Stomach
3.3. Influence of p-Cymene on Gastric Mucus Content
3.4. Effect of p-Cymene on pH of the Stomach
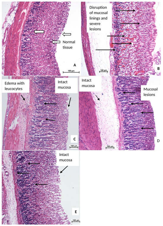
3.5. H&E Stain
3.6. PAS Stain
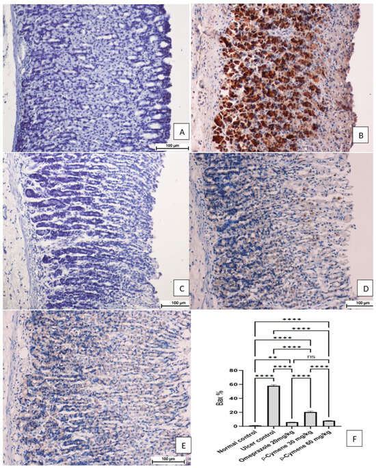
3.7. Immunohistochemical Staining
Expression of HSP 70 and Bax Proteins
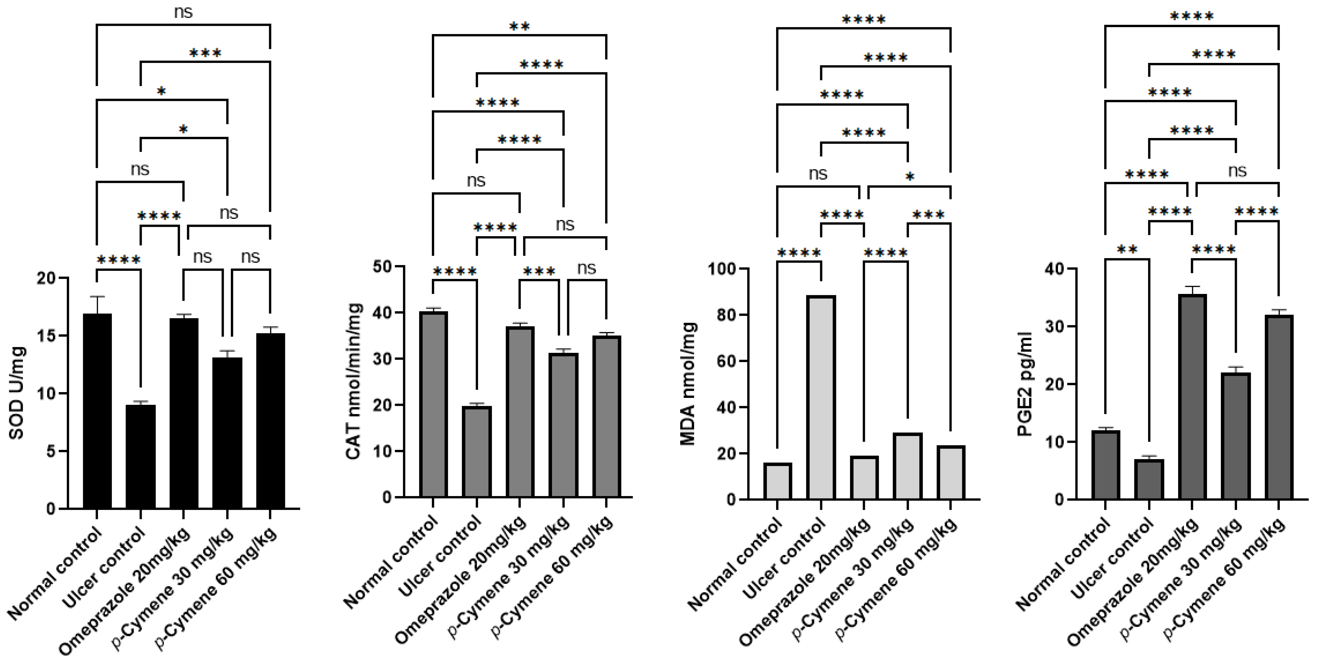
3.8. Effects p-Cymene Endogenous Antioxidant Enzymes of Gastric Tissue Homogenate
3.9. Effects of p-Cymene on Malondialdehyde (MDA) in Stomach Epithelial Homogenate
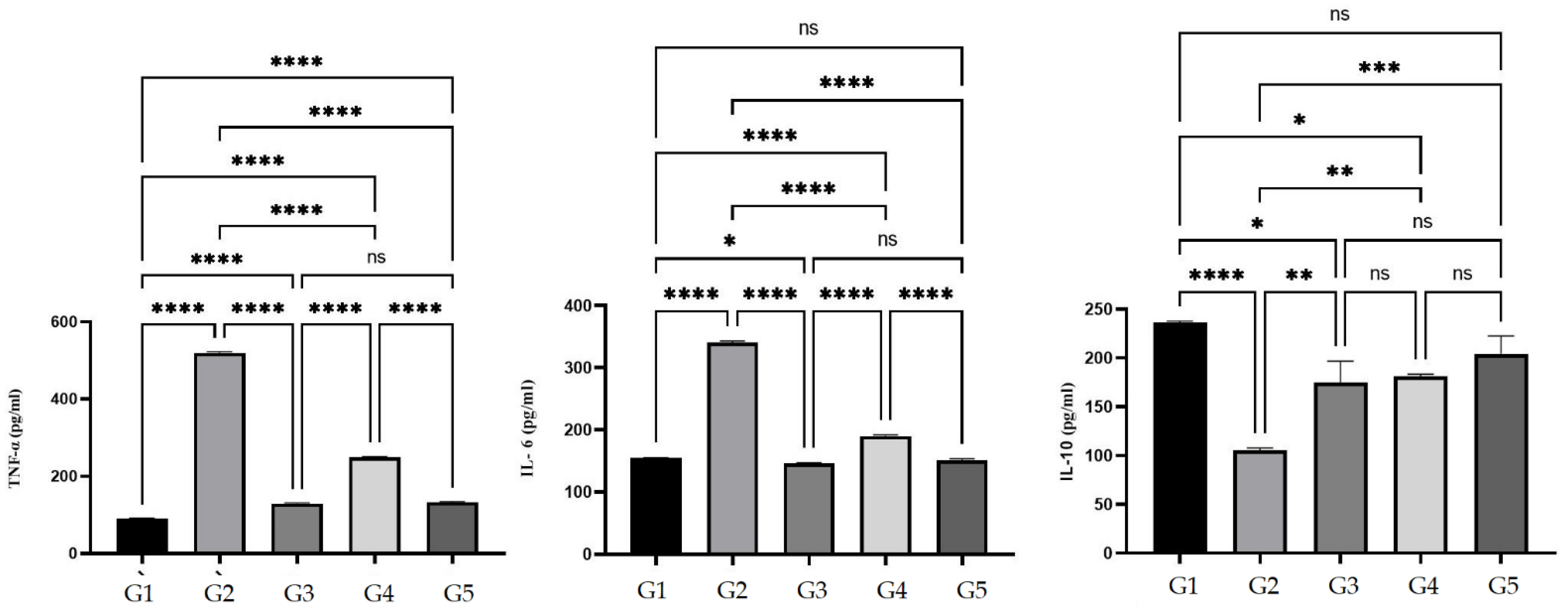
3.10. Effect of p-Cymene on Cytokines Level in Blood
4. Discussion
5. Conclusions
Author Contributions
Funding
Institutional Review Board Statement
Data Availability Statement
Acknowledgments
Conflicts of Interest
References
- Saremi, K.; Rad, S.K.; Tayeby, F.; Abdulla, M.A.; Karimian, H.; Majid, N.A. Gastroprotective Activity of a Novel Schiff Base Derived Dibromo Substituted Compound against Ethanol-Induced Acute Gastric Lesions in Rats. BMC Pharmacol. Toxicol. 2019, 20, 13. [Google Scholar] [CrossRef] [PubMed]
- Al-Wajeeh, N.S.; Hajrezaie, M.; Al-Henhena, N.; Kamran, S.; Bagheri, E.; Zahedifard, M.; Saremi, K.; Noor, S.M.; Mohd Ali, H.; Abdulla, M.A. The Antiulcer Effect of Cibotium Barometz Leaves in Rats with Experimentally Induced Acute Gastric Ulcer. Drug Des. Devel. Ther. 2017, 11, 995–1009. [Google Scholar] [CrossRef] [PubMed]
- Jabbar, A.A. Gastroprotective and Immuno-Supportive Role of Alcea Kurdica against Stress Induced Lesion in Japanese Quails. Baghdad Sci. J. 2022, 19, 716–724. [Google Scholar]
- Moghadamtousi, S.Z.; Rouhollahi, E.; Karimian, H.; Fadaeinasab, M.; Abdulla, M.A.; Kadir, H.A. Gastroprotective Activity of Annona Muricata Leaves against Ethanol-Induced Gastric Injury in Rats via Hsp70/Bax Involvement. Drug Des. Devel. Ther. 2014, 8, 2099. [Google Scholar]
- Saeed AL-Wajeeh, N.; Halabi, M.F.; Hajrezaie, M.; Dhiyaaldeen, S.M.; Abdulaziz Bardi, D.; Salama, S.M.; Rouhollahi, E.; Karimian, H.; Abdolmalaki, R.; Azizan, A.H.S.; et al. The Gastroprotective Effect of Vitex Pubescens Leaf Extract against Ethanol-Provoked Gastric Mucosal Damage in Sprague-Dawley Rats. PLoS ONE 2016, 11, e0157431. [Google Scholar] [CrossRef]
- Lee, J.Y.; Kwon, O.J.; Noh, J.S.; Roh, S.S. Protective Effects of Red Ginseng According to Steaming Time on HCL/Ethanol-Induced Acute Gastritis. J. Appl. Biol. Chem. 2016, 59, 365–372. [Google Scholar] [CrossRef]
- Ofusori, A.E.; Moodley, R.; Jonnalagadda, S.B. Antiulcerogenic Effects of Celosia Trigyna Plant Extracts on Ethanol-Induced Gastric Ulcer in Adult Wistar Rats. J. Tradit. Complement. Med. 2020, 10, 586–593. [Google Scholar] [CrossRef]
- Li, Q.; Hu, X.; Xuan, Y.; Ying, J.; Fei, Y.; Rong, J.; Zhang, Y.; Zhang, J.; Liu, C.; Liu, Z. Kaempferol Protects Ethanol-Induced Gastric Ulcers in Mice via pro-Inflammatory Cytokines and NO. Acta Biochim. Biophys. Sin. 2018, 50, 246–253. [Google Scholar] [CrossRef]
- Shin, M.S.; Lee, J.; Lee, J.W.; Park, S.H.; Lee, I.K.; Choi, J.A.; Lee, J.S.; Kang, K.S. Anti-Inflammatory Effect of Artemisia Argyi on Ethanol-Induced Gastric Ulcer: Analytical, in Vitro and in Vivo Studies for the Identification of Action Mechanism and Active Compounds. Plants 2021, 10, 332. [Google Scholar] [CrossRef]
- Hossen, M.A.; Reza, A.S.M.A.; Ahmed, A.M.A.; Islam, M.K.; Jahan, I.; Hossain, R.; Khan, M.F.; Maruf, M.R.A.; Haque, M.A.; Rahman, M.A. Pretreatment of Blumea Lacera Leaves Ameliorate Acute Ulcer and Oxidative Stress in Ethanol-Induced Long-Evan Rat: A Combined Experimental and Chemico-Biological Interaction. Biomed. Pharmacother. 2021, 135, 111211. [Google Scholar] [CrossRef]
- Halabi, M.F.; Shakir, R.M.; Bardi, D.A.; Al-Wajeeh, N.S.; Ablat, A.; Hassandarvish, P.; Hajrezaie, M.; Norazit, A.; Abdulla, M.A. Gastroprotective Activity of Ethyl-4-[(3,5-Di-Tert-Butyl-2-Hydroxybenzylidene)Amino] Benzoate against Ethanol-Induced Gastric Mucosal Ulcer in Rats. PLoS ONE 2014, 9, e95908. [Google Scholar] [CrossRef] [PubMed]
- Salama, S.M.; Gwaram, N.S.; AlRashdi, A.S.; Khalifa, S.A.M.; Abdulla, M.A.; Ali, H.M.; El-Seedi, H.R. A Zinc Morpholine Complex Prevents HCl/Ethanol-Induced Gastric Ulcers in a Rat Model. Sci. Rep. 2016, 6, 29646. [Google Scholar] [CrossRef] [PubMed]
- Nam, H.H.; Choo, B.K. Geranium Koreanum, a Medicinal Plant Geranii Herba, Ameliorate the Gastric Mucosal Injury in Gastritis-Induced Mice. J. Ethnopharmacol. 2021, 265, 113041. [Google Scholar] [CrossRef]
- Rouhollahi, E.; Zorofchian Moghadamtousi, S.; Hamdi, O.A.A.; Fadaeinasab, M.; Hajrezaie, M.; Awang, K.; Looi, C.Y.; Abdulla, M.A.; Mohamed, Z. Evaluation of Acute Toxicity and Gastroprotective Activity of Curcuma Purpurascens BI. Rhizome against Ethanol-Induced Gastric Mucosal Injury in Rats. BMC Complement. Altern. Med. 2014, 14, 1–10. [Google Scholar] [CrossRef]
- Xie, L.; Guo, Y.L.; Chen, Y.R.; Zhang, L.Y.; Wang, Z.C.; Zhang, T.; Wang, B. A Potential Drug Combination of Omeprazole and Patchouli Alcohol Significantly Normalizes Oxidative Stress and Inflammatory Responses against Gastric Ulcer in Ethanol-Induced Rat Model. Int. Immunopharmacol. 2020, 85, 106660. [Google Scholar] [CrossRef] [PubMed]
- Famouri, F.; Derakhshani, F.; Madihi, Y.; Shahsanai, A. Electrolyte Disturbances in Children Receiving Omeprazole for Gastroesophageal Reflux Disease. J. Res. Med. Sci. 2020, 25, 106. [Google Scholar] [CrossRef] [PubMed]
- Sun, Y.; Zheng, J.; Yi, J.; Cai, S. Investigation on the Effects and Mechanisms of Alkaline Natural Mineral Water and Distilled Water on Ethanol-Induced Gastric Ulcers In Vivo and In Vitro. Process 2022, 10, 498. [Google Scholar] [CrossRef]
- Ryou, S.H.; Cho, I.J.; Choi, B.-R.; Kim, M.B.; Kwon, Y.S.; Ku, S.K. Brassica Oleracea Var. Capitata L. Alleviates Indomethacin-Induced Acute Gastric Injury by Enhancing Anti-Inflammatory and Antioxidant Activity. Process 2021, 9, 372. [Google Scholar] [CrossRef]
- Govindarasu, M.; Ansari, M.A.; Alomary, M.N.; AlYahya, S.; Alghamdi, S.; Bannunah, A.M.; Almehmadi, M.; Abirami, P.; Gayathiri, E.; Palani, M.; et al. Protective Effect of Salvianolic Acid B in Acetic Acid-Induced Experimental Colitis in a Mouse Model. Process 2021, 9, 1589. [Google Scholar] [CrossRef]
- Nazarbahjat, N.; Kadir, F.A.; Ariffin, A.; Abdulla, M.A.; Abdullah, Z.; Yehye, W.A. Antioxidant Properties and Gastroprotective Effects of 2-(Ethylthio)Benzohydrazones on Ethanol-Induced Acute Gastric Mucosal Lesions in Rats. PLoS ONE 2016, 11, e0156022. [Google Scholar] [CrossRef]
- Saremi, K.; Rad, S.K.; Khalilzadeh, M.; Hussaini, J.; Majid, N.A. In Vivo Acute Toxicity and Anti-Gastric Evaluation of a Novel Dichloro Schiff Base: Bax and HSP70 Alteration. Acta Biochim. Biophys. Sin. 2020, 52, 26–37. [Google Scholar] [CrossRef] [PubMed]
- Liu, Y.; Sui, D.; Fu, W.; Sun, L.; Li, Y.; Yu, P.; Yu, X.; Zhou, Y.; Xu, H. Protective Effects of Polysaccharides from Panax Ginseng on Acute Gastric Ulcers Induced by Ethanol in Rats. Food Funct. 2021, 12, 2741–2749. [Google Scholar] [CrossRef] [PubMed]
- Jabbar, A.A.; Abdullah, F.O.; Abdulrahman, K.K.; Galali, Y.; Sardar, A.S. GC-MS Analysis of Bioactive Compounds in Methanolic Extracts of Papaver Decaisnei and Determination of Its Antioxidants and Anticancer Activities. J. Food Qual. 2022, 2022, 1405157. [Google Scholar] [CrossRef]
- Jabbar, A.A. Onosma Mutabilis: Phytochemical Composition, Antioxidant, Cytotoxicity, and Acute Oral Toxicity. Food Sci. Nutr. 2021, 9, 5755–5764. [Google Scholar] [CrossRef] [PubMed]
- Balahbib, A.; El Omari, N.; Hachlafi, N.E.L.; Lakhdar, F.; El Menyiy, N.; Salhi, N.; Mrabti, H.N.; Bakrim, S.; Zengin, G.; Bouyahya, A. Health Beneficial and Pharmacological Properties of P-Cymene. Food Chem. Toxicol. 2021, 153, 112259. [Google Scholar] [CrossRef]
- Silva-Correa, C.R.; Campos-Reyna, J.L.; Villarreal-La Torre, V.E.; Calderón-Peña, A.A.; González Blas, M.V.; Aspajo-Villalaz, C.L.; Cruzado-Razco, J.L.; Sagástegui-Guarniz, W.A.; Guerrero-Espino, L.M.; Hilario-Vargas, J. Potential Activity of Medicinal Plants as Pain Modulators: A Review. Pharmacogn. J. 2021, 13, 248–263. [Google Scholar] [CrossRef]
- Cao, X.L.; Sparling, M.; Dabeka, R. P-Cymene, a Natural Antioxidant, in Canadian Total Diet Foods: Occurrence and Dietary Exposures. J. Sci. Food Agric. 2019, 99, 5606–5609. [Google Scholar] [CrossRef]
- Nain-Perez, A.; Barbosa, L.C.A.; Araujo, M.H.; Martins, J.P.A.; Takahashi, J.A.; Oliveira, G.; Diniz, R.; Heller, L.; Hoenke, S.; Csuk, R. Antibacterial and Cytotoxic Activity of Ruthenium-p-Cymene Complexes with 2-Methylquinolin-8-Ol Derivatives. ChemistrySelect 2021, 6, 2942–2950. [Google Scholar] [CrossRef]
- Li, H.; Zhou, X.; Wu, M.; Deng, M.; Wang, C.; Hou, J.; Mou, P. The Cytotoxicity and Protective Effects of Astragalus Membranaceus Extracts and Butylated Hydroxyanisole on Hydroxyl Radical-Induced Apoptosis in Fish Erythrocytes. Anim. Nutr. 2016, 2, 376–382. [Google Scholar] [CrossRef]
- Formiga, R.D.O.; Alves Júnior, E.B.; Vasconcelos, R.C.; Guerra, G.C.B.; de Araújo, A.A.; de Carvalho, T.G.; Garcia, V.B.; de Araújo Junior, R.F.; Gadelha, F.A.A.F.; Vieira, G.C.; et al. P-Cymene and Rosmarinic Acid Ameliorate Tnbs-Induced Intestinal Inflammation Upkeeping Zo-1 and Muc-2: Role of Antioxidant System and Immunomodulation. Int. J. Mol. Sci. 2020, 21, 5870. [Google Scholar] [CrossRef]
- Barbosa, R.; Cruz-Mendes, Y.; Silva-Alves, K.S.; Ferreira-Da-Silva, F.W.; Ribeiro, N.M.; Morais, L.P.; Leal-Cardoso, J.H. Effects of Lippia Sidoides Essential Oil, Thymol, p-Cymene, Myrcene and Caryophyllene on Rat Sciatic Nerve Excitability. Braz. J. Med. Biol. Res. 2017, 50, e6351. [Google Scholar] [CrossRef] [PubMed]
- Wang, S.; Wang, X.; Wang, Y.; Leng, Q.; Sun, Y.; Hoffman, R.M.; Jin, H. The Anti-Oxidant Monoterpene p-Cymene Reduced the Occurrence of Colorectal Cancer in a Hyperlipidemia Rat Model by Reducing Oxidative Stress and Expression of Inflammatory Cytokines. Anticancer Res. 2021, 41, 1213–1218. [Google Scholar] [CrossRef] [PubMed]
- de Castro, J.A.M.; Monteiro, O.S.; Coutinho, D.F.; Rodrigues, A.A.C.; da Silva, J.K.R.; Maia, J.G.S. Seasonal and Circadian Study of a Thymol/γ-Terpinene/p-Cymene Type Oil of Ocimum Gratissimum L. And Its Antioxidant and Antifungal Effects. J. Braz. Chem. Soc. 2019, 30. [Google Scholar] [CrossRef]
- Mahmood, A.A.; Sidik, K.; Salmah, I.; Suzainur, K.A.R.; Yusoff, K.M. Cytoprotective Effects of Honey and Methanol Extracts from P. Granatum L. Fruit Peel and N. Sativa L Seeds on Ethanol-Induced Gastric Damage in Rats. J. Food Technol. 2004, 2, 136–144. [Google Scholar]
- Golbabapour, S.; Hajrezaie, M.; Hassandarvish, P.; Abdul Majid, N.; Hadi, A.H.A.; Nordin, N.; Abdulla, M.A. Acute Toxicity and Gastroprotective Role of M. Pruriens in Ethanol-Induced Gastric Mucosal Injuries in Rats. Biomed. Res. Int. 2013, 2013, 1509057. [Google Scholar] [CrossRef] [PubMed]
- Rawat, S.; Jugran, A.; Giri, L.; Bhatt, I.D.; Rawal, R.S. Assessment of Antioxidant Properties in Fruits of Myrica Esculenta: A Popular Wild Edible Species in Indian Himalayan Region. Evid. -Based Complement. Altern. Med. 2011, 2011, 512787. [Google Scholar] [CrossRef]
- Ibrahim, I.A.A.; Qader, S.W.; Abdulla, M.A.; Nimir, A.R.; Abdelwahab, S.I.; Al-Bayaty, F.H. Effects of Pithecellobium Jiringa Ethanol Extract against Ethanol-Induced Gastric Mucosal Injuries in Sprague-Dawley Rats. Molecules 2012, 17, 2796–2811. [Google Scholar] [CrossRef]
- Alrdahe, S.S.; Abdulla, M.A.; Razak, S.A.; Kadir, F.A.; Hassandarvish, P. Gastroprotective Activity of Swietenia Mahagoni Seed Extract on Ethanol-Induced Gastric Mucosal Injury in Rats. World Acad. Sci. Eng. Technol. 2010, 43, 883–887. [Google Scholar]
- Mahmood, A.; Sidik, K.; Salmah, I.; Suzainor, K.; Philip, K. Antiulcerogenic Activity of Ageratum Conyzoides Leaf Extract against Ethanol-Induced Gastric Ulcer in Rats as Animal Model. Int. J. Mol. Med. Adv. Sci. 2005, 1, 402–405. [Google Scholar]
- Dhiyaaldeen, S.M.; Amin, Z.A.; Darvish, P.H.; Mustafa, I.F.; Jamil, M.M.; Rouhollahi, E.; Abdulla, M.A. Protective Effects of (1-(4-Hydroxy-Phenyl)-3-m-Tolyl-Propenone Chalcone in Indomethacin-Induced Gastric Erosive Damage in Rats. BMC Vet. Res. 2014, 10, 961. [Google Scholar] [CrossRef]
- Nordin, N.; Salama, S.M.; Golbabapour, S.; Hajrezaie, M.; Hassandarvish, P.; Kamalidehghan, B.; Majid, N.A.; Hashim, N.M.; Omar, H.; Fadaienasab, M.; et al. Anti-Ulcerogenic Effect of Methanolic Extracts from Enicosanthellum Pulchrum (King) HEUSDEN against Ethanol-Induced Acute Gastric Lesion in Animal Models. PLoS ONE 2014, 9, e111925. [Google Scholar] [CrossRef] [PubMed]
- Alrashdi, A.S.; Salama, S.M.; Alkiyumi, S.S.; Abdulla, M.A.; Hadi, A.H.A.; Abdelwahab, S.I.; Taha, M.M.; Hussiani, J.; Asykin, N. Mechanisms of Gastroprotective Effects of Ethanolic Leaf Extract of Jasminum Sambac against HCl/Ethanol-Induced Gastric Mucosal Injury in Rats. Evid Based Complement Alternat. Med. 2012, 2012, 786426. [Google Scholar] [CrossRef] [PubMed]
- Nur Jannah, M.H.; Mahmood, A.A.; Sidik, K.; Salmah, I. Cytoprotective Effects of Honey in Combination with Aqueous and Ethanol Cytoprotective Effects of Honey in Combination with Aqueous and Ethanol Extracts from Chromolaena Odorata L. (Eupatorium Odoratum L.) in Rats. J. Health Transl. Med. 2003, 9, 7–13. [Google Scholar]
- Mahmood, A.A.; Philip, K.; Salmah, I. Anti Ulcerogenic Effect of the Rhizomes of Zingiber Officinale against Ethanol Induced Gastric Ulcers in Rats. J. Anim. Vet. Adv. 2006, 5, 122–125. [Google Scholar]
- Salga, M.S.; Ali, H.M.; Abdulla, M.A.; Abdelwahab, S.I. Gastroprotective Activity and Mechanism of Novel Dichlorido-Zinc(II)-4-(2-(5-Methoxybenzylideneamino)Ethyl)Piperazin-1-Iumphenolate Complex on Ethanol-Induced Gastric Ulceration. Chem. Biol. Interact. 2012, 195, 144–153. [Google Scholar] [CrossRef]
- Zhou, D.; Yang, Q.; Tian, T.; Chang, Y.; Li, Y.; Duan, L.R.; Li, H.; Wang, S.W. Gastroprotective Effect of Gallic Acid against Ethanol-Induced Gastric Ulcer in Rats: Involvement of the Nrf2/HO-1 Signaling and Anti-Apoptosis Role. Biomed. Pharmacother. 2020, 126, 110075. [Google Scholar] [CrossRef]
- Fahmy, N.M.; Al-Sayed, E.; Michel, H.E.; El-Shazly, M.; Singab, A.N.B. Gastroprotective Effects of Erythrina Speciosa (Fabaceae) Leaves Cultivated in Egypt against Ethanol-Induced Gastric Ulcer in Rats. J. Ethnopharmacol. 2020, 248, 112297. [Google Scholar] [CrossRef]
- Armah, F.A.; Henneh, I.T.; Alake, J.; Ahlidja, W.; Amoani, B.; Ofori, E.G.; Asante-Kyei, B.; Temitayo, G.I.; Adokoh, C.K. Allanblackia Floribunda Seed Extract Attenuates the Ethanol-Induced Gastric Ulcer in Rats via the Inhibition of TNF- α and INF- γ Levels and Modulation in the Expression of Ki67 Protein. Biomed. Res. Int. 2021, 2021, 1–10. [Google Scholar] [CrossRef]
- Taha, M.M.E.; Abdelwahab, S.I.; Elsanousi, R.; Sheikh, B.Y.; Abdulla, M.A.; Babiker, S.E.; Elraih, H.; Mohamed, E. Effectiveness of Sidr Honey on the Prevention of Ethanol-Induced Gatroulcerogenesis: Role of Antioxidant and Antiapoptotic Mechanism. Pharmacogn. J. 2015, 7, 157–164. [Google Scholar] [CrossRef]
- Ibrahim, I.A.A.; Abdulla, M.A.; Hajrezaie, M.; Bader, A.; Shahzad, N.; Al Ghamdi, S.S.; Gushash, A.S.; Hasanpourghadi, M. The Gastroprotective Effects of Hydroalcoholic Extract of Monolluma Quadrangula against Ethanol-Induced Gastric Mucosal Injuries in Sprague Dawley Rats. Drug Des. Devel. Ther. 2016, 10, 93–105. [Google Scholar] [CrossRef]
- Krstić, M.; Sovilj, S.P.; Grgurić-Šipka, S.; Evans, I.R.; Borozan, S.; Santibanez, J.F. Synthesis, Structural and Spectroscopic Characterization, in Vitro Cytotoxicity and in Vivo Activity as Free Radical Scavengers of Chlorido(p-Cymene) Complexes of Ruthenium(II) Containing N-Alkylphenothiazines. Eur. J. Med. Chem. 2011, 46, 4168–4177. [Google Scholar] [CrossRef] [PubMed]
- Rahman, Z.; Dwivedi, D.K.; Jena, G.B. Ethanol-Induced Gastric Ulcer in Rats and Intervention of Tert-Butylhydroquinone: Involvement of Nrf2/HO-1 Signalling Pathway. Hum. Exp. Toxicol. 2020, 39, 547–562. [Google Scholar] [CrossRef]
- Mahmood, A.A.; Mariod, A.A.; Al-Bayaty, F.; Abdel-Wahab, S.I. Anti-Ulcerogenic Activity of Gynura Procumbens Leaf Extract against Experimentally-Induced Gastric Lesions in Rats. J. Med. Plants Res. 2010, 4, 685–691. [Google Scholar]
- Abdulla, M.A.; Ali, H.M.; Ahmed, K.A.A.; Noor, S.M.; Ismail, S. Evaluation of the Anti-Ulcer Activities of Morus Alba Extracts in Experimentally-Induced Gastric Ulcer in Rats. Biomed. Res. 2009, 20, 35–39. [Google Scholar]
- Noor, S.M.; Mahmood, A.A.; Salmah, I.; Philip, K. Prevention Acute Gastric by R Hasseltii.Pdf. J. Anim. Vet. Adv. 2006, 5, 161–164. [Google Scholar]
- Omar, H.; Nordin, N.; Hassandarvish, P.; Hajrezaie, M.; Azizan Syahadah, A.H.; Fadaeinasab, M.; Majid, N.A.; Abdulla, M.A.; Hashim, N.M.; Ali, H.M. Methanol Leaf Extract of Actinodaphne Sesquipedalis (Lauraceae) Enhances Gastric Defense against Ethanol-Induced Ulcer in Rats. Drug Des. Devel. Ther. 2017, 11, 1353–1365. [Google Scholar] [CrossRef]
- Nasry, W.H.; Rodriguez-Lecompte, J.C.; Martin, C.K. Role of COX-2/PGE2 Mediated Inflammation in Oral Squamous Cell Carcinoma. Cancers 2018, 10, 348. [Google Scholar] [CrossRef]
- Hajrezaie, M.; Salehen, N.A.; Karimian, H.; Zahedifard, M.; Shams, K.; Batran, R.A.; Majid, N.A.; Khalifa, S.A.M.; Ali, H.M.; El-Seedi, H.; et al. Biochanin A Gastroprotective Effects in Ethanol-Induced Gastric Mucosal Ulceration in Rats. PLoS ONE 2015, 10, e0121529. [Google Scholar] [CrossRef]
- El-Shiekh, R.A.; Salama, A.; Al-Mokaddem, A.K.; Bader, A.; Abdel-Sattar, E.A. Russelioside B; A Pregnane Glycoside for Treatment of Gastric Ulcer via Modulation of Heat Shock Protein-70 and Vascular Endothelial Growth Factor. Steroids 2021, 165, 108759. [Google Scholar] [CrossRef]
- Mohan, S.; Hobani, Y.H.; Shaheen, E.; Abou-Elhamd, A.S.; abdelhaleem, A.; Alhazmi, H.A.; Abdelwahab, S.I. Girinimbine from Curry Leaves Promotes Gastro Protection against Ethanol Induced Peptic Ulcers and Improves Healing via Regulation of Anti-Inflammatory and Antioxidant Mechanisms. Food Funct. 2020, 11, 3493–3505. [Google Scholar] [CrossRef]
- Moawad, H.; El Awdan, S.A.; Sallam, N.A.; El-Eraky, W.I.; Alkhawlani, M.A. Gastroprotective Effect of Cilostazol against Ethanol- and Pylorus Ligation–Induced Gastric Lesions in Rats. Naunyn-Schmiedeberg’s Arch. Pharmacol. 2019, 392, 1605–1616. [Google Scholar] [CrossRef]
- Badr, A.M.; EL-Orabi, N.F.; Ali, R.A. The Implication of the Crosstalk of Nrf2 with NOXs, and HMGB1 in Ethanol-Induced Gastric Ulcer: Potential Protective Effect Is Afforded by Raspberry Ketone. PLoS ONE 2019, 14, e0220548. [Google Scholar]
- Albaayit, S.F.A.; Abba, Y.; Abdullah, R.; Abdullah, N. Prophylactic Effects of Clausena Excavata Burum. f. Leaf Extract in Ethanol-Induced Gastric Ulcers. Drug Des. Devel. Ther. 2016, 10, 1973–1986. [Google Scholar]









| Animal Groups | Pre-Feeding (5 mL/kg) | Mucus Weight (g) | pH | Ulcer Area (mm)2 | Inhibition (%) |
|---|---|---|---|---|---|
| G1—Normal control | 0.5 CMC | 1.8967 ± 0.65 a | 6.116 ± 0.53 a | - | - |
| G2—Ulcer control | 0.5% CMC | 0.695 ± 0.32 b | 2.86 ± 0.07 b | 675.66 ± 9.66 a | - |
| G3—Omeprazole | 20 mg/kg omeprazole | 1.8917 ± 0.47 a | 6.11 ± 0.50 a | 98.33 ± 4.45 b | 84.26% a |
| G4—p-Cymene (low dose) | 30 mg/kg p-Cymene | 1.5117 ± 0.39 c | 5.14 ± 0.05 a | 150.66 ± 49 c | 77.70% b |
| G5—p-Cymene (high dose) | 60 mg/kg p-Cymene | 1.7917 ± 0.61 d | 5.67 ± 0.53 a | 109.166 ± 4.62 d | 83.84% c |
Publisher’s Note: MDPI stays neutral with regard to jurisdictional claims in published maps and institutional affiliations. |
© 2022 by the authors. Licensee MDPI, Basel, Switzerland. This article is an open access article distributed under the terms and conditions of the Creative Commons Attribution (CC BY) license (https://creativecommons.org/licenses/by/4.0/).
Share and Cite
Shareef, S.H.; Al-Medhtiy, M.H.; Ibrahim, I.A.A.; Alzahrani, A.R.; Jabbar, A.A.; Galali, Y.; Agha, N.F.S.; Aziz, P.Y.; Thabit, M.A.; Agha, D.N.F.; et al. RETRACTED: Gastroprophylactic Effects of p-Cymene in Ethanol-Induced Gastric Ulcer in Rats. Processes 2022, 10, 1314. https://doi.org/10.3390/pr10071314
Shareef SH, Al-Medhtiy MH, Ibrahim IAA, Alzahrani AR, Jabbar AA, Galali Y, Agha NFS, Aziz PY, Thabit MA, Agha DNF, et al. RETRACTED: Gastroprophylactic Effects of p-Cymene in Ethanol-Induced Gastric Ulcer in Rats. Processes. 2022; 10(7):1314. https://doi.org/10.3390/pr10071314
Chicago/Turabian StyleShareef, Suhayla H., Morteta H. Al-Medhtiy, Ibrahim Abdel Aziz Ibrahim, Abdullah R. Alzahrani, Ahmed Aj. Jabbar, Yaseen Galali, Nabaz Fisal Shakir Agha, Peshawa Y. Aziz, Muthanna A. Thabit, Derin N. F. Agha, and et al. 2022. "RETRACTED: Gastroprophylactic Effects of p-Cymene in Ethanol-Induced Gastric Ulcer in Rats" Processes 10, no. 7: 1314. https://doi.org/10.3390/pr10071314
APA StyleShareef, S. H., Al-Medhtiy, M. H., Ibrahim, I. A. A., Alzahrani, A. R., Jabbar, A. A., Galali, Y., Agha, N. F. S., Aziz, P. Y., Thabit, M. A., Agha, D. N. F., Salehen, N. A., Ameen, Z. M., & Abdulla, M. A. (2022). RETRACTED: Gastroprophylactic Effects of p-Cymene in Ethanol-Induced Gastric Ulcer in Rats. Processes, 10(7), 1314. https://doi.org/10.3390/pr10071314

