Production of Bivalent Subunit Vaccine for Porcine via 2A-Like Sequence in Baculovirus Expression Vector System
Abstract
1. Introduction
2. Materials and Methods
2.1. Cell Culture
2.2. Plasmids Construction and Recombinant Baculoviruses Generation
2.3. Analysis of CSFV-E2, PCV2-Cap, and FIP-FVE Expression in Insect Cell by Western Blot
2.4. Determination of the PCV2-Cap Protein Expression in Insect Cell by Immunofluorescence Assay
2.5. Expression and Purification of PCV2 CAP Protein
2.6. Determination of the PVC2-Cap Protein Concentration by Enzyme-Linked Immunosorbent Assay (ELISA)
2.7. Animal Studies
2.8. Preparation of the Vaccine and Immunization of the Mice with the Bivalent Vaccine of CSVF2-E2 and PCV2
3. Results
3.1. Generation of the Recombinant Baculoviruses Expressing CSFV-E2, PCV2-Cap, and FIP-FVE in Insect Cell
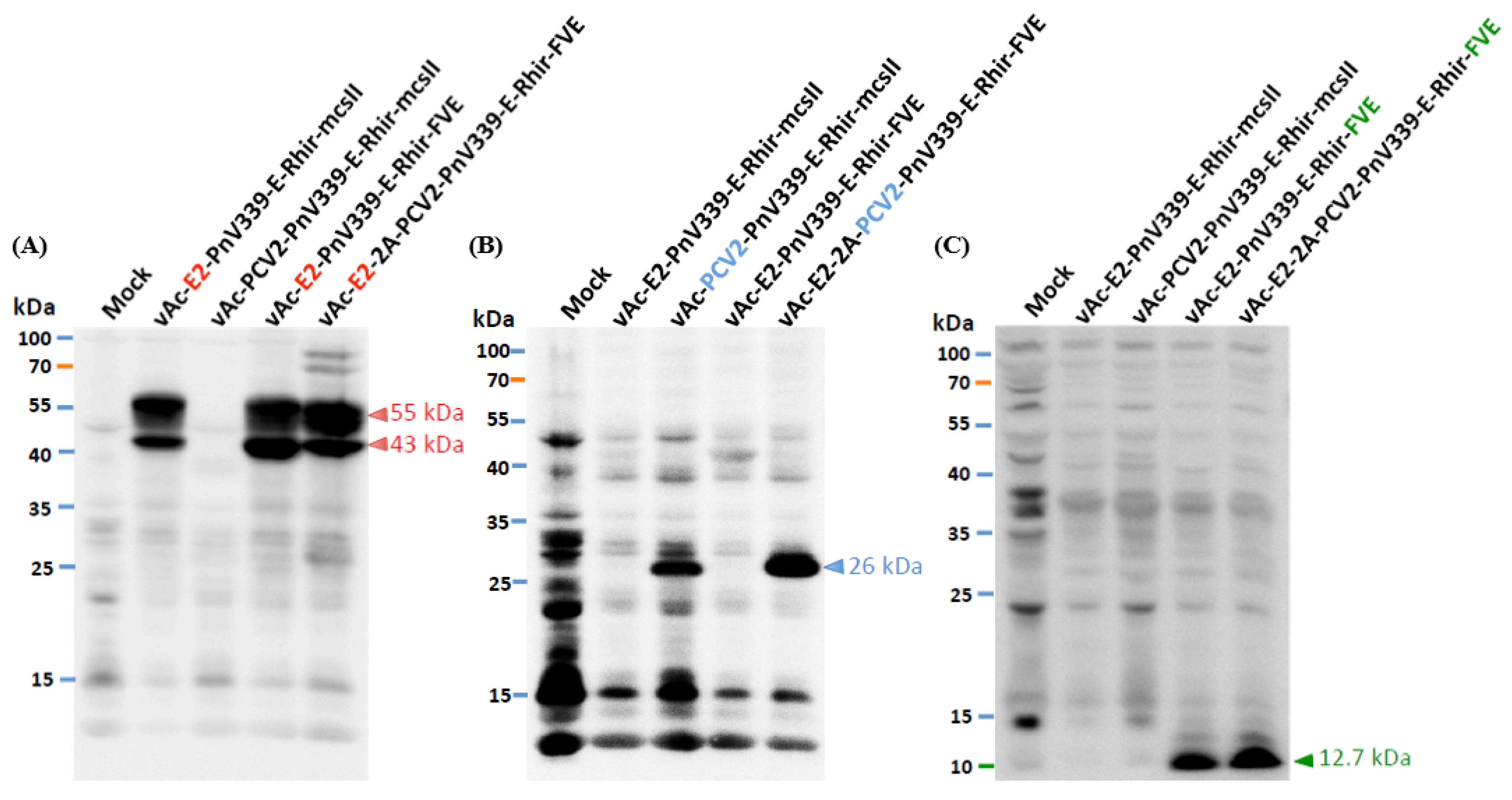
3.2. Western Blot Analysis of CSFV-E2, PCV2-Cap, and FVE-FIP Expression in Sf21 Cells
3.3. Analysis of the PCV2-Cap Protein Expression in Sf21 Cells Using Immunofluorescence Assay
3.4. Immunogenicity Evaluation of the Bivalent Vaccines In Vivo Using Mice Model
4. Discussion
5. Conclusions
Supplementary Materials
Author Contributions
Funding
Institutional Review Board Statement
Informed Consent Statement
Conflicts of Interest
References
- Moennig, V. Introduction to classical swine fever: Virus, disease and control policy. Vet. Microbiol. 2000, 73, 93–102. [Google Scholar] [CrossRef]
- Fritzemeier, J.; Teuffert, J.; Greiser-Wilke, I.; Staubach, C.; Schlüter, H.; Moennig, V. Epidemiology of classical swine fever in Germany in the 1990s. Vet. Microbiol. 2000, 77, 29–41. [Google Scholar] [CrossRef]
- Pineda, P.; Deluque, A.; Peña, M.; Diaz, O.L.; Allepuz, A.; Casal, J. Descriptive epidemiology of classical swine fever outbreaks in the period 2013–2018 in Colombia. PLoS ONE 2020, 15, e0234490. [Google Scholar] [CrossRef] [PubMed]
- Elbers, A.R.; Stegeman, A.; Moser, H.; Ekker, H.M.; Smak, J.A.; Pluimers, F.H. The classical swine fever epidemic 1997–1998 in the Netherlands: Descriptive epidemiology. Prev. Vet. Med. 1999, 42, 157–184. [Google Scholar] [CrossRef]
- Sarkar, S.; Hossain, M.E.; Gurley, E.S.; Hasan, R.; Rahman, M.Z. An outbreak of classical swine fever in pigs in Bangladesh, 2015. Vet. Med. Sci. 2018, 4, 45–52. [Google Scholar] [CrossRef]
- Zhou, B. Classical swine fever in China-an update Minireview. Front. Vet. Sci. 2019, 6, 187. [Google Scholar] [CrossRef]
- Greiser-Wilke, I.; Fritzemeier, J.; Koenen, F.; Vanderhallen, H.; Rutili, D.; De Mia, G.-M.; Romero, L.; Rosell, R.; Sanchez-Vizcaino, J.; San Gabriel, A. Molecular epidemiology of a large classical swine fever epidemic in the European Union in 1997–1998. Vet. Microbiol. 2000, 77, 17–27. [Google Scholar] [CrossRef]
- Biagetti, M.; Greiser-Wilke, I.; Rutili, D. Molecular epidemiology of classical swine fever in Italy. Vet. Microbiol. 2001, 83, 205–215. [Google Scholar] [CrossRef]
- David, D.; Edri, N.; Yakobson, B.; Bombarov, V.; King, R.; Davidson, I.; Pozzi, P.; Hadani, Y.; Bellaiche, M.; Schmeiser, S.; et al. Emergence of classical swine fever virus in Israel in 2009. Vet. J. 2011, 190, e146–e149. [Google Scholar] [CrossRef]
- Song, J.Y.; Lim, S.; Jeoung, H.; Choi, E.J.; Hyun, B.H.; Kim, B.; Kim, J.; Shin, Y.K.; Dela Pena, R.; Kim, J.; et al. Prevalence of Classical Swine Fever Virus in Domestic Pigs in South Korea: 1999–2011. Transbound. Emerg. Dis. 2013, 60, 546–551. [Google Scholar] [CrossRef]
- Isoda, N.; Baba, K.; Ito, S.; Ito, M.; Sakoda, Y.; Makita, K. Dynamics of Classical Swine Fever Spread in Wild Boar in 2018–2019, Japan. Pathogens 2020, 9, 119. [Google Scholar] [CrossRef]
- Brown, V.R.; Bevins, S.N. A review of classical swine fever virus and routes of introduction into the United States and the potential for virus establishment. Front. Vet. Sci. 2018, 5, 31. [Google Scholar] [CrossRef] [PubMed]
- Meyers, G.; Thiel, H.-J. Molecular characterization of pestiviruses. Adv. Virus Res. 1996, 47, 53–118. [Google Scholar] [PubMed]
- Simmonds, P.; Becher, P.; Bukh, J.; Gould, E.A.; Meyers, G.; Monath, T.; Muerhoff, S.; Pletnev, A.; Rico-Hesse, R.; Smith, D.B.; et al. ICTV virus taxonomy profile: Flaviviridae. J. Gen. Virol. 2017, 98, 2–3. [Google Scholar] [CrossRef] [PubMed]
- Allan, G.; Meehan, B.; Todd, D.; Kennedy, S.; McNeilly, F.; Ellis, J.; Clark, E.G.; Harding, J.; Espuna, E.; Botner, A.; et al. Novel porcine circoviruses from pigs with wasting disease syndromes. Vet Rec 1998, 142, 467–468. [Google Scholar]
- Harding, J.C. Postweaning multisystemic wasting syndrome: Epidemiology and clinical presentation. J. Swine Health Prod. 1998, 6, 249–254. [Google Scholar]
- Woodbine, K.A.; Turner, M.; Medley, G.; Scott, P.D.; Easton, A.J.; Slevin, J.; Brown, J.; Francis, L.; Green, L.E. A cohort study of post-weaning multisystemic wasting syndrome and PCV2 in 178 pigs from birth to 14 weeks on a single farm in England. Prev. Vet. Med. 2010, 97, 100–106. [Google Scholar] [CrossRef][Green Version]
- Garkavenko, O.; Elliott, R.; Croxson, M. Identification of pig circovirus type 2 in New Zealand pigs. Transplant. Proc. 2005, 37, 506–509. [Google Scholar] [CrossRef]
- Chae, J.-S.; Choi, K.-S. Genetic diversity of porcine circovirus type 2 from pigs in Republic of Korea. Res. Vet. Sci. 2010, 88, 333–338. [Google Scholar] [CrossRef]
- Zhai, S.-L.; Chen, S.-N.; Xu, Z.-H.; Tang, M.-H.; Wang, F.-G.; Li, X.-J.; Sun, B.-B.; Deng, S.-F.; Hu, J.; Lv, D.-H.; et al. Porcine circovirus type 2 in China: An update on and insights to its prevalence and control. Virol. J. 2014, 11, 88. [Google Scholar] [CrossRef]
- Onuki, A.; ABE, K.; Togashi, K.; Kawashima, K.; Taneichi, A.; Tsunemitsu, H. Detection of porcine circovirus from lesions of a pig with wasting disease in Japan. J. Vet. Med. Sci. 1999, 61, 1119–1123. [Google Scholar] [CrossRef] [PubMed]
- Wellenberg, G.; Pesch, S.; Berndsen, F.; Steverink, P.; Hunneman, W.; Van Der Vorst, T.; Peperkamp, N.; Ohlinger, V.; Schippers, R.; Van Oirschot, J.; et al. Isolation and characterization of porcine circovirus type 2 from pigs showing signs of post-weaning multisystemic wasting syndrome in the Netherlands. Vet. Q. 2000, 22, 167–172. [Google Scholar] [CrossRef] [PubMed]
- Saoulidis, K.; Kyriakis, S.; Kennedy, S.; Lekkas, S.; Miliotis, C.C.; Allan, G.; Balkamos, G.; Papoutsis, P. First Report of Post-Weaning Multisystemic Wasting Syndrome and Porcine Dermatitis and Nephropathy Syndrome in Pigs in Greece. J. Vet. Med. Ser. B 2002, 49, 202–205. [Google Scholar] [CrossRef] [PubMed]
- Chae, C. Postweaning multisystemic wasting syndrome: A review of aetiology, diagnosis and pathology. Vet. J. 2004, 168, 41–49. [Google Scholar] [CrossRef]
- Van Rijn, P.; Bossers, A.; Wensvoort, G.; Moormann, R. Classical swine fever virus (CSFV) envelope glycoprotein E2 containing one structural antigenic unit protects pigs from lethal CSFV challenge. J. Gen. Virol. 1996, 77, 2737–2745. [Google Scholar] [CrossRef]
- Gong, W.; Li, J.; Wang, Z.; Sun, J.; Mi, S.; Xu, J.; Cao, J.; Hou, Y.; Wang, D.; Huo, X.; et al. Commercial E2 subunit vaccine provides full protection to pigs against lethal challenge with 4 strains of classical swine fever virus genotype 2. Vet. Microbiol. 2019, 237, 108403. [Google Scholar] [CrossRef]
- Martelli, P.; Ferrari, L.; Morganti, M.; De Angelis, E.; Bonilauri, P.; Guazzetti, S.; Caleffi, A.; Borghetti, P. One dose of a porcine circovirus 2 subunit vaccine induces humoral and cell-mediated immunity and protects against porcine circovirus-associated disease under field conditions. Vet. Microbiol. 2011, 149, 339–351. [Google Scholar] [CrossRef]
- Miller, L.K. Introduction to the Baculoviruses. In The Baculoviruses; Miller, L.K., Ed.; Springer: Boston, MA, USA, 1997; pp. 1–6. [Google Scholar]
- Kost, T.A.; Condreay, J.P.; Jarvis, D.L. Baculovirus as versatile vectors for protein expression in insect and mammalian cells. Nat. Biotechnol. 2005, 23, 567–575. [Google Scholar] [CrossRef]
- Summers, M.D. Milestones leading to the genetic engineering of baculoviruses as expression vector systems and viral pesticides. Adv. Virus Res. 2006, 68, 3–73. [Google Scholar]
- Luckow, V.A.; Summers, M.D. Trends in the development of baculovirus expression vectors. Bio/technology 1988, 6, 47–55. [Google Scholar] [CrossRef]
- Finkelstein, Y.; Faktor, O.; Elroy-Stein, O.; Levi, B.-Z. The use of bi-cistronic transfer vectors for the baculovirus expression system. J. Biotechnol. 1999, 75, 33–44. [Google Scholar] [CrossRef]
- Berger, I.; Fitzgerald, D.J.; Richmond, T.J. Baculovirus expression system for heterologous multiprotein complexes. Nat. Biotechnol. 2004, 22, 1583–1587. [Google Scholar] [CrossRef] [PubMed]
- Wu, T.-Y.; Chen, Y.-J.; Teng, C.-Y.; Chen, W.-S.; Villaflores, O. A bi-cistronic baculovirus expression vector for improved recombinant protein production. Bioengineered 2012, 3, 129–132. [Google Scholar] [CrossRef][Green Version]
- Wang, Y.; Wang, F.; Wang, R.; Zhao, P.; Xia, Q. 2A self-cleaving peptide-based multi-gene expression system in the silkworm Bombyx mori. Sci. Rep. 2015, 5, 16273. [Google Scholar] [CrossRef] [PubMed]
- Belyaev, A.S.; Roy, P. Development of baculovirus triple and quadruple expression vectors: Co-expression of three or four bluetongue virus proteins and the synthesis of bluetongue virus-like particles in insect cells. Nucleic Acids Res. 1993, 21, 1219–1223. [Google Scholar] [CrossRef] [PubMed]
- Roy, P.; Mikhailov, M.; Bishop, D.H. Baculovirus multigene expression vectors and their use for understanding the assembly process of architecturally complex virus particles. Gene 1997, 190, 119–129. [Google Scholar] [CrossRef]
- Ho, Y.; Lin, P.-H.; Liu, C.Y.; Lee, S.-P.; Chao, Y.-C. Assembly of human severe acute respiratory syndrome coronavirus-like particles. Biochem. Biophys. Res. Commun. 2004, 318, 833–838. [Google Scholar] [CrossRef]
- Ko, J.L.; Hsu, C.I.; Lin, R.H.; Kao, C.L.; Lin, J.Y. A new fungal immunomodulatory protein, FIP-fve isolated from the edible mushroom, Flammulina velutipes and its complete amino acid sequence. Eur. J. Biochem. 1995, 228, 244–249. [Google Scholar] [CrossRef]
- Wang, P.-H.; Hsu, C.-I.; Tang, S.-C.; Huang, Y.-L.; Lin, J.-Y.; Ko, J.-L. Fungal immunomodulatory protein from Flammulina velutipes induces interferon-γ production through p38 mitogen-activated protein kinase signaling pathway. J. Agric. Food Chem. 2004, 52, 2721–2725. [Google Scholar] [CrossRef]
- Hsu, C.-W.; Chang, M.-H.; Chang, H.-W.; Wu, T.-Y.; Chang, Y.-C. Parenterally Administered Porcine Epidemic Diarrhea Virus-Like Particle-Based Vaccine Formulated with CCL25/28 Chemokines Induces Systemic and Mucosal Immune Protectivity in Pigs. Viruses 2020, 12, 1122. [Google Scholar] [CrossRef]
- Chen, Y.-J.; Chen, W.-S.; Wu, T.-Y. Development of a bi-cistronic baculovirus expression vector by the Rhopalosiphum padi virus 5′ internal ribosome entry site. Biochem. Biophys. Res. Commun. 2005, 335, 616–623. [Google Scholar] [CrossRef]
- Lin, Y.-T.; Teng, C.-Y.; Villaflores, O.B.; Chen, Y.-J.; Liu, M.-K.; Chan, H.-L.; Jinn, T.-R.; Wu, T.-Y. Using internal ribosome entry sites to facilitate engineering of insect cells and used in secretion proteins production. J. Taiwan Inst. Chem. Eng. 2017, 71, 13–19. [Google Scholar] [CrossRef]
- Lardeux, F.; Torrico, G.; Aliaga, C. Calculation of the ELISA’s cut-off based on the change-point analysis method for detection of Trypanosoma cruzi infection in Bolivian dogs in the absence of controls. Memórias Inst. Oswaldo Cruz 2016, 111, 501–504. [Google Scholar] [CrossRef] [PubMed]
- Zhang, H.; Wen, W.; Zhao, Z.; Wang, J.; Chen, H.; Qian, P.; Li, X. Enhanced protective immunity to CSFV E2 subunit vaccine by using IFN-γ as immunoadjuvant in weaning piglets. Vaccine 2018, 36, 7353–7360. [Google Scholar] [CrossRef] [PubMed]
- Wang, F.-I.; Deng, M.-C.; Huang, Y.-L.; Chang, C.-Y. Structures and functions of pestivirus glycoproteins: Not simply surface matters. Viruses 2015, 7, 3506–3529. [Google Scholar] [CrossRef] [PubMed]
- Huang, L.P.; Lu, Y.H.; Wei, Y.W.; Guo, L.J.; Liu, C.M. Identification of one critical amino acid that determines a conformational neutralizing epitope in the capsid protein of porcine circovirus type 2. BMC Microbiol. 2011, 11, 188. [Google Scholar] [CrossRef] [PubMed]
- Nawagitgul, P.; Morozov, I.; Bolin, S.R.; Harms, P.A.; Sorden, S.D.; Paul, P.S. Open reading frame 2 of porcine circovirus type 2 encodes a major capsid protein. J. Gen. Virol. 2000, 81, 2281–2287. [Google Scholar] [CrossRef]
- Wu, T.-Y.; Wang, C.-h.; Chen, Y.-J.; Teng, C.-Y.; Chen, Y.-J. Methods and Systems for Identifying Polynucleotide Sequences with Translational Self-Cleavage Activity. U.S. Patent Application No. 12/378,609, 18 February 2009. [Google Scholar]
- Ryan, M.D.; King, A.M.; Thomas, G.P. Cleavage of foot-and-mouth disease virus polyprotein is mediated by residues located within a 19 amino acid sequence. J. Gen. Virol. 1991, 72, 2727–2732. [Google Scholar] [CrossRef]
- Donnelly, M.L.; Luke, G.; Mehrotra, A.; Li, X.; Hughes, L.E.; Gani, D.; Ryan, M.D. Analysis of the aphthovirus 2A/2B polyprotein ‘cleavage’mechanism indicates not a proteolytic reaction, but a novel translational effect: A putative ribosomal ‘skip’. J. Gen. Virol. 2001, 82, 1013–1025. [Google Scholar] [CrossRef]
- Doronina, V.A.; Wu, C.; de Felipe, P.; Sachs, M.S.; Ryan, M.D.; Brown, J.D. Site-specific release of nascent chains from ribosomes at a sense codon. Mol. Cell. Biol. 2008, 28, 4227–4239. [Google Scholar] [CrossRef]
- Wu, C.-Y.; Huang, C.-W.; Nai, Y.-S.; Chu, P.-Y.; Wang, C.-H.; Ding, S.-T. A newly designed EGFP-2A peptide monocistronic baculoviral vector for concatenating the expression of recombinant proteins in insect cells. Processes 2019, 7, 291. [Google Scholar] [CrossRef]
- Kong, X.; Zhang, J.; Han, X.; Zhang, P.; Dai, X.; Liu, J.; Zhang, X.; Lee, I.; Liu, S. High-yield production in Escherichia coli of fungal immunomodulatory protein isolated from Flammulina velutipes and its bioactivity assay in vivo. Int. J. Mol. Sci. 2013, 14, 2230–2241. [Google Scholar] [CrossRef] [PubMed]
- Paaventhan, P.; Joseph, J.S.; Seow, S.V.; Vaday, S.; Robinson, H.; Chua, K.Y.; Kolatkar, P.R. A 1.7 Å structure of Fve, a member of the new fungal immunomodulatory protein family. J. Mol. Biol. 2003, 332, 461–470. [Google Scholar] [CrossRef]
- Liu, Y.-F.; Chang, S.-H.; Sun, H.-L.; Chang, Y.-C.; Hsin, I.-L.; Lue, K.-H.; Ko, J.-L. IFN-γ induction on carbohydrate binding module of fungal immunomodulatory protein in human peripheral mononuclear cells. J. Agric. Food Chem. 2012, 60, 4914–4922. [Google Scholar] [CrossRef]





| Primer Name | Sequence (5′-3′) |
|---|---|
| E2-BamHI-F | 5′-ATAGGATCCCCACCATGTTGAGAGGACAGGTTG-3′ |
| E2-PstI-R | 5′-CCCCTGCAGATCCAAAATTCGGCGAAGTAGTC-3′ |
| PCV2-PstI-F | 5′-AAACTGCAGGCCACCATGACGTATCCAAG-3′ |
| PCV2-PstI-R | 5′-AGCCTGCAGCTACTTAGGGTTAAGTGGGGGGTC-3′ |
| FVE-SpeI-F | 5′- GGCACTAGTCCACCATGTCCGCCACGTCGCTC-3′ |
| FVE-NotI-R | 5′-GGCGCGGCCGCCTAAGTCTTCTTCCACTCAGC-3′ |
Publisher’s Note: MDPI stays neutral with regard to jurisdictional claims in published maps and institutional affiliations. |
© 2022 by the authors. Licensee MDPI, Basel, Switzerland. This article is an open access article distributed under the terms and conditions of the Creative Commons Attribution (CC BY) license (https://creativecommons.org/licenses/by/4.0/).
Share and Cite
Chen, M.-H.; Varikkodan, M.M.; Lin, T.-H.; Chiang, C.-M.; Sari, I.P.; Perng, M.-D.; Wu, T.-Y. Production of Bivalent Subunit Vaccine for Porcine via 2A-Like Sequence in Baculovirus Expression Vector System. Processes 2022, 10, 895. https://doi.org/10.3390/pr10050895
Chen M-H, Varikkodan MM, Lin T-H, Chiang C-M, Sari IP, Perng M-D, Wu T-Y. Production of Bivalent Subunit Vaccine for Porcine via 2A-Like Sequence in Baculovirus Expression Vector System. Processes. 2022; 10(5):895. https://doi.org/10.3390/pr10050895
Chicago/Turabian StyleChen, Ming-Hsiang, Muhammed Muhsin Varikkodan, Ting-Hui Lin, Chien-Min Chiang, Indah Permata Sari, Ming-Der Perng, and Tzong-Yuan Wu. 2022. "Production of Bivalent Subunit Vaccine for Porcine via 2A-Like Sequence in Baculovirus Expression Vector System" Processes 10, no. 5: 895. https://doi.org/10.3390/pr10050895
APA StyleChen, M.-H., Varikkodan, M. M., Lin, T.-H., Chiang, C.-M., Sari, I. P., Perng, M.-D., & Wu, T.-Y. (2022). Production of Bivalent Subunit Vaccine for Porcine via 2A-Like Sequence in Baculovirus Expression Vector System. Processes, 10(5), 895. https://doi.org/10.3390/pr10050895

