VEGF Pathway Gene Expression Profile of Proliferating versus Involuting Infantile Hemangiomas: Preliminary Evidence and Review of the Literature
Abstract
:1. Introduction
2. Materials and Methods
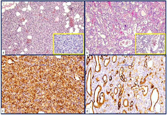
3. Results
4. Discussion
5. Conclusions
Author Contributions
Funding
Informed Consent Statement
Acknowledgments
Conflicts of Interest
References
- Wildgruber, M.; Sadick, M.; Müller-Wille, R.; Wohlgemuth, W.A. Vascular tumors in infants and adolescents. Insights Imaging 2019, 10, 30. [Google Scholar] [CrossRef] [PubMed]
- Yildirimcakar, D.; Demirsoy, U.; Azizoglu, M.; Corapcioglu, F. Evaluation of Clinical Properties and Treatment Responses of Infantile Hemangioma. J. Drugs Dermatol. 2020, 19, 1156–1165. [Google Scholar] [CrossRef]
- Frongia, G.; Byeon, J.O.; Mehrabi, A.; Günther, P. Recurrence rate of infantile hemangioma after oral propranolol therapy. Eur. J. Pediatr. 2021, 180, 585–590. [Google Scholar] [CrossRef] [PubMed]
- Lee, J.C.; Modiri, O.; England, R.W.; Shawber, C.J.; Wu, J.K. Propranolol Therapy in Infantile Hemangioma: It Is Not Just About the Beta. Plast. Reconstr. Surg. 2021, 147, 875–885. [Google Scholar] [CrossRef] [PubMed]
- Yuan, W.; Wang, X. Propranolol Participates in the Treatment of Infantile Hemangioma by Inhibiting HUVECs Proliferation, Migration, Invasion, and Tube Formation. BioMed Res. Int. 2021, 2021, 6636891. [Google Scholar] [CrossRef]
- Richarz, N.A.; Boada, A.; Carrascosa, J.M. Angiogenesis in Dermatology-Insights of Molecular Mechanisms and Latest Developments. Actas Dermosifiliogr. 2017, 108, 515–523. [Google Scholar] [CrossRef]
- Pandey, A.; Singh, A.; Ali, W.; Srivastava, A.; Gupta, A.; Kureel, S.N.; Rawat, J.; Wakhlu, A. Evaluation of Effect of Propranolol on Serum Vascular Endothelial Growth Factor and Tissue Inhibitor of Metalloproteinase-2 Levels in Infantile Hemangioma. J. Indian Assoc. Pediatr. Surg. 2020, 25, 96–102. [Google Scholar] [CrossRef]
- Babiak-Choroszczak, L.; Giżewska-Kacprzak, K.; Gawrych, E.; Fischer, K.; Walecka, A.; Puchalska-Niedbał, L.; Rajewska-Majchrzak, J.; Bagłaj, M. Serum concentrations of VEGF and bFGF in the course of propranolol therapy of infantile hemangioma in children: Are we closer to understand the mechanism of action of propranolol on hemangiomas? Adv. Clin. Exp. 2018, 27, 703–710. [Google Scholar] [CrossRef]
- Chen, X.D.; Ma, G.; Huang, J.L.; Chen, H.; Jin, Y.B.; Ye, X.X.; Hu, X.J.; Lin, X.X. Serum-level changes of vascular endothelial growth factor in children with infantile hemangioma after oral propranolol therapy. Pediatric Dermatol. 2013, 30, 549–553. [Google Scholar] [CrossRef]
- Paria, S.; Mendiratta, V.; Chander, R.; Jain, A.; Mittal, S. A study of serum vascular endothelial growth factor in infantile hemangiomas. Indian J. Dermatol. Venereol. Leprol. 2019, 85, 65–68. [Google Scholar]
- Pan, W.K.; Li, P.; Guo, Z.T.; Huang, Q.; Gao, Y. Propranolol induces regression of hemangioma cells via the down-regulation of the PI3K/Akt/eNOS/VEGF pathway. Pediatr. Blood Cancer 2015, 62, 1414–1420. [Google Scholar] [CrossRef] [PubMed]
- Rotter, A.; Lima, X.T.; Oliveira, Z.N.P. Evaluation of plasma and urinary levels of vascular endothelial growth factor and matrix metalloproteinase-9 in patients with infantile hemangioma. Int. J. Dermatol. 2021. epub ahead of print. [Google Scholar] [CrossRef] [PubMed]
- Park, M.; Jung, H.L.; Shim, Y.J.; Kim, H.S.; Yoon, H.S.; Park, S.K.; Cheuh, H.W.; Lee, M.J.; Lee, J.M.; Park, E.S.; et al. Serum cytokine profiles in infants with infantile hemangiomas on oral propranolol treatment: VEGF and bFGF, potential biomarkers predicting clinical outcomes. Pediatr. Res. 2020, 88, 749–755. [Google Scholar] [CrossRef] [PubMed]
- Knöpfel, N.; Oesch, V.; Theiler, M.; Szello, P.; Weibel, L. Rebound of Involuted Infantile Hemangioma After Administration of Salbutamol. Pediatrics 2020, 145, e20191942. [Google Scholar] [CrossRef] [Green Version]
- Şen, H.S.; Yalçın, B.; Canpınar, H.; Ocak, S.; Akyüz, C. Serum levels of VEGF and bFGF in infantile hemangiomas treated with propranolol. Turk. J. Pediatr. 2020, 62, 979–985. [Google Scholar] [CrossRef]
- Aydin Köker, S.; Kömüroğlu, A.U.; Köksoy, A.Y.; Şiraz, Ü.G.; Tekin, E.; Köker, A. Evaluation of GLUT1, IGF-2, VEGF, FGF 1, and angiopoietin 2 in infantile hemangioma. Arch Pediatr. 2021, 28, 296–300. [Google Scholar] [CrossRef]
- Huang, C.; Huang, J.; Yu, G. Co-suppression of VEGF-A and VEGF-C inhibits development of experimental hemangioma. Am. J. Transl. Res. 2018, 10, 2911–2919. [Google Scholar]
- Perry, B.; Banyard, J.; McLaughlin, E.R.; Watnick, R.; Sohn, A.; Brindley, D.N.; Obata, T.; Cantley, L.C.; Cohen, C.; Arbiser, J.L. AKT1 overexpression in endothelial cells leads to the development of cutaneous vascular malformations in vivo. Arch. Dermatol. 2007, 143, 504–506. [Google Scholar] [CrossRef] [Green Version]
- Phung, T.L.; Du, W.; Xue, Q.; Ayyaswamy, S.; Gerald, D.; Antonello, Z.; Nhek, S.; Perruzzi, C.A.; Acevedo, I.; Ramanna-Valmiki, R.; et al. Akt1 and akt3 exert opposing roles in the regulation of vascular tumor growth. Cancer Res. 2015, 75, 40–50. [Google Scholar] [CrossRef] [Green Version]
- Madkour, M.M.; Anbar, H.S.; El-Gamal, M.I. Current status and future prospects of p38α/MAPK14 kinase and its inhibitors. Eur. J. Med. Chem. 2021, 213, 113216. [Google Scholar] [CrossRef]
- Chim, H.; Armijo, B.S.; Miller, E.; Gliniak, C.; Serret, M.A.; Gosain, A.K. Propranolol induces regression of hemangioma cells through HIF-1α-mediated inhibition of VEGF-A. Ann. Surg. 2012, 256, 146–156. [Google Scholar] [CrossRef] [PubMed]
- Stiles, J.; Amaya, C.; Pham, R.; Rowntree, R.K.; Lacaze, M.; Mulne, A.; Bischoff, J.; Kokta, V.; Boucheron, L.E.; Mitchell, D.C.; et al. Propranolol treatment of infantile hemangioma endothelial cells: A molecular analysis. Exp. Ther. Med. 2012, 4, 594–604. [Google Scholar] [CrossRef] [PubMed] [Green Version]
- Munabi, N.C.; England, R.W.; Edwards, A.K.; Kitajewski, A.A.; Tan, Q.K.; Weinstein, A.; Kung, J.E.; Wilcox, M.; Kitajewski, J.K.; Shawber, C.J.; et al. Propranolol Targets Hemangioma Stem Cells via cAMP and Mitogen-Activated Protein Kinase Regulation. Stem. Cells Transl. Med. 2016, 5, 45–55. [Google Scholar] [CrossRef] [PubMed] [Green Version]
- Cuesta, A.M.; Gallardo-Vara, E.; Casado-Vela, J.; Recio-Poveda, L.; Botella, L.M.; Albiñana, V. The Role of Propranolol as a Repurposed Drug in Rare Vascular Diseases. Int. J. Mol. Sci. 2022, 23, 4217. [Google Scholar] [CrossRef] [PubMed]
- Khan, Z.A.; Boscolo, E.; Picard, A.; Psutka, S.; Melero-Martin, J.M.; Bartch, T.C.; Mulliken, J.B.; Bischoff, J. Multipotential stem cells recapitulate human infantile hemangioma in immunodeficient mice. J. Clin. Investig. 2008, 118, 2592–2599. [Google Scholar] [CrossRef] [Green Version]
- Yu, Y.; Fuhr, J.; Boye, E.; Gyorffy, S.; Soker, S.; Atala, A.; Mulliken, J.B.; Bischoff, J. Mesenchymal stem cells and adipogenesis in hemangioma involution. Stem Cells 2006, 24, 1605–1612. [Google Scholar] [CrossRef] [Green Version]
- Yu, Y.; Flint, A.F.; Mulliken, J.B.; Wu, J.K.; Bischoff, J. Endothelial progenitor cells in infantile hemangioma. Blood 2004, 103, 1373–1375. [Google Scholar] [CrossRef] [Green Version]
- Dosanjh, A.; Chang, J.; Bresnick, S.; Zhou, L.; Reinisch, J.; Longaker, M.; Karasek, M. In vitro characteristics of neonatal hemangioma endothelial cells: Similarities and differences between normal neonatal and fetal endothelial cells. J. Cutan. Pathol. 2000, 27, 441–450. [Google Scholar] [CrossRef]
- Ji, Y.; Chen, S.; Li, K.; Li, L.; Xu, C.; Xiang, B. Signaling pathways in the development of infantile hemangioma. J. Hematol. Oncol. 2014, 7, 13. [Google Scholar] [CrossRef] [Green Version]
- Xu, D.O.T.M.; Shartava, A.; Fowles, T.C.; Yang, J.; Fink, L.M.; Ward, D.C.; Mihm, M.C.; Waner, M.; Ma, Y. Isolation, characterization, and in vitro propagation of infantile hemangioma stem cells and an in vivo mouse model. J. Hematol. Oncol. 2011, 4, 54. [Google Scholar] [CrossRef] [Green Version]
- Greenberger, S.; Boscolo, E.; Adini, I.; Mulliken, J.B.; Bischoff, J. Corticosteroid suppression of VEGF-A in infantile hemangioma-derived stem cells. N. Engl. J. Med. 2010, 362, 1005–1013. [Google Scholar] [CrossRef] [PubMed] [Green Version]
- Mai, H.M.; Zheng, J.W.; Wang, Y.A.; Yang, X.J.; Zhou, Q.; Qin, Z.P.; Li, K.L. CD133 selected stem cells from proliferating infantile hemangioma and establishment of an in vivo mice model of hemangioma. Chin. Med. J. 2013, 126, 88–94. [Google Scholar] [PubMed]
- Huang, L.; Nakayama, H.; Klagsbrun, M.; Mulliken, J.B.; Bischoff, J. Glucose transporter 1-positive endothelial cells in infantile hemangioma exhibit features of facultative stem cells. Stem Cells 2015, 33, 133–145. [Google Scholar] [CrossRef] [PubMed] [Green Version]
- Li, H.; Teng, Y.; Sun, J.; Liu, J. Inhibition of hemangioma growth using polymer-lipid hybrid nanoparticles for delivery of rapamycin. Biomed. Pharmacother. 2017, 95, 875–884. [Google Scholar] [CrossRef]
- Batlle, R.; Andrés, E.; Gonzalez, L.; Llonch, E.; Igea, A.; Gutierrez-Prat, N.; Berenguer-Llergo, A.; Nebreda, A.R. Regulation of tumor angiogenesis and mesenchymal-endothelial transition by p38α through TGF-β and JNK signaling. Nat. Commun. 2019, 10, 3071. [Google Scholar] [CrossRef]
- El Agha, E.; Kramann, R.; Schneider, R.K.; Li, X.; Seeger, W.; Humphreys, B.D.; Bellusci, S. Mesenchymal Stem Cells in Fibrotic Disease. Cell Stem Cell 2017, 21, 166–177. [Google Scholar] [CrossRef] [PubMed]
- Makhlouf, H.R.; Ishak, K.G. Sclerosed hemangioma and sclerosing cavernous hemangioma of the liver: A comparative clinicopathologic and immunohistochemical study with emphasis on the role of mast cells in their histogenesis. Liver 2002, 22, 70–78. [Google Scholar] [CrossRef]
- Shimada, Y.; Takahashi, Y.; Iguchi, H.; Yamazaki, H.; Tsunoda, H.; Watanabe, M.; Oda, M.; Yokomori, H. A hepatic sclerosed hemangioma with significant morphological change over a period of 10 years: A case report. J. Med. Case Rep. 2013, 7, 139. [Google Scholar] [CrossRef] [Green Version]
- Sudduth, C.L.; McGuire, A.M.; Smits, P.J.; Konczyk, D.J.; Al-Ibraheemi, A.; Fishman, S.J.; Greene, A.K. Arteriovenous malformation phenotype resembling congenital hemangioma contains KRAS mutations. Clin. Genet. 2020, 98, 595–597. [Google Scholar] [CrossRef]
- Maurus, K.; Kosnopfel, C.; Kneitz, H.; Appenzeller, S.; Schrama, D.; Glutsch, V.; Roth, S.; Gerhard-Hartmann, E.; Rosenfeldt, M.; Möhrmann, L.; et al. Cutaneous epithelioid haemangiomas show somatic mutations in the mitogen-activated protein kinase pathway. Br. J. Dermatol. 2022, 186, 553–563. [Google Scholar] [CrossRef]
- Goss, J.A.; Konczyk, D.J.; Smits, P.J.; Kozakewich, H.P.W.; Alomari, A.I.; Al-Ibraheemi, A.; Taghinia, A.H.; Dickie, B.H.; Adams, D.M.; Fishman, S.J.; et al. Intramuscular fast-flow vascular anomaly contains somatic MAP2K1 and KRAS mutations. Angiogenesis 2019, 22, 547–552. [Google Scholar] [CrossRef] [PubMed]
- Jansen, P.; Müller, H.; Lodde, G.C.; Zaremba, A.; Möller, I.; Sucker, A.; Paschen, A.; Esser, S.; Schaller, J.; Gunzer, M.; et al. GNA14, GNA11, and GNAQ Mutations Are Frequent in Benign but Not Malignant Cutaneous Vascular Tumors. Front. Genet. 2021, 12, 663272. [Google Scholar] [CrossRef] [PubMed]
- Ji, Y.; Chen, S.; Yang, K.; Xia, C.; Li, L. Kaposiform hemangioendothelioma: Current knowledge and future perspectives. Orphanet J. Rare Dis. 2020, 15, 39. [Google Scholar] [CrossRef] [PubMed] [Green Version]
- Walter, J.W.; Blei, F.; Anderson, J.L.; Orlow, S.J.; Speer, M.C.; Marchuk, D.A. Genetic mapping of a novel familial form of infantile hemangioma. Am. J. Med. Genet. 1999, 82, 77–83. [Google Scholar] [CrossRef]
- Grimmer, J.F.; Williams, M.S.; Pimentel, R.; Mineau, G.; Wood, G.M.; Bayrak-Toydemir, P.; Stevenson, D.A. Familial clustering of hemangiomas. Arch. Otolaryngol.-Head Neck Surg. 2011, 137, 757–760. [Google Scholar] [CrossRef] [Green Version]
- Otero-Marquez, O.; Chui, T.; Pinhas, A.; Castanos Toral, M.V.; Zhou, D.B.; Migacz, J.; Rosen, R.B. 3-D OCT angiographic evidence of Anti-VEGF therapeutic effects on retinal capillary hemangioma. Am. J. Ophthalmol. Case Rep. 2022, 25, 101394. [Google Scholar] [CrossRef]
- Durrani, A.F.; Zhou, Y.; Musch, D.C.; Demirci, H. Treatment of Choroidal Hemangioma with Photodynamic Therapy and Bevacizumab. Ophthalmol. Retin. 2022, 6, 533–535. [Google Scholar] [CrossRef]
- Kinzinger, M.R.; Strong, E.B.; Bernard, J.; Steele, T.O. Intralesional Bevacizumab for the Treatment of Recurrent Sinonasal Hemangioma. Ann. Otol. Rhinol. Laryngol. 2018, 127, 969–973. [Google Scholar] [CrossRef]
- Andrikopoulou, A.; Chatzinikolaou, S.; Panourgias, E.; Kaparelou, M.; Liontos, M.; Dimopoulos, M.A.; Zagouri, F. The emerging role of capivasertib in breast cancer. Breast 2022, 63, 157–167. [Google Scholar] [CrossRef]
- Phung, T.L.; Ziv, K.; Dabydeen, D.; Eyiah-Mensah, G.; Riveros, M.; Perruzzi, C.; Sun, J.; Monahan-Earley, R.A.; Shiojima, I.; Nagy, J.A.; et al. Pathological angiogenesis is induced by sustained Akt signaling and inhibited by rapamycin. Cancer Cell 2006, 10, 159–170. [Google Scholar] [CrossRef] [Green Version]
- Dávila-Osorio, V.L.; Iznardo, H.; Roé, E.; Puig, L.; Baselga, E. Propranolol-resistant infantile hemangioma successfully treated with sirolimus. Pediatr. Dermatol. 2020, 37, 684–686. [Google Scholar] [CrossRef] [PubMed]



| Gene | Involuting Hemangioma | Proliferative Hemangioma |
|---|---|---|
| ACTB | Upregulate | Upregulate |
| FIGF | Downregulate | Downregulate |
| KRAS | Upregulate | Upregulate |
| MAPK14 | Downregulate | Upregulate |
| PiK3CA | Not expressed | Not expressed |
| ACTG1 | Downregulate | Downregulate |
| GRB2 | Downregulate | Downregulate |
| MAP2K1 | Upregulate | Upregulate |
| MAPKAPK2 | Downregulate | Downregulate |
| ACTG2 | Downregulate | Downregulate |
| HRAS | Upregulate | Upregulate |
| MAP2K2 | Downregulate | Downregulate |
| MAPK3 | Downregulate | Downregulate |
| HSP90AA1 | Downregulate | Downregulate |
| NOS3 | Upregulate | Upregulate |
| BAD | Upregulate | Upregulate |
| HSPP1 | Upregulate | Upregulate |
| MAP2K6 | Downregulate | Downregulate |
| NRAS | Downregulate | Downregulate |
| AKT1 | Downregulate | Upregulate |
| ACTA1 | Downregulate | Downregulate |
| ACTA2 | Upregulate | Downregulate |
| CASP9 | Upregulate | Upregulate |
| KDR | Downregulate | Downregulate |
| MAPK1 | Downregulate | Downregulate |
Publisher’s Note: MDPI stays neutral with regard to jurisdictional claims in published maps and institutional affiliations. |
© 2022 by the authors. Licensee MDPI, Basel, Switzerland. This article is an open access article distributed under the terms and conditions of the Creative Commons Attribution (CC BY) license (https://creativecommons.org/licenses/by/4.0/).
Share and Cite
Heredea, R.E.; Melnic, E.; Cirligeriu, L.E.; Berzava, P.L.; Stănciulescu, M.C.; Popoiu, C.M.; Cimpean, A.M. VEGF Pathway Gene Expression Profile of Proliferating versus Involuting Infantile Hemangiomas: Preliminary Evidence and Review of the Literature. Children 2022, 9, 908. https://doi.org/10.3390/children9060908
Heredea RE, Melnic E, Cirligeriu LE, Berzava PL, Stănciulescu MC, Popoiu CM, Cimpean AM. VEGF Pathway Gene Expression Profile of Proliferating versus Involuting Infantile Hemangiomas: Preliminary Evidence and Review of the Literature. Children. 2022; 9(6):908. https://doi.org/10.3390/children9060908
Chicago/Turabian StyleHeredea, Rodica Elena, Eugen Melnic, Laura Elena Cirligeriu, Patricia Lorena Berzava, Maria Corina Stănciulescu, Călin Marius Popoiu, and Anca Maria Cimpean. 2022. "VEGF Pathway Gene Expression Profile of Proliferating versus Involuting Infantile Hemangiomas: Preliminary Evidence and Review of the Literature" Children 9, no. 6: 908. https://doi.org/10.3390/children9060908
APA StyleHeredea, R. E., Melnic, E., Cirligeriu, L. E., Berzava, P. L., Stănciulescu, M. C., Popoiu, C. M., & Cimpean, A. M. (2022). VEGF Pathway Gene Expression Profile of Proliferating versus Involuting Infantile Hemangiomas: Preliminary Evidence and Review of the Literature. Children, 9(6), 908. https://doi.org/10.3390/children9060908

