Primary Teeth Supported Fixed Prosthesis—A Predictable Treatment Alternative
Abstract
:1. Introduction
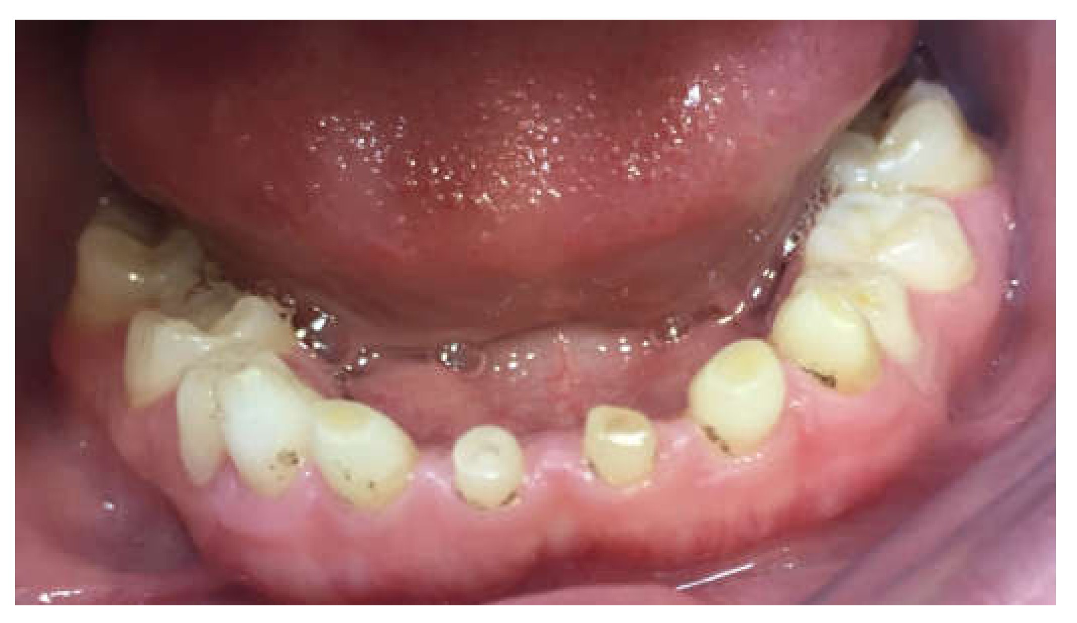
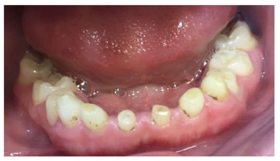
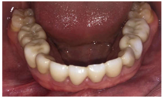
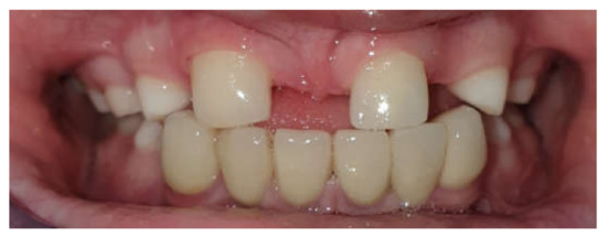
2. Materials and Methods
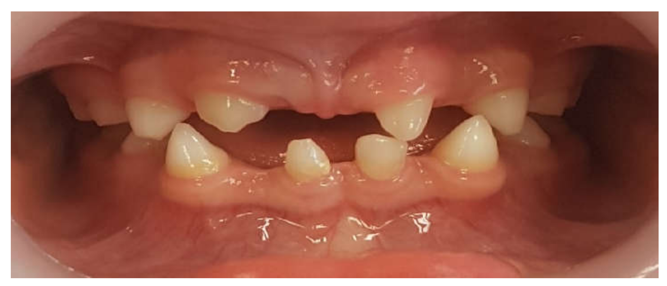
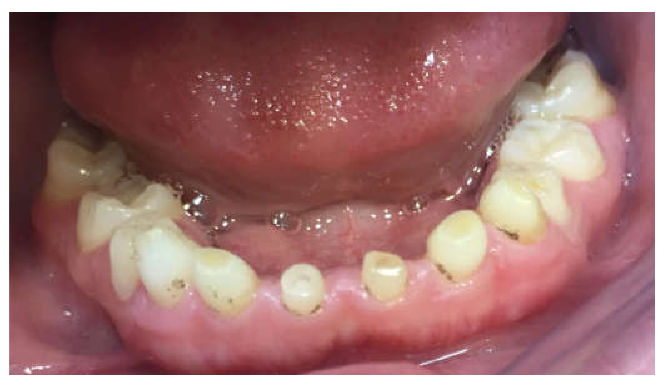
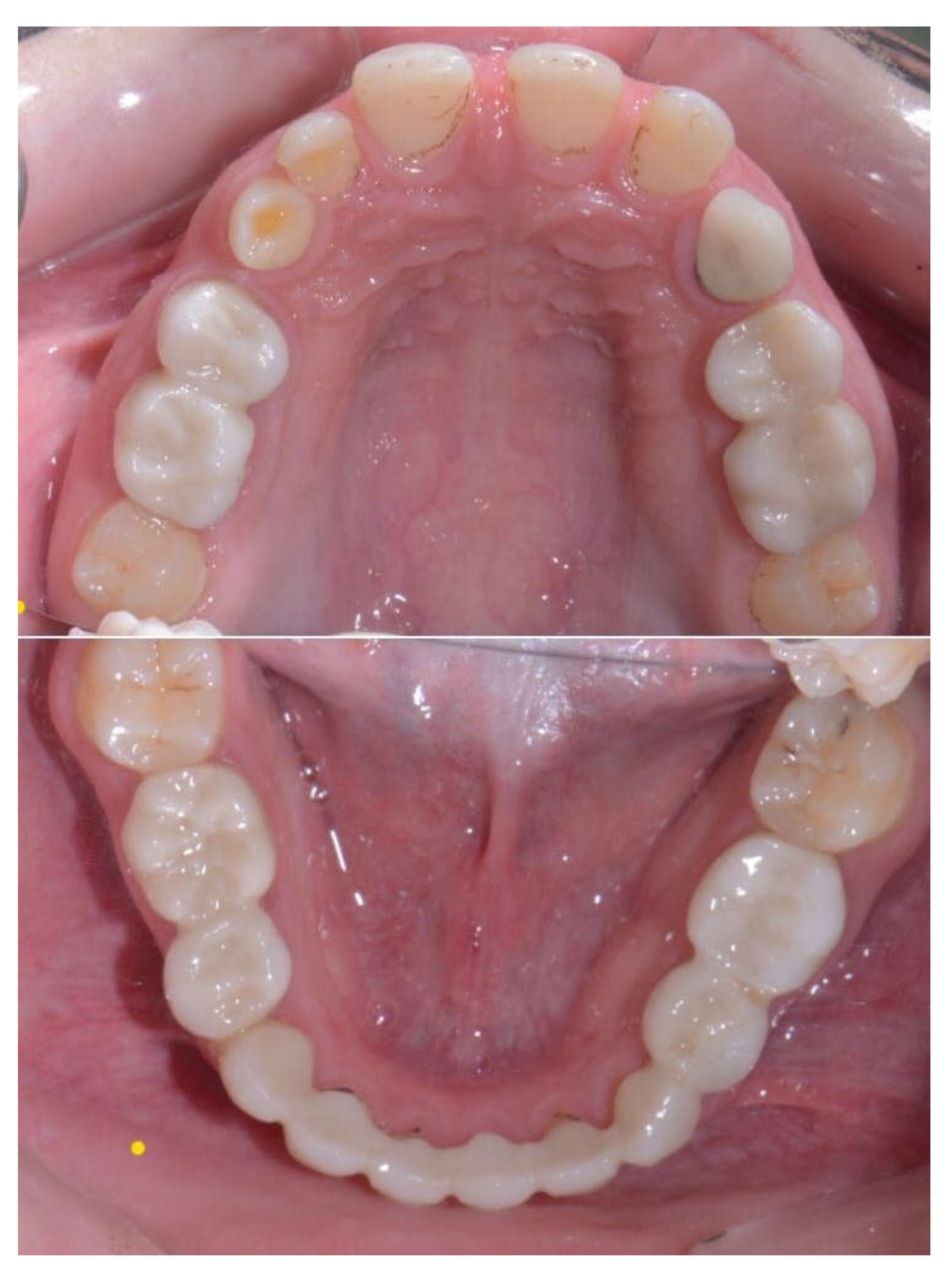
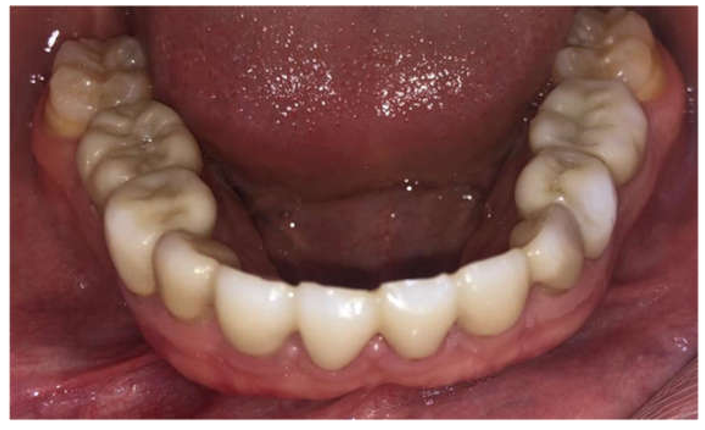
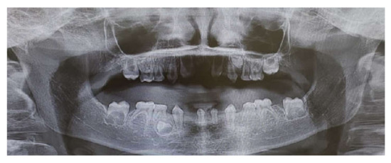
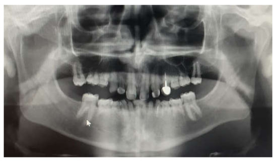
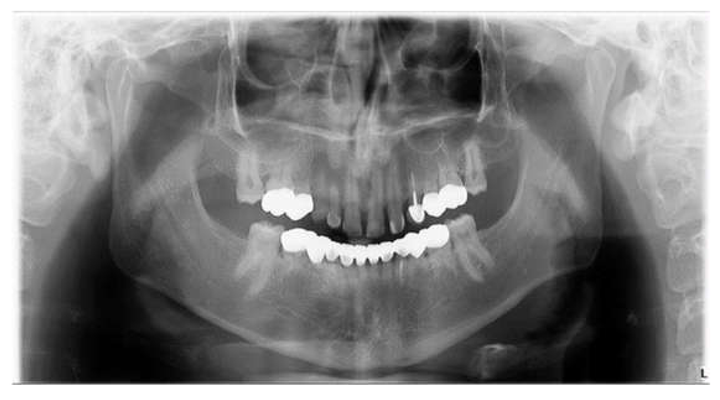
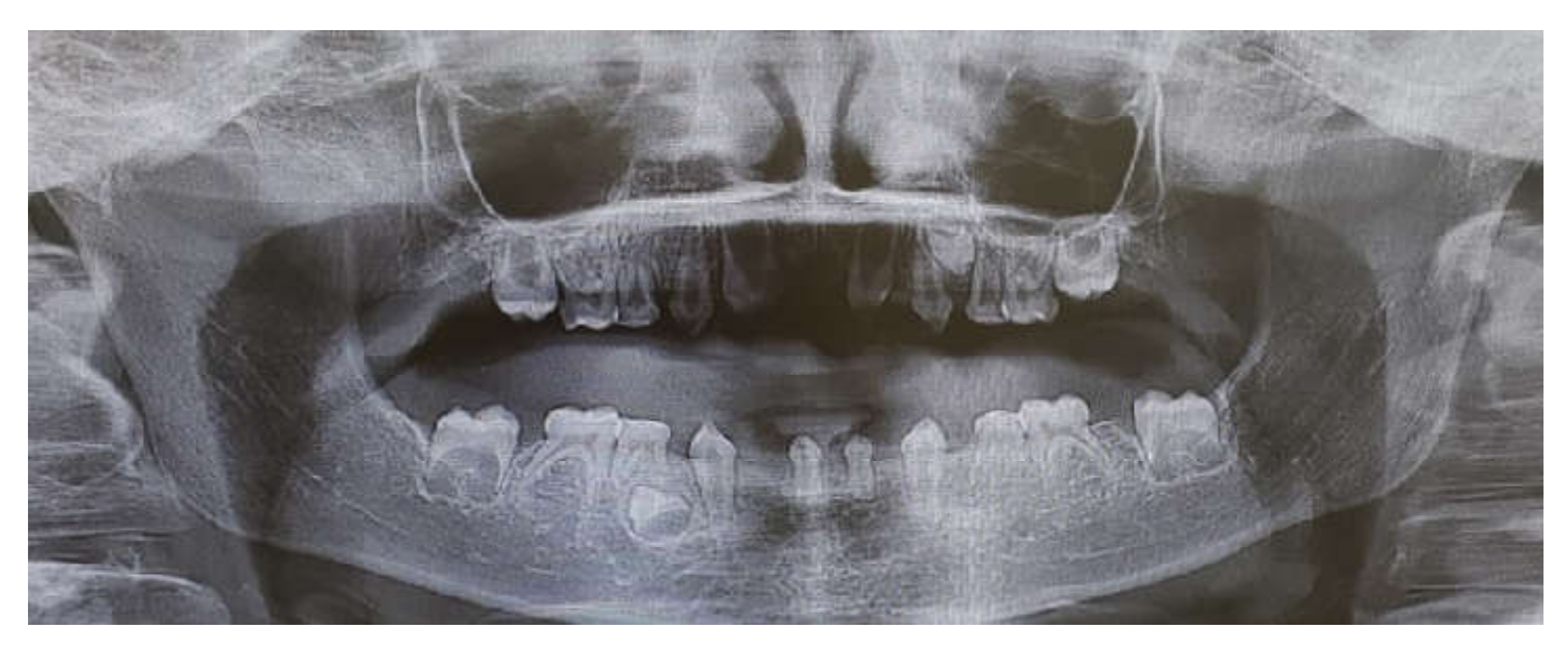
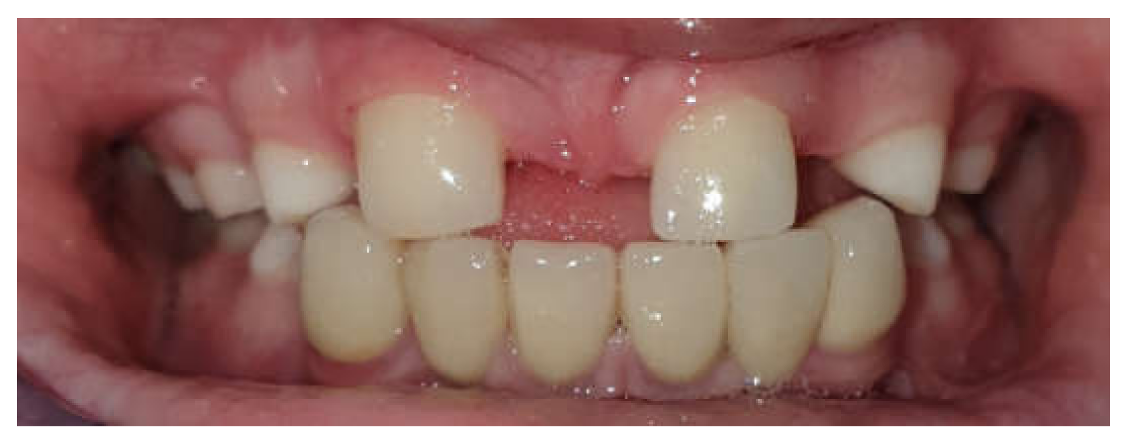
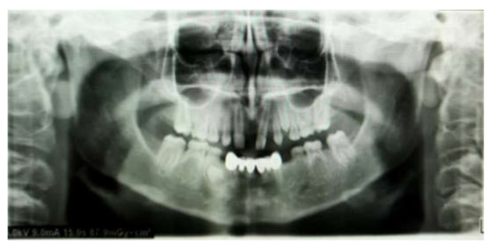
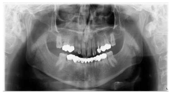
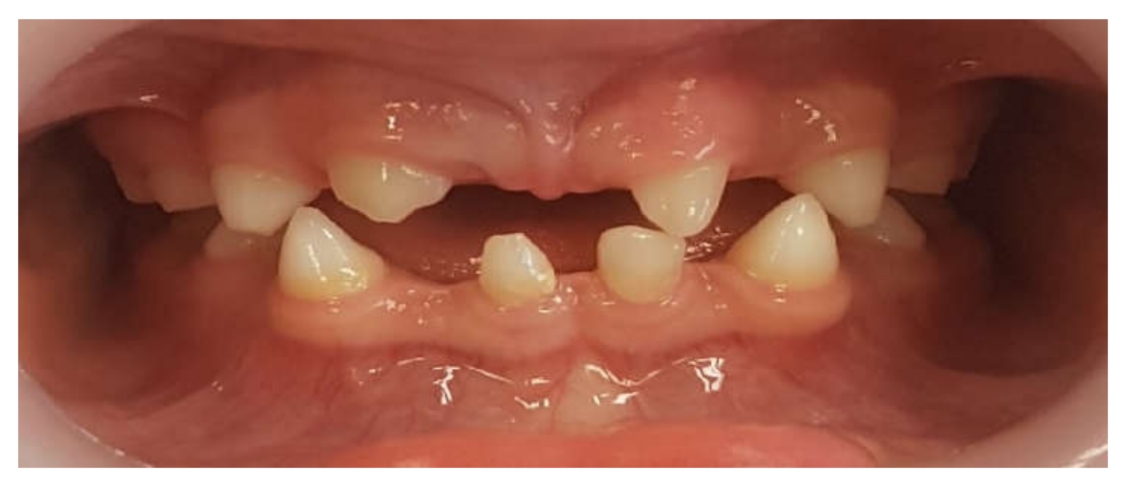
3. Results
4. Discussion
5. Conclusions
Author Contributions
Funding
Institutional Review Board Statement
Informed Consent Statement
Data Availability Statement
Conflicts of Interest
References
- Al-Ani, A.H.; Antoun, J.S.; Thomson, W.M.; Merriman, T.R.; Farella, M. Hypodontia: An update on its etiology, classification, and clinical management. Biomed. Res. Int. 2017, 2017, 9378325. [Google Scholar] [CrossRef] [PubMed]
- Shapira, Y.; Lubit, E.; Kuftine, M.M. Hypodontia in children with various types of clefts. Angle Orthod. 2000, 70, 16–21. [Google Scholar] [PubMed]
- Schnab, D.; Grunert, I.; Schmuth, M.; Kapferer-Seebacher, I. Prosthetic rehabilitation of patients with hypohidrotic ectodermal dysplasia: A systematic review. J. Oral Rehabil. 2018, 45, 555–570. [Google Scholar] [CrossRef] [PubMed] [Green Version]
- Bergendal, B.; Ekman, A.; Nilsson, P. Implant failure in young children with ectodermal dysplasia: A retrospective evaluation of use and outcome of dental implant treatment in children in Sweden. Int. J. Oral Maxillofac. Implants 2008, 23, 520–524. [Google Scholar] [PubMed]
- Hobkirk, J.A.; Nohl, F.; Bergendal, B.; Storhaug, K.; Richter, M.K. The management of ectodermal dysplasia and severe hypodontia. International conference statements. J. Oral Rehabil. 2006, 33, 634–637. [Google Scholar] [CrossRef] [PubMed]
- Kurisu, K.; Tabata, M.J. Human genes for dental anomalies. Oral Dis. 1997, 3, 223–228. [Google Scholar] [CrossRef]
- Salem, G. Prevalence of selected dental anomalies in Saudi children from Gizan region. Comm. Dent. Oral Epidemiol. 1989, 17, 162–163. [Google Scholar] [CrossRef]
- Créton, M.A.; Cune, M.S.; Verhoeven, W.; Meijer, G.J. Patterns of missing teeth in a population of oligodontia patients. Int. J. Prosthodont. 2007, 20, 409–413. [Google Scholar]
- Polder, B.J.; Van’t Hof, M.A.; Van der Linden, F.P.; Kuijpers-Jagtman, A.M. A meta-analysis of the prevalence of dental agenesis of permanent teeth. Community Dent. Oral Epidemiol. 2004, 32, 217–226. [Google Scholar] [CrossRef]
- Bell, R.A.; Dean, J.A.; McDonald, R.E.; Avery, D.R. Management of the Developing occlusion. In McDonald and Avery’s Dentistry for the Child and Adolescent, 9th ed.; Dean, J.A., Avery, D.R., Eds.; Mosby Elsevier: Maryland Heights, MO, USA, 2011; pp. 550–613. [Google Scholar]
- Nissan, J.; Mardinger, O.; Strauss, M.; Peleg, M.; Sacco, R.; Chaushu, G. Implant-supported restoration of congenitally missing teeth using cancellous bone block—Allografts. Oral Surg. Oral Med. Oral Pathol. Oral Radiol. Endod. 2011, 111, 286–291. [Google Scholar] [CrossRef]
- Worsaae, N.; Jensen, B.N.; Holm, B.; Holsko, J. Treatment of severe hypodontia—Oligodontia. An interdisciplinary concept. Int. J. Oral Maxillofac. Surg. 2007, 3, 473–480. [Google Scholar] [CrossRef]
- Durey, K.; Cook, P.; Chan, M. The management of severe hypodontia. Part 1: Considerations and conventional restorative options. Br. Dent. J. 2014, 216, 25–29. [Google Scholar] [CrossRef] [PubMed]
- Rølling, S. Hypodontia of permanent teeth in Danish schoolchildren. Scand. J. Dent. Res. 1980, 88, 365–369. [Google Scholar] [CrossRef]
- Créton, M.; Cune, M.; Verhoeven, W.; Muradin, M.; Wismeijer, D.; Meijer, G. Implant treatment in patients with severe hypodontia: A retrospective evaluation. J. Oral Maxillofac. Surg. 2010, 68, 530–538. [Google Scholar] [CrossRef] [PubMed]
- Parise Gré, C.; Schweigert Bona, V.; Pedrollo Lise, D.; Monteiro Júnior, S. Esthetic rehabilitation of retained primary teeth—A conservative approach. J. Prosthodont. 2017, 28, e41–e44. [Google Scholar] [CrossRef] [PubMed] [Green Version]
- Dhanrajani, P.J. Hypodontia: Etiology, clinical features, and management. Quintessence Int. 2002, 33, 294–302. [Google Scholar] [PubMed]
- Spear, F.M.; Mathews, D.M.; Kokich, V.G. Interdisciplinary management of single-tooth implants. Semin. Orthod. 1997, 3, 45–72. [Google Scholar] [CrossRef]
- Robertson, S.; Mohlin, B. The congenitally missing upper lateral incisor. A retrospective study of orthodontic space closure vs restorative treatment. Eur. J. Orthod. 2000, 22, 697–710. [Google Scholar] [CrossRef] [Green Version]
- Liu, J.A.; Donly, K.J. A review of aesthetic crowns for the primary anterior dentition. Decis. Dent. 2016, 18, 21–25. [Google Scholar]
- Waggoner, W.F. Restoring primary anterior teeth: Updated for 2014. Pediatr. Dent. 2015, 37, 163–170. [Google Scholar]
- Walia, T.; Salami, A.A.; Bashiri, R.; Hamoodi, O.M.; Rashid, F. A randomised controlled trial of three aesthetic full-coronal restorations in primary maxillary teeth. Eur. J. Paediatr. Dent. 2014, 15, 113–118. [Google Scholar]
- Yanover, L.; Tickotsky, N.; Waggoner, W.; Kupietzky, A.; Moskovitz, M. Zirconia crown performance in primary maxillary anterior teeth: A retrospective photographic and radiographic cohort study. Eur. Arch. Paed. Dent. 2021, 22, 417–423. [Google Scholar] [CrossRef] [PubMed]
- Loe, H.; Silness, J. Periodontal disease in pregnancy. I. Prevalence and severity. Acta Odontol. Scand. 1963, 21, 533–551. [Google Scholar] [CrossRef]
- Bolaca, A.; Erdogan, Y. In Vitro evaluation of the wear of primary tooth enamel against different ceramic and composite resin materials. Niger. J. Clin. Pract. 2019, 22, 313–319. [Google Scholar] [PubMed]
- Barrow, G.V.; White, J.R. Developmental changes of the maxillary and mandibular dental arches. Angle Orthod. 1952, 22, 41–46. [Google Scholar]
- Cronin, R.J.; Oesterle, L.J. Implant use in growing patients. Treatment planning concerns. Dent. Clin. N. Am. 1998, 42, 1–34. [Google Scholar] [CrossRef]
- Filius, M.A.; Cune, M.S.; Raghoebar, G.M.; Vissink, A.; Visser, A. Prosthetic treatment outcome in patients with severe hypodontia: A systematic review. J. Oral Rehabil. 2016, 43, 373–387. [Google Scholar] [CrossRef]
- Filius, M.A.P.; Cune, M.S.; Koopmans, P.C.; Vissink, A.; Raghoebar, G.M.; Visser, A. Dental implants with fixed prosthodontics in oligodontia: A retrospective cohort study with a follow-up of up to 25 years. J. Prosthet Dent. 2018, 120, 506–512. [Google Scholar] [CrossRef]
- Blumer, S.; Bogachek-Halfon, L.; Peretz, B.; Shpack, N.; Nissan, S. Parental perceptions of prosthetic treatment for and coping abilities of children with ectodermal dysplasia: A pilot study. Pediatr. Dent. 2018, 40, 449–452. [Google Scholar]
- Robinson, S.; Chan, M.F.W.-Y. New teeth from old: Treatment options for retained primary teeth. Br. Dent. J. 2009, 207, 315–320. [Google Scholar] [CrossRef]
- Radz, G.M. Minimum thickness anterior porcelain restorations. Dent. Clin. N. Am. 2011, 55, 353–370. [Google Scholar] [CrossRef] [PubMed]
- Donly, K.J.; Contreras, C.I.; Mendez, M.J.C. Prospective randomized clinical trial of primary molar crowns: 24-month results. Pediatr. Dent. 2018, 40, 253–258. [Google Scholar] [PubMed]
- Locker, D.; Jokovic, A.; Prakash, P.; Tompson, B. Oral health-related quality of life of children with oligodontia. Int. J. Paed. Dent. 2010, 20, 8–14. [Google Scholar] [CrossRef] [PubMed]
- Wong, A.T.; McMillan, A.S.; McGrath, C. Oral health-related quality of life and severe hypodontia. J. Oral Rehab. 2006, 33, 869–873. [Google Scholar] [CrossRef] [PubMed]
- Kotecha, S.; Turner, P.J.; Dietrich, T.; Dhopatkar, A. The impact of tooth agenesis on oral health-related quality of life in children. J. Orthod. 2013, 40, 122–129. [Google Scholar] [CrossRef]
- Raziee, L.; Judd, P.; Carmichael, R.; Chen, S.; Sidhu, N.; Suri, S. Impacts of oligodontia on oral health-related quality of life reported by affected children and their parents. Eur. J. Orthod. 2020, 42, 250–256. [Google Scholar] [CrossRef]










| Type | n/N | % |
|---|---|---|
| First-Molar | 12/58 | 20.68 |
| Second-Molar | 12/58 | 20.68 |
| Incisor | 20/58 | 34.48 |
| Canine | 14/58 | 24.13 |
Publisher’s Note: MDPI stays neutral with regard to jurisdictional claims in published maps and institutional affiliations. |
© 2022 by the authors. Licensee MDPI, Basel, Switzerland. This article is an open access article distributed under the terms and conditions of the Creative Commons Attribution (CC BY) license (https://creativecommons.org/licenses/by/4.0/).
Share and Cite
Naishlos, S.; Chaushu, L.; Ghelfan, O.; Nissan, J.; Peretz, B.; Ratson, T.; Ben-Izhack, G.; Davidovich, M.; Blumer, S. Primary Teeth Supported Fixed Prosthesis—A Predictable Treatment Alternative. Children 2022, 9, 804. https://doi.org/10.3390/children9060804
Naishlos S, Chaushu L, Ghelfan O, Nissan J, Peretz B, Ratson T, Ben-Izhack G, Davidovich M, Blumer S. Primary Teeth Supported Fixed Prosthesis—A Predictable Treatment Alternative. Children. 2022; 9(6):804. https://doi.org/10.3390/children9060804
Chicago/Turabian StyleNaishlos, Sarit, Liat Chaushu, Oded Ghelfan, Joseph Nissan, Benjamin Peretz, Tal Ratson, Gil Ben-Izhack, Moshe Davidovich, and Sigalit Blumer. 2022. "Primary Teeth Supported Fixed Prosthesis—A Predictable Treatment Alternative" Children 9, no. 6: 804. https://doi.org/10.3390/children9060804
APA StyleNaishlos, S., Chaushu, L., Ghelfan, O., Nissan, J., Peretz, B., Ratson, T., Ben-Izhack, G., Davidovich, M., & Blumer, S. (2022). Primary Teeth Supported Fixed Prosthesis—A Predictable Treatment Alternative. Children, 9(6), 804. https://doi.org/10.3390/children9060804

