The Key Role of Lung Ultrasound in the Diagnosis of a Mature Cystic Teratoma in a Child with Suspected Difficult to Treat Pneumonia: A Case Report
Abstract
:1. Introduction
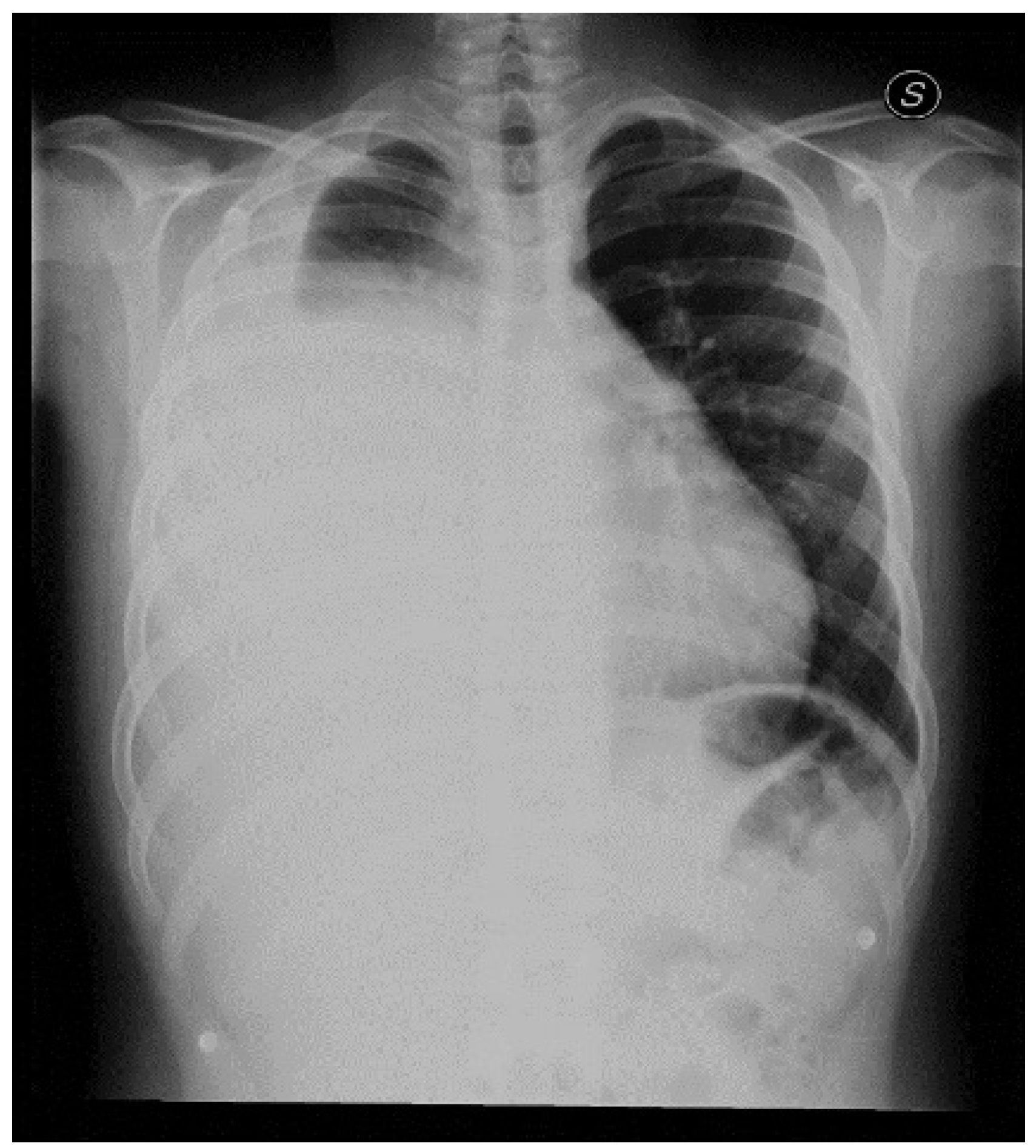
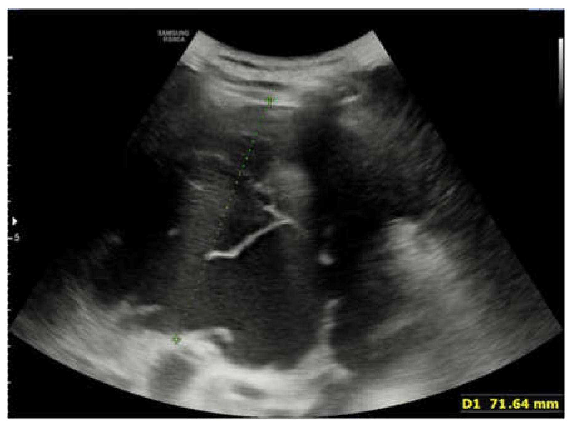
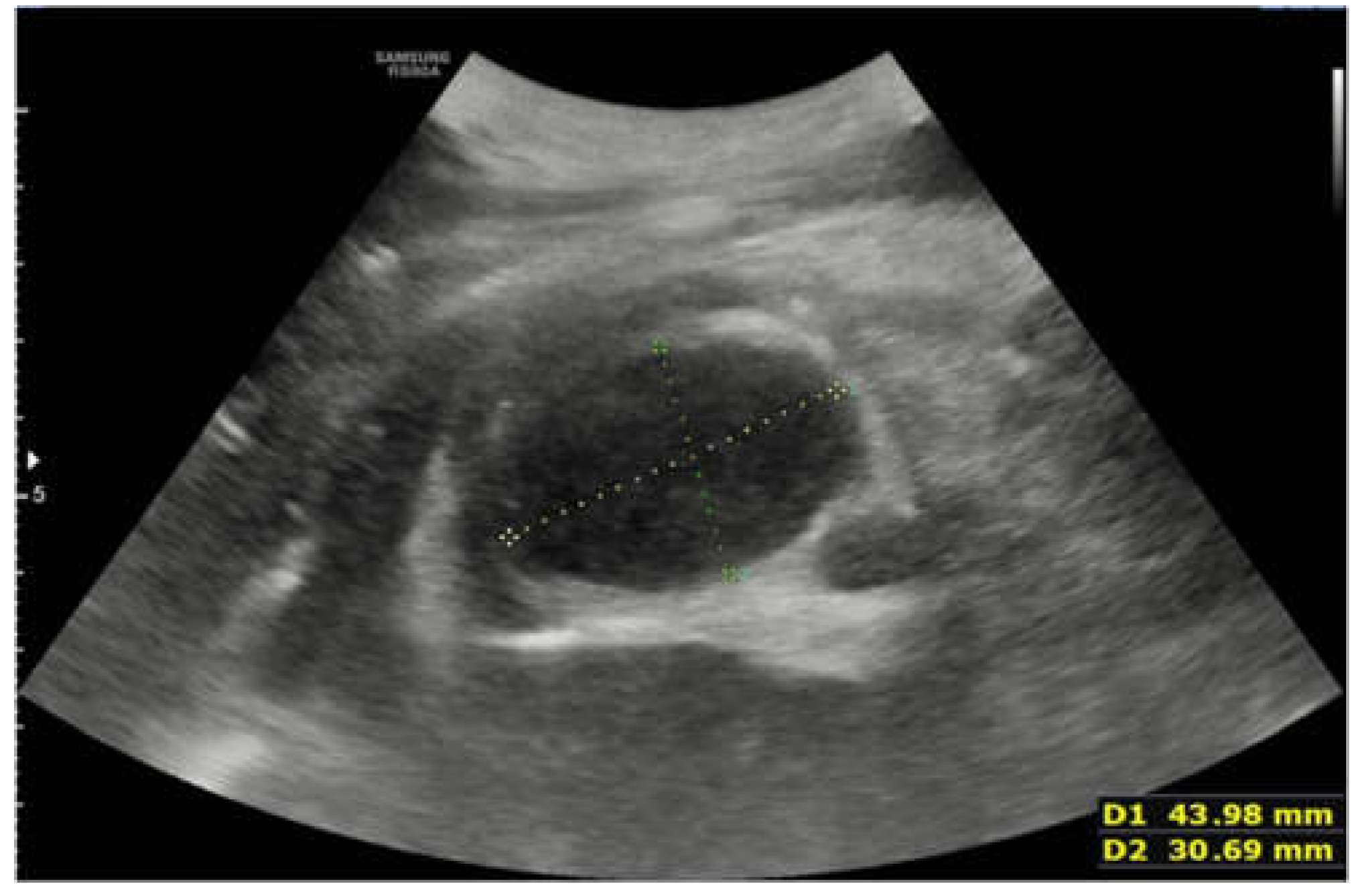
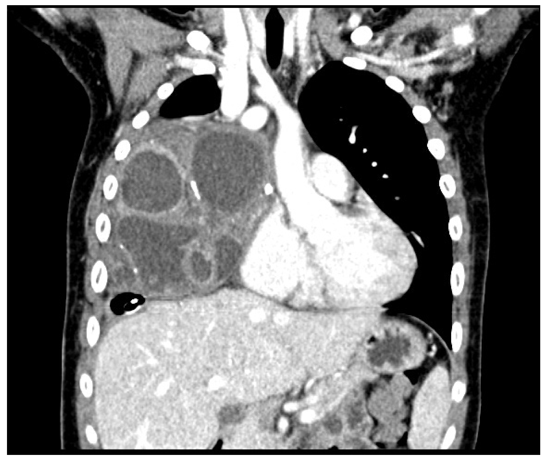
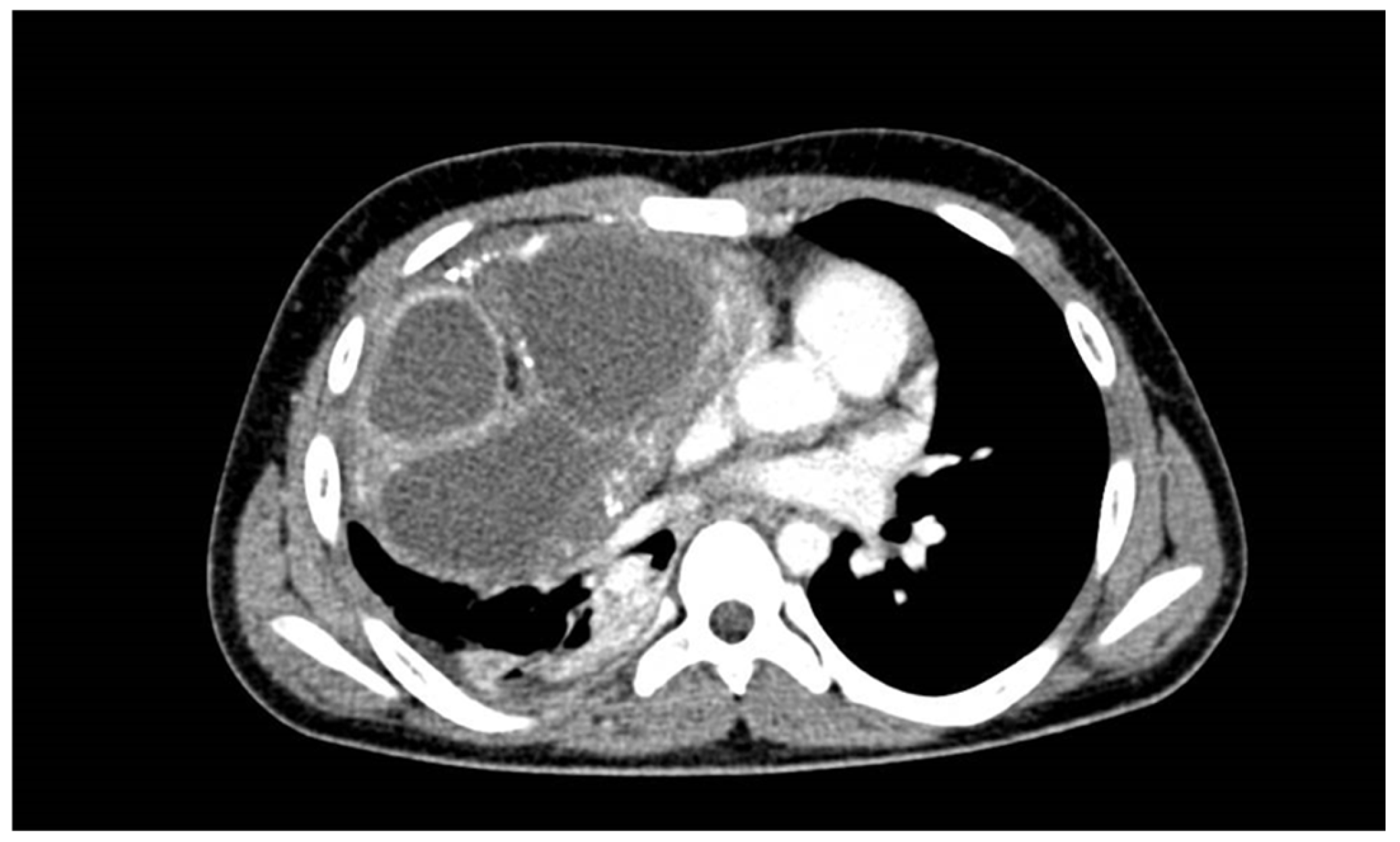
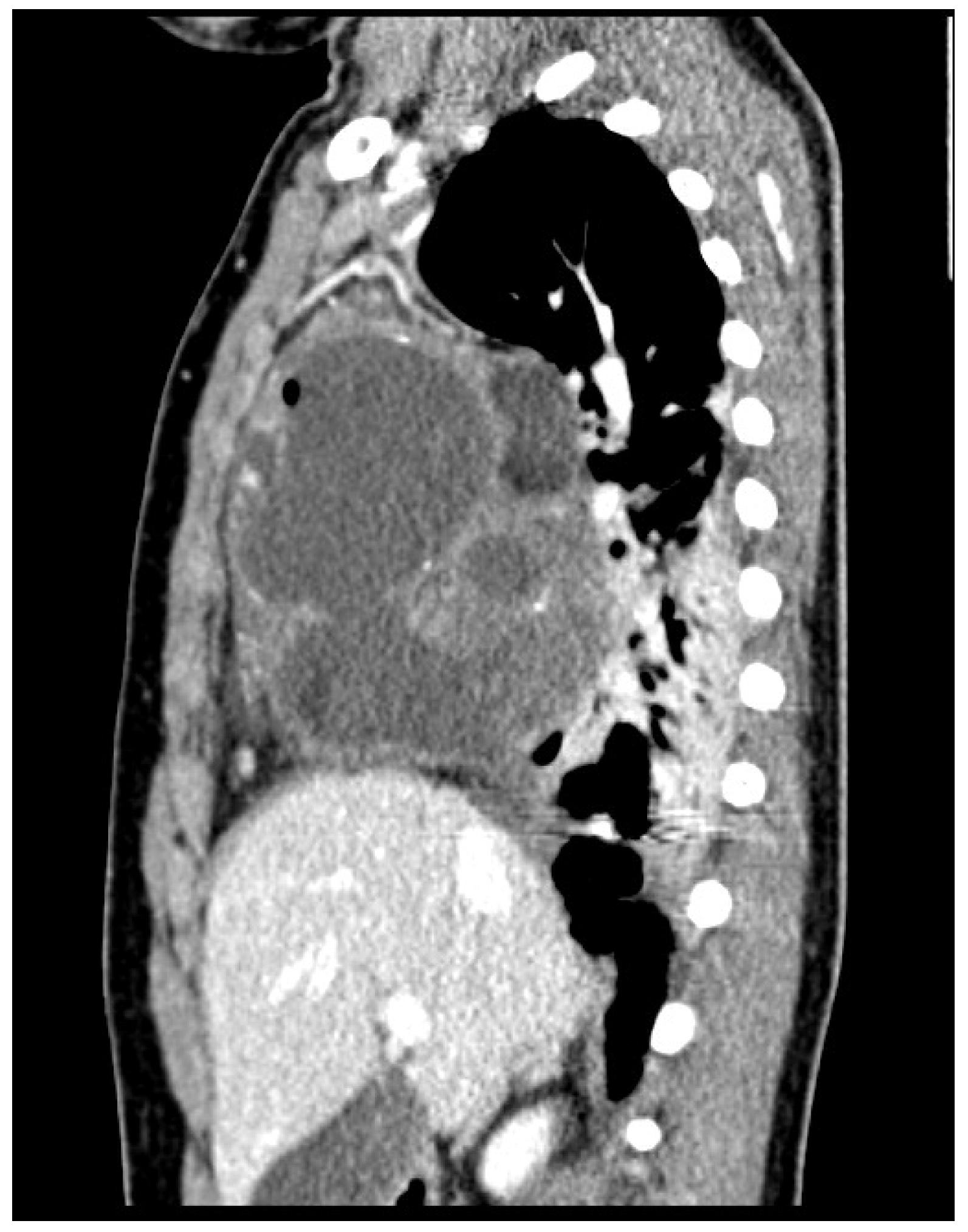
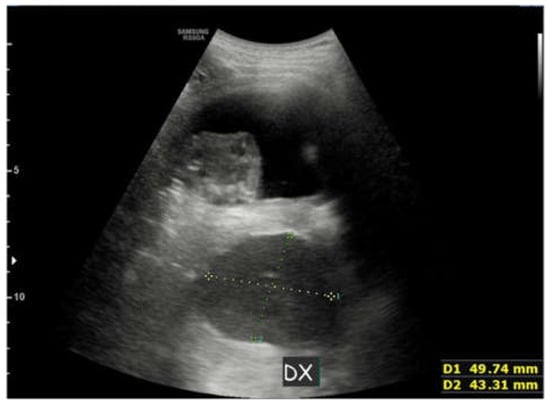
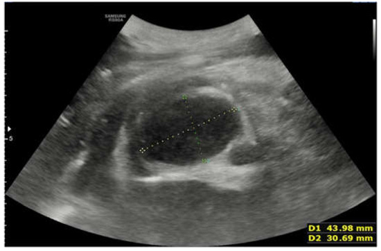
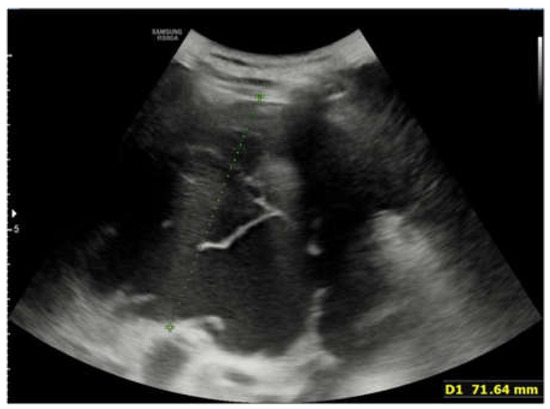
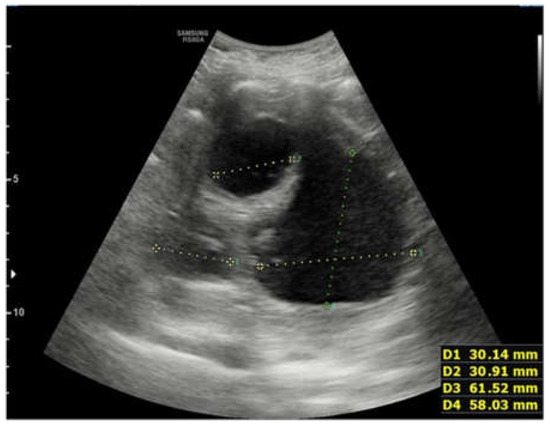
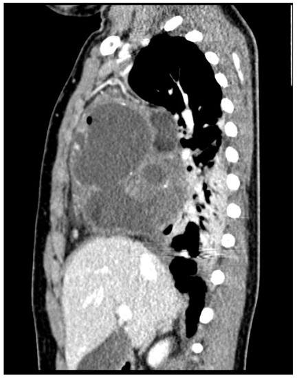
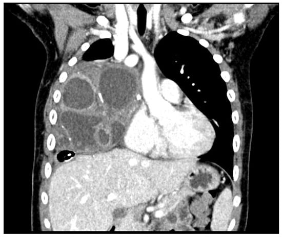
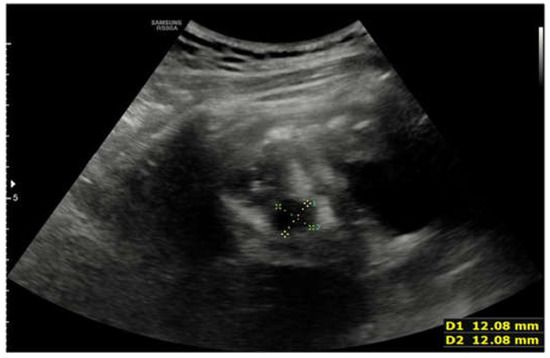
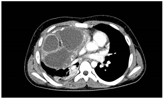
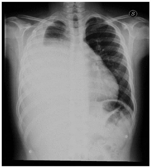
2. Case Report
3. Discussion
4. Conclusions
Author Contributions
Funding
Informed Consent Statement
Conflicts of Interest
References
- Duwe, B.V.; Sterman, D.H.; Musani, A.I. Tumors of the mediastinum. Chest 2005, 128, 2893–2909. [Google Scholar] [CrossRef] [PubMed]
- Azizkhan, R.G. Teratomas and Other Germ Cell Tumors. In Pediatric Surgery, 6th ed.; Mosby: Mount Joy, PA, USA, 2006; pp. 554–574. [Google Scholar] [CrossRef]
- Barksdale, E.M., Jr.; Obokhare, I. Teratomas in infants and children. Curr. Opin. Pediatr. 2009, 21, 344–349. [Google Scholar] [CrossRef] [PubMed]
- Juanpere, S.; Cañete, N.; Ortuño, P.; Martínez, S.; Sanchez, G.; Bernado, L. A diagnostic approach to the mediastinal masses. Insights Imaging 2012, 4, 29–52. [Google Scholar] [CrossRef] [PubMed] [Green Version]
- Radzina, M.; Biederer, J. Ultrasonography of the Lung. Röntgenstr 2019, 191, 909–923. [Google Scholar] [CrossRef] [PubMed] [Green Version]
- Iovine, E.; Nenna, R.; Bloise, S.; La Regina, D.; Pepino, D.; Petrarca, L.; Frassanito, A.; Lubrano, R.; Midulla, F. Lung Ultrasound: Its Findings and New Applications in Neonatology and Pediatric Diseases. Diagnostics 2021, 11, 652. [Google Scholar] [CrossRef] [PubMed]
- Merli, L.; Nanni, L.; Curatola, A.; Pellegrino, M.; De Santis, M.; Silvaroli, S.; Paradiso, F.V.; Buonsenso, D. Congenital lung malformations: A novel application for lung ultrasound? J. Ultrasound 2021, 24, 349–353. [Google Scholar] [CrossRef]
- De Rose, C.; Miceli Sopo, S.; Valentini, P.; Morello, R.; Biasucci, D.; Buonsenso, D. Potential Application of Lung Ultrasound in Children with Severe Uncontrolled Asthma: Preliminary Hypothesis Based on a Case Series. Medicines 2022, 9, 11. [Google Scholar] [CrossRef] [PubMed]
- Ma, E.M. Mature cystic teratoma of mediastinum. Phil. Heart Cent. J. 2012, 16, 68–71. [Google Scholar]
- Terenziani, M.; D’Angelo, P.; Inserra, A.; Boldrini, R.; Bisogno, G.; Babbo, G.L.; Conte, M.; Igna, P.D.; De Pasquale, M.D.; Indolfi, P.; et al. Mature and immature teratoma: A report from the second Italian pediatric study. Pediatr. Blood Cancer 2015, 62, 1202–1208. [Google Scholar] [CrossRef] [PubMed]
- Akshatha Rao Aroor, R.P.S.; Seshadri, S.; Teerthanath, S.; Raghuraj, U. A study of clinical characteristics of mediastinal mass. J. Clin. Diagn. Res. 2014, 8, 77–80. [Google Scholar]
- Sasaka, K.; Kurihara, Y.; Nakajima, Y.; Seto, Y.; Endo, I.; Ishikawa, T.; Takagi, M. Spontaneous rupture: A complication of benign mature teratomas of the mediastinum. Am. J. Roentgenol. 1998, 170, 323–328. [Google Scholar] [CrossRef] [PubMed] [Green Version]
- Uchida, T.; Matsubara, H.; Hada, T.; Sato, D.; Hasuda, N.; Nakajima, H. Mediastinal mature teratoma with chest pain onset and subsequent perfo-ration: A case report. Int. J. Surg. Case Rep. 2021, 81, 105807. [Google Scholar] [CrossRef] [PubMed]
- Moeller, K.H.; Rosado-De-Christenson, M.L.; Templeton, P.A. Mediastinal mature teratoma: Imaging features. Am. J. Roentgenol. 1997, 169, 985–990. [Google Scholar] [CrossRef] [PubMed]
- Joshi, P.; Vasishta, A.; Gupta, M. Ultrasound of the pediatric chest. Br. J. Radiol. 2019, 92, 20190058. [Google Scholar] [CrossRef] [PubMed]
- Ödev, K.; Arıbaş, B.K.; Nayman, A.; Arıbaş, O.K.; Altınok, T.; Küçükapan, A. Imaging of Cystic and Cyst-like Lesions of the Mediastinum with Pathologic Correlation. J. Clin. Imaging Sci. 2012, 2, 33. [Google Scholar] [CrossRef]
- Winkler, M.H.; Touw, H.R.; van de Ven, P.M.; Twisk, J.; Tuinman, P.R. Diagnostic Accuracy of Chest Radiograph, and When Concomitantly Studied Lung Ultrasound, in Critically Ill Patients with Respiratory Symptoms: A Systematic Review and Meta-Analysis. Crit. Care Med. 2018, 46, e707–e714. [Google Scholar] [CrossRef]
- Stadler, J.A.M.; Andronikou, S.; Zar, H.J. Lung ultrasound for the diagnosis of community-acquired pneumonia in c c children. Pediatr. Radiol. 2017, 47, 1412–1419. [Google Scholar] [CrossRef] [PubMed] [Green Version]
- Marina, N.M.; Cushing, B.; Giller, R.; Cohen, L.; Lauer, S.J.; Ablin, A.; Weetman, R.; Cullen, J.; Rogers, P.; Vinocur, C.; et al. Complete Surgical Excision Is Effective Treatment for Children with Immature Teratomas with or Without Malignant Elements: A Pediatric Oncology Group/Children’s Cancer Group Intergroup Study. J. Clin. Oncol. 1999, 17, 2137. [Google Scholar] [CrossRef]









| Test | Result | Reference Range | Measure Unit |
|---|---|---|---|
| Red Blood cells (RBC) | 4.91 | 4.4–6 | ×1012/L |
| Hb | 13.5 | 13–16 | g/dL |
| Hct | 39.5 | 36–51 | % |
| MCV | 80.5 | 80–100 | fl |
| MCH | 27.5 | 25–35 | pg |
| MCHC | 34.1 | 32–36 | gr/dL |
| WBC | 14.8 | 4.3–10.8 | ×109/L |
| Neutrophils # | 12.6 | 2–7 | ×109/L |
| Lymphocytes # | 1.2 | 1–4 | ×109/L |
| Monocytes # | 1 | 0–1.1 | ×109/L |
| Eosinophils # | 0.1 | 0–0.8 | ×109/L |
| Basophils # | 0.1 | 0–0.2 | ×109/L |
| Neutrophils % | 84.8 | 40–80 | % |
| Lymphocytes % | 7.9 | 20–40 | % |
| Monocytes % | 6.5 | 0–11 | % |
| Eosinophils % | 0.4 | 0–8 | % |
| Basophils % | 0.4 | 0–2 | % |
| Platelet count | 329 | 150–450 | ×109/L |
| C-Reactive Protein | 13.98 | 0–0.5 | mg/dL |
Publisher’s Note: MDPI stays neutral with regard to jurisdictional claims in published maps and institutional affiliations. |
© 2022 by the authors. Licensee MDPI, Basel, Switzerland. This article is an open access article distributed under the terms and conditions of the Creative Commons Attribution (CC BY) license (https://creativecommons.org/licenses/by/4.0/).
Share and Cite
Iovine, E.; Petrarca, L.; Regina, D.P.L.; Matera, L.; Mancino, E.; Di Mattia, G.; Midulla, F.; Nenna, R. The Key Role of Lung Ultrasound in the Diagnosis of a Mature Cystic Teratoma in a Child with Suspected Difficult to Treat Pneumonia: A Case Report. Children 2022, 9, 555. https://doi.org/10.3390/children9040555
Iovine E, Petrarca L, Regina DPL, Matera L, Mancino E, Di Mattia G, Midulla F, Nenna R. The Key Role of Lung Ultrasound in the Diagnosis of a Mature Cystic Teratoma in a Child with Suspected Difficult to Treat Pneumonia: A Case Report. Children. 2022; 9(4):555. https://doi.org/10.3390/children9040555
Chicago/Turabian StyleIovine, Elio, Laura Petrarca, Domenico Paolo La Regina, Luigi Matera, Enrica Mancino, Greta Di Mattia, Fabio Midulla, and Raffaella Nenna. 2022. "The Key Role of Lung Ultrasound in the Diagnosis of a Mature Cystic Teratoma in a Child with Suspected Difficult to Treat Pneumonia: A Case Report" Children 9, no. 4: 555. https://doi.org/10.3390/children9040555
APA StyleIovine, E., Petrarca, L., Regina, D. P. L., Matera, L., Mancino, E., Di Mattia, G., Midulla, F., & Nenna, R. (2022). The Key Role of Lung Ultrasound in the Diagnosis of a Mature Cystic Teratoma in a Child with Suspected Difficult to Treat Pneumonia: A Case Report. Children, 9(4), 555. https://doi.org/10.3390/children9040555

