Making Hardware Removal Unnecessary by Using Resorbable Implants for Osteosynthesis in Children
Abstract
1. Introduction
2. Background
2.1. Materials Used
2.2. Polymer-Based Implants
2.3. Magnesium-Based Implants
2.4. Clinical Applications
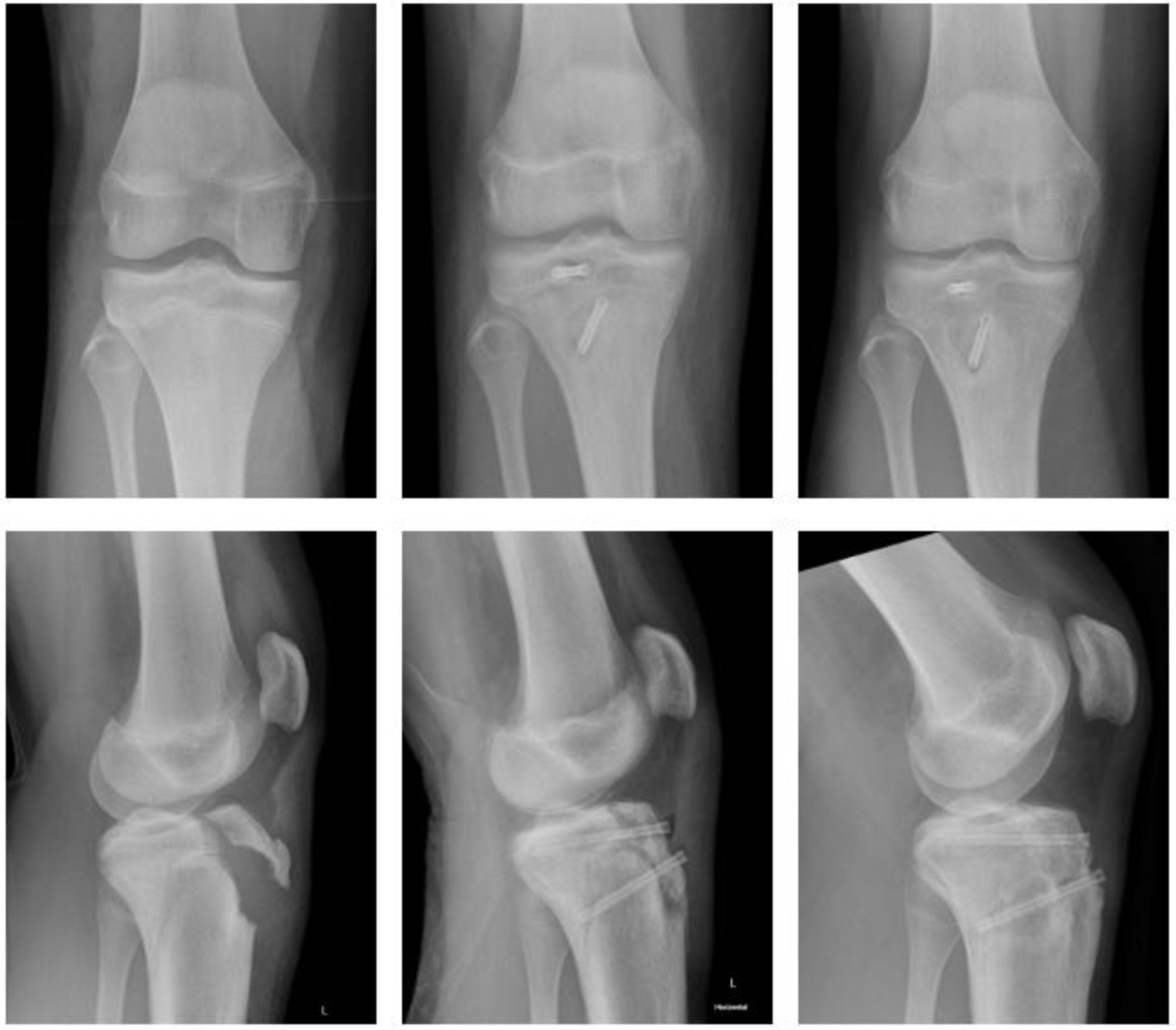
2.4.1. Fracture of the Tibial Tuberosity
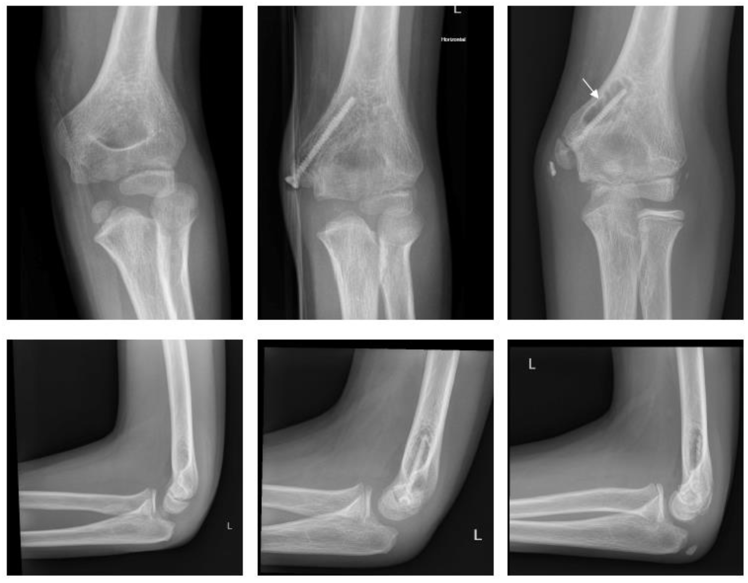
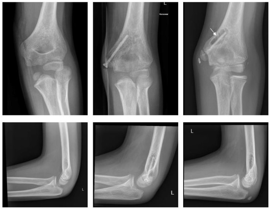
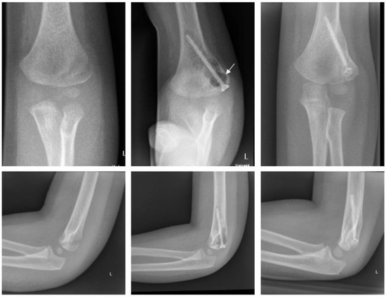
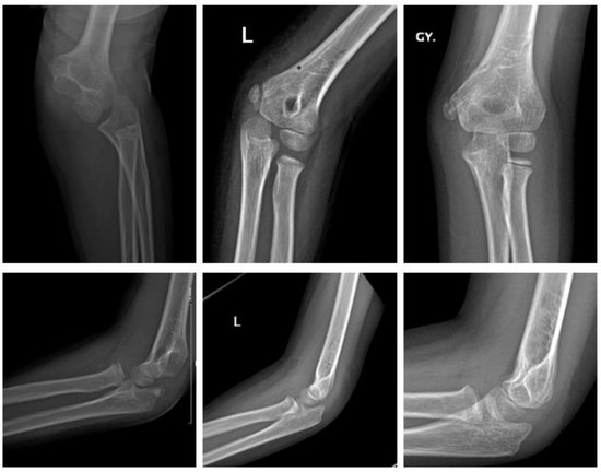
2.4.2. Fracture of the Medial Epicondyle
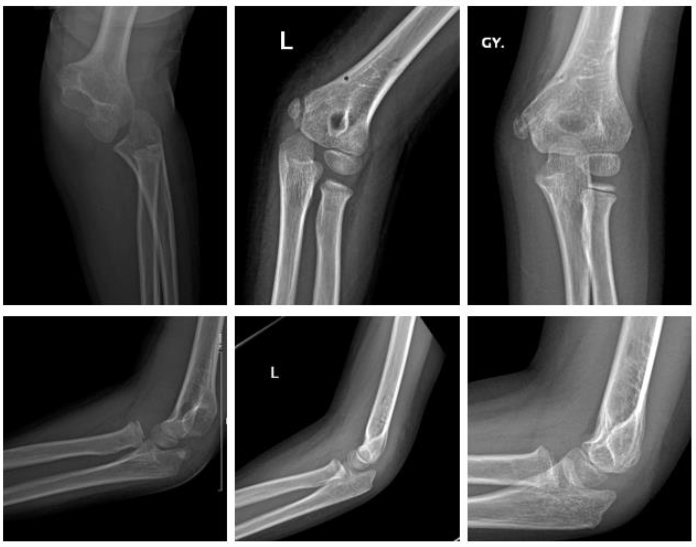
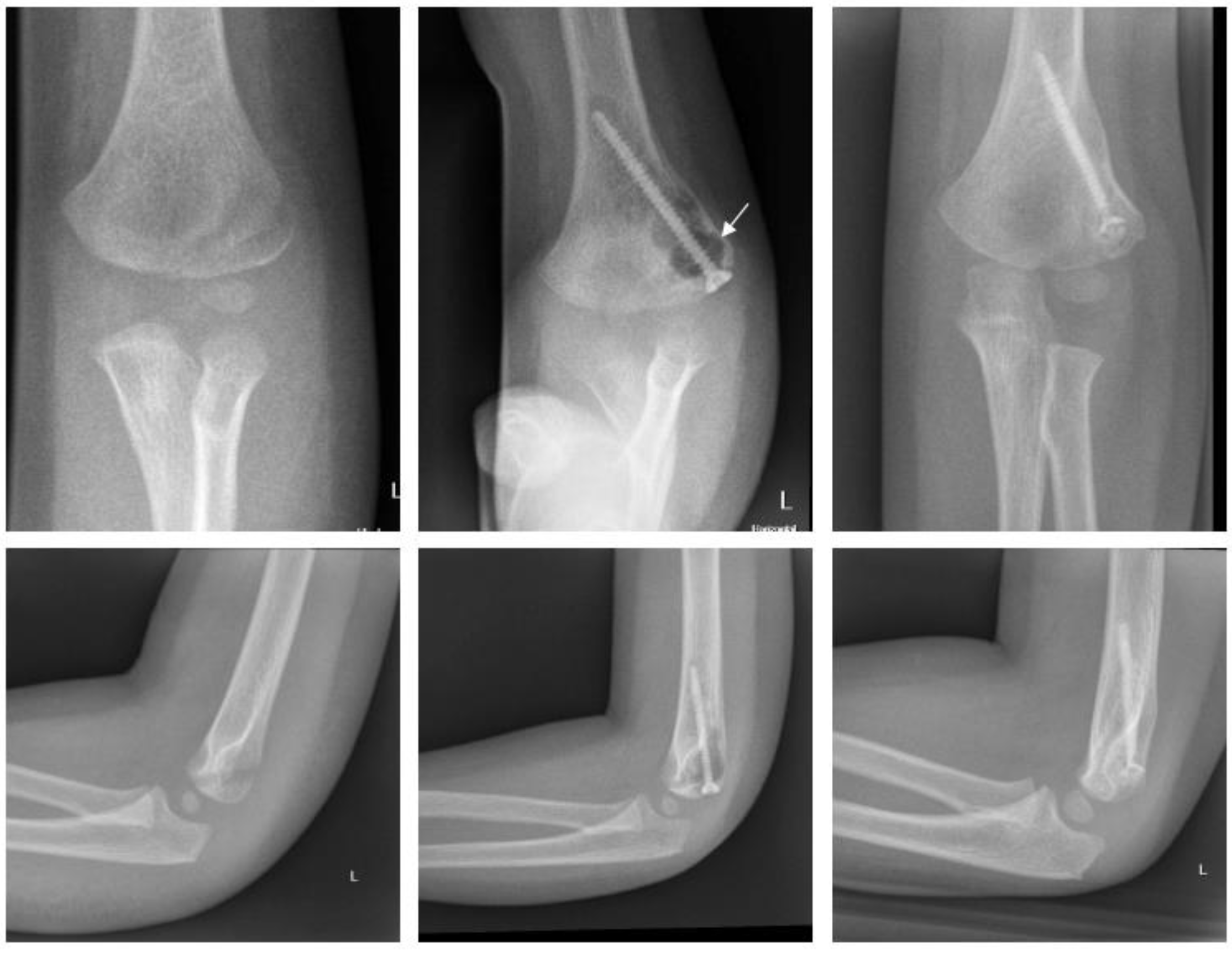
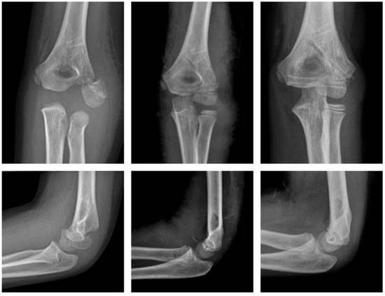
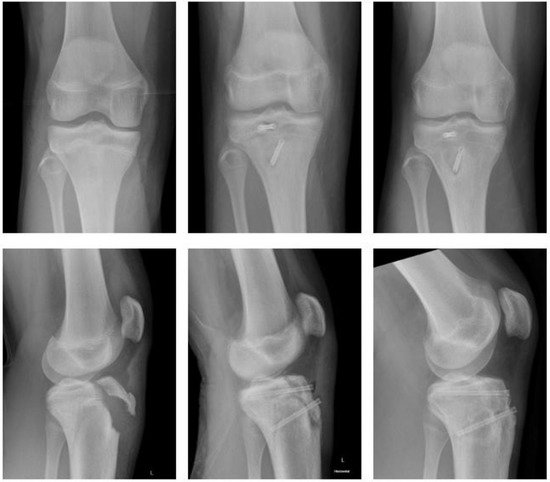
2.4.3. Fracture of the Lateral Condyle
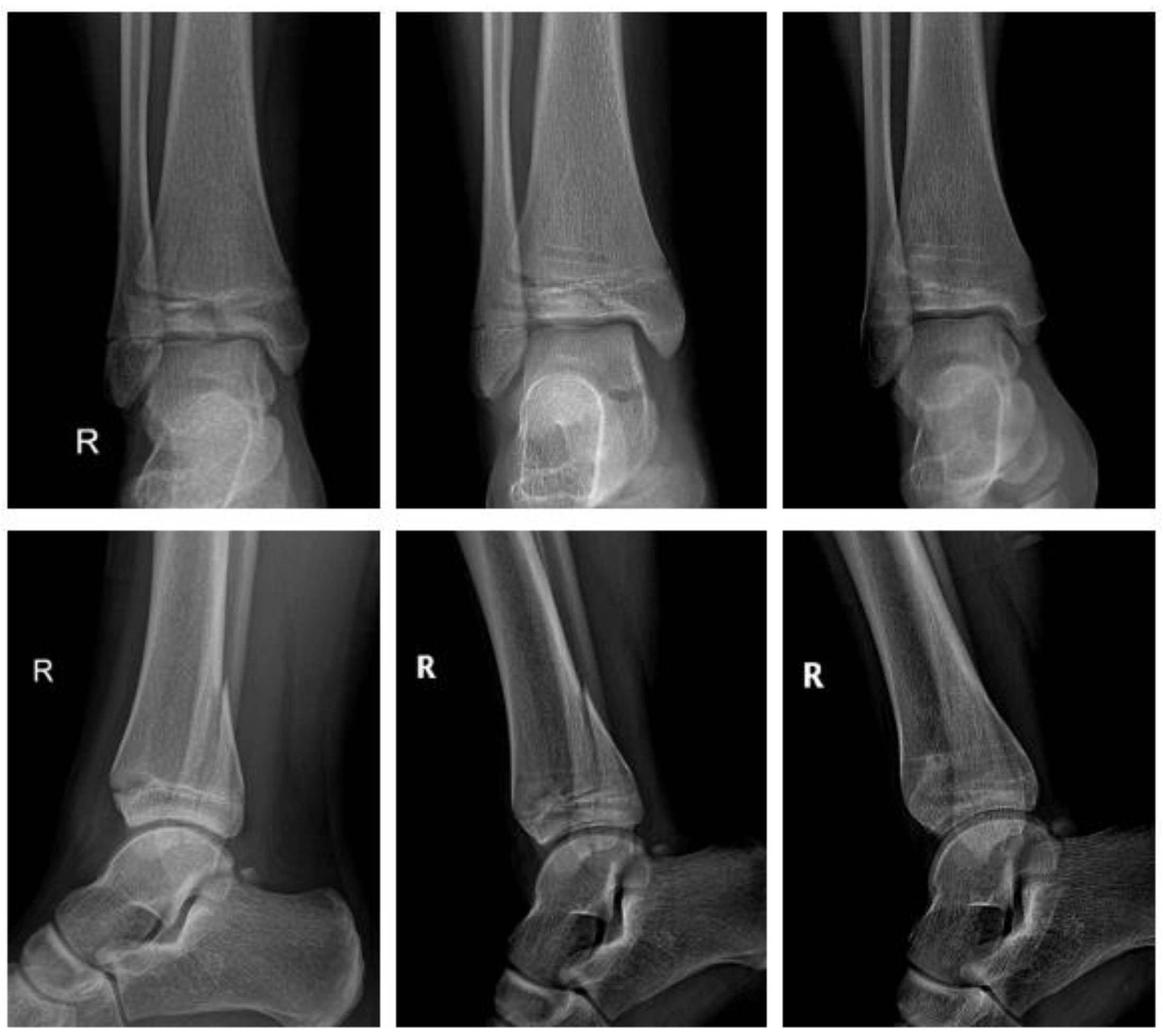
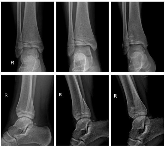
2.4.4. Fracture of the Ankle
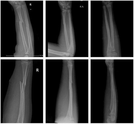
2.4.5. Fracture of the Forearm Shaft
3. Discussion
3.1. Biocompatibility
3.2. Stability
4. Conclusions
Author Contributions
Funding
Institutional Review Board Statement
Informed Consent Statement
Conflicts of Interest
References
- Case, C.P.; Langkamer, V.G.; James, C.; Palmer, M.R.; Kemp, A.J.; Heap, P.F.; Solomon, L. Widespread Dissemination of Metal Debris from Implants. J. Bone Jt. Surg. Br. 1994, 76, 701–712. [Google Scholar] [CrossRef]
- Thomas, P.; Braathen, L.R.; Dörig, M.; Auböck, J.; Nestle, F.; Werfel, T.; Willert, H.G. Increased Metal Allergy in Patients with Failed Metal-on-Metal Hip Arthroplasty and Peri-Implant T-Lymphocytic Inflammation. Allergy 2009, 64, 1157–1165. [Google Scholar] [CrossRef] [PubMed]
- Comino-Garayoa, R.; Cortés-Bretón Brinkmann, J.; Peláez, J.; López-Suárez, C.; Martínez-González, J.M.; Suárez, M.J. Allergies to Titanium Dental Implants: What Do We Really Know about Them? A Scoping Review. Biology 2020, 9, 404. [Google Scholar] [CrossRef]
- Sun, X.S.; Wang, B.; Wang, F.; Tang, K.; Zhang, Z.Q.; Lin, G.; Lou, Y. Complications of 2133 cases of pediatric long bone fracture undergoing elastic stable intramedullary nailing in a single medical center. Zhonghua Wai Ke Za Zhi 2018, 56, 670–676. [Google Scholar] [CrossRef]
- Nisar, A.; Bhosale, A.; Madan, S.S.; Flowers, M.J.; Fernandes, J.A.; Jones, S. Complications of Elastic Stable Intramedullary Nailing for Treating Paediatric Long Bone Fractures. J. Orthop. 2013, 10, 17–24. [Google Scholar] [CrossRef] [PubMed]
- Kasai, T.; Matsumoto, T.; Iga, T.; Tanaka, S. Complications of Implant Removal in Ankle Fractures. J. Orthop. 2019, 16, 191–194. [Google Scholar] [CrossRef] [PubMed]
- Bostman, O.; Makela, E.; Tormala, P.; Rokkanen, P. Transphyseal Fracture Fixation Using Biodegradable Pins. J. Bone Jt. Surg. Br. 1989, 71-B, 706–707. [Google Scholar] [CrossRef]
- Hope, P.G.; Williamson, D.M.; Coates, C.J.; Cole, W.G. Biodegradable Pin Fixation of Elbow Fractures in Children. A Randomised Trial. J. Bone Jt. Surg. Br. 1991, 73, 965–968. [Google Scholar] [CrossRef]
- Pietrzak, W.S. Principles of Development and Use of Absorbable Internal Fixation. Tissue Eng. 2000, 6, 425–433. [Google Scholar] [CrossRef]
- Schumann, P.; Lindhorst, D.; Wagner, M.E.H.; Schramm, A.; Gellrich, N.-C.; Rücker, M. Perspectives on Resorbable Osteosynthesis Materials in Craniomaxillofacial Surgery. Pathobiology 2013, 80, 211–217. [Google Scholar] [CrossRef]
- Eppley, B.L.; Reilly, M. Degradation Characteristics of PLLA-PGA Bone Fixation Devices. J. Craniofac. Surg. 1997, 8, 116–120. [Google Scholar] [CrossRef]
- On, S.-W.; Cho, S.-W.; Byun, S.-H.; Yang, B.-E. Bioabsorbable Osteofixation Materials for Maxillofacial Bone Surgery: A Review on Polymers and Magnesium-Based Materials. Biomedicines 2020, 8, 300. [Google Scholar] [CrossRef] [PubMed]
- Törmälä, P. Biodegradable Self-Reinforced Composite Materials; Manufacturing Structure and Mechanical Properties. Clin. Mater. 1992, 10, 29–34. [Google Scholar] [CrossRef]
- Lambotte, A. L’utilisation Du Magnésium Comme Matériel Perdu Dans l’ostéosynthèse. Bull. Mém. Soc. Nat. Cir. 1932, 28, 1325–1334. [Google Scholar]
- Holweg, P.; Berger, L.; Cihova, M.; Donohue, N.; Clement, B.; Schwarze, U.; Sommer, N.G.; Hohenberger, G.; van den Beucken, J.J.J.P.; Seibert, F.; et al. A Lean Magnesium-Zinc-Calcium Alloy ZX00 Used for Bone Fracture Stabilization in a Large Growing-Animal Model. Acta Biomater. 2020, 113, 646–659. [Google Scholar] [CrossRef] [PubMed]
- Holweg, P.; Herber, V.; Ornig, M.; Hohenberger, G.; Donohue, N.; Puchwein, P.; Leithner, A.; Seibert, F. A Lean Bioabsorbable Magnesium-Zinc-Calcium Alloy ZX00 Used for Operative Treatment of Medial Malleolus Fractures. Bone Jt. Res. 2020, 9, 477–483. [Google Scholar] [CrossRef]
- Staiger, M.P.; Pietak, A.M.; Huadmai, J.; Dias, G. Magnesium and Its Alloys as Orthopedic Biomaterials: A Review. Biomaterials 2006, 27, 1728–1734. [Google Scholar] [CrossRef]
- Kamrani, S.; Fleck, C. Biodegradable Magnesium Alloys as Temporary Orthopaedic Implants: A Review. Biometals 2019, 32, 185–193. [Google Scholar] [CrossRef]
- Song, G.L.; Atrens, A. Corrosion Mechanisms of Magnesium Alloys. Adv. Eng. Mater. 1999, 1, 11–33. [Google Scholar] [CrossRef]
- Kraus, T.; Fischerauer, S.; Treichler, S.; Martinelli, E.; Eichler, J.; Myrissa, A.; Zötsch, S.; Uggowitzer, P.J.; Löffler, J.F.; Weinberg, A.M. The Influence of Biodegradable Magnesium Implants on the Growth Plate. Acta Biomater. 2018, 66, 109–117. [Google Scholar] [CrossRef]
- Waizy, H.; Diekmann, J.; Weizbauer, A.; Reifenrath, J.; Bartsch, I.; Neubert, V.; Schavan, R.; Windhagen, H. In Vivo Study of a Biodegradable Orthopedic Screw (MgYREZr-Alloy) in a Rabbit Model for up to 12 Months. J. Biomater. Appl. 2014, 28, 667–675. [Google Scholar] [CrossRef] [PubMed]
- Angrisani, N.; Reifenrath, J.; Zimmermann, F.; Eifler, R.; Meyer-Lindenberg, A.; Vano-Herrera, K.; Vogt, C. Biocompatibility and Degradation of LAE442-Based Magnesium Alloys after Implantation of up to 3.5 years in a Rabbit Model. Acta Biomater. 2016, 44, 355–365. [Google Scholar] [CrossRef]
- Windhagen, H.; Radtke, K.; Weizbauer, A.; Diekmann, J.; Noll, Y.; Kreimeyer, U.; Schavan, R.; Stukenborg-Colsman, C.; Waizy, H. Biodegradable Magnesium-Based Screw Clinically Equivalent to Titanium Screw in Hallux Valgus Surgery: Short Term Results of the First Prospective, Randomized, Controlled Clinical Pilot Study. Biomed. Eng. Online 2013, 12, 62. [Google Scholar] [CrossRef]
- Plaass, C.; Ettinger, S.; Sonnow, L.; Koenneker, S.; Noll, Y.; Weizbauer, A.; Reifenrath, J.; Claassen, L.; Daniilidis, K.; Stukenborg-Colsman, C.; et al. Early Results Using a Biodegradable Magnesium Screw for Modified Chevron Osteotomies. J. Orthop. Res. 2016, 34, 2207–2214. [Google Scholar] [CrossRef] [PubMed]
- Biber, R.; Pauser, J.; Brem, M.; Bail, H.J. Bioabsorbable Metal Screws in Traumatology: A Promising Innovation. Trauma Case Rep. 2017, 8, 11–15. [Google Scholar] [CrossRef] [PubMed]
- May, H.; Alper Kati, Y.; Gumussuyu, G.; Yunus Emre, T.; Unal, M.; Kose, O. Bioabsorbable Magnesium Screw versus Conventional Titanium Screw Fixation for Medial Malleolar Fractures. J. Orthop. Traumatol. 2020, 21, 9. [Google Scholar] [CrossRef]
- Bergsma, E.J.; Rozema, F.R.; Bos, R.R.M.; Bruijn, W.C.D. Foreign Body Reactions to Resorbable Poly(l-Lactide) Bone Plates and Screws Used for the Fixation of Unstable Zygomatic Fractures. J. Oral Maxillofac. Surg. 1993, 51, 666–670. [Google Scholar] [CrossRef]
- Agrawal, C.M.; Athanasiou, K.A. Technique to Control PH in Vicinity of Biodegrading PLA-PGA Implants. J. Biomed. Mater. Res. 1997, 38, 105–114. [Google Scholar] [CrossRef]
- von Recum, H.A.; Cleek, R.L.; Eskin, S.G.; Mikos, A.G. Degradation of Polydispersed Poly(L-Lactic Acid) to Modulate Lactic Acid Release. Biomaterials 1995, 16, 441–447. [Google Scholar] [CrossRef]
- Yerit, K.C.; Hainich, S.; Enislidis, G.; Turhani, D.; Klug, C.; Wittwer, G.; Ockher, M.; Undt, G.; Kermer, C.; Watzinger, F.; et al. Biodegradable Fixation of Mandibular Fractures in Children: Stability and Early Results. Oral Surg. Oral Med. Oral Pathol. Oral Radiol. Endod. 2005, 100, 17–24. [Google Scholar] [CrossRef]
- An, J.; Jia, P.; Zhang, Y.; Gong, X.; Han, X.; He, Y. Application of Biodegradable Plates for Treating Pediatric Mandibular Fractures. J. Craniomaxillofac. Surg. 2015, 43, 515–520. [Google Scholar] [CrossRef] [PubMed]
- Witte, F. The History of Biodegradable Magnesium Implants: A Review. Acta Biomater. 2010, 6, 1680–1692. [Google Scholar] [CrossRef] [PubMed]
- Kim, Y.-K.; Lee, K.-B.; Kim, S.-Y.; Bode, K.; Jang, Y.-S.; Kwon, T.-Y.; Jeon, M.H.; Lee, M.-H. Gas Formation and Biological Effects of Biodegradable Magnesium in a Preclinical and Clinical Observation. Sci. Technol. Adv. Mater. 2018, 19, 324–335. [Google Scholar] [CrossRef] [PubMed]
- Witte, F.; Kaese, V.; Haferkamp, H.; Switzer, E.; Meyer-Lindenberg, A.; Wirth, C.J.; Windhagen, H. In Vivo Corrosion of Four Magnesium Alloys and the Associated Bone Response. Biomaterials 2005, 26, 3557–3563. [Google Scholar] [CrossRef]
- Pichler, K.; Kraus, T.; Martinelli, E.; Sadoghi, P.; Musumeci, G.; Uggowitzer, P.J.; Weinberg, A.M. Cellular Reactions to Biodegradable Magnesium Alloys on Human Growth Plate Chondrocytes and Osteoblasts. Int. Orthop. 2014, 38, 881–889. [Google Scholar] [CrossRef]
- Naujokat, H.; Ruff, C.B.; Klüter, T.; Seitz, J.-M.; Açil, Y.; Wiltfang, J. Influence of Surface Modifications on the Degradation of Standard-Sized Magnesium Plates and Healing of Mandibular Osteotomies in Miniature Pigs. Int. J. Oral Maxillofac. Surg. 2020, 49, 272–283. [Google Scholar] [CrossRef]
- Fischerauer, S.F.; Kraus, T.; Wu, X.; Tangl, S.; Sorantin, E.; Hänzi, A.C.; Löffler, J.F.; Uggowitzer, P.J.; Weinberg, A.M. In Vivo Degradation Performance of Micro-Arc-Oxidized Magnesium Implants: A Micro-CT Study in Rats. Acta Biomater. 2013, 9, 5411–5420. [Google Scholar] [CrossRef]
- Haghighat, F.; Ravandi, S.A.H. Mechanical Properties and in Vitro Degradation of PLGA Suture Manufactured via Electrospinning. Fibers Polym. 2014, 15, 71–77. [Google Scholar] [CrossRef]
- Zhang, X.; Yuan, G.; Mao, L.; Niu, J.; Ding, W. Biocorrosion Properties of As-Extruded Mg–Nd–Zn–Zr Alloy Compared with Commercial AZ31 and WE43 Alloys. Mater. Lett. 2012, 66, 209–211. [Google Scholar] [CrossRef]
- Gu, X.-N.; Zheng, Y.-F. A Review on Magnesium Alloys as Biodegradable Materials. Front. Mater. Sci. China 2010, 4, 111–115. [Google Scholar] [CrossRef]
- Chen, J.; Tan, L.; Yu, X.; Etim, I.P.; Ibrahim, M.; Yang, K. Mechanical Properties of Magnesium Alloys for Medical Application: A Review. J. Mech. Behav. Biomed. Mater. 2018, 87, 68–79. [Google Scholar] [CrossRef] [PubMed]
- Korhonen, L.; Perhomaa, M.; Kyrö, A.; Pokka, T.; Serlo, W.; Merikanto, J.; Sinikumpu, J.-J. Intramedullary Nailing of Forearm Shaft Fractures by Biodegradable Compared with Titanium Nails: Results of a Prospective Randomized Trial in Children with at Least Two Years of Follow-Up. Biomaterials 2018, 185, 383–392. [Google Scholar] [CrossRef] [PubMed]
- Li, J.; Rai, S.; Liu, Y.; Ze, R.; Tang, X.; Liu, R.; Hong, P. Is Biodegradable Pin a Good Choice for Lateral Condylar Fracture of Humerus in Children. Medicine 2020, 99, e21696. [Google Scholar] [CrossRef] [PubMed]
- Su, Y.; Nan, G. Treatment of Medial Humeral Epicondyle Fractures in Children Using Absorbable Self-Reinforced Polylactide Pins. Medicine 2020, 99, e19861. [Google Scholar] [CrossRef]
- Fu, D.; Xiao, B.; Yang, S.; Li, J. Open Reduction and Bioabsorbable Pin Fixation for Late Presenting Irreducible Supracondylar Humeral Fracture in Children. Int. Orthop. 2011, 35, 725–730. [Google Scholar] [CrossRef] [PubMed]
- Sinikumpu, J.-J.; Serlo, W. Biodegradable Poly-L-Lactide-Co-Glycolide Copolymer Pin Fixation of a Traumatic Patellar Osteochondral Fragment in an 11-Year-Old Child: A Novel Surgical Approach. Exp. Ther. Med. 2017, 13, 242–246. [Google Scholar] [CrossRef][Green Version]
- Baldini, M.; Coppa, V.; Falcioni, D.; Senigagliesi, E.; Marinelli, M.; Gigante, A.P. Use of Resorbable Magnesium Screws in Children: Systematic Review of the Literature and Short-Term Follow-up from Our Series. J. Child. Orthop. 2021, 15, 194–203. [Google Scholar] [CrossRef] [PubMed]
- Wichelhaus, A.; Emmerich, J.; Mittlmeier, T. A Case of Implant Failure in Partial Wrist Fusion Applying Magnesium-Based Headless Bone Screws. Case Rep. Orthop. 2016, 2016, 7049130. [Google Scholar] [CrossRef]
- Kose, O.; Turan, A.; Unal, M.; Acar, B.; Guler, F. Fixation of Medial Malleolar Fractures with Magnesium Bioabsorbable Headless Compression Screws: Short-Term Clinical and Radiological Outcomes in Eleven Patients. Arch. Orthop. Trauma Surg. 2018, 138, 1069–1075. [Google Scholar] [CrossRef]
- Klauser, H. Internal Fixation of Three-Dimensional Distal Metatarsal I Osteotomies in the Treatment of Hallux Valgus Deformities Using Biodegradable Magnesium Screws in Comparison to Titanium Screws. Foot Ankle Surg. 2019, 25, 398–405. [Google Scholar] [CrossRef]
- Wagner, F.C.; Polossek, L.; Yilmaz, T.; Jaeger, M.; Maier, D.; Feucht, M.J.; Südkamp, N.P.; Reising, K. Biodegradable Magnesium vs. Polylactide Pins for Radial Head Fracture Stabilization: A Biomechanical Study. J. Shoulder Elb. Surg. 2021, 30, 365–372. [Google Scholar] [CrossRef] [PubMed]
- Lee, J.-Y.; Lee, J.-W.; Pang, K.-M.; Kim, H.-E.; Kim, S.-M.; Lee, J.-H. Biomechanical Evaluation of Magnesium-Based Resorbable Metallic Screw System in a Bilateral Sagittal Split Ramus Osteotomy Model Using Three-Dimensional Finite Element Analysis. J. Oral Maxillofac. Surg. 2014, 72, 402.e1–402.e13. [Google Scholar] [CrossRef]
- Böstman, O. Economic Considerations on Avoiding Implant Removals after Fracture Fixation by Using Absorbable Devices. Scand. J. Soc. Med. 1994, 22, 41–45. [Google Scholar] [CrossRef] [PubMed]
- Juutilainen, T.; Pätiälä, H.; Ruuskanen, M.; Rokkanen, P. Comparison of Costs in Ankle Fractures Treated with Absorbable or Metallic Fixation Devices. Arch. Orthop. Trauma Surg. 1997, 116, 204–208. [Google Scholar] [CrossRef] [PubMed]








Publisher’s Note: MDPI stays neutral with regard to jurisdictional claims in published maps and institutional affiliations. |
© 2022 by the authors. Licensee MDPI, Basel, Switzerland. This article is an open access article distributed under the terms and conditions of the Creative Commons Attribution (CC BY) license (https://creativecommons.org/licenses/by/4.0/).
Share and Cite
Heye, P.; Matissek, C.; Seidl, C.; Varga, M.; Kassai, T.; Jozsa, G.; Krebs, T. Making Hardware Removal Unnecessary by Using Resorbable Implants for Osteosynthesis in Children. Children 2022, 9, 471. https://doi.org/10.3390/children9040471
Heye P, Matissek C, Seidl C, Varga M, Kassai T, Jozsa G, Krebs T. Making Hardware Removal Unnecessary by Using Resorbable Implants for Osteosynthesis in Children. Children. 2022; 9(4):471. https://doi.org/10.3390/children9040471
Chicago/Turabian StyleHeye, Pascal, Christoph Matissek, Clemens Seidl, Marcell Varga, Tamas Kassai, Gergö Jozsa, and Thomas Krebs. 2022. "Making Hardware Removal Unnecessary by Using Resorbable Implants for Osteosynthesis in Children" Children 9, no. 4: 471. https://doi.org/10.3390/children9040471
APA StyleHeye, P., Matissek, C., Seidl, C., Varga, M., Kassai, T., Jozsa, G., & Krebs, T. (2022). Making Hardware Removal Unnecessary by Using Resorbable Implants for Osteosynthesis in Children. Children, 9(4), 471. https://doi.org/10.3390/children9040471

