Severe Neurological Manifestation in a Child with Multisystem Inflammatory Syndrome
Abstract
1. Introduction
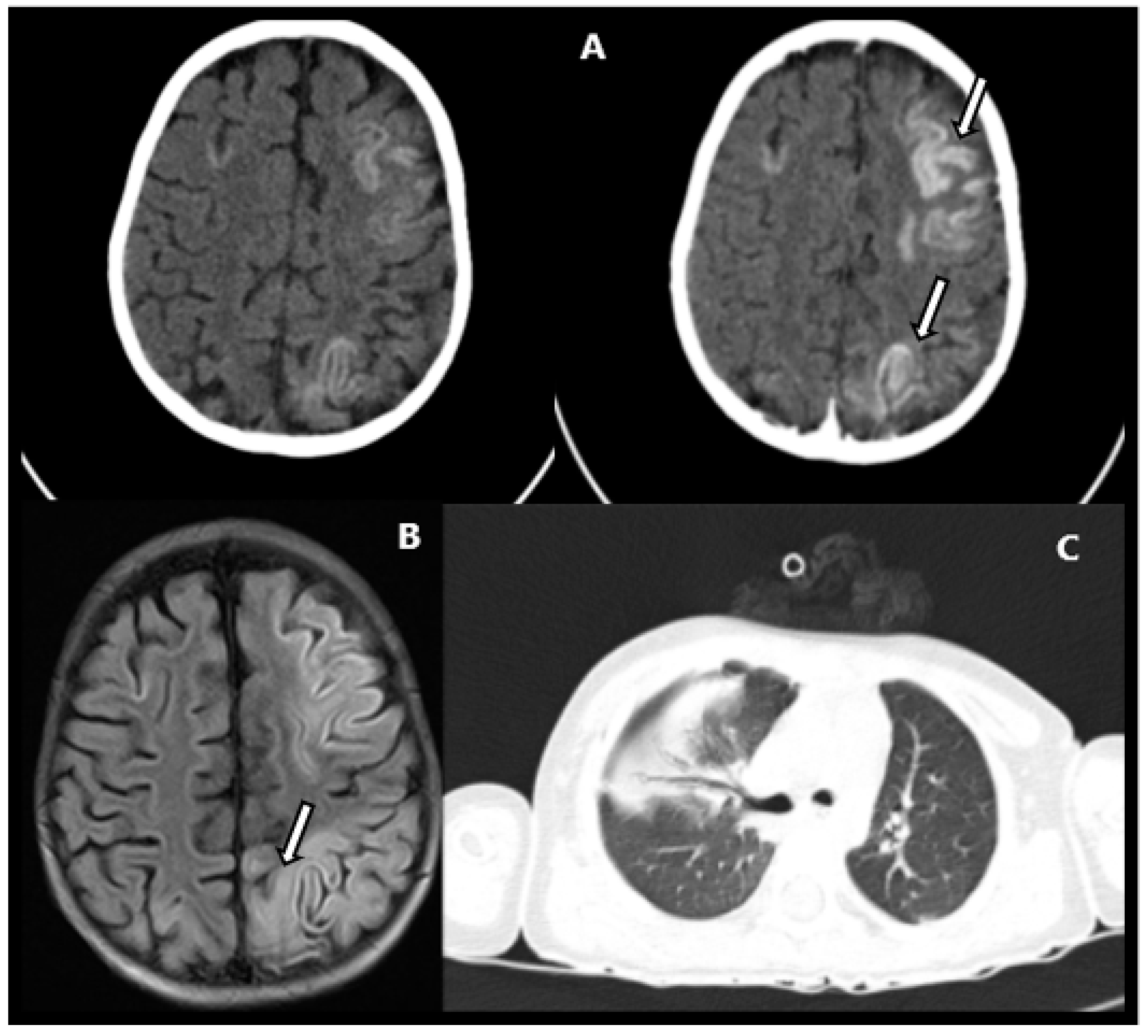
2. Case Report
3. Discussion
4. Conclusions
Author Contributions
Funding
Institutional Review Board Statement
Informed Consent Statement
Data Availability Statement
Acknowledgments
Conflicts of Interest
References
- Riphagen, S.; Gomez, X.; Gonzalez-Martinez, C.; Wilkinson, N.; Theocharis, P. Hyperinflammatory shock in children during COVID-19 pandemic. Lancet 2020, 395, 1607–1608. [Google Scholar] [CrossRef]
- World Health Organization. Multisystem inflammatory syndrome in children (MIS-C) with COVID-19. In Living Guidance for Clinical Management of COVID-19; World Health Organization: Geneva, Switzerland, 2022. [Google Scholar]
- Dufort, E.M.; Koumans, E.H.; Chow, E.J.; Rosenthal, E.M.; Muse, A.; Rowlands, J.; Barranco, M.A.; Maxted, A.M.; Rosenberg, E.S.; Easton, D.; et al. Multisystem inflammatory syndrome in children in New York State. N. Engl. J. Med. 2020, 383, 347–358. [Google Scholar] [CrossRef] [PubMed]
- Rowley, A.H. Understanding SARS-CoV-2-related multisystem inflammatory syndrome in children. Nat. Rev. Immunol. 2020, 20, 453–454. [Google Scholar] [CrossRef] [PubMed]
- Henderson, L.A.; Canna, S.W.; Friedman, K.G.; Gorelik, M.; Lapidus, S.K.; Bassiri, H.; Behrens, E.M.; Kernan, K.F.; Schulert, G.S.; Seo, P.; et al. American College of Rheumatology Clinical Guidance for Multisystem Inflammatory Syndrome in Children Associated With SARS-CoV-2 and Hyperinflammation in Pediatric COVID-19: Version 3. Arthritis Rheumatol. 2022, 74, e1–e20. [Google Scholar] [CrossRef] [PubMed]
- Zhao, Y.; Patel, J.; Huang, Y.; Yin, L.; Tang, L. Cardiac markers of multisystem inflammatory syndrome in children (MIS-C) in COVID-19 patients: A meta-analysis. Am. J. Emerg. Med. 2021, 18, 62–70. [Google Scholar] [CrossRef] [PubMed]
- Sperotto, F.; Friedman, K.G.; Son, M.; VanderPluym, C.J.; Newburger, J.W.; Dionne, A. Cardiac manifestations in SARS-CoV-2-associated multisystem inflammatory syndrome in children: A comprehensive review and proposed clinical approach. Eur. J. Pediatr. 2021, 180, 307–322. [Google Scholar] [CrossRef] [PubMed]
- Alkan, G.; Sert, A.; Öz, Ş.K.T.; Emiroğlu, M. Hematological Parameters and Inflammatory Markers in Children with Multisystem Inflammatory Syndrome. Genel Tıp Derg. 2022, 32, 415–424. [Google Scholar] [CrossRef]
- Zhao, Y.; Yin, L.; Patel, J.; Tang, L.; Huang, Y. The inflammatory markers of multisystem inflammatory syndrome in children (MIS-C) and adolescents associated with COVID-19: A meta-analysis. J. Med. Virol. 2021, 93, 4358–4369. [Google Scholar] [CrossRef] [PubMed]
- Ferriero, D.M.; Fullerton, H.J.; Bernard, T.J.; Billinghurst, L.; Daniels, S.R.; DeBaun, M.R.; deVeber, G.; Ichord, R.N.; Jordan, L.C.; Massicotte, P.; et al. American Heart Association Stroke Council and Council on Cardiovascular and Stroke Nursing. Management of Stroke in Neonates and Children: A Scientific Statement from the American Heart Association/American Stroke Association. Stroke 2019, 50, 51–96. [Google Scholar] [CrossRef] [PubMed]
- Lindan, C.E.; Mankad, K.; Ram, D.; Kociolek, L.K.; Silvera, V.M.; Boddaert, N.; Stivaros, S.M.; Palasis, S.; Akhtar, S.; Alden, D.; et al. Neuroimaging manifestations in children with SARS-CoV-2 infection: A multinational, multicentre collaborative study. Lancet Child Adolesc. Health 2021, 5, 167–177. [Google Scholar] [CrossRef]
- Beslow, L.A.; Linds, A.B.; Fox, C.K.; Kossorotoff, M.; Zuñiga-Zambrano, Y.C.; Hernández-Chávez, M.; Hassanein, S.M.A.; Byrne, S.; Lim, M.; Maduaka, N.; et al. Pediatric Ischemic Stroke: An Infrequent Complication of SARS-CoV-2. Ann. Neurol. 2021, 89, 657–665. [Google Scholar] [CrossRef]
- Schupper, A.J.; Yaeger, K.A.; Morgenstern, P.F. Neurological manifestations of pediatric multi-system inflammatory syndrome potentially associated with COVID-19. Childs Nerv. Syst. 2020, 36, 1579–1580. [Google Scholar] [CrossRef] [PubMed]
- LaRovere, K.L.; Riggs, B.J.; Poussaint, T.Y.; Young, C.C.; Newhams, M.M.; Maamari, M.; Walker, T.C.; Singh, A.R.; Dapul, H.; Hobbs, C.V.; et al. Neurologic Involvement in Children and Adolescents Hospitalized in the United States for COVID-19 or Multisystem Inflammatory Syndrome. JAMA Neurol. 2021, 78, 536. [Google Scholar] [CrossRef] [PubMed]
- Sánchez-Morales, A.E.; Urrutia-Osorio, M.; Camacho-Mendoza, E.; Rosales-Pedraza, G.; Dávila-Maldonado, L.; González-Duarte, A.; Herrera-Mora, P.; Ruiz-García, M. Neurological manifestations temporally associated with SARS-CoV-2 infection in pediatric patients in Mexico. Childs Nerv. Syst. 2021, 37, 2305–2312. [Google Scholar] [CrossRef] [PubMed]
- Schweiger, C.; Eneas, L.V.; Manica, D.; Netto, C.S.S.; Carvalho, P.R.A.; Piva, J.P.; Kuhl, G.; Marostica, P.J.C. Accuracy of stridor-based diagnosis of post-intubation subglottic stenosis in pediatric patients. J. Pediatr. 2020, 96, 39–45. [Google Scholar] [CrossRef] [PubMed]
- Rutter, M.; Kuo, I.C. Predicting and managing the development of subglottic stenosis following intubation in children. J. Pediatr. 2020, 96, 1–3. [Google Scholar] [CrossRef] [PubMed]

Publisher’s Note: MDPI stays neutral with regard to jurisdictional claims in published maps and institutional affiliations. |
© 2022 by the authors. Licensee MDPI, Basel, Switzerland. This article is an open access article distributed under the terms and conditions of the Creative Commons Attribution (CC BY) license (https://creativecommons.org/licenses/by/4.0/).
Share and Cite
Santos, M.d.O.; Ribeiro, D.C.; Rocha, J.S.; Maia, S.B.S.; Moreira, A.L.E.; Silva, P.A.N.; Ito, C.R.M.; Carneiro, L.C.; Avelino, M.A.G. Severe Neurological Manifestation in a Child with Multisystem Inflammatory Syndrome. Children 2022, 9, 1653. https://doi.org/10.3390/children9111653
Santos MdO, Ribeiro DC, Rocha JS, Maia SBS, Moreira ALE, Silva PAN, Ito CRM, Carneiro LC, Avelino MAG. Severe Neurological Manifestation in a Child with Multisystem Inflammatory Syndrome. Children. 2022; 9(11):1653. https://doi.org/10.3390/children9111653
Chicago/Turabian StyleSantos, Mônica de Oliveira, Diuly Caroline Ribeiro, Jordanna Sousa Rocha, Sibely Braga Santos Maia, André Luís Elias Moreira, Paulo Alex Neves Silva, Célia Regina Malveste Ito, Lilian Carla Carneiro, and Melissa Ameloti Gomes Avelino. 2022. "Severe Neurological Manifestation in a Child with Multisystem Inflammatory Syndrome" Children 9, no. 11: 1653. https://doi.org/10.3390/children9111653
APA StyleSantos, M. d. O., Ribeiro, D. C., Rocha, J. S., Maia, S. B. S., Moreira, A. L. E., Silva, P. A. N., Ito, C. R. M., Carneiro, L. C., & Avelino, M. A. G. (2022). Severe Neurological Manifestation in a Child with Multisystem Inflammatory Syndrome. Children, 9(11), 1653. https://doi.org/10.3390/children9111653

