The Orthopedic Effects of Electronic Cigarettes: A Systematic Review and Pediatric Case Series
Abstract
:1. Hypothesis-Generating Cases
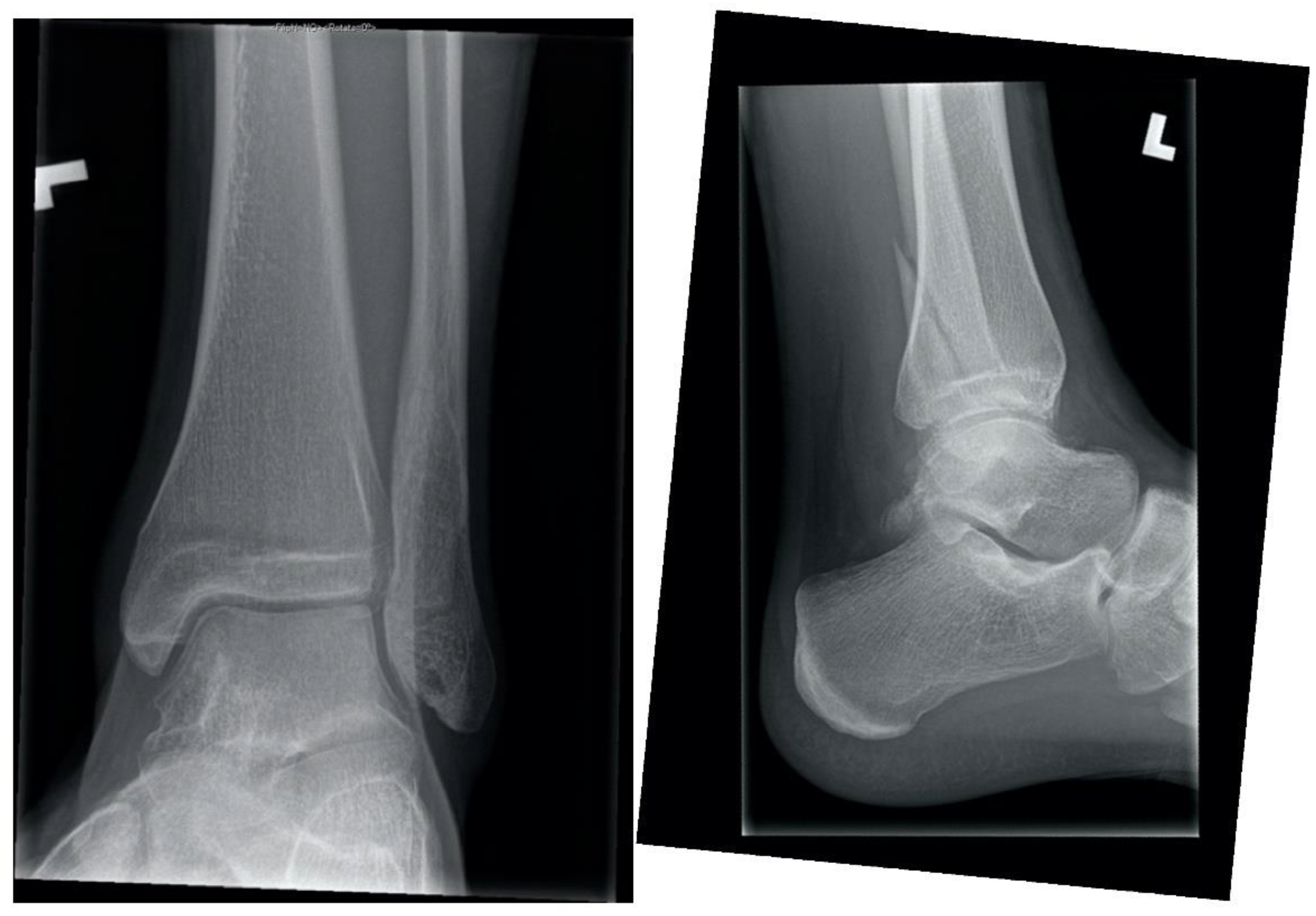
1.1. Ankle Fracture While Roughhousing, Eighteen Weeks in a 15-Year-Old Male
1.2. Monteggia Fracture-Dislocation on a Motorcycle, Fifteen Weeks in a 14-Year-Old Male
1.3. Forearm Fracture on a Trampoline, Eighteen Weeks in a 15-Year-Old Male
2. Background and Rationale for Review
3. Systematic Review
3.1. Eligibility Criteria
3.2. Search Strategy and Sources
3.3. Study Selection and Data Colletion Process
4. Results
5. Discussion
Author Contributions
Funding
Institutional Review Board Statement
Informed Consent Statement
Data Availability Statement
Conflicts of Interest
References
- Waters, P.M.; Skaggs, D.L.; Flynn, J.M. (Eds.) Rockwood & Wilkins’ Fractures in Children, 9th ed.; Lippincott Williams & Wilkins: Philadelphia, PA, USA, 2019. [Google Scholar]
- Mills, L.A.; Simpson, A.H. The risk of non-union per fracture in children. J. Child. Orthop. 2013, 7, 317–322. [Google Scholar] [CrossRef] [PubMed] [Green Version]
- Breland, A.B.; Spindle, T.; Weaver, M.; Eissenberg, T. Science and Electronic Cigarettes. J. Addict. Med. 2014, 8, 223–233. [Google Scholar] [CrossRef] [PubMed] [Green Version]
- Perikleous, E.P.; Steiropoulos, P.; Paraskakis, E.; Constantinidis, T.C.; Nena, E. E-Cigarette Use Among Adolescents: An Overview of the Literature and Future Perspectives. Front. Public Health 2018, 6, 86. [Google Scholar] [CrossRef]
- Bold, K.W.; Kong, G.; Camenga, D.R.; Simon, P.; Cavallo, D.A.; Morean, M.E.; Krishnan-Sarin, S. Trajectories of E-Cigarette and Conventional Cigarette Use Among Youth. Pediatrics 2017, 141, e20171832. [Google Scholar] [CrossRef] [PubMed] [Green Version]
- Serror, K.; Chaouat, M.; Legrand, M.M.; Depret, F.; Haddad, J.; Malca, N.; Mimoun, M.; Boccara, D. Burns caused by electronic vaping devices (e-cigarettes): A new classification proposal based on mechanisms. Burns 2018, 44, 544–548. [Google Scholar] [CrossRef]
- Government of Canada. Summary of Results for the Canadian Student Tobacco, Alcohol and Drugs Survey 2016–17; Statistics Canada: Ottawa, ON, Canada, 2018.
- Scolaro, J.A.; Schenker, M.L.; Yannascoli, S.M.; Baldwin, K.; Mehta, S.; Ahn, J. Cigarette Smoking Increases Complications Following Fracture. J. Bone Jt. Surg. 2014, 96, 674–681. [Google Scholar] [CrossRef]
- Argintar, E.; Triantafillou, K.; Delahay, J.; Wiesel, B. The Musculoskeletal Effects of Perioperative Smoking. J. Am. Acad. Orthop. Surg. 2012, 20, 359–363. [Google Scholar] [CrossRef] [Green Version]
- Pywell, M.J.; Wordsworth, M.; Kwasnicki, R.M.; Chadha, P.; Hettiaratchy, S.; Halsey, T. The Effect of Electronic Cigarettes on Hand Microcirculation. J. Hand Surg. 2018, 43, 432–438. [Google Scholar] [CrossRef]
- Romagna, G.; Allifranchini, E.; Bocchietto, E.; Todeschi, S.; Esposito, M.; Farsalinos, K. Cytotoxicity evaluation of electronic cigarette vapor extract on cultured mammalian fibroblasts (ClearStream-LIFE): Comparison with tobacco cigarette smoke extract. Inhal. Toxicol. 2013, 25, 354–361. [Google Scholar] [CrossRef]
- Kennedy, P.; Saloky, K.; Yadavalli, A.; Barlow, E.; Aynardi, M.; Garner, M.; Bible, J.; Lewis, G.; Dhawan, A. Comparison of Achilles Tendon Healing After Exposure to Combusted Tobacco, Vaping, and Control in a Rat Model. Orthop. J. Sports Med. 2019, 7, 2325967119S00328. [Google Scholar] [CrossRef] [Green Version]
- Reumann, M.K.; Schaefer, J.; Titz, B.; Aspera-Werz, R.H.; Wong, E.T.; Szostak, J.; Häussling, V.; Ehnert, S.; Leroy, P.; Tan, W.T.; et al. E-vapor aerosols do not compromise bone integrity relative to cigarette smoke after 6-month inhalation in an ApoE–/– mouse model. Arch. Toxicol. 2020, 94, 2163–2177. [Google Scholar] [CrossRef]
- Rau, A.S.; Reinikovaite, V.; Schmidt, E.; Taraseviciene-Stewart, L.; Deleyiannis, F.W.-B. Electronic Cigarettes Are as Toxic to Skin Flap Survival as Tobacco Cigarettes. Ann. Plast. Surg. 2017, 79, 86–91. [Google Scholar] [CrossRef]
- Troiano, C.; Jaleel, Z.; Spiegel, J.H. Association of Electronic Cigarette Vaping and Cigarette Smoking With Decreased Random Flap Viability in Rats. JAMA Facial Plast. Surg. 2019, 21, 5–10. [Google Scholar] [CrossRef] [Green Version]
- Nicholson, T.; Scott, A.; Ede, M.N.; Jones, S.W. Do E-cigarettes and vaping have a lower risk of osteoporosis, nonunion, and infection than tobacco smoking? Bone Jt. Res. 2021, 10, 188–191. [Google Scholar] [CrossRef] [PubMed]
- Amaro, E.J.; Shepard, N.; Moss, L.; Karamitopoulos, M.; Lajam, C. Vaping and Orthopaedic Surgery: A Review of Current Knowledge. JBJS Rev. 2019, 7, e5. [Google Scholar] [CrossRef]
- Fiani, B.; Noblett, C.; Nanney, J.M.; Gautam, N.; Pennington, E.; Doan, T.; Nikolaidis, D. The Impact of “Vaping” Electronic Cigarettes on Spine Health. Cureus J. Med. Sci. 2020, 12, e8907. [Google Scholar] [CrossRef]
- Fracol, M.; Dorfman, R.; Janes, L.; Kulkarni, S.; Bethke, K.; Hansen, N.; Kim, J. The Surgical Impact of E-Cigarettes: A Case Report and Review of the Current Literature. Arch. Plast. Surg. 2017, 44, 477–481. [Google Scholar] [CrossRef] [PubMed] [Green Version]
- Lemay, F.; Baker, P.; McRobbie, H. Electronic cigarettes: A narrative review of the implications for the pediatric anesthesiologist. Pediatr. Anesthesia 2020, 30, 653–659. [Google Scholar] [CrossRef] [PubMed]
- Cope, G. E-cigarettes and wound healing. Wounds UK 2020, 16, 653–659. [Google Scholar]
- Taub, P.J.; Matarasso, A. E-Cigarettes and Potential Implications for Plastic Surgery. Plast. Reconstr. Surg. 2016, 138, 1059e–1066e. [Google Scholar] [CrossRef]
- Farsalinos, K.; Voudris, V. It is preferable for surgical patients to use e-cigarettes rather than smoke cigarettes. BMJ 2014, 348, g1961. [Google Scholar] [CrossRef]
- Agochukwu, N.; Liau, J.Y. Debunking the myth of e-cigarettes: A case of free flap compromise due to e-cigarette use within the first 24 hours. J. Plast. Reconstr. Ae. Surg. 2018, 71, 451–453. [Google Scholar] [CrossRef]
- Davies, C.S.; Ismail, A. Nicotine has deleterious effects on wound healing through increased vasoconstriction. BMJ 2016, 353, i2709. [Google Scholar] [CrossRef]
- Debusk, W.T.; Debusk, W.; Lassig, A.A.D. Implications of electronic cigarettes on postoperative wound healing. Otolaryngol. Head Neck Surg. 2020, 163, P46–P47. [Google Scholar] [CrossRef]
- Desai, S.C. Is e-Cigarette Vaping a New Clinical Challenge to Wound Healing? JAMA Facial Plast. Surg. 2019, 21, 10–11. [Google Scholar] [CrossRef] [PubMed]
- Holmes, W.J.M.; Southern, S.J. Detrimental effects of e-cigarettes on surgical outcomes. BMJ 2014, 348, g1156. [Google Scholar] [CrossRef] [PubMed]
- Jeevaratnam, J.; Vijayan, R.; Blackburn, A. Hidden risks of electronic cigarettes to patients undergoing plastic surgery. Eur. J. Plast. Surg. 2014, 37, 457–458. [Google Scholar] [CrossRef]
- Patients Should Stop e-Cigarette Use Before Plastic Surgery. J. Calif. Dent. Assoc. 2017, 45, 69. [PubMed]




| Search: ((e-cigarette) OR (vaping)) AND ((orthopedics) OR (surgery)) |
| (“electronic nicotine delivery systems”[MeSH Terms] OR (“electronic”[All Fields] AND “nicotine”[All Fields] AND “delivery”[All Fields] AND “systems”[All Fields]) OR “electronic nicotine delivery systems”[All Fields] OR “e cigarette”[All Fields] OR (“vaped”[All Fields] OR “vaping”[MeSH Terms] OR “vaping”[All Fields] OR “vapes”[All Fields])) AND (“orthopaedic”[All Fields] OR “orthopedics”[MeSH Terms] OR “orthopedics”[All Fields] OR “orthopedic”[All Fields] OR “orthopaedical”[All Fields] OR “orthopedical”[All Fields] OR “orthopaedics”[All Fields] OR (“surgery”[MeSH Subheading] OR “surgery”[All Fields] OR “surgical procedures, operative”[MeSH Terms] OR (“surgical”[All Fields] AND “procedures”[All Fields] AND “operative”[All Fields]) OR “operative surgical procedures”[All Fields] OR “general surgery”[MeSH Terms] OR (“general”[All Fields] AND “surgery”[All Fields]) OR “general surgery”[All Fields] OR “surgery s”[All Fields] OR “surgerys”[All Fields] OR “surgeries”[All Fields])) |
| Level 1: Meta-analyses and randomized controlled trials | ||
| Nil | ||
| Level 2: Unrandomized trials, cohort studies, scientific experiments | ||
| Basic science | Pywell et al. [10] | Nonclinical human experiment |
| Romagna et al. [11] | Cell line experiment | |
| MSK health | Kennedy et al. [12] | Animal experiment |
| Reumann et al. [13] | Animal experiment | |
| Dermal healing | Rau et al. [14] | Animal experiment |
| Troiano et al. [15] | Animal experiment | |
| Level 3: Expert opinion, briefs, reports | ||
| Non-systematic review, orthopedic | Publications [16,17,18] | |
| Non-systematic review, surgery, and wounds | Publications [19,20,21,22] | |
| Briefs and opinion | Publications [23,24,25,26,27,28,29,30] | |
Publisher’s Note: MDPI stays neutral with regard to jurisdictional claims in published maps and institutional affiliations. |
© 2022 by the authors. Licensee MDPI, Basel, Switzerland. This article is an open access article distributed under the terms and conditions of the Creative Commons Attribution (CC BY) license (https://creativecommons.org/licenses/by/4.0/).
Share and Cite
Armstrong, M.L.; Smith, N.; Tracey, R.; Jackman, H. The Orthopedic Effects of Electronic Cigarettes: A Systematic Review and Pediatric Case Series. Children 2022, 9, 62. https://doi.org/10.3390/children9010062
Armstrong ML, Smith N, Tracey R, Jackman H. The Orthopedic Effects of Electronic Cigarettes: A Systematic Review and Pediatric Case Series. Children. 2022; 9(1):62. https://doi.org/10.3390/children9010062
Chicago/Turabian StyleArmstrong, Maxwell Luke, Nicholas Smith, Rhiannon Tracey, and Heather Jackman. 2022. "The Orthopedic Effects of Electronic Cigarettes: A Systematic Review and Pediatric Case Series" Children 9, no. 1: 62. https://doi.org/10.3390/children9010062
APA StyleArmstrong, M. L., Smith, N., Tracey, R., & Jackman, H. (2022). The Orthopedic Effects of Electronic Cigarettes: A Systematic Review and Pediatric Case Series. Children, 9(1), 62. https://doi.org/10.3390/children9010062

