Frasier Syndrome: A Rare Cause of Refractory Steroid-Resistant Nephrotic Syndrome
Abstract
:1. Introduction
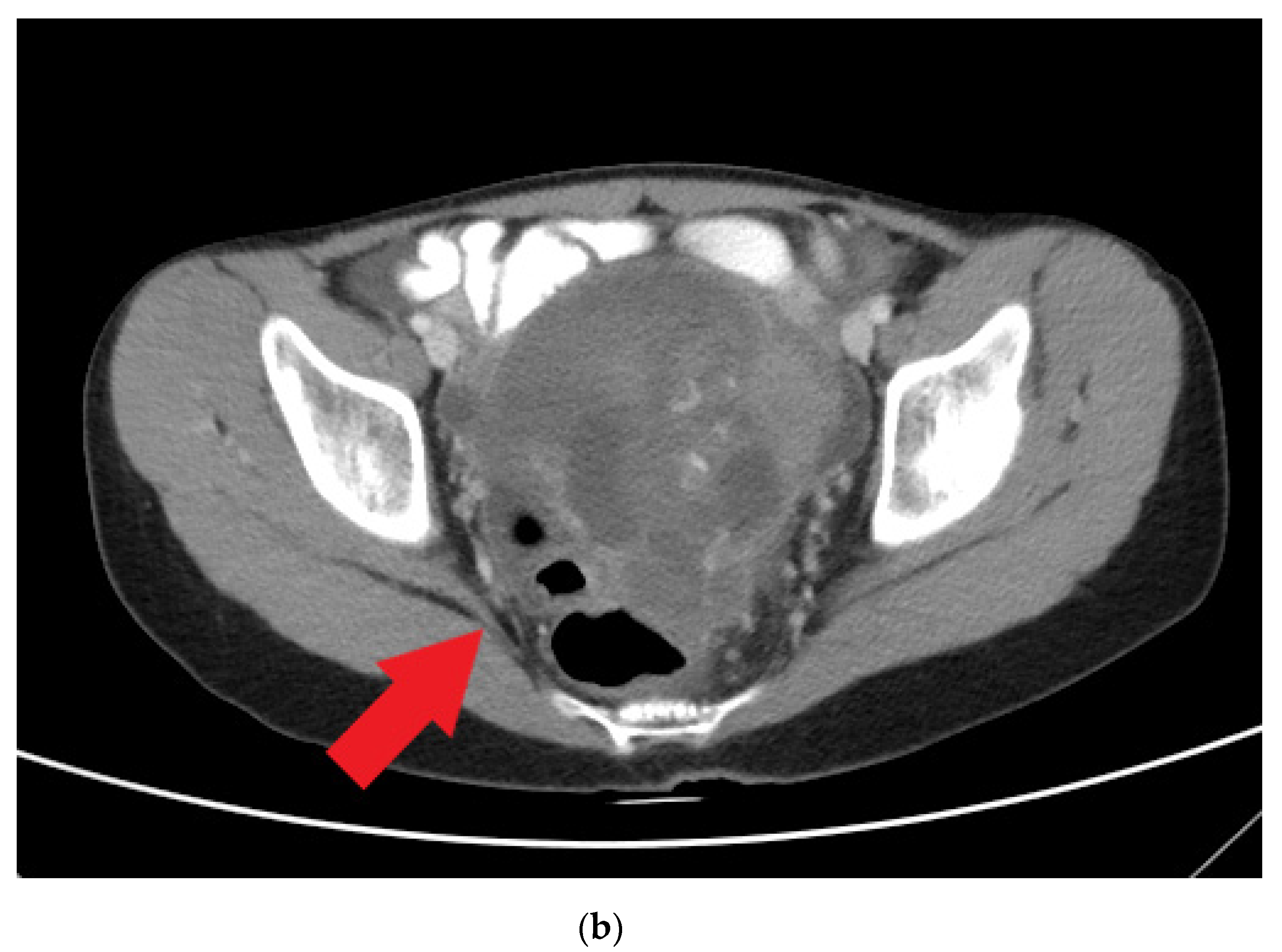
2. Case Report
3. Discussion
Author Contributions
Funding
Institutional Review Board Statement
Informed Consent Statement
Data Availability Statement
Acknowledgments
Conflicts of Interest
References
- Barbaux, S.; Niaudet, P.; Gubler, M.C.; Grünfeld, J.P.; Jaubert, F.; Kuttenn, F.; Fékété, C.N.; Souleyreau-Therville, N.; Thibaud, E.; Fellous, M.; et al. Donor splice-site mutations in WT1 are responsible for Frasier syndrome. Nat. Genet. 1997, 17, 467–470. [Google Scholar] [CrossRef]
- Wagner, K.D.; Wagner, N.; Schedl, A. The complex life of WT1. J. Cell Sci. 2003, 116, 1653–1658. [Google Scholar] [CrossRef] [Green Version]
- Gessler, M.; König, A.; Moore, J.; Qualman, S.; Arden, K.; Cavenee, W.; Bruns, G. Homozygous inactivation of WT1 in a Wilms’ tumor associated with the WAGR syndrome. Genes Chromosomes Cancer 1993, 7, 131–136. [Google Scholar] [CrossRef]
- Patek, C.E.; Little, M.H.; Fleming, S.; Miles, C.; Charlieu, J.P.; Clarke, A.R.; Miyagawa, K.; Christie, S.; Doig, J.; Harrison, D.J.; et al. A zinc finger truncation of murine WT1 results in the characteristic urogenital abnormalities of Denys-Drash syndrome. Proc. Natl. Acad. Sci. USA 1999, 96, 2931–2936. [Google Scholar] [CrossRef] [PubMed] [Green Version]
- Demmer, L.; Primack, W.; Loik, V.; Brown, R.; Therville, N.; McElreavey, K. Frasier syndrome: A cause of focal segmental glomerulosclerosis in a 46,XX female. JASN 1999, 10, 2215–2218. [Google Scholar] [CrossRef] [PubMed]
- Orphanet: Frasier Syndrome. Available online: https://www.orpha.net/consor/cgi-bin/OC_Exp.php?lng=EN&Expert=347 (accessed on 19 June 2021).
- Faul, C.; Donnelly, M.; Merscher-Gomez, S.; Chang, Y.H.; Franz, S.; Delfgaauw, J.; Chang, J.M.; Choi, H.Y.; Campbell, K.N.; Kim, K.; et al. The actin cytoskeleton of kidney podocytes is a direct target of the antiproteinuric effect of cyclosporine A. Nat. Med. 2008, 14, 931–938. [Google Scholar] [CrossRef] [PubMed] [Green Version]
- Sinha, A.; Sharma, S.; Gulati, A.; Sharma, A.; Agarwala, S.; Hari, P.; Bagga, A. Frasier syndrome: Early gonadoblastoma and cyclosporine responsiveness. Pediatr. Nephrol. 2010, 25, 2171–2174. [Google Scholar] [CrossRef]
- Chiba, Y.; Inoue, C.N. Once-Daily Low-Dose Cyclosporine A Treatment with Angiotensin Blockade for Long-Term Remission of Nephropathy in Frasier Syndrome. Tohoku J. Exp. Med. 2019, 247, 35–40. [Google Scholar] [CrossRef] [Green Version]
- Seeman, T.; Pohl, M.; Misselwitz, J.; John, U. Angiotensin receptor blocker reduces proteinuria independently of blood pressure in children already treated with Angiotensin-converting enzyme inhibitors. Kidney Blood Press. Res. 2009, 32, 440–444. [Google Scholar] [CrossRef]
- Ezaki, J.; Hashimoto, K.; Asano, T.; Kanda, S.; Akioka, Y.; Hattori, M.; Yamamoto, T.; Shibata, N. Gonadal tumor in Frasier syndrome: A review and classification. Cancer Prev. Res. 2015, 8, 271–276. [Google Scholar] [CrossRef] [Green Version]
- Bouman, M.B.; van der Sluis, W.B.; Nurmohamed, S.A.; van Tellingen, A.; Meijerink, W.J. Total Laparoscopic Colocolpopoiesis in a Kidney Transplant Recipient with Frasier Syndrome. Female Pelvic Med. Reconstr. Surg. 2016, 22, e11–e13. [Google Scholar] [CrossRef] [PubMed]
- Mestrallet, G.; Bertholet-Thomas, A.; Ranchin, B.; Bouvier, R.; Frappaz, D.; Cochat, P. Recurrence of a dysgerminoma in Frasier syndrome. Pediatr. Transplant. 2011, 15, e53–e55. [Google Scholar] [CrossRef] [PubMed]
- Buzi, F.; Mella, P.; Pilotta, A.; Felappi, B.; Camerino, G.; Notarangelo, L.D. Frasier syndrome with childhood-onset renal failure. Horm. Res. 2001, 55, 77–80. [Google Scholar] [CrossRef] [PubMed]
- Bache, M.; Dheu, C.; Doray, B.; Fothergill, H.; Soskin, S.; Paris, F.; Sultan, C.; Fischbach, M. Frasier syndrome, a potential cause of end-stage renal failure in childhood. Pediatr. Nephrol. 2010, 25, 549–552. [Google Scholar] [CrossRef] [PubMed]
- King, K.L.; Husain, S.A.; Jin, Z.; Brennan, C.; Mohan, S. Trends in Disparities in Preemptive Kidney Transplantation in the United States. Clin. J. Am. Soc. Nephrol. 2019, 14, 1500–1511. [Google Scholar] [CrossRef] [PubMed]
- Thomas, C.P.; Freese, M.E.; Ounda, A.; Jetton, J.G.; Holida, M.; Noureddine, L.; Smith, R.J. Initial experience from a renal genetics clinic demonstrates a distinct role in patient management. Genet. Med. 2020, 22, 1025–1035. [Google Scholar] [CrossRef] [PubMed] [Green Version]
- Spasojević-Dimitrijeva, B.; Peco-Antić, A.; Paripović, D.; Kruscić, D.; Krstić, Z.; Cupić, M.; Cvetković, M.; Milosevski-Lomić, G.; Kostić, M. Post-transplant lymphoproliferative disorder—Case reports of three children with kidney transplant. Srp. Arh. Celok. Lek. 2014, 142, 83–88. [Google Scholar] [CrossRef]
- Downie, M.L.; Gallibois, C.; Parekh, R.S.; Noone, D.G. Nephrotic syndrome in infants and children: Pathophysiology and management. Paediatr. Int. Child Health 2017, 37, 248–258. [Google Scholar] [CrossRef]
- Trautmann, A.; Vivarelli, M.; Samuel, S.; Gipson, D.; Sinha, A.; Schaefer, F.; Hui, N.K.; Boyer, O.; Saleem, M.A.; Feltran, L.; et al. IPNA clinical practice recommendations for the diagnosis and management of children with steroid-resistant nephrotic syndrome. Pediatr. Nephrol. 2020, 35, 1529–1561. [Google Scholar] [CrossRef]
- Warejko, J.K.; Tan, W.; Daga, A.; Schapiro, D.; Lawson, J.A.; Shril, S.; Lovric, S.; Ashraf, S.; Rao, J.; Hermle, T.; et al. Whole Exome Sequencing of Patients with Steroid-Resistant Nephrotic Syndrome. Clin. J. Am. Soc. Nephrol. 2018, 13, 53–62. [Google Scholar] [CrossRef]
- Dogra, S.; Kaskel, F. Steroid-resistant nephrotic syndrome: A persistent challenge for pediatric nephrology. Pediatr. Nephrol. 2017, 32, 965–974. [Google Scholar] [CrossRef] [PubMed]
- Hinkes, B.G.; Mucha, B.; Vlangos, C.N.; Gbadegesin, R.; Liu, J.; Hasselbacher, K.; Hangan, D.; Ozaltin, F.; Zenker, M.; Hildebrandt, F. Nephrotic syndrome in the first year of life: Two thirds of cases are caused by mutations in 4 genes (NPHS1, NPHS2, WT1, and LAMB2). Pediatrics 2007, 119, e907–e919. [Google Scholar] [CrossRef] [PubMed]
- Lipska, B.S.; Iatropoulos, P.; Maranta, R.; Caridi, G.; Ozaltin, F.; Anarat, A.; Balat, A.; Gellermann, J.; Trautmann, A.; Erdogan, O.; et al. Genetic screening in adolescents with steroid-resistant nephrotic syndrome. Kidney Int. 2013, 84, 206–213. [Google Scholar] [CrossRef] [Green Version]
- Aucella, F.; Bisceglia, L.; De Bonis, P.; Gigante, M.; Caridi, G.; Barbano, G.; Mattioli, G.; Perfumo, F.; Gesualdo, L.; Ghiggeri, G.M. WT1 mutations in nephrotic syndrome revisited. High prevalence in young girls, associations and renal phenotypes. Pediatr. Nephrol. 2006, 21, 1393–1398. [Google Scholar] [CrossRef] [PubMed]



|
Time (The Patient’s Age) | Symptoms | Laboratory Findings | Image Finding | Pathological Findings | Management |
|---|---|---|---|---|---|
| 6 years old | Proteinuria during an elementary school health screening | UPCR: 1.34 g/g 24-h urine protein: 0.66 g | Renal sonography: increased echogenicity bilaterally | ||
| 2 months later | UPCR: 2.14 g/g | Renal biopsy: FSGS 2/7 glomeruli involved. IF *: negative EM **: 70% podocyte effacement. | MTP pulse therapy | ||
| 8 years old | Persistent proteinuria | Renal biopsy: FSGS 4/67 glomeruli involved. IF *:negative EM **:70% podocyte effacement. | Tried MTP pulse therapy, oral prednisolone, mycophenolate mofetil, tacrolimus, and Abatacept; her proteinuria persisted | ||
| 12 years old | UPCR: 4.01 g/g | regular medical treatment was halted | |||
| 14 years old | Prolonged menstrual period of up to 1 month | CA-125, 77.96 unit/mL; CA-199, 57.01 unit/mL; alpha fetal protein, 94.88 ng/mL Serum albumin: 2.2 g/dL, cholesterol: 183 mg/dL, triglyceride: 133 mg/dL | CT scan: a lobulated mass lesion, maximum diameter: 10.1 cm | Malignant mixed germ cell tumor: 75% dysgerminoma, 10% immature teratoma, 10% embryonal carcinoma, and 5% yolk sac tumor | cytoreductive left salpingo-oophorectomy |
| Following 3 months | Chemotherapy Regular ezetimibe/atorvastatin and ACE-I | ||||
| 1 month later | Genetic test: point mutation in intron 9 of the WT1 gene, c.1447 + 4 C > T; serum albumin: 3.7 g/dL, cholesterol: 202 mg/dL, triglyceride: 93 mg/dL | Gonadoblastoma (right side) | Right salpingo-oophorectomy | ||
| To this date | UPCR: 11.7 g/g; Serum albumin between 2.7–3.7 g/dL | Regular ezetimibe/atorvastatin and ACE-I |
Publisher’s Note: MDPI stays neutral with regard to jurisdictional claims in published maps and institutional affiliations. |
© 2021 by the authors. Licensee MDPI, Basel, Switzerland. This article is an open access article distributed under the terms and conditions of the Creative Commons Attribution (CC BY) license (https://creativecommons.org/licenses/by/4.0/).
Share and Cite
Huang, Y.-C.; Tsai, M.-C.; Tsai, C.-R.; Fu, L.-S. Frasier Syndrome: A Rare Cause of Refractory Steroid-Resistant Nephrotic Syndrome. Children 2021, 8, 617. https://doi.org/10.3390/children8080617
Huang Y-C, Tsai M-C, Tsai C-R, Fu L-S. Frasier Syndrome: A Rare Cause of Refractory Steroid-Resistant Nephrotic Syndrome. Children. 2021; 8(8):617. https://doi.org/10.3390/children8080617
Chicago/Turabian StyleHuang, Yung-Chieh, Ming-Chin Tsai, Chi-Ren Tsai, and Lin-Shien Fu. 2021. "Frasier Syndrome: A Rare Cause of Refractory Steroid-Resistant Nephrotic Syndrome" Children 8, no. 8: 617. https://doi.org/10.3390/children8080617
APA StyleHuang, Y.-C., Tsai, M.-C., Tsai, C.-R., & Fu, L.-S. (2021). Frasier Syndrome: A Rare Cause of Refractory Steroid-Resistant Nephrotic Syndrome. Children, 8(8), 617. https://doi.org/10.3390/children8080617

