Prolonged Indwelling Urethral Catheterization as Minimally Invasive Approach for Definitive Treatment of Posterior Urethral Valves in Unstable Premature Babies
Abstract
1. Introduction
- What is already known on this topic
- Posterior urethral valves (PUV) are the commonest cause of bladder out-let obstruction in male neonates, and a common cause of chronic kidney disease;
- in an ill, premature neonate with PUV, critical medical issues, urethral size, and anesthetic risks may complicate primary surgical treatment;
- urinary catheter represents the least invasive device to overcome initial PUV obstruction and allow adequate bladder decompression.
- What this study adds to the literature
- Prolonged indwelling urethral catheterization may lead to definitive treat-ment in PUV patients facing long neonatal intensive care unit stays;
- PUV resolution may result from a combination of direct mechanical trauma caused by placement or inadvertent removal of the urinary catheter, and erosion caused by lateral pressure exerted by prolonged indwelling urethral catheter drainage;
- non-operative treatment may be considered as a viable alternative thera-peutic option for PUV in unstable premature babies.
2. Case Presentation
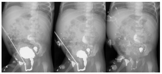
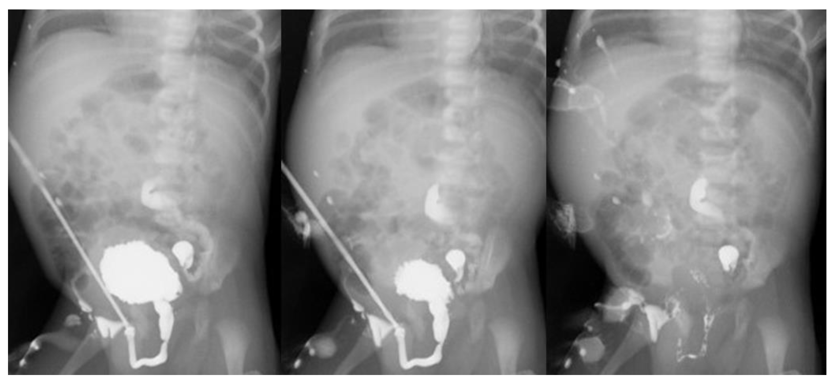
2.1. Case 1
2.2. Case 2
2.3. Case 3
3. Discussion
4. Conclusions
Author Contributions
Funding
Institutional Review Board Statement
Informed Consent Statement
Data Availability Statement
Conflicts of Interest
References
- Heikkilä, J.; Holmberg, C.; Kyllönen, L.; Rintala, R.; Taskinen, S. Long-term risk of end stage renal disease in patients with posterior urethral valves. J. Urol. 2011, 186, 2392–2396. [Google Scholar] [CrossRef] [PubMed]
- Dinneen, M.D.; Dhillon, H.K.; Ward, H.C.; Duffy, P.G.; Ransley, P.G. Antenatal diagnosis of posterior urethral valves. Br. J. Urol. 1993, 72, 364–369. [Google Scholar] [CrossRef]
- Morris, R.K.; Malin, G.L.; Quinlan-Jones, E.; Middleton, L.J.; Hemming, K.; Burke, D.; Daniels, J.P.; Khan, K.S.; Deeks, J.; Kilby, M.D. Percutaneous vesicoamniotic shunting in Lower Urinary Tract Obstruction (PLUTO) Collaborative Group. Percutaneous vesicoamniotic shunting versus conservative management for fetal lower urinary tract obstruction (PLUTO): A randomised trial. Lancet 2013, 382, 1496–1506. [Google Scholar] [CrossRef]
- Morris, R.K.; Malin, G.L.; Quinlan-Jones, E.; Middleton, L.J.; Diwakar, L.; Hemming, K.; Burke, D.; Daniels, J.; Denny, E.; Barton, P.; et al. The Percutaneous shunting in Lower Urinary Tract Obstruction (PLUTO) study and randomised controlled trial: Evaluation of the effectiveness, cost-effectiveness and acceptability of percutaneous vesicoamniotic shunting for lower urinary tract obstruction. Health Technol. Assess. 2013, 17, 1–232. [Google Scholar] [CrossRef] [PubMed]
- Soliman, S.M. Primary ablation of posterior urethral valves in low birth weight neonates by a visually guided fogarty embolectomy catheter. J. Urol. 2009, 181, 2284–2289; discussion 2289–2290. [Google Scholar] [CrossRef] [PubMed]
- Sarhan, O.; Zaccaria, I.; Macher, M.A.; Muller, F.; Vuillard, E.; Delezoide, A.L.; Sebag, G.; Oury, J.F.; Aigrain, Y.; El-Ghoneimi, A. Long-term outcome of prenatally detected posterior urethral valves: Single center study of 65 cases managed by primary valve ablation. J. Urol. 2008, 179, 307–312; discussion 312–313. [Google Scholar] [CrossRef] [PubMed]
- Chertin, B.; Cozzi, D.; Puri, P. Long-term results of primary avulsion of posterior urethral valves using a Fogarty balloon catheter. J. Urol. 2002, 168 Pt 2, 1841–1843; discussion 1843. [Google Scholar] [CrossRef]
- Joseph, D.B. Posterior urethral valves and the 11th Commandment. J. Urol. 2000, 164, 149–150. [Google Scholar] [CrossRef]
- Cozzi, D.A.; Morgante, D.; Frediani, S.; Iaconelli, R.; Ceccanti, S.; Mele, E.; Cozzi, F. Posterior urethral valves: Relationship between vesicoureteral reflux and renal function. Urology 2011, 77, 1209–1212. [Google Scholar] [CrossRef] [PubMed]
- Brandesky, G. Conservatively treated urethral valves. J. Pediatr. Surg. 1973, 8, 945–947. [Google Scholar] [CrossRef]
- Matsui, F.; Shimada, K.; Matsumoto, F.; Obara, T. Prenatal resolution of megacystis possibly caused by spontaneous rupture of posterior urethral valves. J. Pediatr. Surg. 2008, 43, 2285–2287. [Google Scholar] [CrossRef] [PubMed]
- Lebowitz, R.L. Voiding cystourethrography in boys: The presence of the catheter does not obscure the diagnosis of posterior urethral valves but prevents estimation of the adequacy of transurethral fulguration. AJR Am. J. Roentgenol. 1996, 166, 724–725. [Google Scholar] [CrossRef] [PubMed][Green Version]
- Yadav, R.; Goel, A.; Smeulders, N.; Makin, E.; Desai, D.; Duffy, P.G.; Healy, C.; Cuckow, P.M.; Cherian, A.; Hiorns, M.; et al. The predictive value of a repeat micturating cystourethrogram for remnant leaflets after primary endoscopic ablation of posterior urethral valves. J. Pediatr Urol. 2011, 7, 203–208, author reply 116. [Google Scholar] [CrossRef]
- Haid, B.; Thüminger, J.; Lusuardi, L.; de Jong, T.P.V.M.; Oswald, J. Is there a need for endoscopic evaluation in symptomatic boys with an unsuspicious urethra on VCUG? A consideration of secondary radiologic signs of posterior urethral valves. World J. Urol. 2021, 39, 271–279. [Google Scholar] [CrossRef] [PubMed]
- de Jong, T.P.; Radmayr, C.; Dik, P.; Chrzan, R.; Klijn, A.J.; de Kort, L. Pediatric Urology Club Meeting, Stans, Austria, January 2007. Posterior urethral valves: Search for a diagnostic reference standard. Urology 2008, 72, 1022–1025. [Google Scholar] [CrossRef] [PubMed]
- Bernardes, L.S.; Aksnes, G.; Saada, J.; Masse, V.; Elie, C.; Dumez, Y.; Lortat-Jacob, S.L.; Benachi, A. Keyhole sign: How specific is it for the diagnosis of posterior urethral valves? Ultrasound Obstet. Gynecol. 2009, 34, 419–423. [Google Scholar] [CrossRef] [PubMed]
- Jequier, S.; Rousseau, O. Sonographic measurements of the normal bladder wall in children. AJR Am. J. Roentgenol. 1987, 149, 563–566. [Google Scholar] [CrossRef] [PubMed]
- Müller, L.; Bergström, T.; Hellström, M.; Svensson, E.; Jacobsson, B. Standardized ultrasound method for assessing detrusor muscle thickness in children. J. Urol. 2000, 164, 134–138. [Google Scholar] [CrossRef]
- Chang, S.J.; Yang, S.S. Variability, related factors and normal reference value of post-void residual urine in healthy kindergarteners. J. Urol. 2009, 182 (Suppl. 4), 1933–1938. [Google Scholar] [CrossRef] [PubMed]
- Paliwalla, M.; Park, K. A practical guide to urinary tract ultrasound in a child: Pearls and pitfalls. Ultrasound 2014, 22, 213–222. [Google Scholar] [CrossRef] [PubMed]




Publisher’s Note: MDPI stays neutral with regard to jurisdictional claims in published maps and institutional affiliations. |
© 2021 by the authors. Licensee MDPI, Basel, Switzerland. This article is an open access article distributed under the terms and conditions of the Creative Commons Attribution (CC BY) license (https://creativecommons.org/licenses/by/4.0/).
Share and Cite
Ceccanti, S.; Pepino, D.; Giancotti, A.; Ricci, E.; Piacenti, S.; Cozzi, D.A. Prolonged Indwelling Urethral Catheterization as Minimally Invasive Approach for Definitive Treatment of Posterior Urethral Valves in Unstable Premature Babies. Children 2021, 8, 408. https://doi.org/10.3390/children8050408
Ceccanti S, Pepino D, Giancotti A, Ricci E, Piacenti S, Cozzi DA. Prolonged Indwelling Urethral Catheterization as Minimally Invasive Approach for Definitive Treatment of Posterior Urethral Valves in Unstable Premature Babies. Children. 2021; 8(5):408. https://doi.org/10.3390/children8050408
Chicago/Turabian StyleCeccanti, Silvia, Daniela Pepino, Antonella Giancotti, Ester Ricci, Silvia Piacenti, and Denis A. Cozzi. 2021. "Prolonged Indwelling Urethral Catheterization as Minimally Invasive Approach for Definitive Treatment of Posterior Urethral Valves in Unstable Premature Babies" Children 8, no. 5: 408. https://doi.org/10.3390/children8050408
APA StyleCeccanti, S., Pepino, D., Giancotti, A., Ricci, E., Piacenti, S., & Cozzi, D. A. (2021). Prolonged Indwelling Urethral Catheterization as Minimally Invasive Approach for Definitive Treatment of Posterior Urethral Valves in Unstable Premature Babies. Children, 8(5), 408. https://doi.org/10.3390/children8050408

