Novel Use of a Bronchial Blocker in a Challenging Case of Congenital Diaphragmatic Hernia—A Case Report
Abstract
:1. Introduction
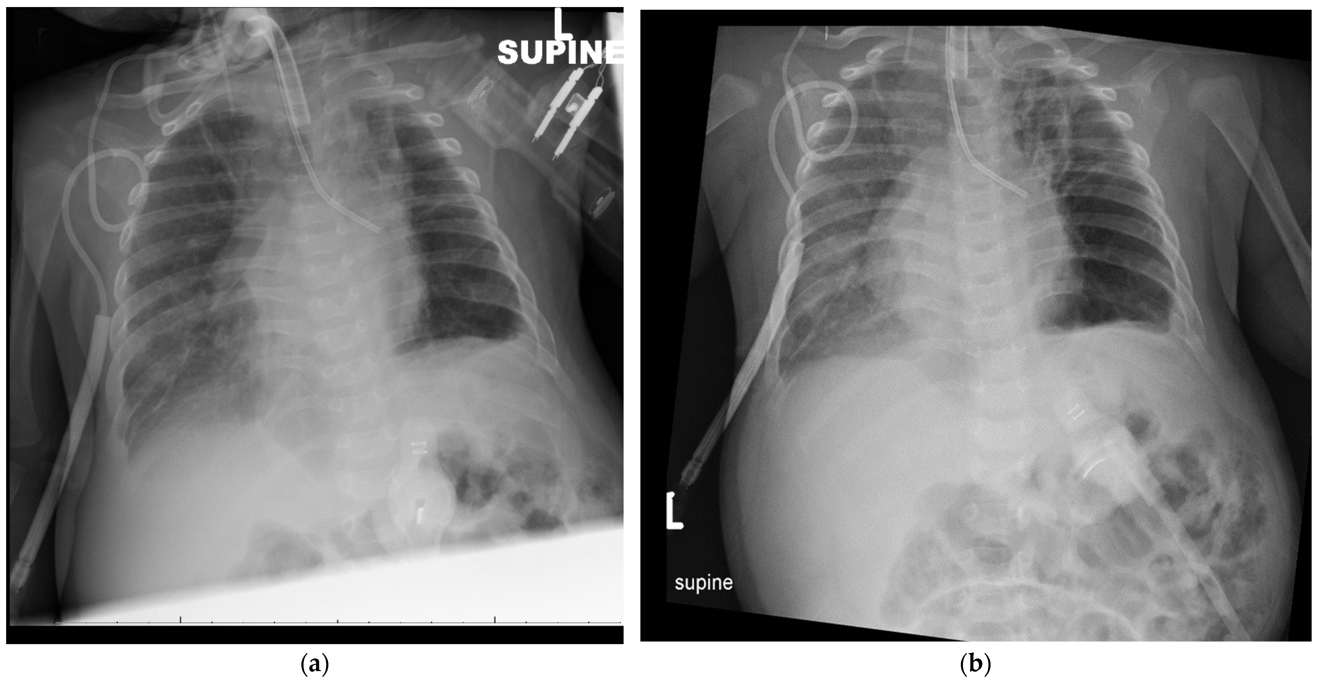
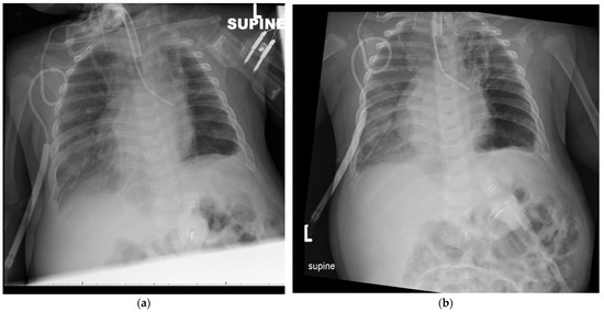
2. Case Presentation
3. Discussion
4. Conclusions
Author Contributions
Funding
Institutional Review Board Statement
Informed Consent Statement
Data Availability Statement
Conflicts of Interest
References
- Dumpa, V.; Chandrasekharan, P. Congenital Diaphragmatic Hernia. In StatPearls; StatPearls Publishing LLC.: Treasure Island, FL, USA, 2021. [Google Scholar]
- Chandrasekharan, P.K.; Rawat, M.; Madappa, R.; Rothstein, D.H.; Lakshminrusimha, S. Congenital Diaphragmatic hernia—A review. Matern. Health Neonatol. Perinatol. 2017, 3, 6. [Google Scholar] [CrossRef] [Green Version]
- Dao, D.T.; Kamran, A.; Wilson, J.M.; Sheils, C.A.; Kharasch, V.S.; Mullen, M.P.; Rice-Townsend, S.E.; Zalieckas, J.M.; Morash, D.; Studley, M.; et al. Longitudinal Analysis of Ventilation Perfusion Mismatch in Congenital Diaphragmatic Hernia Survivors. J. Pediatr. 2020, 219, 160–166.e2. [Google Scholar] [CrossRef] [PubMed]
- Dingemann, C.; Zoeller, C.; Bataineh, Z.; Osthaus, A.; Suempelmann, R.; Ure, B. Single- and double-lung ventilation in infants and children undergoing thoracoscopic lung resection. Eur. J. Pediatr. Surg. 2013, 23, 48–52. [Google Scholar]
- Deprest, J.A.; Benachi, A.; Gratacos, E.; Nicolaides, K.H.; Berg, C.; Persico, N.; Belfort, M.; Gardener, G.J.; Ville, Y.; Johnson, A.; et al. Randomized Trial of Fetal Surgery for Moderate Left Diaphragmatic Hernia. N. Engl. J. Med. 2021, 385, 119–129. [Google Scholar] [CrossRef]
- Deprest, J.A.; Nicolaides, K.H.; Benachi, A.; Gratacos, E.; Ryan, G.; Persico, N.; Sago, H.; Johnson, A.; Wielgoś, M.; Berg, C.; et al. Randomized Trial of Fetal Surgery for Severe Left Diaphragmatic Hernia. N. Engl. J. Med. 2021, 385, 107–118. [Google Scholar] [CrossRef]
- Barnewolt, C.E.; Kunisaki, S.M.; Fauza, D.O.; Nemes, L.P.; Estroff, J.A.; Jennings, R.W. Percent predicted lung volumes as measured on fetal magnetic resonance imaging: A useful biometric parameter for risk stratification in congenital diaphragmatic hernia. J. Pediatr. Surg. 2007, 42, 193–197. [Google Scholar] [CrossRef]
- Spoel, M.; van der Cammen-van Zijp, M.H.M.; Hop, W.C.J.; Tibboel, D.; de Jongste, J.C.; Jsselstijn, H.I. Lung function in young adults with congenital diaphragmatic hernia; a longitudinal evaluation. Pediatr. Pulmono. 2013, 48, 130–137. [Google Scholar] [CrossRef]
- Arena, F.; Baldari, S.; Centorrino, A.; Calabrò, M.P.; Pajno, G.; Arena, S.; Andò, F.; Zuccarello, B.; Romeo, G. Mid- and long-term effects on pulmonary perfusion, anatomy and diaphragmatic motility in survivors of congenital diaphragmatic hernia. Pediatr. Surg. Int. 2005, 21, 954–959. [Google Scholar] [CrossRef] [PubMed]
- Kassner, N.; Weis, M.; Zahn, K.; Schaible, T.; Schoenberg, S.O.; Schad, L.R.; Zöllner, F.G. Histogram based analysis of lung perfusion of children after congenital diaphragmatic hernia repair. Magn. Reson. Imaging 2018, 48, 42–49. [Google Scholar] [CrossRef]
- Moreno-Alvarez, O.; Cruz-Martinez, R.; Hernandez-Andrade, E.; Done, E.; Gómez, O.; Deprest, J.; Gratacos, E. Lung tissue perfusion in congenital diaphragmatic hernia and association with the lung-to-head ratio and intrapulmonary artery pulsed Doppler. Ultrasound Obstet. Gynecol. 2010, 35, 578–582. [Google Scholar] [CrossRef] [PubMed]
- Pal, K.; Gupta, D.K. Serial perfusion study depicts pulmonary vascular growth in the survivors of non-extracorporeal membrane oxygenation-treated congenital diaphragmatic hernia. Neonatology 2010, 98, 254–259. [Google Scholar] [CrossRef]
- Tingay, D.G.; Waldmann, A.D.; Frerichs, I.; Ranganathan, S.; Adler, A. Electrical impedance tomography can identify ventilation and perfusion defects: A neonatal case. Am. J. Respir. Crit. Care Med. 2019, 199, 384–386. [Google Scholar] [CrossRef]
- Miedema, M.; Waldmann, A.; McCall, K.E.; Böhm, S.H.; van Kaam, A.H.; Tingay, D.G. Individualized multiplanar electrical impedance tomography in infants to optimize lung monitoring. Am. J. Respir. Crit. Care Med. 2017, 195, 536–538. [Google Scholar] [CrossRef] [Green Version]
- McCann, M.E.; Soriano, S.G. Progress in anesthesia and management of the newborn surgical patient. Semin. Pediatr. Surg. 2014, 23, 244–248. [Google Scholar] [CrossRef]
- Stolar, C.; Berdon, W.; Reyes, C.; Dillon, P.; Collins, M.; Wung, J.-T.; Tracy, T., Jr.; Silen, M.; Altman, R.P. Right pneumonectomy syndrome: A lethal complication of lung resection in a newborn with cystic adenomatoid malformation. J. Pediatr. Surg. 1988, 23, 1180–1183. [Google Scholar] [CrossRef]
- Polites, S.F.; Habermann, E.B.; Zarroug, A.E.; Thomsen, K.M.; Potter, D.D. Thoracoscopic Vs open resection of congenital cystic lung disease- utilization and outcomes in 1120 children in the United States. J. Pediatr. Surg. 2016, 51, 1101–1105. [Google Scholar] [CrossRef]
- Bataineh, Z.A.; Zoeller, C.; Dingemann, C.; Osthaus, A.; Suempelmann, R.; Ure, B. Our experience with single lung ventilation in thoracoscopic paediatric surgery. Eur. J. Pediatr. Surg. 2012, 22, 17–20. [Google Scholar] [CrossRef]
- Kamra, S.K.; Jaiswal, A.A.; Garg, A.K.; Mohanty, M.K. Rigid Bronchoscopic Placement of Fogarty Catheter as a Bronchial Blocker for One Lung Isolation and Ventilation in Infants and Children Undergoing Thoracic Surgery: A Single Institution Experience of 27 Cases. Indian J. Otolaryngol. Head Neck Surg. 2017, 69, 159–171. [Google Scholar] [CrossRef]
- Cerchia, E.; Ferrero, L.; Molinaro, F.; Donato, L.; Messina, M.; Becmeur, F. Pediatric Thoracoscopy and Bronchial Blockers: The Continued Search for the Ideal One-Lung Ventilation. J. Laparoendosc. Adv. Surg. Tech. 2016, 26, 153–156. [Google Scholar] [CrossRef]
- Lin, Y.C.; Hackel, A. Paediatric selective bronchial blocker. Pediatr. Anesth. 1994, 4, 391–392. [Google Scholar] [CrossRef]
- Tan, G.; Tan-Kendrick, A. Bronchial diameters in children—Use of the Fogarty catheter for lung isolation in children. Anaesth. Intens. Care 2002, 30, 615–618. [Google Scholar] [CrossRef] [Green Version]
- Wald, S.; Mahajan, A.; Kaplan, M.; Atkinson, J. Experience with the Arndt paediatric bronchial blocker. Br. J. Anaesth. 2005, 94, 92–94. [Google Scholar] [CrossRef] [Green Version]
- Soto, R.G.; Oleszak, S.P. Resection of the Arndt Bronchial Blocker during stapler resection of the left lower lobe. J. Cardiothorac. Vasc. Anesth. 2006, 20, 131–132. [Google Scholar] [CrossRef] [PubMed]
- Templeton, T.W.; Petty, J.K.; Sutton, C.J.; Goenaga-Díaz, E.J.; Templeton, L.B. Bronchial Blocker Entrapment in a 7-Month-Old Infant: A Case Report. A&A Pract. 2020, 14, e01347. [Google Scholar]




Publisher’s Note: MDPI stays neutral with regard to jurisdictional claims in published maps and institutional affiliations. |
© 2021 by the authors. Licensee MDPI, Basel, Switzerland. This article is an open access article distributed under the terms and conditions of the Creative Commons Attribution (CC BY) license (https://creativecommons.org/licenses/by/4.0/).
Share and Cite
Sankaran, D.; Hirose, S.; Null, D.M.; Ravula, N.R.; Lakshminrusimha, S. Novel Use of a Bronchial Blocker in a Challenging Case of Congenital Diaphragmatic Hernia—A Case Report. Children 2021, 8, 1163. https://doi.org/10.3390/children8121163
Sankaran D, Hirose S, Null DM, Ravula NR, Lakshminrusimha S. Novel Use of a Bronchial Blocker in a Challenging Case of Congenital Diaphragmatic Hernia—A Case Report. Children. 2021; 8(12):1163. https://doi.org/10.3390/children8121163
Chicago/Turabian StyleSankaran, Deepika, Shinjiro Hirose, Donald Morley Null, Niroop R. Ravula, and Satyan Lakshminrusimha. 2021. "Novel Use of a Bronchial Blocker in a Challenging Case of Congenital Diaphragmatic Hernia—A Case Report" Children 8, no. 12: 1163. https://doi.org/10.3390/children8121163
APA StyleSankaran, D., Hirose, S., Null, D. M., Ravula, N. R., & Lakshminrusimha, S. (2021). Novel Use of a Bronchial Blocker in a Challenging Case of Congenital Diaphragmatic Hernia—A Case Report. Children, 8(12), 1163. https://doi.org/10.3390/children8121163

