Unilateral Scissor Bite Managed with Prefabricated Functional Appliances in Primary Dentition—A New Interceptive Orthodontic Protocol
Abstract
:1. Introduction
2. Case Report
2.1. History
2.2. Assessments
2.3. Treatment Goals
2.4. Treatment Planning
2.5. Treatment Sequence
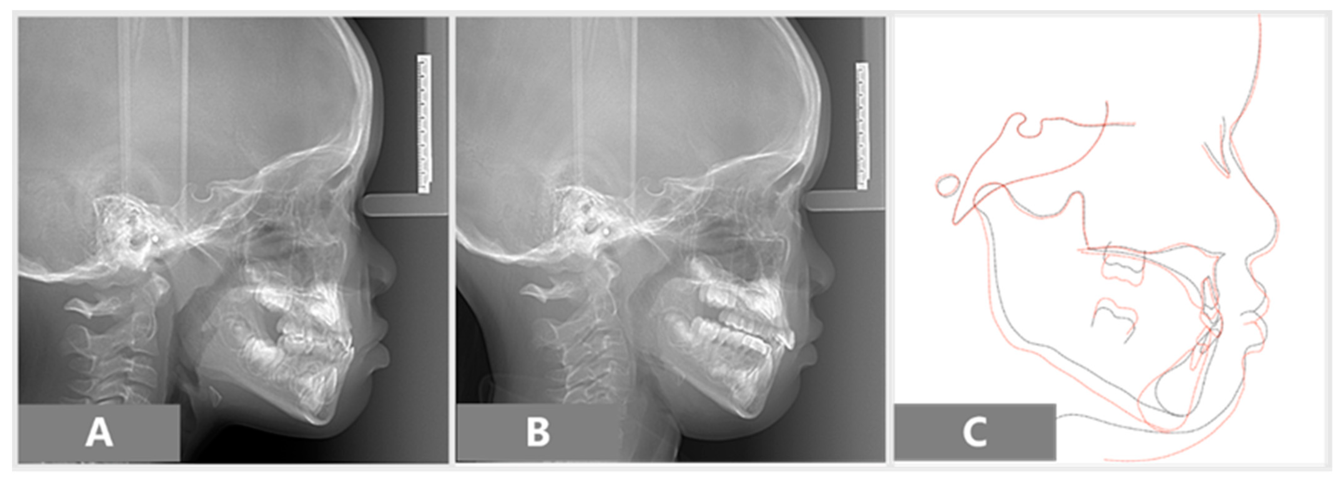
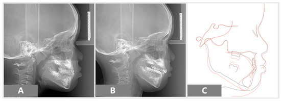
3. Results
4. Discussion
5. Conclusions
Author Contributions
Funding
Institutional Review Board Statement
Informed Consent Statement
Data Availability Statement
Conflicts of Interest
References
- Lochib, S.; Indushekar, K.; Saraf, B.G.; Sheoran, N.; Sardana, D. Occlusal characteristics and prevalence of associated dental anomalies in the primary dentition. J. Epidemiology Glob. Health 2014, 5, 151–157. [Google Scholar] [CrossRef]
- Borzabadi-Farahani, A.; Borzabadi-Farahani, A.; Eslamipour, F. Malocclusion and occlusal traits in an urban Iranian population. An epidemiological study of 11- to 14-year-old children. Eur. J. Orthod. 2009, 31, 477–484. [Google Scholar] [CrossRef] [PubMed] [Green Version]
- Doshi, U.H.; Chandorikar, H.; Nagrik, A.; A Bhad, W.; Chavan, S.J. Early correction of unilateral scissor bite using transforce appliance and modified twin block appliance. J. Orthod. Sci. 2017, 6, 76–80. [Google Scholar] [CrossRef] [Green Version]
- Baik, U.-B.; Kim, Y.; Sugawara, J.; Hong, C.; Park, J.H. Correcting severe scissor bite in an adult. Am. J. Orthod. Dentofac. Orthop. 2019, 156, 113–124. [Google Scholar] [CrossRef]
- Wang, S.-H.; Shih, Y.-H.; Liaw, J.J.L. Correction of Unilateral Complete Buccal Crossbite with Miniscrew Anchorage. J. Clin. Orthod. JCO 2016, 50, 493–502. [Google Scholar] [PubMed]
- Wishney, M.; Darendeliler, M.A.; Dalci, O. Myofunctional therapy and prefabricated functional appliances: An overview of the history and evidence. Aust. Dent. J. 2019, 64, 135–144. [Google Scholar] [CrossRef]
- Uysal, T.; Yagci, A.; Kara, S.; Okkesim, S. Influence of Pre-Orthodontic Trainer treatment on the perioral and masticatory muscles in patients with Class II division 1 malocclusion. Eur. J. Orthod. 2012, 34, 96–101. [Google Scholar] [CrossRef] [Green Version]
- Keski-Nisula, K.; Keski-Nisula, L.; Salo, H.; Voipio, K.; Varrela, J. Dentofacial Changes after Orthodontic Intervention with Eruption Guidance Appliance in the Early Mixed Dentition. Angle Orthod. 2008, 78, 324–331. [Google Scholar] [CrossRef] [PubMed]
- Usumez, S.; Uysal, T.; Sari, Z.; Basciftci, F.A.; Karaman, A.I.; Guray, E. The effects of early preorthodontic trainer treatment on Class II, division 1 patients. Angle Orthod. 2004, 74, 605–609. [Google Scholar] [CrossRef]
- Myrlund, R.; Dubland, M.; Keski-Nisula, K.; Kerosuo, H. One year treatment effects of the eruption guidance appliance in 7- to 8-year-old children: A randomized clinical trial. Eur. J. Orthod. 2015, 37, 128–134. [Google Scholar] [CrossRef] [Green Version]
- Keski-Nisula, K.; Hernesniemi, R.; Heiskanen, M.; Keski-Nisula, L.; Varrela, J. Orthodontic intervention in the early mixed dentition: A prospective, controlled study on the effects of the eruption guidance appliance. Am. J. Orthod. Dentofac. Orthop. 2008, 133, 254–260. [Google Scholar] [CrossRef]
- Bergersen, E. The eruption guidance myofunctional appliances: How it works, how to use it. Funct. Orthod. 1984, 1, 28–29. [Google Scholar]
- Chen, Y.; Hagg, U.; McGrath, C. Elastodontic appliance assisted fixed appliance treatment: A new two-phase protocol for extraction cases. J. Orthod. 2019, 46, 251–258. [Google Scholar] [CrossRef]
- Van Lierde, K.M.; Luyten, A.; D’haeseleer, E.; Van Maele, G.E.O.R.G.E.S.; Becue, L.; Fonteyne, E.; Corthals, P.; De Pauw, G. Articulation and oromyofunctional behavior in children seeking orthodontic treatment. Oral Dis. 2015, 21, 483–492. [Google Scholar] [CrossRef] [PubMed]
- Richmond, S.; Roberts, C.T.; Andrews, M. Use of the Index of Orthodontic Treatment Need (IOTN) in Assessing the Need for Orthodontic Treatment Pre- and Post-appliance Therapy. Br. J. Orthod. 1994, 21, 175–184. [Google Scholar] [CrossRef]
- Frankl, S.N.; Shiere, F.R.; Fogels, H.R. Should the parent remain with the child in the dental operatory. J. Dent. Child. 1962, 2, 150–163. [Google Scholar]
- Keski-Nisula, K.; Lehto, R.; Lusa, V.; Keski-Nisula, L.; Varrela, J. Occurrence of malocclusion and need of orthodontic treatment in early mixed dentition. Am. J. Orthod. Dentofac. Orthop. 2003, 124, 631–638. [Google Scholar] [CrossRef] [PubMed]
- Van Dyck, C.; Dekeyser, A.; Vantricht, E.; Manders, E.; Goeleven, A.; Fieuws, S.; Willems, G. The effect of orofacial myofunctional treatment in children with anterior open bite and tongue dysfunction: A pilot study. Eur. J. Orthod. 2016, 38, 227–234. [Google Scholar] [CrossRef] [Green Version]
- Ohtsuka, M.; Kaneko, T.; Iida, J. Effectiveness of training methods to improve orbicularis oris muscle endurance in patients with incompetent lips. Orthod. Waves 2015, 74, 99–104. [Google Scholar] [CrossRef]
- Thüer, U.; Ingervall, B. Effect of muscle exercise with an oral screen on lip function. Eur. J. Orthod. 1990, 12, 198–208. [Google Scholar] [CrossRef] [PubMed] [Green Version]
- Nandini, S. Indirect resin composites. J. Conserv. Dent. 2010, 13, 184–194. [Google Scholar] [CrossRef] [PubMed] [Green Version]
- El-Huni, A.; Salazar, F.B.C.; Sharma, P.K.; Fleming, P.S. Understanding factors influencing compliance with removable functional appliances: A qualitative study. Am. J. Orthod. Dentofac. Orthop. 2019, 155, 173–181. [Google Scholar] [CrossRef]
- O’Brien, K.; Wright, J.; Conboy, F.; Sanjie, Y.; Mandall, N.; Chadwick, S.; Connolly, I.; Cook, P.; Birnie, D.; Hammond, M.; et al. Effectiveness of treatment for class II malocclusion with the herbst or twin-block appliances: A randomized, controlled trial. Am. J. Orthod. Dentofac. Orthop. 2003, 124, 128–137. [Google Scholar] [CrossRef]
- O’Brien, K.; Wright, J.; Conboy, F.; Sanjie, Y.; Mandall, N.; Chadwick, S.; Connolly, I.; Cook, P.; Birnie, D.; Hammond, M.; et al. Effectiveness of early orthodontic treatment with the Twin-block appliance: A multicenter, randomized, controlled trial. Part 1: Dental and skeletal effects. Am. J. Orthod. Dentofac. Orthop. 2003, 124, 234–243. [Google Scholar] [CrossRef]





| Angular/Linear Measurement | Mean (6 Years) | Initial | Final |
|---|---|---|---|
| SNA (°) | 81–83 | 82 | 82 |
| SNB (°) | 79–81 | 82 | 79 |
| ANB (°) | 2–4 | 0 | 3 |
| Wits Appraisal (mm) | 0–1 | −4.5 | −4 |
| FMA (°) | 22–28 | 23.6 | 30 |
| IMPA (°) | 87–89 | 88 | 81 |
| U1 to NA (mm) | 21–23 | 15 | 24 |
| L1 to NB (mm) | 24–26 | 20 | 16 |
| NSAr (saddle angle) (°) | 118–126 | 128 | 128 |
| Gonial angle (°) | 129.8 | 146 | 135 |
| NSGn (°) | 59.8 | 67 | 67 |
| Y-axis (°) | 53–66 | 61 | 66 |
| Nasion perpendicular to point A (mm) | 0–1.0 | −2.7 | −3.6 |
| Upper pharyngeal space (mm) | 15–20 | 6.4 | 6 |
| Lower pharyngeal space (mm) | 11–14 | 12.7 | 11.8 |
Publisher’s Note: MDPI stays neutral with regard to jurisdictional claims in published maps and institutional affiliations. |
© 2021 by the authors. Licensee MDPI, Basel, Switzerland. This article is an open access article distributed under the terms and conditions of the Creative Commons Attribution (CC BY) license (https://creativecommons.org/licenses/by/4.0/).
Share and Cite
Simsuchin, C.; Chen, Y.; Huang, S.; Mallineni, S.K.; Zhao, Z.; Hagg, U.; McGrath, C. Unilateral Scissor Bite Managed with Prefabricated Functional Appliances in Primary Dentition—A New Interceptive Orthodontic Protocol. Children 2021, 8, 957. https://doi.org/10.3390/children8110957
Simsuchin C, Chen Y, Huang S, Mallineni SK, Zhao Z, Hagg U, McGrath C. Unilateral Scissor Bite Managed with Prefabricated Functional Appliances in Primary Dentition—A New Interceptive Orthodontic Protocol. Children. 2021; 8(11):957. https://doi.org/10.3390/children8110957
Chicago/Turabian StyleSimsuchin, Chaypat, Yong Chen, Shuying Huang, Sreekanth Kumar Mallineni, Zhihe Zhao, Urban Hagg, and Colman McGrath. 2021. "Unilateral Scissor Bite Managed with Prefabricated Functional Appliances in Primary Dentition—A New Interceptive Orthodontic Protocol" Children 8, no. 11: 957. https://doi.org/10.3390/children8110957
APA StyleSimsuchin, C., Chen, Y., Huang, S., Mallineni, S. K., Zhao, Z., Hagg, U., & McGrath, C. (2021). Unilateral Scissor Bite Managed with Prefabricated Functional Appliances in Primary Dentition—A New Interceptive Orthodontic Protocol. Children, 8(11), 957. https://doi.org/10.3390/children8110957

