Next Article in Journal
Preschool Teachers’ Beliefs towards Children with Autism Spectrum Disorder (ASD) in Yemen
Previous Article in Journal
Randomized Longitudinal Study Comparing Three Nasal Respiratory Support Modes to Prevent Intermittent Hypoxia in Very Preterm Infants
 
 
Font Type:
Arial Georgia Verdana
Font Size:
Aa Aa Aa
Line Spacing:
Column Width:
Background:
Case Report

Pulmonary Exacerbation of Undiagnosed Toxocariasis in Intensively-Treated High-Risk Neuroblastoma Patients

1
Department of Pediatrics, Oncology and Hematology, Medical University of Lodz, Sporna 36/50 St., 91-738 Lodz, Poland
2
Department of Diagnostic Imaging, Polish Mother’s Memorial Hospital Research Institute, 91-738 Lodz, Poland
3
Department of Pediatric Bone Marrow Transplantation, Oncology and Hematology, Wroclaw Medical University, 50-556 Wroclaw, Poland
*
Author to whom correspondence should be addressed.
Children 2020, 7(10), 169; https://doi.org/10.3390/children7100169
Submission received: 1 September 2020 / Revised: 26 September 2020 / Accepted: 3 October 2020 / Published: 5 October 2020
(This article belongs to the Section Pediatric Hematology & Oncology)

Abstract

Toxocariasis is one of the most common zoonoses, with high seroprevalence in apparently healthy individuals. Neuroblastoma is an aggressive childhood cancer. The cure rates are improving due to dose-dense chemotherapy, progress in surgical practice, myeloablative therapy with autologous stem cell transplantation, and recently, anti-GD2 immunotherapy. This is associated with a burden of complications, some of which are relatively specific for neuroblastoma treatment. Based on previous reports of Toxocara canis infection in high-risk neuroblastoma patients and cases of pulmonary exacerbation from our center in this disease, we propose that toxocariasis is a specific complication of intensive pediatric cancer treatment and advocate for active surveillance.

1. Introduction

Here, we report on two children with undiagnosed Toxocara canis infestation that developed pulmonary symptoms during intensive high-risk neuroblastoma treatment. Toxocariasis is one of the most common zoonoses in the world, and its IgG seroprevalence might be roughly estimated at up to 20% worldwide and up to 10% in Europe, with wide variance between studies and regions [1,2]. Toxocariasis is caused by infestation of humans by ascarid larvae belonging to the Toxocara genus from dogs and cats, and has varied clinical manifestations including systemic and compartmentalized syndromes as well as asymptomatic cases. Pulmonary involvement is usually a component of classic visceral larva migrans syndrome, which is associated with high eosinophilia, hepatosplenomegaly, fever, and hyper-gammaglobulinemia [3,4]. The descriptions of toxocariasis in cancer patients are scarce. Disseminated neuroblastoma is one of the most aggressive childhood cancers and is still associated with high mortality. While historically the cure rates were below 5%, they have gradually improved due to treatment intensification including dose-dense induction chemotherapy, progress in surgical techniques, the introduction of meyloablative chemotherapy (MAT) with autologous hematopoietic stem cell transplantation (autoSCT) around 30 years ago, and more recently, anti-GD2 immunotherapy. Still, serious complications are common and significant in the course of this disease, and some of them have a degree of specificity for high-risk neuroblastoma treatment. This can be exemplified by a high frequency and severity of venoocclusive disease of the liver (VOD), which is believed to be associated with the disease, but more likely with the conditioning prior to autoSCT, in particular, BuMEL [5,6,7] (while important and frequently unique, complications of neuroblastoma immunotherapy are not a subject of this work). Here, based on previous reports of Toxocara canis infections in post-transplant neuroblastoma patients [4] and two cases of pulmonary toxocariasis exacerbation from our center, we propose that pulmonary toxocariasis should be considered a specific complication of intensive pediatric cancer therapy such as dose-dense chemotherapy and MAT/SCT used in neuroblastoma treatment.

2. Results

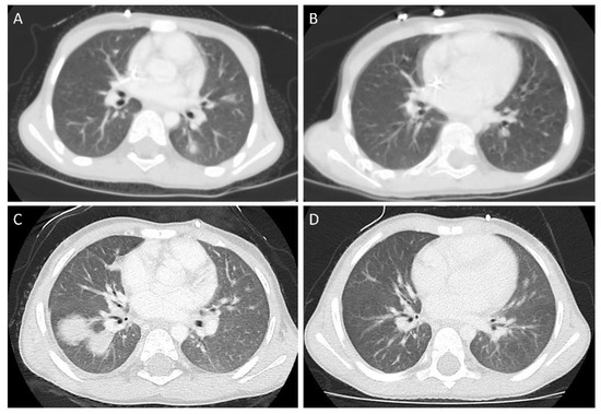
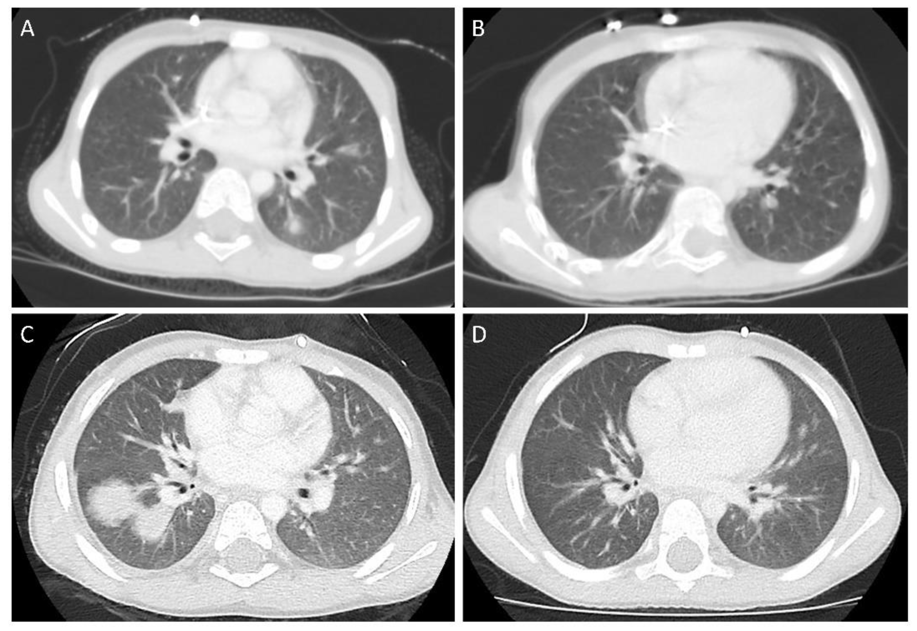
In our center (Department of Pediatrics, Oncology and Hematology, Medical University of Lodz, Poland), the patients with high-risk neuroblastoma are treated according to the subsequent versions of European HR-NBL/SIOPEN (High-Risk Neuroblastoma /International Society of Paediatric Oncology Europe Neuroblastoma) Protocols. In the decade between 2010–2019, we treated, in total, 21 patients with high-risk neuroblastoma. For MAT/SCT (meyloablative chemotherapy /stem cell transplantation), the patients are referred to the Department of Pediatric Bone Marrow Transplantation, Oncology, and Hematology, Wroclaw Medical University, Wroclaw, Poland, which is the most active pediatric BMT (bone marrow transplantation) unit in our country. In two male patients, separated by an interval of 3.5 years, both coming from rural areas with history of pet exposure, in planned imaging studies performed in the first case after induction of rapid COJEC (cisplatin, vincristine, carboplatin, etoposide, and cyclophosphamide) therapy and before tumor resection (Patient 1), and in the second case (Patient 2) after MAT/SCT (42 days post SCT), we found focal lesions in the lungs. Pulmonary recurrence/metastases were strongly suspected, and the representative computed tomography (CT) scans are presented in Figure 1. Both patients were apparently asymptomatic at that time. Surprisingly, in both cases, scintigraphy was negative for pathological 123I mIBG uptake in the chest, suggesting no active disease in the lungs. In one case (Patient 2), we proceeded to surgical biopsy, with the histopathological examination demonstrating no neoplastic tissue, whereas in the other patient (Patient 1), the biopsy was not plausible anatomically. As in both patients there was a marked eosinophilia in the peripheral blood, and there are descriptions of toxocariasis in children treated for high-risk neuroblastoma [4], we also performed serological studies for toxocariasis, and the serology was positive in both patients. The details of treatment and diagnostics of both patients are summarized in Table 1. We initiated toxocariasis treatment with albendazole in both patients with variable success. Patient 1 had features of relapsing infestation. He received two courses of albendazole prior to MAT/SCT and was free from signs of toxocariasis, though with positive serology, while MAT was initiated. He was not tested for T. canis and there was no hypereosinophilia during the hospitalization post SCT in the BMT Unit. Following full hematopoietic reconstitution, while there were no abnormal radiological findings in the lungs, we observed a relapse of hypereosinophilia (reaching a maximal value of 9.500 /µL) and skin rash around four weeks post SCT. He was again treated with albendazole, with no improvement in laboratory markers of toxocariasis, and eventually the patient was switched to diethylcarbamazine (especially in light of scheduled potentially associated with adverse events in anti-GD2 immunotherapy). His eosinophil count was finally normal following two courses of diethylcarbamazine, and there were no features of toxocariasis recurrence later during treatment and follow-up. Patient 2 responded favorably to the second course of albendazole following relapse of hypereosinophilia two months post first albendazole therapy. Figure 1 demonstrates the lesions found in initial imaging (lung CT) after autoSCT and the resolution of changes following anti-parasitic treatment. In both patients, we proceeded with further treatment according to the HR NBL/SIOPEN Protocols, as presented in Table 1.

3. Discussion

Toxocarosis is one of the most common zoonoses in the world. In Poland, between 1994 and 2005, there were about 16.6–75.6% of seropositive results in various studies of individuals suspected of being infected with Toxocara, but nationwide IgG-seroprevalence is unknown [8]. The therapy is always recommended due to the risk of complications caused by accidental larva migration to the eyes or central nervous system. Pulmonary toxocariasis is a serious complication, and is usually treated with albendazole and corticosteroids [9]. Here, we propose that toxocariasis reactivation, and particularly pulmonary involvement, should be added to a list of potential complications of pediatric cancer therapy such as in patients with high-risk neuroblastoma treated with dose-dense chemotherapy or MAT/SCT in the setting of the HR NBL/SIOPEN Protocol, which is a perfect example of multimodal pediatric oncology efforts. Such multimodal treatment is associated with a wide catalogue of complications of varied frequency and severity. These include hematological toxicities, infections, organ toxicities, capillary leak syndrome, gastrointestinal syndromes, and neurotoxicity [5,6,7,10]. In fact, the benefits of MAT/SCT in neuroblastoma in the era of immunotherapy should be re-examined [11,12].
Here, we point to the fact that there is a relative paucity of reports of toxocariasis in the setting of neoplasia. Apart from our patients and another series of neuroblastoma patients from Poland, the reported cases or case series include Wilms tumor [13,14,15], lung [16], bowel cancer [17,18], osteosarcoma [19], retinoblastoma [20], and mycosis fungoides [21]. Surprisingly, there are no reports of clinical Toxocara syndromes in leukemias. In general, the available published data are very limited, in particular, any studies (such as, for example, seroprevalence study) of larger cohorts of cancer patients are lacking. We reviewed the medical data of our oncohematology center and also of the BMT unit that transplanted both patients and found no other records of diagnoses of toxocariasis, however, there was no preventive surveillance in patients with no clinical suspicion. The rate of pulmonary toxocariasis in high-risk neuroblastoma patients in our center (9.5%) is only slightly lower than the rate of serologically proven toxocariasis in a previous report from Poland (14%, with one patient out of three with pulmonary involvement). To some extent, toxocariasis might be associated with conditioning schedule as both patients from our study (in Patient 2 proceeding the initial diagnosis and in Patient 1 prior to albendazole-resistant recurrence) and two out of three from the previous report received BuMEL. The cases from our report had rather mild clinical course, however, it is very difficult to exclude that complications observed, for example, post SCT/BMT obscured the symptoms of toxocariasis. Furthermore, the expression of systemic toxocariasis features might have been reduced by lack of immunocompetence and ability for inflammatory response in our patients.
In conclusion, we report that toxocariasis reactivation, and in particular pulmonary morbidity, is a potential threat in pediatric cancer patients. We advocate for active T. canis infection surveillance in children with cancer both for research purposes (i.e., establishing the frequency of toxocariasis) and to aid clinical decisions in the case of unexplained systemic, pulmonary, hepatic, neurological, or ophthalmic complications. Pediatric patients should be screened for zoonotic diseases that can exacerbate during intensive therapy. The regularly repeated deworming or preferably temporary household removal of pets in families with immunocompromised members should be recommended, and enforcing of local veterinary guidelines is highly advised.

Author Contributions

S.J. provided the concept of the study, analyzed data, and prepared the manuscript; W.M., B.Z.-S., and M.U. analyzed data and reviewed the manuscript; D.B. provided the imaging study; J.W. and M.B. acquired and analyzed the medical data. All authors have read and agreed to the published version of the manuscript.

Funding

This research received no external funding.

Conflicts of Interest

The authors declare no conflict of interest.

References

  1. Ma, G.; Rostami, A.; Wang, T.; Hofmann, A.; Hotez, P.J.; Gasser, R.B. Global and regional seroprevalence estimates for human toxocariasis: A call for action. Adv. Parasitol. 2020, 109, 275–290. [Google Scholar]
  2. Rostami, A.; Riahi, S.M.; Holland, C.V.; Taghipour, A.; Khalili-Fomeshi, M.; Fakhri, Y.; Omrani, V.F.; Hotez, P.J.; Gasser, R.B. Seroprevalence estimates for toxocariasis in people worldwide: A systematic review and meta-analysis. PLoS Negl. Trop. Dis. 2019, 13, e0007809. [Google Scholar] [CrossRef] [PubMed]
  3. Woodhall, D.M.; Fiore, A.E. Toxocariasis: A Review for Pediatricians. J. Pediatric. Infect. Dis. Soc. 2014, 3, 154–159. [Google Scholar] [CrossRef] [PubMed]
  4. Wedrychowicz, A.; Goździk, J.; Krasowska-Kwiecień, A.; Kacińka, E.; Wiecha, O.; Kubiczek, K.; Ratajczak, M.Z. Manifestation of toxocariasis in children with neuroblastoma treated with autologous hematopoietic transplants. Pediatr. Hematol. Oncol. 2006, 23, 369–379. [Google Scholar] [CrossRef] [PubMed]
  5. Ladenstein, R.; Pötschger, U.; Pearson, A.D.J.; Brock, P.; Luksch, R.; Castel, V.; Yaniv, I.; Papadakis, V.; Laureys, G.; Malis, J.; et al. Busulfan and melphalan versus carboplatin, etoposide, and melphalan as high-dose chemotherapy for high-risk neuroblastoma (HR-NBL1/SIOPEN): An international, randomised, multi-arm, open-label, phase 3 trial. Lancet Oncol. 2017, 18, 500–514. [Google Scholar] [CrossRef]
  6. Philip, T.; Ladenstein, R.; Lasset, C.; Hartmann, O.; Zucker, J.M.; Pinkerton, R.; Pearson, A.D.; Klingebiel, T.; Garaventa, A.; Kremens, B.; et al. 1070 myeloablative megatherapy procedures followed by stem cell rescue for neuroblastoma: 17 years of European experience and conclusions. European Group for Blood and Marrow Transplant Registry Solid Tumour Working Party. Eur. J. Cancer 1997, 33, 2130–2135. [Google Scholar] [CrossRef]
  7. MacFarland, S.; Bagatell, R. Advances in neuroblastoma therapy. Curr. Opin. Pediatr. 2019, 31, 14–20. [Google Scholar] [CrossRef] [PubMed]
  8. Borecka, A.; Kłapeć, T. Epidemiology of human toxocariasis in Poland—A review of cases 1978–2009. Ann. Agric. Environ. Med. 2015, 22, 28–31. [Google Scholar] [CrossRef]
  9. Ranasuriya, G.; Mian, A.; Boujaoude, Z.; Tsigrelis, C. Pulmonary toxocariasis: A case report and literature review. Infection 2014, 42, 575–578. [Google Scholar] [CrossRef]
  10. Desai, A.V.; Seif, A.E.; Li, Y.; Getz, K.; Fisher, B.T.; Huang, V.; Mante, A.; Aplenc, R.; Bagatell, R. Resource Utilization and Toxicities After Carboplatin/Etoposide/Melphalan and Busulfan/Melphalan for Autologous Stem Cell Rescue in High-Risk Neuroblastoma Using a National Administrative Database. Pediatr. Blood Cancer 2016, 63, 901–907. [Google Scholar] [CrossRef]
  11. Cheung, N.-K.V.; Cheung, I.Y.; Kushber, B.H.; Ostrovnaya, I.; Chamberlain, E.; Kramer, K.; Modak, S. Murine anti-GD2 monoclonal antibody 3F8 combined with granulocyte-macrophage colony-stimulating factor and 13-cis-retinoic acid in high-risk patients with stage 4 neuroblastoma in first remission. J. Clin. Oncol. 2012, 30, 3264–3270. [Google Scholar] [CrossRef] [PubMed]
  12. Kushner, B.H.; Ostrovnaya, I.; Cheung, I.Y.; Kuk, D.; Modak, S.; Kramer, K.; Roberts, S.S.; Basu, E.M.; Yataghene, K.; Cheung, N.-K.V. Lack of survival advantage with autologous stem-cell transplantation in high-risk neuroblastoma consolidated by anti-GD2 immunotherapy and isotretinoin. Oncotarget 2016, 7, 4155–4166. [Google Scholar] [CrossRef] [PubMed]
  13. Anderson, A.; Fordham, L.A.; Bula, M.L.; Blatt, J. Visceral larval migrans masquerading as metastatic disease in a toddler with Wilms tumor. Pediatr. Radiol. 2006, 36, 265–267. [Google Scholar] [CrossRef] [PubMed]
  14. Weaver, M.S.; Federico, S. Visual Diagnosis: New Lung Nodules in a 3-year-old Girl with Wilms Tumor. Pediatr. Rev. 2016, 37, e5–e6. [Google Scholar] [CrossRef]
  15. Almeida, M.T.; Ribeiro, R.C.; Kauffman, W.M.; Maluf Júnior, P.T.; Brito, J.L.; Cristofani, L.M.; Jacob, C.A.; Odone-Filho, V. Toxocariasis simulating hepatic recurrence in a patient with Wilms’ tumor. Med. Pediatr. Oncol. 1994, 22, 211–215. [Google Scholar] [CrossRef] [PubMed]
  16. Hanslik, T.; Bougnoux, M.E.; Kirch, C.; Vaillant, J.N.; Labrune, S.; Prinseau, J.; Baglin, A. Metastasis or visceral larva migrans? Ann. Med. Interne (Paris) 1998, 149, 533–535. [Google Scholar]
  17. Kim, H.-G.; Yang, J.-W.; Hong, S.-C.; Lee, Y.-J.; Ju, Y.-T.; Jeong, C.-Y.; Lee, J.-K.; Kwag, S.-J. Toxocara canis Mimicking a Metastatic Omental Mass from Sigmoid Colon Cancer: A Case Report. Ann. Coloproctol. 2018, 34, 160–163. [Google Scholar] [CrossRef]
  18. Park, S.; Kim, Y.S.; Kim, Y.J.; Kyung, S.Y.; Park, J.-W.; Jeong, S.H.; Lee, S.P. Toxocariasis masquerading as liver and lung metastatic nodules in patents with gastrointestinal cancer: Clinicopathologic study of five cases. Dig. Dis. Sci. 2012, 57, 155–160. [Google Scholar] [CrossRef]
  19. Lim, Y.-J.; Kim, J.-H.; Oh, S.H.; Jeon, S.C.; Koh, H.C.; Lee, Y.-H. Pulmonary toxocariasis masquerading as metastatic tumor nodules in a child with osteosarcoma. Pediatr. Blood Cancer 2009, 53, 1343–1345. [Google Scholar] [CrossRef]
  20. Ota, K.V.; Dimaras, H.; Héon, E.; Babyn, P.S.; Yau, Y.C.W.; Read, S.; Budning, A.; Gallie, B.L.; Chan, H.S.L. Toxocariasis mimicking liver, lung, and spinal cord metastases from retinoblastoma. Pediatr. Infect. Dis. J. 2009, 28, 252–254. [Google Scholar] [CrossRef]
  21. Krcméry, V., Jr.; Gould, I.; Sobota, K.; Spánik, S. Two cases of disseminated toxocariasis in compromised hosts successfully treated with mebendazole. Chemotherapy 1992, 38, 367–368. [Google Scholar] [CrossRef] [PubMed]
Figure 1. Pulmonary lesion pre- (A,C) and post- (B,D) antiparasitic treatment in Patient 1 (A,B) and Patient 2 (C,D). A: left lung, inferior lobe, segment 6. C: right lung, inferior lobe, segments 6, 8, 10.
Figure 1. Pulmonary lesion pre- (A,C) and post- (B,D) antiparasitic treatment in Patient 1 (A,B) and Patient 2 (C,D). A: left lung, inferior lobe, segment 6. C: right lung, inferior lobe, segments 6, 8, 10.
Children 07 00169 g001
Table 1. The clinical, laboratory, radiological, and histopathological characteristics of both patients.
Table 1. The clinical, laboratory, radiological, and histopathological characteristics of both patients.
Patient 1Patient 2
Demographic
Treatment commenced20162019
SexMaleMale
Age (years)2.52.5
Clinical and pathological features at diagnosis
Primary siteAbdomenChest
MetastasesNoneBones, bone marrow
INSS Stage34
HistologyNeuroblastoma –non otherwise specifiedNeuroblastoma –undifferentiated
N-Myc statusAmplifiedNon-amplified
ProtocolHR NBL/SIOPEN 1.5HR NBL/SIOPEN 1.7
Treatment and response prior to MAT/SCT
Induction chemotherapyRapid COJECRapid COJEC
Stem cell harvestPost induction, G-CSF mobilizationPost induction, G-CSF mobilization
Response post inductionComplete remission, 123I mIBG negativeVery good partial response /metastatic partial remission (residual 123I mIBG activity in the bones, chest negative)
Tumor resectionPost induction, completePost induction, complete
MAT /SCT
ConditioningBusulfan 16 × 1 mg/kg + Melfalan 140 mg/m2Busulfan 16 × 1.2 mg/kg +Melfalan 140 mg/m2
Stem cell load 6.26 × 106 CD34+/kg5.35 × 106 CD34+/kg
WBC > 1000/µLDay +11Day +11
ANC > 500/µLDay +11Day +11
Platelets > 20000/µLDay +13Day +35
Non-hematological complications post SCTC. difficile infection, mucositisPyelonephritis, VOD, mucositis
Specific features during Toxocara infestation
Relation to neuroblastoma treatmentPost induction and stem cell apheresis42 days post MAT/SCT
Biopsy /histopathologyNot performedNo neoplastic cells, macrophage infiltration
Highest Eosinophil count9.500/µL4.100/µL
Total IgE (N < 60 IU/mL)937 IU/mLnormal
Immunoglobulins (IgG, IgA, IgM)normalnormal
Lymphocyte subpopulationsCD3 and CD19 lymphopeniaNot performed
HIVNegativeNegative
Antiparastic treatmentAlbendazole 2 courses prior to SCT and 1 post SCT (10 days each)
Diethylcarbamazine 3 mg/kg 3 times daily for 21 days (2 courses)
Albendazole -2 courses (10 days each)
Follow-up
Follow-up since diagnosis4 years, in remission, good general condition, no features of toxocariasis6 months, in remission (no 123I mIBG activity, no features of local recurrence, normal tumor markers), good general condition, currently undergoes immunotherapy, no features of toxocariasis
INSS: International Neuroblastoma Staging System; HR-NBL/SIOPEN: High-Risk Neuroblastoma /SIOP Europe Neuroblastoma; MAT/SCT: meyloablative chemotherapy /stem cell transplantation; COJEC: cisplatin, vincristine, carboplatin, etoposide, and cyclophosphamide; G-CSF: granulocyte-colony stimulating factor; mIBG: meta-iodobenzylguanidine; VOD: veno-occlusive disease of the liver; IU: international units.

Share and Cite

MDPI and ACS Style

Janczar, S.; Bulas, M.; Walenciak, J.; Baranska, D.; Ussowicz, M.; Młynarski, W.; Zalewska-Szewczyk, B. Pulmonary Exacerbation of Undiagnosed Toxocariasis in Intensively-Treated High-Risk Neuroblastoma Patients. Children 2020, 7, 169. https://doi.org/10.3390/children7100169

AMA Style

Janczar S, Bulas M, Walenciak J, Baranska D, Ussowicz M, Młynarski W, Zalewska-Szewczyk B. Pulmonary Exacerbation of Undiagnosed Toxocariasis in Intensively-Treated High-Risk Neuroblastoma Patients. Children. 2020; 7(10):169. https://doi.org/10.3390/children7100169

Chicago/Turabian Style

Janczar, Szymon, Monika Bulas, Justyna Walenciak, Dobromila Baranska, Marek Ussowicz, Wojciech Młynarski, and Beata Zalewska-Szewczyk. 2020. "Pulmonary Exacerbation of Undiagnosed Toxocariasis in Intensively-Treated High-Risk Neuroblastoma Patients" Children 7, no. 10: 169. https://doi.org/10.3390/children7100169

APA Style

Janczar, S., Bulas, M., Walenciak, J., Baranska, D., Ussowicz, M., Młynarski, W., & Zalewska-Szewczyk, B. (2020). Pulmonary Exacerbation of Undiagnosed Toxocariasis in Intensively-Treated High-Risk Neuroblastoma Patients. Children, 7(10), 169. https://doi.org/10.3390/children7100169

Note that from the first issue of 2016, this journal uses article numbers instead of page numbers. See further details here.

Article Metrics

Back to TopTop