Regenerative Endodontic Treatment in Permanent Incisors: Two Case Reports with 6 Years of Follow-Up
Highlights
- Regenerative endodontic treatment achieved long-term periapical healing and structural reinforcement in three immature permanent incisors;
- Both triple antibiotic paste and calcium hydroxide protocols resulted in stable calcified apical barriers over more than six years of follow-up.
- Regenerative procedures represent a reliable alternative for managing necrotic immature teeth, even in cases where apexification has previously failed;
- Extended follow-up confirms that regenerative approaches can provide durable clinical stability and sustained root maturation in pediatric patients.
Abstract
1. Introduction
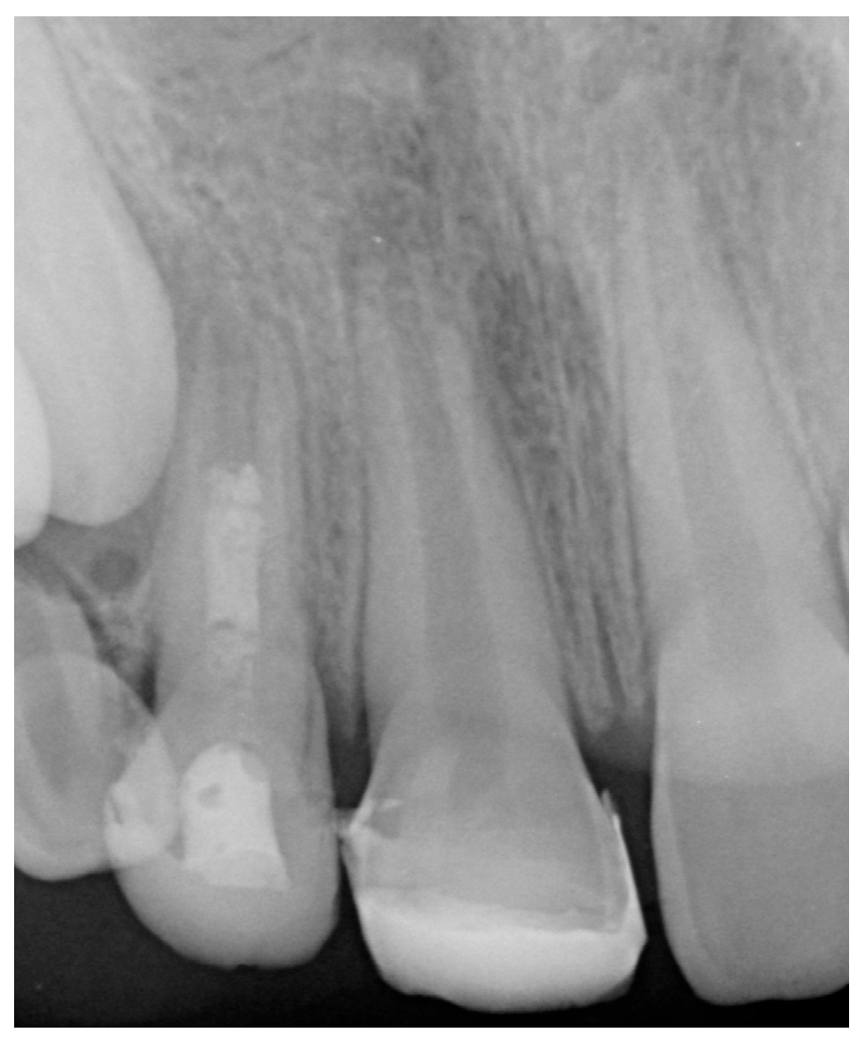
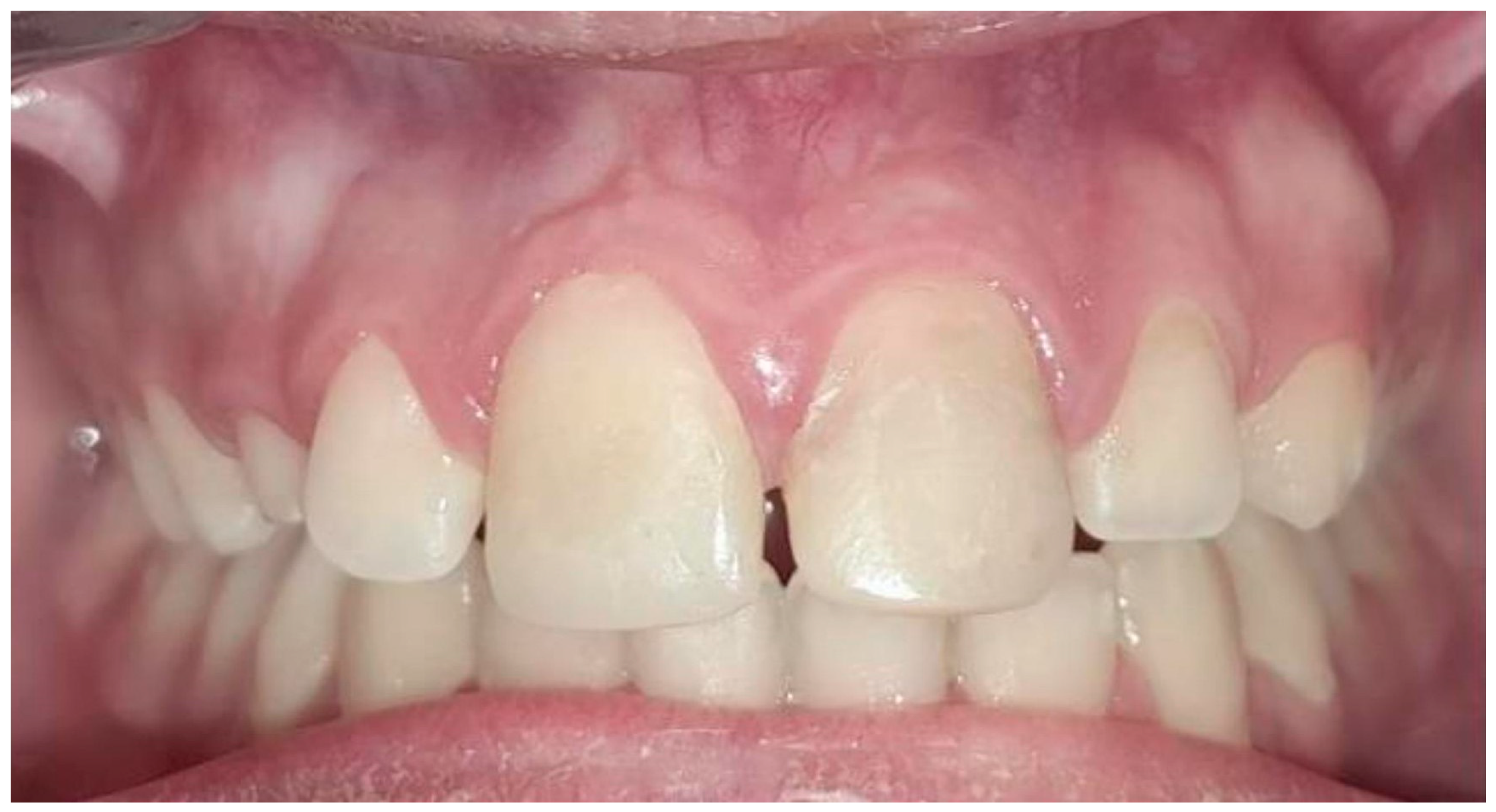
2. Case Report
2.1. Clinical Presentation
2.2. Clinical Case 1
2.3. Clinical Case 2
3. Discussion
4. Conclusions
Author Contributions
Funding
Informed Consent Statement
Data Availability Statement
Acknowledgments
Conflicts of Interest
Abbreviations
| CEJ | Cemento-enamel junction |
| Ca(OH)2 | Calcium hydroxide |
| CBCT | Cone beam computed tomography |
| RET | Regenerative endodontic treatment |
| AAE | American Association of Endodontists |
| ESE | European Society of Endodontology |
| REPs | Regenerative endodontic procedures |
| EDTA | Ethylenediaminetetraacetic acid |
| TAP | Triple antibiotic paste |
| NaOCl | Sodium hypochlorite |
References
- Iwaya, S.I.; Ikawa, M.; Kubota, M. Revascularization of an immature permanent tooth with apical periodontitis and sinus tract. Dent. Traumatol. 2001, 17, 185–187. [Google Scholar] [CrossRef]
- Banchs, F.; Trope, M. Revascularization of immature permanent teeth with apical periodontitis: New treatment protocol? J. Endod. 2004, 30, 196–200. [Google Scholar] [CrossRef]
- Galler, K.M.; Krastl, G.; Simon, S.; Van Gorp, G.; Meschi, N.; Vahedi, B.; Lambrechts, P. European Society of Endodontology position statement: Revitalization procedures. Int. Endod. J. 2016, 49, 717–723. [Google Scholar] [CrossRef] [PubMed]
- Galler, K.M. Clinical procedures for revitalization: Current knowledge and considerations. Int. Endod. J. 2016, 49, 926–936. [Google Scholar] [CrossRef]
- Araújo, P.R.D.S.; Silva, L.B.; Neto, A.P.D.S.; Almeida De Arruda, J.A.; Álvares, P.R.; Sobral, A.P.V.; Júnior, S.A.; Leão, J.C.; Braz Da Silva, R.; Sampaio, G.C. Pulp Revascularization: A Literature Review. Open Dent. J. 2017, 10, 48–56. [Google Scholar] [CrossRef]
- American Association of Endodontics. AAE Clinical Considerations for a Regenerative Procedure 2016. Available online: https://www.aae.org/specialty/wp-content/uploads/sites/2/2023/04/ConsiderationsForRegEndo_AsOfNov2022-4.pdf (accessed on 6 February 2026).
- Chueh, L.-H.; Huang, G.T.-J. Immature teeth with periradicular periodontitis or abscess undergoing apexogenesis: A paradigm shift. J. Endod. 2006, 32, 1205–1213. [Google Scholar] [CrossRef]
- Huang, G.T.-J. A paradigm shift in endodontic management of immature teeth: Conservation of stem cells for regeneration. J. Dent. 2008, 36, 379–386. [Google Scholar] [CrossRef] [PubMed]
- Murray, P.E.; Garcia-Godoy, F.; Hargreaves, K.M. Regenerative endodontics: A review of current status and a call for action. J. Endod. 2007, 33, 377–390. [Google Scholar] [CrossRef]
- Friedlander, L.T.; Cullinan, M.P.; Love, R.M. Dental stem cells and their potential role in apexogenesis and apexification. Int. Endod. J. 2009, 42, 955–962. [Google Scholar] [CrossRef] [PubMed]
- Silva, L. Stem Cells in the Oral Cavity. Stud. Stem Cells Res. Ther. 2015, 1, 012–016. [Google Scholar] [CrossRef]
- Memon, N.A.; Memon, M.R.; Feroz, A.; NOOR-UL-ANE. Assessment of the Interappointment Pain by Using Two Different Intracanal Medicaments. Pak. Oral Dent. J. 2013, 33, 145–150. [Google Scholar]
- Chouchene, F.; Masmoudi, F.; Baaziz, A.; Maatouk, F.; Ghedira, H. Antibiotic Mixtures in Noninstrumental Endodontic Treatment of Primary Teeth with Necrotic Pulps: A Systematic Review. Int. J. Dent. 2021, 2021, 5518599. [Google Scholar] [CrossRef] [PubMed]
- Ranly, D.M.; Garcia-Godoy, F. Current and potential pulp therapies for primary and young permanent teeth. J. Dent. 2000, 28, 153–161. [Google Scholar] [CrossRef]
- Athanassiadis, B.; Walsh, L.J. Aspects of Solvent Chemistry for Calcium Hydroxide Medicaments. Materials 2017, 10, 1219. [Google Scholar] [CrossRef]
- Mohammadi, Z.; Giardino, L.; Palazzi, F.; Asgary, S. Agonistic and antagonistic interactions between chlorhexidine and other endodontic agents: A critical review. Iran. Endod. J. 2015, 10, 1–5. [Google Scholar]
- Andolfatto, C.; da Silva, G.F.; Cornélio, A.L.G.; Guerreiro-Tanomaru, J.M.; Tanomaru-Filho, M.; Faria, G.; Bonetti-Filho, I.; Cerri, P.S. Biocompatibility of intracanal medications based on calcium hydroxide. ISRN Dent. 2012, 2012, 904963. [Google Scholar] [CrossRef]
- Silva, L.L.C.E.; Cosme-Silva, L.; Sakai, V.T.; Lopes, C.S.; Silveira, A.P.P.D.; Moretti Neto, R.T.; Gomes-Filho, J.E.; Oliveira, T.M.; Moretti, A.B.D.S. Comparison between calcium hydroxide mixtures and mineral trioxide aggregate in primary teeth pulpotomy: A randomized controlled trial. J. Appl. Oral. Sci. 2019, 27, e20180030. [Google Scholar] [CrossRef]
- van der Waal, S.V.; Connert, T.; Crielaard, W.; de Soet, J.J. In mixed biofilms Enterococcus faecalis benefits from a calcium hydroxide challenge and culturing. Int. Endod. J. 2016, 49, 865–873. [Google Scholar] [CrossRef] [PubMed]
- Waltimo, T.M.; Orstavik, D.; Sirén, E.K.; Haapasalo, M.P. In vitro susceptibility of Candida albicans to four disinfectants and their combinations. Int. Endod. J. 1999, 32, 421–429. [Google Scholar] [CrossRef] [PubMed]
- Kim, J.-H.; Kim, Y.; Shin, S.-J.; Park, J.-W.; Jung, I.-Y. Tooth discoloration of immature permanent incisor associated with triple antibiotic therapy: A case report. J. Endod. 2010, 36, 1086–1091. [Google Scholar] [CrossRef] [PubMed]
- Taneja, S.; Kumari, M.; Parkash, H. Nonsurgical healing of large periradicular lesions using a triple antibiotic paste: A case series. Contemp. Clin. Dent. 2010, 1, 31. [Google Scholar] [CrossRef]
- Hoshino, E.; Kurihara-Ando, N.; Sato, I.; Uematsu, H.; Sato, M.; Kota, K.; Iwaku, M. In-vitro antibacterial susceptibility of bacteria taken from infected root dentine to a mixture of ciprofloxacin, metronidazole and minocycline. Int. Endod. J. 1996, 29, 125–130. [Google Scholar] [CrossRef]
- Parhizkar, A.; Nojehdehian, H.; Asgary, S. Triple antibiotic paste: Momentous roles and applications in endodontics: A review. Restor. Dent. Endod. 2018, 43, e28. [Google Scholar] [CrossRef]
- Nasiri, K.; Wrbas, K.-T.; Doychinova, M. Eradicating Enterococcus faecalis in root canal system: An update. J. Dent. Sci. 2024, 19, 2433–2434. [Google Scholar] [CrossRef]
- Nasiri, K.; Wrbas, K.-T. Eliminating Candida albicans for endodontic treatment purposes during the SARS-CoV-2 pandemic. J. Dent. Sci. 2023, 18, 1411–1413. [Google Scholar] [CrossRef] [PubMed]
- Skarzynski, T.; Mistry, A.; Wonacott, A.; Hutchinson, S.E.; Kelly, V.A.; Duncan, K. Structure of UDP-N-acetylglucosamine enolpyruvyl transferase, an enzyme essential for the synthesis of bacterial peptidoglycan, complexed with substrate UDP-N-acetylglucosamine and the drug fosfomycin. Structure 1996, 4, 1465–1474. [Google Scholar] [CrossRef] [PubMed]
- Zhanel, G.G.; Zhanel, M.A.; Karlowsky, J.A. Intravenous Fosfomycin: An Assessment of Its Potential for Use in the Treatment of Systemic Infections in Canada. Can. J. Infect. Dis. Med. Microbiol. 2018, 2018, 8912039. [Google Scholar] [CrossRef] [PubMed]
- Davis, H.; Brown, R.; Ashcraft, D.; Pankey, G. In vitro synergy with fosfomycin plus doxycyclin against linezolid and vancomycin-resistant Enterococcus faecium. J. Glob. Antimicrob. Resist. 2020, 22, 78–83. [Google Scholar] [CrossRef]
- El-Wafa, W.M.A.; Ibrahim, Y.M. In Vitro Activity of Fosfomycin in Double and Triple Combinations with Imipenem, Ciprofloxacin and Tobramycin Against Multidrug-Resistant Escherichia coli. Curr. Microbiol. 2020, 77, 755–761. [Google Scholar] [CrossRef]
- Seok, H.; Choi, J.Y.; Wi, Y.M.; Park, D.W.; Peck, K.R.; Ko, K.S. Fosfomycin Resistance in Escherichia coli Isolates from South Korea and In Vitro Activity of Fosfomycin Alone and in Combination with Other Antibiotics. Antibiotics 2020, 9, 112. [Google Scholar] [CrossRef]
- Reygaert, W.C. Green Tea Catechins: Their Use in Treating and Preventing Infectious Diseases. Biomed. Res. Int. 2018, 2018, 9105261. [Google Scholar] [CrossRef]
- Mader, C.L.; Baumgartner, J.C.; Peters, D.D. Scanning electron microscopic investigation of the smeared layer on root canal walls. J. Endod. 1984, 10, 477–483. [Google Scholar] [CrossRef] [PubMed]
- McComb, D.; Smith, D.C. A preliminary scanning electron microscopic study of root canals after endodontic procedures. J. Endod. 1975, 1, 238–242. [Google Scholar] [CrossRef] [PubMed]
- Baumgartner, J.C.; Mader, C.L. A scanning electron microscopic evaluation of four root canal irrigation regimens. J. Endod. 1987, 13, 147–157. [Google Scholar] [CrossRef]
- Yamada, R.S.; Armas, A.; Goldman, M.; Lin, P.S. A scanning electron microscopic comparison of a high volume final flush with several irrigating solutions: Part 3. J. Endod. 1983, 9, 137–142. [Google Scholar] [CrossRef]
- Nagata, J.Y.; Figueiredo De Almeida Gomes, B.P.; Rocha Lima, T.F.; Murakami, L.S.; De Faria, D.E.; Campos, G.R.; De Souza-Filho, F.J.; Soares, A.D.J. Traumatized Immature Teeth Treated with 2 Protocols of Pulp Revascularization. J. Endod. 2014, 40, 606–612. [Google Scholar] [CrossRef] [PubMed]
- Wahba, N.K.O.; Bahnasy, S.S.E.L.; ElMakawi, Y.M.; Dummer, P.M.H.; Nagendrababu, V.; Rossi-Fedele, G.; Sans, F.A.; Pasqualini, D.; Alovisi, M.; Turky, M.; et al. Change in the size of apical radiolucencies in adolescent’s mature maxillary incisors following retreatment with two regenerative endodontic techniques: A 12-month randomised clinical trial using volume-based cone-beam computed tomography. Clin. Oral Investig. 2025, 29, 283. [Google Scholar] [CrossRef]
- Aly, M.M.; Taha, S.E.E.; El Sayed, M.A.; Youssef, R.; Omar, H.M. Clinical and radiographic evaluation of Biodentine and Mineral Trioxide Aggregate in revascularization of non-vital immature permanent anterior teeth (randomized clinical study). Int. J. Paediatr. Dent. 2019, 29, 464–473. [Google Scholar] [CrossRef]
- Arslan, H.; Ahmed, H.M.A.; Şahin, Y.; Doğanay Yıldız, E.; Gündoğdu, E.C.; Güven, Y.; Khalilov, R. Regenerative Endodontic Procedures in Necrotic Mature Teeth with Periapical Radiolucencies: A Preliminary Randomized Clinical Study. J. Endod. 2019, 45, 863–872. [Google Scholar] [CrossRef]
- Botero, T.M.; Tang, X.; Gardner, R.; Hu, J.C.C.; Boynton, J.R.; Holland, G.R. Clinical Evidence for Regenerative Endodontic Procedures: Immediate Versus Delayed Induction? J. Endod. 2017, 43, S75–S81. [Google Scholar] [CrossRef]
- Hajizadeh, S.; Youzbashi Zadeh, R.; Vatanparast, N. Pulp Revascularization in Three Immature Permanent Mandibular Molars with Necrotic Pulps: A Case Series. Iran. Endod. J. 2019, 14, 301–305. [Google Scholar] [CrossRef]
- Sako, H.; Omori, K.; Shinoda-Ito, Y.; Takabatake, K.; Nagatsuka, H.; Takashiba, S. Histopathological Study of Regenerative Endodontic Therapy on an Immature Mandibular Second Premolar with Pulp Necrosis: A Case Report. Cureus 2025, 17, e95647. [Google Scholar] [CrossRef] [PubMed]
- Darwish, O.B.; Aziz, S.M.A.; Sadek, H.S. Healing potentiality of blood clot, S-PRF and A-PRF as scaffold in treatment of non-vital mature single rooted teeth with chronic peri-apical periodontitis following regenerative endodontic therapy: Randomized clinical trial. BMC Oral Health 2025, 25, 50. [Google Scholar] [CrossRef] [PubMed]
- Kavitha, M.; Sivaprakasam, S.P.; Arunaraj, D.; Hemamalini, R.; Velayudham, S.; Bakthavatchalam, B. Comparative Evaluation of Platelet-Rich Fibrin and Concentrated Growth Factor as Scaffolds in Regenerative Endodontic Procedure: A Randomized Controlled Clinical Trial. J. Contemp. Dent. Pract. 2023, 23, 1211–1217. [Google Scholar] [CrossRef]
- Huang, Y.; Chen, K.; Zhang, Y.; Xiong, H.; Liu, C. Effect of revascularization treatment of immature permanent teeth with endodontic infection. Nan Fang. Yi Ke Da Xue Xue Bao 2013, 33, 776–778. [Google Scholar] [PubMed]
- Nagy, M.M.; Tawfik, H.E.; Hashem, A.A.R.; Abu-Seida, A.M. Regenerative Potential of Immature Permanent Teeth with Necrotic Pulps After Different Regenerative Protocols. J. Endod. 2014, 40, 192–198. [Google Scholar] [CrossRef] [PubMed]
- Ramezani, M.; Sanaei-rad, P.; Hajihassani, N. Revascularization and vital pulp therapy in immature molars with necrotic pulp and irreversible pulpitis: A case report with two-year follow-up. Clin. Case Rep. 2020, 8, 206–210. [Google Scholar] [CrossRef]
- Jiang, X.; Liu, H.; Peng, C. Clinical and Radiographic Assessment of the Efficacy of a Collagen Membrane in Regenerative Endodontics: A Randomized, Controlled Clinical Trial. J. Endod. 2017, 43, 1465–1471. [Google Scholar] [CrossRef]
- Arango-Gómez, E.; Nino-Barrera, J.L.; Nino, G.; Jordan, F.; Sossa-Rojas, H. Pulp revascularization with and without platelet-rich plasma in two anterior teeth with horizontal radicular fractures: A case report. Restor. Dent. Endod. 2019, 44, e35. [Google Scholar] [CrossRef]
- Paz Cortés, M.M.; Rojo, R.; Mourelle Martínez, M.R.; Dieguez Pérez, M.; Prados-Frutos, J.C. Evaluation of the accuracy of the Nolla method for the estimation of dental age of children between 4–14 years old in Spain: A radiographic study. Forensic Sci. Int. 2019, 301, 318–325. [Google Scholar] [CrossRef]
- Wei, X.; Yang, M.; Yue, L.; Huang, D.; Zhou, X.; Wang, X.; Zhang, Q.; Qiu, L.; Huang, Z.; Wang, H.; et al. Expert consensus on regenerative endodontic procedures. Int. J. Oral Sci. 2022, 14, 55. [Google Scholar] [CrossRef]
- Llaquet, M.; Mercadé, M.; Plotino, G. Regenerative endodontic procedures: A review of the literature and a case report of an immature central incisor. G. Ital. Endod. 2017, 31, 65–72. [Google Scholar] [CrossRef]
- Schmalz, G.; Widbiller, M.; Galler, K.M. Clinical Perspectives of Pulp Regeneration. J. Endod. 2020, 46, S161–S174. [Google Scholar] [CrossRef]
- de Mendonça, R.P.; Estrela, C.; Bueno, M.R.; Carvalho, T.C.A.S.G.; Estrela, L.R.d.A.; Chilvarquer, I. Principles of radiological protection and application of ALARA, ALADA, and ALADAIP: A critical review. Braz. Oral. Res. 2025, 39, e14. [Google Scholar] [CrossRef]
- Kühnisch, J.; Anttonen, V.; Duggal, M.S.; Spyridonos, M.L.; Rajasekharan, S.; Sobczak, M.; Stratigaki, E.; Van Acker, J.W.G.; Aps, J.K.M.; Horner, K.; et al. Best clinical practice guidance for prescribing dental radiographs in children and adolescents: An EAPD policy document. Eur. Arch. Paediatr. Dent. 2020, 21, 375–386. [Google Scholar] [CrossRef]
- Jiang, X.; Liu, H. The capability of regenerative endodontics to promote the complete root formation in immature permanent teeth with different initial pre-operative conditions. Clin. Oral Investig. 2023, 28, 6. [Google Scholar] [CrossRef]
- Minic, S.; Vital, S.; Chaussain, C.; Boukpessi, T.; Mangione, F. Tissue Characteristics in Endodontic Regeneration: A Systematic Review. Int. J. Mol. Sci. 2022, 23, 10534. [Google Scholar] [CrossRef]
- Panda, P.; Mishra, L.; Govind, S.; Panda, S.; Lapinska, B. Clinical Outcome and Comparison of Regenerative and Apexification Intervention in Young Immature Necrotic Teeth—A Systematic Review and Meta-Analysis. J. Clin. Med. 2022, 11, 3909. [Google Scholar] [CrossRef] [PubMed]
- Shetty, H.; Shetty, S.; Kakade, A.; Mali, S.; Shetty, A.; Neelakantan, P. Three-dimensional qualitative and quantitative analyses of the effect of periradicular lesions on the outcome of regenerative endodontic procedures: A prospective clinical study. Clin. Oral Investig. 2021, 25, 691–700. [Google Scholar] [CrossRef] [PubMed]
- Bonte, E.; Beslot, A.; Boukpessi, T.; Lasfargues, J.-J. MTA versus Ca(OH)2 in apexification of non-vital immature permanent teeth: A randomized clinical trial comparison. Clin. Oral Investig. 2015, 19, 1381–1388. [Google Scholar] [CrossRef] [PubMed]
- Xiao, W.; Chi, Z.; Shi, W.; Wang, J. Modified pulpotomy procedure in immature permanent teeth with apical periodontitis: A randomised controlled trial. BMJ Open 2022, 12, e057714. [Google Scholar] [CrossRef] [PubMed]
- Xuan, K.; Li, B.; Guo, H.; Sun, W.; Kou, X.; He, X.; Zhang, Y.; Sun, J.; Liu, A.; Liao, L.; et al. Deciduous autologous tooth stem cells regenerate dental pulp after implantation into injured teeth. Sci. Transl. Med. 2018, 10, eaaf3227. [Google Scholar] [CrossRef] [PubMed]








| TEETH | Irrigation Protocol | Intracanal Medication | Biomaterial | Apex Measurement (mm) Before Treatment | Apex Measurement (mm) After Treatment | Type of Apical Closure | |
|---|---|---|---|---|---|---|---|
| Case 1 | 12 | 17% EDTA NaOCl | TAP | MTA | 3.7 mm | 2.2 mm | Calcified apical barrier |
| Case 2 | 11/21 | 17% EDTA NaOCl | Ca(OH)2 | BIODENTINE® | 3.1 mm/2.8 mm | 2.3 mm/2 mm | Calcified apical barrier |
Disclaimer/Publisher’s Note: The statements, opinions and data contained in all publications are solely those of the individual author(s) and contributor(s) and not of MDPI and/or the editor(s). MDPI and/or the editor(s) disclaim responsibility for any injury to people or property resulting from any ideas, methods, instructions or products referred to in the content. |
© 2026 by the authors. Licensee MDPI, Basel, Switzerland. This article is an open access article distributed under the terms and conditions of the Creative Commons Attribution (CC BY) license.
Share and Cite
Biedma-Perea, M.; Arenas-González, M.; Barra-Soto, M.J.; Caleza-Jiménez, C.; Ribas-Pérez, D. Regenerative Endodontic Treatment in Permanent Incisors: Two Case Reports with 6 Years of Follow-Up. Children 2026, 13, 246. https://doi.org/10.3390/children13020246
Biedma-Perea M, Arenas-González M, Barra-Soto MJ, Caleza-Jiménez C, Ribas-Pérez D. Regenerative Endodontic Treatment in Permanent Incisors: Two Case Reports with 6 Years of Follow-Up. Children. 2026; 13(2):246. https://doi.org/10.3390/children13020246
Chicago/Turabian StyleBiedma-Perea, María, Marcela Arenas-González, María José Barra-Soto, Carolina Caleza-Jiménez, and David Ribas-Pérez. 2026. "Regenerative Endodontic Treatment in Permanent Incisors: Two Case Reports with 6 Years of Follow-Up" Children 13, no. 2: 246. https://doi.org/10.3390/children13020246
APA StyleBiedma-Perea, M., Arenas-González, M., Barra-Soto, M. J., Caleza-Jiménez, C., & Ribas-Pérez, D. (2026). Regenerative Endodontic Treatment in Permanent Incisors: Two Case Reports with 6 Years of Follow-Up. Children, 13(2), 246. https://doi.org/10.3390/children13020246

