A Comprehensive Review of Pediatric Necrotizing Pneumonia
Abstract
Highlights
- The epidemiology, microbiology, and current management of necrotizing pneumonia in children are reviewed.
- The prevalence of necrotizing pneumonia in children is increasing.
- Awareness of the rising prevalence and shifting microbiological patterns can facilitate early recognition and guide appropriate antimicrobial selection.
- Thoracostomy with fibrinolytics is more often preferred compared to operative therapies for managing empyema associated with necrotizing pneumonia in children.
Abstract
1. Introduction
2. Epidemiology
3. Pathophysiology
Necroptosis
4. Clinical Course
5. Etiology
6. Diagnosis
6.1. Microbiology
6.1.1. Specimen Selection and Conventional Methods
6.1.2. Antigen Detection and PCR
6.1.3. Metagenomic Next-Generation Sequencing (mNGS)
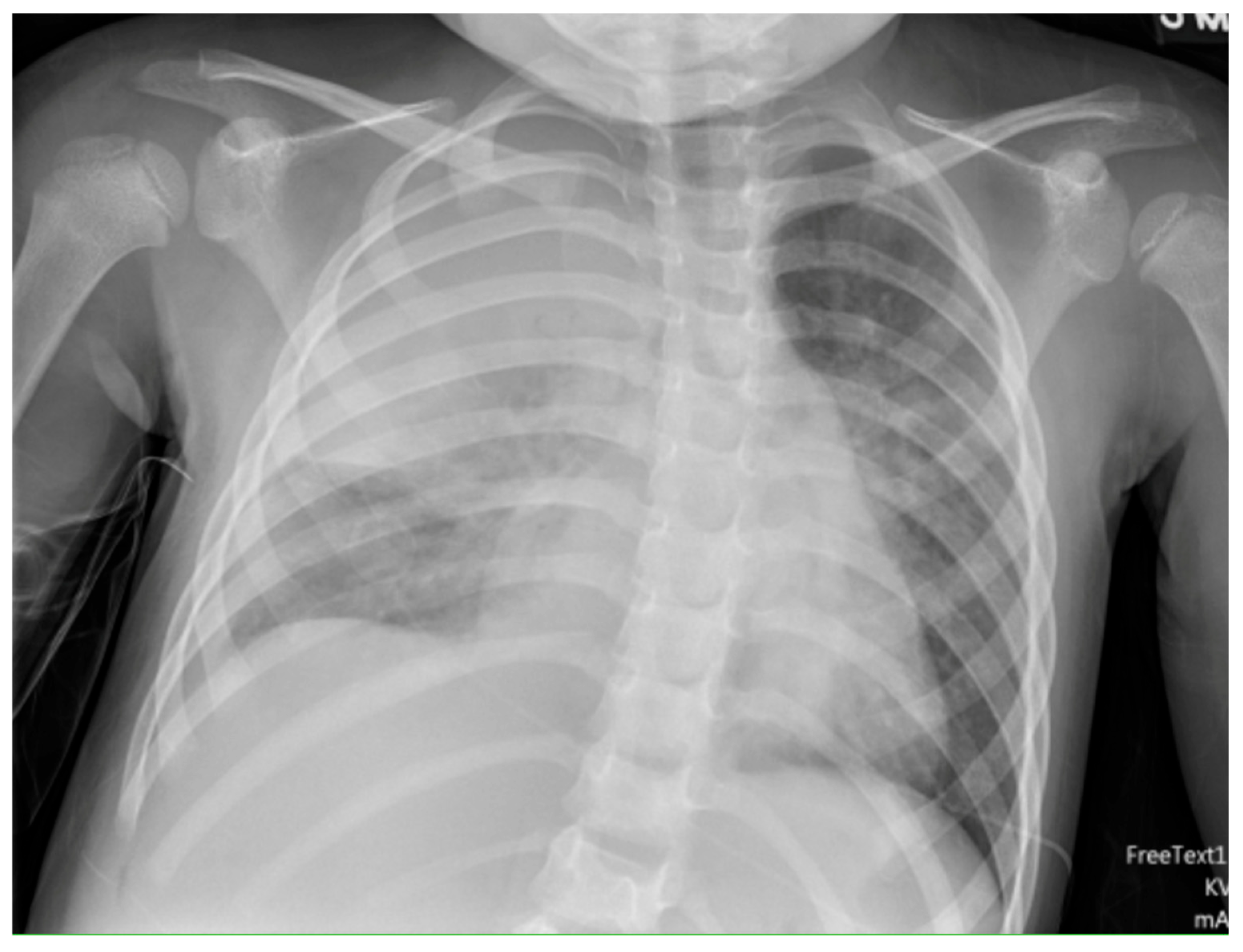
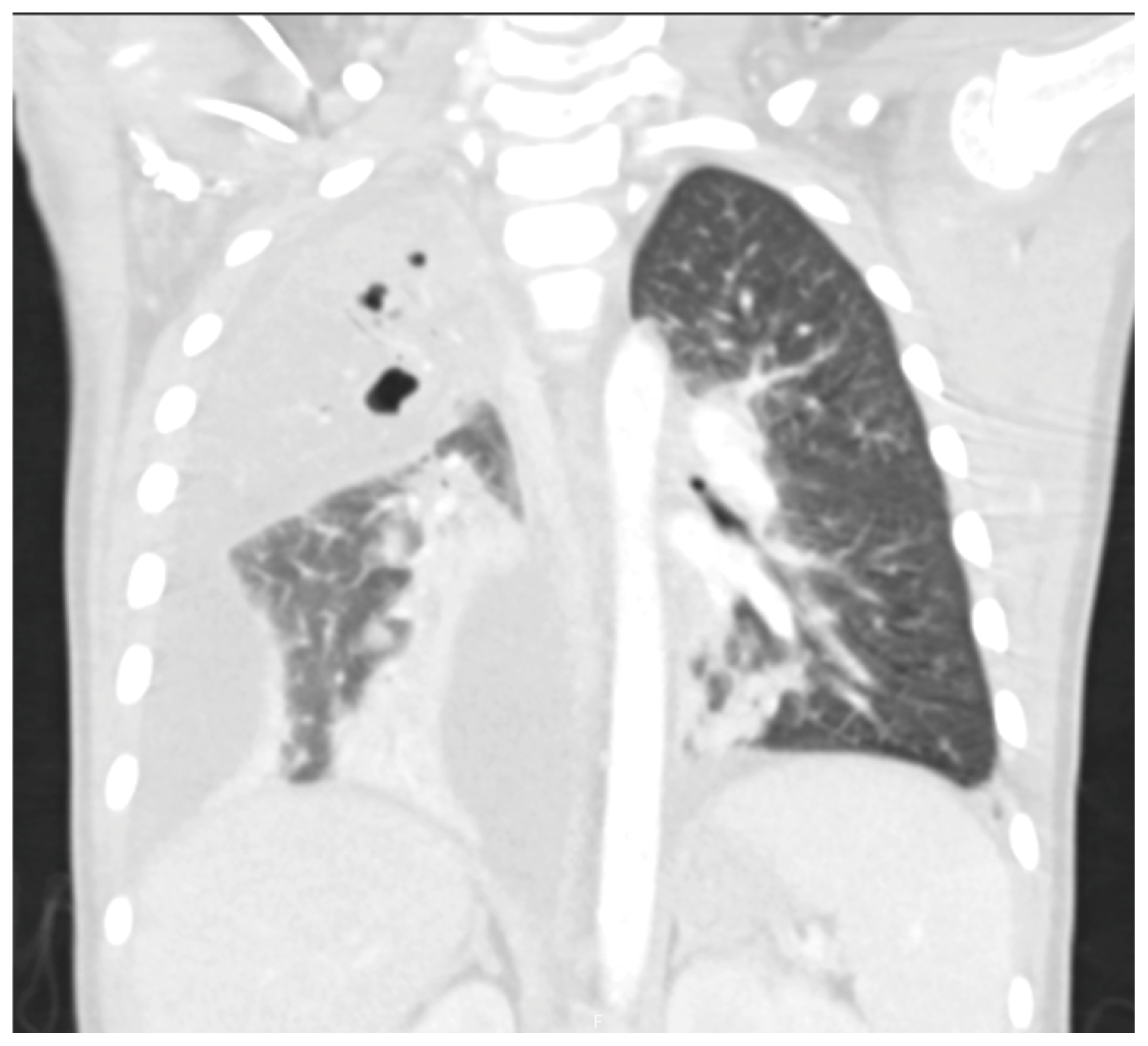
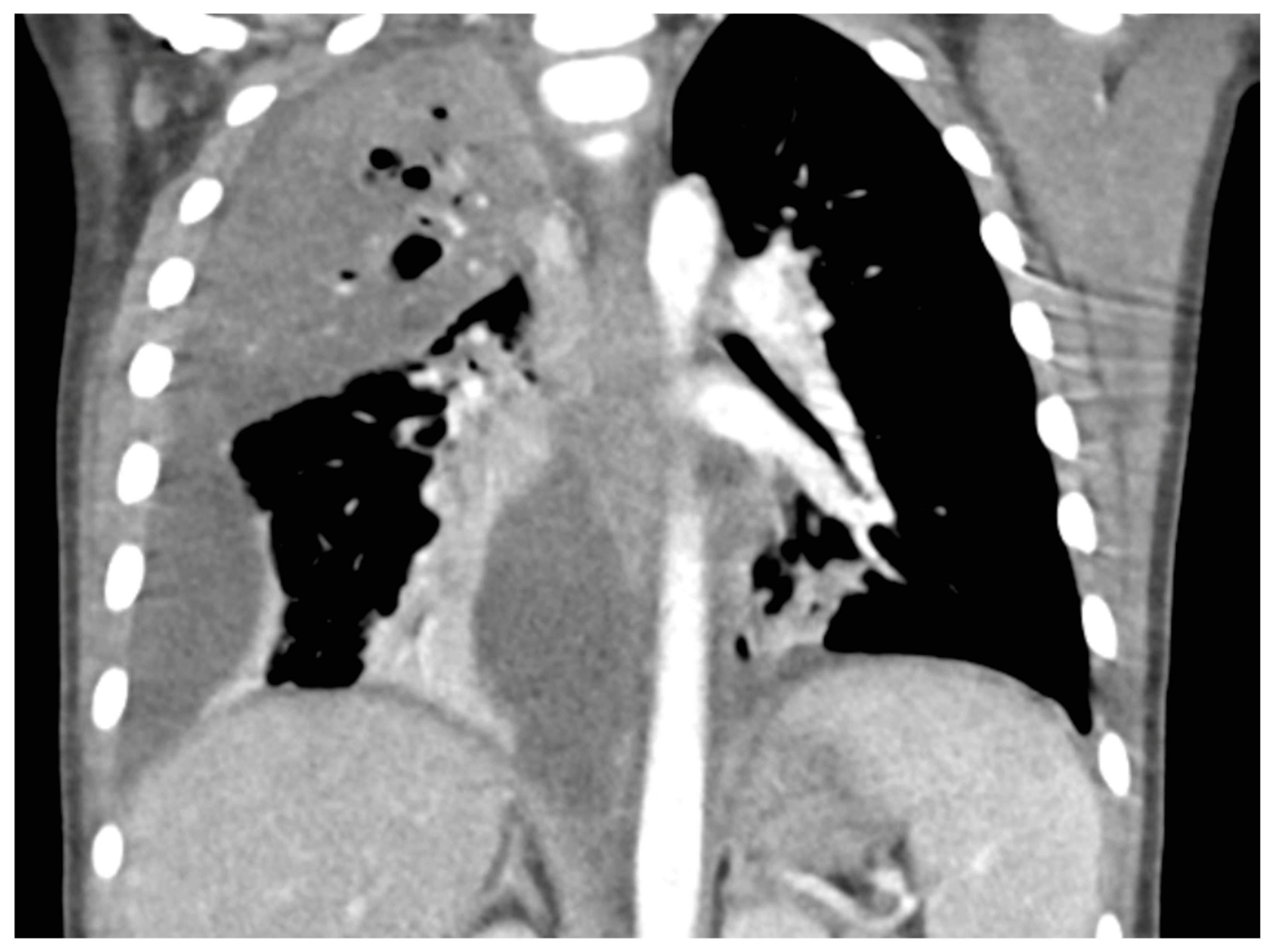
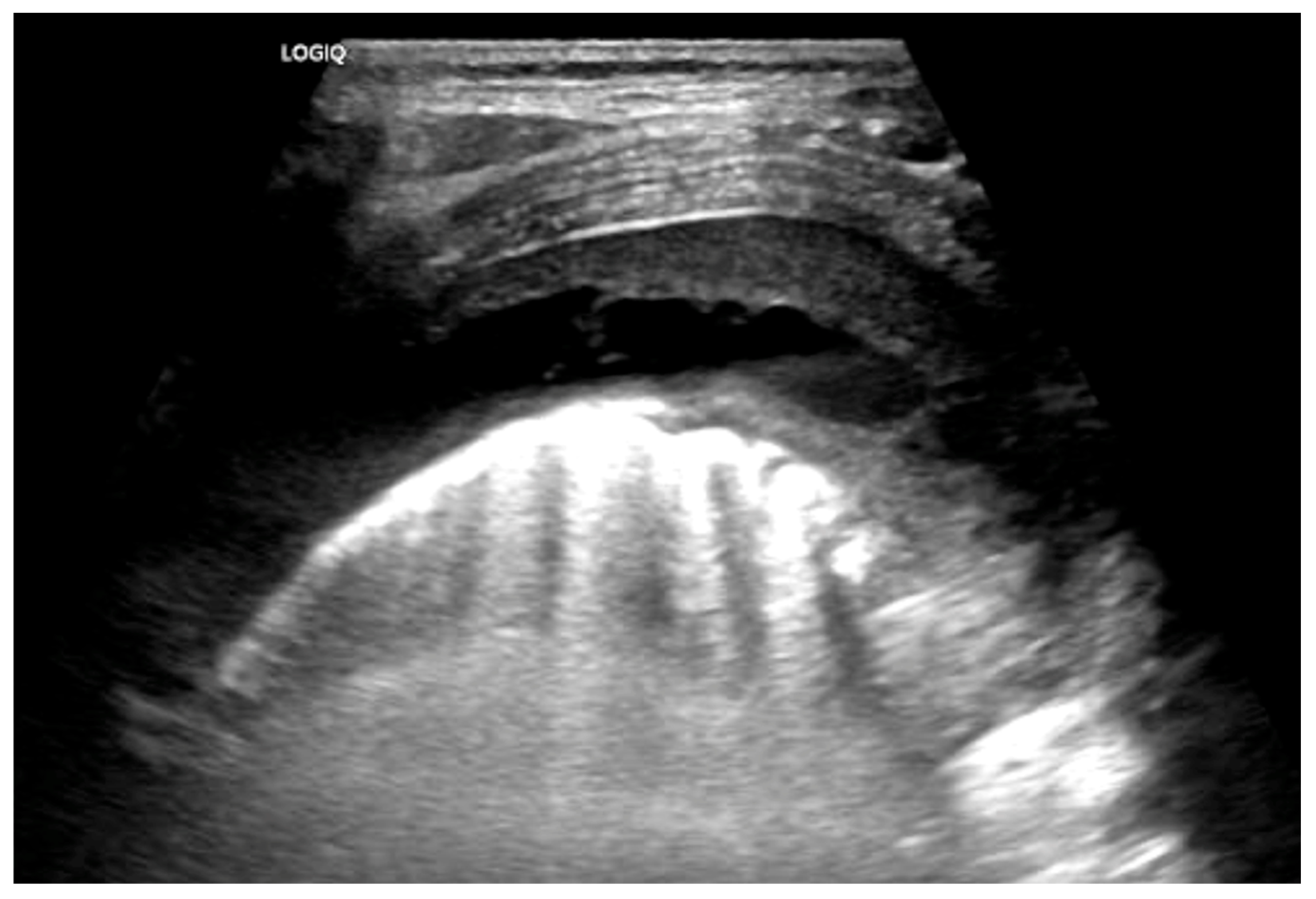
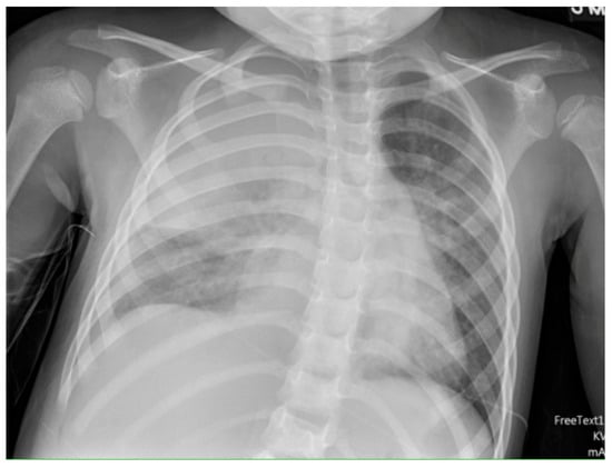
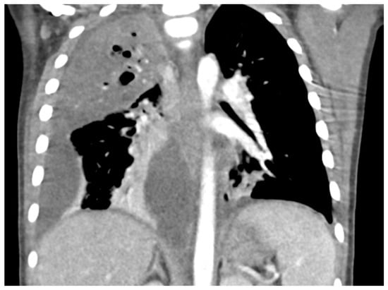
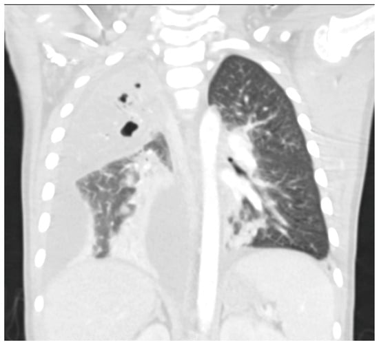
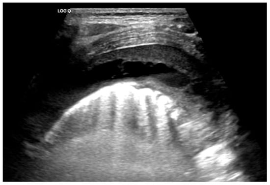
6.2. Radiology
7. Management
7.1. Antibiotics
7.2. Management of Pleural Involvement
7.2.1. Tube Thoracostomy
7.2.2. Fibrinolytics
7.2.3. Video-Assisted Thoracoscopic Surgery
7.2.4. Decortication
7.2.5. Surgical Procedures
7.3. Supportive Therapies
8. Prognosis
9. Conclusions
Author Contributions
Funding
Institutional Review Board Statement
Informed Consent Statement
Data Availability Statement
Conflicts of Interest
Abbreviations
| BALF | Bronchoalveolar Lavage Fluid |
| CAP | Community-acquired Pneumonia |
| CT | Computer tomography |
| HAP | Hospital-acquired Pneumonia |
| HCAP | Healthcare-associated Pneumonia |
| mNGS | Next-Generation Sequencing |
| MRSA | Methicillin-Resistant Staphylococcus aureus |
| MSSA | Methicillin-Sensitive Staphylococcus aureus |
| NP | Necrotizing Pneumonia |
| PVL | Panton-Valentine Leucocidine |
| tPA | Tissue Plasminogen Activator |
| U.S. | United States |
| US | Ultrasound |
| VAP | Ventilator-associated Pneumonia |
| VATS | Video Assisted Thoracic Surgery |
References
- GBD 2021 Lower Respiratory Infections and Antimicrobial Resistance Collaborators. Global, regional, and national incidence and mortality burden of non-COVID-19 lower respiratory infections and aetiologies, 1990–2021: A systematic analysis from the Global Burden of Disease Study 2021. Lancet Infect. Dis. 2024, 24, 974–1002. [Google Scholar] [CrossRef]
- Torres, A.; Cilloniz, C.; Niederman, M.S.; Menéndez, R.; Chalmers, J.D.; Wunderink, R.G.; van der Poll, T. Pneumonia. Nat. Rev. Dis. Primers 2021, 7, 25. [Google Scholar] [CrossRef]
- Burnham, J.P.; Kollef, M.H. CAP, HCAP, HAP, VAP: The Diachronic Linguistics of Pneumonia. Chest 2017, 152, 909–910. [Google Scholar] [CrossRef]
- Kalil, A.C.; Metersky, M.L.; Klompas, M.; Muscedere, J.; Sweeney, D.A.; Palmer, L.B.; Napolitano, L.M.; O’Grady, N.P.; Bartlett, J.G.; Carratalà, J.; et al. Management of Adults with Hospital-acquired and Ventilator-associated Pneumonia: 2016 Clinical Practice Guidelines by the Infectious Diseases Society of America and the American Thoracic Society. Clin. Infect. Dis. 2016, 63, e61–e111. [Google Scholar] [CrossRef] [PubMed]
- Kapania, E.M.; Cavallazzi, R. Necrotizing Pneumonia: A Practical Guide for the Clinician. Pathogens 2024, 13, 984. [Google Scholar] [CrossRef] [PubMed]
- Mandell, L.A.; Niederman, M.S. Aspiration Pneumonia. N. Engl. J. Med. 2019, 380, 651–663. [Google Scholar] [CrossRef] [PubMed]
- Bradley, J.S.; Byington, C.L.; Shah, S.S.; Alverson, B.; Carter, E.R.; Harrison, C.; Kaplan, S.L.; Mace, S.E.; McCracken, G.H., Jr.; Moore, M.R.; et al. The management of community-acquired pneumonia in infants and children older than 3 months of age: Clinical practice guidelines by the Pediatric Infectious Diseases Society and the Infectious Diseases Society of America. Clin. Infect. Dis. 2011, 53, e25–e76. [Google Scholar] [CrossRef]
- Miller, J.M.; Binnicker, M.J.; Campbell, S.; Carroll, K.C.; Chapin, K.C.; Gonzalez, M.D.; Harrington, A.; Jerris, R.C.; Kehl, S.C.; Leal, S.M., Jr.; et al. Guide to Utilization of the Microbiology Laboratory for Diagnosis of Infectious Diseases: 2024 Update by the Infectious Diseases Society of America (IDSA) and the American Society for Microbiology (ASM). Clin. Infect. Dis. 2024. ahead of print. [Google Scholar] [CrossRef]
- Gross, C.J.; Porter, J.J.; Lipsett, S.C.; Monuteaux, M.C.; Hirsch, A.W.; Neuman, M.I. Variation in Management and Outcomes of Children With Complicated Pneumonia. Hosp. Pediatr. 2021, 11, 207–214. [Google Scholar] [CrossRef]
- Reimel, B.A.; Krishnadasen, B.; Cuschieri, J.; Klein, M.B.; Gross, J.; Karmy-Jones, R. Surgical management of acute necrotizing lung infections. Can. Respir. J. 2006, 13, 369–373. [Google Scholar] [CrossRef]
- Chatha, N.; Fortin, D.; Bosma, K.J. Management of necrotizing pneumonia and pulmonary gangrene: A case series and review of the literature. Can. Respir. J. 2014, 21, 239–245. [Google Scholar] [CrossRef]
- Long, S.S.; Pickering, L.K.; Prober, C.G. Principles and Practice of Pediatric Infectious Disease; Elsevier—Health Sciences Division: Amsterdam, The Netherlands, 2012. [Google Scholar]
- de Benedictis, F.M.; Kerem, E.; Chang, A.B.; Colin, A.A.; Zar, H.J.; Bush, A. Complicated pneumonia in children. Lancet 2020, 396, 786–798. [Google Scholar] [CrossRef]
- Ness-Cochinwala, M.; Kobaitri, K.; Totapally, B.R. Characteristics and Outcomes of Children With Necrotizing Pneumonia. Pediatr. Crit. Care Med. 2021, 22, e640–e643. [Google Scholar] [CrossRef]
- Mocelin, H.T.; Fischer, G.B.; Piccini, J.D.; de Oliveira Espinel, J.; Andrade, C.F.; Bush, A. Necrotizing pneumonia in children: A review. Paediatr. Respir. Rev. 2024, 52, 51–57. [Google Scholar] [CrossRef] [PubMed]
- Sawicki, G.; Lu, F.; Valim, C.; Cleveland, R.; Colin, A. Necrotising pneumonia is an increasingly detected complication of pneumonia in children. Eur. Respir. J. 2008, 31, 1285–1291. [Google Scholar] [CrossRef] [PubMed]
- Krenke, K.; Sanocki, M.; Urbankowska, E.; Kraj, G.; Krawiec, M.; Urbankowski, T.; Peradzyńska, J.; Kulus, M. Necrotizing pneumonia and its complications in children. Pulm. Infect. 2015, 857, 9–17. [Google Scholar]
- Masters, I.B.; Isles, A.F.; Grimwood, K. Necrotizing pneumonia: An emerging problem in children? Pneumonia 2017, 9, 11. [Google Scholar] [CrossRef]
- Nicolaou, E.V.; Bartlett, A.H. Necrotizing Pneumonia. Pediatr. Ann. 2017, 46, e65–e68. [Google Scholar] [CrossRef]
- Luo, X.Q.; Luo, J.; Wang, C.J.; Luo, Z.X.; Tian, D.Y.; Xie, X.H. Clinical features of severe Mycoplasma pneumoniae pneumonia with pulmonary complications in childhood: A retrospective study. Pediatr. Pulmonol. 2023, 58, 2815–2822. [Google Scholar] [CrossRef] [PubMed]
- Abdelhady, S.; Moharram, A.A.; Fawzy, Z.; Fouda, E. Childhood necrotising pneumonia, empyema and complicated parapneumonic effusion secondary to community acquired pneumonia: Report of 158 cases from a tertiary hospital in Egypt. Respir. Res. 2025, 26, 235. [Google Scholar] [CrossRef]
- Erlichman, I.; Breuer, O.; Shoseyov, D.; Cohen-Cymberknoh, M.; Koplewitz, B.; Averbuch, D.; Erlichman, M.; Picard, E.; Kerem, E. Complicated community acquired pneumonia in childhood: Different types, clinical course, and outcome. Pediatr. Pulmonol. 2017, 52, 247–254. [Google Scholar] [CrossRef] [PubMed]
- Spencer, D.A.; Thomas, M.F. Necrotising pneumonia in children. Paediatr. Respir. Rev. 2014, 15, 240–245. [Google Scholar] [CrossRef] [PubMed]
- Chen, Y.; Li, L.; Wang, C.; Zhang, Y.; Zhou, Y. Necrotizing pneumonia in children: Early recognition and management. J. Clin. Med. 2023, 12, 2256. [Google Scholar] [CrossRef]
- Blanco-Iglesias, E.; Oñoro, G.; Almodovar-Martín, J.L.; García-Salido, A.; Caro-Patón, G.D.L.; de Azagra-Garde, A.M.; Serrano-González, A.; Casado-Flores, J. Retrospective study in children with necrotizing pneumonia: Nine years of intensive care experience. Pediatr. Infect. Dis. J. 2020, 39, 571–575. [Google Scholar] [CrossRef]
- Ness-Cochinwala, M.; Kobaitri, K.; Sendi, P.; Martinez, P.; Totapally, B.R. Alteplase Use in Pediatric Necrotizing Pneumonia. Pediatric Academic Societies 2021, E-PAS2021: EP165. 1229. Available online: https://virtual2021.pas-meeting.org/fsPopup.asp?PosterID=365432&mode=posterInfo (accessed on 14 September 2025).
- Yang, B.; Zhang, W.; Gu, W.; Zhang, X.; Wang, M.; Huang, L.; Zhu, C.; Yan, Y.; Ji, W.; Ni, H. Differences of clinical features and prognosis between Mycoplasma pneumoniae necrotizing pneumonia and non-Mycoplasma pneumoniae necrotizing pneumonia in children. BMC Infect. Dis. 2021, 21, 797. [Google Scholar] [CrossRef]
- Mei, X.; Zhang, Y.; Wang, S.; Wang, H.; Chen, R.; Ma, K.; Yang, Y.; Jiang, P.; Feng, Z.; Zhang, C.; et al. Necroptosis in Pneumonia: Therapeutic Strategies and Future Perspectives. Viruses 2024, 16, 94. [Google Scholar] [CrossRef]
- Dalponte, R.S.; Heluany, G.C.V.; Michels, M.; Madeira, K.; Prado, C.E. Surgical treatment of necrotizing pneumonia in children: A 10-year assessment. Rev. Col. Bras. Cir. 2020, 47, e20202374. [Google Scholar] [CrossRef]
- Luo, Y.; Wang, Y. Clinical characteristics of necrotizing pneumonia caused by different pathogens. Infect. Drug Resist. 2023, 16, 3777–3786. [Google Scholar] [CrossRef]
- Hoshino, W.T.; da Silva, A.; Pignatari, A.C.; Gales, A.C.; Carlesse, F. Experience in Ceftazidime-Avibactam for treatment of MDR BGN infection in Oncologic Children. Braz. J. Infect. Dis. 2025, 29, 104515. [Google Scholar] [CrossRef]
- Camino Ferró, H.; Gómez Camino, S.; Chicote Álvarez, E. Spontaneous pneumothorax and massive subcutaneous emphysema in a patient with Klebsiella pneumoniae necrotizing pneumonia. Med. Intensiv. (Engl. Ed.) 2024, 48, 627. [Google Scholar] [CrossRef]
- Hosseini, A.M.; Farshchi, P.; Hosseini, H.; Zarei, F. Escherichia coli community-acquired necrotizing pneumonia, an uncommon presentation of a common pathogen: A case report and literature review. Respirol. Case Rep. 2024, 12, e70015. [Google Scholar] [CrossRef]
- Çakır Kıymaz, Y.; Yeşildağ, S.; Hasbek, M.; Büyüktuna, S.A.; Elaldı, N. A rare case of necrotizing pneumonia due to brucellosis with blood and urine culture positivity. Diagn. Microbiol. Infect. Dis. 2024, 110, 116520. [Google Scholar] [CrossRef]
- Kerem, E.; Bar Ziv, Y.; Rudenski, B.; Katz, S.; Kleid, D.; Branski, D. Bacteremic necrotizing pneumococcal pneumonia in children. Am. J. Respir. Crit. Care Med. 1994, 149, 242–244. [Google Scholar] [CrossRef]
- Al-Saleh, S.; Grasemann, H.; Cox, P. Necrotizing pneumonia complicated by early and late pneumatoceles. Can. Respir. J. 2008, 15, 129–132. [Google Scholar] [CrossRef]
- Gross, I.; Gordon, O.; Cohen-Cymberknoh, M.; Reiter, J.; Tsabari, R.; Gileles-Hillel, A.; Erlichman, I.; Hevroni, A.; Shoseyov, D.; Kerem, E. Giant lung cysts following necrotizing pneumonia: Resolution with conservative treatment. Pediatr. Pulmonol. 2019, 54, 901–906. [Google Scholar] [CrossRef]
- Islam, S.; Calkins, C.M.; Goldin, A.B.; Chen, C.; Downard, C.D.; Huang, E.Y.; Cassidy, L.; Saito, J.; Blakely, M.L.; Rangel, S.J.; et al. The diagnosis and management of empyema in children: A comprehensive review from the APSA Outcomes and Clinical Trials Committee. J. Pediatr. Surg. 2012, 47, 2101–2110. [Google Scholar] [CrossRef]
- Light, R.W. Parapneumonic effusions and empyema. Clin. Chest Med. 1985, 6, 55–62. [Google Scholar] [CrossRef] [PubMed]
- Light, R.W. Clinical practice. Pleural effusion. N. Engl. J. Med. 2002, 346, 1971–1977. [Google Scholar] [CrossRef] [PubMed]
- Light, R.W. A new classification of parapneumonic effusions and empyema. Chest 1995, 108, 299–301. [Google Scholar] [CrossRef] [PubMed]
- Picard, E.; Joseph, L.; Goldberg, S.; Mimouni, F.B.; Deeb, M.; Kleid, D.; Raveh, D. Predictive factors of morbidity in childhood parapneumonic effusion-associated pneumonia: A retrospective study. Pediatr. Infect. Dis. J. 2010, 29, 840–843. [Google Scholar] [CrossRef]
- Padman, R.; King, K.A.; Iqbal, S.; Wolfson, P.J. Parapneumonic effusion and empyema in children: Retrospective review of the duPont experience. Clin. Pediatr. 2007, 46, 518–522. [Google Scholar] [CrossRef]
- Wong, K.S.; Lin, T.Y.; Huang, Y.C.; Chang, L.Y.; Lai, S.H. Scoring system for empyema thoracis and help in management. Indian. J. Pediatr. 2005, 72, 1025–1028. [Google Scholar] [CrossRef] [PubMed]
- Becker, A.; Amantéa, S.L.; Fraga, J.C.; Zanella, M.I. Impact of antibiotic therapy on laboratory analysis of parapneumonic pleural fluid in children. J. Pediatr. Surg. 2011, 46, 452–457. [Google Scholar] [CrossRef] [PubMed]
- Heffner, J.E.; Klein, J.S.; Hampson, C. Interventional Management of Pleural Infections. Chest 2009, 136, 1148–1159. [Google Scholar] [CrossRef] [PubMed]
- Ramgopal, S.; Ivan, Y.; Medsinge, A.; Saladino, R.A. Pediatric necrotizing pneumonia: A case report and review of the literature. Pediatr. Emerg. Care 2017, 33, 112–115. [Google Scholar] [CrossRef]
- Bover-Bauza, C.; Osona, B.; Gil, J.A.; Peña-Zarza, J.A.; Figuerola, J. Long-term outcomes of necrotizing pneumonia. An. Pediatr. (Engl. Ed.) 2021, 95, 298–306. [Google Scholar] [CrossRef]
- Tracy, M.C.; Mathew, R. Complicated pneumonia: Current concepts and state of the art. Curr. Opin. Pediatr. 2018, 30, 384–392. [Google Scholar] [CrossRef]
- Ebruke, B.E.; Deloria Knoll, M.; Haddix, M.; Zaman, S.M.; Prosperi, C.; Feikin, D.R.; Hammitt, L.L.; Levine, O.S.; O’Brien, K.L.; Murdoch, D.R. The etiology of pneumonia from analysis of lung aspirate and pleural fluid samples: Findings from the pneumonia etiology research for child health (PERCH) study. Clin. Infect. Dis. 2021, 73, e3788–e3796. [Google Scholar] [CrossRef]
- Bender, J.M.; Ampofo, K.; Korgenski, K.; Daly, J.; Pavia, A.T.; Mason, E.O.; Byington, C.L. Pneumococcal necrotizing pneumonia in Utah: Does serotype matter? Clin. Infect. Dis. 2008, 46, 1346–1352. [Google Scholar] [CrossRef]
- González-Peris, S.; Campins, M.; García-García, J.J.; Díaz-Conradi, Á.; Domínguez, Á.; Ciruela, P.; de Sevilla, M.F.; Hernández, S.; Muñoz-Almagro, C.; Izquierdo, C.; et al. Necrotizing pneumonia due to Streptococcus pneumoniae in children during the period of non-systematic use of PCV13 in Catalonia, Spain. Enferm. Infecc. Microbiol. Clín. (Engl. Ed.) 2021, 39, 486–492. [Google Scholar] [CrossRef]
- Sings, H.L.; Gessner, B.D.; Wasserman, M.D.; Jodar, L. Pneumococcal Conjugate Vaccine Impact on Serotype 3: A Review of Surveillance Data. Infect. Dis. Ther. 2021, 10, 521–539. [Google Scholar] [CrossRef]
- Cathalau, M.; Michelet, M.; Rancé, A.; Martin-Blondel, G.; Abbo, O.; Dubois, D.; Labouret, G.; Grouteau, E.; Claudet, I.; Ricco, L.; et al. Necrotizing pneumonia in children: Report of 25 cases between 2008 and 2018 at a French tertiary care center. Arch. Pediatr. 2024, 31, 183–187. [Google Scholar] [CrossRef]
- Wiese, A.D.; Griffin, M.R.; Zhu, Y.; Mitchel, E.F., Jr.; Grijalva, C.G. Changes in empyema among U.S. children in the pneumococcal conjugate vaccine era. Vaccine 2016, 34, 6243–6249. [Google Scholar] [CrossRef]
- Taffarel, P.; Bonetto, G.; Penazzi, M.; Jorro Barón, F.; Saenz, S.; Uranga, M.; Mari, E.; Pereda, R.; Debaisi, G. Severe Staphylococcus aureus infection in three pediatric intensive care units: Analysis of cases of necrotizing pneumonia. Arch. Argent. Pediatr. 2014, 112, 164–169. [Google Scholar]
- Sicot, N.; Khanafer, N.; Meyssonnier, V.; Dumitrescu, O.; Tristan, A.; Bes, M.; Lina, G.; Vandenesch, F.; Vanhems, P.; Etienne, J.; et al. Methicillin resistance is not a predictor of severity in community-acquired Staphylococcus aureus necrotizing pneumonia--results of a prospective observational study. Clin. Microbiol. Infect. 2013, 19, E142–E148. [Google Scholar] [CrossRef]
- Hoppe, P.A.; Holzhauer, S.; Lala, B.; Bührer, C.; Gratopp, A.; Hanitsch, L.G.; Humme, D.; Kieslich, M.; Kallinich, T.; Lau, S.; et al. Severe infections of Panton-Valentine leukocidin positive Staphylococcus aureus in children. Medicine 2019, 98, e17185. [Google Scholar] [CrossRef]
- Al-Talib, H.; Hasan, H.; Yean, C.Y.; Al-Ashwal, S.M.; Ravichandran, M. Fatal necrotizing pneumonia caused by Panton-Valentine leukocidin-producing hospital-acquired Staphylococcus aureus: A case report. Jpn. J. Infect. Dis. 2011, 64, 58–60. [Google Scholar] [CrossRef] [PubMed]
- Lemaître, C.; Angoulvant, F.; Gabor, F.; Makhoul, J.; Bonacorsi, S.; Naudin, J.; Alison, M.; Faye, A.; Bingen, E.; Lorrot, M. Necrotizing pneumonia in children: Report of 41 cases between 2006 and 2011 in a French tertiary care center. Pediatr. Infect. Dis. J. 2013, 32, 1146–1149. [Google Scholar] [CrossRef] [PubMed]
- Tsai, Y.F.; Ku, Y.H. Necrotizing pneumonia: A rare complication of pneumonia requiring special consideration. Curr. Opin. Pulm. Med. 2012, 18, 246–252. [Google Scholar] [CrossRef]
- Kreienbuehl, L.; Charbonney, E.; Eggimann, P. Community-acquired necrotizing pneumonia due to methicillin-sensitive Staphylococcus aureus secreting Panton-Valentine leukocidin: A review of case reports. Ann. Intensive Care 2011, 1, 52. [Google Scholar] [CrossRef] [PubMed]
- Li, H.T.; Zhang, T.T.; Huang, J.; Zhou, Y.Q.; Zhu, J.X.; Wu, B.Q. Factors associated with the outcome of life-threatening necrotizing pneumonia due to community-acquired Staphylococcus aureus in adult and adolescent patients. Respiration 2011, 81, 448–460. [Google Scholar] [CrossRef]
- Qiao, Y.; Dong, F.; Song, W.; Wang, L.; Yang, Y.; Shen, X. Hospital- and community-associated methicillin-resistant Staphylococcus aureus: A 6-year surveillance study of invasive infections in Chinese children. Acta Paediatr. 2013, 102, 1081–1086. [Google Scholar] [CrossRef]
- Creel, A.M.; Durham, S.H.; Benner, K.W.; Alten, J.A.; Winkler, M.K. Severe invasive community-associated methicillin-resistant Staphylococcus aureus infections in previously healthy children. Pediatr. Crit. Care Med. 2009, 10, 323–327. [Google Scholar] [CrossRef]
- Wang, X.; Zhong, L.J.; Chen, Z.M.; Zhou, Y.L.; Ye, B.; Zhang, Y.Y. Necrotizing pneumonia caused by refractory Mycoplasma pneumonia pneumonia in children. World J. Pediatr. 2018, 14, 344–349. [Google Scholar] [CrossRef] [PubMed]
- Zhou, Y.; Hu, M.; Ye, B.; Chen, Z.; Zhang, Y. Early prediction of necrotizing pneumonia from mycoplasma pneumoniae pneumonia with large pulmonary lesions in children. Sci. Rep. 2020, 10, 19061. [Google Scholar] [CrossRef] [PubMed]
- Zheng, B.; Zhao, J.; Cao, L. The clinical characteristics and risk factors for necrotizing pneumonia caused by Mycoplasma pneumoniae in children. BMC Infect. Dis. 2020, 20, 391. [Google Scholar] [CrossRef]
- Hou, J.; Sun, R.; Zhang, X.; Jia, W.; Li, P.; Song, C. Chest CT characterization of children with necrotizing pneumonia due to Mycoplasma pneumoniae infection. Sci. Rep. 2025, 15, 4283. [Google Scholar] [CrossRef]
- Huang, X.; Gu, H.; Wu, R.; Chen, L.; Lv, T.; Jiang, X.; Li, H.; Guo, B.; Liu, J.; Li, D.; et al. Chest imaging classification in Mycoplasma pneumoniae pneumonia is associated with its clinical features and outcomes. Respir. Med. 2024, 221, 107480. [Google Scholar] [CrossRef]
- Li, S.; Zhou, J.; He, J.; Yang, D.; Zhu, G.; Tang, L.; Chen, Z. Clinical profiles of Mycoplasma pneumoniae pneumonia in children with different pleural effusion patterns: A retrospective study. BMC Infect. Dis. 2024, 24, 919. [Google Scholar] [CrossRef] [PubMed]
- Yanhong, R.; Shuai, Z.; Dan, C.; Xiaomin, S. Predictive value of lactate dehydrogenase for Mycoplasma pneumoniae necrotizing pneumonia in children based on decision curve analysis and dose-response analysis. Sci. Rep. 2024, 14, 9803. [Google Scholar] [CrossRef]
- Yang, S.; Liu, X.; Han, Y.; Wang, H.; Mei, Y.; Wang, H.; Zhang, N.; Peng, Y.; Li, X. Clinical characteristics and associated factors of macrolide-resistant mycoplasma pneumoniae pneumonia in children: A systematic review and meta-analysis. Eur. J. Clin. Microbiol. Infect. Dis. 2025, 44, 1505–1522. [Google Scholar] [CrossRef] [PubMed]
- Ding, G.; Yang, L.; Xu, C.; Vinturache, A.; Zhang, Y. Necrotizing pneumonia associated with macrolide-resistant Mycoplasma in a child. Pediatr. Pulmonol. 2024, 59, 2679–2680. [Google Scholar] [CrossRef]
- Grochowska, M.; Strzelak, A.; Krenke, K. Complicated pneumonia caused by group A Streptococcus in children—2022/2023 infectious season outbreak and update on clinical characteristics. J. Infect. Chemother. 2024, 30, 1047–1053. [Google Scholar] [CrossRef]
- Akagi Fukushima, E.; Bhargava, A. Unusual case of necrotizing pneumonia caused by Fusobacterium nucleatum complicating influenza a virus infection. Anaerobe 2021, 69, 102342. [Google Scholar] [CrossRef]
- Gillet, Y.; Issartel, B.; Vanhems, P.; Lina, G.; Vandenesch, F.; Etienne, J.; Floret, D. Severe staphylococcal pneumonia in children. Arch. Pediatr. 2001, 8, 742s–746s. [Google Scholar] [CrossRef]
- Shi, T.; McAllister, D.A.; O’Brien, K.L.; Simoes, E.A.F.; Madhi, S.A.; Gessner, B.D.; Polack, F.P.; Balsells, E.; Acacio, S.; Aguayo, C.; et al. Global, regional, and national disease burden estimates of acute lower respiratory infections due to respiratory syncytial virus in young children in 2015: A systematic review and modelling study. Lancet 2017, 390, 946–958. [Google Scholar] [CrossRef] [PubMed]
- Pandita, A.; Dannheim, K.; Madhuripan, N.; Ehsan, A.; Farmakiotis, D. Acute Necrotizing Pneumonia from Herpes Simplex Virus. Am. J. Med. 2021, 134, e121–e122. [Google Scholar] [CrossRef]
- Vaideeswar, P.; Bavdekar, S.B.; Biswas, P.; Sarangarajan, R.; Bhosale, A. Viral ventilator-associated pneumonia: Uncovering tip of the iceberg. Indian J. Pathol. Microbiol. 2011, 54, 339–343. [Google Scholar] [CrossRef]
- Lampejo, T.; Ciesielczuk, H.; Lambourne, J. Clinical utility of 16S rRNA PCR in pleural infection. J. Med. Microbiol. 2021, 70, 001366. [Google Scholar] [CrossRef]
- Chen, Y.; Mao, L.; Lai, D.; Xu, W.; Zhang, Y.; Wu, S.; Yang, D.; Zhao, S.; Liu, Z.; Xiao, Y. Improved targeting of the 16S rDNA nanopore sequencing method enables rapid pathogen identification in bacterial pneumonia in children. Front. Cell. Infect. Microbiol. 2023, 12, 1001607. [Google Scholar] [CrossRef] [PubMed]
- Wang, Y.-n.; Wu, Y.-t.; Cao, L.; Niu, W.-q. Application of metagenomic next-generation sequencing in the etiological diagnosis of refractory pneumonia in children. Front. Microbiol. 2024, 15, 1357372. [Google Scholar] [CrossRef] [PubMed]
- Wang, H.; Lu, Z.; Bao, Y.; Yang, Y.; de Groot, R.; Dai, W.; de Jonge, M.I.; Zheng, Y. Clinical diagnostic application of metagenomic next-generation sequencing in children with severe nonresponding pneumonia. PLoS ONE 2020, 15, e0232610. [Google Scholar] [CrossRef]
- Yang, A.; Chen, C.; Hu, Y.; Zheng, G.; Chen, P.; Xie, Z.; Fan, H.; Sun, Y.; Wu, P.; Jiang, W. Application of metagenomic next-generation sequencing (mNGS) using bronchoalveolar lavage fluid (BALF) in diagnosing pneumonia of children. Microbiol. Spectr. 2022, 10, e0148822. [Google Scholar] [CrossRef] [PubMed]
- Huang, W.E.; Matifoll, J.A.; Lord, D.; Haggie, S. A review of imaging in the diagnosis and management of complicated paediatric pneumonia. Paediatr. Respir. Rev. 2025, 54, 12–18. [Google Scholar] [CrossRef]
- Chan, S.S.; Kotecha, M.K.; Rigsby, C.K.; Iyer, R.S.; Alazraki, A.L.; Anupindi, S.A.; Bardo, D.M.; Brown, B.P.; Chandra, T.; Dorfman, S.R. ACR appropriateness criteria® pneumonia in the immunocompetent child. J. Am. Coll. Radiol. 2020, 17, S215–S225. [Google Scholar] [CrossRef] [PubMed]
- Hoffer, F.; Bloom, D.; Colin, A.A.; Fishman, S.J. Lung abscess versus necrotizing pneumonia: Implications for interventional therapy. Pediatr. Radiol. 1999, 29, 87–91. [Google Scholar] [CrossRef]
- Hacimustafaoglu, M.; Celebi, S.; Sarimehmet, H.; Gurpinar, A.; Ercan, I. Necrotizing pneumonia in children. Acta Paediatr. 2004, 93, 1172–1177. [Google Scholar] [CrossRef]
- Tan Kendrick, A.P.; Ling, H.; Subramaniam, R.; Joseph, V.T. The value of early CT in complicated childhood pneumonia. Pediatr. Radiol. 2002, 32, 16–21. [Google Scholar] [CrossRef]
- Hodina, M.; Hanquinet, S.; Cotting, J.; Schnyder, P.; Gudinchet, F. Imaging of cavitary necrosis in complicated childhood pneumonia. Eur. Radiol. 2002, 12, 391–396. [Google Scholar] [CrossRef][Green Version]
- Carrard, J.; Bacher, S.; Rochat-Guignard, I.; Knebel, J.-F.; Alamo, L.; Meuwly, J.-Y.; Tenisch, E. Necrotizing pneumonia in children: Chest computed tomography vs. lung ultrasound. Front. Pediatr. 2022, 10, 898402. [Google Scholar] [CrossRef]
- Kurian, J.; Levin, T.L.; Han, B.K.; Taragin, B.H.; Weinstein, S. Comparison of ultrasound and CT in the evaluation of pneumonia complicated by parapneumonic effusion in children. Am. J. Roentgenol. 2009, 193, 1648–1654. [Google Scholar] [CrossRef] [PubMed]
- Lai, S.-H.; Wong, K.-S.; Liao, S.-L. Value of lung ultrasonography in the diagnosis and outcome prediction of pediatric community-acquired pneumonia with necrotizing change. PLoS ONE 2015, 10, e0130082. [Google Scholar] [CrossRef]
- Shen, K.R.; Bribriesco, A.; Crabtree, T.; Denlinger, C.; Eby, J.; Eiken, P.; Jones, D.R.; Keshavjee, S.; Maldonado, F.; Paul, S. The American Association for Thoracic Surgery consensus guidelines for the management of empyema. J. Thorac. Cardiovasc. Surg. 2017, 153, e129–e146. [Google Scholar] [CrossRef]
- Elviro, C.F.; Longcroft-Harris, B.; Allin, E.; Leache, L.; Woo, K.; Bone, J.N.; Pawliuk, C.; Tarabishi, J.; Carwana, M.; Wright, M. Conservative and surgical modalities in the management of pediatric parapneumonic effusion and empyema: A living systematic review and network meta-analysis. Chest 2023, 164, 1125–1138. [Google Scholar] [CrossRef]
- Randolph, A.G.; Xu, R.; Novak, T.; Newhams, M.M.; Bubeck Wardenburg, J.; Weiss, S.L.; Sanders, R.C.; Thomas, N.J.; Hall, M.W.; Tarquinio, K.M.; et al. Vancomycin Monotherapy May Be Insufficient to Treat Methicillin-resistant Staphylococcus aureus Coinfection in Children With Influenza-related Critical Illness. Clin. Infect. Dis. 2019, 68, 365–372. [Google Scholar] [CrossRef]
- Cruciani, M.; Gatti, G.; Lazzarini, L.; Furlan, G.; Broccali, G.; Malena, M.; Franchini, C.; Concia, E. Penetration of vancomycin into human lung tissue. J. Antimicrob. Chemother. 1996, 38, 865–869. [Google Scholar] [CrossRef] [PubMed]
- Scheetz, M.H.; Wunderink, R.G.; Postelnick, M.J.; Noskin, G.A. Potential impact of vancomycin pulmonary distribution on treatment outcomes in patients with methicillin-resistant Staphylococcus aureus pneumonia. Pharmacotherapy 2006, 26, 539–550. [Google Scholar] [CrossRef] [PubMed]
- Yavuz, S.; Sherif, A.; Amirrad, M.; Sabet, K.; Hassan, M.; Abuelreish, M.; Langawi, N.; Almanasir, M.; Francis, N.; Al Ali, K.S. A retrospective chart review of pediatric complicated community-acquired pneumonia: An experience in the al qassimi women and children hospital. Cureus 2022, 14. [Google Scholar] [CrossRef]
- Richards, M.K.; McAteer, J.P.; Edwards, T.C.; Hoffman, L.R.; Kronman, M.P.; Shaw, D.W.; Goldin, A.B. Establishing Equipoise: National Survey of the Treatment of Pediatric Para-Pneumonic Effusion and Empyema. Surg. Infect. 2017, 18, 137–142. [Google Scholar] [CrossRef]
- Carter, E.; Waldhausen, J.; Zhang, W.; Hoffman, L.; Redding, G. Management of children with empyema: Pleural drainage is not always necessary. Pediatr. Pulmonol. 2010, 45, 475–480. [Google Scholar] [CrossRef]
- Colice, G.L.; Curtis, A.; Deslauriers, J.; Heffner, J.; Light, R.; Littenberg, B.; Sahn, S.; Weinstein, R.A.; Yusen, R.D. Medical and Surgical Treatment of Parapneumonic Effusions: An Evidence-Based Guideline. Chest 2000, 118, 1158–1171. [Google Scholar] [CrossRef]
- Feller-Kopman, D.; Light, R. Pleural disease. N. Engl. J. Med. 2018, 378, 740–751. [Google Scholar] [CrossRef] [PubMed]
- Klein, J.S.; Schultz, S.; Heffner, J.E. Interventional radiology of the chest: Image-guided percutaneous drainage of pleural effusions, lung abscess, and pneumothorax. AJR Am. J. Roentgenol. 1995, 164, 581–588. [Google Scholar] [CrossRef]
- Keeling, A.N.; Leong, S.; Logan, P.M.; Lee, M.J. Empyema and effusion: Outcome of image-guided small-bore catheter drainage. Cardiovasc. Intervent Radiol. 2008, 31, 135–141. [Google Scholar] [CrossRef] [PubMed]
- Lai, J.-Y.; Yang, W.; Ming, Y.-C. Surgical management of complicated necrotizing pneumonia in children. Pediatr. Neonatol. 2017, 58, 321–327. [Google Scholar] [CrossRef]
- Hanson, S.J.; Havens, P.L.; Simpson, P.M.; Nugent, M.L.; Wells, R.G. Intrapleural alteplase decreases parapneumonic effusion volume in children more than saline irrigation. Pediatr. Pulmonol. 2015, 50, 1328–1335. [Google Scholar] [CrossRef]
- Thommi, G.; Nair, C.K.; Aronow, W.S.; Shehan, C.; Meyers, P.; McLeay, M. Efficacy and Safety of Intrapleural Instillation of Alteplase in the Management of Complicated Pleural Effusion or Empyema. Am. J. Ther. 2007, 14, 341–345. [Google Scholar] [CrossRef]
- Israel, E.N.; Blackmer, A.B. Tissue plasminogen activator for the treatment of parapneumonic effusions in pediatric patients. Pharmacotherapy 2014, 34, 521–532. [Google Scholar] [CrossRef] [PubMed]
- Taylor, J.L.; Liu, M.; Hoff, D.S. Retrospective Analysis of Large dose intrapleural alteplase for complicated pediatric parapneumonic effusion adn empyema. J. Pediatr. Pharmacol. Ther. 2015, 20, 128–137. [Google Scholar]
- Cohen, E.; Weinstein, M.; Fisman, D.N. Cost-effectiveness of competing strategies for the treatment of pediatric empyema. Pediatrics 2008, 121, e1250–e1257. [Google Scholar] [CrossRef]
- Marhuenda, C.; Barceló, C.; Fuentes, I.; Guillén, G.; Cano, I.; López, M.; Hernández, F.; Pérez-Yarza, E.G.; Matute, J.A.; García-Casillas, M.A.; et al. Urokinase versus VATS for treatment of empyema: A randomized multicenter clinical trial. Pediatrics 2014, 134, e1301–e1307. [Google Scholar] [CrossRef]
- Sonnappa, S.; Cohen, G.; Owens, C.M.; van Doorn, C.; Cairns, J.; Stanojevic, S.; Elliott, M.J.; Jaffe, A. Comparison of urokinase and video-assisted thoracoscopic surgery for treatment of childhood empyema. Am. J. Respir. Crit. Care Med. 2006, 174, 221–227. [Google Scholar] [CrossRef] [PubMed]
- St Peter, S.D.; Tsao, K.; Spilde, T.L.; Keckler, S.J.; Harrison, C.; Jackson, M.A.; Sharp, S.W.; Andrews, W.S.; Rivard, D.C.; Morello, F.P.; et al. Thoracoscopic decortication vs tube thoracostomy with fibrinolysis for empyema in children: A prospective, randomized trial. J. Pediatr. Surg. 2009, 44, 106–111; discussion 111. [Google Scholar] [CrossRef] [PubMed]
- Spencer, B.L.; Lotakis, D.M.; Vaishnav, A.; Carducci, J.; Hoff, L.; Speck, E.; Perrone, E.E. Implications of Using a Clinical Practice Guideline on Outcomes in Pediatric Empyema. J. Surg. Res. 2024, 303, 390–395. [Google Scholar] [CrossRef]
- Omid, M.; Rafieezadeh, A.; Talebi Anaraki, K.; Kaviany, H.; Memarzadeh, M.; Reisi, M.; Keivanfar, M. Comparing the efficacy of video assisted thoracoscopic surgery (VATS) vs. intrapleural fibrinolytic therapy in children with pleural empyema. Pediatr. Surg. Int. 2025, 41, 111. [Google Scholar] [CrossRef]
- Kelly, M.M.; Coller, R.J.; Kohler, J.E.; Zhao, Q.; Sklansky, D.J.; Shadman, K.A.; Thurber, A.; Barreda, C.B.; Edmonson, M.B. Trends in Hospital Treatment of Empyema in Children in the United States. J. Pediatr. 2018, 202, 245–251.e241. [Google Scholar] [CrossRef]
- Livingston, M.H.; Mahant, S.; Connolly, B.; MacLusky, I.; Laberge, S.; Giglia, L.; Yang, C.; Roberts, A.; Shawyer, A.; Brindle, M. Effectiveness of intrapleural tissue plasminogen activator and dornase alfa vs tissue plasminogen activator alone in children with pleural empyema: A randomized clinical trial. JAMA Pediatr. 2020, 174, 332–340. [Google Scholar] [CrossRef] [PubMed]
- Zuckerman, D.A.; Reed, M.F.; Howington, J.A.; Moulton, J.S. Efficacy of intrapleural tissue-type plasminogen activator in the treatment of loculated parapneumonic effusions. J. Vasc. Interv. Radiol. 2009, 20, 1066–1069. [Google Scholar] [CrossRef]
- Livingston, M.H.; Cohen, E.; Giglia, L.; Pirrello, D.; Mistry, N.; Mahant, S.; Weinstein, M.; Connolly, B.; Himidan, S.; Bütter, A.; et al. Are some children with empyema at risk for treatment failure with fibrinolytics? A multicenter cohort study. J. Pediatr. Surg. 2016, 51, 832–837. [Google Scholar] [CrossRef]
- McKee, A.J.; Ives, A.; Balfour-Lynn, I.M. Increased incidence of bronchopulmonary fistulas complicating pediatric pneumonia. Pediatr. Pulmonol. 2011, 46, 717–721. [Google Scholar] [CrossRef]
- Pandian, T.; Aho, J.M.; Ubl, D.S.; Moir, C.R.; Ishitani, M.B.; Habermann, E.B. The rising incidence of pediatric empyema with fistula. Pediatr. Surg. Int. 2016, 32, 215–220. [Google Scholar] [CrossRef] [PubMed]
- Peters, R.T.; Parikh, D.H.; Singh, M. Thoracoscopic debridement for empyema thoracis. J. Pediatr. Surg. 2020, 55, 2187–2190. [Google Scholar] [CrossRef] [PubMed]
- Altmann, E.S.; Crossingham, I.; Wilson, S.; Davies, H.R. Intra-pleural fibrinolytic therapy versus placebo, or a different fibrinolytic agent, in the treatment of adult parapneumonic effusions and empyema. Cochrane Database Syst. Rev. 2019, 2019. [Google Scholar] [CrossRef] [PubMed]
- Shiraishi, Y.; Omasa, M.; Yamashita, S.; Hyung-Eun, Y.; Tanahashi, M.; Fukami, T.; Tokyooka, S.; Ode, Y.; Okamoto, T.; Shiraishi, T.; et al. Guidelines for the treatment of empyema (The Japanese Association for Chest Surgery). Gen. Thorac. Cardiovasc. Surg. 2025, 73, 312–327. [Google Scholar] [CrossRef]
- Frybova, B.; Koucky, V.; Pohunek, P.; Cejnarova, K.; Coufal, S.; Kokesova, A.; Dotlacil, V.; Petrasova, N.; Pos, L.; Snajdauf, J.; et al. Lung Resection in Children with Necrotizing Pneumonia: Outcome and Follow-up. Eur. J. Pediatr. Surg. 2022, 32, 280–286. [Google Scholar] [CrossRef]
- Tseng, Y.L.; Wu, M.H.; Lin, M.Y.; Lai, W.W.; Liu, C.C. Surgery for lung abscess in immunocompetent and immunocompromised children. J. Pediatr. Surg. 2001, 36, 470–473. [Google Scholar] [CrossRef]
- Bolaños-Morales, F.V.; Gómez-Portugal, E.P.; Aguilar-Mena, M.E.; Santillán-Doherty, P.J.; Sotres-Vega, A.; Santibáñez-Salgado, J.A. Lung necrosectomy in pediatric patients with necrotizing pneumonia. Gen. Thorac. Cardiovasc. Surg. 2018, 66, 155–160. [Google Scholar] [CrossRef]
- Harris, M.; Clark, J.; Coote, N.; Fletcher, P.; Harnden, A.; McKean, M.; Thomson, A. British Thoracic Society guidelines for the management of community acquired pneumonia in children: Update 2011. Thorax 2011, 66 (Suppl. 2), ii1–ii23. [Google Scholar] [CrossRef]
- Wrotek, A.; Jackowska, T. Hyponatremia in children hospitalized due to pneumonia. Adv. Exp. Med. Biol. 2013, 788, 103–108. [Google Scholar] [CrossRef]
- McNab, S. Isotonic vs Hypotonic Intravenous Fluids for Hospitalized Children. JAMA 2015, 314, 720–721. [Google Scholar] [CrossRef]
- Honkinen, M.; Lahti, E.; Svedström, E.; Jartti, T.; Virkki, R.; Peltola, V.; Ruuskanen, O. Long-term recovery after parapneumonic empyema in children. Pediatr. Pulmonol. 2014, 49, 1020–1027. [Google Scholar] [CrossRef] [PubMed]






| Pneumonia | Definition |
|---|---|
| Community-acquired pneumonia (CAP) | Pneumonia occurs outside the hospital in patients who were not admitted at least 30 days before the onset. Viral infections account for 80% cases [7,8]. |
| Hospital-acquired pneumonia (HAP) | Pneumonia acquired at least 2 days after hospitalization, not incubating before admission. Predominantly bacterial etiology [8]. |
| Ventilator-associated pneumonia (VAP) | HAP occurring > 48 h after intubation Predominantly bacterial etiology [8]. |
| Healthcare-associated pneumonia (HCAP) (No longer mentioned in 2016 guidelines) [4] | Pneumonia in those who were hospitalized or in a nursing home within 90 days, or home infusion or chronic dialysis within 30 days. Predominantly bacterial etiology [8]. |
| Clinical Entity | Clinical Features | Management |
|---|---|---|
| Lung abscess | Solitary abscess, indolent course. | Antibiotics with or without surgical resection (uncommon). |
| Necrotizing pneumonia | Consolidated lung with necrosis and multiple small abscesses, which may coalesce to form large abscesses, pneumatoceles, bullae, pneumothorax, bronchopleural fistula, and PPE. Usually presents with fever, elevated inflammatory markers, sepsis, and respiratory failure. | Antibiotics, supportive therapy, chest tube, and, rarely, surgical procedures. |
| Pulmonary gangrene | Progressive devitalization of lung tissue with at least 50% or more of a lobe is necrotic. It can be from the progression of NP. | Antibiotics and surgical procedures (e.g., lobectomy) are more often needed. |
| Bacteria | Fungi | Viruses |
|---|---|---|
| Streptococcus pneumoniae * | Aspergillus species | Influenza |
| Staphylococcus aureus * | Candida species | Adenovirus |
| Streptococcus mitis species * | Histoplasma caspulatum | Herpes viruses, including Cytomegalovirus |
| Mycoplasma pneumoniae | Coccidoides species | Varicella-Zoster |
| Streptococcus pyogenes | Blastomyces species | Ebstein-Barr Virus |
| Pseudomonas species | Cryptococcus neoformans | |
| Fusobacterium species | ||
| Hemophilus influenzae [30] | ||
| Klebsiella species [31,32] | ||
| Escherichia coli [33] | ||
| Brusellosis [34] |
| Pleural Fluid Examination | Sensitivity (%) | Specificity (%) | |
|---|---|---|---|
| Pleural: Serum Protein Ratio | >0.5 | 86 | 84 |
| Pleural: Serum Lactate Dehydrogenase Ratio | >0.6 | 90 | 82 |
| Pleural Fluid Lactate Dehydrogenase Level | >2/3 Upper Limit of Serum LDH | 82 | 89 |
| Any one of the above criteria | 98 | 83 |
| Stage | Features of Effusion | Thoracentesis/Chest Tube Drainage |
|---|---|---|
| Stage I: Uncomplicated PPE | Minimal, free-flowing, <10 mm thickness on lateral decubitus | No/No |
| Stage II: Uncomplicated PPE | Small to moderate, free-flowing, >10 mm and less than half of the hemithorax | Yes/No |
| Stage III: Complicated PPE | Large, free-flowing, ≥half of the hemithorax, loculation/septation | Yes/Yes |
| Stage IV: Empyema | Thick pus | Yes/Yes |
Disclaimer/Publisher’s Note: The statements, opinions and data contained in all publications are solely those of the individual author(s) and contributor(s) and not of MDPI and/or the editor(s). MDPI and/or the editor(s) disclaim responsibility for any injury to people or property resulting from any ideas, methods, instructions or products referred to in the content. |
© 2025 by the authors. Licensee MDPI, Basel, Switzerland. This article is an open access article distributed under the terms and conditions of the Creative Commons Attribution (CC BY) license (https://creativecommons.org/licenses/by/4.0/).
Share and Cite
Ness-Cochinwala, M.; Totapally, B.R. A Comprehensive Review of Pediatric Necrotizing Pneumonia. Children 2025, 12, 1248. https://doi.org/10.3390/children12091248
Ness-Cochinwala M, Totapally BR. A Comprehensive Review of Pediatric Necrotizing Pneumonia. Children. 2025; 12(9):1248. https://doi.org/10.3390/children12091248
Chicago/Turabian StyleNess-Cochinwala, Manette, and Balagangadhar R. Totapally. 2025. "A Comprehensive Review of Pediatric Necrotizing Pneumonia" Children 12, no. 9: 1248. https://doi.org/10.3390/children12091248
APA StyleNess-Cochinwala, M., & Totapally, B. R. (2025). A Comprehensive Review of Pediatric Necrotizing Pneumonia. Children, 12(9), 1248. https://doi.org/10.3390/children12091248

