New Trigger for Stroke-like Episode in Sturge–Weber Syndrome: A Case Report
Abstract
1. Introduction
1.1. History
1.2. Genetics
1.3. Physiopathology
1.4. Neuroimaging
2. Clinical Manifestations
2.1. Encephalofacial Angiomatosis
2.2. Ocular Manifestations
2.2.1. Glaucoma
2.2.2. Choroidal Hemangioma
2.3. Neurological Manifestations
2.3.1. Epilepsy
2.3.2. Headache/Migraine
2.3.3. Stroke-like Episodes
2.3.4. Dentistry/Maxillofacial
2.3.5. Intellectual and Language Impairments
2.3.6. Outcome Measures
3. Case Presentation
3.1. Medical History
3.2. Clinical Course
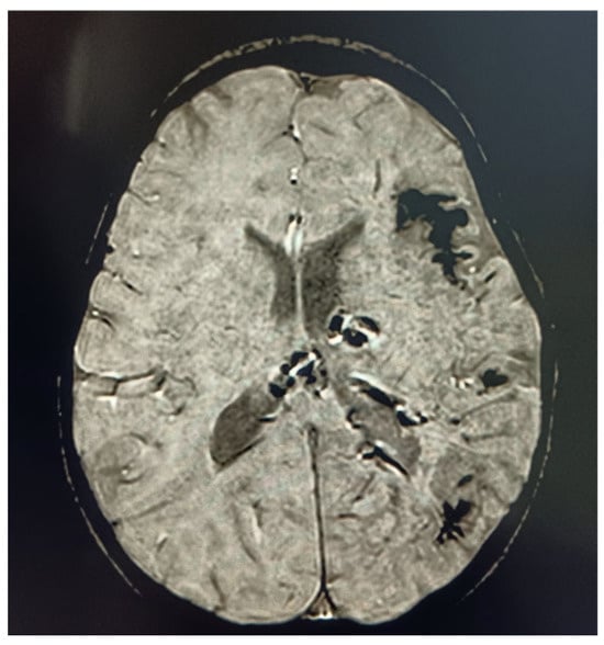
3.3. Diagnostic Work-Up
3.4. Treatment and Manager
3.5. Recovery
4. Discussion
5. Conclusions
Author Contributions
Funding
Institutional Review Board Statement
Informed Consent Statement
Data Availability Statement
Conflicts of Interest
References
- Schirmer, R. Ein fall von teleangiektasie. Graefes Arch. Ophthalmol. 1860, 7, 119–121. [Google Scholar] [CrossRef]
- Sturge, W. A case of partial epilepsy, apparently due to a lesion of one of the vasomotor centres of the brain. Trans. Clin. Soc. Lond. 1879, 12, 162. [Google Scholar]
- Ramirez, E.L.; Jülich, K. Sturge-Weber syndrome: An overview of history, genetics, clinical manifestations, and management. Semin. Pediatr. Neurol. 2024, 51, 101151. [Google Scholar] [CrossRef] [PubMed]
- Huang, L.; Couto, J.A.; Pinto, A.; Alexandrescu, S.; Madsen, J.R.; Greene, A.K.; Sahin, M.; Bischoff, J. Somatic GNAQ mutation is enriched in brain endothelial cells in Sturge-weber syndrome. Pediatr. Neurol. 2017, 67, 59–63. [Google Scholar] [CrossRef]
- Thorpe, J.; Frelin, L.P.; McCann, M.; Pardo, C.A.; Cohen, B.A.; Comi, A.M.; Pevsner, J. Identification of a Mosaic Activating Mutation in GNA11 in Atypical Sturge-Weber Syndrome. J. Investig. Dermatol. 2021, 141, 685–688. [Google Scholar] [CrossRef] [PubMed] [PubMed Central]
- Ye, Z.; McQuillan, L.; Poduri, A.; Green, T.E.; Matsumoto, N.; Mefford, H.C.; Scheffer, I.E.; Berkovic, S.F.; Hildebrand, M.S. Somatic mutation: The hidden genetics of brain malformations and focal epilepsies. Epilepsy Res. 2019, 155, 106161. [Google Scholar] [CrossRef] [PubMed]
- Nasim, S.; Bichsel, C.; Dayneka, S.; Mannix, R.; Holm, A.; Vivero, M.; Alexandrescu, S.; Pinto, A.; Greene, A.K.; Ingber, D.E.; et al. MRC1 and LYVE1 expressing macrophages in vascular beds of GNAQ p.R183Q driven capillary malformations in Sturge Weber syndrome. Acta Neuropathol. Commun. 2024, 12, 47. [Google Scholar] [CrossRef] [PubMed] [PubMed Central]
- Ai, D.; Ming, T.; Li, X.; Wang, S.; Bi, Z.; Zuo, J.; Cheng, Z.; Sun, W.; Xie, M.; Li, F.; et al. Transcriptomic Profiling Unveils EDN3+ Meningeal Fibroblasts as Key Players in Sturge-Weber Syndrome Pathogenesis. Adv. Sci. 2025, e2408888. [Google Scholar] [CrossRef] [PubMed]
- Knöpfel, N.; Zecchin, D.; Richardson, H.; Polubothu, S.; Barberan-Martin, S.; Cullup, T.; Gholam, K.; Heales, S.; Krywawych, S.; López-Balboa, P.; et al. GNAQ/GNA11 Mosaicism Is Associated with Abnormal Serum Calcium Indices and Microvascular Neurocalcification. J. Investig. Dermatol. 2024, 144, 820–832.e9. [Google Scholar] [CrossRef] [PubMed] [PubMed Central]
- Catsman-Berrevoets, C.E.; Koudijs, S.M.; Buijze, M.S.J.; de Laat, P.C.J.; Pasmans, S.G.M.A.; Dremmen, M.H.G. Early MRI diagnosis of Sturge Weber Syndrome type 1 in infants. Eur. J. Paediatr. Neurol. 2022, 38, 66–72. [Google Scholar] [CrossRef]
- Anand, V.; Vinayan, K.P.; Radhakrishnan, S. Looks can be deceiving: An appraisal of Sturge weber syndrome type III case series. Brain Dev. 2024, 46, 392. [Google Scholar] [CrossRef] [PubMed]
- Bar, C.; Pedespan, J.M.; Boccara, O.; Garccelon, N.; Levy, R.; Grévent, D.; Boddaert, N.; Nabbout, R. Early magnetic resonance imaging to detect presymptomatic leptomeningeal angioma in children with suspected Sturge-Weber syndrome. Dev. Med. Child. Neurol. 2019, 62, 227–233. [Google Scholar] [CrossRef] [PubMed]
- Mankel, F.L.; Papandreou, A.; Mankad, K.; Richardson, H.; Aylett, S.E. Diagnostic pathway and management of first seizures in infants with Sturge-Weber syndrome. Dev. Med. Child. Neurol. 2025, 67, 111–118. [Google Scholar] [CrossRef]
- Moritani, T.; Kim, J.; Sato, Y.; Bonthius, D.; Smoker, W.R. Abnormal hypermyelination in a neonate with Sturge-Weber syndrome demonstrated on diffusion-tensor imaging. J. Magn. Reson. Imaging 2008, 27, 617–620. [Google Scholar] [CrossRef]
- Cerron-Vela, C.R.; Manteghinejad, A.; Clifford, S.M.; Andronikou, S. Alternative Venous Pathways: A Potential Key Imaging Feature for Early Diagnosis of Sturge-Weber Syndrome Type 1. AJNR Am. J. Neuroradiol. 2025, 46, 186–193. [Google Scholar] [CrossRef]
- Sabeti, S.; Ball, K.L.; Bhattacharya, S.K.; Bitrian, E.; Blieden, L.S.; Brandt, J.D.; Burkhart, C.; Chugani, H.T.; Falchek, S.J.; Jain, B.G.; et al. Consensus Statement for the Management and Treatment of Sturge-Weber Syndrome: Neurology, Neuroimaging, and Ophthalmology Recommendations. Pediatr. Neurol. 2021, 121, 59–66. [Google Scholar] [CrossRef] [PubMed] [PubMed Central]
- Xiang, L.; Mo, L.; Zhang, D.X. Sturge-Weber syndrome. QJM 2025, 118, 49–50. [Google Scholar] [CrossRef]
- Durai, V.; Sagili, H.; Durairaj, J.; Ananthakrishnan, R.; Nair, P.P.; Keepanasseril, A.; Keepanasseril, A. Managing pregnancy in women with Sturge-Weber syndrome: Case report and review of the literature. J. Obstet. Gynaecol. 2022, 42, 751–756. [Google Scholar] [CrossRef] [PubMed]
- Higueros, E.; Roe, E.; Granell, E.; Baselga, E. Sturge-Weber syndrome: A review. Actas Dermo Sifiliogr. 2017, 108, 407–417. [Google Scholar] [CrossRef] [PubMed]
- Hassanpour, K.; Nourinia, R.; Gerami, E.; Mahmoudi, G.; Esfandiari, H. Ocular manifestations of the Sturge—Weber syndrome. J. Ophthalmic Vis. Res. 2021, 16, 415. [Google Scholar] [CrossRef]
- Lv, Y.; Liang, G.; Fan, H.; Cheng, J.; Xing, P.; Zhu, L. Magnetic Resonance Imaging Evaluation of Hemangioma Resection for Encephalofacial Angiomatosis (Sturge-Weber Syndrome) in Children under Intelligent Algorithm. Contrast Media Mol. Imaging 2022, 2022, 7399255. [Google Scholar] [CrossRef]
- Vu, D.M.; Gjerde, H.; Elhusseiny, A.M.; Oke, I.; VanderVeen, D.K. Distribution of Port-Wine Birthmarks and Glaucoma Outcomes in Sturge-Weber Syndrome. Ophthalmol. Glaucoma 2025, 8, 181–187. [Google Scholar] [CrossRef]
- Poliner, A.; Fernandez Faith, E.; Blieden, L.; Kelly, K.M.; Metry, D. Port-wine Birthmarks: Update on Diagnosis, Risk Assessment for Sturge-Weber Syndrome, and Management. Pediatr. Rev. 2022, 43, 507–516. [Google Scholar] [CrossRef] [PubMed]
- Mantelli, F.; Bruscolini, A.; La Cava, M.; Abdolrahimzadeh, S.; Lambiase, A. Ocular manifestations of Sturge—Weber syndrome: Pathogenesis, diagnosis, and management. Clin. Ophthalmol. 2016, 10, 871. [Google Scholar]
- El Hachem, M.; Diociaiuti, A.; Galeotti, A.; Grussu, F.; Gusson, E.; Ferretti, A.; Marras, C.E.; Vecchio, D.; Cappelletti, S.; Severino, M.; et al. Multidisciplinary, multicenter consensus for the care of patients affected with Sturge-Weber syndrome. Orphanet J. Rare Dis. 2025, 20, 28. [Google Scholar] [CrossRef]
- Ha, A.; Kim, J.S.; Baek, S.U.; Park, Y.J.; Jeoung, J.W.; Park, K.H.; Kim, Y.K. Facial port-wine stain phenotypes associated with glaucoma risk in neonates. Am. J. Ophthalmol. 2020, 220, 183–190. [Google Scholar] [CrossRef]
- Senthilkumar, V.A.; Prakash, S.; Puthuran, G.V.; Uduman, M.S.; Krishnadas, S.R.; Gedde, S.J. Surgical Outcomes of Early Versus Late Onset Glaucoma Associated with Sturge-Weber Syndrome. J. Glaucoma 2024, 33, 516–522. [Google Scholar] [CrossRef]
- Formisano, M.; Abdolrahimzadeh, B.; Mollo, R.; Bruni, P.; Malagola, R.; Abdolrahimzadeh, S. Bilateral diffuse choroidal hemangioma in Sturge Weber syndrome: A case report highlighting the role of multimodal imaging and a brief review of the literature. J. Curr. Ophthalmol. 2019, 31, 242–249. [Google Scholar] [CrossRef]
- Sesma, G.; AlHijji, L.; AlRomaih, A.; Schargel, K. Innovative use of PreserFlo microshunt in an infant with Sturge-Weber syndrome-related glaucoma: Case report. Int. J. Surg. Case Rep. 2025, 128, 111024. [Google Scholar] [CrossRef]
- Almobarak, F.A.; Alobaidan, A.S.; Alobrah, M.A. Outcomes of Deep Sclerectomy for Glaucoma Secondary to Sturge-Weber Syndrome. J. Clin. Med. 2023, 12, 516. [Google Scholar] [CrossRef] [PubMed]
- Dompmartin, A.; van der Vleuten, C.J.M.; Dekeuleneer, V.; Duprez, T.; Revencu, N.; Désir, J.; Te Loo, D.M.W.M.; Flucke, U.; Eijkelenboom, A.; Schultze Kool, L.; et al. GNA11-mutated Sturge-Weber syndrome has distinct neurological and dermatological features. Eur. J. Neurol. 2022, 29, 3061–3070. [Google Scholar] [CrossRef] [PubMed]
- Surve, A.; Azad, S.; Venkatesh, P.; Kumar, V.; Chawla, R.; Gupta, V.; Vohra, R. Choroidal vascular pattern in cases of Sturge-Weber Syndrome. Ophthalmol. Retin. 2019, 3, 1091–1097. [Google Scholar] [CrossRef] [PubMed]
- García Caride, S.; Fernández-Vigo, J.I.; Valverde-Megías, A. Update on the diagnosis and treatment of choroidal hemangioma. Arch. Soc. Esp. Oftalmol. 2023, 98, 281–291. [Google Scholar] [CrossRef] [PubMed]
- Ciancimino, C.; Di Pippo, M.; Rullo, D.; Ruggeri, F.; Grassi, F.; Scuderi, G.; Abdolrahimzadeh, S. An Update on Multimodal Ophthalmological Imaging of Diffuse Choroidal Hemangioma in Sturge-Weber Syndrome. Vision 2023, 7, 64. [Google Scholar] [CrossRef] [PubMed] [PubMed Central]
- Sujansky, E.; Conradi, S. Sturge-Weber syndrome: Age of onset of seizures and glaucoma and the prognosis for affected children. J. Child. Neurol. 1995, 10, 49–58. [Google Scholar] [CrossRef] [PubMed]
- Wu, J.; Tarabishy, B.; Hu, J.; Miao, Y.; Cai, Z.; Xuan, Y.; Behen, M.; Li, M.; Ye, Y.; Shoskey, R.; et al. Cortical calcification in Sturge-Weber Syndrome on MRI-SWI: Relation to brain perfusion status and seizure severity. J. Magn. Reson. Imaging 2011, 34, 791–798. [Google Scholar] [CrossRef] [PubMed] [PubMed Central]
- Jagtap, S.; Srinivas, G.; Harsha, K.J.; Radhakrishnan, N.; Radhakrishnan, A. Sturge-Weber syndrome: Clinical spectrum, disease course, and outcome of 30 patients. J. Child. Neurol. 2013, 28, 725–731. [Google Scholar] [CrossRef]
- Luat, A.F.; Juhász, C.; Loeb, J.A.; Chugani, H.T.; Falchek, S.J.; Jain, B.; Greene-Roethke, C.; Amlie-Lefond, C.; Ball, K.L.; Davis, A.; et al. Neurological Complications of Sturge-Weber Syndrome: Current Status and Unmet Needs. Pediatr. Neurol. 2019, 98, 31–38. [Google Scholar] [CrossRef] [PubMed]
- Disse, S.C.; Küpper, H.; Bock, A.; Korenke, G.C.; Ramantani, G.; Weidner, B.; Preisel, M.; Trollmann, R.; Wiemer-Kruel, A.; Brockmann, K.; et al. The natural history of pediatric Sturge-Weber Syndrome: A multinational cross-sectional study. Eur. J. Paediatr. Neurol. 2025, 54, 200–209. [Google Scholar] [CrossRef] [PubMed]
- Smegal, L.F.; Sebold, A.J.; Hammill, A.M.; Juhász, C.; Lo, W.D.; Miles, D.K.; Wilfong, A.A.; Levin, A.V.; Fisher, B.; Ball, K.L.; et al. Multicenter Research Data of Epilepsy Management in Patients With Sturge-Weber Syndrome. Pediatr. Neurol. 2021, 119, 3–10. [Google Scholar] [CrossRef] [PubMed] [PubMed Central]
- Joslyn, K.E.; Truver, N.F.; Comi, A.M. A Review of Sturge-Weber Syndrome Brain Involvement, Cannabidiol Treatment and Molecular Pathways. Molecules 2024, 29, 5279. [Google Scholar] [CrossRef]
- Griessenauer, C.J.; Salam, S.; Hendrix, P.; Patel, D.M.; Tubbs, R.S.; Blount, J.P.; Winkler, P.A. Hemispherectomy for treatment of refractory epilepsy in the pediatric age group: A systematic review. J. Neurosurg. Pediatr. 2015, 15, 34–44. [Google Scholar] [CrossRef] [PubMed]
- Melikyan, A.G.; Kushel, Y.V.; Vorobev, A.N.; Arkhipova, N.A.; Sorokin, V.S.; Lemeneva, N.V.; Savin, I.A.; Pronin, I.N.; Kozlova, A.B.; Grinenko, O.A.; et al. Hemispherectomy in the treatment of pediatric symptomatic epilepsy of children. Zh. Vopr. Neirokhir. Im. N. N. Burdenko. 2016, 80, 13–24. [Google Scholar] [CrossRef] [PubMed]
- Wang, S.; Liu, Q.Z.; Zhao, R.; Zhai, X.; Zhang, K.; Cai, L.; Li, S.; Yang, Z.; Shan, Y.; Ma, K.; et al. Seizure, Motor, and Cognitive Outcomes After Epilepsy Surgery for Patients with Sturge-Weber Syndrome: Results from a Multicenter Study. Neurology 2024, 103, e209525. [Google Scholar] [CrossRef] [PubMed] [PubMed Central]
- Montenegro, M.A.; Valente, K.D.; Soldatelli, M.D.; Sampaio, L.B.; Pinto, A.L. Epilepsy surgery in patients with Sturge-Weber Syndrome. Epilepsy Behav. 2025, 165, 110312. [Google Scholar] [CrossRef]
- Cheng, Z.; Sun, W.; Ma, K.; Wang, X.; Pan, J.; Ma, H.; Peng, X.; Luan, G.; Guan, Y. Exploring the Efficacy and Safety of Vagus Nerve Stimulation for the Treatment of Epilepsy in Patients with Sturge-Weber Syndrome: A Pilot Study. Pediatr. Neurol. 2025, 164, 35–40. [Google Scholar] [CrossRef]
- Day, A.M.; Hammill, A.M.; Juhász, C.; Pinto, A.L.; Roach, E.S.; McCulloch, C.E.; Comi, A.M.; Ball, K.L.; Fisher, B.J.; Koenig, J.I.; et al. Hypothesis: Presymptomatic treatment of Sturge-weber syndrome with aspirin and antiepileptic drugs may delay seizure onset. Pediatr. Neurol. 2019, 90, 8–12. [Google Scholar] [CrossRef]
- Valery, C.B.; Iannotti, I.; Kossoff, E.H.; Zabel, A.; Cohen, B.; Ou, Y.; Pinto, A.; Comi, A.M. Retrospective Analysis of Presymptomatic Treatment In Sturge-Weber Syndrome. Ann. Child. Neurol. Soc. 2024, 2, 60–72. [Google Scholar] [CrossRef] [PubMed] [PubMed Central]
- Ville, D.; Enjolras, O.; Chiron, C.; Dulac, O. Prophylactic antiepileptic treatment in Sturge-weber disease. Seizure 2002, 11, 145–150. [Google Scholar] [CrossRef]
- Arkush, L.; Prabhakar, P.; Scott, R.C.; Aylett, S.E. Headache in children with Sturge-Weber syndrome—Prevalence, associations and impact. Eur. J. Paediatr. Neurol. 2020, 27, 43–48. [Google Scholar] [CrossRef] [PubMed]
- Bachur, C.D.; Comi, A.M. Sturge-Weber syndrome. Curr. Treat. Options Neurol. 2013, 15, 607–617. [Google Scholar] [CrossRef] [PubMed]
- Ferretti, A.; Muscianese, M.; Fanfoni, C.; Bellone, G.; Mennini, M.; Di Nardo, G.; Abdolrahimzadeh, S.; De Marco, G.; Orsini, A.; Foiadelli, T.; et al. Headache in Sturge-Weber syndrome: A systematic review. Cephalalgia 2024, 44, 3331024241265881. [Google Scholar] [CrossRef] [PubMed]
- Kossof, E.H.; Balasta, M.; Hatfeld, L.M.; Lehmann, C.U.; Comi, A.M. Selfreported treatment patterns in patients with Sturge–Weber syndrome and migraines. J. Child. Neurol. 2007, 22, 720–726. [Google Scholar] [CrossRef]
- Huang, H.Y.; Lin, K.H.; Chen, J.C.; Hsu, Y.T. Type III Sturge-Weber syndrome with migraine like attacks associated with prolonged visual aura. Headache 2013, 53, 845–849. [Google Scholar] [CrossRef] [PubMed]
- Zolkipli, Z.; Aylett, S.; Rankin, P.M.; Neville, B.G. Transient exacerbation of hemiplegia following minor head trauma in Sturge-Weber syndrome. Dev. Med. Child. Neurol. 2007, 49, 697–699. [Google Scholar] [CrossRef]
- Lance, E.I.; Sreenivasan, A.K.; Zabel, T.A.; Kossoff, E.H.; Comi, A.M. Aspirin use in Sturge-Weber syndrome: Side effects and clinical outcomes. J. Child. Neurol. 2013, 28, 213–218. [Google Scholar] [CrossRef]
- Solomon, C.; Comi, A. Sturge-Weber syndrome: Updates in translational neurology. Front. Neurol. 2024, 15, 1493873. [Google Scholar] [CrossRef] [PubMed]
- Powell, S.; Fosi, T.; Sloneem, J.; Hawkins, C.; Richardson, H.; Aylett, S. Neurological presentations and cognitive outcome in Sturge-Weber syndrome. Eur. J. Paediatr. Neurol. 2021, 34, 21–32. [Google Scholar] [CrossRef]
- Carvalho, V.A.; Dallazen, E.; Statkievicz, C.; da Rosa, D.F.; Stabile, G.A.V.; PereiraStabile, C.L.; Iecher Borges, H.O. Oral surgery in patients with Sturge-Weber syndrome. J. Craniofac. Surg. 2021, 32, e85–e88. [Google Scholar] [CrossRef]
- Inchingolo, F.; Tatullo, M.; Abenavoli, F.M.; Marrelli, M.; Inchingolo, A.D.; Inchingolo, A.M.; Dipalma, G. Comparison between traditional surgery, CO2 and Nd:Yag laser treatment for generalized gingival hyperplasia in Sturge-Weber syndrome: A retrospective study. J. Investig. Clin. Dent. 2010, 1, 85–89. [Google Scholar] [CrossRef] [PubMed]
- Barsoum, F.; Prete, B.R.J.; Ouanounou, A. Drug-Induced gingival enlargement: A review of diagnosis and current treatment strategies. Compend. Contin. Educ. Dent. 2022, 43, 276–285. [Google Scholar] [PubMed]
- Abed, H.; Alqarni, A.; Abuljadayel, J.; Alosaimi, A.; Muhaymidan, N.; Althobaiti, A.; Aladwani, F.; Alshammari, A. Dentistry and Sturge-Weber syndrome: Case report and narrative review. Spec. Care Dentist. 2025, 45, e13088. [Google Scholar] [CrossRef] [PubMed]
- Day, A.M.; McCulloch, C.E.; Hammill, A.M.; Juhasz, C.; Lo, W.D.; Pinto, A.L.; Miles, D.K.; Fisher, B.J.; Ball, K.L.; Wilfong, A.A.; et al. Physical and Family History Variables Associated With Neurological and Cognitive Development in Sturge-Weber Syndrome. Pediatr. Neurol. 2019, 96, 30–36. [Google Scholar] [CrossRef]
- Sudarsanam, A.; Ardern-Holmes, S.L. Sturge-Weber syndrome: From the past to the present. Eur. J. Paediatr. Neurol. 2014, 18, 257–266. [Google Scholar] [CrossRef] [PubMed]
- Sloneem, J.; Moss, J.; Powell, S.; Hawkins, C.; Fosi, T.; Richardson, H.; Aylett, S. The prevalence and profile of autism in Sturge-Weber syndrome. J. Autism Dev. Disord. 2022, 52, 1942–1955. [Google Scholar] [CrossRef] [PubMed]
- Sebold, A.J.; Ahmed, A.S.; Ryan, T.C.; Cohen, B.A.; Jampel, H.D.; Suskauer, S.J.; Zabel, T.A.; Comi, A.M.; Rybczynski, S. Suicide Screening in Sturge-Weber Syndrome: An Important Issue in Need of Further Study. Pediatr. Neurol. 2020, 110, 80–86. [Google Scholar] [CrossRef] [PubMed]
- Reidy, T.G.; Suskauer, S.J.; Bachur, C.D.; McCulloch, C.E.; Comi, A.M. Preliminary reliability and validity of a battery for assessing functional skills in children with Sturge-weber syndrome. Childs Nerv. Syst. 2014, 30, 2027–2036. [Google Scholar] [CrossRef]
- Sebold, A.J.; Day, A.M.; Ewen, J.; Adamek, J.; Byars, A.; Cohen, B.; Kossoff, E.H.; Mizuno, T.; Ryan, M.; Sievers, J.; et al. Sirolimus Treatment in Sturge-Weber Syndrome. Pediatr. Neurol. 2021, 115, 29–40. [Google Scholar] [CrossRef] [PubMed] [PubMed Central]
- Sabeti, S.; Ball, K.L.; Burkhart, C.; Eichenfield, L.; Faith, E.F.; Frieden, I.J.; Geronemus, R.; Gupta, D.; Krakowski, A.C.; Levy, M.L.; et al. Consensus Statement for the Management and Treatment of Port-Wine Birthmarks in Sturge-Weber Syndrome. JAMA Dermatol. 2021, 157, 98–104. [Google Scholar] [CrossRef]
- Durrleman, C.; Grevent, D.; Aubart, M.; Kossorotoff, M.; Roux, C.J.; Kaminska, A.; Rio, M.; Barcia, G.; Boddaert, N.; Munnich, A.; et al. Clinical and radiological description of 120 pediatric stroke-like episodes. Eur. J. Neurol. 2023, 30, 2051–2061. [Google Scholar] [CrossRef]
- Juhász, C. Toward a better understanding of stroke-like episodes in Sturge-Weber syndrome. Eur. J. Paediatr. Neurol. 2020, 25, 3. [Google Scholar] [CrossRef] [PubMed]
- Weber, F.P. Right-Sided Hemi-Hypotrophy Resulting from Right-Sided Congenital Spastic Hemiplegia, with A Morbid Condition of the Left Side of the Brain, Revealed by Radiograms. J. Neurol. Psychopathol. 1922, 3, 134–139. [Google Scholar] [CrossRef]
- Yeom, S.; Comi, A.M. Updates on Sturge-Weber Syndrome. Stroke 2022, 53, 3769–3779. [Google Scholar] [CrossRef] [PubMed] [PubMed Central]
- Maria, B.L.; Neufeld, J.A.; Rosainz, L.C.; Drane, W.E.; Quisling, R.G.; Ben-David, K.; Hamed, L.M. Central nervous system structure and function in Sturge-Weber syndrome: Evidence of neurologic and radiologic progression. J. Child. Neurol. 1998, 13, 606–618. [Google Scholar] [CrossRef] [PubMed]
- Comi, A.M. Time to change our approach to presymptomatic treatment of Sturge-Weber syndrome. Dev. Med. Child. Neurol. 2025, 67, 13–14. [Google Scholar] [CrossRef]

| Distinctive Forehead PWS Phenotypes | High-Risk Facial PWS Phenotypes |
|---|---|
| Very high risk (forehead bilateral) | Hemifacial |
| High risk (>50% of hemi-forehead) | Forehead and upper eyelid |
| Low risk (localized linear) | Medial |
| High-Risk Patients for Development of Glaucoma Based on the Location and Extension of the Port-Wine Stain |
|---|
| Extensive port-wine birthmark |
| Port-wine birthmark involving frontal and large malar area |
| Lower lid involvement Right and bilateral port-wine birthmark Male gender (<4-year-old patients) |
| Subspeciality | Clinical Manifestations to Be Evaluated and Followed |
|---|---|
| Dermatology | Port-wine birthmark |
| Port-wine birthmark elsewhere | |
| Overgrowth | |
| Ophthalmology | Glaucoma |
| Choroidal and Episcleral Hemangiomas Visual field defect Retinal Occlusion Ocular melanocytosis | |
| Neurology | Seizures and Epilepsy Headache Stroke-like episodes |
| Orthopedic Surgery/Physiotherapy | Growth asymmetry |
| Hypertrophy or hypotrophy | |
| Secondary scoliosis | |
| Functional limitations | |
| Dentistry/Maxillofacial | Gingival and palatal angiomatosis |
| Gingival hyperplasia Pre and intra-operative planning for dental surgery/procedures |
Disclaimer/Publisher’s Note: The statements, opinions and data contained in all publications are solely those of the individual author(s) and contributor(s) and not of MDPI and/or the editor(s). MDPI and/or the editor(s) disclaim responsibility for any injury to people or property resulting from any ideas, methods, instructions or products referred to in the content. |
© 2025 by the authors. Licensee MDPI, Basel, Switzerland. This article is an open access article distributed under the terms and conditions of the Creative Commons Attribution (CC BY) license (https://creativecommons.org/licenses/by/4.0/).
Share and Cite
Altavilla, E.; De Giacomo, A.; Greco, A.M.; Tramacere, F.; Quarta, M.; Puscio, D.; Corsalini, M.; Pistilli, S.; Sardella, D.; Indrio, F. New Trigger for Stroke-like Episode in Sturge–Weber Syndrome: A Case Report. Children 2025, 12, 589. https://doi.org/10.3390/children12050589
Altavilla E, De Giacomo A, Greco AM, Tramacere F, Quarta M, Puscio D, Corsalini M, Pistilli S, Sardella D, Indrio F. New Trigger for Stroke-like Episode in Sturge–Weber Syndrome: A Case Report. Children. 2025; 12(5):589. https://doi.org/10.3390/children12050589
Chicago/Turabian StyleAltavilla, Emiliano, Andrea De Giacomo, Anna Maria Greco, Fernanda Tramacere, Marilena Quarta, Daniela Puscio, Massimo Corsalini, Sara Pistilli, Dario Sardella, and Flavia Indrio. 2025. "New Trigger for Stroke-like Episode in Sturge–Weber Syndrome: A Case Report" Children 12, no. 5: 589. https://doi.org/10.3390/children12050589
APA StyleAltavilla, E., De Giacomo, A., Greco, A. M., Tramacere, F., Quarta, M., Puscio, D., Corsalini, M., Pistilli, S., Sardella, D., & Indrio, F. (2025). New Trigger for Stroke-like Episode in Sturge–Weber Syndrome: A Case Report. Children, 12(5), 589. https://doi.org/10.3390/children12050589

