A Case of Severe Early Childhood Caries Occurring in a Childhood Cancer Patient
Abstract
1. Introduction
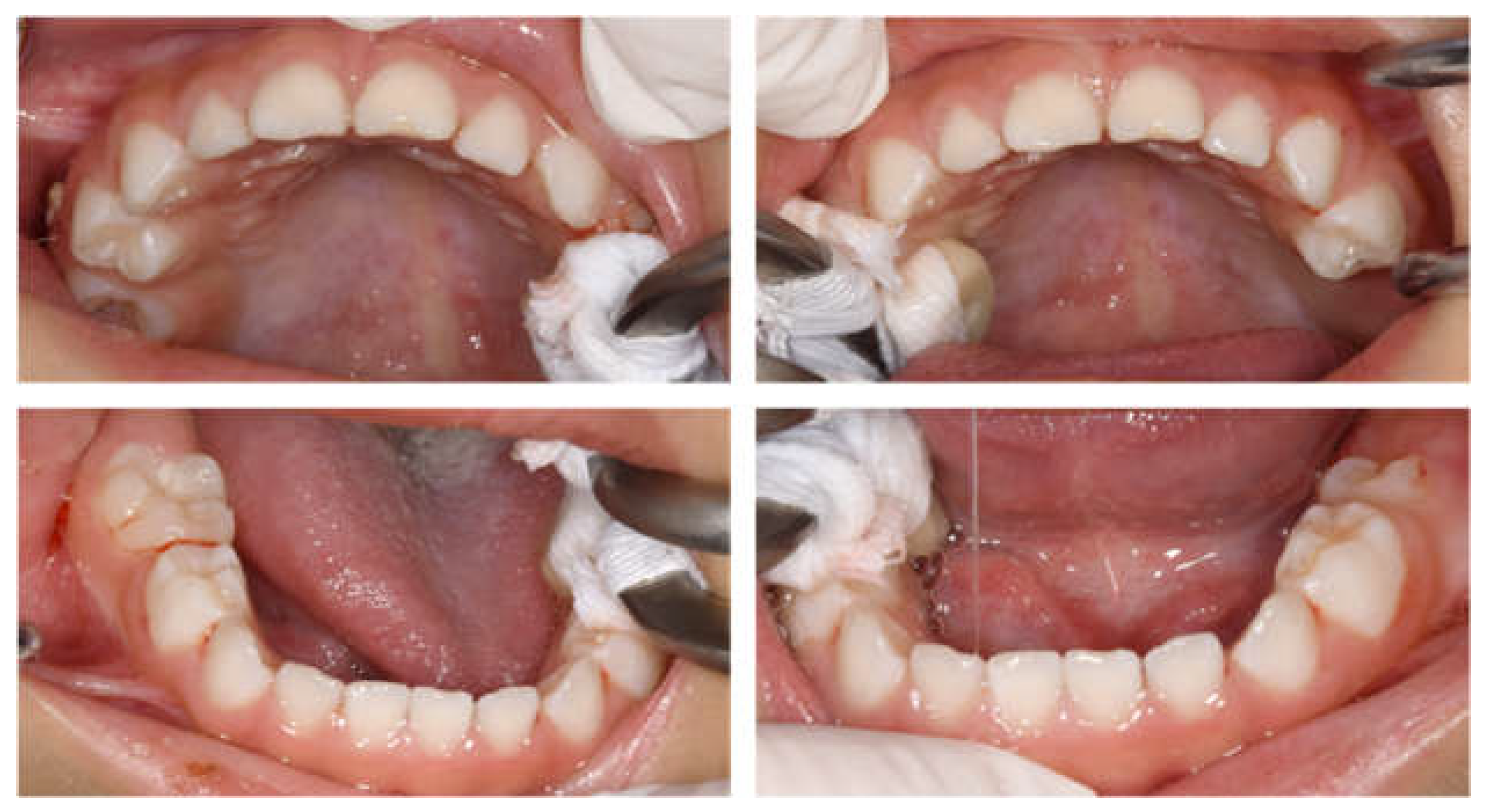
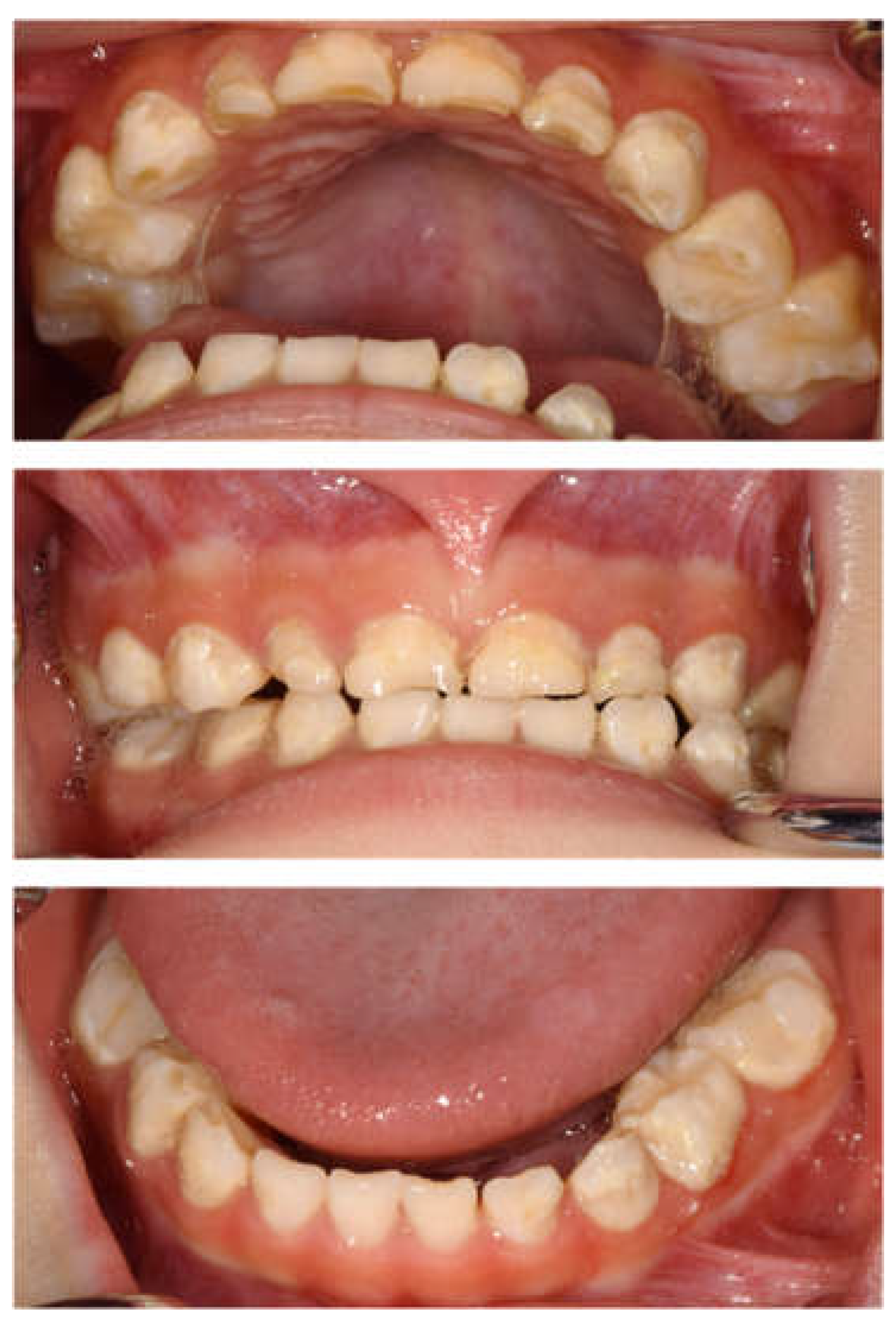
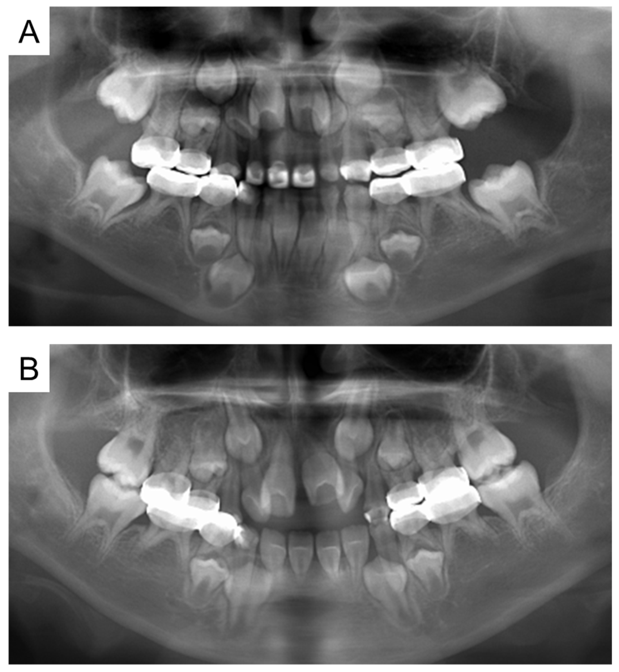
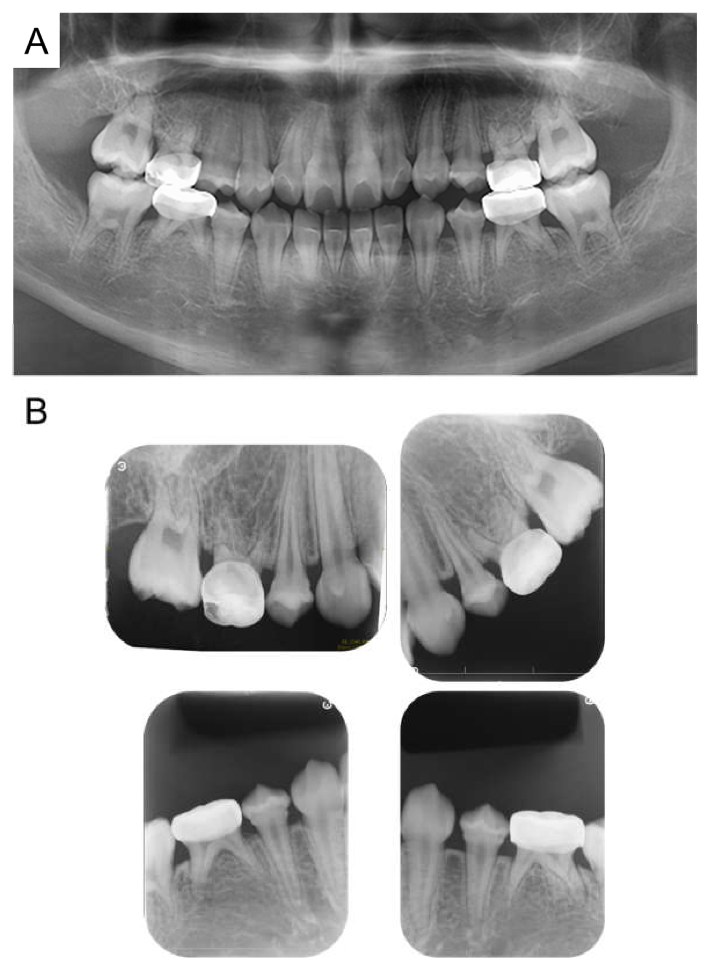
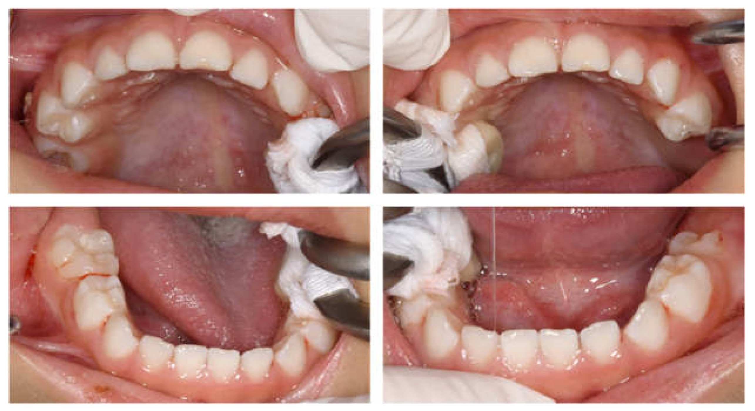
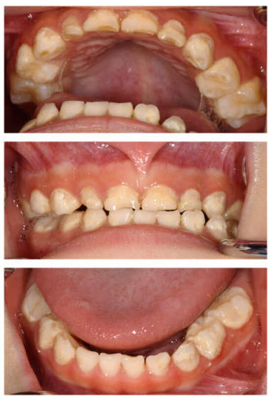
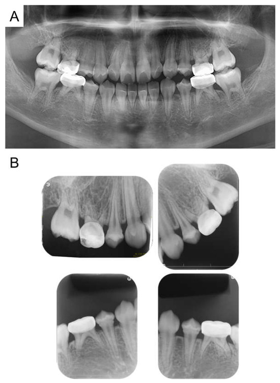
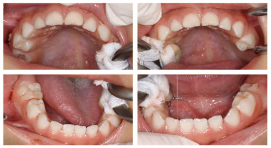
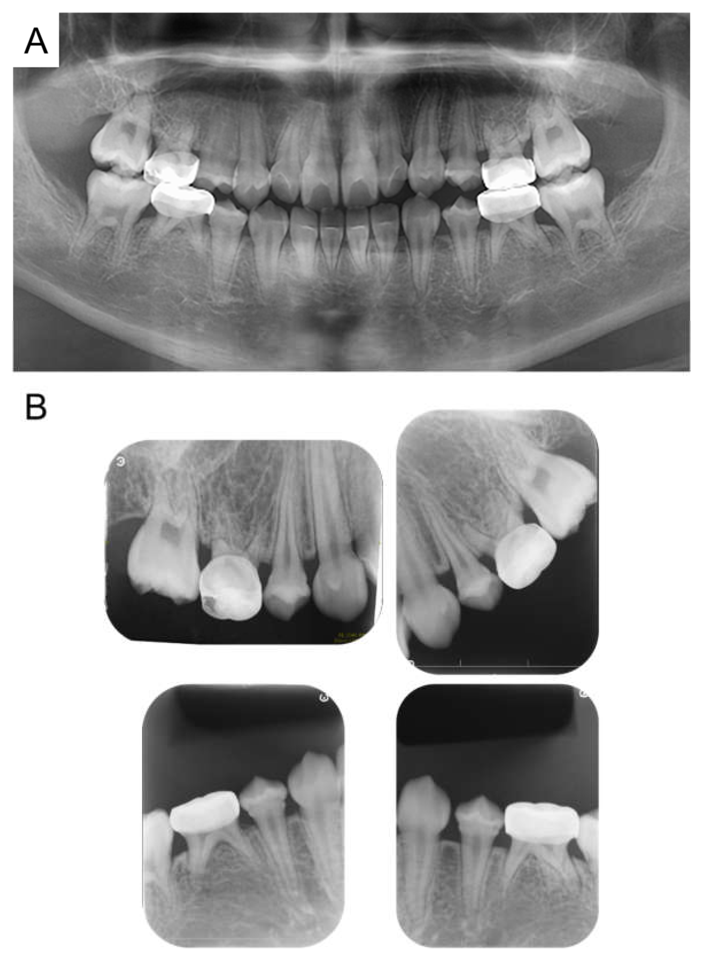
2. Detailed Case Description
3. Discussion
4. Conclusions
Supplementary Materials
Author Contributions
Funding
Institutional Review Board Statement
Informed Consent Statement
Data Availability Statement
Acknowledgments
Conflicts of Interest
References
- Frencken, J.E.; Sharma, P.; Stenhouse, L.; Green, D.; Laverty, D.; Dietrich, T. Global epidemiology of dental caries and severe periodontitis—A comprehensive review. J. Clin. Periodontol. 2017, 44 (Suppl. S18), S94–S105. [Google Scholar] [CrossRef] [PubMed]
- Usuda, M.; Kametani, M.; Hamada, M.; Suehiro, Y.; Matayoshi, S.; Okawa, R.; Naka, S.; Matsumoto-Nakano, M.; Akitomo, T.; Mitsuhata, C.; et al. Inhibitory Effect of Adsorption of Streptococcus mutans onto Scallop-Derived Hydroxyapatite. Int. J. Mol. Sci. 2023, 24, 11371. [Google Scholar] [CrossRef] [PubMed]
- Yasuda, J.; Yasuda, H.; Nomura, R.; Matayoshi, S.; Inaba, H.; Gongora, E.; Iwashita, N.; Shirahata, S.; Kaji, N.; Akitomo, T.; et al. Investigation of periodontal disease development and Porphyromonas gulae FimA genotype distribution in small dogs. Sci. Rep. 2024, 14, 5360. [Google Scholar] [CrossRef] [PubMed]
- Worthington, H.V.; MacDonald, L.; Poklepovic Pericic, T.; Sambunjak, D.; Johnson, T.M.; Imai, P.; Clarkson, J.E. Home use of interdental cleaning devices, in addition to toothbrushing, for preventing and controlling periodontal diseases and dental caries. Cochrane Database Syst. Rev. 2019, 4, CD012018. [Google Scholar] [CrossRef] [PubMed]
- Koberová Ivančaková, R.; Radochová, V.; Kovácsová, F.; Merglová, V. Exogenous Intake of Fluorides in Caries Prevention: Benefits and Risks. Acta Medica 2021, 64, 71–76. [Google Scholar] [CrossRef]
- Veneri, F.; Vinceti, S.R.; Filippini, T. Fluoride and caries prevention: A scoping review of public health policies. Ann. Ig. 2024, 36, 270–280. [Google Scholar]
- Branger, B.; Camelot, F.; Droz, D.; Houbiers, B.; Marchalot, A.; Bruel, H.; Laczny, E.; Clement, C. Breastfeeding and early childhood caries. Review of the literature, recommendations, and prevention. Arch. Pediatr. 2019, 26, 497–503. [Google Scholar] [CrossRef]
- Definition of Early Childhood Caries (ECC). American Academy of Pediatric Dentistry. Available online: https://www.aapd.org/assets/1/7/d_ecc.pdf (accessed on 12 January 2025).
- Radhi, M.; Fulbright, J.M.; Ginn, K.F.; Guest, E.M. Childhood cancer for the primary care physician. Prim. Care 2015, 42, 43–55. [Google Scholar] [CrossRef]
- Aleassa, E.M.; Xing, M.; Keijzer, R. Nanomedicine as an innovative therapeutic strategy for pediatric cancer. Pediatr. Surg. Int. 2015, 31, 611–616. [Google Scholar] [CrossRef]
- Kingham, T.P.; Alatise, O.I.; Vanderpuye, V.; Casper, C.; Abantanga, F.A.; Kamara, T.B.; Olopade, O.I.; Habeebu, M.; Abdulkareem, F.B.; Denny, L. Treatment of cancer in sub-Saharan Africa. Lancet Oncol. 2013, 14, e158–e167. [Google Scholar] [CrossRef]
- Steliarova-Foucher, E.; Colombet, M.; Ries, L.A.; Moreno, F.; Dolya, A.; Bray, F.; Hesseling, P.; Shin, H.Y.; Stiller, C.A.; Bouzbid, S. International incidence of childhood cancer, 2001–10: A population-based registry study. Lancet Oncol. 2017, 18, 719–731. [Google Scholar] [CrossRef] [PubMed]
- Endalamaw, A.; Assimamaw, N.T.; Ayele, T.A.; Muche, A.A.; Zeleke, E.G.; Wondim, A.; Belay, G.M.; Birhanu, Y.; Tazebew, A.; Techane, M.A.; et al. Prevalence of childhood Cancer among children attending referral hospitals of outpatient Department in Ethiopia. BMC Cancer 2021, 21, 271. [Google Scholar] [CrossRef] [PubMed]
- Gatta, G.; Botta, L.; Rossi, S.; Aareleid, T.; Bielska-Lasota, M.; Clavel, J.; Dimitrova, N.; Jakab, Z.; Kaatsch, P.; Lacour, B.; et al. Childhood cancer survival in Europe 1999–2007: Results of EUROCARE-5—A population-based study. Lancet Oncol. 2014, 15, 35–47. [Google Scholar] [CrossRef] [PubMed]
- Wu, Y.; Deng, Y.; Wei, B.; Xiang, D.; Hu, J.; Zhao, P.; Lin, S.; Zheng, Y.; Yao, J.; Zhai, Z.; et al. Global, regional, and national childhood cancer burden, 1990–2019: An analysis based on the Global Burden of Disease Study 2019. J. Adv. Res. 2022, 40, 233–247. [Google Scholar] [CrossRef]
- Kattner, P.; Strobel, H.; Khoshnevis, N.; Grunert, M.; Bartholomae, S.; Pruss, M.; Fitzel, R.; Halatsch, M.E.; Schilberg, K.; Siegelin, M.D.; et al. Compare and contrast: Pediatric cancer versus adult malignancies. Cancer Metastasis Rev. 2019, 38, 673–682. [Google Scholar] [CrossRef]
- Akitomo, T.; Ogawa, M.; Kaneki, A.; Nishimura, T.; Usuda, M.; Kametani, M.; Kusaka, S.; Asao, Y.; Iwamoto, Y.; Tachikake, M.; et al. Dental Abnormalities in Pediatric Patients Receiving Chemotherapy. J. Clin. Med. 2024, 13, 2877. [Google Scholar] [CrossRef]
- Phillips, B.; Morgan, J.; Walker, R.; Heggie, C.; Ali, S. Interventions to reduce the risk of side-effects of cancer treatments in childhood. Expert. Rev. Anticancer Ther. 2024, 24, 1117–1129. [Google Scholar] [CrossRef]
- Sonis, S.T.; Sonis, A.L.; Lieberman, A. Oral complications in patients receiving treatment for malignancies other than of the head and neck. J. Am. Dent. Assoc. 1978, 97, 468–472. [Google Scholar] [CrossRef]
- Childers, N.K.; Stinnett, E.A.; Wheeler, P.; Wright, J.T.; Castleberry, R.P.; Dasanayake, A.P. Oral complications in children with cancer. Oral Surg. Oral Med. Oral Pathol. 1993, 75, 41–47. [Google Scholar] [CrossRef]
- Bonnaure-Mallet, M.; Bunetel, L.; Tricot-Doleux, S.; Guérin, J.; Bergeron, C.; LeGall, E. Oral complications during treatment of malignant diseases in childhood: Effects of tooth brushing. Eur. J. Cancer 1998, 34, 1588–1591. [Google Scholar] [CrossRef]
- Kim, S.M.; Noh, H.J.; Mun, S.J.; Han, S.Y. Differences in Korean adult inpatients’ oral care behaviour in daily life and hospitals. Int. J. Dent. Hyg. 2023, 21, 272–279. [Google Scholar] [CrossRef] [PubMed]
- Maris, J.M.; Hogarty, M.D.; Bagatell, R.; Cohn, S.L. Neuroblastoma. Lancet 2007, 369, 2106–2120. [Google Scholar] [CrossRef] [PubMed]
- Jansky, S.; Sharma, A.K.; Körber, V.; Quintero, A.; Toprak, U.H.; Wecht, E.M.; Gartlgruber, M.; Greco, A.; Chomsky, E.; Grünewald, T.G.P.; et al. Single-cell transcriptomic analyses provide insights into the developmental origins of neuroblastoma. Nat. Genet. 2021, 53, 683–693. [Google Scholar] [CrossRef]
- Stiller, C.A.; Allen, M.B.; Eatock, E.M. Childhood cancer in Britain: The National Registry of Childhood Tumours and incidence rates 1978–1987. Eur. J. Cancer 1995, 31, 2028–2034. [Google Scholar] [CrossRef]
- Fisher, J.P.H.; Tweddle, D.A. Neonatal neuroblastoma. Semin. Fetal Neonatal Med. 2012, 17, 207–215. [Google Scholar] [CrossRef]
- Nakagawara, A.; Li, Y.; Izumi, H.; Muramori, K.; Inada, H.; Nishi, M. Neuroblastoma. Jpn. J. Clin. Oncol. 2018, 48, 214–241. [Google Scholar] [CrossRef]
- Qiu, B.; Matthay, K.K. Advancing therapy for neuroblastoma. Nat. Rev. Clin. Oncol. 2022, 19, 515–533. [Google Scholar] [CrossRef]
- Maris, J.M.; Matthay, K.K. Molecular biology of neuroblastoma. J. Clin. Oncol. 1999, 17, 2264–2279. [Google Scholar] [CrossRef]
- Maris, J.M. Recent advances in neuroblastoma. N. Engl. J. Med. 2010, 362, 2202–2211. [Google Scholar] [CrossRef]
- Rivera, Z.; Escutia, C.; Madonna, M.B.; Gupta, K.H. Biological Insight and Recent Advancement in the Treatment of Neuroblastoma. Int. J. Mol. Sci. 2023, 24, 8470. [Google Scholar] [CrossRef]
- Izi, Z.; El Haddad, S.; Oubaddi, T.; Amsiguine, N.; Allali, N.; Chat, L. Mandibular Metastasis in Neuroblastoma in a 3 Year-Old Child: A Case Report. Glob. Pediatr. Health 2023, 10, 2333794X231200616. [Google Scholar] [CrossRef] [PubMed]
- Nguyen, R.; Thiele, C.J. Immunotherapy approaches targeting neuroblastoma. Curr. Opin. Pediatr. 2021, 33, 19–25. [Google Scholar] [CrossRef] [PubMed]
- The Japanese Society of Periodontology, 2008 Guidelines for Examination, Diagnosis and Therapeutic Strategies for Periodontal Disease. (In Japanese). Available online: https://www.perio.jp/publication/upload_file/guideline_perio_plan_2008.pdf (accessed on 12 February 2025).
- Nakatani, S.; Ohara, T.; Ashihara, K.; Izumi, C.; Iwanaga, S.; Eishi, K.; Okita, Y.; Daimon, M.; Kimura, T.; Toyoda, K.; et al. JCS 2017 Guideline on Prevention and Treatment of Infective Endocarditis. Circ. J. 2019, 83, 1767–1809. [Google Scholar] [CrossRef] [PubMed]
- Giacaman, R.A.; Muñoz-Sandoval, C.; Neuhaus, K.W.; Fontana, M.; Chałas, R. Evidence-based strategies for the minimally invasive treatment of carious lesions: Review of the literature. Adv. Clin. Exp. Med. 2018, 27, 1009–1016. [Google Scholar] [CrossRef]
- Furuta, M.; Yamashita, Y. Oral Health and Swallowing Problems. Curr. Phys. Med. Rehabil. Rep. 2013, 1, 216–222. [Google Scholar] [CrossRef]
- Akitomo, T.; Kusaka, S.; Iwamoto, Y.; Usuda, M.; Kametani, M.; Asao, Y.; Nakano, M.; Tachikake, M.; Mitsuhata, C.; Nomura, R. Five-Year Follow-Up of a Child with Non-Syndromic Oligodontia from before the Primary Dentition Stage: A Case Report. Children 2023, 10, 717. [Google Scholar] [CrossRef]
- Fiorillo, L. Oral Health: The First Step to Well-Being. Medicina 2019, 55, 676. [Google Scholar] [CrossRef]
- Kametani, M.; Akitomo, T.; Usuda, M.; Kusaka, S.; Asao, Y.; Nakano, M.; Iwamoto, Y.; Tachikake, M.; Ogawa, M.; Kaneki, A.; et al. Evaluation of periodontal status and oral health habits with continual dental support for young patients with hemophilia. Appl. Sci. 2024, 14, 1349. [Google Scholar] [CrossRef]
- Eto, F.; Nezu, T.; Nishi, H.; Aoki, S.; Tasaka, S.; Horikoshi, S.; Yano, K.; Kawaguchi, H.; Maruyama, H. Oral condition at admission predicts functional outcomes and hospital-acquired pneumonia development among acute ischemic stroke patients. Clin. Oral. Investig. 2024, 28, 434. [Google Scholar] [CrossRef]
- Sasaki, M.; Shigeishi, H.; Nishi, H.; Hamada, N.; Kitasaki, H.; Yano, K.; Kaneyasu, Y.; Horikoshi, S.; Kawaguchi, H.; Ohta, K. Periodontitis and postoperative inflammation in gastric cancer patients: Propensity score analysis. Oral. Dis. 2024, 30, 4691–4704. [Google Scholar] [CrossRef]
- Raber-Durlacher, J.E.; Elad, S.; Barasch, A. Oral mucositis. Oral. Oncol. 2010, 46, 452–456. [Google Scholar] [CrossRef] [PubMed]
- Shayani, A.; Aravena, P.C.; Rodríguez-Salinas, C.; Escobar-Silva, P.; Diocares-Monsálvez, Y.; Angulo-Gutiérrez, C.; Rivera, C. Chemotherapy as a risk factor for caries and gingivitis in children with acute lymphoblastic leukemia: A retrospective cohort study. Int. J. Paediatr. Dent. 2022, 32, 538–545. [Google Scholar] [CrossRef] [PubMed]
- Morais, E.F.; Lira, J.A.; Macedo, R.A.; Santos, K.S.; Elias, C.T.; Morais, M.D. Oral manifestations resulting from chemotherapy in children with acute lymphoblastic leukemia. Braz. J. Otorhinolaryngol. 2014, 80, 78–85. [Google Scholar] [PubMed]
- Valéra, M.C.; Noirrit-Esclassan, E.; Pasquet, M.; Vaysse, F. Oral complications and dental care in children with acute lymphoblastic leukaemia. J. Oral Pathol. Med. 2015, 44, 483–489. [Google Scholar] [CrossRef]
- Jensen, M.L.; Thymann, T.; Cilieborg, M.S.; Lykke, M.; Mølbak, L.; Jensen, B.B.; Schmidt, M.; Kelly, D.; Mulder, I.; Burrin, D.G.; et al. Antibiotics modulate intestinal immunity and prevent necrotizing enterocolitis in preterm neonatal piglets. Am. J. Physiol. Gastrointest. Liver Physiol. 2014, 306, G59–G71. [Google Scholar] [CrossRef]
- Olszewska, K.; Mielnik-Błaszczak, M. An Assessment of the Number of Cariogenic Bacteria in the Saliva of Children with Chemotherapy-Induced Neutropenia. Adv. Clin. Exp. Med. 2016, 25, 11–19. [Google Scholar] [CrossRef]
- Villafuerte, K.R.V.; Martinez, C.J.H.; Dantas, F.T.; Carrara, H.H.A.; Dos Reis, F.J.C.; Palioto, D.B. The impact of chemotherapeutic treatment on the oral microbiota of patients with cancer: A systematic review. Oral Surg. Oral Med. Oral Pathol. Oral Radiol. 2018, 125, 552–566. [Google Scholar] [CrossRef]
- Hedström, M.; Haglund, K.; Skolin, I.; von Essen, L. Distressing events for children and adolescents with cancer: Child, parent, and nurse perceptions. J. Pediatr. Oncol. Nurs. 2003, 20, 120–132. [Google Scholar] [CrossRef]
- Arpaci, T.; Toruner, E.K.; Altay, N. Assessment of Nutritional Problems in Pediatric Patients with Cancer and the Information Needs of Their Parents: A Parental Perspective. Asia Pac. J. Oncol. Nurs. 2018, 5, 231–236. [Google Scholar] [CrossRef]
- Bhowmick, G.S. Etiological and predisposing factors for dentin hypersensitivity: An overview. IJSS 2017, 3, 16. [Google Scholar]
- Tabari, M.; Alaghemand, H.; Qujeq, D.; Mohammadi, E. Effect of Popping Chocolate and Candy on Enamel Microhardness of Primary and Permanent Teeth. J. Int. Soc. Prev. Community Dent. 2017, 7, 370–376. [Google Scholar] [PubMed]
- Wang, Y.L.; Chang, C.C.; Chi, C.W.; Chang, H.H.; Chiang, Y.C.; Chuang, Y.C.; Chang, H.H.; Huang, G.F.; Liao, Y.S.; Lin, C.P. Erosive potential of soft drinks on human enamel: An in vitro study. J. Formos. Med. Assoc. 2014, 113, 850–856. [Google Scholar] [CrossRef] [PubMed]
- Wu, C.Y.; He, S.J.; Mar, K.; Stephen Hsu, C.Y.; Hung, S.L. Inhibition of Streptococcus mutans by a commercial yogurt drink. J. Dent. Sci. 2019, 14, 198–205. [Google Scholar] [CrossRef] [PubMed]
- Lin, Y.; Chen, J.; Zhou, X.; Li, Y. Inhibition of Streptococcus mutans biofilm formation by strategies targeting the metabolism of exopolysaccharides. Crit. Rev. Microbiol. 2021, 47, 667–677. [Google Scholar] [CrossRef]
- Guo, M.; Wu, J.; Hung, W.; Sun, Z.; Zhao, W.; Lan, H.; Zhao, Z.; Wuri, G.; Fang, B.; Zhao, L.; et al. Lactobacillus paracasei ET-22 Suppresses Dental Caries by Regulating Microbiota of Dental Plaques and Inhibiting Biofilm Formation. Nutrients 2023, 15, 3316. [Google Scholar] [CrossRef]
- Jitpukdeebodintra, S.; Chuenarom, C.; Muttarak, C.; Khonsuphap, P.; Prasattakarn, S. Effects of 1.23% acidulated phosphate fluoride gel and drinkable yogurt on human enamel erosion, in vitro. Quintessence Int. 2010, 41, 595–604. [Google Scholar]
- Taji, S.; Seow, W.K. A literature review of dental erosion in children. Aust. Dent. J. 2010, 55, 358–367. [Google Scholar] [CrossRef]
- Schab, M.; Skoczen, S. Nutritional status, body composition and diet quality in children with cancer. Front. Oncol. 2024, 14, 1389657. [Google Scholar] [CrossRef]
- Takahashi, N.; Nyvad, B. Caries ecology revisited: Microbial dynamics and the caries process. Caries Res. 2008, 42, 409–418. [Google Scholar] [CrossRef]
- Rosier, B.T.; Marsh, P.D.; Mira, A. Resilience of the oral microbiota in health: Mechanisms that prevent dysbiosis. J. Dent. Res. 2018, 97, 371–380. [Google Scholar] [CrossRef]
- Hu, X.; Huang, Z.; Zhang, Y.; Hong, Y.; Zheng, Y. Effects of a probiotic drink containing Lactobacillus casei strain Shirota on dental plaque microbiota. J. Int. Med. Res. 2019, 47, 3190–3202. [Google Scholar] [CrossRef]
- Akitomo, T.; Asao, Y.; Mitsuhata, C.; Kozai, K. A new supernumerary tooth occurring in the same region during follow-up after supernumerary tooth extraction: A case report. Pediatr. Dent. 2021, 32, 100–107. [Google Scholar] [CrossRef]
- Usuda, M.; Akitomo, T.; Kametani, M.; Kusaka, S.; Mitsuhata, C.; Nomura, R. Dens invaginatus of fourteen teeth in a pediatric patient. Pediatr. Dent. J. 2023, 33, 240–245. [Google Scholar] [CrossRef]
- Akitomo, T.; Kusaka, S.; Usuda, M.; Kametani, M.; Kaneki, A.; Nishimura, T.; Ogawa, M.; Mitsuhata, C.; Nomura, R. Fusion of a Tooth with a Supernumerary Tooth: A Case Report and Literature Review of 35 Cases. Children 2023, 11, 6. [Google Scholar] [CrossRef]
- Hong, C.H.L.; Gueiros, L.A.; Fulton, J.S.; Cheng, K.K.F.; Kandwal, A.; Galiti, D.; Fall-Dickson, J.M.; Johansen, J.; Ameringer, S.; Kataoka, T.; et al. Systematic review of basic oral care for the management of oral mucositis in cancer patients and clinical practice guidelines. Support. Care Cancer 2019, 27, 3949–3967. [Google Scholar] [CrossRef]
- Chipps, E.M.; Carr, M.; Kearney, R.; MacDermott, J.; Von Visger, T.; Calvitti, K.; Vermillion, B.; Weber, M.L.; Newton, C.; St Clair, J.; et al. Outcomes of an Oral Care Protocol in Postmechanically Ventilated Patients. Worldviews Evid. Based Nurs. 2016, 13, 102–111. [Google Scholar] [CrossRef] [PubMed]
- Pai, R.R.; Ongole, R.; Banerjee, S.; Prasad, K.; George, L.S.; George, A.; Nayak, B.S. Oral Care Protocol for Chemotherapy- and Radiation Therapy-Induced Oral Complications in Cancer Patients: Study Protocol. Asia Pac. J. Oncol. Nurs. 2019, 6, 417–423. [Google Scholar] [CrossRef] [PubMed]
- American Academy of Pediatric Dentistry. Dental management of pediatric patients receiving immunosuppressive therapy and/or radiation therapy. Pediatr. Dent. 2018, 40, 392–400. [Google Scholar]
- Ribeiro, I.L.A.; Caccia-Bava, M.D.C.G.G.; Sampaio, M.E.A.; Limeira, R.R.T.; de Carvalho, L.G.A.; Dos Santos, F.G.; Bezerra, P.M.M.; Sousa, S.A.; Valença, A.M.G. The Implementation of an Integrated Oral Care Protocol for Pediatric Cancer Patients: A Qualitative Study. J. Cancer Educ. 2023, 38, 940–947. [Google Scholar] [CrossRef]
- Hutcheson, C.; Seale, N.S.; McWhorter, A.; Kerins, C.; Wright, J. Multi-surface composite vs. Stainless steel crown restorations after mineral trioxide aggregate pulpotomy: A randomized controlled trial. Pediatr. Dent. 2012, 34, 460–467. [Google Scholar]
- Alharbi, M.; Sayed, A.J.; Habibullah, M.A.; Almulhim, B.; Alharthi, N.; Ravi Prakash, S.M.; Ahmad, M.Z. Preformed Stainless-Steel Crowns: Their Effects on Oral Hygiene Maintenance and Gingival Health—A Prospective Original Research. J. Pharm. Bioallied Sci. 2024, 16, S1526–S1530. [Google Scholar] [CrossRef] [PubMed]
- Tanaka, M.; Kamata, T.; Yanagisawa, R.; Morita, D.; Saito, S.; Sakashita, K.; Shiohara, M.; Kurita, H.; Koike, K.; Nakazawa, Y. Increasing Risk of Disturbed Root Development in Permanent Teeth in Childhood Cancer Survivors Undergoing Cancer Treatment at Older Age. J. Pediatr. Hematol. Oncol. 2017, 39, e150–e154. [Google Scholar] [CrossRef] [PubMed]
- Kang, C.M.; Hahn, S.M.; Kim, H.S.; Lyu, C.J.; Lee, J.H.; Lee, J.; Han, J.W. Clinical Risk Factors Influencing Dental Developmental Disturbances in Childhood Cancer Survivors. Cancer Res. Treat. 2018, 50, 926–935. [Google Scholar] [CrossRef] [PubMed]
- Kılınç, G.; Bulut, G.; Ertuğrul, F.; Ören, H.; Demirağ, B.; Demiral, A.; Aksoylar, S.; Kamer, E.S.; Ellidokuz, H.; Olgun, N. Long-term Dental Anomalies after Pediatric Cancer Treatment in Children. Turk. J. Haematol. 2019, 36, 155–161. [Google Scholar] [CrossRef] [PubMed]
- Akitomo, T.; Tsuge, Y.; Mitsuhata, C.; Nomura, R. A Narrative Review of the Association between Dental Abnormalities and Chemotherapy. J. Clin. Med. 2024, 13, 4942. [Google Scholar] [CrossRef]
- Akitomo, T.; Asao, Y.; Iwamoto, Y.; Kusaka, S.; Usuda, M.; Kametani, M.; Ando, T.; Sakamoto, S.; Mitsuhata, C.; Kajiya, M.; et al. A Third Supernumerary Tooth Occurring in the Same Region: A Case Report. Dent. J. 2023, 11, 49. [Google Scholar] [CrossRef]






| Tooth | Diagnosis | Final Restoration |
|---|---|---|
| Maxilla | ||
| 51 | C2 | Resin-based composite crown |
| 52 | C2 | Resin-based composite crown |
| 53 | C2 | Resin filling |
| 54 | C2 | Preformed stainless-steel crown |
| 55 | C2 | Preformed stainless-steel crown |
| 61 | C2 | Resin-based composite crown |
| 62 | C2 | Resin-based composite crown |
| 63 | C2 | Resin filling |
| 64 | C2 | Preformed stainless-steel crown |
| 65 | C2 | Preformed stainless-steel crown |
| Mandible | ||
| 71 | C2 | No treatment |
| 72 | C2 | Resin filling |
| 73 | C2 | Resin filling |
| 74 | C2 | Preformed stainless-steel crown |
| 75 | C2 | Preformed stainless-steel crown |
| 81 | C2 | No treatment |
| 82 | C2 | Resin filling |
| 83 | C2 | Resin filling |
| 84 | C2 | Preformed stainless-steel crown |
| 85 | C2 | Preformed stainless-steel crown |
Disclaimer/Publisher’s Note: The statements, opinions and data contained in all publications are solely those of the individual author(s) and contributor(s) and not of MDPI and/or the editor(s). MDPI and/or the editor(s) disclaim responsibility for any injury to people or property resulting from any ideas, methods, instructions or products referred to in the content. |
© 2025 by the authors. Licensee MDPI, Basel, Switzerland. This article is an open access article distributed under the terms and conditions of the Creative Commons Attribution (CC BY) license (https://creativecommons.org/licenses/by/4.0/).
Share and Cite
Akitomo, T.; Niizato, N.; Ikeda, S.; Ito, Y.; Tabata, E.; Mitsuhata, C.; Nomura, R. A Case of Severe Early Childhood Caries Occurring in a Childhood Cancer Patient. Children 2025, 12, 261. https://doi.org/10.3390/children12030261
Akitomo T, Niizato N, Ikeda S, Ito Y, Tabata E, Mitsuhata C, Nomura R. A Case of Severe Early Childhood Caries Occurring in a Childhood Cancer Patient. Children. 2025; 12(3):261. https://doi.org/10.3390/children12030261
Chicago/Turabian StyleAkitomo, Tatsuya, Noriko Niizato, Shunya Ikeda, Yuya Ito, Eimi Tabata, Chieko Mitsuhata, and Ryota Nomura. 2025. "A Case of Severe Early Childhood Caries Occurring in a Childhood Cancer Patient" Children 12, no. 3: 261. https://doi.org/10.3390/children12030261
APA StyleAkitomo, T., Niizato, N., Ikeda, S., Ito, Y., Tabata, E., Mitsuhata, C., & Nomura, R. (2025). A Case of Severe Early Childhood Caries Occurring in a Childhood Cancer Patient. Children, 12(3), 261. https://doi.org/10.3390/children12030261
