Advancing Pediatric Surgery: The Use of HoloLens 2 for 3D Anatomical Reconstructions in Preoperative Planning
Abstract
1. Introduction
Aim of This Study
2. Methods
- -
- Patient 1: affected by pulmonary cystic adenomatoid malformations, 8 months old, 10 kg weight, no other comorbidity.
- -
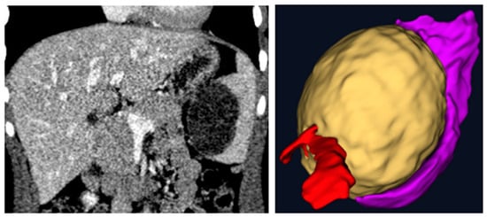
- Patient 2: affected by a splenic cyst of 6 cm, 16 years old, 82 kg, no other comorbidity.
- -
- Patient 3: affected by a stenosis of the pyelo-ureteral junction, 7 years old, 31 kg, no other comorbidity.
2.1. Verima Software
2.2. HoloLens 2
2.3. Questionnaire
2.4. Statistical Analysis
- Calculate the mean and standard deviation for the responses to each question for both the 2D and 3D visualizations.
- Perform the paired t-tests for each question, as follows:
- Question 1: 2D vs. 3D
- Question 2: 2D vs. 3D
- Question 3: 2D vs. 3D
- Question 4: 2D vs. 3D
- Report the t-statistic and p-value for each comparison to determine statistical significance.
3. Results
4. Discussion
4.1. Enhanced Definitions of Anatomical Dimensions, Relationships, and Vascular Structures
4.2. Utility in Surgical Planning and Intraoperative Application
4.3. Ease of Use and Learning Curve
4.4. Collaboration and Multidisciplinary Approach
4.5. Contextualization of the Results
4.6. Limitations of This Study
4.7. Challenges and Future Directions
5. Conclusions
Author Contributions
Funding
Institutional Review Board Statement
Informed Consent Statement
Data Availability Statement
Conflicts of Interest
References
- Parente, G.; Thomas, E.; Cravano, S.; Di Mitri, M.; Vastano, M.; Gargano, T.; Cerasoli, T.; Ruspi, F.; Libri, M.; Lima, M. ArtiSential® Articulated Wrist-Like Instruments and Their First Application in Pediatric Minimally Invasive Surgery: Case Reports and Literature Review of the Most Commonly Available Robot-Inspired Devices. Children 2021, 8, 603. [Google Scholar] [CrossRef] [PubMed]
- Di Mitri, M.; Thomas, E.; Di Carmine, A.; Manghi, I.; Cravano, S.M.; Bisanti, C.; Collautti, E.; Ruspi, F.; Cordola, C.; Vastano, M.; et al. Intraoperative Ultrasound in Minimally Invasive Laparoscopic and Robotic Pediatric Surgery: Our Experiences and Literature Review. Children 2023, 10, 1153. [Google Scholar] [CrossRef] [PubMed]
- Hu, X.; Lu, M.; Wang, Y.; Luo, Y.; Zhou, Y.; Yang, X.; Min, L.; Tu, C. 3D-Printed custom-made hemipelvic endoprosthetic reconstruction following periacetabular tumor resection: Utilizing a novel classification system. BMC Musculoskelet. Disord. 2024, 25, 384. [Google Scholar] [CrossRef] [PubMed]
- Brun, H.; Bugge, R.A.B.; Suther, L.K.R.; Birkeland, S.; Kumar, R.; Pelanis, E.; Elle, O.J. Mixed reality holograms for heart surgery planning: First user experience in congenital heart disease. Eur. Heart J. Cardiovasc. Imaging 2019, 20, 883–888. [Google Scholar] [CrossRef]
- Patel, N.; Hofmann, K.; Keating, R.F. Current Applications of VR/AR (Virtual Reality/Augmented Reality) in Pediatric Neurosurgery. Adv. Tech. Stand. Neurosurg. 2024, 49, 19–34. [Google Scholar] [CrossRef] [PubMed]
- Chamberland, C.; Bransi, M.; Boivin, A.; Jacques, S.; Gagnon, J.; Tremblay, S. The effect of augmented reality on preoperative anxiety in children and adolescents: A randomized controlled trial. Paediatr. Anaesth. 2024, 34, 153–159. [Google Scholar] [CrossRef] [PubMed]
- Coelho, G.; Trigo, L.; Faig, F.; Vieira, E.V.; da Silva, H.P.G.; Acácio, G.; Zagatto, G.; Teles, S.; Gasparetto, T.P.D.; Freitas, L.F.; et al. The Potential Applications of Augmented Reality in Fetoscopic Surgery for Antenatal Treatment of Myelomeningocele. World Neurosurg. 2022, 159, 27–32. [Google Scholar] [CrossRef] [PubMed]
- Nguyen, T.; Plishker, W.; Matisoff, A.; Sharma, K.; Shekhar, R. HoloUS: Augmented reality visualization of live ultrasound images using HoloLens for ultrasound-guided procedures. Int. J. Comput. Assist. Radiol. Surg. 2022, 17, 385–391. [Google Scholar] [CrossRef] [PubMed]
- Zari, G.; Condino, S.; Cutolo, F.; Ferrari, V. Magic Leap 1 versus Microsoft HoloLens 2 for the Visualization of 3D Content Obtained from Radiological Images. Sensors 2023, 23, 3040. [Google Scholar] [CrossRef] [PubMed]
- Li, H.; Yan, W.; Zhao, J.; Ji, Y.; Qian, L.; Ding, H.; Zhao, Z.; Wang, G. Navigate biopsy with ultrasound under augmented reality device: Towards higher system performance. Comput. Biol. Med. 2024, 174, 108453. [Google Scholar] [CrossRef] [PubMed]
- van der Woude, R.; Fitski, M.; van der Zee, J.M.; van de Ven, C.P.; Bökkerink, G.M.; Wijnen, M.H.; Meulstee, J.W.; van Doormaal, T.P.; Siepel, F.J.; van der Steeg, A.F. Clinical Application and Further Development of Augmented Reality Guidance for the Surgical Localization of Pediatric Chest Wall Tumors. J. Pediatr. Surg. 2024, 59, 1549–1555. [Google Scholar] [CrossRef] [PubMed]
- Sanchez-Sotelo, J.; Berhouet, J.; Chaoui, J.; Freehill, M.T.; Collin, P.; Warner, J.; Walch, G.; Athwal, G.S. Validation of mixed-reality surgical navigation for glenoid axis pin placement in shoulder arthroplasty using a cadaveric model. J. Shoulder Elb. Surg. 2024, 33, 1177–1184. [Google Scholar] [CrossRef] [PubMed]
- Nakamoto, R.; Zhuo, J.; Guja, K.E.; Duan, H.; Perkins, S.L.; Leuze, C.; Daniel, B.L.; Franc, B.L. Phantom study of SPECT/CT augmented reality for intraoperative localization of sentinel lymph nodes in head and neck melanoma. Oral Oncol. 2022, 125, 105702. [Google Scholar] [CrossRef] [PubMed]
- Hong, H.T.; Koh, Y.G.; Cho, B.W.; Kwon, H.M.; Park, K.K.; Kang, K.T. An Image-Based Augmented Reality System for Achieving Accurate Bone Resection in Total Knee Arthroplasty. Cureus 2024, 16, e58281. [Google Scholar] [CrossRef]
- Saini, R.S.; Bavabeedu, S.S.; Quadri, S.A.; Gurumurthy, V.; Kanji, M.A.; Kuruniyan, M.S.; Binduhayyim, R.I.H.; Avetisyan, A.; Heboyan, A. Impact of 3D imaging techniques and virtual patients on the accuracy of planning and surgical placement of dental implants: A systematic review. Digit. Health 2024, 10, 20552076241253550. [Google Scholar] [CrossRef] [PubMed]
- Cofano, F.; Di Perna, G.; Bozzaro, M.; Longo, A.; Marengo, N.; Zenga, F.; Zullo, N.; Cavalieri, M.; Damiani, L.; Boges, D.J.; et al. Augmented Reality in Medical Practice: From Spine Surgery to Remote Assistance. Front. Surg. 2021, 8, 657901. [Google Scholar] [CrossRef] [PubMed]
- Mitsuno, D.; Hirota, Y.; Akamatsu, J.; Kino, H.; Okamoto, T.; Ueda, K. Telementoring Demonstration in Craniofacial Surgery with HoloLens, Skype, and Three-Layer Facial Models. J. Craniofac. Surg. 2019, 30, 28–32. [Google Scholar] [CrossRef] [PubMed]
- Guha, P.; Lawson, J.; Minty, I.; Kinross, J.; Martin, G. Can mixed reality technologies teach surgical skills better than traditional methods? A prospective randomised feasibility study. BMC Med. Educ. 2023, 23, 144. [Google Scholar] [CrossRef]
- Gsaxner, C.; Li, J.; Pepe, A.; Jin, Y.; Kleesiek, J.; Schmalstieg, D.; Egger, J. The HoloLens in medicine: A systematic review and taxonomy. Med. Image Anal. 2023, 85, 102757. [Google Scholar] [CrossRef]





| Question | Comparison | t-Statistic | p-Value |
|---|---|---|---|
| 1 | 2D vs. 3D | −75.243 | <0.01 |
| 2 | 2D vs. 3D | −107.012 | <0.01 |
| 3 | 2D vs. 3D | −78.657 | <0.01 |
| 4 | 2D vs. 3D | −103.923 | <0.01 |
| Question | Main | DS |
|---|---|---|
| 5 | 4.5 | ±0.5 |
| 6 | 2.9 | ±0.9 |
| 7 | 4.3 | ±0.6 |
| Surgeon ID | Sex | Age | Experience |
|---|---|---|---|
| 1 | M | 35 | Junior |
| 2 | F | 46 | Senior |
| 3 | M | 37 | Junior |
| 4 | F | 50 | Senior |
| 5 | M | 50 | Senior |
| 6 | M | 38 | Junior |
| 7 | F | 47 | Senior |
| 8 | M | 46 | Senior |
| 9 | F | 52 | Senior |
| 10 | M | 48 | Senior |
Disclaimer/Publisher’s Note: The statements, opinions and data contained in all publications are solely those of the individual author(s) and contributor(s) and not of MDPI and/or the editor(s). MDPI and/or the editor(s) disclaim responsibility for any injury to people or property resulting from any ideas, methods, instructions or products referred to in the content. |
© 2024 by the authors. Licensee MDPI, Basel, Switzerland. This article is an open access article distributed under the terms and conditions of the Creative Commons Attribution (CC BY) license (https://creativecommons.org/licenses/by/4.0/).
Share and Cite
Di Mitri, M.; Di Carmine, A.; D’Antonio, S.; Capobianco, B.M.; Bisanti, C.; Collautti, E.; Cravano, S.M.; Ruspi, F.; Libri, M.; Gargano, T.; et al. Advancing Pediatric Surgery: The Use of HoloLens 2 for 3D Anatomical Reconstructions in Preoperative Planning. Children 2025, 12, 32. https://doi.org/10.3390/children12010032
Di Mitri M, Di Carmine A, D’Antonio S, Capobianco BM, Bisanti C, Collautti E, Cravano SM, Ruspi F, Libri M, Gargano T, et al. Advancing Pediatric Surgery: The Use of HoloLens 2 for 3D Anatomical Reconstructions in Preoperative Planning. Children. 2025; 12(1):32. https://doi.org/10.3390/children12010032
Chicago/Turabian StyleDi Mitri, Marco, Annalisa Di Carmine, Simone D’Antonio, Benedetta Maria Capobianco, Cristian Bisanti, Edoardo Collautti, Sara Maria Cravano, Francesca Ruspi, Michele Libri, Tommaso Gargano, and et al. 2025. "Advancing Pediatric Surgery: The Use of HoloLens 2 for 3D Anatomical Reconstructions in Preoperative Planning" Children 12, no. 1: 32. https://doi.org/10.3390/children12010032
APA StyleDi Mitri, M., Di Carmine, A., D’Antonio, S., Capobianco, B. M., Bisanti, C., Collautti, E., Cravano, S. M., Ruspi, F., Libri, M., Gargano, T., & Lima, M. (2025). Advancing Pediatric Surgery: The Use of HoloLens 2 for 3D Anatomical Reconstructions in Preoperative Planning. Children, 12(1), 32. https://doi.org/10.3390/children12010032

