Cornelia de Lange Syndrome Accompanied by Cholelithiasis and Nephrolithiasis: A Case Report
Abstract
1. Introduction
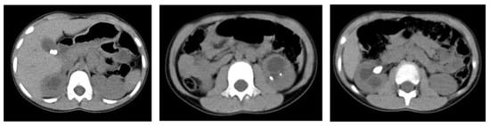
2. Case Presentation
3. Genetic Analysis
4. Discussion
5. Conclusions
Author Contributions
Funding
Institutional Review Board Statement
Informed Consent Statement
Data Availability Statement
Conflicts of Interest
References
- Kline, A.D.; Krantz, I.D.; Sommer, A.; Kliewer, M.; Jackson, L.G.; FitzPatrick, D.R.; Levin, A.V.; Selicorni, A. Cornelia de Lange syndrome: Clinical review, diagnostic and scoring systems, and anticipatory guidance. Am. J. Med. Genet. A 2007, 12, 1287–1296. [Google Scholar] [CrossRef] [PubMed]
- Deardorff, M.A.; Kaur, M.; Yaeger, D.; Rampuria, A.; Korolev, S.; Pie, J.; Gil-Rodríguez, C.; Arnedo, M.; Loeys, B.; Kline, A.D.; et al. Mutations in cohesin complex members SMC3 and SMC1A cause a mild variant of Cornelia de Lange syndrome with predominant mental retardation. Am. J. Hum. Genet. 2007, 80, 485–494. [Google Scholar] [CrossRef] [PubMed]
- Liu, J.; Krantz, I.D. Cornelia de Lange syndrome, cohesin, and beyond. Clin. Genet. 2009, 76, 303–314. [Google Scholar] [CrossRef] [PubMed]
- Huisman, S.A.; Redeker, E.J.W.; Maas, S.M.; Mannens, M.M.; Hennekam, R.C.M. High rate of mosaicism in individuals with Cornelia de Lange syndrome. J. Med. Genet. 2013, 50, 339–344. [Google Scholar] [CrossRef] [PubMed]
- Bhuiyan, Z.A.; Klein, M.; Hammond, P.; van Haeringen, A.; Mannens, M.M.A.M.; Van Berckelaer-Onnes, I.; Hennekam, R.C.M. Genotype-phenotype correlations of 39 patients with Cornelia De Lange syndrome: The Dutch experience. J. Med. Genet. 2006, 43, 568–575. [Google Scholar] [CrossRef]
- Kline, A.D.; Grados, M.; Sponseller, P.; Levy, H.P.; Blagowidow, N.; Schoedel, C.; Rampolla, J.; Clemens, D.K.; Krantz, I.; Kimball, A.; et al. Natural history of aging in Cornelia de Lange syndrome. Am. J. Med. Genet. C Semin. Med. Genet. 2007, 145c, 248–260. [Google Scholar] [CrossRef]
- Rohatgi, S.; Clark, D.; Kline, A.D.; Jackson, L.G.; Pie, J.; Siu, V.; Ramos, F.J.; Krantz, I.D.; Deardorff, M.A. Facial diagnosis of mild and variant CdLS: Insights from a dysmorphologist survey. Am. J. Med. Genet. A 2010, 152a, 1641–1653. [Google Scholar] [CrossRef]
- Deardorff, M.A.; Bando, M.; Nakato, R.; Watrin, E.; Itoh, T.; Minamino, M.; Saitoh, K.; Komata, M.; Katou, Y.; Clark, D.; et al. HDAC8 mutations in Cornelia de Lange syndrome affect the cohesin acetylation cycle. Nature 2012, 489, 313–317. [Google Scholar] [CrossRef]
- Krantz, I.D.; McCallum, J.; DeScipio, C.; Kaur, M.; Gillis, L.A.; Yaeger, D.; Jukofsky, L.; Wasserman, N.; Bottani, A.; Morris, C.A.; et al. Cornelia de Lange syndrome is caused by mutations in NIPBL, the human homolog of Drosophila melanogaster Nipped-B. Nat. Genet. 2004, 36, 631–635. [Google Scholar] [CrossRef]
- Huisman, S.; Mulder, P.A.; Redeker, E.; Bader, I.; Bisgaard, A.-M.; Brooks, A.; Cereda, A.; Cinca, C.; Clark, D.; Cormier-Daire, V.; et al. Phenotypes and genotypes in individuals with SMC1A variants. Am. J. Med. Genet. A. 2017, 173, 2108–2125. [Google Scholar] [CrossRef]
- Deardorff, M.A.; Noon, S.E.; Krantz, I.D. Cornelia de Lange Syndrome. GeneReviews® [Internet]. 2005 [Updated 2020]. Available online: https://www.ncbi.nlm.nih.gov/sites/books/NBK1104/ (accessed on 5 May 2024).
- Borck, G.; Redon, R.; Sanlaville, D.; Rio, M.; Prieur, M.; Lyonnet, S.; Vekemans, M.; Carter, N.P.; Munnich, A.; Colleaux, L.; et al. NIPBL mutations and genetic heterogeneity in Cornelia de Lange syndrome. J. Med. Genet. 2004, 41, e128. [Google Scholar] [CrossRef] [PubMed]
- De Lange, C. Surun type nouveau degeneration (typus Amestelodamensis). Arch. Med. Enfants 1933, 36, 713–719. [Google Scholar]
- Moon, H.R.; An, S.I.; Yang, K.S. De Lange syndrome. J. Korean Med. Assoc. 1967, 10, 455–460. [Google Scholar]
- Dorsett, D. Adherin: Key to the cohesin ring and cornelia de Lange syndrome. Curr. Biol. 2004, 14, R834–R836. [Google Scholar] [CrossRef] [PubMed]
- Oliveira, J.; Dias, C.; Redeker, E.; Costa, E.; Silva, J.; Lima, M.R.; Dunnen, J.T.D.; Santos, R. Development of nipbl locus-specific database using lovd: From novel mutations to further genotype-phenotype correlations in cornelia de lange syndrome. Hum. Mutat. 2010, 31, 1216–1222. [Google Scholar] [CrossRef]
- Liu, C.; Li, X.; Cui, J.; Dong, R.; Lv, Y.; Wang, D.; Zhang, H.; Li, X.; Li, Z.; Ma, J.; et al. Analysis of clinical and genetic characteristics in 10 chinese individuals with cornelia de lange syndrome and literature review. Mol. Genet. Genom. Med. 2020, 8, e1471. [Google Scholar] [CrossRef]
- Zdanowicz, K.; Daniluk, J.; Lebensztejn, D.M.; Daniluk, U. The Etiology of Cholelithiasis in Children and Adolescents-A Literature Review. Int. J. Mol. Sci. 2022, 23, 13376. [Google Scholar] [CrossRef]
- Reshetnyak, V.I. Concept of the pathogenesis and treatment of cholelithiasis. World J. Hepatol. 2012, 4, 18–34. [Google Scholar] [CrossRef]
- Toscano, E.; Trivellini, V.; Andria, G. Cholelithiasis in Down’s syndrome. Arch. Dis. Child 2001, 85, 242–243. [Google Scholar] [CrossRef]
- Boëchat, M.C.; Silva, K.S.; Llerena, J.C., Jr.; Boëchat, P.R.M. Cholelithiasis and biliary sludge in Downs syndrome patients. Sao Paulo Med. J. 2007, 125, 329–332. [Google Scholar] [CrossRef]
- Rege, R.V. The role of biliary calcium in gallstone pathogenesis. Front. Biosci. 2002, 7, e315–e325. [Google Scholar] [CrossRef] [PubMed][Green Version]
- Bagepally, B.S.; Haridoss, M.; Sasidharan, A.; Jagadeesh, K.V.; Oswal, N.K. Systematic review and meta-analysis of gallstone disease treatment outcomes in early cholecystectomy versus conservative management/delayed cholecystectomy. BMJ Open Gastroenterol. 2021, 8, e000675. [Google Scholar] [CrossRef] [PubMed]
- Sas, D.J. An update on the changing epidemiology and metabolic risk factors in pediatric kidney stone disease. Clin. J. Am. Soc. Nephrol. 2011, 6, 2062–2068. [Google Scholar] [CrossRef] [PubMed]
- Penido, M.G.; Tavares, M.S. Pediatric primary urolithiasis: Symptoms, medical management and prevention strategies. World J. Nephrol. 2015, 4, 444–454. [Google Scholar] [CrossRef]
- Sepahi, M.A.; Heidari, A.; Shajari, A. Clinical manifestations and etiology of renal stones in children less than 14 years age. Saudi J. Kidney Dis. Transpl. 2010, 21, 181–184. [Google Scholar]
- Alelign, T.; Petros, B. Kidney Stone Disease: An Update on Current Concepts. Adv. Urol. 2018, 2018, 3068365. [Google Scholar] [CrossRef]
- Selicorni, A.; Sforzini, C.; Milani, D.; Cagnoli, G.; Fossali, E.; Bianchetti, M.G. Anomalies of the kidney and urinary tract are common in de Lange syndrome. Am. J. Med. Genet. A 2005, 132a, 395–397. [Google Scholar] [CrossRef]
- Wurtzel, D.; Jorizzo, J.R.; Snyder, S.M.; Cloud, C.; Cochran, C.; Christoff, B.; Johnson, B. Cornelia de Lange Syndrome Presenting with Nephrolithiasis and Urolithiasis. J. Matern. Fetal Med. 1994, 3, 126–131. [Google Scholar] [CrossRef]
- Mangelov, M.; Balgarinova, N.; Zaykova, K.; Stoyanov, G.S.; Dzhenkov, D.L. Parenchymal Organ Changes in Two Female Patients with Cornelia de Lange Syndrome: Autopsy Case Report. Cureus 2020, 12, e9767. [Google Scholar] [CrossRef]





Disclaimer/Publisher’s Note: The statements, opinions and data contained in all publications are solely those of the individual author(s) and contributor(s) and not of MDPI and/or the editor(s). MDPI and/or the editor(s) disclaim responsibility for any injury to people or property resulting from any ideas, methods, instructions or products referred to in the content. |
© 2024 by the authors. Licensee MDPI, Basel, Switzerland. This article is an open access article distributed under the terms and conditions of the Creative Commons Attribution (CC BY) license (https://creativecommons.org/licenses/by/4.0/).
Share and Cite
Choi, S.Y.; Hong, Y.-R.; Oh, C.-E.; Lee, J.H. Cornelia de Lange Syndrome Accompanied by Cholelithiasis and Nephrolithiasis: A Case Report. Children 2024, 11, 1433. https://doi.org/10.3390/children11121433
Choi SY, Hong Y-R, Oh C-E, Lee JH. Cornelia de Lange Syndrome Accompanied by Cholelithiasis and Nephrolithiasis: A Case Report. Children. 2024; 11(12):1433. https://doi.org/10.3390/children11121433
Chicago/Turabian StyleChoi, So Yoon, Yoo-Rha Hong, Chi-Eun Oh, and Jung Hyun Lee. 2024. "Cornelia de Lange Syndrome Accompanied by Cholelithiasis and Nephrolithiasis: A Case Report" Children 11, no. 12: 1433. https://doi.org/10.3390/children11121433
APA StyleChoi, S. Y., Hong, Y.-R., Oh, C.-E., & Lee, J. H. (2024). Cornelia de Lange Syndrome Accompanied by Cholelithiasis and Nephrolithiasis: A Case Report. Children, 11(12), 1433. https://doi.org/10.3390/children11121433

