Fetal Lung Interstitial Tumor (FLIT): Review of The Literature
Abstract
1. Introduction
2. Materials and Methods
3. Results
| Author | Case Number | Gender | Age at Presentation | Symptoms at Presentation | Age at Surgery | Tumor Location | Treatment | Tumor Size (cm) | Gross Features | Outcome |
|---|---|---|---|---|---|---|---|---|---|---|
| Dishop et al., 2010 [7] | 1 | M | 1 day | - | 3 days | Left upper lobe | Lobectomy | 3.3 | Tan–pink–yellow friable mass | No recurrence, 15 months |
| 2 | M | Birth | - | 5 months | Right upper lobe | Lobectomy | 4 | - | No recurrence, 35 months | |
| 3 | F | Birth | - | 5 days | Right lower lobe | Wedge resection and subsequent lobectomy | - | - | No recurrence, 32 months | |
| 4 | M | Birth | Hydrops and fetal heart failure | Birth | Right lower lobe | Lobectomy during EXIT procedure | 5.7 | Solid; soft spongy hemorrhagic mass | No recurrence, 60 months | |
| 5 | M | 3 months | - | 5 months | Right lower lobe | Wedge resection | 2 | Solid; well-circumscribed tan fleshy mass | No recurrence, 36 months | |
| 6 | F | 2 months | - | 2 months | Right lower lobe | Lobectomy | - | Solid; well-demarcated gray–white homogeneous nodule in peripheral lung | No recurrence, 180 months | |
| 7 | F | 5 days | - | 6 weeks | Left lower lobe | Lobectomy | 6.6 | Solid; soft spongy yellow mass well-circumscribed, distinct from adjacent lung | No recurrence, 19 months | |
| 8 | M | 2 days | - | 11 weeks | Right middle lobe | Lobectomy | 4 | Tan–pink, spongy, and cystic mass | No recurrence, 23 months | |
| 9 | M | Birth | - | 2 days | Left lower lobe | Wedge resection | 7 | Reddish–tan spongy mass | No recurrence, 9 months | |
| 10 | M | Birth | - | 7 days | Major fissure of the right lung | Wedge resection | 6.5 | Tan spongy mass | No recurrency at time of publication | |
| de Chadarévian et al., 2011 [13] | 11 | F | Prenatal diagnosis | - | Newborn | Left lower lobe | Lobectomy | - | Soft; gray–tan, well-circumscribed, surrounded by a fibrous capsule; large cystic space ranging from 0.1 to 1 cm | No recurrence, 7 years |
| Lazar et al., 2011 [14] | 4 | M | See case 4 | - | - | - | - | - | No recurrence, 60 months | |
| Yoshida et al., 2013 [15] | 12 | F | 7 days | Respiratory distress | 13 days | Left lower lobe | Lobectomy | 5 | Solid; well-circumscribed, surrounded by a thick fibrous capsule | No recurrence, 15 years |
| Onoda et al., 2014 [16] | 13 | M | Birth | Mild apnea | 11 days | Left lower lobe | Wedge resection | 2.5 | Solid; well-circumscribed, spongy mass with microcystic component | No recurrence, 36 months |
| Waelti et al., 2017 [4] | 14 | M | Birth | Respiratory distress | - | Left upper lobe | Lobectomy, but incomplete resection | 8.5 | Solid; with microcystic component | No recurrence, 36 months |
| 15 | M | Birth (prenatal diagnosis at 34 weeks of gestation) | Severe respiratory distress | - | Right upper lobe | Lobectomy | 9 | Solid | No recurrence at first control | |
| Phillips et al., 2019 [17] | 16 | - | Birth | Severe respiratory distress | 20 days | Left upper lobe | Lobectomy | 6 | Spongy, with cystic spaces | - |
| Shah et al., 2021 [18] | 17 | M | Birth | - | 21 days | Left upper lobe | Lobectomy | 6.5 | Solid; soft lobulated with cystic spaces with thick fibrous capsule | No recurrence, 12 months |
| Kuroda et al., 2021 [19] | 18 | M | Birth | Mild respiratory distress | 22 days | Right upper lobe | Lobectomy | 8.5 | Solid; spongy with microcysts and a fibrous capsule | No recurrence, 12 months |
| Wang et al., 2023 [20] | 19 | M | Birth (prenatal diagnosis at 33 weeks of gestation) | Tachypnoea and feeding difficulties | 14 days | Right upper lobe | Lobectomy | 6.2 | Spongy, well-circumscribed mass with cystic spaces | No recurrence, 3 months |
| Ho et al., 2023 [10] | 20 | F | Birth (prenatal history of polyhydramnios) | Respiratory distress | 3 days | Right lower lobe | Lobectomy | - | Encapsulated; enlarged air spaces with widened septa | No recurrence, 120 months |
| 21 | F | Birth | Respiratory distress | 3 days | Right upper lobe | Lobectomy | - | Irregular air spaces and widened septa, partially encapsulated | No recurrence, 36 months | |
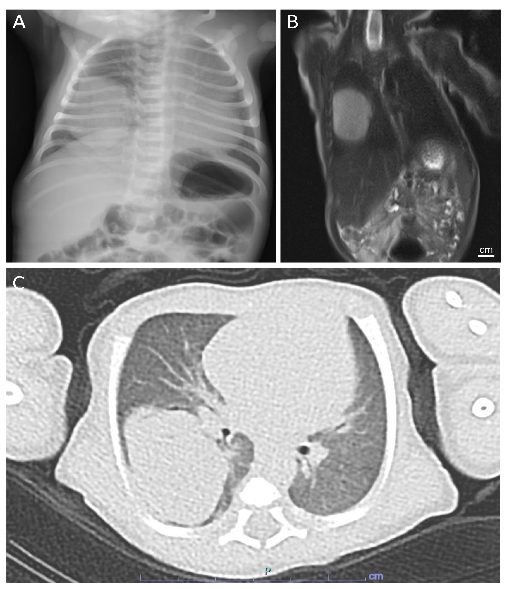
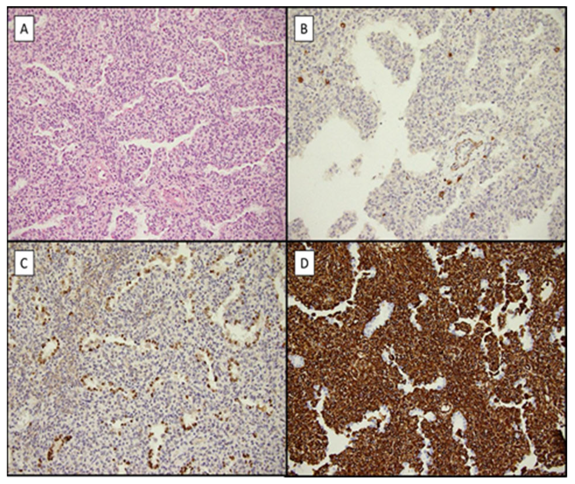
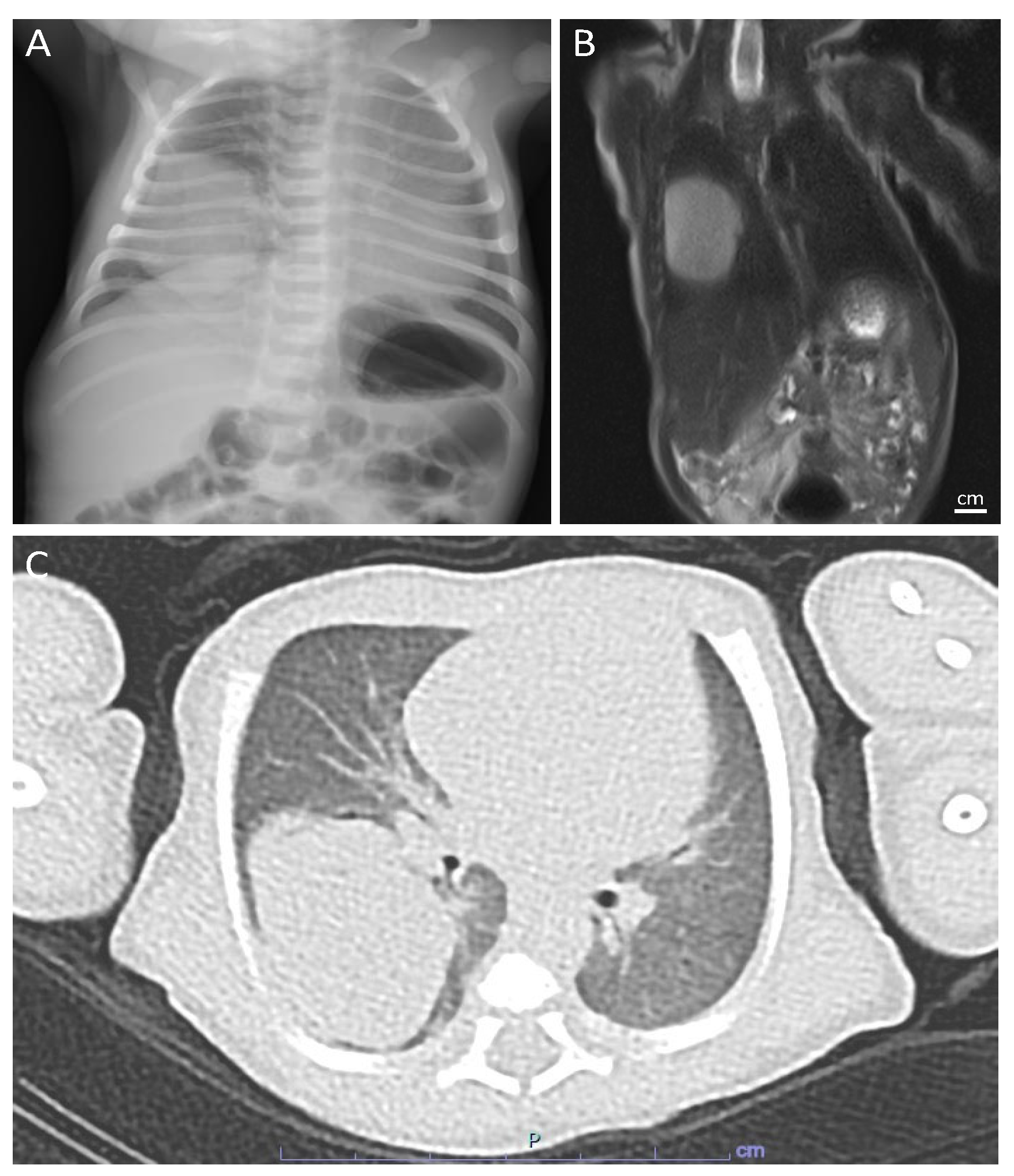
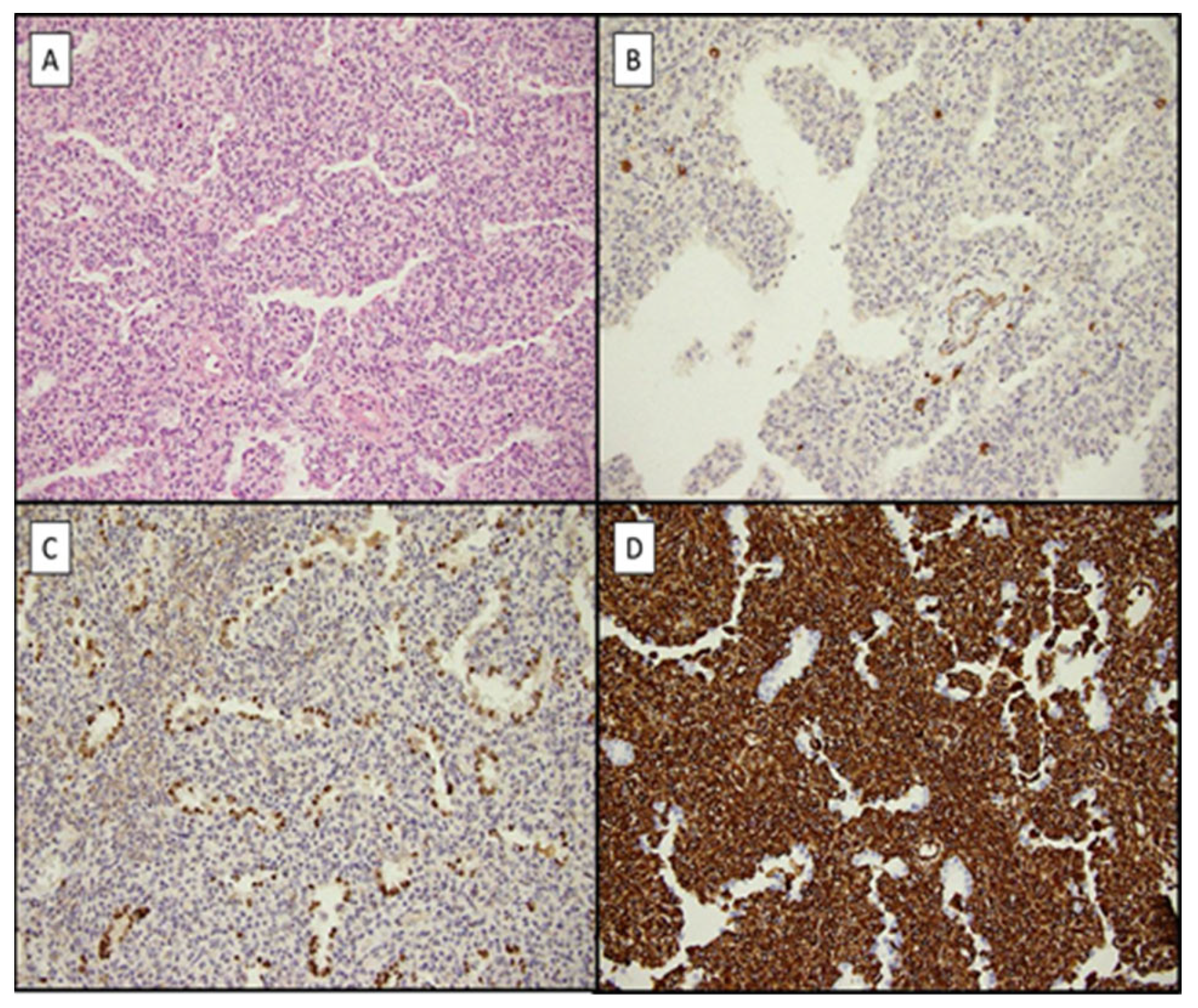
| Present case | 22 | M | Birth | Respiratory distress | 18 days | Right lower lobe | Lobectomy | 3.5 | Solid | No recurrence, 14 months |
4. Discussion
Author Contributions
Funding
Institutional Review Board Statement
Informed Consent Statement
Data Availability Statement
Conflicts of Interest
References
- Cass, D.L.; Olutoye, O.O.; Cassady, C.I.; Moise, K.J.; Johnson, A.; Papanna, R.; Lazar, D.A.; Ayres, N.A.; Belleza-Bascon, B. Prenatal diagnosis and outcome of fetal lung masses. J. Pediatr. Surg. 2011, 46, 292–298. [Google Scholar] [CrossRef] [PubMed]
- Adams, N.C.; Victoria, T.; Oliver, E.R.; Moldenhauer, J.S.; Adzick, N.S.; Colleran, G.C. Fetal ultrasound and magnetic resonance imaging: A primer on how to interpret prenatal lung lesions. Pediatr. Radiol. 2020, 50, 1839–1854. [Google Scholar] [CrossRef] [PubMed]
- Pogoriler, J.; Swarr, D.; Kreiger, P.; Adzick, N.S.; Peranteau, W. Congenital cystic lung lesions: Redefining the natural distribution of subtypes and assessing the risk of malignancy. Am. J. Surg. Pathol. 2019, 43, 47. [Google Scholar] [CrossRef] [PubMed]
- Waelti, S.L.; Garel, L.; Soglio, D.D.; Rypens, F.; Messerli, M.; Dubois, J. Neonatal congenital lung tumors—The importance of mid-second-trimester ultrasound as a diagnostic clue. Pediatr. Radiol. 2017, 47, 1766–1775. [Google Scholar] [CrossRef] [PubMed]
- Lichtenberger, J.P., 3rd; Biko, D.M.; Carter, B.W.; Pavio, M.A.; Huppmann, A.R.; Chung, E.M. Primary Lung Tumors in Children: Radiologic-Pathologic Correlation From the Radiologic Pathology Archives. Radiographics 2018, 38, 2151–2172. [Google Scholar] [CrossRef] [PubMed]
- Travis, W.D.; Brambilla, E.; Nicholson, A.G.; Yatabe, Y.; Austin, J.H.M.; Beasley, M.B.; Chirieac, L.R.; Dacic, S.; Duhig, E.; Flieder, D.B.; et al. The 2015 World Health Organization Classification of Lung Tumors: Impact of Genetic, Clinical and Radiologic Advances Since the 2004 Classification. J. Thorac. Oncol. 2015, 10, 1243–1260. [Google Scholar] [CrossRef]
- Dishop, M.K.; McKay, E.M.; Kreiger, P.A.; Priest, J.R.; Williams, G.M.; Langston, C.; Jarzembowski, J.; Suchi, M.; Dehner, L.P.; Hill, D.A. Fetal lung interstitial tumor (FLIT): A proposed newly recognized lung tumor of infancy to be differentiated from cystic pleuropulmonary blastoma and other developmental pulmonary lesions. Am. J. Surg. Pathol. 2010, 34, 1762–1772. [Google Scholar] [CrossRef] [PubMed]
- Page, M.J.; McKenzie, J.E.; Bossuyt, P.M.; Boutron, I.; Hoffmann, T.C.; Mulrow, C.D.; Shamseer, L.; Tetzlaff, J.M.; Akl, E.A.; Brennan, S.E.; et al. The PRISMA 2020 statement: An updated guideline for reporting systematic reviews. BMJ 2021, 372, n71. [Google Scholar] [CrossRef]
- Patil, I. Visualizations with statistical details: The ‘ggstatsplot’ approach. J. Open Source Softw. 2021, 6, 3167. [Google Scholar] [CrossRef]
- Ho, K.A.; Fuentes-Bolanos, N.A.; Gifford, A.J.; Jiwane, A.; Wanaguru, D. Fetal Lung Interstitial Tumor (FLIT): A case series. J. Neonatal Surg. 2023, 12, 4. [Google Scholar] [CrossRef]
- Schultz, K.A.P.; Stewart, D.R.; Kamihara, J.; Bauer, A.J.; Merideth, M.A.; Stratton, P.; Huryn, L.A.; Harris, A.K.; Doros, L.; Field, A.; et al. DICER1 Tumor Predisposition. In GeneReviews®; Adam, M.P., Everman, D.B., Mirzaa, G.M., Pagon, R.A., Wallace, S.E., Bean, L.J.H., Gripp, K.W., Amemiya, A., Eds.; University of Washington: Seattle, WA, USA, 2014. [Google Scholar]
- Hill, D.A.; Ivanovich, J.; Priest, J.R.; Gurnett, C.A.; Dehner, L.P.; Desruisseau, D.; Jarzembowski, J.A.; Wikenheiser-Brokamp, K.A.; Suarez, B.K.; Whelan, A.J.; et al. DICER1 mutations in familial pleuropulmonary blastoma. Science 2009, 325, 965. [Google Scholar] [CrossRef] [PubMed]
- De Chadarévian, J.P.; Liu, J.; Pezanowski, D.; Stefanovici, C.; Guzman, M.; Katz, D.A.; Pascassio, J.M. Diagnosis of fetal lung interstitial tumor requires a FISH negative for trisomies 8 and 2. Am. J. Surg. Pathol. 2011, 35, 1085–1086. [Google Scholar] [CrossRef] [PubMed]
- Lazar, D.A.; Cass, D.L.; Dishop, M.K.; Adam, K.; Olutoye, O.A.; Ayres, N.A.; Cassady, C.I.; Olutoye, O.O. Fetal lung interstitial tumor: A cause of late gestation fetal hydrops. J. Pediatr. Surg. 2011, 46, 1263–1266. [Google Scholar] [CrossRef] [PubMed]
- Yoshida, M.; Tanaka, M.; Gomi, K.; Iwanaka, T.; Dehner, L.P.; Tanaka, Y. Fetal lung interstitial tumor: The first Japanese case report and a comparison with fetal lung tissue and congenital cystic adenomatoid malformation/congenital pulmonary airway malformation type 3. Pathol. Int. 2013, 63, 506–509. [Google Scholar] [CrossRef] [PubMed]
- Onoda, T.; Kanno, M.; Sato, H.; Takahashi, N.; Izumino, H.; Ohta, H.; Emura, T.; Katoh, H.; Ohizumi, H.; Ohtake, H.; et al. Identification of novel ALK rearrangement A2M-ALK in a neonate with fetal lung interstitial tumor. Genes Chromosom. Cancer 2014, 53, 865–874. [Google Scholar] [CrossRef] [PubMed]
- Phillips, J.; Blask, A.; DiPoto Brahmbhatt, A.; Lawrence, A.; Timofeev, J.; Badillo, A.; Andescavage, N. Fetal lung interstitial tumor: Prenatal presentation of a rare fetal malignancy. J. Neonatal Perinat. Med. 2019, 12, 473–477. [Google Scholar] [CrossRef] [PubMed]
- Shah, S.N.; Geetha, N.; Satheesa, R.; Parameswaran, A. Fetal lung interstitial tumor: An uncommon pediatric pulmonary neoplasm. Lung India 2021, 38, 186–190. [Google Scholar] [CrossRef]
- Kuroda, Y.; Fukuzawa, H.; Kawahara, I.; Morita, K. Hemi-Clamshell Approach for Fetal Lung Interstitial Tumor Resection in a Neonate: A Case Report. Eur. J. Pediatr. Surg. Rep. 2021, 9, e72–e75. [Google Scholar] [CrossRef]
- Wang, Z.; Xu, C.; He, T.; Yuan, M. A case report of misdiagnosed fetal lung mass and review of the literature. Front. Pediatr. 2023, 10, 1045037. [Google Scholar] [CrossRef]
- Crombleholme, T.M.; Coleman, B.; Hedrick, H.; Liechty, K.; Howell, L.; Flake, A.W.; Johnson, M.; Adzick, N.S. Cystic adenomatoid malformation volume ratio predicts outcome in prenatally diagnosed cystic adenomatoid malformation of the lung. J. Pediatr. Surg. 2002, 37, 331–338. [Google Scholar] [CrossRef]
- Dishop, M.K.; Kuruvilla, S. Primary and metastatic lung tumors in the pediatric population: A review and 25-year experience at a large children’s hospital. Arch. Pathol. Lab. Med. 2008, 132, 1079–1103. [Google Scholar] [CrossRef] [PubMed]
- Novak, R.; Dasu, S.; Agamanolis, D.; Herold, W.; Malone, J.; Waterson, J. Trisomy 8 is a characteristic finding in pleuropulmonary blastoma. Pediatr. Pathol. Lab. Med. 1997, 17, 99–103. [Google Scholar] [CrossRef] [PubMed]
- Yang, P.; Hasegawa, T.; Hirose, T.; Fukumoto, T.; Uyama, T.; Monden, Y.; Sano, T. Pleuropulmonary blastoma: Fluorescence in situ hybridization analysis indicating trisomy 2. Am. J. Surg. Pathol. 1997, 21, 854–859. [Google Scholar] [CrossRef]
- Brock, K.E.; Wall, J.; Esquivel, M.; Newman, B.; Marina, N.; Albanese, C.; Hazard, F.K. Congenital peribronchial myofibroblastic tumor: Case report of an asymptomatic infant with a rapidly enlarging pulmonary mass and review of the literature. Ann. Clin. Lab. Sci. 2015, 45, 83–89. [Google Scholar] [PubMed]
- Tanaka, M.; Kohashi, K.; Kushitani, K.; Yoshida, M.; Kurihara, S.; Kawashima, M.; Ueda, Y.; Souzaki, R.; Kinoshita, Y.; Oda, Y.; et al. Inflammatory myofibroblastic tumors of the lung carrying a chimeric A2M-ALK gene: Report of 2 infantile cases and review of the differential diagnosis of infantile pulmonary lesions. Hum. Pathol. 2017, 66, 177–182. [Google Scholar] [CrossRef]
- Mahajan, P.; Casanova, M.; Ferrari, A.; Fordham, A.; Trahair, T.; Venkatramani, R. Inflammatory myofibroblastic tumor: Molecular landscape, targeted therapeutics, and remaining challenges. Curr. Probl. Cancer 2021, 45, 100768. [Google Scholar] [CrossRef]
- Casanova, M.; Brennan, B.; Alaggio, R.; Kelsey, A.; Orbach, D.; van Noesel, M.M.; Corradini, N.; Minard-Colin, V.; Zanetti, I.; Bisogno, G.; et al. Inflammatory myofibroblastic tumor: The experience of the European pediatric Soft Tissue Sarcoma Study Group (EpSSG). Eur. J. Cancer 2020, 127, 123–129. [Google Scholar] [CrossRef]
- Siminovich, M.; Galluzzo, L.; Lopez, J.; Lubieniecki, F.; de Davila, M.T. Inflammatory myofibroblastic tumor of the lung in children: Anaplastic lymphoma kinase (ALK) expression and clinico-pathological correlation. Pediatr. Dev. Pathol. Off. J. Soc. Pediatr. Pathol. Paediatr. Pathol. Soc. 2012, 15, 179–186. [Google Scholar] [CrossRef]
- Suurmeijer, A.J.; Dickson, B.C.; Swanson, D.; Zhang, L.; Sung, Y.S.; Huang, H.Y.; Fletcher, C.D.; Antonescu, C.R. The histologic spectrum of soft tissue spindle cell tumors with NTRK3 gene rearrangements. Genes Chromosom. Cancer 2019, 58, 739–746. [Google Scholar] [CrossRef]
- Stocker, J.T. Cystic lung disease in infants and children. Fetal. Pediatr. Pathol. 2009, 28, 155–184. [Google Scholar] [CrossRef]




Disclaimer/Publisher’s Note: The statements, opinions and data contained in all publications are solely those of the individual author(s) and contributor(s) and not of MDPI and/or the editor(s). MDPI and/or the editor(s) disclaim responsibility for any injury to people or property resulting from any ideas, methods, instructions or products referred to in the content. |
© 2023 by the authors. Licensee MDPI, Basel, Switzerland. This article is an open access article distributed under the terms and conditions of the Creative Commons Attribution (CC BY) license (https://creativecommons.org/licenses/by/4.0/).
Share and Cite
Perin, S.; Cataldo, I.; Baciorri, F.; Santoro, L.; Dei Tos, A.P.; Guido, M.; Midrio, P. Fetal Lung Interstitial Tumor (FLIT): Review of The Literature. Children 2023, 10, 828. https://doi.org/10.3390/children10050828
Perin S, Cataldo I, Baciorri F, Santoro L, Dei Tos AP, Guido M, Midrio P. Fetal Lung Interstitial Tumor (FLIT): Review of The Literature. Children. 2023; 10(5):828. https://doi.org/10.3390/children10050828
Chicago/Turabian StylePerin, Silvia, Ivana Cataldo, Francesca Baciorri, Luisa Santoro, Angelo Paolo Dei Tos, Maria Guido, and Paola Midrio. 2023. "Fetal Lung Interstitial Tumor (FLIT): Review of The Literature" Children 10, no. 5: 828. https://doi.org/10.3390/children10050828
APA StylePerin, S., Cataldo, I., Baciorri, F., Santoro, L., Dei Tos, A. P., Guido, M., & Midrio, P. (2023). Fetal Lung Interstitial Tumor (FLIT): Review of The Literature. Children, 10(5), 828. https://doi.org/10.3390/children10050828

