Therapy of Patients with Cardiac Malposition
Abstract
1. Introduction
2. Therapy
3. Management of Dextroposition
4. Management of Cardiac Malposition
4.1. Management at Initial Presentation
4.2. Additional Surgery
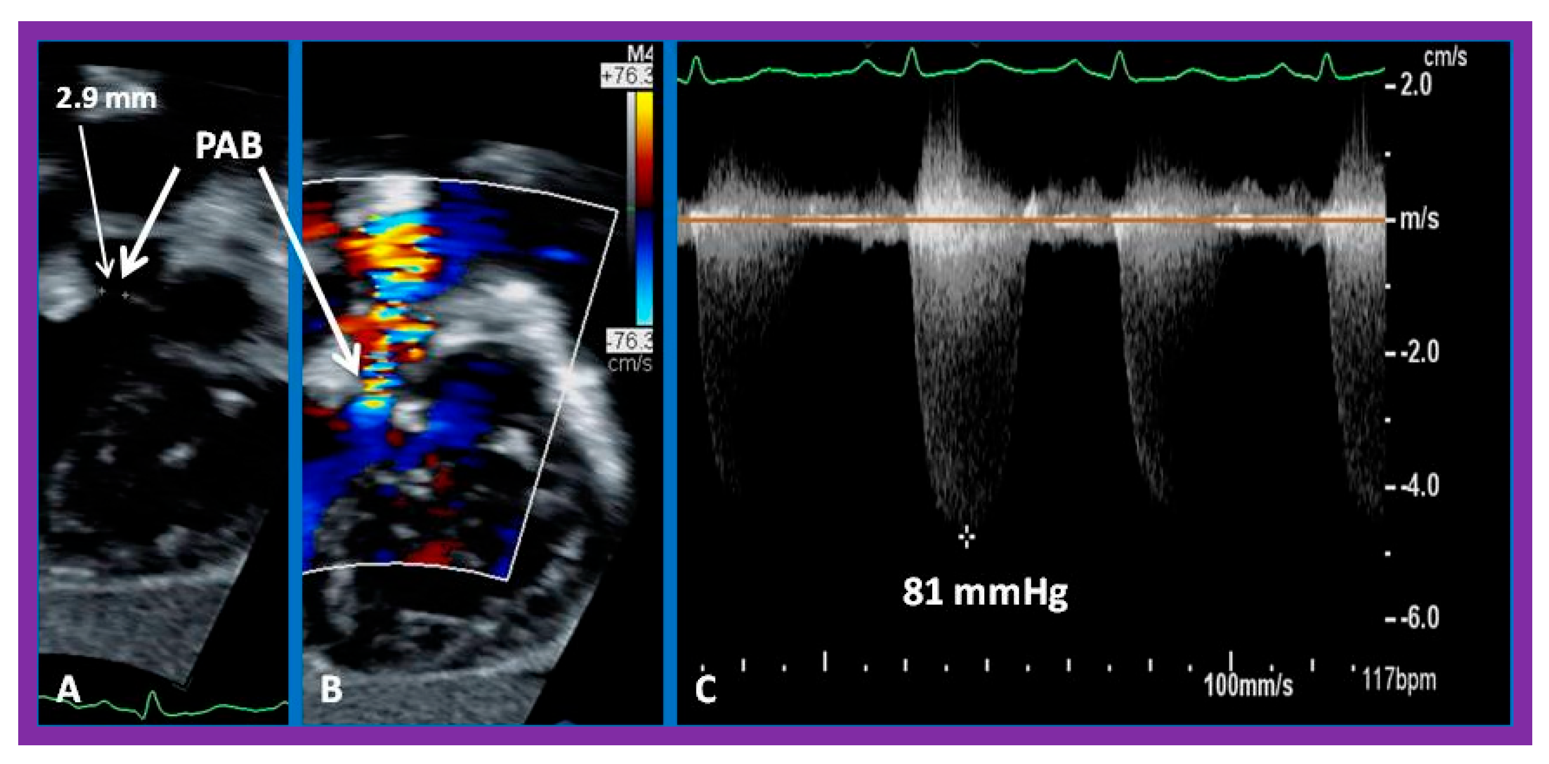
4.2.1. Stage I
4.2.2. Stage II
4.2.3. Stage IIIA
4.2.4. Stage IIIB
5. Management of Noncardiac Issues
6. Interstage Issues
7. Postintervention Complications
8. Management of Cardiac Malposition Patients during Adulthood
8.1. Coronary Artery Disease
8.2. Supraventricular Arrhythmias
8.3. Complete Atrioventricular Block or Sick Sinus Syndrome
8.4. Prevention
8.4.1. Prevention of Sudden Death
8.4.2. Prevention of Embolic Episodes
8.5. Aortic Valve Disease
8.6. Mitral Valve Disease
8.7. Hypertrophic Cardiomyopathy and Subaortic Obstruction
9. Summary and Conclusions
Funding
Institutional Review Board Statement
Informed Consent Statement
Data Availability Statement
Conflicts of Interest
References
- Rao, P.S.; Rao, N.S. Diagnosis of dextrocardia with a pictorial rendition of terminology and diagnosis. Children 2022, 9, 1977. [Google Scholar] [CrossRef] [PubMed]
- Mazur, L.; deYbarrondo, L.; Pickard, L.; Rao, P.S. Development of supravalvular pulmonary artery stenosis following a Nuss procedure. J. Pediatr. Surg. 2012, 47, e61–e64. [Google Scholar] [CrossRef] [PubMed]
- Neill, C.A.; Ferencz, C.; Sabiston, D.C.; Sheldon, H. The familial occurrence of hypoplastic right lung with systemic arterial supply and venous drainage “scimitar syndrome”. Bull. Johns Hopkins Hosp. 1960, 107, 1–21. [Google Scholar] [PubMed]
- Dickinson, D.F.; Galloway, R.W.; Massey, R.; Sankey, R.; Arnold, R. Scimitar syndrome in infancy. Role of embolisation of systemic arterial supply to right lung. Br. Heart J. 1982, 47, 468–472. [Google Scholar] [CrossRef]
- Mardini, M.K.; Rao, P.S. Scimitar syndrome: Experience with four patients and review of literature. Arab J. Med. 1984, 3, 13–23. [Google Scholar]
- Poncelet, A.J.; Carbonez, K.; Rubay, J.E. Autologous vascularized pericardial flap tunneling technique in Scimitar syndrome repair with dextrocardia: Lessons from the Senning procedure. Cardiol. Young 2021, 31, 859–861. [Google Scholar] [CrossRef]
- Rowe, R.D.; Freedom, R.M.; Mehrizi, A. The Neonate with Congenital Heart Disease; W.B. Saunders Co.: Philadelphia, PA, USA, 1981; pp. 1–70. [Google Scholar]
- Rao, P.S. Principles of management of the neonate with congenital heart disease. In A Multidisciplinary Approach to Perinatal Cardiology; Rao, P.S., Vidyasagar, D., Eds.; Cambridge Scholars Publishing: New Castle upon Tyne, UK, 2021; Volume 1, pp. 474–509. [Google Scholar]
- Olley, P.M.; Coceani, F. Use of prostaglandins in cardiopulmonary diseases of the newborn. Semin. Perinatol. 1980, 4, 135–141. [Google Scholar]
- Heymann, M.A.; Rudolph, A.M. Neonatal manipulation: Patent ductus arteriosus. Clin. Cardiol. 1981, 11, 301–310. [Google Scholar]
- Singh, Y.; Mikrou, P. Use of prostaglandins in duct-dependent congenital heart conditions. Arch. Dis. Child. Educ. Pract. 2018, 103, 137–140. [Google Scholar] [CrossRef]
- Hew, M.R.; Gerriets, V. Prostaglandin E1. In StatPearls; StatPearls Publishing: Treasure Island, FL, USA, 2022. [Google Scholar]
- Blalock, A.; Taussig, H.B. The surgical treatment of malformations of the heart in which there is pulmonary stenosis or atresia. J. Am. Med. Assoc. 1945, 128, 189–194. [Google Scholar] [CrossRef]
- De Leval, M.R.; McKay, R.; Jones, M.; Stark, J.; Macartney, F.J. Modified Blalock-Taussig shunt: Use of subclavian orifice as a flow regulator in prosthetic systemic-pulmonary artery shunts. J. Thorac. Cardiovasc. Surg. 1981, 18, 112–119. [Google Scholar] [CrossRef]
- Li, D.; Wang, Y.; Lin, K.; An, Q. Modified Blalock-Taussig shunt: A single-center experience and follow-up. Heart Surg. Forum 2020, 23, E053–E057. [Google Scholar] [CrossRef]
- Siblini, G.; Rao, P.S.; Singh, G.K.; Tinker, K.; Balfour, I.C. Transcatheter management of neonates with pulmonary atresia and intact ventricular septum. Catheter. Cardiovasc. Diagn. 1997, 42, 395–402. [Google Scholar] [CrossRef]
- Alwi, M.; Choo, K.K.; Latiff, H.A.; Kandavello, G.; Samion, H.; Mulyadi, M.D. Initial results, and medium-term follow-up of stent implantation of patent ductus arteriosus in duct-dependent pulmonary circulation. J. Am. Coll. Cardiol. 2004, 44, 438–445. [Google Scholar] [CrossRef]
- Ruiz, C.E. Ductal stents in the management of congenital heart defects. Catheter. Cardiovasc. Interv. 2001, 53, 75–80. [Google Scholar] [CrossRef]
- Rao, P.S.; Brais, M. Balloon pulmonary valvuloplasty for congenital cyanotic heart defects. Am. Heart J. 1988, 115, 1105–1110. [Google Scholar] [CrossRef]
- Rao, P.S. Double-Inlet left ventricle. Children 2022, 9, 1274. [Google Scholar] [CrossRef]
- Rao, P.S. Echocardiography in the diagnosis and management of tricuspid atresia. Appl. Sci. 2021, 11, 9472. [Google Scholar] [CrossRef]
- Muller, W.H., Jr.; Danimann, J.F., Jr. The treatment of certain congenital malformations of the heart by the creation of pulmonic stenosis to reduce pulmonary hypertension and excessive pulmonary blood flow, a preliminary report. Surg. Gynecol. Obstet. 1952, 95, 213–219. [Google Scholar]
- Afifi, A.R.S.A.; Seale, A.N.; Chaudhari, M.; Khan, N.E.; Jones, T.J.; Stumper, O.; Botha, P. Pulmonary artery banding: Still a role for staged bi-ventricular repair of intracardiac shunts? Cardiol. Young 2022, 14, 1–7. [Google Scholar] [CrossRef]
- Agasthi, P.; Graziano, J.N. Pulmonary Artery Banding. 1 October 2022. In StatPearls; StatPearls Publishing: Treasure Island, FL, USA, 2023. [Google Scholar]
- Rao, P.S. Single ventricle—A comprehensive review. Children 2021, 8, 441. [Google Scholar] [CrossRef] [PubMed]
- Bando, K.; Turrentine, M.W.; Ensing, G.J.; Sun, K.; Sharp, T.G.; Sekine, Y.; Girod, D.A.; Brown, J.W. Surgical treatment of total anomalous pulmonary venous connection. Circulation 1996, 94 (Suppl. SII), 12–16. [Google Scholar]
- Whitfield, C.K.; Rao, P.S. Total anomalous pulmonary venous connection in the neonate. Neonatol. Today 2013, 8, 1–7. [Google Scholar]
- Spigel, Z.A.; Edmunds, E.E.; Caldarone, C.A.; Hickey, E.J.; Binsalamah, Z.M.; Heinle, J.S. Total anomalous pulmonary venous connection: Influence of heterotaxy and venous obstruction on outcomes. J. Thorac. Cardiovasc. Surg. 2022, 163, 387–395.e3. [Google Scholar] [CrossRef] [PubMed]
- Cervantes-Salazar, J.L.; Calderón-Colmenero, J.; Martínez-Guzmán, A.; García-Montes, J.A.; Rivera-Buendía, F.; Ortega-Zhindón, D.B. Total anomalous pulmonary venous connection: 16 years of surgical results in a single center. J. Card. Surg. 2022, 37, 2980–2987. [Google Scholar] [CrossRef]
- Rao, P.S. Role of balloon pulmonary valvuloplasty in the management of pulmonary stenosis. J. Clin. Cardiol. Cardiovasc. Interv. 2021, 4, 1–41. [Google Scholar] [CrossRef]
- Yerram, S.; Aramalla, S.; Bhyravavajhala, S. Unconventional deployment of atrial septal occluder in a patient with atrial septal defect, dextrocardia, and interrupted inferior vena cava. Cardiol. Young 2020, 30, 1206–1208. [Google Scholar] [CrossRef]
- Hakim, F.; Madani, A.; Samara, Y.; Ata, I.A.; Hiari, A.; Goussous, Y.; Hijazi, Z.M. Transcatheter closure of secundum atrial septal defect in a patient with dextrocardia using the Amplatzer septal occluder. Catheter. Cardiovasc. Diagn. 1998, 43, 291–294. [Google Scholar] [CrossRef]
- Galal, M.O.; Khan, M.A.; El-Segaier, M. Percutaneous closure of atrial septal defect with situs solitus and dextrocardia. Asian Cardiovasc. Thorac. Ann. 2015, 23, 202–205. [Google Scholar] [CrossRef]
- Bafna, A.; Deokate, V. Percutaneous atrial septal defect closure in a case of Poland syndrome with dextrocardia: ASD closure in Poland syndrome with dextrocardia. AsiaIntervention 2022, 8, 56–57. [Google Scholar] [CrossRef]
- Aristizábal-Villa, G.J.; Plata-Marriaga, A.E.; Torres-Nieto, M.L. Percutaneous closure of interventricular septal defect in a pediatric patient with dextrocardia. Clinical case report. Arch. Cardiol. Mex. 2022, 92, 289–291. [Google Scholar] [CrossRef]
- Yücel, İ.K.; Aslan Çınar, A.; Sürücü, M.; Çelebi, A. Successful transjugular percutaneous atrial septal defect closure in a dextrocardia patient with Kartagener’s syndrome, situs inversus, interrupted inferior vena cava, and bilateral superior vena cava. Anatol. J. Cardiol. 2023, 27, 47–49. [Google Scholar] [CrossRef]
- Yarrabolu, T.R.; Thapar, M.K.; Rao, P.S. Subpulmonary obstruction due to aneurysmal ventricular septum in a patient with congenitally corrected transposition of the great arteries and dextrocardia. Congenit. Cardiol. Today 2014, 12, 590–592. [Google Scholar]
- Nathan, M.; Liu, H.; Pigula, F.A.; Fynn-Thompson, F.; Emani, S.; Baird, C.A.; Marx, G.; Mayer, J.E.; Del Nido, P.J. Biventricular conversion after single-ventricle palliation in unbalanced atrioventricular canal defects. Ann. Thorac. Surg. 2013, 95, 2086–2095; discussion 2095–2096. [Google Scholar] [CrossRef]
- Emani, S.M.; McElhinney, D.B.; Tworetzky, W.; Myers, P.O.; Schroeder, B.; Zurakowski, D.; Pigula, F.A.; Marx, G.R.; Lock, J.E.; del Nido, P.J. Staged left ventricular recruitment after single-ventricle palliation in patients with borderline left heart hypoplasia. J. Am. Coll. Cardiol. 2012, 60, 1966–1974. [Google Scholar] [CrossRef]
- Kalish, B.T.; Banka, P.; Lafranchi, T.; Tworetzky, W.; Del Nido, P.; Emani, S.M. Biventricular conversion after single ventricle palliation in patients with small left heart structures: Short-term outcomes. Ann. Thorac. Surg. 2013, 96, 1406–1412. [Google Scholar] [CrossRef]
- Buratto, E.; Ye, X.T.; King, G.; Shi, W.Y.; Weintraub, R.G.; d’Udekem, Y.; Brizard, C.P.; Konstantinov, I.E. Long-term outcomes of single-ventricle palliation for unbalanced atrioventricular septal defects: Fontan survivors do better than previously thought. J. Thorac. Cardiovasc. Surg. 2017, 153, 430–438. [Google Scholar] [CrossRef]
- Fontan, F.; Baudet, E. Surgical repair of tricuspid atresia. Thorax 1971, 26, 240–248. [Google Scholar] [CrossRef]
- Kreutzer, G.; Galíndez, E.; Bono, H. Una operacion para la correccion de la atresia tricuspidea. In Proceedings of the Ninth Argentinean Congress of Cardiology, Buenos Aires, Argentina, 31 October–6 November 1971. [Google Scholar]
- Lee, M.; Shahjehan, R.D. Fontan completion. 26 September 2022. In StatPearls; StatPearls Publishing: Treasure Island, FL, USA, 2023. [Google Scholar]
- Polat, A.B.; Ertürk, M.; Uzunhan, O.; Karademir, N.; Öztarhan, K. 27 years of experience with the Fontan procedure: Characteristics and clinical outcomes of children in a tertiary referral hospital. J. Cardiothorac. Surg. 2023, 18, 38. [Google Scholar] [CrossRef]
- de Leval, M.R.; Kilner, P.; Gewillig, M.; Bull, C.; McGoon, D.C. Total cavopulmonary connection: A logical alternative to atriopulmonary connection for complex Fontan operation. J. Thorac. Cardiovasc. Surg. 1988, 96, 682–695. [Google Scholar] [CrossRef]
- Pridjian, A.K.; Mendelsohn, A.M.; Lupinetti, F.M.; Beekman, R.H., III; Dick, M., II; Serwer, G.; Bove, E.L. Usefulness of the bidirectional Glenn procedure as staged reconstruction for the functional single ventricle. Am. J. Cardiol. 1993, 71, 959–962. [Google Scholar] [CrossRef] [PubMed]
- Marcelletti, C.; Corno, A.; Giannico, S.; Marino, B. Inferior vena cava-pulmonary artery extra-cardiac conduit. A new form of right heart bypass. J. Thorac. Cardiovasc. Surg. 1990, 100, 228–232. [Google Scholar] [CrossRef] [PubMed]
- Marcelletti, C.; Iorio, F.S.; Abella, R.F. Late results of extra-cardiac Fontan repair. Semin. Thorac. Cardiovasc. Surg. Pediatr. Card. Surg. Annu. 1999, 2, 131–141. [Google Scholar] [CrossRef] [PubMed]
- Billingsley, A.M.; Laks, H.; Boyce, S.W.; George, B.; Santulli, T.; Williams, R.G. Definitive repair in patients with pulmonary atresia and intact ventricular septum. J. Thorac. Cardiovasc. Surg. 1989, 97, 746–754. [Google Scholar] [CrossRef] [PubMed]
- Bridges, N.D.; Lock, J.E.; Castaneda, A.R. Baffle fenestration with subsequent transcatheter closure. Modification of the Fontan operation for patients at increased risk. Circulation 1990, 82, 1681–1689. [Google Scholar] [CrossRef]
- Laks, H.; Pearl, J.M.; Haas, G.S.; Drinkwater, D.C.; Milgalter, E.; Jarmakani, J.M.; Isabel-Jones, J.; George, B.L.; Williams, R.G. Partial Fontan: Advantages of an adjustable interatrial communication. Ann. Thorac. Surg. 1991, 52, 1084–1094; discussion 1094–1095. [Google Scholar] [CrossRef]
- Rao, P.S.; Chandar, J.S.; Sideris, E.B. Role of inverted buttoned device in transcatheter occlusion of atrial septal defects or patent foramen ovale with right-to-left shunting associated with previously operated complex congenital cardiac anomalies. Am. J. Cardiol. 1997, 80, 914–921. [Google Scholar] [CrossRef]
- Goff, D.A.; Blume, E.D.; Gauvreau, K.; Mayer, J.E.; Lock, J.E.; Jenkins, K.J. Clinical outcome of fenestrated Fontan patients after closure: The first 10 years. Circulation 2000, 102, 2094–2099. [Google Scholar] [CrossRef]
- Boudjemline, Y.; Bonnet, D.; Sidi, D.; Agnoletti, G. Closure of extracardiac Fontan fenestration by using the Amplatzer duct occluder. Arch. Mal. Du Coeur Vaiss. 2005, 98, 449–454. [Google Scholar]
- Rothman, A.; Evans, W.N.; Mayman, G.A. Percutaneous fenestration closure with problematic residual native atrial septum. Catheter. Cardiovasc. Interv. 2005, 66, 286–290. [Google Scholar] [CrossRef]
- Azzolina, G.; Eufrate, S.; Pensa, P. Tricuspid atresia: Experience in surgical management with a modified cavopulmonary anastomosis. Thorax 1972, 27, 111–115. [Google Scholar] [CrossRef]
- Kawashima, Y.; Kitamura, S.; Matsuda, H.; Shimazaki, Y.; Nakano, S.; Hirose, H. Total cavopulmonary shunt operation in complex cardiac anomalies. J. Thorac. Cardiovasc. Surg. 1984, 87, 74–81. [Google Scholar] [CrossRef]
- Hopkins, R.A.; Armstrong, S.E.; Serwer, G.A.; Peterson, R.J.; Oldham, H.N., Jr. Physiologic rationale for a bidirectional cavopulmonary shunt: A versatile complement to the Fontan principle. J. Thorac. Cardiovasc. Surg. 1985, 90, 391–398. [Google Scholar] [CrossRef]
- Naik, R.B.; Srivastava, C.P.; Arsiwala, S.; Mathur, A.; Sharma, S. Early outcomes after the on pump bidirectional Glenn procedure: A single center experience. J. Card. Surg. 2021, 36, 3207–3214. [Google Scholar] [CrossRef]
- Imai, K.; Hoashi, T.; Okuda, N.; Ohuchi, H.; Kurosaki, K.; Ichikawa, H. Impact of bilateral bidirectional Glenn anastomosis on staged Fontan strategy and Fontan circulation. Eur. J. Cardiothorac. Surg. 2021, 60, 930–938. [Google Scholar] [CrossRef]
- Salik, I.; Mehta, B.; Ambati, S. Bidirectional Glenn Procedure or Hemi-Fontan. 26 September 2022. In StatPearls; StatPearls Publishing: Treasure Island, FL, USA, 2023. [Google Scholar]
- Rao, P.S. Fontan operation: Indications, short- and long-term outcomes. Indian J. Pediatr. 2015, 82, 1147–1156. [Google Scholar] [CrossRef]
- Waldman, J.D.; Rosenthal, A.; Smith, A.L.; Shurin, S.; Nadas, A.S. Sepsis and congenital asplenia. J. Pediatr. 1977, 90, 555–559. [Google Scholar] [CrossRef]
- Wang, J.K.; Hsieh, K.H. Immunologic study of the asplenia syndrome. Pediatr. Infect. Dis. J. 1991, 10, 819–822. [Google Scholar] [CrossRef]
- Sharma, M.S.; Guleserian, K.J.; Forbess, J.M. Ladd’s procedure in functional single ventricle and heterotaxy syndrome: Does timing affect outcome? Ann. Thorac. Surg. 2013, 95, 1403–1407; discussion 1407–1408. [Google Scholar] [CrossRef]
- Arnaud, A.P.; Suply, E.; Eaton, S.; Blackburn, S.C.; Giuliani, S.; Curry, J.I.; Cross, K.M.; De Coppi, P. Laparoscopic Ladd’s procedure for malrotation in infants and children is still a controversial approach. J. Pediatr. Surg. 2019, 54, 1843–1847. [Google Scholar] [CrossRef]
- Yarrabolu, T.R.; Douglas, W.I. Single ventricle physiology. In A Multidisciplinary Approach to Perinatal Cardiology; Rao, P.S., Vidyasagar, D., Eds.; Cambridge Scholars Publishing: New Castle upon Tyne, UK, 2021; Volume 2, pp. 616–645. [Google Scholar]
- Bartram, U.; Grunenfelder, J.; Van Praagh, R. Causes of death after the modified Norwood procedure: A study of 122 postmortem cases. Ann. Thorac. Surg. 1997, 64, 1795–1802. [Google Scholar] [CrossRef] [PubMed]
- Tweddell, J.S.; Hoffman, G.M.; Mussatto, K.A.; Fedderly, R.T.; Berger, S.; Jaquiss, R.D.; Ghanayem, N.S.; Frisbee, S.J.; Bert Litwin, S. Improved survival of patients undergoing palliation of hypoplastic left heart syndrome: Lessons learned from 115 consecutive patients. Circulation 2002, 106, 82–89. [Google Scholar] [CrossRef]
- Cashen, K.; Gupta, P.; Lieh-Lai, M.; Mastropietro, C. Infants with single ventricle physiology in the emergency department: Are physicians prepared? J. Pediatr. 2011, 159, 273–277.e1. [Google Scholar] [CrossRef]
- Yates, M.C.; Rao, P.S. Pediatric cardiac emergencies. Emerg. Med. 2013, 3, 164. [Google Scholar] [CrossRef]
- Rao, P.S. Fontan operation: A comprehensive review. In Fontan Surgery; Khan, I., Ed.; InTechOpen: Rijeka, Croatia, 2020. [Google Scholar] [CrossRef]
- Rao, P.S.; Pediatric Tricuspid Atresia. Medscape Drugs & Diseases. Updated 17 January 2017. Available online: http://emedicine.medscape.com/article/900832-overview (accessed on 29 July 2022).
- Rao, P.S. Protein-losing enteropathy following the Fontan operation (editorial). J. Invasive Cardiol. 2007, 19, 447–448. [Google Scholar]
- Rao, P.S. What an adult cardiologist should know about cyanotic congenital heart disease? J. Cardiovasc. Dis. Diagn. 2013, 1, 104. [Google Scholar] [CrossRef]
- Toselli, M.; Solinas, E.; Vignali, L. Percutaneous coronary intervention in dextrocardia: A case report and a brief review of the literature. J. Cardiovasc. Med. 2020, 21, 613–615. [Google Scholar] [CrossRef]
- Marsden, G.; Folk, J.; Rosenberg, J. An ST-elevation myocardial infarction in situs inversus totalis (DEXTROCARDIA). J. Emerg. Med. 2020, 59, 597–599. [Google Scholar] [CrossRef]
- Elliott, S.; Levy, D.; Brown, H. ST-elevation myocardial infarction in a patient having dextrocardia with situs inversus. J. Emerg. Med. 2020, 58, 797–801. [Google Scholar] [CrossRef]
- Winter, J.L. Recognition of anterior STEMI in dextrocardia and the importance of right-sided chest leads. JACC Case Rep. 2020, 2, 1222–1226. [Google Scholar] [CrossRef]
- Yoo, M.J.; Bridwell, R.E.; Oliver, J.J. Acute coronary syndrome in dextrocardia. Am. J. Emerg. Med. 2021, 42, 262.e1–262.e2. [Google Scholar] [CrossRef]
- Yamazaki, T.; Tomaru, A.; Wagatsuma, K.; Kudo, M.; Baba, J.; Takikawa, K.; Miho, O.; Yoshikawa, M. Percutaneous transluminal coronary angioplasty for morphologic left anterior descending artery lesion in a patient with dextrocardia. A case report and literature review. Angiology 1997, 48, 451–456. [Google Scholar] [CrossRef]
- Khalil, S.; Kamal, A.; Ahmed, S. Acute myocardial infarction in a patient with dextrocardia and situs inversus. J. Electrocardiol. 2005, 38, 412–413. [Google Scholar] [CrossRef]
- Bariş, N.; Kirimli, O.; Ozpelit, E.; Akdeniz, B. Right coronary artery intervention with mirror image in a patient with dextrocardia. Anadolu Kardiyol. Derg. 2005, 5, 340–341. [Google Scholar]
- Wild, J.; Gori, T.; Münzel, T.; Wenzel, P. Successful percutaneous coronary intervention for an in-stent chronic total occlusion in a patient with dextrocardia: A case report. BMC Cardiovasc. Disord. 2017, 17, 281. [Google Scholar] [CrossRef]
- Kong, B.; Wang, N.; Dou, L.; Cao, D. Coronary angioplasty in an adult with dextrocardia and single coronary artery with the right coronary artery originating from the left anterior descending artery. Coron. Artery Dis. 2019, 30, 390–392. [Google Scholar] [CrossRef]
- Siraj, M.M.; Khondokar, N.N.; Alam, K.; Talukder, A.; Khanal, A.; Habib, S.A.; Shakil, S.S.; Rahman, F. Successful multi-vessel percutaneous coronary intervention for recent myocardial infarction in a patient with dextrocardia and situs inversus. Mymensingh Med. J. 2020, 29, 464–468. [Google Scholar]
- Koga, M.; Sugimoto, A.; Ito, D.; Hoshiba, Y.; Aizawa, T.; Iseki, H. Percutaneous coronary intervention for left main coronary artery stenosis in a patient with dextrocardia. Cardiovasc. Interv. Ther. 2020, 35, 300–301. [Google Scholar] [CrossRef]
- Vijayvergiya, R.; Gawalkar, A.A.; Kasinadhuni, G.; Kaushal, S.; Batta, A.; Kumar, B. Percutaneous coronary intervention in dextrocardia patients with situs inversus. AsiaIntervention 2022, 8, 132–135. [Google Scholar] [CrossRef]
- Ravikumar, M.S.; Palanisamy, V.; Tamilselvan, M.; Sangili, S.; Sethuratnam, R. Technical aspects: Coronary artery bypass grafting in a case of dextrocardia with situs inversus. Cureus 2021, 13, e14932. [Google Scholar] [CrossRef]
- Sinner, G.J.; George, B.; Messerli, A.W. Transradial approach to coronary angiography and percutaneous intervention in patients with dextrocardia. J. Invasive Cardiol. 2019, 31, E83–E88. [Google Scholar] [PubMed]
- Bhambhani, A.; Joshi, A. Transradial coronary intervention in chronic total occlusion in a patient with mirror image dextrocardia. Cureus 2021, 13, e13991. [Google Scholar] [CrossRef] [PubMed]
- Soneji, N.; Mohammad, K.; Heinzman, K. A rare case of superior approach for fluoroless atrial flutter ablation in a patient with dextrocardia, situs inversus, and interruption of the inferior vena cava. HeartRhythm Case Rep. 2022, 8, 335–338. [Google Scholar] [CrossRef] [PubMed]
- Meulet, J.; Trim, G.; Hunt, B.; Lim, K.T.; James, A.; Henry, A.; Pirihi, W.; Davies, P.; Brabant, J. Radiofrequency pulmonary vein isolation in a patient with dextrocardia with situs inversus totalis. Heart Lung Circ. 2017, 26, e33–e36. [Google Scholar] [CrossRef] [PubMed]
- Yamada, T.; McElderry, H.T.; Doppalapudi, H.; Platonov, M.; Epstein, A.E.; Plumb, V.J.; Kay, G.N. Successful catheter ablation of atrial fibrillation in a patient with dextrocardia. Europace 2008, 10, 1120–1122. [Google Scholar] [CrossRef]
- Ulus, T.; Dural, M.; Şener, E.; Al, A.; Mert, K.U.; Görenek, B. Atrial fibrillation and atrial flutter ablation using mirror image in a patient with dextrocardia with situs inversus. Anatol. J. Cardiol. 2020, 24, 282–284. [Google Scholar] [CrossRef]
- Kohli, U.; Hassan, S. Dextrocardia and atrial fibrillation ablation: Relevance of anatomy. J. Interv. Card. Electrophysiol. 2021, 60, 155–157. [Google Scholar] [CrossRef]
- Zhao, X.; Su, X.; Long, D.Y.; Sang, C.H.; Bai, R.; Tang, R.B.; Liu, N.; Jiang, C.X.; Li, S.N.; Guo, X.Y.; et al. Catheter ablation of atrial fibrillation in situs inversus dextrocardia: Challenge, improved procedure, outcomes, and literature review. Pacing Clin. Electrophysiol. 2021, 44, 293–305. [Google Scholar] [CrossRef]
- Hu, X.; Wu, S.; Qin, M.; Jiang, W.; Liu, X. Radiofrequency ablation for paroxysmal atrial fibrillation in a patient with dextrocardia and interruption of the inferior vena cava: A case report. Eur. Heart J. 2021, 5, ytab191. [Google Scholar] [CrossRef]
- Masumoto, A.; Kobori, A.; Sasaki, Y.; Pak, M.; Furukawa, Y. Successful catheter ablation of persistent atrial fibrillation and common atrial flutter in a patient with dextrocardia, situs inversus, and interrupted inferior vena cava with azygos continuation. HeartRhythm Case Rep. 2021, 7, 403–407. [Google Scholar] [CrossRef]
- Zhou, G.B.; Ma, J.; Zhang, J.L.; Guo, X.G.; Yang, J.D.; Liu, S.W.; Ouyang, F.F. Catheter ablation of supraventricular tachycardia in patients with dextrocardia and situs inversus. J. Cardiovasc. Electrophysiol. 2019, 30, 557–564. [Google Scholar] [CrossRef]
- Zheng, Z.; Zeng, Z.; Zhou, Y.; Li, C.; Zhang, W. Radiofrequency catheter ablation in a patient with dextrocardia, persistent left superior vena cava, and atrioventricular nodal reentrant tachycardia: A case report. Medicine 2020, 99, e22086. [Google Scholar] [CrossRef]
- Zhang, Y.; Sun, L.; Luo, F.; Li, J.; Sun, Y.; Chen, Y.; Dong, J. Result and technique consideration of radiofrequency catheter ablation of tachycardia in patients with dextrocardia. Pacing Clin. Electrophysiol. 2022, 45, 340–347. [Google Scholar] [CrossRef]
- Zhao, L.; Li, R.; Bai, L.; Wang, D.; Zhang, J.; Yang, X. Successful radiofrequency catheter ablation of Wolff-Parkinson-White syndrome in a patient with dextrocardia: A case report. Front. Cardiovasc. Med. 2022, 9, 1006435. [Google Scholar] [CrossRef]
- Song, L.; Fan, C.; Zhang, H.; Liu, H.; Iroegbu, C.D.; Luo, C.; Liu, L. Case Report: The Cox-Maze IV procedure in the mirror: The use of three-dimensional printing for pre-operative planning in a patient with situs inversus dextrocardia. Front. Cardiovasc. Med. 2021, 8, 722413. [Google Scholar] [CrossRef]
- Luo, C.; Fan, C.; Zhang, H.; Song, L.; Liu, Y.; Liu, L. Cox-Maze IV procedure concomitant with valvular surgery in situs inversus dextrocardia: A single-center experience in China. J. Vis. Exp. 2022, 180. [Google Scholar] [CrossRef]
- Augusto, J.B.; Faustino, M.; Santos, M.B.; Cabanelas, N.; Madeira, F.; Morais, C. Implantation of a dual-chamber pacemaker in a patient with situs inversus and dextrocardia using a novel ultrasound technique. J. Cardiovasc. Echogr. 2019, 29, 129–131. [Google Scholar] [CrossRef]
- Hakimi, M.; Yabumoto, M.; Sun, J.; Rochon-Duck, M.; Donaldson, D. Implantation of a dual-chamber pacemaker in a patient with dextrocardia, situs inversus, and sick sinus syndrome. Innov. Card. Rhythm. Manag. 2022, 13, 4889–4893. [Google Scholar] [CrossRef]
- Luo, J.; Zhou, Z.; Chen, K.; Lin, J.; Cai, C.; Zeng, Z. Implantation of a dual-chamber pacemaker in a patient with dextrocardia and sick sinus syndrome: A case report. J. Int. Med. Res. 2022, 50, 3000605221088551. [Google Scholar] [CrossRef]
- Aizawa, Y.; Ichiki, T.; Yoshizawa, A.; Monma, Y.; Nakayama, T.; Kato, T.S.; Inami, S.; Fujimoto, Y.; Kawamura, A. Successful leadless pacemaker implantation in an elderly patient with dextrocardia and situs inversus. Cureus 2021, 13, e17858. [Google Scholar] [CrossRef]
- Bontempi, L.; Fundaliotis, A.; Moretti, M.; Sammartino, A.M.; Saino, A.T.; Arabia, G.; Pitì, A.; Curnis, A.; Dell’Aquila, A. Leadless pacemaker implantation in dextrocardia with situs viscerum inversus: A case report and literature review. Pacing Clin. Electrophysiol. 2023, 46, 39–43. [Google Scholar] [CrossRef] [PubMed]
- Wu, S.J.; Cheng, Y.T.; Li, C.H.; Weng, C.J.; Hsieh, Y.C.; Chen, S.A. Leadless pacemaker implantation in a patient with dextrocardia and situs inversus: Tips and tricks. Acta Cardiol. Sin. 2022, 38, 103–105. [Google Scholar] [CrossRef] [PubMed]
- Ceresnak, S.R.; Motonaga, K.S.; Rogers, I.S.; Viswanathan, M.N. Right-sided subcutaneous implantable cardioverter-defibrillator placement in a patient with dextrocardia, tetralogy of Fallot, and conduction disease. HeartRhythm Case Rep. 2015, 1, 186–189. [Google Scholar] [CrossRef] [PubMed]
- González-Cordero, A.; López-Puebla, J.; Franqui-Rivera, H. Implantation of a completely right sided subcutaneous cardioverter-defibrillator in a patient with situs inversus dextrocardia. Indian Pacing Electrophysiol. J. 2019, 19, 72–74. [Google Scholar] [CrossRef] [PubMed]
- Al-Ghamdi, B. Right-sided subcutaneous implantable cardioverter defibrillator system implantation in a patient with complex congenital heart disease and dextrocardia: A case report and literature review. Case Rep. Cardiol. 2019, 2019, 3907190. [Google Scholar] [CrossRef] [PubMed]
- Lüker, J.; Padala, S.K.; Cano, Ó.; Beiert, T.; Osswald, B.; Koneru, J.N.; Schrickel, J.W.; Kron, J.; Franqui-Rivera, H.; Gonzalez-Cordero, A.; et al. Multicenter experience of subcutaneous implantable cardioverter-defibrillator therapy in patients with dextrocardia. JACC Clin. Electrophysiol. 2019, 5, 1226–1228. [Google Scholar] [CrossRef]
- Wiedmann, F.; De Simone, R.; Rose, P.; Karck, M.; Gorenflo, M.; Frey, N.; Schmidt, C. Case report of an S-ICD implantation for secondary prevention in a patient with complex congenital heart disease, dextrocardia, and situs solitus. Eur. Heart J. Case Rep. 2022, 6, ytac253. [Google Scholar] [CrossRef]
- Lador, A.; Patel, A.; Valderrábano, M. Trans-coronary sinus puncture for catheter ablation and left atrial appendage closure device implantation in a patient with dextrocardia and persistent right superior vena cava. HeartRhythm Case Rep. 2020, 6, 903–906. [Google Scholar] [CrossRef]
- Xu, J.; Jiang, G.; Zhang, L.; Chen, Z.; Wang, H.; Bai, M.; Zeng, J. Successful percutaneous left atrial appendage occlusion for atrial fibrillation in a patient with mirror-image dextrocardia: A case report. BMC Cardiovasc. Disord. 2022, 22, 20. [Google Scholar] [CrossRef]
- Tian, B.; Ma, C.; Su, J.W.; Luo, J.; Sun, H.X.; Su, J.; Ning, Z.P. Left atrial appendage occlusion in a mirror image dextrocardia: A case report and review of literature. World J. Clin. Cases 2022, 10, 1357–1365. [Google Scholar] [CrossRef]
- Morita, Y.; Okimoto, T.; Nagamoto, Y.; Mochizuki, S.; Yamada, K. Transcatheter aortic valve implantation for severe aortic stenosis in dextrocardia with situs inversus using a self-expanding aortic valve. J. Cardiol. Cases 2018, 17, 208–211. [Google Scholar] [CrossRef]
- Overtchouk, P.; Delhaye, C.; Sudre, A.; Modine, T. Successful transcatheter aortic valve implantation for severe aortic stenosis of a bicuspid valve with situs inversus totalis guided by advanced image processing: A case report. Eur. Heart J. Case Rep. 2018, 2, yty049. [Google Scholar] [CrossRef]
- Pattakos, G.; Chrissoheris, M.; Halapas, A.; Papadopoulos, K.; Kourkoveli, P.; Bouboulis, N.; Pattakos, S.; Spargias, K. Transcatheter aortic valve replacement in a patient with dextrocardia and situs inversus totalis. Ann. Thorac. Surg. 2019, 107, e33–e35. [Google Scholar] [CrossRef]
- Malasana, G.R.; Zeglin, M.; McElveen, R. Transcatheter aortic valve replacement in dextrocardia with situs inversus. JACC Case Rep. 2020, 2, 860–861. [Google Scholar] [CrossRef]
- Chen, D.Y.; Hsieh, M.J.; Chen, C.C.; Liu, Y.C.; Hsieh, I.C. Transcatheter aortic valve implantation in a patient with dextrocardia situs inversus, and functional bicuspid aortic valve stenosis. Acta Cardiol. Sin. 2021, 37, 652–656. [Google Scholar] [CrossRef]
- Aoyagi, S.; Tobinaga, S.; Wada, K.; Nata, S.I.; Yasunaga, H. Aortic valve replacement for dextrocardia with situs inversus totalis. J. Card. Surg. 2021, 36, 3378–3380. [Google Scholar] [CrossRef]
- Bhatia, I.; Chan, D.T.; Lam, S.C.; Au, T.W. Feasibility of novel transapical off pump beating heart mitral valve repair in a patient with dextrocardia and situs inversus. Eur. J. Cardiothorac. Surg. 2020, 58, 392–394. [Google Scholar] [CrossRef]
- García Vieites, M.; Martinez-Sapiña Llanas, M.J.; Gómez Zincke, M.; Bouzas Zubeldía, B.; Bautista-Hernandez, V. Mitral valve replacement via a left thoracotomy in dextrocardia and situs solitus. Asian Cardiovasc. Thorac. Ann. 2018, 26, 142–145. [Google Scholar] [CrossRef]
- Stiru, O.; Geana, R.C.; Ilie, R.R.; Chioncel, O.; Tulin, R.; Valeanu, L.; Bubenek, S.; Filipescu, D.; Iliescu, V.A. Transseptal approach for mitral valve replacement in dextrocardia with situs inversus totalis: A case report and review of the literature. Heart Surg. Forum 2020, 23, E030–E033. [Google Scholar] [CrossRef]
- Sahin, M.A.; Guler, A.; Kaya, E. Mitral valve replacement in a patient with situs inversus and dextrocardia. Thorac. Cardiovasc. Surg. 2011, 59, 305–306. [Google Scholar] [CrossRef]
- Said, S.A.; Veerbeek, A.; van der Wieken, L.R. Dextrocardia, situs inversus and severe mitral stenosis in a pregnant woman: Successful closed commissurotomy. Eur. Heart J. 1991, 12, 825–828. [Google Scholar] [PubMed]
- Raju, R.; Singh, S.; Kumar, P.; Rao, S.; Kapoor, S.; Raju, B.S. Percutaneous balloon valvuloplasty in mirror-image dextrocardia and rheumatic mitral stenosis. Catheter. Cardiovasc. Diagn. 1993, 30, 138–140. [Google Scholar] [CrossRef]
- Patel, T.M.; Dani, S.I.; Thakore, S.B.; Chaq, M.C.; Shah, S.C.; Shah, U.G.; Thomas, V.M.; Patel, T.K. Balloon mitral and aortic valvuloplasty in mirror-image dextrocardia. J. Invasive Cardiol. 1996, 8, 164–168. [Google Scholar]
- Nallet, O.; Lung, B.; Cormier, B.; Porte, J.M.; Garbarz, E.; Michel, P.L.; Vahanian, A. Specifics of technique in percutaneous mitral commissurotomy in a case of dextrocardia and situs inversus with mitral stenosis. Catheter. Cardiovasc. Diagn. 1996, 39, 85–88. [Google Scholar] [CrossRef]
- Chow, W.H.; Fan, K.; Chow, T.C. Balloon mitral commissurotomy in a patient with situs inversus and dextrocardia. J. Heart Valve Dis. 1996, 5, 307–308. [Google Scholar]
- Verma, P.K.; Bali, H.K.; Suresh, P.V.; Varma, J.S. Balloon mitral valvotomy using Inoue technique in a patient of isolated dextrocardia with rheumatic mitral stenosis. Indian Heart J. 1999, 51, 315–317. [Google Scholar]
- Namboodiri, N.; Harikrishnan, S.P.; Ajitkumar, V.; Tharakan, J.A. Percutaneous mitral commissurotomy in a case of mirror-image dextrocardia and rheumatic mitral stenosis. J. Invasive Cardiol. 2008, 20, E33–E35. [Google Scholar]
- Hussain, S.; Ahmed, W. Percutaneous transvenous mitral commissurotomy in mitral restenosis with situs inversus. J. Coll. Physicians Surg. Pak. 2009, 19, 117–119. [Google Scholar]
- Kulkarni, P.; Halkati, P.; Patted, S.; Ambar, S.; Yavagal, S. Percutaneous mitral balloon valvotomy in a case of situs inversus dextrocardia with severe rheumatic mitral stenosis. Cardiovasc. Revascularization Med. 2012, 13, 246–248. [Google Scholar] [CrossRef]
- Nivargi, V.; Makhale, C.; Kulkarni, V. Balloon mitral valvuloplasty in mirror image dextrocardia with rheumatic mitral stenosis with suprasystemic pulmonary arterial hypertension. J. Assoc. Physicians India 2019, 67, 94–95. [Google Scholar]
- Agirbasli, M.; Hamid, R.; Jennings, H.S., 3rd; Tiller, G.E. Situs inversus with hypertrophic cardiomyopathy in identical twins. Am. J. Med. Genet. 2000, 91, 327–330. [Google Scholar] [CrossRef]
- Kuznetsov, G.P.; Dupliakov, D.V.; Popova, I.V.; Avramenko, A.A.; Suslina, E.A.; Tukhbatova, A.A.; Adonina, E.V. Hypertrophic cardiomyopathy in a patient with dextrocardia. Kardiologiia 2015, 55, 92–95. [Google Scholar] [CrossRef]
- Fang, F.; Cui, F.M.; He, Y.M.; Yang, X.J.; Zhao, X.; Xu, H.F.; Yu, C.M. Dextrocardia and symmetric hypertrophic cardiomyopathy with multiple mutations of genes encoding the sarcomere proteins. Int. J. Cardiol. 2015, 187, 581–584. [Google Scholar] [CrossRef]
- Aoyama, R.; Takano, H.; Sangen, H.; Shimizu, W. Effective alcohol septal ablation for left ventricular outflow tract obstruction in a patient with isolated dextrocardia. BMJ Case Rep. 2019, 12, e231922. [Google Scholar] [CrossRef]











| Clinical Scenario | Treatment Options |
|---|---|
| Neonates, infants, and children | |
| Pulmonary oligemia | Prostaglandin E1 infusion, modified Blalock–Taussig anastomosis, stenting of the ductus arteriosus, and balloon pulmonary valvuloplasty, as deemed appropriate |
| Pulmonary plethora | Decongestive treatment, pulmonary artery banding |
| Total anomalous pulmonary venous return | Surgical connection of the common pulmonary vein and the left atrium |
| Pulmonary valvar stenosis | Balloon pulmonary valvuloplasty |
| Atrial septal defect | Device occlusion or surgical closure, as appropriate |
| Ventricular septal defect | Surgical repair |
| Patent ductus arteriosus | Device occlusion or surgical closure, as appropriate |
| Lesions with adequate-sized ventricles | Biventricular repair |
| Lesions with hypoplasia of the right or left ventricle | Staged total cavopulmonary connection (Fontan) |
| Patients with decreased splenic function (asplenia and polysplenia) | Antibiotic prophylaxis and Ladd’s procedure (if appropriate) |
| Interstage issues and postintervention complications | As summarized in Section 6 and Section 7 |
| Adults | |
| Coronary artery disease | Percutaneous coronary intervention or surgical coronary artery bypass, as deemed appropriate |
| Supraventricular arrhythmias | Antiarrhythmic medications, catheter ablation (cryoablation or radiofrequency (RF) ablation), Maze procedure, as deemed appropriate |
| Complete atrioventricular block or sick sinus syndrome | Pacemaker therapy (dual-chamber pacemaker or leadless pacemaker implantation) |
| Prevention of sudden death | Implantation of a cardioverter–defibrillator (ICD) or subcutaneous ICDs, as appropriate |
| Prevention of embolic episodes | Initial anticoagulation and subsequent occlusion of the left atrial appendage |
| Aortic valve disease | Balloon aortic valvuloplasty or repair by surgery in younger patients. Transcatheter or surgical replacement of the aortic valve in the elderly |
| Mitral valve disease | Surgical repair or replacement of the mitral valve, as appropriate |
| Hypertrophic cardiomyopathy | Betablocker therapy, surgical myectomy, or alcohol septal ablation, as appropriate |
Disclaimer/Publisher’s Note: The statements, opinions and data contained in all publications are solely those of the individual author(s) and contributor(s) and not of MDPI and/or the editor(s). MDPI and/or the editor(s) disclaim responsibility for any injury to people or property resulting from any ideas, methods, instructions or products referred to in the content. |
© 2023 by the author. Licensee MDPI, Basel, Switzerland. This article is an open access article distributed under the terms and conditions of the Creative Commons Attribution (CC BY) license (https://creativecommons.org/licenses/by/4.0/).
Share and Cite
Rao, P.S. Therapy of Patients with Cardiac Malposition. Children 2023, 10, 739. https://doi.org/10.3390/children10040739
Rao PS. Therapy of Patients with Cardiac Malposition. Children. 2023; 10(4):739. https://doi.org/10.3390/children10040739
Chicago/Turabian StyleRao, P. Syamasundar. 2023. "Therapy of Patients with Cardiac Malposition" Children 10, no. 4: 739. https://doi.org/10.3390/children10040739
APA StyleRao, P. S. (2023). Therapy of Patients with Cardiac Malposition. Children, 10(4), 739. https://doi.org/10.3390/children10040739
