A Fatal Case of Neuroblastoma Complicated by Posterior Reversible Encephalopathy with Rapidly Evolving Transplantation-Associated Thrombotic Microangiopathy
Abstract
1. Introduction
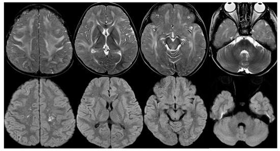
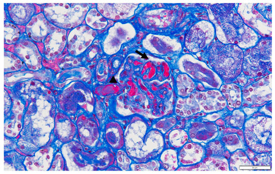
2. Case Presentation
3. Discussion
4. Conclusions
Author Contributions
Funding
Institutional Review Board Statement
Informed Consent Statement
Data Availability Statement
Acknowledgments
Conflicts of Interest
References
- Changsirikulchai, S.; Myerson, D.; Guthrie Kal McDonald, G.B.; Alpers, C.E.; Hingorani, S.R. Renal thrombotic microangiopathy after hematopoietic cell transplant: Role of GVHD in pathogenesis. Clin. J. Am. Soc. Nephrol. 2009, 4, 345–353. [Google Scholar] [CrossRef] [PubMed]
- Batts, E.D.; Lazarus, H.M. Diagnosis and treatment of transplantation-associated thrombotic microangiopathy: Real progress or are we still waiting? Bone Marrow Transplant. 2007, 40, 709–719. [Google Scholar] [CrossRef] [PubMed]
- Jodele, S.; Laskin, B.L.; Dandoy, C.E.; Myers, K.C.; El-Bietar, J.; Davies, S.M.; Goebel, J.; Dixon, B.P. A new paradigm: Diagnosis and management of HSCT-associated thrombotic microangiopathy as multi-system endothelial injury. Blood Rev. 2015, 29, 191–204. [Google Scholar] [CrossRef] [PubMed]
- Epperla, N.; Li, A.; Logan, B.; Fretham, C.; Chhabra, S.; Aljurf, M.; Chee, L.; Copelan, E.; Freytes, C.O.; Hematti, P.; et al. Incidence, Risk Factors for and Outcomes of Transplant-Associated Thrombotic Microangiopathy. Br. J. Haematol. 2020, 189, 1171–1181. [Google Scholar] [CrossRef]
- Monclair, T.; Brodeur, G.M.; Ambros, P.F.; Brisse, H.J.; Cecchetto, G.; Holmes, K.; Kaneko, M.; London, W.B.; Matthay, K.K.; Nuchtern, J.G.; et al. The International Neuroblastoma Risk Group (INRG) staging system: An INRG Task Force report. J. Clin. Oncol. 2009, 27, 298–303. [Google Scholar] [CrossRef] [PubMed]
- Hishiki, T.; Matsumoto, K.; Ohira, M.; Kamijo, T.; Shichino, H.; Kuroda, T.; Yoneda, A.; Soejima, T.; Nakazawa, A.; Takimoto, T.; et al. Results of a phase II trial for high-risk neuroblastoma treatment protocol JN-H-07: A report from the Japan Childhood Cancer Group Neuroblastoma Committee (JNBSG). Int. J. Clin. Oncol. 2018, 23, 965–973. [Google Scholar] [CrossRef] [PubMed]
- Cho, B.S.; Yahng, S.A.; Lee, S.E.; Eom, K.S.; Kim, Y.J.; Kim, H.J.; Lee, S.; Min, C.K.; Cho, S.G.; Kim, D.W.; et al. Validation of recently proposed consensus criteria for thrombotic microangiopathy after allogeneic hematopoietic stem-cell transplantation. Transplantation 2010, 90, 918–926. [Google Scholar] [CrossRef] [PubMed]
- Ruutu, T.; Barosi, G.; Benjamin, R.J.; Clark, R.E.; George, J.N.; Gratwohl, A.; Holler, E.; Iacobelli, M.; Kentouche, K.; Lämmle, B.; et al. Diagnostic criteria for hematopoietic stem cell transplant-associated microangiopathy: Results of a consensus process by an International Working Group. Haematologica 2007, 92, 95–100. [Google Scholar] [CrossRef] [PubMed]
- Ho, V.T.; Cutler, C.; Carter, S.; Martin, P.; Adams, R.; Horowitz, M.; Ferrara, J.; Soiffer, R.; Giralt, S. Blood and marrow transplant clinical trials network toxicity committee consensus summary: Thrombotic microangiopathy after hematopoietic stem cell transplantation. Biol. Blood Marrow Transplant. 2005, 11, 571–575. [Google Scholar] [CrossRef]
- Khosla, J.; Yeh, A.C.; Spitzer, T.R.; Dey, B.R. Hematopoietic stem cell transplant-associated thrombotic microangiopathy: Current paradigm and novel therapies. Bone Marrow Transplant. 2018, 53, 129–137. [Google Scholar] [CrossRef] [PubMed]
- Hummel, K.; Glotzbach, K.; Menon, S.; Griffiths, E.; Lal, A.K. Thrombotic microangiopathy following heart transplant in pediatric Danon disease. Pediatric Transplantation 2020, 24, e13669. [Google Scholar] [CrossRef]
- Legriel, S.; Schraub, O.; Azoulay, E.; Hantson, P.; Magalhaes, E.; Coquet, I.; Bretonniere, C.; Gilhodes, O.; Anguel, N.; Megarbane, B.; et al. Determinants of recovery from severe posterior reversible encephalopathy syndrome. PLoS ONE 2012, 7, e44534. [Google Scholar] [CrossRef] [PubMed]
- Chen, Z.; Zhang, G.; Lerner, A.; Wang, A.H.; Gao, B.; Liu, J. Risk factors for poor outcome in posterior reversible encephalopathy syndrome: Systematic review and meta-analysis. Quant Imaging Med. Surg. 2018, 8, 421–432. [Google Scholar] [CrossRef]
- Hinduja, A. Posterior Reversible Encephalopathy Syndrome: Clinical Features and Outcome. Front Neurol. 2020, 11, 71. [Google Scholar] [CrossRef] [PubMed]
- Takanashi, J.; Taneichi, H.; Misaki, T.; Yahata, Y.; Okumura, A.; Ishida, Y.; Miyawaki, T.; Okabe, N.; Sata, T.; Mizuguchi, M. Clinical and radiologic features of encephalopathy during 2011 E. coli O111 outbreak in Japan. Neurology 2014, 82, 564–572. [Google Scholar] [CrossRef] [PubMed]
- Okada, T.; Fujita, Y.; Imataka, G.; Takase, N.; Tada, H.; Sakuma, H.; Takanashi, J.I. Increased cytokines/chemokines and hyponatremia as a possible cause of clinically mild encephalitis/encephalopathy with a reversible splenial lesion associated with acute focal bacterial nephritis. Brain Dev. 2022, 44, 30–35. [Google Scholar] [CrossRef] [PubMed]
- Shimizu, M.; Kuroda, M.; Sakashita, N.; Konishi, M.; Kaneda, H.; Igarashi, N.; Yamahana, J.; Taneichi, H.; Kanegane, H.; Ito, M.; et al. Cytokine profiles of patients with enterohemorrhagic Escherichia coli O111-induced hemolytic-uremic syndrome. Cytokine 2012, 60, 694–700. [Google Scholar] [CrossRef] [PubMed]
- Hasegawa, S.; Matsushige, T.; Inoue, H.; Shirabe, K.; Fukano, R.; Ichiyama, T. Serum and cerebrospinal fluid cytokine profile of patients with 2009 pandemic H1N1 influenza virus-associated encephalopathy. Cytokine 2011, 54, 167–172. [Google Scholar] [CrossRef] [PubMed]


| Parameter | CTN 2005 [9] | IWG 2007 [8] | Cho et al. [7] | Jodele et al. [3] |
|---|---|---|---|---|
| Schistocytes | ≥2/HPF | >4% | ≥2/HPF | Present |
| Serum LDH | Elevated | Sudden or persistent elevation | Elevated | Elevated |
| Renal and/or neurological dysfunction | Serum creatinine 2 × baseline or 50% dec’d creatinine clearance | NA | NA | Proteinuria ≥30 mg/dL or hypertension |
| Direct and indirect Coombs test | Negative | NA | Negative | NA |
| Thrombocytopenia | NA | De novo prolonged or progressive | De novo prolonged or progressive | De novo |
| Anemia | NA | Decreased Hb or increased transfusion requirements | Decreased Hb | Decreased Hb or increased transfusion requirements |
| Serum haptoglobin | NA | Decreased | Decreased | NA |
| Terminal complement activation | NA | NA | NA | Present |
| Test (Reference Range) | Day 1 | Day 5 | Day 7 | Day 8 |
|---|---|---|---|---|
| Leukocytes (4200–18,500/mm3) | 8540 | 8190 | 12,900 | 11,220 |
| Hemoglobin (11.2–14.2 g/dL) | 14.5 | 9.7 | 11.7 | 8.5*1 |
| Platelets (180,000–550,000/mm3) | 145,000 | 74,000 | 65,000 | 80,000*2 |
| CRP (0.00–0.01 mg/dL) | 7.10 | 3.47 | 2.98 | 3.77 |
| AST (24–41 IU/L) | 33 | 24 | 32 | 45 |
| ALT (9–28 IU/L) | 32 | 15 | 15 | 16 |
| Creatinine (0.22–0.43 mg/dL) | 0.32 | 0.38 | 0.25 | 0.38 |
| LDH (185–350 IU/L) | 288 | 304 | 509 | 1383 |
| Haptoglobin | NA | NA | NA | <10 |
| Peripheral schistocytes | - | - | - | + |
| Direct Coombs test | NA | NA | NA | Negative |
| CH50 (25–48/mL) | NA | NA | NA | 40 |
Disclaimer/Publisher’s Note: The statements, opinions and data contained in all publications are solely those of the individual author(s) and contributor(s) and not of MDPI and/or the editor(s). MDPI and/or the editor(s) disclaim responsibility for any injury to people or property resulting from any ideas, methods, instructions or products referred to in the content. |
© 2023 by the authors. Licensee MDPI, Basel, Switzerland. This article is an open access article distributed under the terms and conditions of the Creative Commons Attribution (CC BY) license (https://creativecommons.org/licenses/by/4.0/).
Share and Cite
Matsui, M.; Makimoto, A.; Saito, Y.; Enokizono, M.; Matsuoka, K.; Yuza, Y. A Fatal Case of Neuroblastoma Complicated by Posterior Reversible Encephalopathy with Rapidly Evolving Transplantation-Associated Thrombotic Microangiopathy. Children 2023, 10, 506. https://doi.org/10.3390/children10030506
Matsui M, Makimoto A, Saito Y, Enokizono M, Matsuoka K, Yuza Y. A Fatal Case of Neuroblastoma Complicated by Posterior Reversible Encephalopathy with Rapidly Evolving Transplantation-Associated Thrombotic Microangiopathy. Children. 2023; 10(3):506. https://doi.org/10.3390/children10030506
Chicago/Turabian StyleMatsui, Motohiro, Atsushi Makimoto, Yuya Saito, Mikako Enokizono, Kentaro Matsuoka, and Yuki Yuza. 2023. "A Fatal Case of Neuroblastoma Complicated by Posterior Reversible Encephalopathy with Rapidly Evolving Transplantation-Associated Thrombotic Microangiopathy" Children 10, no. 3: 506. https://doi.org/10.3390/children10030506
APA StyleMatsui, M., Makimoto, A., Saito, Y., Enokizono, M., Matsuoka, K., & Yuza, Y. (2023). A Fatal Case of Neuroblastoma Complicated by Posterior Reversible Encephalopathy with Rapidly Evolving Transplantation-Associated Thrombotic Microangiopathy. Children, 10(3), 506. https://doi.org/10.3390/children10030506

