The Minimally Invasive SERI Osteotomy for Pediatric Hallux Valgus
Abstract
1. Introduction
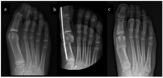
2. Materials and Methods
- Mild: HVA between 15° and 19°, IMA between 9° and 13°, sesamoid subluxation in anteroposterior X-ray less than 50%
- Moderate: HVA between 20° and 40°, IMA between 14° and 19° and sesamoid subluxation in anteroposterior X-ray between 50 and 75%
- Severe: HVA greater than 40°, IMA greater than 20° and sesamoid subluxation in anteroposterior X-ray greater than 75%.
3. Results
3.1. Clinical Results
3.2. Radiological Results
3.3. Overall Complications
4. Discussion
5. Conclusions
Author Contributions
Funding
Institutional Review Board Statement
Informed Consent Statement
Data Availability Statement
Conflicts of Interest
References
- Young, K.W.; Kim, J.S.; Cho, J.W.; Lee, K.W.; Park, Y.U.; Lee, K.T. Characteristics of male adolescent-onset hallux valgus. Foot Ankle Int. 2013, 34, 1111–1116. [Google Scholar] [CrossRef] [PubMed]
- Nix, S.; Smith, M.; Vicenzino, B. Prevalence of hallux valgus in the general population: A systematic review and meta-analysis. J. Foot Ankle Res. 2010, 3, 21. [Google Scholar] [CrossRef] [PubMed]
- Coughlin, M.J. Juvenile Hallux Valgus: Etiology and Treatment. Foot Ankle Int. 2016, 16, 682–697. [Google Scholar] [CrossRef] [PubMed]
- Chell, J.; Dhar, S. Pediatric hallux valgus. Foot Ankle Clin. 2014, 19, 235–243. [Google Scholar] [CrossRef]
- Herring, J.A. Tachdjian’s Pediatric Orthopaedics: From the Texas Scottish Rite Hospital—Google Libri. 2002. Available online: https://books.google.it/books?hl=it&lr=&id=3p4REAAAQBAJ&oi=fnd&pg=PP1&ots=Y63VF4fGZ0&sig=PwoxAypmMIzJX9CVGYQ74qLl6p8&redir_esc=y#v=onepage&q&f=false (accessed on 30 October 2022).
- Knörr, J.; Soldado, F.; Violas, P.; Sánchez, M.; Doménech, P.; de Gauzy, J.S. Treatment of hallux valgus in children and adolescents. Orthop. Traumatol. Surg. Res. 2022, 108, 103168. [Google Scholar] [CrossRef]
- Kraus, T.; Singer, G.; Svehlík, M.; Kaltenbach, J.; Eberl, R.; Linhart, W. Long-Term Outcome of Chevron-Osteotomy in Juvenile Hallux Valgus—PubMed. Available online: https://pubmed.ncbi.nlm.nih.gov/24350518/ (accessed on 25 October 2022).
- Agrawal, Y.; Bajaj, S.K.; Flowers, M.J. Scarf-Akin osteotomy for hallux valgus in juvenile and adolescent patients. J. Pediatr. Orthop. B 2015, 24, 535–540. [Google Scholar] [CrossRef]
- Molloy, A.; Widnall, J. Scarf osteotomy. Foot Ankle Clin. 2014, 19, 165–180. [Google Scholar] [CrossRef]
- Weil, L.; Bowen, M. Scarf osteotomy for correction of hallux abducto valgus deformity. Clin. Podiatr. Med. Surg. 2014, 31, 233–246. [Google Scholar] [CrossRef]
- Giannini, S.; Faldini, C.; Vannini, F.; Digennaro, V.; Bevoni, R.; Luciani, D. The minimally invasive osteotomy “S.E.R.I.” (simple, effective, rapid, inexpensive) for correction of bunionette deformity. Foot Ankle Int. 2008, 29, 282–286. [Google Scholar] [CrossRef]
- Scranton, P.E.J.; Zuckerman, J.D. Bunion surgery in adolescents: Results of surgical treatment. J. Pediatr. Orthop. 1984, 4, 39–43. [Google Scholar] [CrossRef]
- Giannini, S.; Faldini, C.; Nanni, M.; Di Martino, A.; Luciani, D.; Vannini, F. A minimally invasive technique for surgical treatment of hallux valgus: Simple, effective, rapid, inexpensive (SERI). Int. Orthop. 2013, 37, 1805–1813. [Google Scholar] [CrossRef] [PubMed]
- Caravelli, S.; Vocale, E.; Di Ponte, M.; Fuiano, M.; Massimi, S.; Zannoni, F.; Zaffagnini, S.; Mosca, M. SERI Technique for Isolated Juvenile Hallux Valgus Patients: A Retrospective Evaluation With Mid-term to Long-term Follow-up. Foot Ankle Spec. 2022, 19386400221121409. [Google Scholar] [CrossRef] [PubMed]
- Faldini, C.; Nanni, M.; Traina, F.; Fabbri, D.; Borghi, R.; Giannini, S. Surgical treatment of hallux valgus associated with flexible flatfoot during growing age. Int. Orthop. 2016, 40, 737–743. [Google Scholar] [CrossRef] [PubMed]
- Barnett, C.H.; Napier, J.R. The metatarsal formula in relation to march fracture. Lancet 1953, 261, 172–173. [Google Scholar] [CrossRef] [PubMed]
- Arie, E.K.; Moreira, N.S.A.; Freire, G.S.; dos Santos, B.S.; Yi, L.C. Study of the metatarsal formula in patient with primary metatarsalgia. Rev. Bras. Ortop. 2015, 50, 438–444. [Google Scholar] [CrossRef] [PubMed][Green Version]
- Coughlin, M.J.; Jones, C.P. Hallux valgus: Demographics, etiology, and radiographic assessment. Foot Ankle Int. 2007, 28, 759–777. [Google Scholar] [CrossRef]
- Filho, F.C.G.; Garcia, L.C.; Matos, F.S.; de Jesus, L.R.; Pinheiro, M.L.; Garcia, F.C. Treatment of hallux valgus in children and adolescents by chevron’s operating technique. Rheumatol. Orthop. Med. 2017, 2, 1–3. [Google Scholar] [CrossRef][Green Version]
- Almalki, T.; Alatassi, R.; Alajlan, A.; Alghamdi, K.; Abdulaal, A. Assessment of the efficacy of SERI osteotomy for hallux valgus correction. J. Orthop. Surg. Res. 2019, 14, 1–6. [Google Scholar] [CrossRef]
- Mahan, S.T.; Cidambi, E.O. Juvenile Hallux Valgus. Foot Ankle Clin. 2021, 26, 807–828. [Google Scholar] [CrossRef]
- Gicquel, T.; Fraisse, B.; Marleix, S.; Chapuis, M.; Violas, P. Percutaneous hallux valgus surgery in children: Short-term outcomes of 33 cases. Orthop. Traumatol. Surg. Res. 2013, 99, 433–439. [Google Scholar] [CrossRef][Green Version]
- Yucel, I.; Tenekecioglu, Y.; Ogut, T.; Kesmezacar, H. Treatment of hallux valgus by modified McBride procedure: A 6-year follow-up. J. Orthop. Traumatol. 2010, 11, 89–97. [Google Scholar] [CrossRef] [PubMed]
- Luba, R.; Rosman, M. Bunions in children: Treatment with a modified Mitchell osteotomy. J. Pediatr. Orthop. 1984, 4, 44–47. [Google Scholar] [CrossRef] [PubMed]
- Zimmer, T.J.; Johnson, K.A.; Klassen, R.A. Treatment of Hallux Valgus in Adolescents by the Chevron Osteotomy. Foot Ankle 2016, 9, 190–193. [Google Scholar] [CrossRef]
- Geissele, A.E.; Stanton, R.P. Surgical treatment of adolescent hallux valgus. J. Pediatr. Orthop. 1990, 10, 642–648. [Google Scholar] [CrossRef] [PubMed]
- Choi, J.Y.; Ahn, H.C.; Kim, S.H.; Lee, S.Y.; Suh, J.S. Minimally invasive surgery for young female patients with mild-to-moderate juvenile hallux valgus deformity. Foot Ankle Surg. 2019, 25, 316–322. [Google Scholar] [CrossRef] [PubMed]
- Huang, P.J.; Lin, Y.C.; Fu, Y.C.; Yang, Y.H.; Cheng, Y.M. Radiographic evaluation of minimally invasive distal metatarsal osteotomy for hallux valgus. Foot Ankle Int. 2011, 32, 503–507. [Google Scholar] [CrossRef]
- Giannini, S.; Cavallo, M.; Faldini, C.; Luciani, D.; Vannini, F. The SERI distal metatarsal osteotomy and Scarf osteotomy provide similar correction of hallux valgus. Clin. Orthop. Relat. Res. 2013, 471, 2305–2311. [Google Scholar] [CrossRef]
- Maffulli, N.; Longo, U.G.; Oliva, F.; Denaro, V.; Coppola, C. Bosch osteotomy and scarf osteotomy for hallux valgus correction. Orthop. Clin. North Am. 2009, 40, 515–524. [Google Scholar] [CrossRef]
- Ball, J.; Sullivan, J.A. Treatment of the Juvenile Bunion by Mitchell Osteotomy. Orthopedics 1985, 8, 1249–1252. [Google Scholar] [CrossRef]



| PROM | Preoperative Score Mean +/− SD (Range) | Postoperative Score Mean +/− SD (Range) |
|---|---|---|
| VAS | 5.2 +/− 2.2 (4–8) | 0.8 +/− 0.4 (0–3) |
| AOFAS | 68.1 +/− 6.8 (59–75) | 96.3 +/− 3.2 (88–100) |
| Radiological Parameters | Preoperative Angle Mean +/− SD (Range) | Postoperative Angle Mean +/− SD (Range) | p Value Wilcoxon Test | Degree Correction (°) Mean +/− SD |
|---|---|---|---|---|
| HVA | 28.4 +/− 5.7 (17–42) | 13.2 +/−2.4 (10–24) | <0.01 | 15.1 +/− 4.5 |
| IMA | 15.2 +/− 3.2 (10–22) | 9.5 +/− 1.9 (6–20) | <0.01 | 5.6 +/− 3.1 |
| DMAA | 13.7 +/− 4.1 (5–22) | 8.2 +/− 1.9 (5–12) | <0.01 | 5.5 +/− 3.1 |
| Coughlin Classification | Preoperative | Postoperative | ||
|---|---|---|---|---|
| Number of Patients | Percentage | Number of Patients | Percentage | |
| No deformity | 0 | 0% | 55 | 94.8% |
| Mild deformity | 3 | 5.2% | 3 | 5.2% |
| Moderate deformity | 52 | 89.6% | 0 | 0% |
| Severe deformity | 3 | 5.2% | 0 | 0% |
| Total | 58 | 100% | 58 | 100% |
Disclaimer/Publisher’s Note: The statements, opinions and data contained in all publications are solely those of the individual author(s) and contributor(s) and not of MDPI and/or the editor(s). MDPI and/or the editor(s) disclaim responsibility for any injury to people or property resulting from any ideas, methods, instructions or products referred to in the content. |
© 2023 by the authors. Licensee MDPI, Basel, Switzerland. This article is an open access article distributed under the terms and conditions of the Creative Commons Attribution (CC BY) license (https://creativecommons.org/licenses/by/4.0/).
Share and Cite
Rocca, G.; De Venuto, A.; Mazzotti, A.; Zielli, S.O.; Artioli, E.; Brognara, L.; Traina, F.; Faldini, C. The Minimally Invasive SERI Osteotomy for Pediatric Hallux Valgus. Children 2023, 10, 94. https://doi.org/10.3390/children10010094
Rocca G, De Venuto A, Mazzotti A, Zielli SO, Artioli E, Brognara L, Traina F, Faldini C. The Minimally Invasive SERI Osteotomy for Pediatric Hallux Valgus. Children. 2023; 10(1):94. https://doi.org/10.3390/children10010094
Chicago/Turabian StyleRocca, Gino, Angela De Venuto, Antonio Mazzotti, Simone Ottavio Zielli, Elena Artioli, Lorenzo Brognara, Francesco Traina, and Cesare Faldini. 2023. "The Minimally Invasive SERI Osteotomy for Pediatric Hallux Valgus" Children 10, no. 1: 94. https://doi.org/10.3390/children10010094
APA StyleRocca, G., De Venuto, A., Mazzotti, A., Zielli, S. O., Artioli, E., Brognara, L., Traina, F., & Faldini, C. (2023). The Minimally Invasive SERI Osteotomy for Pediatric Hallux Valgus. Children, 10(1), 94. https://doi.org/10.3390/children10010094

