Abstract
Adrenocortical carcinoma (ACC) is a heterogenous group of diseases with different clinical behaviour between adult and paediatric patients. In addition, three histological variants, oncocytic, myxoid and sarcomatoid are noted on the recent World Health Organisation (WHO) classification of ACC. A review of recent literature showed that the different types of ACC have distinctive demographic data, clinical presentation, pathology, biological behaviour, genomic and patients’ prognosis. In addition, recent updates of pathology staging for ACC allow refinement of prognostic grouping for planning treatment of the patients with ACC. These advances in genomic, pathology and staging have driven the development of standardisation of pathology reporting. International standardisation of pathological reporting of adrenocortical carcinoma and adaption to local pathology communities provide universal platforms for clinicians and researchers involved in the management of patients with ACC. To conclude, all these advances in the field of pathology will improve development of management strategies including improvement of clinical care, development of prognostic markers and testing of novel therapeutic approaches for patients with adrenocortical carcinoma.
1. Introduction
Adrenal cortical carcinoma (ACC) is a rare cancer but is the most common primary cancer in the adrenal gland [1]. It is the second most common malignant tumour of the endocrine organ after anaplastic thyroid carcinoma [2]. In large pathology series, ACC accounts for 6.8% of all primary adrenal tumours [3]. In the most recent population database (based on approximately 2000 cases) from the Surveillance, Epidemiology, and End Results (SEER) published in 2018 from the United States of America (USA) of ACC-diagnosed patients between 1973 to 2012, the annual incidence of the cancer was 1.02 per one million [4]. This figure has reflected the increase incidence of the cancer due to increased use of sensitivity imaging studies in current years. In addition, in a recent large series of adrenal incidentalomas (n = 3672), ACC accounts for 1.4% of cases [5].
There is an increase of new knowledge about ACC in terms of genomic characterisation based on the findings of The Cancer Genome Atlas (TCGA) [6,7,8,9]. Further genomic studies showed that mutational and expression profiles of advanced and metastatic ACC are very similar to those from primary ACC as well as low mutation rates, few major oncogenic drivers and loss of function mutations in several epigenetic regulators suggest an epigenetic basis of ACC such as DNA methylation [10,11]. In a similar period, the eighth American Joint Committee on Cancer (AJCC) Cancer Staging Manual and UICC (Union for International Cancer Control) Tumour, Lymph node, Metastasis (TNM) staging Manual published in 2016 (adopted for use in 2017) have updated the pathological staging of ACC based on the European Network for the study of Adrenal Tumours (ENSAT) [12]. In addition, the fourth edition of the World Health Organization (WHO) book series on tumour classification published in 2017 has updated the histological classification of ACC [13].
The present review focuses on knowledge about these advances in the pathological field as well as updates of current advances of the ACC. In the 4th (current) WHO classification of tumours of the endocrine system, apart from the conventional ACC, three histological variants of ACC are proposed for the first time in WHO classification [13]. Emphases on the updates are on the unique clinical and pathological features of conventional as well as new histological variants accepted by the WHO classification of tumours of endocrine system.
2. Conventional Adrenocortical Carcinoma
2.1. Demographic Characteristics
Based on the small number of cases of other histological variants of ACC, conventional ACC comprises more than 90% of cases. Thus, data noted in epidemiological studies likely represent the features of conventional ACC. Like other endocrine tumours, ACC is more common in females. From the pooled series of different countries, ACC is more common in females with male to female ratio of approximately 1 to 1.4 [3,14,15]. The average age at presentation of patients with ACC in larger series range from 47- to 55-year-olds [15]. Although some series demonstrate a bimodal age distribution with peaks in the paediatric group and middle age group, SEER data [4] show that there is a steady increase of ACC with increased age peaking at the sixth and seventh decades.
2.2. Clinical Features
Approximately half of ACC is functioning with signs and symptoms of hormone(s) secretion [16]. Patients with functioning ACC were younger, more likely to be females and present with metastatic disease. Of functioning tumours, almost half present with signs or symptoms of cortisol excess (Cushing syndrome). The second most common functional presentation was sex hormone secretion accounting for 20% of cases. These sex hormone-producing ACCs are mainly androgens. Rarely, oestrogen secreting/feminising ACC were reported [17,18,19,20,21]. Aldosterone secreting ACC is uncommon and accounted for approximately 8% of cases. In addition, mixed hormone production was seen in 15% to 25% of functioning ACCs [15,22].
Non-functioning ACCs commonly present with abdominal mass, abdominal pain as well as general symptoms of malignancy. Paraneoplastic manifestations of having ACC such as hypoglycaemia (due to insulin growth factor 2 [IGF2] production) [23] and clinical manifestations related to adrenocorticotropic hormone ACTH production have been reported [24]. Rare manifestations of patients with ACC include cancer-related thrombotic microangiopathy [25] and tumour rupture with retroperitoneal haemorrhage [26,27,28].
ACC could be a cancer in the setting of several hereditary syndromes. These syndromes could occur in high as 5–10% of patients with ACC [29]. In adult patients with ACC, these syndromes include multiple endocrine neoplasia type 1 (MEN1, approximately 20 cases reported) [30], Lynch syndrome (mismatch repair genes) (approximately 10 cases) [31], Li-Fraumeni syndrome (TP53, more than 10 cases) [32] and neurofibromatosis type 1 (NF1, approximately 10 cases) [33]. Rarely, ACC can occur in patients with Carney complex (protein kinase A regulatory subunit 1A [PRKARIA]) [34,35], Gardner’s syndrome [36] and familial adenomatous polyposis (adenomatous polyposis coli [APC]) [37,38]. Although extremely rare, ACCs have been reported in patients with congenital adrenal hyperplasia and myelolipoma [39,40,41]. It is likely these are collision tumours rather than having been aetiologically related.
2.3. Pathology
ACC is often noted on left adrenal (left to right ratio = 1.2 to 1). Bilateral ACC is uncommon and accounted for approximately 1% of the cases [4]. Ectopic ACCs, presumably arise from ectopic adrenal rests, have been reported in the retroperitoneum [42], ovary [43,44], spinal region [45], liver [46] and abdominal wall [47]. A case of retroperitoneal ACC was noted in 68-year-old man with Lynch syndrome [48].
On macroscopic examination, ACC is often yellow to tan colour (Figure 1). Areas of necrosis and haemorrhage are common which give a heterogenous appearance on cut sections. The tumour is often large with median maximum dimension of 100 mm to 120 mm [4,49]. From the findings in recent literature, the largest non-functioning ACC was reported in a 39-year-old Greek woman with a maximum dimension of 237 mm [50] whereas the largest functioning (androgen-secreting) ACC was noted in a 48-year-old Canadian woman with a maximum dimension of 230 mm [51]. Also, Weiss and colleagues have mentioned an ACC with 280 mm in dimension in their series published in 1989 [52] but no clinicopathological details about the case. The tumour could be seen to grossly extend to adjacent organs as well as to regional veins and the right atrium which could lead to pulmonary embolism [53].
Figure 1.
Conventional adrenocortical carcinoma (ACC) showing variegated cut surface of yellow tumour with foci of haemorrhages and necrosis (arrows).
Upon microscopic examination, ACC often has eosinophilic cytoplasm. There are often thick fibrous bands and capsules (Figure 2A). Necrosis is common (Figure 2B). Mitotic figures are often prominent. For prognostic purposes, ACC was subdivided into low grade or high grade depending on mitotic frequency (dividing line is between ≤20 and >20 mitosis per 50 high power fields/10 mm2) [52].
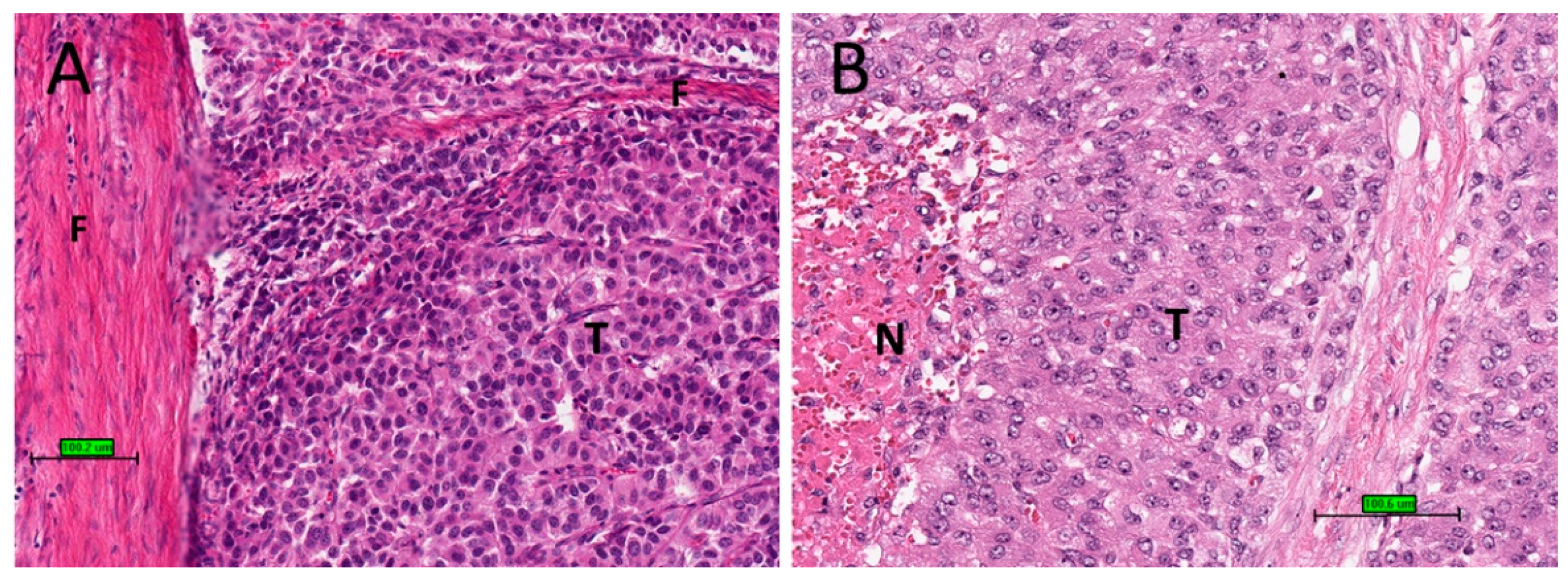
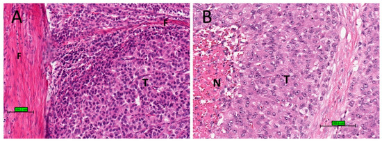
Figure 2.
Histological features of ACC. (A) Tumour cells (T) with eosinophilic cytoplasm with thick fibrous bands (F). (B) Tumour cells (T) with necrosis (N) (haematoxylin and eosin stain) (scale bar–100 µm).
It is often not difficult to differentiate ACC from benign cortical adenoma or borderline cortical tumour. Nevertheless, in some instances, the diagnosis of ACC needs to rely on assessment of multiple pathological parameters. The most widely accepted system adopted by WHO classification for assessment is Weiss criteria published in 1984 [52,54]. Using this system, ACC could be diagnosed on at least three of the 9 histological features—high nuclear grade (Fuhrman III or IV), high mitotic rate (>5 mitoses per 50 high power field, atypical mitotic figures, ≤25% clear cells, diffuse architecture, tumour confluent necrosis, venous invasion, sinusoidal invasion, and capsular invasion. Modified Weiss has been proposed which is based on 5 of the 9 histological features of Weiss (mitotic counts, clear cells, atypical mitotic figures, tumour necrosis and capsular invasion) [55]. In this system, mitotic rate and clear cells have twice the points (‘weight”) compared with other features. The outcome of use of modified Weiss is highly correlated with the original Weiss system [55].
Diffuse architecture must be present in >33% and could be identified by disruption of the reticulin [56] and interruption of basal lamina (antibodies to laminin or collagen type IV). A reticulin algorithm has been used for diagnosis of ACC which involves an abnormal/absent reticulum framework and at least one of the 3 of histological features (tumour necrosis, presence of venous invasion and mitotic rate of >5/50 high power field) [56,57].
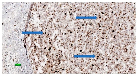
These systems for predicting malignant potential of adrenocortical tumours are applicable mainly in conventional ACC. It is important to note that no single microscopic criterion on its own is indicative of malignancy and there is subjective variability in the interpretation [58]. Studies have proposed the use of proliferative index (Ki-67 index > 5%) (Figure 3) [59] and IGF2 over-expression to confirm the diagnosis of ACC [60].
Figure 3.
Adrenocortical carcinoma of high Ki-67 index with high percentage of nuclear stain (brown colour) for Ki-67 (3,3′-diaminobenzidine/haematoxylin stains) (blue arrows) (scale bar—100 µm).
A relatively new system published by a European group in 2015 is the Helsinki score which relay on mitotic rate, necrosis and Ki-67 index (3× mitotic count [>5/50 high power fields] + 5× presence of necrosis + Ki-67 proliferative index in the most proliferative index of the tumour) of ACC and focus on the predicting diagnosis as well as prognosis of ACC [61,62]. A Helsinki score >8.5 is associated with metastatic potential and warrant the diagnosis of ACC.
The most common malignant tumour in adrenal gland is metastatic carcinoma [63]. In a biopsy specimen, it is important to differentiate ACC from metastatic carcinoma as well as phaeochromocytoma by clinical history, biochemical studies, radiology, and a panel of immunohistochemical stains [64]. ACC expresses markers specific for steroid-producing cells which often include steroidogenic factor-1 (SF-1) and inhibin alpha (Figure 4). The tumour is also positive for markers expressed by other tumour types, such as melan A and calretinin. In addition, abnormal beta-catenin intracellular accumulation is often noted [15]. Common epithelial markers such as cytokeratin, EMA, CEA are generally negative. Although ACC could be positive for synaptophysin, it is negative for chromogranin.
Figure 4.
Tumour stain positive (brown colour) for inhibin (3,3′-diaminobenzidine/haematoxylin stains) in cytoplasm of ACC (green arrows). The necrotic area is not stained up (blue arrow). (scale bar—100 µm).
Distant metastases at presentation occurred in approximately one third of the patients with ACC [15]. The common sites of distant metastases of ACC are liver, lung, and bone [65]. Unusual descripted metastatic locations of ACC have been reported in the stomach [66], pancreas [67], skin [68], spleen [69], tongue [70] and brain including meninges [71,72]. Recurrence and distant metastases of ACC often occur quickly (within 2 years). However, late locoregional recurrence could occur 18 years after surgery [73] and liver metastasis have been reported in a patient 23 years after surgical resection of ACC [74].
2.4. Prognosis
Prognosis of the conventional ACC depends on the cancer stage [12]. In addition, the prognostic value of Helsinki score has been demonstrated to be an outperforming prognostic index [56]. In addition, large tumour size and cortisol-secreting tumour were additional factors for ACC-specific death [49]. Moreover, there are many predictive features proposed for the prognosis of patients with ACC such as mitotic grading [52], Ki-67 index [75], mi-RNAs expression [76], expression of PDL-1 [77], SF-1 [78] and sterol-O-acyl transferase 1 (SOAT1) [79]. Preliminary data also shows that for localised ACC, molecular makers (expression, methylation, and chromosome alterations) could predict cancer recurrence [9]. Nevertheless, many of these markers need validation and some (such as molecular markers) are difficult to apply in clinical settings.
Overall, the prognosis of patients with ACC is poor. A recent Danish study on 160 patients with ACC showed that a median survival of patients with ACC was 35 months [14] whereas in the study based on the USA SEER database, the median survival of patients with ACC was 17 months [4]. The 5-year cancer specific survival rate of patients with ACC as noted from USA SEER database was 38% [1]. It is worth noting that surgery on the primary site even in metastatic ACC significantly improved overall and cancer-specific survival of patients with ACC [80]. The 5 year-survival of adult patients from multiple datasets with ACC after surgery range from 40% to 70% [49,81]. The estimated five-year overall survival rate for patients with ACC in recent cohorts is slightly less than 50% [11]
3. Paediatric Adrenocortical Carcinoma
3.1. Demographic Characteristics
ACC in paediatric patients deserves separate grouping as they are different from ACC in adults in terms of biological behaviour. The incidence of paediatric ACC is 0.2 cases per million children per year in SEER data from USA [82]. A recent national cohort study in France suggested the incidence of paediatric ACC to be approximately 0.1 cases per million children per year [83]. On the other hand, the incidence of paediatric ACC is reported to be high in southern regions of Brazil in which 4 case per million was reported in children of less than 10 years which may be related to high incidence of germline mutation of TP53 (R337H) detected in the region [84,85].
ACC in paediatric group is more commonly seen in girls (male to female ratio of 1 to 2). Paediatric patients with ACC accounted for 6.5% of patients with ACC [4]. The disease is more common in the first decade with peak in 1 to 4 years [82] and with the mean age at presentation at 5 [86]. Infants of less than 6-months-old with ACC have been reported [87,88,89].
3.2. Clinical Features
Paediatric ACCs are often functioning tumours. In the largest single-institution study [90] involving 41 paediatric ACC, only 15% of the patients were non-functioning. In the functioning tumours, many secrete more than 1 hormones (54%) and the most common hormonal manifestation is related to sex hormones. The sex hormones produced by paediatric ACC are mostly androgen (virilising effects) [91] with a couple of paediatric ACCs oestrogen secreting [92].
A few paediatric ACCs occur in the setting of hereditary syndromes. They were found in Li-Fraumeni syndrome [87,93,94], multiple endocrine neoplasia type 1 [95], neurofibromatosis type 1 [96] and familial adenomatous polyposis [97]. In addition, paediatric ACCs were found in Beckwith–Wiedemann syndrome [98,99].
3.3. Pathology
ACC is often noted in the left adrenal gland in paediatric patients (left to right ratio = 1.4 to 1). The median size of paediatric ACC was 95 mm (range, 2 to 200 mm) [90,100].
Like adult ACC, paediatric ACC may sometimes need criteria to differentiate from cortical adenoma and borderline cortical tumour. Weiss criteria used for adult ACC is not applicable to paediatric tumours as it will label many tumours of benign behaviour as ACC. Thus, Wieneke and colleagues from the Armed Forces Institute of Pathology (AFIP) of the USA developed a set of criteria in 2003 and have tested on 83 paediatric adrenal cortical neoplasms in USA, for the purpose of predicting the behaviour of these tumours [101]. Wienke criteria comprises 9 parameters which incorporate macroscopic features (tumour weight > 400 g; tumour size > 105 mm) as well as microscopic features (extension into periadrenal soft tissues and/or adjacent organs, invasion into the vena cava, venous invasion (emboli, independent of main tumour), capsular invasion (beyond the capsule), tumour necrosis (confluent), atypical mitotic figures and high mitotic count (defined by more than 15 mitoses/20 high-power fields). Tumours with two or fewer criteria were cortical adenoma, those with 3 as “indeterminate” for malignancy and tumours with 4 or more criteria as ACC. The criteria were reported to be superior to Weiss by a few studies in the USA, Australia, and India [90,102,103,104]. Recently, in 2019, the criteria have been validated by Picard and colleagues in 95 paediatric adrenal cortical neoplasms from France [83]. In addition, the use of the Ki-67 index (>15%) was proposed to use to predict the outcome of paediatric patients with ACC.
3.4. Prognosis
Different from adult patients with ACC, paediatric patients with ACC often have better survival rates than adult patients with the disease [105]. Due to the small number of cases, studies in literature have shown different 5-year survival rates reported for paediatric patients with ACC, ranging from 34% to 100% [106]. The 5-year survival reported by Gupta and colleagues in a largest single-institution study on 41paediatric patients with ACC was 61% [90]. Recurrence was not detected in over 75% of the patients after treatment.
Approximately one third (31%) of paediatric patients with ACC presented with metastatic disease at the time of diagnosis [100]. Common sites of metastases are liver and lung [90]. Gulack and collages, in analysis 111 paediatric patients on USA national cancer database reported that age, size, extension of tumour, metastatic disease and margins status were associated with the survival of the patients with paediatric ACC [100]. Also, McAtter and colleagues based on 85 cases in SEER showed that older age and distant metastases were significant predictors of cancer-specific death [82]. Furthermore, Picard and colleagues showed that histological features in Wienke score (tumour necrosis, capsular invasion, venous invasion, high mitotic count) as well as high Ki-67 index are associated with worse outcomes [83]. In addition, a recent meta-analysis (published in 2021) on 42 studies with 1006 patients showed age, non-secreting tumours, complete surgical resection, small tumour (weight, volume and dimension) and low tumour stage are associated with better outcome [107]. Patients affected by Cushing syndrome showed a worse outcome.
4. Oncocytic Adrenocortical Carcinoma
4.1. Demographic Characteristics
Oncocytic adrenocortical carcinoma is defined as ACC with abundant oncocytic cytoplasm which is due to the accumulation of mitochondria. This variant was first mentioned in the third edition of WHO classification but without description of histological details [108]. Amongst the histological variants of ACC, oncocytic ACC is the most common variant. Different from other variants, oncocytic ACC often being studied together with other members of oncocytic adrenocortical neoplasms, namely adrenal oncocytoma and borderline oncocytic tumour.
In 2018, Kanitra undertook a systemic review on 140 adrenocortical oncocytic tumours with documented details reported in the literature and noted that 35% were benign, 41% were borderline and 24% were malignant (oncocytic ACC) [109]. Since the review by Kanitra, there are couples with oncocytic ACC and two large series of oncocytic adrenocortical tumours presented on the importance of Ki-67 expression and genomic profiles [110,111]. These 2 series do not provide data on the clinical pathological data of the individuals.
The unique features of oncocytic ACC have never been studied in separation from the oncocytic adenoma or borderline oncocytic neoplasm in the literature. In this review, all the features of documented oncocytic ACC were reviewed. The first case of oncocytic ACC was confirmed in 1991 by electron microscopy showing the closely packed mitochondria in an ACC from a 56-year-old man [112]. Up to the year 2020, there were 56 cases of oncocytic ACC in the adrenal gland with documented features in the English literature [112,113,114,115,116,117,118,119,120,121,122,123,124,125,126,127,128,129,130,131,132,133,134,135,136,137]. Apart from these cases, a giant ectopic oncocytic ACC (280 mm in greatest dimension; 2250 g in weight) have been reported in a 26-year-old Hispanic woman in tissue around the left adrenal gland and kidney {Wadhwani 33,281,927} [138].
In the WHO classification, the Lin–Weiss–Bisceglia (LWB) criteria proposed in 2004 is adopted to differentiate the different members of oncocytic neoplasms [117]. The Weiss score is not used as three of the criteria in the Weiss score—high nuclear grade, <25% clear cells, and diffuse architecture are characteristics of adrenal oncocytic tumour. In the LWB system, the presence of any one of the three major criteria—high mitotic rate (>5 mitoses per 50 high-power field), atypical mitotic figures and venous invasion—indicates the oncocytic adrenal tumour is the oncocytic variant of ACC. These criteria are amongst the nine features noted in the Weiss score [13]. Any of the minor criteria in the system in adrenal oncocytic cortical neoplasm (necrosis, sinusoidal invasion, capsular invasion, and large size/weight (size >100 mm and/or weight >200 g) indicates that it is of uncertain malignant potential.
According to the review by Kanitra, male patients with oncocytic adrenocortical tumour were more likely to be malignant [109]. It follows that oncocytic ACC do not show female gender predilection as in conventional ACC. From the pooled data in literature, the male to female ratio for oncocytic ACC is 1 to 1.1. The mean age at presentation of the patients with oncocytic ACC was 48 (range, 1 to 83), which is like that of conventional ACC [15]. On the other hand, the carcinoma is most often seen in younger patients in the fourth decade; with 30% of the cases reported in this age range. There are only 2 patients with oncocytic ACC in the paediatric group. They are both sex hormone producing oncocytic ACC; one is an 18-month body with androgen production tumour and co-existing rhabdomyosarcoma [137] and one is a 19-year-old female with testosterone secreting [124]. The oldest case of oncocytic ACC was noted in an 83-year-old female with non-functioning oncocytic ACC [130].
4.2. Clinical Features
In the literature, half of the documented cases of oncocytic ACC were functioning. The non-functioning cases most often presented with abdominal mass or pain as in conventional ACC. The most common presenting syndrome was related to the secretion of sex hormones, accounting for approximately half of the functioning cases. The other common functioning status was due to cortisol. Oncocytic ACC with Conn syndrome (aldosterone secreting) without other hormonal changes was reported in detail only in a 25-year-old man from Canada [121]. A patient with oncocytic ACC with multi-hormonal syndromes was associated with Lynch syndrome [133].
4.3. Pathology
From the pooled data of the 56 cases in the literature, oncocytic ACC occurs predominately on the left side with left to right ratio of 1.6 to 1. The mean and median maximum dimension of the reported case were both 130 mm. The size is slightly larger than the size range reported for conventional ACC (100 to 120 mm) as mentioned. The mean and median weight of the adrenal gland with the tumour was 829 g and 552 g respectively (range, 50 g to 5720 g). The largest oncocytic ACC was reported by Wong and colleagues in Australia who reported in their series an oncocytic ACC of maximum tumour dimension of 285 mm and with weight 5720 g in a 41-year-old woman [125].
Macroscopically, in contrast to conventional ACC with yellow cut sections, the tumour is tan or brown on cut sections (Figure 5). Necrosis is common [134]. Microscopically, the tumour cells have abundant granular eosinophilic cytoplasm (oncocytes) and high-grade nuclear features (Figure 6). Intranuclear inclusions and frequent atypical mitotic figures were noted. The diagnosis of oncocytic ACC is often obvious after exclusion of adrenal oncocytoma and borderline neoplasm by LWB system. In addition, oncocytic tumours that are positive for synaptophysin and negative for vimentin are more often benign [109]. Myelolipomatous component have been demonstrated in a oncocytic ACC in left adrenal gland of a 69-year-old woman [125].
Figure 5.
Oncocytic adrenocortical carcinoma showing tan lobular tumour on macroscopic examination. The tumour is rimmed by normal adrenal cortex (yellow colour, arrows).
Figure 6.
Oncocytic adrenocortical carcinoma: microscopic examination showing tumour cells with oncocytic (pink) cytoplasm (T) with necrosis (N) (haematoxylin and eosin stain) (scale bar—100 µm).
The immunohistochemical profiles of oncocytic ACC is like that of conventional ACC. Nevertheless, only half of the oncocytic ACC express alpha-inhibin and slightly more than one third of oncocytic ACC express melanin A [109]. Thus, a panel of markers should be used in case of doubt. Wong and colleagues recommended a strong, diffuse, and finely granular staining pattern of anti-mitochondrial antibody, mES-13, to document the oncocytic differentiation of the tumour [125].
The differential diagnoses could include malignant oncocytic neoplasms in the adjacent region such as from the kidney or liver. Rarely, oncocytic phaeochromocytoma could occur in the adrenal gland [139]. Chromogranin is important to differentiate them as unlike adrenal cortical oncocytoma, chromogranin have not been reported in oncocytic ACC but is always positive in oncocytic phaeochromocytoma [109,139].
4.4. Prognosis
Distant metastases were relatively uncommon for oncocytic ACC and documented in 7 cases: accounting for 13% of cases. The tumour could metastasise to liver, lung, bone, and ovary. Kanitra and colleagues reported that the 5-year overall survival rates for patients with oncocytic ACC was found to be 47% [109]. In addition, the pooled data from the literature revealed that median survival of 60 months for patients with oncocytic ACC. The prognosis appears to be better than conventional ACC and Helsinki score appear to predict the prognosis of the patients with oncocytic ACC [110].
5. Myxoid Adrenocortical Carcinoma
5.1. Demographic Characteristics
The myxoid variant of ACC is defined as ACC with abundant extracellular connective tissue mucin. In the 3rd edition of WHO classification, it was mentioned that ACC could have “myxoid changes” [108]. Only in the current 2017 WHO classification (fourth edition), it was formally labelled as a variant of ACC [13]. Myxoid ACC is an uncommon variant of ACC and first reported by Tang and colleagues in 1979 in a 41-year-old woman [140]. Up to the year 2020, 47 cases of myxoid ACC have been reported in the literature [140,141,142,143,144,145,146,147,148,149,150,151,152,153,154].
Unlike conventional ACC, myxoid ACC do not show gender predilection (24 males and 23 females). The mean age at presentation of patients with the tumour was 48 (range, 19 to 82) which is like that of conventional ACC [15]. The carcinoma is most often seen in the fifth decade. All the patients of myxoid ACC noted in the literature are adult patients. The youngest patient was noted in a 19-year-old girl [149].
5.2. Clinical Features
In the literature, 57% (n = 27) of the documented cases of myxoid ACC were functioning. The most common presenting syndromes were Cushing syndrome (n = 23), accounting for 49% of the documented cases. There were also 4 patients with Conn syndrome as well as 4 of the 23 patients with Cushing also had increased aldosterone secretions. No cases presented with sex hormone secretion. Recently, Harada and colleagues reported a functioning myxoid ACC in a 68-year-old Japanese woman with increased aldosterone and cortisol in the setting of MEN 1 [153]. Tang and colleague, who reported the first case of myxoid ACC, noted that the patient had parathyroid hyperplasia and pituitary tumour which may be a case with MEN 1 [140].
5.3. Pathology
The laterality of the myxoid ACC was not documented in many cases. Nevertheless, myxoid ACC appears occur in the left adrenal more commonly (Left to right ratio = 1.5 to 1). The mean and median maximum dimension of the reported case was 125 cm and 100 mm, respectively. The mean weight of the adrenal gland with the myxoid ACC was 707 g (range, 38.5 g to 3200 g).
Macroscopically, the tumour had a yellow-brown appearance with variegated appearance like that of conventional ACC. In addition, gelatinous myxoid areas were noted [148,151]. Microscopically, the tumour is characterised by the cords or trabeculae of tumour cells floating in stroma with diffuse pools or lack extracellular mucin which is positive for alcian blue. The staining pattern favour acid mucopolysaccharides of connective tissue type mucin [146]. A minority of cases also positive for mucicarmine or periodic acid Schiff stains. This contrasts with conventional ACC which may have focal myxoid changes in the stroma [147].
In the literature, 81% (38/47) of myxoid ACC documented the proportion of myxoid component in the ACC. The median proportion of the myxoid component was 30%. Some features of myxoid ACC, in contrast to conventional ACC, are trabecular/micro acinar growth pattern, small, uniform cell size, mild nuclear atypia and scant, eosinophilic cell cytoplasm [147]. Thus, the lack of diffuse growth pattern and nuclear atypia (two Weiss criteria) make the use of Weiss parameters problematic in the application to assess the malignant potential. In addition, the myxoid stroma make the identification of invasive areas (another Weiss parameter) difficult. Myxoid changes could occur in cortical adenoma though uncommon [148]. By applying Weiss parameters, 3 cases of borderline myxoid adrenal tumours have been reported [147,155]. One case developed local and peritoneal metastases and should be reclassified as myxoid ACC [147].
Lipometaplasia were reported in 21% (n = 5) of myxoid ACC [143,149,150,152]. The morphology is a reactive degenerative or metaplastic process in tumour cells which appears to be detected in myxoid ACC.
The immunohistochemical expression pattern of the ACC component is like that of conventional ACC in general. Neurofilament and CD56 have also been noted in the myxoid areas [147].
Due to the myxoid appearance, the differential diagnoses of the tumour in biopsy includes many tumours with myxoid stroma such as chordoma, myxoma, extra skeletal myxoid chondrosarcoma, lipoma, liposarcoma, benign or malignant nerve sheath tumours, myxoid leiomyoma, myxoid leiomyosarcoma, gastrointestinal stromal tumour and myxoid myxofibrosarcoma [152]. Besides, the differential diagnoses must include metastatic carcinoma, as in the settings of conventional ACC. Throughout examination of the resected tumour with immunohistochemical and clinicopathological correlations would be able to come to the correct diagnosis.
5.4. Prognosis
Distant metastases occur often in patients with myxoid ACC. In the literature, 68% (32/47) of the patients had documented the sites of metastases in myxoid ACC. The two commonest sites of metastatic myxoid ACC were in liver (n = 17) and lung/pleura (n = 16). Metastatic carcinoma was also reported in the bones (n = 4). An uncommon metastatic myxoid ACC to the brain was noted in a 63-year-old woman [142].
Myxoid ACC appears to be slightly more aggressive than conventional ACC [152]. Tumour recurrence was documented in 20 patients with myxoid ACC. The median time for recurrence after surgery was 4.8 months. On pooling the data from the reported cases of myxoid ACC in the literature, the median survival of the patients was 29 months and the longest survival reported for patients with myxoid ACC was 69 months [149]. Helsinki score (based on mitotic count, necrosis, and Ki-67 index) was proposed to be of value in predicting the prognosis of patients with myxoid ACC, but the cases were too few to perform specific survival analysis [61].
6. Sarcomatoid Adrenocortical Carcinoma
6.1. Demographic Characteristics
Sarcomatoid adrenocortical carcinoma is characterised by the presence of mesenchymal differentiation in additional to the carcinomatous component. The carcinoma is the least common variant of adrenocortical carcinoma. All the reported cases were reported as case reports. In the 2nd edition of the WHO classification and the 3rd edition of the WHO classification of endocrine tumours, the carcinoma is labelled as “carcinosarcoma” {WHOs} [108,156]. Sarcomatoid ACC is now recognised as a distinct histological variant of ACC in the current WHO classification [13]. The carcinoma appeared first in Japanese literature in 1987 [157] and in English literature in 1989 [158]. Up to the year 2020, 28 patients with sarcomatoid adrenocortical carcinoma were documented in the literature [15,152,159,160,161,162,163,164,165,166,167,168,169,170,171,172,173,174,175,176,177,178,179].
From pooled data in the literature, sarcomatoid ACC is slightly more common in females with female to male of 1.3 to 1. The mean age at presentation was 56 (range, 23 to 79) which is within the upper range of those reported in a large series of conventional ACC [15]. The carcinoma was most often seen in the sixth and seventh decades. No paediatric patient with sarcomatoid ACC was reported in the literature.
6.2. Clinical Features
Most of the patients presented with non-functioning sarcomatoid adrenocortical carcinoma. This contrasts with conventional ACC, in which approximately half of patients had functional tumour [57]. In the literature, symptoms of sex hormone production (virilization) was noted in a 29-year-old American women [160] and aldosteronism was present in a 79-year-old American woman (the oldest patient with the disease reported in the literature) [161]. In addition, a 69-year-old Japanese woman with bilateral sarcomatoid ACCs presented with symptoms and signs of hypoadrenalism likely because of destruction of the adrenal glands [175]. Other than these, patients with sarcomatoid ACC often presented with localized pain (abdominal pain, loin pain, flank pain, back pain, etc.) related to the mass effect of the big adrenal tumour (18/28; 64%). One fourth (7/28; 25%) of patients with sarcomatoid adrenocortical carcinoma had non-specific symptoms or incidental findings.
6.3. Pathology
Two of the patients with sarcomatoid ACC had bilateral tumours [174,175]. The carcinomas were slightly more commonly seen on the right side (right to left = 1.4 to 1). They are often big with the mean and median maximum dimension of 129 mm and 127 mm respectively (range, 55 to 240 mm). This is slightly larger than the size range reported for conventional ACC (100 to 120 mm) [14,49]. The mean weight of the adrenal gland with sarcomatoid ACC was 620 g (range, 20 to 6500 g).
Macroscopically, like other ACC, many of the sarcomatoid ACCs were yellow and necrotic [152,171,172]. The necrotic changes could be extensive and giving cystic appearance. In the literature, 6 of the 28 sarcomatoid ACCs had cystic appearance [159,160,163,164,176]. In addition, the adrenal gland in sarcomatoid ACC was often extensively replaced by the tumour [164,175]. The sarcomatoid area may stand out as white fleshy foci [173].
Microscopically, sarcomatoid ACC comprises a mixture of conventional ACC component mixed with sarcomatoid component. The sarcomatoid component of ACC is mainly composed of spindle tumour cells. Prominent nuclear pleomorphism, atypical mitotic figures and tumour giant cells could be identified. There is no definition of proportion of spindle tumour cells required for the diagnosis of sarcomatoid ACC. However, the spindle cancer cells may comprise 70% of the tumour [160]. On histological examination, especially in small biopsy examination, it may be difficult to differentiate sarcomatoid ACC with predominant spindle cell differentiation from retroperitoneal sarcoma, leiomyosarcoma or gastrointestinal stroma tumour. It is important to sample the tumour to identify the carcinomatous component of the tumour. The carcinomatous component of sarcomatoid ACC staining profiles is the same as the conventional ACC. However, the sarcomatous component may have lost or partial lost in immunoreactivity to melan A, inhibin and SF-1. Cytokeratins may be present in the spindle cell components.
There are cases reported to have heterologous elements. In the literature, 4 cases had a rhabdomyosarcoma component [159,160,166,169] and 3 had osteosarcoma component [161,167,176]. One of the 3 cases with an osteosarcoma component had a chondrosarcoma component and was noted in a patient presenting with aldosterone excess [161]. There were two ACC with an oncocytic component, but the tumours should be classified as sarcomatoid ACC because the presence of sarcomatoid component carries a more biological aggressive potential. These include the case reported by Thway and colleagues of a 45-year-old Afro-Caribbean man with oncocytic features in ACC and with sarcomatous metastases [169] as well as the case reported by Kao and colleagues of a 48-year-old American woman having ACC with an oncocytic carcinomatous component and primitive neuroectodermal-like features (perivascular clustering of tumour cells and pseudorosettes) [170].
Due to its rarity, no detailed molecular works on sarcomatoid ACC was noted. Papathomas and colleagues have demonstrated in 6 cases of sarcomatoid ACC, that dysregulation of Wnt/beta-catenin signalling pathway and p53 mutation were common [176]. In addition, the stem cell makers and epithelial mesenchymal transition (EMT) markers were noted.
6.4. Prognosis
Distant metastases occur often in patients with sarcomatoid ACC. In the literature, 75% (21/28) of the patients had documented the sites of metastases in sarcomatoid ACC. These metastases either occur at presentation or within a few months after surgery. It is worth noting that for conventional ACC, only approximately one third of cases had distant metastases at presentation. The most common site of metastatic sarcomatoid ACC was in the liver (n = 16). The second most common site was in the thorax (lung/pleura/mediastinum) (n = 8). The other sites could include spleen, brain, and heart [152,157,169].
Sarcomatoid ACC appears to be more clinically aggressive than conventional ACC. Recurrence of the cancer was often noted shortly after surgical resection. Most (approximately 80%; 13/16) of the documented recurrence occurs within 4 months after surgery. The median survival of reported cases from the pooled data in the literature was 7 months and the longest survival reported for patients with sarcomatoid ACC was 30 months.
7. Comparison of Different Types of Adrenocortical Carcinoma
Table 1 shows the comparison of features of different variants of ACC summarised from the literature. This highlights the clinical and biological differences between the different histological variants of ACC justifying dividing them into distinctive groups in research.
Table 1.
Characteristics of different types of Adrenocortical carcinoma.
In general, ACC are more common in females and on the left side. It is well demonstrated that adrenal tumours are higher in incidence in women [180] which is likely to result from the gender difference in hormonal interactions involving complex adrenal, endocrine and neurocrine functions as well as variations in hormonal receptor sensitivity. In addition, the left adrenal gland is bigger and heavier than right adrenal gland [181]. Thus, ACC has higher chance to occur in the left adrenal gland because of having a larger volume of cortical tissue. The only exception is sarcomatoid ACC which is more common on right adrenal. The difference may be related to data bias by the small number of cases reported or some other unknown factors, which needs to wait for more cases reported to be analysed.
Sarcomatoid ACC appear to differ in many aspects from other variants of ACC in terms of patients’ more advanced age at presentation, predominately non-functioning tumours, predilection of right side, larger tumour size, higher rate of distant metastases and worse outcomes of patients.
Patients with myxoid ACC and sarcomatoid ACC had much higher rates of distant metastases than those with oncocytic or conventional ACC. If follows that the patients with sarcomatoid ACC had the worse prognosis. For patients with myxoid ACC, the prognosis is slightly worse than those with conventional ACC.
A plot of the pooled-up follow-up data available in the literature of all the cases of oncocytic, myxoid and sarcomatoid variants confirmed that patients with oncocytic ACC had the best prognosis (Figure 7). The prognosis of patients with oncocytic ACC is also better than that of prognosis of conventional ACC as noted from data in the literature (Table 1).
Figure 7.
Survival analysis showing the difference in survival for patients with different types of adrenocortical carcinoma.
Renaudin and colleagues in France presented the largest series of oncocytic adrenocortical tumours in literature, also noted that patients with oncocytic ACC showed significant survival than those with conventional ACC [110]. It is worth noting that the findings concur that oncocytic ACC had lower mutation burden compared with the conventional or myxoid variants of ACC [111]. Renaudin and colleagues proposed that Helsinki score, which incorporates the Ki-67 proliferation index, was the most specific prognostic score for this group of adrenocortical tumours [110].
Genomic characterisation of ACC by next-generation sequencing published in 2014 to 2016 showed that ACC had multiple driver gene mutations [8,9,182]. Common mutated driver genes in ACC are TP53, β-catenin (CTNNB1), IGF 2, zinc and ring finger 3 (ZNRF3) and telomerase reverse transcriptase (TERT). In addition, Pinto and colleagues had also identified genomic changes in paediatric ACC in 37 patients with ACC [7]. The driver genes mutations in paediatric ACC include IGF-2, TP53 as well as mutations in alpha-thalassemia/mental retardation, X-linked (ATRX), CTNNB1 and integration of human herpesvirus-6 in chromosome 11p. The authors noted that paediatric ACC could be divided into 3 groups based on TP53 and ATRX mutations (group 1—TP53 mutated and ATRX mutated; group 2—TP53 mutated and ATRX wide type; group 3—TP53 wide type and ATRX wide type) which may be associated with disease progression.
Molecular genomic characterisation of ACC on different types of ACC were studied by Vatrano and colleagues in a study in Italy [111]. The study noted difference patterns in gain and loss of copy number variations of common driver genes—RB1, CDKN2A, ZNRF3, TERT, CDK4 between conventional, myxoid and oncocytic variants of ACC. In addition, p53/Rb1 pathway was the adverse molecular signatures associated with high tumour stage, high Ki-67 index, aggressive disease status and shorter disease-free survival.
8. Tumour Staging
The new 8th edition of the cancer staging manual of the AJCC adopted the information from European Network for the Study of Adrenal Tumours (ENSAT) [183]. Table 2 shows the details and the difference between the 7th edition and the current 8th edition of AJCC for ACC [7,184].
Table 2.
Comparison between 7th edition and 8th edition of American Joint Committee on Cancer (AJCC) in TNM prognostic stage grouping of ACC.
In the T-stage grouping for ACC, T1 is ACC ≤ 50 mm in greatest dimension with no extra-adrenal invasion; T2 is ACC more than 50 mm with no extra-adrenal invasion; T3 is ACC of any size with local invasion but not invading adjacent organs; T4 is ACC of any size that invades adjacent organs (kidney, diaphragm, pancreas, spleen, or liver) or large blood vessels (renal vain or vena cava). Invasion of large blood vessels (renal vein or vena cava) as thrombus, previously considered as M1 in AJCC 7th edition is now classified as T4. Overall, the only major change in the current prognostic group is to refine the division between Stage III and Stage IV. In the current prognostic staging, only ACC with distant metastases (M1) were classified as stage IV. In the 7th Edition of AJCC cancer staging manual, carcinoma of either T4 N0 M0 or T3/T4 N1 which was labelled as Stage IV in 7th Edition now re-classified into stage III. As noted for the discussion mentioned above, prognostic information like age, tumour grade based on mitotic counts, tumour size, functional status of the patients, tumour weight, vascular invasion, Ki-67 index and Weiss score were recommended information to be collected by the staging Manual. Furthermore, Poorman and colleagues in the USA (US adrenocortical carcinoma study group), based on 265 patients with ACC, have suggested the use of lymphovascular invasion as a criterion to better differentiate T2 and T3 but this option has not been validated [185].
Paediatric patients with ACC are different in biology from adult patients with ACC. The International Pediatric Adrenocortical Tumor Registry’s (IPACTR) proposed a modified tumour staging system and validated by the Children’s Oncology Group (COG) [186]. In the system, Stage I is ACC completely resected with negative margins, weight ≤100 g or ≤200 cm3, no metastasis; Stage II is ACC completely resected with negative margins, weight >100 g or >200 cm3, no metastasis; Stage III is residual or inoperable ACC and Stage IV is metastasis at presentation.
9. Pathological Reporting of Adrenocortical Carcinoma
With the refinement of WHO classification and pathological staging of ACC, standardization of pathological reporting of the disease is necessary for incorporation of the new information for the management and development of new therapeutics for this group of patients. Thus, shortly after the publication of new editions of the WHO classification and cancer staging protocol, the International Collaboration of Cancer Reporting (ICCR) developed a universal dataset for standardization of reporting for carcinomas of the adrenal cortex which was published on the website in 2019 [187]. Protocols for pathological reporting of adrenal gland tumours is not new and have been used in different countries such as Australia which developed a protocol of adrenal tumour in the year 2013 [188]. The ICCR is an international collaboration sponsored by major pathological bodies in the world. The expert group collected the protocols of different pathology groups in the world and modified into a universal dataset with updates of information from the new WHO classification and staging manual for adrenocortical carcinoma.
The ICCR dataset for adrenal cortex cancer comprises 23 core or required items to be available to clinicians after pathological assessment [187]. These core features include the classification according to WHO classification, integrity of the specimen, greatest dimension, weight, extent of invasion, architecture, percentage of lipid-rich cells, capsular invasion, lymphatic invasion, vascular invasion, atypical mitotic figures, coagulative necrosis, nuclear grade, mitotic count, Ki-67 proliferative index, margin status, lymph node status, and pathological stage. Tumours were dichotomized into low-grade (≤20 mitoses per 10 mm2) and high-grade (>20 mitoses per 10 mm2). It is worth noting that per mm2 have been used to replace high power field to standardise the size of high-power field under light microscopy. In the dataset, there are some other parameters (non-core) that have been proposed as well as the algorithms included for the diagnosis of ACC (Weiss, modified Weiss, Lin–Weiss–Bisceglia, reticulin, Helsinki and Armed Forces Institute of Pathology/Weineke).
Further modifications such as additional elements, values and commentary were adopted by local pathology societies such as in the Structured Reporting Protocol for Adrenal Cortical tumours by the Royal College of Pathologists of Australasia published in 2020 [189]. The later protocol provides additional information and explanations for adaption to be used of the local pathology communities. In addition, macroscopic cut-up manual for surgical specimen of adrenal gland is available to aid providing a proper reporting of ACC: (https://www.rcpa.edu.au/Manuals/Macroscopic-Cut-Up-Manual/Endocrine/Adrenal) (accessed on 1 February 2021).
10. Clinical Perspectives
Adrenal incidentalomas are common endocrine diagnoses which are adrenal masses that are discovered during radiological examination conducted for other reasons [190]. Often, they should be monitored in terms of radiological characteristics, clinical features, and functional levels. Functioning tumours traditionally will be managed by surgical approach. On the other hand, non-functional adrenal incidentalomas with no radiological features of malignancy and of small size will normally be monitored by radiological examination and functionally to see if there are any clinical progression [191]. An increase in size and development of functionality during follow-up in patients with adrenal incidentalomas will normally lead to biopsy and surgical resection. It is worth noting that computed tomography often underestimates the real size of adrenal lesions [192] so there is a tendency of lower threshold of the size of adrenal lesion for surgical management.
From information in Table 1, except for paediatric ACC, nearly half of the conventional, myxoid or oncocytic ACC are non-functioning and could present with incidentaloma. Furthermore, only 11% of the reported cases of sarcomatoid ACC are functioning. On the other hand, ACC accounts for less than 2% of adrenal incidentalomas [5,193]. The rate of malignancy depends on size of the tumour [190]. A study on 139 operations for adrenal tumour more than 50 mm in diameter showed that the most common tumour (around 25%) were ACC [194].
Studies used to establish historical guidelines of ACC have suffered from small sample sizes and use of low-resolution computed tomography and inclusion of purely surgical series [195]. The most recent recommendation for the optimal cut-offs for size and non-contrast computed tomography density to predict malignancy seems to be 46 mm and 20 Hounsfield unit (HU) (measurement of radio density) rather than 40 mm and 10 HU previously used [196].
Apart from ACC, silent pheochromocytoma was noted in 8.5% of adrenal incidentaloma in a national survey from Japan [5]. It is important to identify pheochromocytoma from ACC or other adrenal lesions by clinical, biochemical, and radiological means as biopsy is not indicated for pheochromocytoma because of safety considerations of life-threatening haemorrhage, hypertensive crisis and tumour implantation and death [197]. The main indications for percutaneous biopsy of adrenal lesions are ACC and metastatic malignancies [198]. Also, an endoscopic ultrasound-guided fine needle aspiration biopsy is a useful and safe technique to allow pathological and radiological diagnosis which is helpful in the detection rate of the non-functioning adrenal incidentaloma and such ACC, metastatic carcinoma, infection, etc., [199].
11. Conclusions
ACC is a disease of diverse clinical and pathological presentations. The prognosis of advanced ACC is still poor and novel treatments are needed. The results of most of the clinical trials of new drugs on ACC are disappointing [200]. In this review, the updates information of the classification, staging and pathological reporting of the tumour are foundations for understanding this heterogenous disease and testing of a new generation of therapies and management.
Funding
Private practice fund in Griffith University.
Institutional Review Board Statement
Not applicable.
Informed Consent Statement
Not applicable.
Data Availability Statement
All data from literature, analytic data available on equity on case to case base.
Conflicts of Interest
The author declares no conflict of interest.
References
- Chandrasekar, T.; Goldberg, H.; Klaassen, Z.; Wallis, C.J.D.; Woon, D.T.S.; Herrera-Caceres, J.O.; Kulkarni, G.S.; Fleshner, N.E. The who, when, and why of primary adrenal malignancies: Insights into the epidemiology of a rare clinical entity. Cancer 2019, 125, 1050–1059. [Google Scholar] [CrossRef]
- Abe, I.; Lam, A.K. Anaplastic thyroid carcinoma: Updates on WHO classification, clinicopathological features and staging. Histol. Histopathol. 2020, 2021, 18277. [Google Scholar] [CrossRef]
- Lam, K.Y. Adrenal tumours in Chinese. Virchows Arch. A Pathol. Anat. Histopathol. 1992, 421, 13–16. [Google Scholar] [CrossRef]
- Sharma, E.; Dahal, S.; Sharma, P.; Bhandari, A.; Gupta, V.; Amgai, B.; Dahal, S. The Characteristics and Trends in Adrenocortical Carcinoma: A United States Population Based Study. J. Clin. Med. Res. 2018, 10, 636–640. [Google Scholar] [CrossRef] [PubMed]
- Ichijo, T.; Ueshiba, H.; Nawata, H.; Yanase, T. A nationwide survey of adrenal incidentalomas in Japan: The first report of clinical and epidemiological features. Endocr. J. 2020, 67, 141–152. [Google Scholar] [CrossRef]
- Rahane, C.S.; Kutzner, A.; Heese, K. Establishing a human adrenocortical carcinoma (ACC)-specific gene mutation signature. Cancer Genet. 2019, 230, 1–12. [Google Scholar] [CrossRef]
- Pinto, E.M.; Chen, X.; Easton, J.; Finkelstein, D.; Liu, Z.; Pounds, S.; Rodriguez-Galindo, C.; Lund, T.C.; Mardis, E.R.; Wilson, R.K.; et al. Genomic landscape of paediatric adrenocortical tumours. Nat. Commun. 2015, 6, 6302. [Google Scholar] [CrossRef]
- Zheng, S.; Cherniack, A.D.; Dewal, N.; Moffitt, R.A.; Danilova, L.; Murray, B.A.; Lerario, A.M.; Else, T.; Knijnenburg, T.A.; Ciriello, G.; et al. Comprehensive Pan-Genomic Characterization of Adrenocortical Carcinoma. Cancer Cell 2016, 29, 723–736. [Google Scholar] [CrossRef] [PubMed]
- Assié, G.; Letouzé, E.; Fassnacht, M.; Jouinot, A.; Luscap, W.; Barreau, O.; Omeiri, H.; Rodriguez, S.; Perlemoine, K.; René-Corail, F.; et al. Integrated genomic characterization of adrenocortical carcinoma. Nat. Genet. 2014, 46, 607–612. [Google Scholar] [CrossRef] [PubMed]
- Fojo, T.; Huff, L.; Litman, T.; Im, K.; Edgerly, M.; Del Rivero, J.; Pittaluga, S.; Merino, M.; Bates, S.E.; Dean, M. Metastatic and recurrent adrenocortical cancer is not defined by its genomic landscape. BMC Med. Genom. 2020, 13, 165. [Google Scholar] [CrossRef]
- Ettaieb, M.H.T.; Kerkhofs, T.; Van Engeland, M.; Haak, H.R. Past, Present and Future of Epigenetics in Adrenocortical Carcinoma. Cancers 2020, 12, 1218. [Google Scholar] [CrossRef]
- Phan, A.T.; Grogan, R.H.; Rohren, E.; Perrier, N.D. Adrenal cortical carcinoma. In AJCC Cancer Staging Manual, 8th ed.; Amin, M.B., Edge, S., Greene, F., Byrd, D.R., Brookland, R.K., Washington, M.K., Gershenwald, J.E., Compton, C.C., Hess, K.R., Sullivan, D.C., Eds.; Springer: New York, NY, USA, 2016; Part XVII, Chapter 76; pp. 919–926. [Google Scholar]
- Lam, A.K.-Y. Update on Adrenal Tumours in 2017 World Health Organization (WHO) of Endocrine Tumours. Endocr. Pathol. 2017, 28, 213–227. [Google Scholar] [CrossRef]
- Ettaieb, M.H.T.; Van Kuijk, S.M.J.; De Wit-Pastoors, A.; A Feelders, R.; Corssmit, E.P.M.; Eekhoff, E.M.W.; Van Der Valk, P.; Timmers, H.; Kerstens, M.N.; Klümpen, H.-J.; et al. Development and Internal Validation of a Multivariable Prediction Model for Adrenocortical-Carcinoma-Specific Mortality. Cancers 2020, 12, 2720. [Google Scholar] [CrossRef]
- Wanis, K.N.; Kanthan, R. Diagnostic and prognostic features in adrenocortical carcinoma: A single institution case series and review of the literature. World J. Surg. Oncol. 2015, 13, 117. [Google Scholar] [CrossRef]
- Sada, A.; Asaad, M.; Bews, K.A.; Thompson, G.B.; Young, W.F.; Bancos, I.; Farley, D.R.; Dy, B.M.; Lyden, M.L.; Habermann, E.B.; et al. Comparison between functional and non-functional adrenocortical carcinoma. Surgery 2020, 167, 216–223. [Google Scholar] [CrossRef]
- Jeong, Y.; Cho, S.C.; Cho, H.J.; Song, J.S.; Kong, J.S.; Park, J.W.; Ku, Y.H. Estrogen-secreting adrenocortical carcinoma. Yeungnam Univ. J. Med. 2019, 36, 54–58. [Google Scholar] [CrossRef] [PubMed]
- Umphonsathien, M.; Srichomkwun, P.; Buranasupkajorn, P.; Snabboon, T. The coexistence of Cushing syndrome and gynecomastia as the manifestations of adrenocortical carcinoma. Kaohsiung J. Med. Sci. 2018, 34, 705–706. [Google Scholar] [CrossRef] [PubMed]
- Wu, L.; Xie, J.; Jiang, L.; Su, T.; Ye, L.; Zhou, W.; Jiang, Y.; Zhang, C.; Ning, G.; Wang, W. Feminizing Adrenocortical Carcinoma: The Source of Estrogen Production and the Role of Adrenal-Gonadal Dedifferentiation. J. Clin. Endocrinol. Metab. 2018, 103, 3706–3713. [Google Scholar] [CrossRef]
- Chentli, F.; Chabour, F.; Bouchibane, D.; Nouar, N. Feminizing Adrenocortical Carcinoma without Gynecomastia. Oman Med. J. 2017, 32, 349–351. [Google Scholar] [CrossRef] [PubMed]
- Hatano, M.; Takenaka, Y.; Inoue, I.; Homma, K.; Hasegawa, T.; Sasano, H.; Awata, T.; Katayama, S. Feminizing Adrenocortical Carcinoma with Distinct Histopathological Findings. Intern. Med. 2016, 55, 3301–3307. [Google Scholar] [CrossRef] [PubMed]
- Leong, D.; Nyantoro, M.; Shedzad, H.; Robins, P.; Henley, D.; Ryan, S.; Nguyen, H.; Lisewski, D. Management of adrenocortical carcinoma in Western Australia: A perspective over 14 years. ANZ J. Surg. 2021, in press. [Google Scholar] [CrossRef]
- Karimi, F.; Dehghanian, A.; Fallahi, M.; Dalfardi, B. Pure Androgen-Secreting Adrenocortical Carcinoma Presenting with Hypoglycemia. Arch. Iran Med. 2019, 22, 527–530. [Google Scholar]
- Dilrukshi, M.D.S.A.; Wickramarachchi, A.W.; Abeyaratne, D.D.K.; Shine, B.; Jafar-Mohammadi, B.; Somasundaram, N.P. An Adrenocortical Carcinoma Associated with Non-Islet Cell Tumor Hypoglycemia and Aberrant ACTH Production. Case Rep. Endocrinol. 2020, 2020, 2025631. [Google Scholar] [CrossRef]
- De Nattes, T.; Moreau-Grangé, L.; Vezzosi, D.; Haddoux, J.; Hie, M.; Guerrot, D.; Grangé, S. Adrenocortical carcinoma complicated by renal thrombotic microangiopathy, a case-series. BMC Nephrol. 2020, 21, 35. [Google Scholar] [CrossRef]
- Kashiwagi, S.; Amano, R.; Onoda, N.; Noda, S.; Hirata, K.; Asano, Y.; Kurata, K.; Miura, K.; Yamazoe, S.; Kimura, K.; et al. Nonfunctional adrenocortical carcinoma initially presenting as retroperitoneal hemorrhage. BMC Surg. 2015, 15, 46. [Google Scholar] [CrossRef] [PubMed]
- Symeonidis, D.; Chatzinikolaou, I.; Koukoulis, G.; Mamaloudis, I.; Tepetes, K. Adrenocortical Carcinoma Presenting with Signs of Acute Abdomen. Case Rep. Surg. 2013, 2013, 132726. [Google Scholar] [CrossRef]
- Jagtap, S.V.; Desai, S.; Halder, S.; Jagtap, S.S.; Badwe, A.S. Adrenocortical Carcinoma Presenting as A Rupture and Extensive Retroperitoneal Haemorrhage. J. Clin. Diagn. Res. 2014, 8, 117–118. [Google Scholar] [CrossRef] [PubMed]
- Kamilaris, C.D.; Hannah-Shmouni, F.; Stratakis, C.A. Adrenocortical tumorigenesis: Lessons from genetics. Best Pract. Res. Clin. Endocrinol. Metab. 2020, 34, 101428. [Google Scholar] [CrossRef] [PubMed]
- Simonds, W.F.; Varghese, S.; Marx, S.J.; Nieman, L.K. Cushing’s syndrome in multiple endocrine neoplasia type 1. Clin. Endocrinol. 2012, 76, 379–386. [Google Scholar] [CrossRef]
- Domènech, M.; Grau, E.; Solanes, A.; Izquierdo, A.; Del Valle, J.; Carrato, C.; Pineda, M.; Dueñas, N.; Pujol, M.; Lázaro, C.; et al. Characteristics of Adrenocortical Carcinoma Associated With Lynch Syndrome. J. Clin. Endocrinol. Metab. 2021, 106, 318–325. [Google Scholar] [CrossRef]
- Ferreira, A.M.; Brondani, V.B.; Helena, V.P.; Charchar, H.L.S.; Zerbini, M.C.N.; Leite, L.A.S.; Hoff, A.O.; Latronico, A.C.; Mendonca, B.B.; Diz, M.D.P.E.; et al. Clinical spectrum of Li-Fraumeni syndrome/Li-Fraumeni-like syndrome in Brazilian individuals with the TP53 p.R337H mutation. J. Steroid Biochem. Mol. Biol. 2019, 190, 250–255. [Google Scholar] [CrossRef]
- Menon, R.K.; Ferrau, F.; Kurzawinski, T.R.; Rumsby, G.; Freeman, A.; Amin, Z.; Korbonits, M.; Chung, T.-T.L.L. Adrenal cancer in neurofibromatosis type 1: Case report and DNA analysis. Endocrinol. Diabetes Metab. Case Rep. 2014, 2014, 140074. [Google Scholar] [CrossRef]
- Morin, E.; Mete, O.; Wasserman, J.D.; Joshua, A.M.; Asa, S.L.; Ezzat, S. Carney Complex with Adrenal Cortical Carcinoma. J. Clin. Endocrinol. Metab. 2012, 97, E202–E206. [Google Scholar] [CrossRef]
- Anselmo, J.; Medeiros, S.; Carneiro, V.; Greene, E.; Levy, I.; Nesterova, M.; Lyssikatos, C.; Horvath, A.; Carney, J.A.; Stratakis, C.A. A large family with Carney complex caused by the S147G PRKAR1A mutation shows a unique spectrum of disease including adrenocortical cancer. J. Clin. Endocrinol. Metab. 2012, 97, 351–359. [Google Scholar] [CrossRef] [PubMed]
- Traill, Z.; Tuson, J.; Woodham, C. Adrenal carcinoma in a patient with Gardner’s syndrome: Imaging findings. Am. J. Roentgenol. 1995, 165, 1460–1461. [Google Scholar] [CrossRef] [PubMed]
- Agarwal, S.; Sharma, A.; Sharma, D.; Sankhwar, S. Incidentally detected adrenocortical carcinoma in familial adenomatous polyposis: An unusual presentation of a hereditary cancer syndrome. BMJ Case Rep. 2018, 2018, bcr2018226799. [Google Scholar] [CrossRef]
- Shiroky, J.S.; Lerner-Ellis, J.P.; Govindarajan, A.; Urbach, D.R.; Devon, K.M. Characteristics of Adrenal Masses in Familial Adenomatous Polyposis. Dis. Colon Rectum 2018, 61, 679–685. [Google Scholar] [CrossRef] [PubMed]
- Pakalniskis, M.G.; Ishigami, K.; Pakalniskis, B.L.; Fujita, N. Adrenal collision tumour comprised of adrenocortical carcinoma and myelolipoma in a patient with congenital adrenal hyperplasia. J. Med. Imaging Radiat. Oncol. 2020, 64, 67–68. [Google Scholar] [CrossRef]
- Łebek-Szatańska, A.; Nowak, K.M.; Samsel, R.; Roszkowska-Purska, K.; Zgliczyński, W.; Papierska, L. Adrenocortical carcinoma associated with giant bilateral myelolipomas in classic congenital adrenal hyperplasia. Pol. Arch. Intern. Med. 2019, 129, 549–550. [Google Scholar] [CrossRef]
- Varma, T.; Panchani, R.; Goyal, A.; Maskey, R. A case of androgen-secreting adrenal carcinoma with non-classical congenital adrenal hyperplasia. Indian J. Endocrinol. Metab. 2013, 17, S243–S245. [Google Scholar] [CrossRef]
- Yokoyama, H.; Adachi, T.; Tsubouchi, K.; Tanaka, M.; Sasano, H. Non-functioning adrenocortical carcinoma arising in an adrenal rest: Immunohistochemical study of an adult patient. Tohoku J. Exp. Med. 2013, 229, 267–270. [Google Scholar] [CrossRef] [PubMed]
- Salle, L.; Mas, R.; Teissier-Clément, M.-P. Ectopic adrenocortical carcinoma of the ovary: An unexpected outcome. Ann. Endocrinol. 2020, 81, 516–518. [Google Scholar] [CrossRef]
- Chentli, F.; Terki, N.; Azzoug, S. Ectopic adrenocortical carcinoma located in the ovary. Eur. J. Endocrinol. 2016, 175, K17–K23. [Google Scholar] [CrossRef] [PubMed][Green Version]
- Rodriguez, F.J.; Scheithauer, B.W.; Erickson, L.A.; Jenkins, R.B.; Giannini, C. Ectopic Low-grade Adrenocortical Carcinoma in the Spinal Region: Immunohistochemical and molecular cytogenetic study of a pediatric case. Am. J. Surg. Pathol. 2009, 33, 142–148. [Google Scholar] [CrossRef]
- Permana, H.; Darmawan, G.; Ritonga, E.; Kusumawati, M.; Miftahurachman, M.; Soetedjo, N.N. An Interesting Case of Hepatic Adrenocortical Carcinoma. Acta Med. Indones 2018, 50, 257–259. [Google Scholar] [PubMed]
- Zhou, D.-K.; Liu, Z.-H.; Gao, B.-Q.; Wang, W. Giant nonfunctional ectopic adrenocortical carcinoma on the anterior abdominal wall: A case report. World J. Clin. Cases 2019, 7, 2075–2080. [Google Scholar] [CrossRef]
- Wright, J.P.; Montgomery, K.W.; Tierney, J.; Gilbert, J.; Solórzano, C.C.; Idrees, K. Ectopic, retroperitoneal adrenocortical carcinoma in the setting of Lynch syndrome. Fam. Cancer 2018, 17, 381–385. [Google Scholar] [CrossRef] [PubMed]
- Lim, J.S.; Lee, S.-E.; Kim, J.H.; Kim, J.H. Characteristics of adrenocortical carcinoma in South Korea: A registry-based nationwide survey. Endocr. Connect. 2020, 9, 519–529. [Google Scholar] [CrossRef]
- Chatzoulis, G.; Passos, I.; Bakaloudi, D.-R.; Giannakidis, D.; Koumpoulas, A.; Ioannidis, K.; Tsifountoudis, I.; Pappas, D.; Spyridopoulos, P. Correction to: Giant nonfunctioning adrenal tumors: Two case reports and review of the literature. J. Med. Case Rep. 2018, 12, 361. [Google Scholar] [CrossRef]
- Uruc, F.; Urkmez, A.; Yuksel, O.H.; Sahin, A.; Verit, A. Androgen secreting giant adrenocortical carcinoma with no metastases: A case report and review of the literature. Can. Urol. Assoc. J. 2015, 9, E644–E647. [Google Scholar] [CrossRef][Green Version]
- Weiss, L.M.; Medeiros, L.J.; Vickery, A.L., Jr. Pathologic Features of Prognostic Significance in Adrenocortical Carcinoma. Am. J. Surg. Pathol. 1989, 13, 202–206. [Google Scholar] [CrossRef]
- Shekhar, S.; Gubbi, S.; Papadakis, G.Z.; Nilubol, N.; Hannah-Shmouni, F. Adrenocortical carcinoma and pulmonary embolism from tumoral extension. Endocrinol. Diabetes Metab. Case Rep. 2019, 2019, 19-0095. [Google Scholar] [CrossRef]
- Weiss, L.M. Comparative histologic study of 43 metastasizing and nonmetastasizing adrenocortical tumors. Am. J. Surg. Pathol. 1984, 8, 163–169. [Google Scholar] [CrossRef]
- Aubert, S.; Wacrenier, A.; Leroy, X.; Devos, P.; Carnaille, B.; Proye, C.; Wemeau, J.L.; Lecomte-Houcke, M.; Leteurtre, E. Weiss System Revisited: A clinicopathologic and immunohistochemical study of 49 adrenocortical tumors. Am. J. Surg. Pathol. 2002, 26, 1612–1619. [Google Scholar] [CrossRef] [PubMed]
- Duregon, E.; Fassina, A.; Volante, M.; Nesi, G.; Santi, R.; Gatti, G.; Cappellesso, R.; Ciaramella, P.D.; Ventura, L.; Gambacorta, M.; et al. The Reticulin Algorithm for Adrenocortical Tumor Diagnosis: A multicentric validation study on 245 unpublished cases. Am. J. Surg. Pathol. 2013, 37, 1433–1440. [Google Scholar] [CrossRef]
- Volante, M.; Bollito, E.; Sperone, P.; Tavaglione, V.; Daffara, F.; Porpiglia, F.; Terzolo, M.; Berruti, A.; Papotti, M. Clinicopathological study of a series of 92 adrenocortical carcinomas: From a proposal of simplified diagnostic algorithm to prognostic stratification. Histopathology 2009, 55, 535–543. [Google Scholar] [CrossRef] [PubMed]
- Tissier, F.; Aubert, S.; Leteurtre, E.; Al Ghuzlan, A.; Patey, M.; Decaussin, M.; Doucet, L.; Gobet, F.; Hoang, C.; Mazerolles, C.; et al. Adrenocortical Tumors: Improving the practice of the Weiss system through virtual microscopy: A National Program of the French Network INCa-COMETE. Am. J. Surg. Pathol. 2012, 36, 1194–1201. [Google Scholar] [CrossRef] [PubMed]
- Arola, J.; Salmenkivi, K.; Liu, J.; Kahri, A.I.; Heikkilá, P. p53 and Ki67 in adrenocortical tumors. Endocr. Res. 2000, 26, 861–865. [Google Scholar] [CrossRef] [PubMed]
- Soon, P.S.; Gill, A.J.; Benn, D.E.; Clarkson, A.; Robinson, B.G.; McDonald, K.L.; Sidhu, S.B. Microarray gene expression and immunohistochemistry analyses of adrenocortical tumors identify IGF2 and Ki-67 as useful in differentiating carcinomas from adenomas. Endocr. Relat. Cancer 2009, 16, 573–583. [Google Scholar] [CrossRef]
- Duregon, E.; Cappellesso, R.; Maffeis, V.; Zaggia, B.; Ventura, L.; Berruti, A.; Terzolo, M.; Fassina, A.; Volante, M.; Papotti, M. Validation of the prognostic role of the "Helsinki Score” in 225 cases of adrenocortical carcinoma. Hum. Pathol. 2017, 62, 1–7. [Google Scholar] [CrossRef]
- Pennanen, M.; Heiskanen, I.; Sane, T.; Remes, S.; Mustonen, H.; Haglund, C.; Arola, J. Helsinki score—A novel model for prediction of metastases in adrenocortical carcinomas. Hum. Pathol. 2015, 46, 404–410. [Google Scholar] [CrossRef]
- Lam, K.-Y.; Lo, C.-Y. Metastatic tumours of the adrenal glands: A 30-year experience in a teaching hospital. Clin. Endocrinol. 2002, 56, 95–101. [Google Scholar] [CrossRef]
- Lam, A.K. Update on paragangliomas and pheochromocytomas. Turk Patoloji Derg. 2015, 31 (Suppl. 1), 105–112. [Google Scholar] [CrossRef]
- Owen, D.H.; Patel, S.; Wei, L.; Phay, J.E.; Shirley, L.A.; Kirschner, L.S.; Schmidt, C.; Abdel-Misih, S.; Brock, P.; Shah, M.H.; et al. Metastatic Adrenocortical Carcinoma: A Single Institutional Experience. Horm. Cancer 2019, 10, 161–167. [Google Scholar] [CrossRef]
- Kovecsi, A.; Jung, I.; Bara, T.J.; Azamfirei, L.; Kovacs, Z.; Gurzu, S. First Case Report of a Sporadic Adrenocortical Carcinoma With Gastric Metastasis and a Synchronous Gastrointestinal Stromal Tumor of the Stomach. Medicine 2015, 94, e1549. [Google Scholar] [CrossRef] [PubMed]
- Baur, J.; Schedelbeck, U.; Pulzer, A.; Bluemel, C.; Wild, V.; Fassnacht, M.; Steger, U. A case report of a solitary pancreatic metastasis of an adrenocortical carcinoma. BMC Surg. 2015, 15, 93. [Google Scholar] [CrossRef] [PubMed]
- Satter, E.K.; Barnette, D.J. Adrenocortical carcinoma with delayed cutaneous metastasis. J. Cutan. Pathol. 2008, 35, 677–680. [Google Scholar] [CrossRef]
- Souteiro, P.; Donato, S.; Costa, C.; Pereira, C.A.; Simões-Pereira, J.; Oliveira, J.; Belo, S.; Santos, A.P.; Cardoso, H.; Leite, V.; et al. Diagnosis, treatment, and survival analysis of adrenocortical carcinomas: A multicentric study. Hormons 2020, 19, 197–203. [Google Scholar] [CrossRef] [PubMed]
- Dominici, A.; Rizzo, M.; Travaglini, F.; Nesi, G.; Franchi, A. Non-functioning adrenal cortical carcinoma presenting with metastasis to the tongue. J. Oral Pathol. Med. 2003, 32, 185–187. [Google Scholar] [CrossRef] [PubMed]
- Schreiber, A.R.; Kar, A.; Goodspeed, A.E.; Pozdeyev, N.; Somerset, H.; Raeburn, C.D.; Tan, A.C.; Leong, S.; Wierman, M.E.; Kiseljak-Vassiliades, K. Leptomeningeal Metastasis from Adrenocortical Carcinoma: A Case Report. J. Endocr. Soc. 2020, 4, bvaa017. [Google Scholar] [CrossRef]
- Burotto, M.; Tageja, N.; Rosenberg, A.Z.; Mahalingam, S.; Quezado, M.; Velarde, M.; Edgerly, M.; Fojo, T. Brain metastasis in patients with adrenocortical carcinoma: A clinical series. J. Clin. Endocrinol. Metab. 2015, 100, 331–336. [Google Scholar] [CrossRef] [PubMed][Green Version]
- Tkachenko, R.; Golovko, A.; Kuryk, O. A case report of late local relapse of adrenocortical carcinoma 18 years after adrenalectomy. Exp. Oncol. 2018, 40, 251–253. [Google Scholar] [CrossRef]
- Bergeat, D.; Rayar, M.; Beuzit, L.; Sandri, G.B.L.; Dagher, J.; Merdrignac, A.; Tanguy, L.; Boudjema, K.; Sulpice, L.; Meunier, B. An unusual case of adrenocortical carcinoma with liver metastasis that occurred at 23 years after surgery. Hepatobiliary Surg. Nutr. 2016, 5, 265–268. [Google Scholar] [CrossRef]
- Beuschlein, F.; Weigel, J.; Saeger, W.; Kroiss, M.; Wild, V.; Daffara, F.; Libé, R.; Ardito, A.; Al Ghuzlan, A.; Quinkler, M.; et al. Major Prognostic Role of Ki67 in Localized Adrenocortical Carcinoma After Complete Resection. J. Clin. Endocrinol. Metab. 2015, 100, 841–849. [Google Scholar] [CrossRef] [PubMed]
- Chehade, M.; Bullock, M.; Glover, A.R.; Hutvagner, G.; Sidhu, S.B. Key MicroRNA’s and Their Targetome in Adrenocortical Cancer. Cancers 2020, 12, 2198. [Google Scholar] [CrossRef]
- Billon, E.; Finetti, P.; Bertucci, A.; Niccoli, P.; Birnbaum, D.; Mamessier, E.; Bertucci, F. PDL1 expression is associated with longer postoperative, survival in adrenocortical carcinoma. OncoImmunology 2019, 8, e1655362. [Google Scholar] [CrossRef]
- Duregon, E.; Volante, M.; Giorcelli, J.; Terzolo, M.; Lalli, E.; Papotti, M.G. Diagnostic and prognostic role of steroidogenic factor 1 in adrenocortical carcinoma: A validation study focusing on clinical and pathologic correlates. Hum. Pathol. 2013, 44, 822–828. [Google Scholar] [CrossRef]
- Lacombe, A.M.F.; Soares, I.C.; Mariani, B.M.D.P.; Nishi, M.Y.; Bezerra-Neto, J.E.; Charchar, H.D.S.; Brondani, V.B.; Tanno, F.; Srougi, V.; Chambo, J.L.; et al. Sterol O-Acyl Transferase 1 as a Prognostic Marker of Adrenocortical Carcinoma. Cancers 2020, 12, 247. [Google Scholar] [CrossRef]
- Wang, S.; Gao, W.-C.; Chen, S.-S.; Bai, L.; Luo, L.; Zheng, X.-G.; Luo, Y. Primary site surgery for metastatic adrenocortical carcinoma improves survival outcomes: An analysis of a population-based database. OncoTargets Ther. 2017, 10, 5311–5315. [Google Scholar] [CrossRef]
- Kong, J.; Zheng, J.; Cai, J.; Wu, S.; Diao, X.; Xie, W.; Chen, X.; Liao, C.; Yu, H.; Fan, X.; et al. A nomogram for individualized estimation of survival among adult patients with adrenocortical carcinoma after surgery: A retrospective analysis and multicenter validation study. Cancer Commun. 2019, 39, 80. [Google Scholar] [CrossRef]
- McAteer, J.P.; Huaco, J.A.; Gow, K.W. Predictors of survival in pediatric adrenocortical carcinoma: A Surveillance, Epidemiology, and End Results (SEER) program study. J. Pediatr. Surg. 2013, 48, 1025–1031. [Google Scholar] [CrossRef]
- Picard, C.; Orbach, D.; Carton, M.; Brugieres, L.; Renaudin, K.; Aubert, S.; Berrebi, D.; Galmiche, L.; Dujardin, F.; Leblond, P.; et al. Revisiting the role of the pathological grading in pediatric adrenal cortical tumors: Results from a national cohort study with pathological review. Mod. Pathol. 2019, 32, 546–559. [Google Scholar] [CrossRef]
- Balmant, N.V.; de Souza Reis, R.; de Oliveira Santos, M.; de Camargo, B.; Gatta, G. Rare cancers in childhood and adolescence in Brazil: First report of data from 19 population-based cancer registries. Cancer 2019, 125, 2638–2646. [Google Scholar] [CrossRef] [PubMed]
- Costa, T.E.J.; Gerber, V.K.Q.; Ibañez, H.C.; Melanda, V.S.; Parise, I.Z.S.; Watanabe, F.M.; Pianovski, M.A.D.; Fiori, C.M.C.M.; Fabro, A.L.M.R.; Silva, D.B.D.; et al. Penetrance of the TP53 R337H Mutation and Pediatric Adrenocortical Carcinoma Incidence Associated with Environmental Influences in a 12-Year Observational Cohort in Southern Brazil. Cancers 2019, 11, 1804. [Google Scholar] [CrossRef] [PubMed]
- Zekri, W.; Hammad, M.; Rashed, W.M.; Ahmed, G.; Elshafie, M.; Adly, M.H.; Elborai, Y.; Abdalla, B.; Taha, H.; Elkinaae, N.; et al. The outcome of childhood adrenocortical carcinoma in Egypt: A model from developing countries. Pediatr. Hematol. Oncol. 2020, 37, 198–210. [Google Scholar] [CrossRef] [PubMed]
- Tang, Y.-J.; Yu, T.-T.; Ma, J.; Zhou, Y.; Xu, M.; Gao, Y.-J. Composite Adrenocortical Carcinoma and Neuroblastoma in an Infant with a TP53 Germline Mutation: A case report and literature review. J. Pediatr. Hematol. Oncol. 2019, 41, 399–401. [Google Scholar] [CrossRef]
- Chauhan, D.S.; Rahar, S.; Singh, S.; Ahuja, A.; Bhardwaj, M.; Sen, A. Adrenocortical carcinoma in a 6-month-old infant. J. Indian Assoc. Pediatr. Surg. 2020, 25, 310–313. [Google Scholar] [CrossRef]
- Kwon, A.; Choi, Y.; Jung, J.W.; Suh, J.; Kim, H.-S. Using Etomidate in a 2-month-old Infant with Cushing Syndrome due to Adrenocortical Carcinoma. J. Clin. Res. Pediatr. Endocrinol. 2021, in press. [Google Scholar] [CrossRef]
- Gupta, N.; Rivera, M.; Novotny, P.; Rodriguez, V.; Bancos, I.; Lteif, A. Adrenocortical Carcinoma in Children: A Clinicopathological Analysis of 41 Patients at the Mayo Clinic from 1950 to 2017. Horm. Res. Paediatr. 2018, 90, 8–18. [Google Scholar] [CrossRef]
- Malhotra, S.; Waikar, A.R.; Singh, P.; Guarini, L.; Jacobson-Dickman, E.; Motaghedi, R.; Kazachkova, I. Rare Presentation of Adrenocortical Carcinoma in a 4-Month-Old Boy. World J. Oncol. 2017, 8, 81–85. [Google Scholar] [CrossRef]
- Takeuchi, T.; Yoto, Y.; Ishii, A.; Tsugawa, T.; Yamamoto, M.; Hori, T.; Kamasaki, H.; Nogami, K.; Oda, T.; Nui, A.; et al. Adrenocortical carcinoma characterized by gynecomastia: A case report. Clin. Pediatr. Endocrinol. 2018, 27, 9–18. [Google Scholar] [CrossRef] [PubMed]
- Lin, M.-T.; Shieh, J.-J.; Chang, J.H.-M.; Chang, S.-W.; Chen, T.-C.; Hsu, W.-H. Early detection of adrenocortical carcinoma in a child with Li-Fraumeni syndrome. Pediatr. Blood Cancer 2009, 52, 541–544. [Google Scholar] [CrossRef]
- Choong, S.S.; Latiff, Z.A.; Mohamed, M.; Lim, L.L.; Chen, K.S.; Vengidasan, L.; Razali, H.; Abdul Rahman, E.J.; Ariffin, H. Malaysian Society of Paediatric Haematology-Oncology. Childhood adrenocortical carcinoma as a sentinel cancer for detecting families with germline TP53 mutations. Clin Genet. 2012, 82, 564–568. [Google Scholar] [CrossRef] [PubMed]
- Wang, W.; Han, R.; Ye, L.; Xie, J.; Tao, B.; Sun, F.; Zhuo, R.; Chen, X.; Deng, X.; Ye, C.; et al. Adrenocortical carcinoma in patients with MEN1: A kindred report and review of the literature. Endocr. Connect. 2019, 8, 230–238. [Google Scholar] [CrossRef]
- Wagner, A.S.; Fleitz, J.M.; Kleinschmidt-DeMasters, B.K. Pediatric Adrenal Cortical Carcinoma: Brain Metastases and Relationship to NF-1, Case Reports and Review of the Literature. J. Neuro-Oncol. 2005, 75, 127–133. [Google Scholar] [CrossRef]
- Rauch, L.B.; Erdman, S.H.; Aldrink, J.H.; Ranalli, M.A.; Prasad, V.; Hoffman, R.P. Fatal Extraintestinal Adrenal Malignancy in a 12-year-old Girl with Familial Adenomatous Polyposis. J. Pediatr. Gastroenterol. Nutr. 2014, 58, e19–e20. [Google Scholar] [CrossRef]
- Eltan, M.; Arslan Ates, E.; Cerit, K.; Menevse, T.S.; Kaygusuz, S.B.; Eker, N.; Bagci, P.; Ergelen, R.; Turan, S.; Bereket, A.; et al. Adrenocortical carcinoma in atypical Beckwith-Wiedemann syndrome due to loss of methylation at imprinting control region 2. Pediatr. Blood Cancer 2020, 67, e28042. [Google Scholar] [CrossRef] [PubMed]
- Cöktü, S.; Spix, C.; Kaiser, M.; Beygo, J.; Kleinle, S.; Bachmann, N.; Kohlschmidt, N.; Prawitt, D.; Beckmann, A.; Klaes, R.; et al. Cancer incidence and spectrum among children with genetically confirmed Beckwith-Wiedemann spectrum in Germany: A retrospective cohort study. Br. J. Cancer 2020, 123, 619–623. [Google Scholar] [CrossRef]
- Gulack, B.C.; Rialon, K.L.; Englum, B.R.; Kim, J.; Talbot, L.J.; Adibe, O.O.; E Rice, H.; Tracy, E.T. Factors associated with survival in pediatric adrenocortical carcinoma: An analysis of the National Cancer Data Base (NCDB). J. Pediatr. Surg. 2016, 51, 172–177. [Google Scholar] [CrossRef]
- Wieneke, J.A.; Thompson, L.D.; Heffess, C.S. Adrenal cortical neoplasms in the pediatric population: A clinicopathologic and immunophenotypic analysis of 83 patients. Am. J. Surg. Pathol. 2003, 27, 867–881. [Google Scholar] [CrossRef]
- Jehangir, S.; Nanjundaiah, P.; Sigamani, E.; Burad, D.; Manipadam, M.T.; Lea, V.; Ly, T.; Holland, A.J.A. Pathological prognostication of paediatric adrenocortical tumours: Is a gold standard emerging? Pediatr. Blood Cancer 2019, 66, e27567. [Google Scholar] [CrossRef]
- Chatterjee, G.; DasGupta, S.; Mukherjee, G.; Sengupta, M.; Roy, P.; Arun, I.; Datta, C.; Mishra, P.K.; Banerjee, S.; Chatterjee, U. Usefulness of Wieneke criteria in assessing morphologic characteristics of adrenocortical tumors in children. Pediatr. Surg. Int. 2015, 31, 563–571. [Google Scholar] [CrossRef]
- Das, S.; Sengupta, M.; Islam, N.; Roy, P.; Datta, C.; Mishra, P.K.; Banerjee, S.; Chaudhuri, M.K.; Chatterjee, U. Weineke criteria, Ki-67 index and p53 status to study pediatric adrenocortical tumors: Is there a correlation? J. Pediatr. Surg. 2016, 51, 1795–1800. [Google Scholar] [CrossRef]
- Jarzembowski, J.A. New prognostic indicators in pediatric adrenal tumors: Neuroblastoma and adrenal cortical tumors, can we predict when these will behave badly? Surg. Pathol. Clin. 2020, 13, 625–641. [Google Scholar] [CrossRef]
- Kerkhofs, T.M.; Ettaieb, M.H.; Verhoeven, R.H.; Kaspers, G.J.; Tissing, W.J.; Loeffen, J.; Van den Heuvel-Eibrink, M.M.; De Krijger, R.R.; Haak, H.R. Adrenocortical carcinoma in children: First population-based clinicopathological study with long-term follow-up. Oncol. Rep. 2014, 32, 2836–2844. [Google Scholar] [CrossRef] [PubMed]
- Zambaiti, E.; Duci, M.; De Corti, F.; Gamba, P.; Dall’Igna, P.; Ghidini, F.; Virgone, C. Clinical prognostic factors in pediatric adrenocortical tumors: A meta-analysis. Pediatr. Blood Cancer 2021, e28836, in press. [Google Scholar] [CrossRef]
- Weiss, L.M.; Bertagna, X.; Chrousos, G.P.; Kawashima, A.; Kleihues, P.; Koch, C.A.; Giordano, T.J.; Medeiros, L.J.; Merino, M.J.; Ordonez, N.G.; et al. Adrenal cortical carcinoma. In WHO Third Edition Word Health Organization Classification of Tumours: Pathology and Genetics of Tumours of Endocrine Organs, 3rd ed.; DeLellis, R.A., Lloyd, R.V., Heitz, P.U., Eng, C., Eds.; IARC: Lyon, France, 2004; Chapter 3; pp. 139–142. [Google Scholar]
- Kanitra, J.J.; Hardaway, J.C.; Soleimani, T.; Koehler, T.J.; McLeod, M.K.; Kavuturu, S. Adrenocortical oncocytic neoplasm: A systematic review. Surgery 2018, 164, 1351–1359. [Google Scholar] [CrossRef]
- Renaudin, K.; Smati, S.; Wargny, M.; Al Ghuzlan, A.; Aubert, S.; Leteurtre, E.; Patey, M.; Sibony, M.; Sturm, N.; Tissier, F.; et al. Clinicopathological description of 43 oncocytic adrenocortical tumors: Importance of Ki-67 in histoprognostic evaluation. Mod. Pathol. 2018, 31, 1708–1716. [Google Scholar] [CrossRef] [PubMed]
- Vatrano, S.; Volante, M.; Duregon, E.; Giorcelli, J.; Izzo, S.; Rapa, I.; Votta, A.; Germano, A.; Scagliotti, G.; Berruti, A.; et al. Detailed genomic characterization identifies high heterogeneity and histotype-specific genomic profiles in adrenocortical carcinomas. Mod. Pathol. 2018, 31, 1257–1269. [Google Scholar] [CrossRef]
- el-Naggar, A.K.; Evans, D.B.; Mackay, B. Oncocytic adrenal cortical carcinoma. Ultrastruct Pathol. 1991, 15, 549–556. [Google Scholar] [CrossRef] [PubMed]
- Alexander, A.; Paulose, K.P. Oncocytic variant of adrenal carcinoma presenting as Cushing’s syndrome. J. Assoc. Phys. India 1998, 46, 235–237. [Google Scholar]
- Krishnamurthy, S.; Ordóñez, N.G.; Shelton, T.O.; Ayala, A.G.; Sneige, N. Fine-needle aspiration cytology of a case of oncocytic adrenocortical carcinoma. Diagn Cytopathol. 2000, 22, 299–303. [Google Scholar] [CrossRef]
- Kurek, R.; Von Knobloch, R.; Feek, U.; Heidenreich, A.; Hofmann, R. Local recurrence of an oncocytic adrenocortical carcinoma with ovary metastasis. J. Urol. 2001, 166, 985. [Google Scholar] [CrossRef]
- Hoang, M.P.; Ayala, A.G.; Albores-Saavedra, J. Oncocytic adrenocortical carcinoma: A morphologic, immunohistochemical and ultrastructural study of four cases. Mod. Pathol. 2002, 15, 973–978. [Google Scholar] [CrossRef] [PubMed]
- Bisceglia, M.; Ludovico, O.; Di Mattia, A.; Ben-Dor, D.; Sandbank, J.; Pasquinelli, G.; Lau, S.K.; Weiss, L.M. Adrenocortical oncocytic tumors: Report of 10 cases and review of the literature. Int. J. Surg. Pathol. 2004, 12, 231–243. [Google Scholar] [CrossRef] [PubMed]
- Song, S.Y.; Park, S.; Kim, S.R.; Suh, Y.L. Oncocytic adrenocortical carcinomas: A pathological and immunohistochemical study of four cases in comparison with conventional adrenocortical carcinomas. Pathol. Int. 2004, 54, 603–610. [Google Scholar] [CrossRef]
- Tanaka, K.; Kumano, Y.; Kanomata, N.; Takeda, M.; Hara, I.; Fujisawa, M.; Kawabata, G.; Kamidono, S. Oncocytic adrenocortical carcinoma. Urology 2004, 64, 376–377. [Google Scholar] [CrossRef]
- Gołkowski, F.; Buziak-Bereza, M.; Huszno, B.; Bałdys-Waligórska, A.; Stefańska, A.; Budzyński, A.; Okoń, K.; Chrzan, R.; Urbanik, A. The unique case of adrenocortical malignant and functioning oncocytic tumour. Exp. Clin. Endocrinol. Diabetes 2007, 115, 401–404. [Google Scholar] [CrossRef]
- Ali, A.E.; Raphael, S.J. Functional oncocytic adrenocortical carcinoma. Endocr. Pathol. 2007, 18, 187–189. [Google Scholar] [CrossRef]
- Argyriou, P.; Zisis, C.; Alevizopoulos, N.; Kefaloyannis, E.M.; Gennatas, C.; Petraki, C.D. Adrenocortical oncocytic carcinoma with recurrent metastases: A case report and review of the literature. World J. Surg. Oncol. 2008, 6, 134. [Google Scholar] [CrossRef]
- Ohtake, H.; Kawamura, H.; Matsuzaki, M.; Yokoyama, E.; Kitajima, M.; Onizuka, S.; Yamakawa, M. Oncocytic adrenocortical carcinoma. Ann. Diagn. Pathol. 2010, 14, 204–208. [Google Scholar] [CrossRef] [PubMed]
- Mwandila, M.; Waller, H.; Stott, V.; Mercer, P. A case of a testosterone-secreting oncocytic adrenocortical carcinoma. N. Z. Med. J. 2010, 123, 80–82. [Google Scholar] [PubMed]
- Wong, D.D.; Spagnolo, D.V.; Bisceglia, M.; Havlat, M.; McCallum, D.; Platten, M.A. Oncocytic adrenocortical neoplasms—A clinicopathologic study of 13 new cases emphasizing the importance of their recognition. Hum. Pathol. 2011, 42, 489–499. [Google Scholar] [CrossRef] [PubMed]
- Tirkes, T.; Gokaslan, T.; McCrea, J.; Sandrasegaran, K.; Hollar, M.A.; Akisik, F.; Lall, C. Oncocytic neoplasms of the adrenal gland. AJR Am. J. Roentgenol. 2011, 196, 592–596. [Google Scholar] [CrossRef]
- Kalra, S.; Manikandan, R.; Srinivas, B.H. Oncocytic adrenocortical carcinoma—A rare pathological variant. BMJ Case Rep. 2015, 2015, bcr2014208818. [Google Scholar] [CrossRef]
- Carré, J.; Grunenwald, S.; Vezzosi, D.; Mazerolles, C.; Bennet, A.; Meduri, G.; Caron, P. Virilizing oncocytic adrenocortical carcinoma: Clinical and immunohistochemical studies. Gynecol. Endocrinol. 2016, 32, 662–666. [Google Scholar] [CrossRef]
- Ertan, Y.; Argon, A.; Özdemir, M.; Yürekli, B.P.S.; Dökümcü, Z.; Makay, Ö. Oncocytic adreno cortical tumors: Pathological features of 16 cases and review of the literature. J. Environ. Pathol. Toxicol. Oncol. 2017, 36, 237–244. [Google Scholar] [CrossRef]
- Sumner, E.; Acar, B.C.; Acker, M.R. Oncocytic adrenocortical carcinoma: A rare adrenal tumor subtype. Can. J. Urol. 2017, 24, 8865–8867. [Google Scholar]
- Fonseca, D.; Murthy, S.S.; Tagore, K.R.; Rao, B.V.; Thamminedi, S.R.; Raju, K.V.V.N.; Sharma, R.; Challa, S. Diagnosis of adrenocortical tumors by reticulin algorithm. Indian J. Endocrinol. Metab. 2017, 21, 734–737. [Google Scholar] [CrossRef]
- Al Balooshi, B.; Miyanath, S.; Elhennawy, A.; Saeedi, Y.; Tirmazy, S.H.; Muhasin, M.; Ray, B.; Al Sharhan, M.; Hotait, H.; Houcinat, Y.; et al. Adrenocortical oncocytic carcinoma and papillary thyroid carcinoma incidentally detected in an asymptomatic patient by F-18 FDG PET/CT. Asia Ocean J. Nucl. Med. Biol. 2018, 6, 179–185. [Google Scholar] [CrossRef]
- Kaur, R.J.; Pichurin, P.N.; Hines, J.M.; Singh, R.J.; Grebe, S.K.; Bancos, I. Adrenal cortical carcinoma associated with Lynch syndrome: A case report and review of literature. J. Endocr. Soc. 2019, 3, 784–790. [Google Scholar] [CrossRef]
- Mills, J.K.; Khalil, M.; Pasieka, J.; Kong, S.; Xu, Y.; Harvey, A. Oncocytic subtypes of adrenal cortical carcinoma: Aggressive in appearance yet more indolent in behavior? Surgery 2019, 166, 524–533. [Google Scholar] [CrossRef]
- Lehr, I.; Gillis, C.; French, C.; Simmonds, A.; Organ, M. Images—Oncocytic adrenocortical carcinoma: A rare tumor variant. Can. Urol. Assoc. J. 2020, 14, E45. [Google Scholar] [CrossRef] [PubMed]
- Harada, K.; Yasuda, M.; Nakano, Y.; Yoshida, K.; Umeda, Y.; Yagi, T.; Yamazaki, Y.; Sasano, H.; Otsuka, F. A rare case of oncocytic adrenocortical carcinoma clinically presented as an incidentaloma. Endocr. J. 2020, 67, 883–888. [Google Scholar] [CrossRef] [PubMed]
- Akin, O.; Atas, E.; Atasoy, İ.A.; Durmaz, N.; Kartal, Ö. Two subsequent metachroneus solid tumors: Oncocytic variant adrenocortical carcinoma and rhabdomyosarcoma of childhood: Case report and literature review. J. Clin. Res. Pediatr. Endocrinol 2021, in press. [Google Scholar] [CrossRef]
- Wadhwani, N.; Mais, D.; Kaushik, D.; Kitano, M. A case of adrenocortical oncocytic carcinoma arising in ectopic adrenal tissue: A multidisciplinary diagnostic challenge. Ecancermedicalscience 2020, 14, 1135. [Google Scholar] [CrossRef]
- Kasem, K.; Lam, A.K. Adrenal oncocytic phaeochromocytoma with putative adverse histologic features: A unique case report and review of the literature. Endocr. Pathol. 2014, 25, 416–421. [Google Scholar] [CrossRef] [PubMed]
- Tang, C.K.; Harriman, B.B.; Toker, C. Myxoid adrenal cortical carcinoma: A light and electron microscopic study. Arch. Pathol. Lab. Med. 1979, 103, 635–638. [Google Scholar]
- Forsthoefel, K.F. Myxoid adrenal cortical carcinoma. A case report with differential diagnostic considerations. Arch. Pathol. Lab. Med. 1994, 118, 1151–1153. [Google Scholar]
- Brown, F.M.; Gaffey, T.A.; Wold, L.E.; Lloyd, R.V. Myxoid neoplasms of the adrenal cortex: A rare histologic variant. Am. J. Surg. Pathol. 2000, 24, 396–401. [Google Scholar] [CrossRef]
- Izumi, M.; Serizawa, H.; Iwaya, K.; Takeda, K.; Sasano, H.; Mukai, K. A case of myxoid adrenocortical carcinoma with extensive lipomatous metaplasia. Arch. Pathol. Lab. Med. 2003, 127, 227–230. [Google Scholar] [CrossRef]
- Suresh, B.; Kishore, T.A.; Albert, A.S.; Joy, A. Myxoid adrenal cortical carcinoma—A rare variant of adrenocortical carcinoma. Indian J. Med. Sci. 2005, 59, 505–507. [Google Scholar] [CrossRef][Green Version]
- Karim, R.Z.; Wills, E.J.; McCarthy, S.W.; Scolyer, R.A. Myxoid variant of adrenocortical carcinoma: Report of a unique case. Pathol. Int. 2006, 56, 89–94. [Google Scholar] [CrossRef] [PubMed]
- Hsieh, M.S.; Chen, J.H.; Lin, L.W. Myxoid adrenal cortical carcinoma presenting as primary hyperaldosteronism: Case report and review of the literature. Int. J. Surg. Pathol. 2011, 19, 803–807. [Google Scholar] [CrossRef]
- Papotti, M.; Volante, M.; Duregon, E.; Delsedime, L.; Terzolo, M.; Berruti, A.; Rosai, J. Adrenocortical tumors with myxoid features: A distinct morphologic and phenotypical variant exhibiting malignant behavior. Am. J. Surg. Pathol. 2010, 34, 973–983. [Google Scholar] [CrossRef]
- Zhang, J.; Sun, J.; Liang, Z.; Gao, J.; Zeng, X.; Liu, T. Myxoid adrenocortical neoplasms: A study of the clinicopathologic features and EGFR gene status of ten Chinese cases. Am. J. Clin. Pathol. 2011, 136, 783–792. [Google Scholar] [CrossRef]
- Weissferdt, A.; Phan, A.; Suster, S.; Moran, C.A. Myxoid adrenocortical carcinoma: A clinicopathologic and immunohistochemical study of 7 cases, including 1 case with lipomatous metaplasia. Am. J. Clin. Pathol. 2013, 139, 780–786. [Google Scholar] [CrossRef] [PubMed]
- Gurzu, S.; Szentirmay, Z.; Bara, T.; Bara, T.; Jung, I., Jr. Myxoid variant of adrenocortical carcinoma: A report of two illustrative cases and a brief review of the literature. Pathology 2014, 46, 83–85. [Google Scholar] [CrossRef]
- Mandal, P.K.; Sinha, M.G. Cytodiagnosis of myxoid adrenocortical carcinoma and role of immunocytochemistry to differentiate it from renal cell carcinoma. J. Cytol. 2014, 31, 111–113. [Google Scholar] [CrossRef]
- Sung, T.Y.; Choi, Y.M.; Kim, W.G.; Lee, Y.M.; Kim, T.Y.; Shong, Y.K.; Kim, W.B.; Song, D.E. Myxoid and sarcomatoid variants of adrenocortical carcinoma: Analysis of rare variants in single tertiary care center. J. Korean Med. Sci. 2017, 32, 764–771. [Google Scholar] [CrossRef] [PubMed]
- Harada, K.; Yasuda, M.; Hasegawa, K.; Yamazaki, Y.; Sasano, H.; Otsuka, F. A novel case of myxoid variant of adrenocortical carcinoma in a patient with multiple endocrine neoplasia type 1. Endocr. J. 2019, 66, 739–744. [Google Scholar] [CrossRef]
- Johnson, G.; Thalody, K.; Kapur, U.; Nguyen, T.T. Robot-assisted laparoscopic adrenalectomy for rare myxoid adrenocortical carcinoma. Case Rep. Urol. 2019, 2019, 9794345. [Google Scholar] [CrossRef]
- Raparia, K.; Ayala, A.G.; Sienko, A.; Zhai, Q.J.; Ro, J.Y. Myxoid adrenal cortical neoplasms. Ann. Diagn. Pathol. 2008, 12, 344–348. [Google Scholar] [CrossRef]
- Solcia, E.; Klöppel, G.; Sobin, L.H. In collaboration with 9 Pathologists from 4 countries. Tumours of the adrenal cortex. In World Health Organization International Histological Classification of Tumours: Histological Typing of Endocrine Tumours, 2nd ed.; Solcia, E., Klöppel, G., Sobin, L.H., Eds.; In Collaboration with 9 Pathologists from 4 Countries; Springer: Berlin, Germany, 2000; Chapter 2.2.1; p. 33. [Google Scholar]
- Okazumi, S.; Asano, T.; Ryu, M.; Nagashima, T.; Odaka, M.; Isono, K.; Nishizawa, T. Surgical resection of adrenal carcinoma extending into the vena cava, rightatrium and ventricle: Case report and review of the literature. Nihon Geka Gakkai Zasshi 1987, 88, 231–238. (In Japanese) [Google Scholar]
- Collina, G.; Maldarizzi, F.; Betts, C.M.; Eusebi, V. Primary sarcomatoid carcinoma of the adrenal gland. First case report. Virchows Arch. A Pathol. Anat. Histopathol. 1989, 415, 161–167. [Google Scholar] [CrossRef] [PubMed]
- Decorato, J.W.; Gruber, H.; Petti, M.; Levowitz, B.S. Adrenal carcinosarcoma. J. Surg. Oncol. 1990, 45, 134–136. [Google Scholar] [CrossRef] [PubMed]
- Fischler, D.F.; Nunez, C.; Levin, H.S.; McMahon, J.T.; Sheeler, L.R.; Adelstein, D.J. Adrenal carcinosarcoma presenting in a woman with clinical signs of virilization. a case report with immunohistochemical and ultrastructural findings. Am. J. Surg. Pathol. 1992, 16, 626–631. [Google Scholar] [CrossRef] [PubMed]
- Barksdale, S.K.; Marincola, F.M.; Jaffe, G. Carcinosarcoma of the adrenal cortex presenting with mineralocorticoid excess. Am. J. Surg. Pathol. 1993, 17, 941–945. [Google Scholar] [CrossRef]
- Lee, M.S.; Park, I.A.; Chi, J.G.; Ham, E.K.; Lee, K.C.; Lee, C.W. Adrenal carcinosarcoma—A case report. J. Korean Med. Sci. 1997, 12, 374–377. [Google Scholar] [CrossRef]
- Sturm, N.; Moulai, N.; Laverrière, M.H.; Chabre, O.; Descotes, J.L.; Brambilla, E. Primary adrenocortical sarcomatoid carcinoma: Case report and review of literature. Virchows Arch. 2008, 452, 215–219. [Google Scholar] [CrossRef]
- Coli, A.; Di Giorgio, A.; Castri, F.; Destito, C.; Marin, A.W.; Bigotti, G. Sarcomatoid carcinoma of the adrenal gland: A case report and review of literature. Pathol. Res. Pract. 2010, 206, 59–65. [Google Scholar] [CrossRef]
- Feng, Y.C.; Yang, Z.G.; Chen, T.W.; Su, X.Y.; Deng, W.; Wang, Q.L. Adrenal sarcomatoid carcinoma: A rare case depicted on multi-detector row computed tomography. Indian J. Med. Sci. 2010, 64, 37–40. [Google Scholar] [CrossRef] [PubMed]
- Sasaki, K.; Desimone, M.; Rao, H.R.; Huang, G.J.; Seethala, R.R. Adrenocortical carcinosarcoma: A case report and review of the literature. Diagn. Pathol. 2010, 5, 51. [Google Scholar] [CrossRef]
- Bertolini, F.; Rossi, G.; Fiocchi, F.; Giacometti, M.; Fontana, A.; Gibertini, M.C.; Roncucci, L.; Luppi, G.; Torricelli, P.; Rossi, A.; et al. Primary adrenal gland carcinosarcoma associated with metastatic rectal cancer: A hitherto unreported collision tumor. Tumori 2011, 97, 27e–30e. [Google Scholar] [CrossRef]
- Yan, J.J.; Sun, A.J.; Ren, Y.; Hou, C. Primary adrenocortical sarcomatoid carcinoma: Report of a case. Can Urol. Assoc. J. 2012, 6, E189–E191. [Google Scholar] [CrossRef]
- Thway, K.; Olmos, D.; Shah, C.; Flora, R.; Shipley, J.; Fisher, C. Oncocytic adrenal cortical carcinosarcoma with pleomorphic rhabdomyosarcomatous metastases. Am. J. Surg. Pathol. 2012, 36, 470–477. [Google Scholar] [CrossRef] [PubMed]
- Kao, C.S.; Grignon, D.J.; Ulbright, T.M.; Idrees, M.T. A case report of adrenocortical carcinosarcoma with oncocytic and primitive neuroectodermal-like features. Hum. Pathol. 2013, 44, 1947–1955. [Google Scholar] [CrossRef]
- Shaikh, A.S.; Bakhshi, G.D.; Khan, A.S.; Jamadar, N.M.; Nirmala, A.K.; Raza, A.A. Primary adrenal sarcomatoid carcinoma. Clin. Pract. 2014, 4, 604. [Google Scholar] [CrossRef] [PubMed]
- Mark, D.; Boyd, C.; Eatock, F. Adrenal sarcomatoid carcinoma: A case report and review of the literature. Ulst. Med. J. 2014, 83, 89–92. [Google Scholar]
- Wei, Y.B.; Gao, Y.L.; Wu, H.T.; Ou-Yang, S.F.; Xu, T.; Mao, D.F.; Yang, J.R. Rare incidence of primary adrenocortical carcinosarcoma: A case report and literature review. Oncol. Lett. 2015, 9, 153–158. [Google Scholar] [CrossRef][Green Version]
- Turhan Iyidir, O.; Cerit, E.T.; Özkan, Ç.; Altınova, E.; Çimen, A.R.; Sözen, S.; Kerem, M.; Aktürk, M.; Memiş, L.; Törüner, B.; et al. A case report of bilateral adrenal sarcomatoid carcinoma. Case Rep. Surg. 2016, 2016, 3768258. [Google Scholar] [CrossRef]
- Ishikawa, N.; Nagase, M.; Takami, S.; Araki, A.; Ishikawa, N.; Koike, C.; Shiina, H.; Maruyama, R. A case report of bilateral sarcomatoid carcinoma of adrenal glands with adrenal insufficiency. Int. J. Surg. Pathol. 2016, 24, 743–748. [Google Scholar] [CrossRef]
- Papathomas, T.G.; Duregon, E.; Korpershoek, E.; Restuccia, D.F.; van Marion, R.; Cappellesso, R.; Sturm, N.; Rossi, G.; Coli, A.; Zucchini, N.; et al. Sarcomatoid adrenocortical carcinoma: A comprehensive pathological, immunohistochemical, and targeted next-generation sequencing analysis. Hum. Pathol. 2016, 58, 113–122. [Google Scholar] [CrossRef]
- Zhu, C.; Zheng, A.; Mao, X.; Shi, B.; Li, X. Primary adrenal sarcomatoid carcinoma metastatic to the lung: Case report and review of the literature. Oncol. Lett. 2016, 11, 3117–3122. [Google Scholar] [CrossRef] [PubMed][Green Version]
- Saeger, W.; Mohren, W.; Behrend, M.; Iglauer, P.; Wilczak, W. Sarcomatoid adrenal carcinoma: Case report with contribution to pathogenesis. Endocr. Pathol. 2017, 28, 139–145. [Google Scholar] [CrossRef] [PubMed]
- Sabrine, D.; Zakia, B.; Kaoutar, Z. Adrenocortical sarcomatoid carcinoma: A case report and review of the literature. J. Surg. Case Rep. 2020, 2020, rjaa211. [Google Scholar] [CrossRef]
- Audenet, F.; Méjean, A.; Chartier-Kastler, E.; Rouprêt, M. Adrenal tumours are more predominant in females regardless of their histological subtype: A review. World J. Urol. 2013, 31, 1037–1043. [Google Scholar] [CrossRef]
- Lam, K.Y.; Chan, A.C.L.; Lo, C.Y. Morphological analysis of adrenal glands: A prospective analysis. Endocr. Pathol. 2001, 12, 33–38. [Google Scholar] [CrossRef]
- Juhlin, C.C.; Goh, G.; Healy, J.M.; Fonseca, A.L.; Scholl, U.I.; Stenman, A.; Kunstman, J.W.; Brown, T.C.; Overton, J.D.; Mane, S.M.; et al. Whole-exome sequencing characterizes the landscape of somatic mutations and copy number alterations in adrenocortical carcinoma. J. Clin. Endocrinol. Metab. 2015, 100, E493–E502. [Google Scholar] [CrossRef]
- Libé, R.; Borget, I.; Ronchi, C.L.; Zaggia, B.; Kroiss, M.; Kerkhofs, T.; Bertherat, J.; Volante, M.; Quinkler, M.; Chabre, O.; et al. ENSAT network. Prognostic factors in stage III-IV adrenocortical carcinomas (ACC): An European Network for the Study of Adrenal Tumor (ENSAT) study. Ann. Oncol. 2015, 26, 2119–2125. [Google Scholar] [CrossRef] [PubMed]
- Edge, S.; Byrd, D.R.; Compton, C.C.; Fritz, A.G.; Greene, F.; Trotti, A. Adrenal gland. In AJCC Cancer Staging Manual, 7th ed.; Edge, S., Byrd, D.R., Compton, C.C., Fritz, A.G., Greene, F., Trotti, A., Eds.; Springer: New York, NY, USA, 2010; Part IX, Chapter 47; pp. 515–520. [Google Scholar]
- Poorman, C.E.; Ethun, C.G.; Postlewait, L.M.; Tran, T.B.; Prescott, J.D.; Pawlik, T.M.; Wang, T.S.; Glenn, J.; Hatzaras, I.; Shenoy, R.; et al. A Novel T-Stage classification system for adrenocortical carcinoma: Proposal from the us adrenocortical carcinoma study group. Ann. Surg. Oncol. 2018, 25, 520–527. [Google Scholar] [CrossRef]
- Sandrini, R.; Ribeiro, R.C.; DeLacerda, L. Childhood adrenocortical tumors. J. Clin. Endocrinol. Metab. 1997, 82, 2027–2031. [Google Scholar] [CrossRef] [PubMed]
- Giordano, T.J.; Berney, D.; de Krijger, R.R.; Erickson, L.; Fassnacht, M.; Mete, O.; Papathomas, T.; Papotti, M.; Sasano, H.; Thompson, L.D.R.; et al. Data set for reporting of carcinoma of the adrenal cortex: Explanations and recommendations of the guidelines from the International Collaboration on Cancer Reporting. Hum. Pathol 2021, in press. [Google Scholar] [CrossRef]
- Lam, A.; Chong, G.; Dahlstrom, J.; McNicol, A.M.; Gill, A.; Sullivan, L. Adrenal Gland Tumours Structured Protocol, 1st ed.; Royal College of Pathologists: Surry Hills, NSW, Australia, 2013. [Google Scholar]
- Lam, A.; Dahlstrom, J.; Gupta, R.; Turchini, J.; Gill, A.J.; Schulte, K.M.; Elliott, M.; Clifton-Bligh, R.; Nolan, C.J. Carcinomas of the Adrenal Cortex Structured Reporting Protocol, 1st ed.; Royal College of Pathologists: Surry Hills, NSW, Australia, 2020; ISBN 978-1-76081-418-2; Available online: https://www.rcpa.edu.au/getattachment/7c2ed1b4-a38c-49a8-8d87-5c669049738f/Protocol-Adrenal-gland-tumours.aspx (accessed on 1 February 2021).
- Vural, V.; Kılınç, E.M.; Sarıdemir, D.; Gök, İ.B.; Hüseynov, A.; Akbarov, A.; Yaprak, M. Association between tumor size and malignancy risk in hormonally inactive adrenal incidentalomas. Cureus 2020, 12, e6574. [Google Scholar] [CrossRef]
- Yilmaz, N.; Avsar, E.; Tazegul, G.; Sari, R.; Altunbas, H.; Balci, M.K. Clinical characteristics and follow-up results of adrenal incidentaloma. Exp. Clin. Endocrinol. Diabetes 2020. [Google Scholar] [CrossRef] [PubMed]
- Lau, H.; Lo, C.Y.; Lam, K.Y. Surgical implications of underestimation of adrenal tumour size by computed tomography. Br. J. Surg. 1999, 86, 385–387. [Google Scholar] [CrossRef] [PubMed]
- Sherlock, M.; Scarsbrook, A.; Abbas, A.; Fraser, S.; Limumpornpetch, P.; Dineen, R.; Stewart, P.M. Adrenal Incidentaloma. Endocr. Rev. 2020, 41, 775–820. [Google Scholar] [CrossRef]
- Cichocki, A.; Samsel, R.; Papierska, L.; Roszkowska-Purska, K.; Nowak, K.; Jodkiewicz, Z.; Kasperlik-Załuska, A. Adrenal tumour bigger than 5 cm—What could it be? An analysis of 139 cases. Endokrynol. Pol. 2017, 68, 411–415. [Google Scholar] [CrossRef][Green Version]
- NIH state-of-the-science statement on management of the clinically inapparent adrenal mass (“incidentaloma”). NIH Consens State Sci. Statements 2002, 19, 1–25.
- Kahramangil, B.; Kose, E.; Remer, E.M.; Reynolds, J.P.; Stein, R.; Rini, B.; Siperstein, A.; Berber, E. A modern assessment of cancer risk in adrenal incidentalomas: Analysis of 2219 patients. Ann. Surg. 2021, in press. [Google Scholar] [CrossRef]
- Vanderveen, K.A.; Thompson, S.M.; Callstrom, M.R.; Young WFJr Grant, C.S.; Farley, D.R.; Richards, M.L.; Thompson, G.B. Biopsy of pheochromocytomas and paragangliomas: Potential for disaster. Surgery 2009, 146, 1158–1166. [Google Scholar] [CrossRef] [PubMed]
- Delivanis, D.A.; Erickson, D.; Atwell, T.D.; Natt, N.; Maraka, S.; Schmit, G.D.; Eiken, P.W.; Nathan, M.A.; Young, W.F., Jr.; Bancos, I. Procedural and clinical outcomes of percutaneous adrenal biopsy in a high-risk population for adrenal malignancy. Clin. Endocrinol. 2016, 85, 710–716. [Google Scholar] [CrossRef]
- Gupta, R.K.; Majumdar, K.; Saran, R.K.; Srivastava, S.; Sakhuja, P.; Batra, V.V. Role of endoscopic ultrasound-guided fine-needle aspiration in adrenal lesions: Analysis of 32 patients. J. Cytol. 2018, 35, 83–89. [Google Scholar] [CrossRef] [PubMed]
- Altieri, B.; Ronchi, C.L.; Kroiss, M.; Fassnacht, M. Next-generation therapies for adrenocortical carcinoma. Best Pract. Res. Clin. Endocrinol. Metab. 2020, 34, 101434. [Google Scholar] [CrossRef] [PubMed]
Publisher’s Note: MDPI stays neutral with regard to jurisdictional claims in published maps and institutional affiliations. |
© 2021 by the author. Licensee MDPI, Basel, Switzerland. This article is an open access article distributed under the terms and conditions of the Creative Commons Attribution (CC BY) license (http://creativecommons.org/licenses/by/4.0/).






