Transcriptional Active Parvovirus B19 Infection Predicts Adverse Long-Term Outcome in Patients with Non-Ischemic Cardiomyopathy
Abstract
:1. Introduction
2. Materials and Methods
2.1. Total Study Cohort
2.2. Analysis of EMB
2.2.1. Analysis of Viral Nucleic Acids in EMB, Genomic DNA Isolation from EMBs
2.2.2. Detection of Viral Genomes in EMBs by Nested-PCR and Sequencing
2.2.3. Measurement of Viral DNA Load by Quantitative Real-Time PCR (TaqMan QPCR)
2.2.4. RNA Isolation, Reverse Transcription (RT) and TaqMan QPCR for Measurement of Viral Transcripts
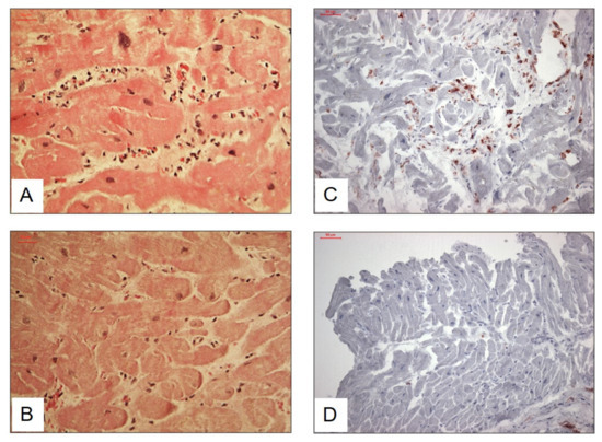
2.2.5. Histological and Immunohistochemical Staining for Assessment of Inflammation
2.3. Ethical Approval
2.4. Statistical Analysis
3. Results
3.1. Total Patient Cohort
3.2. Predictors of Outcome
3.2.1. B19V Viral Load
3.2.2. B19V Transcriptional Activity
3.2.3. Subgroup Analysis
4. Discussion
Limitation of the Study
5. Conclusions
Author Contributions
Funding
Institutional Review Board Statement
Informed Consent Statement
Data Availability Statement
Acknowledgments
Conflicts of Interest
References
- Esfandiarei, M.; McManus, B.M. Molecular Biology and Pathogenesis of Viral Myocarditis. Annu. Rev. Pathol. Mech. Dis. 2008, 3, 127–155. [Google Scholar] [CrossRef]
- Schultheiss, H.-P.; Fairweather, D.L.; Caforio, A.L.P.; Escher, F.; Hershberger, R.E.; Lipshultz, S.E.; Liu, P.P.; Matsumori, A.; Mazzanti, A.; McMurray, J.; et al. Dilated cardiomyopathy. Nat. Rev. Dis. Prim. 2019, 5, 32. [Google Scholar] [CrossRef]
- Rose, N.R.; Neu, N.; Neumann, D.A.; Herskowitz, A. Myocarditis: A Postinfectious Autoimmune Disease. In New Concepts in Viral Heart Disease; Springer: Berlin/Heidelberg, Germany, 1988. [Google Scholar]
- Fairweather, D.; Frisancho-Kiss, S.; Rose, N.R. Viruses as adjuvants for autoimmunity: Evidence from Coxsackievirus-induced myocarditis. Rev. Med. Virol. 2005, 15, 17–27. [Google Scholar] [CrossRef] [PubMed]
- Schultheiss, H.-P.; Baumeier, C.; Pietsch, H.; Bock, C.T.; Poller, W.; Escher, F. Cardiovascular consequences of viral infections: From COVID to other viral diseases. Cardiovasc. Res. 2021, 117, 2610–2623. [Google Scholar] [CrossRef] [PubMed]
- Corsten, M.F.; Schroen, B.; Heymans, S. Inflammation in viral myocarditis: Friend or foe? Trends Mol. Med. 2012, 18, 426–437. [Google Scholar] [CrossRef]
- Kühl, U.; Lassner, D.; von Schlippenbach, J.; Poller, W.; Schultheiss, H.-P. Interferon-Beta Improves Survival in Enterovirus-Associated Cardiomyopathy. J. Am. Coll. Cardiol. 2012, 60, 1295–1296. [Google Scholar] [CrossRef] [PubMed] [Green Version]
- Rogo, L.D.; Mokhtari-Azad, T.; Kabir, M.H.; Rezaei, F. Human parvovirus B19: A review. Acta Virol. 2014, 58, 199–213. [Google Scholar] [CrossRef] [PubMed]
- Kühl, U.; Lassner, D.; Pauschinger, M.; Gross, U.M.; Seeberg, B.; Noutsias, M.; Poller, W.; Schultheiss, H.-P. Prevalence of erythrovirus genotypes in the myocardium of patients with dilated cardiomyopathy. J. Med. Virol. 2008, 80, 1243–1251. [Google Scholar] [CrossRef]
- Verdonschot, J.A.J.; Cooper, L.T.; Heymans, S.R.B. Parvovirus B19 in Dilated Cardiomyopathy: There Is More Than Meets the Eye. J. Card. Fail. 2019, 25, 64–66. [Google Scholar] [CrossRef] [PubMed]
- Hjalmarsson, C.; Liljeqvist, J.-Å.; Lindh, M.; Karason, K.; Bollano, E.; Oldfors, A.; Andersson, B. Parvovirus B19 in Endomyocardial Biopsy of Patients With Idiopathic Dilated Cardiomyopathy: Foe or Bystander? J. Card. Fail. 2019, 25, 60–63. [Google Scholar] [CrossRef] [PubMed]
- Angelini, A.; Calzolari, V.; Calabrese, F.; Boffa, G.M.; Maddalena, F.; Chioin, R.; Thiene, G. Myocarditis mimicking acute myocardial infarction: Role of endomyocardial biopsy in the differential diagnosis. Heart 2000, 84, 245–250. [Google Scholar] [CrossRef] [Green Version]
- Schmidt-Lucke, C.; Zobel, T.; Escher, F.; Tschöpe, C.; Lassner, D.; Kühl, U.; Gubbe, K.; Volk, H.-D.; Schultheiss, H.-P. Human Parvovirus B19 (B19V) Up-regulates CXCR4 Surface Expression of Circulating Angiogenic Cells: Implications for Cardiac Ischemia in B19V Cardiomyopathy. J. Infect. Dis. 2018, 217, 456–465. [Google Scholar] [CrossRef]
- Bock, C.-T.; Klingel, K.; Kandolf, R. Human Parvovirus B19–Associated Myocarditis. N. Engl. J. Med. 2010, 362, 1248–1249. [Google Scholar] [CrossRef] [PubMed]
- Bowles, N.E.; Vallejo, J. Viral causes of cardiac inflammation. Curr. Opin. Cardiol. 2003, 18, 182–188. [Google Scholar] [CrossRef] [PubMed]
- Schmidt-Lucke, C.; Escher, F.; Van Linthout, S.; Kühl, U.; Miteva, K.; Ringe, J.; Zobel, T.; Schultheiss, H.-P.; Tschöpe, C. Cardiac Migration of Endogenous Mesenchymal Stromal Cells in Patients with Inflammatory Cardiomyopathy. Mediat. Inflamm. 2015, 2015, 308185. [Google Scholar] [CrossRef] [PubMed]
- Yilmaz, A.; Mahrholdt, H.; Athanasiadis, A.; Vogelsberg, H.; Meinhardt, G.; Voehringer, M.; Kispert, E.-M.; Deluigi, C.; Baccouche, H.; Spodarev, E.; et al. Coronary vasospasm as the underlying cause for chest pain in patients with PVB19 myocarditis. Heart 2008, 94, 1456. [Google Scholar] [CrossRef] [PubMed]
- Schenk, T.; Enders, M.; Pollak, S.; Hahn, R.; Huzly, D. High Prevalence of Human Parvovirus B19 DNA in Myocardial Autopsy Samples from Subjects without Myocarditis or Dilative Cardiomyopathy. J. Clin. Microbiol. 2009, 47, 106. [Google Scholar] [CrossRef] [Green Version]
- Crea, F.; Camici, P.G.; Bairey Merz, C.N. Coronary microvascular dysfunction: An update. Eur. Heart J. 2014, 35, 1101–1111. [Google Scholar] [CrossRef] [Green Version]
- Schmidt-Lucke, C.; Spillmann, F.; Bock, T.; Kühl, U.; Van Linthout, S.; Schultheiss, H.-P.; Tschöpe, C. Interferon Beta Modulates Endothelial Damage in Patients with Cardiac Persistence of Human Parvovirus B19 Infection. J. Infect. Dis. 2010, 201, 936–945. [Google Scholar] [CrossRef]
- Tschope, C.; Bock, C.-T.; Kasner, M.; Noutsias, M.; Westermann, D.; Schwimmbeck, P.-L.; Pauschinger, M.; Poller, W.-C.; Kühl, U.; Kandolf, R.; et al. High Prevalence of Cardiac Parvovirus B19 Infection in Patients With Isolated Left Ventricular Diastolic Dysfunction. Circulation 2005, 111, 879–886. [Google Scholar] [CrossRef] [Green Version]
- Breinholt, J.P.; Moulik, M.; Dreyer, W.J.; Denfield, S.W.; Kim, J.J.; Jefferies, J.L.; Rossano, J.W.; Gates, C.M.; Clunie, S.K.; Bowles, K.R.; et al. Viral epidemiologic shift in inflammatory heart disease: The increasing involvement of parvovirus B19 in the myocardium of pediatric cardiac transplant patients. J. Heart Lung Transplant. 2010, 29, 739–746. [Google Scholar] [CrossRef] [Green Version]
- Liu, S.-C.; Tsai, C.-T.; Wu, C.-K.; Yu, M.-F.; Wu, M.-Z.; Lin, L.-I.; Wang, S.-S.; Hwang, J.-J.; Tseng, Y.-Z.; Chiang, F.-T.; et al. Human Parvovirus B19 Infection in Patients with Coronary Atherosclerosis. Arch. Med. Res. 2009, 40, 612–617. [Google Scholar] [CrossRef] [PubMed]
- Barzon, L.; Murer, L.; Pacenti, M.; Biasol, M.A.; Della Vella, M.; Benetti, E.; Zanon, G.F.; Palù, G. Investigation of Intrarenal Viral Infections in Kidney Transplant Recipients Unveils an Association between Parvovirus B19 and Chronic Allograft Injury. J. Infect. Dis. 2009, 199, 372–380. [Google Scholar] [CrossRef] [PubMed] [Green Version]
- Pankuweit, S.; Klingel, K. Viral myocarditis: From experimental models to molecular diagnosis in patients. Heart Fail. Rev. 2013, 18, 683–702. [Google Scholar] [CrossRef] [PubMed]
- Magro, C.M.; Crowson, A.N.; Dawood, M.; Nuovo, G.J. Parvoviral infection of endothelial cells and its possible role in vasculitis and autoimmune diseases. J. Rheumatol. 2002, 29, 1227. [Google Scholar]
- Rigopoulos, G.A.; Klutt, B.; Matiakis, M.; Apostolou, A.; Mavrogeni, S.; Noutsias, M. Systematic Review of PCR Proof of Parvovirus B19 Genomes in Endomyocardial Biopsies of Patients Presenting with Myocarditis or Dilated Cardiomyopathy. Viruses 2019, 11, 566. [Google Scholar] [CrossRef] [Green Version]
- Kuhl, U.; Lassner, D.; Dorner, A.; Rohde, M.; Escher, F.; Seeberg, B.; Hertel, E.; Tschope, C.; Skurk, C.; Gross, U.M.; et al. A distinct subgroup of cardiomyopathy patients characterized by transcriptionally active cardiotropic erythrovirus and altered cardiac gene expression. Basic Res. Cardiol. 2013, 108, 372. [Google Scholar] [CrossRef]
- Thiene, G.; Bruneval, P.; Veinot, J.; Leone, O. Diagnostic use of the endomyocardial biopsy: A consensus statement. Virchows Arch. 2013, 463, 1–5. [Google Scholar] [CrossRef] [PubMed]
- Leone, O.; Veinot, J.P.; Angelini, A.; Baandrup, U.T.; Basso, C.; Berry, G.; Bruneval, P.; Burke, M.; Butany, J.; Calabrese, F.; et al. 2011 Consensus statement on endomyocardial biopsy from the Association for European Cardiovascular Pathology and the Society for Cardiovascular Pathology. Cardiovasc. Pathol. 2012, 21, 245–274. [Google Scholar] [CrossRef]
- Kuühl, U.; Pauschinger, M.; Noutsias, M.; Seeberg, B.; Bock, T.; Lassner, D.; Poller, W.; Kandolf, R.; Schultheiss, H.-P. High Prevalence of Viral Genomes and Multiple Viral Infections in the Myocardium of Adults With “Idiopathic” Left Ventricular Dysfunction. Circulation 2005, 111, 887–893. [Google Scholar] [CrossRef] [Green Version]
- Angelow, A.; Weitmann, K.; Schmidt, M.; Schwedler, S.; Vogt, H.; Havemann, C.; Staudt, A.; Felix, S.B.; Stangl, K.; Klingel, K.; et al. The German Transregional Collaborative Research Centre ‘Inflammatory Cardiomyopathy—Molecular Pathogenesis and Therapy’. Cardiology 2009, 113, 222–230. [Google Scholar] [CrossRef]
- Caforio, A.L.P.; Pankuweit, S.; Arbustini, E.; Basso, C.; Gimeno-Blanes, J.; Felix, S.B.; Fu, M.; Heliö, T.; Heymans, S.; Jahns, R.; et al. Current state of knowledge on aetiology, diagnosis, management, and therapy of myocarditis: A position statement of the European Society of Cardiology Working Group on Myocardial and Pericardial Diseases. Eur. Heart J. 2013, 34, 2636–2648. [Google Scholar] [CrossRef] [PubMed]
- Pietsch, H.; Escher, F.; Aleshcheva, G.; Lassner, D.; Bock, C.-T.; Schultheiss, H.-P. Detection of parvovirus mRNAs as markers for viral activity in endomyocardial biopsy-based diagnosis of patients with unexplained heart failure. Sci. Rep. 2020, 10, 22354. [Google Scholar] [CrossRef] [PubMed]
- Escher, F.; Kühl, U.; Lassner, D.; Poller, W.; Westermann, D.; Pieske, B.; Tschöpe, C.; Schultheiss, H.-P. Long-term outcome of patients with virus-negative chronic myocarditis or inflammatory cardiomyopathy after immunosuppressive therapy. Clin. Res. Cardiol. 2016, 105, 1011–1020. [Google Scholar] [CrossRef] [PubMed]
- Bogomolovas, J.; Šimoliunas, E.; Rinkunaite, I.; Smalinskaite, L.; Podkopajev, A.; Bironaite, D.; Weis, C.A.; Marx, A.; Bukelskiene, V.; Gretz, N.; et al. A Novel Murine Model of Parvovirus Associated Dilated Cardiomyopathy Induced by Immunization with VP1-Unique Region of Parvovirus B19. BioMed Res. Int. 2016, 2016, 1627184. [Google Scholar] [CrossRef] [Green Version]
- Schmidt-Lucke, C.; Zobel, T.; Schrepfer, S.; Kuhl, U.; Wang, D.; Klingel, K.; Becher, P.M.; Fechner, H.; Pozzuto, T.; Van Linthout, S.; et al. Impaired Endothelial Regeneration Through Human Parvovirus B19-Infected Circulating Angiogenic Cells in Patients with Cardiomyopathy. J. Infect. Dis. 2015, 212, 1070–1081. [Google Scholar] [CrossRef] [PubMed] [Green Version]
- Zakrzewska, K.; Cortivo, R.; Tonello, C.; Panfilo, S.; Abatangelo, G.; Giuggioli, D.; Ferri, C.; Corcioli, F.; Azzi, A. Human parvovirus B19 experimental infection in human fibroblasts and endothelial cells cultures. Virus Res. 2005, 114, 1–5. [Google Scholar] [CrossRef] [PubMed]
- Kühl, U.; Pauschinger, M.; Bock, T.; Klingel, K.; Schwimmbeck, P.; Seeberg, B.; Krautwurm, L.; Poller, W.; Schultheiss, H.; Kandolf, R. Parvovirus B19 Infection Mimicking Acute Myocardial Infarction. Circulation 2003, 108, 945–950. [Google Scholar] [CrossRef] [PubMed] [Green Version]
- Bültmann, B.D.; Klingel, K.; Sotlar, K.; Bock, C.T.; Baba, H.A.; Sauter, M.; Kandolf, R. Fatal parvovirus B19–associated myocarditis clinically mimicking ischemic heart disease: An endothelial cell–mediated disease. Hum. Pathol. 2003, 34, 92–95. [Google Scholar] [CrossRef] [PubMed]
- Bultmann, B.; Sotlar, K.; Klingel, K. Parvovirus B19. N. Engl. J. Med. 2004, 350, 2006–2007. [Google Scholar] [CrossRef]
- Moulik, M.; Breinholt, J.P.; Dreyer, W.J.; Kearney, D.L.; Price, J.F.; Clunie, S.K.; Moffett, B.S.; Kim, J.J.; Rossano, J.W.; Jefferies, J.L.; et al. Viral Endomyocardial Infection Is an Independent Predictor and Potentially Treatable Risk Factor for Graft Loss and Coronary Vasculopathy in Pediatric Cardiac Transplant Recipients. J. Am. Coll. Cardiol. 2010, 56, 582–592. [Google Scholar] [CrossRef] [PubMed] [Green Version]
- Norja, P.; Hokynar, K.; Aaltonen, L.-M.; Chen, R.; Ranki, A.; Partio, E.K.; Kiviluoto, O.; Davidkin, I.; Leivo, T.; Eis-Hübinger, A.M.; et al. Bioportfolio: Lifelong persistence of variant and prototypic erythrovirus DNA genomes in human tissue. Proc. Natl. Acad. Sci. USA 2006, 103, 7450–7453. [Google Scholar] [CrossRef] [PubMed] [Green Version]
- Frustaci, A.; Chimenti, C.; Calabrese, F.; Pieroni, M.; Thiene, G.; Maseri, A. Immunosuppressive therapy for active lymphocytic myocarditis: Virological and immunologic profile of responders versus nonresponders. Circulation 2003, 107, 857–863. [Google Scholar] [CrossRef]
- Schultheiss, H.-P.; Piper, C.; Sowade, O.; Waagstein, F.; Kapp, J.-F.; Wegscheider, K.; Groetzbach, G.; Pauschinger, M.; Escher, F.; Arbustini, E.; et al. Betaferon in chronic viral cardiomyopathy (BICC) trial: Effects of interferon-β treatment in patients with chronic viral cardiomyopathy. Clin. Res. Cardiol. 2016, 105, 763–773. [Google Scholar] [CrossRef] [PubMed]
- Schultheiss, H.-P.; Bock, T.; Pietsch, H.; Aleshcheva, G.; Baumeier, C.; Fruhwald, F.; Escher, F. Nucleoside Analogue Reverse Transcriptase Inhibitors Improve Clinical Outcome in Transcriptional Active Human Parvovirus B19-Positive Patients. J. Clin. Med. 2021, 10, 1928. [Google Scholar] [CrossRef] [PubMed]
- Zobel, T.; Bock, C.T.; Kuhl, U.; Rohde, M.; Lassner, D.; Schultheiss, H.P.; Schmidt-Lucke, C. Telbivudine Reduces Parvovirus B19-Induced Apoptosis in Circulating Angiogenic Cells. Viruses 2019, 11, 227. [Google Scholar] [CrossRef] [PubMed] [Green Version]





| Primer/Probe Name | Nucleotide Sequence (5′–3′) |
|---|---|
| NS1-FW | TCCCTGGAATWAATGCAGATGC |
| NS1-RV | CACTGCTGCTGAYACTGGTGTCT |
| NS1-probe | 6FAM-ACCTCCAAACCACCCCAATTGTCACA-TAMRA |
| VP1-FW | TGTAAGATGCAGCCCTGACATG |
| VP1-RV | GAGGGCATCTGCATTAATTCCA |
| VP1-probe | 6FAM-TGGTGTAATGCACAAAGCTGG-TAMRA |
| Clinical Characteristics | All Patients | With Replicative Intermediates (B19V-RNA+) | Without Replicative Intermediates (B19V-RNA−) |
|---|---|---|---|
| Number of patients, n (%) | 871 (100) | 165 (18.9) | 706 (81.1) |
| Sex, n (%) | 555 (63.7) male 316 (36.2) female | 107 (64.8) male 58 (35.1) female | 448 (63.4) male 258 (36.5) female |
| Age, mean ± SD (years) | 50.0 ± 15.0 | 50.0 ± 15.0 | 49.0 ± 15.0 |
| LVEF, mean ± SD (%) | 48.6 ± 20.0 | 44.90 ± 19.2 | 49.4 ± 18.6 a |
| LVEDD, mean ± SD (mm) | 56.7 ± 9.1 | 58.0 ± 9.6 | 55.8 ± 9.7 a |
| LVESD, mean ± SD (mm) | 40.4 ± 12.3 | 42.4 ± 13.2 | 41.0 ± 12.7 |
| infection preceding onset of symptoms <12 weeks (%), n = 429 | 52.5 | 56.0 | 50.5 |
| - flue like (%) | 38.9 | 45.4 | 35.4 |
| - pneumonia (%) | 8.4 | 6.6 | 9.4 |
| - gastrointestinal (%) | 1.6 | 0.7 | 2.2 |
| - other (%) | 3.5 | 3.3 | 3.6 |
| Complaints at baseline biopsy | |||
| Reduced physical capacity (%) | 85.1 | 90.5 | 82.1 |
| NYHA II/III/IV (%) | 54.3/31.7/4.5 | 56.4/29.1/5.1 | 50.1/34.2/3.7 |
| Angina at rest (%) | 22.4 | 26.7 | 20.1 |
| Angina on exertion (%) | 40.1 | 41.0 | 39.2 |
| Palpitation (%) | 8.5 | 6.8 | 10.8 |
| Systolic blood pressure, mean ± SD (mmHg) | 118 ± 18 | 115 ± 18 | 117 ± 17 |
| Diastolic blood pressure, mean ± SD (mmHg) | 74 ± 11 | 74 ± 11 | 74 ± 1 |
| Peripheral edema (%) | 29.4 | 30.9 | 28.6 |
| Medication, n | |||
| - β-blockers | 48.7 | 47.9 | 49.1 |
| - ACE inhibitors/ARB | 71.8 | 72.2 | 71.9 |
| - diuretic agents | 52.2 | 50.1 | 53.1 |
| Biopsy (inflammatory cell counts) | |||
| CD3+, mean ± SD (cells/mm2) | 7.4 ± 12.0 | 7.2 ± 6.9 | 7.5 ± 13.0 |
| CD45RO+, mean ± SD (cells/mm2) | 21.5 ± 21.8 | 23.8 ± 19.2 | 21.0 ± 22.4 |
| LFA-1+, mean ± SD (cells/mm2) | 17.4 ± 25.0 | 16.8 ± 15.2 | 17.5 ± 26.8 |
| Mac-1+, mean ± SD (cells/mm2) | 34.8 ± 28.0 | 35.3 ± 24.9 | 34.7 ± 28.7 |
| Unadjusted Cox Model | Adjusted Cox Model | |||||
|---|---|---|---|---|---|---|
| Group | HR | 95%CI | p-Value | HR | 95%CI | p-Value |
| B19V-RNA+ without inflammation vs. B19V-RNA− without inflammation | 1.020 | 0.223–4.658 | 0.980 | 1.004 | 0.219–4.559 | 0.996 |
| B19V-RNA+ with inflammation vs. B19V-RNA− without inflammation | 3.239 | 1.223–8.575 | 0.018 | 4.013 | 1.515–10.629 | 0.005 |
| Clinical Characteristics | With Replicative Intermediates (B19V-RNA+) | Without Replicative Intermediates (B19V-RNA−) |
|---|---|---|
| Number of patients, n (%) | 126 | 96 |
| Age, mean ± SD (years) | 48.1 ± 16.4 | 48.3 ± 13.2 |
| LVEF, mean baseline ± SD (%) | 45.5 ± 18.2 | 48.6 ± 19.1 a |
| LVEF, mean follow-up ± SD (%) | 52.0 ± 17.2 b | 56.8 ± 15.3 ab |
| LVEF recovery (%) | 38.0 | 52.0 a |
| LVEDD, mean baseline ± SD (mm) | 55.8 ± 9.5 | 56.2 ± 10.4 |
| LVEDD, mean follow-up ± SD (mm) | 58.1 ± 9.0 | 55.3 ± 10.2 a |
| LVESD, mean baseline ± SD (mm) | 41.4 ± 12.9 | 41.6 ± 14.7 |
| LVESD, mean follow-up ± SD (mm) | 44.9 ± 12.0 | 40.4 ± 14.0 |
| Medication, % | ||
| - β-blockers | 47.5 | 49.2 |
| - ACE inhibitors/ARB | 73.2 | 72.3 |
| - diuretic agents | 51.1 | 53.1 |
| Biopsy (inflammatory cell counts) | ||
| CD3+, mean ± SD (cells/mm2) | 10.3 ± 14 | 9.9 ± 21.3 |
| CD45R0+, mean ± SD (cells/mm2) | 28.5 ± 29.7 | 26.8 ± 72.5 |
| LFA-1+, mean ± SD (cells/mm2) | 23.6 ± 26.6 | 29.6 ± 118 |
| Mac-1+, mean ± SD (cells/mm2) | 43.1 ± 33.9 | 48.6 ± 123.3 |
Publisher’s Note: MDPI stays neutral with regard to jurisdictional claims in published maps and institutional affiliations. |
© 2021 by the authors. Licensee MDPI, Basel, Switzerland. This article is an open access article distributed under the terms and conditions of the Creative Commons Attribution (CC BY) license (https://creativecommons.org/licenses/by/4.0/).
Share and Cite
Escher, F.; Aleshcheva, G.; Pietsch, H.; Baumeier, C.; Gross, U.M.; Schrage, B.N.; Westermann, D.; Bock, C.-T.; Schultheiss, H.-P. Transcriptional Active Parvovirus B19 Infection Predicts Adverse Long-Term Outcome in Patients with Non-Ischemic Cardiomyopathy. Biomedicines 2021, 9, 1898. https://doi.org/10.3390/biomedicines9121898
Escher F, Aleshcheva G, Pietsch H, Baumeier C, Gross UM, Schrage BN, Westermann D, Bock C-T, Schultheiss H-P. Transcriptional Active Parvovirus B19 Infection Predicts Adverse Long-Term Outcome in Patients with Non-Ischemic Cardiomyopathy. Biomedicines. 2021; 9(12):1898. https://doi.org/10.3390/biomedicines9121898
Chicago/Turabian StyleEscher, Felicitas, Ganna Aleshcheva, Heiko Pietsch, Christian Baumeier, Ulrich M. Gross, Benedikt Norbert Schrage, Dirk Westermann, Claus-Thomas Bock, and Heinz-Peter Schultheiss. 2021. "Transcriptional Active Parvovirus B19 Infection Predicts Adverse Long-Term Outcome in Patients with Non-Ischemic Cardiomyopathy" Biomedicines 9, no. 12: 1898. https://doi.org/10.3390/biomedicines9121898
APA StyleEscher, F., Aleshcheva, G., Pietsch, H., Baumeier, C., Gross, U. M., Schrage, B. N., Westermann, D., Bock, C.-T., & Schultheiss, H.-P. (2021). Transcriptional Active Parvovirus B19 Infection Predicts Adverse Long-Term Outcome in Patients with Non-Ischemic Cardiomyopathy. Biomedicines, 9(12), 1898. https://doi.org/10.3390/biomedicines9121898

