Miniaturized Electrochemical Sensors to Monitor Fetal Hypoxia and Acidosis in a Pregnant Sheep Model
Abstract
:1. Introduction
2. Materials and Methods
2.1. Animals: Ethics, Housing, and Preparation
2.2. Miniaturized Electrochemical Sensors: pH and pO2
2.3. Animal Instrumentation
2.3.1. Ewe Surgery
2.3.2. Fetal Instrumentation
2.4. Occlusion Protocol and Monitoring
2.4.1. Basal Stage
2.4.2. Occlusion Stage
2.4.3. Recovery Stage
2.5. Sampling and Histological Analyses
2.6. Statistical Analyses
3. Results
3.1. Acid-Based Metabolite Results
3.2. Electrochemical Sensors
3.2.1. pO2 Electrochemical Sensors
3.2.2. pH Electrochemical Sensors
3.3. Fetal Hemodynamics
3.4. Correlation Results
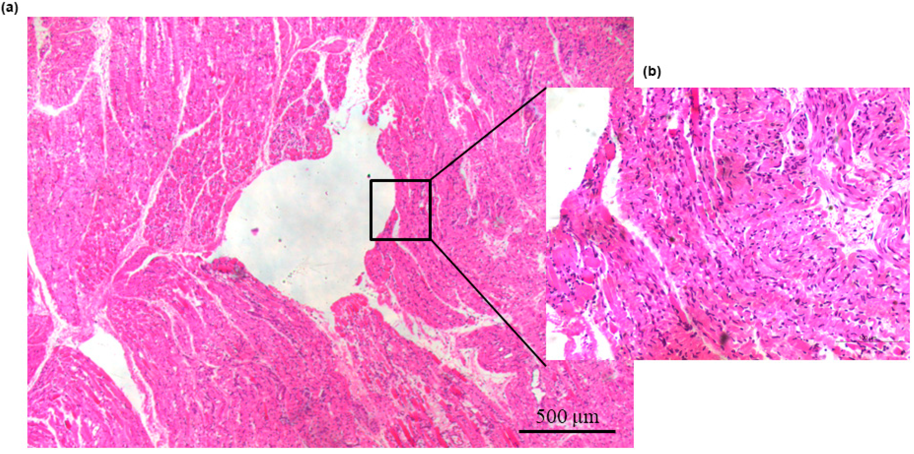
3.5. Histology
4. Discussion
4.1. Acid-Based Metabolites
4.2. Electrochemical Sensors
4.3. Strengths and Limitations
5. Conclusions
Supplementary Materials
Author Contributions
Funding
Institutional Review Board Statement
Informed Consent Statement
Data Availability Statement
Acknowledgments
Conflicts of Interest
References
- McGuire, W. Perinatal asphyxia. BMJ Clin. Evid. 2007, 2007, 0320. [Google Scholar]
- Rainaldi, M.A.; Perlman, J.M. Pathophysiology of Birth Asphyxia. Clin. Perinatol. 2016, 43, 409–422. [Google Scholar] [CrossRef] [PubMed]
- Herrera, C.A.; Silver, R.M. Perinatal Asphyxia from the Obstetric Standpoint: Diagnosis and Interventions. Clin. Perinatol. 2016, 43, 423–438. [Google Scholar] [CrossRef]
- Baschat, A.A. Arterial and venous Doppler in the diagnosis and management of early onset fetal growth restriction. Early Hum. Dev. 2005, 81, 877–887. [Google Scholar] [CrossRef] [PubMed]
- Figueras, F.; Gratacós, E. Update on the Diagnosis and Classification of Fetal Growth Restriction and Proposal of a Stage-Based Management Protocol. Fetal Diagn. Ther. 2014, 36, 86–98. [Google Scholar] [CrossRef] [PubMed]
- Garite, T.J.; Dildy, G.A.; McNamara, H.; Nageotte, M.P.; Boehm, F.H.; Dellinger, E.H.; Knuppel, R.A.; Porreco, R.P.; Miller, H.S.; Sunderji, S.; et al. A multicenter controlled trial of fetal pulse oximetry in the intrapartum management of nonreassuring fetal heart rate patterns. Am. J. Obstet. Gynecol. 2000, 183, 1049–1058. [Google Scholar] [CrossRef]
- Fong, D.D.; Knoesen, A.; Motamedi, M.; O’Neill, T.; Ghiasi, S. Recovering the fetal signal in transabdominal fetal pulse oximetry. Smart Health 2018, 9–10, 23–36. [Google Scholar] [CrossRef]
- Devlieger, R.; Gratacós, E.; Wu, J.; Yesildaglar, N.; Ghysel, C.; Barki, G.; Deprest, J. Continuous Monitoring of Fetal pH, pO2 and pCO2 Using a Fiberoptic Multiparameter Sensor in Animal Models Reproducing in utero Conditions. Fetal Diagn. Ther. 2000, 15, 127–131. [Google Scholar] [CrossRef]
- Nickelsen, C.; Thomsen, S.G.; Weber, T. Continuous acid-base assessment of the human fetus during labour by tissue pH and transcutaneous carbon dioxide monitoring. BJOG Int. J. Obstet. Gynaecol. 1985, 92, 220–225. [Google Scholar] [CrossRef]
- Nickelsen, C.; Weber, T. The current status of intrapartum continuous fetal tissue pH measurements. J. Périnat. Med. 1991, 19, 87–92. [Google Scholar] [CrossRef]
- Chatterjee, M.S.; Hochberg, H.M. Continuous intrapartum measurement of tissue pH of the human fetus using newly developed techniques. J. Périnat. Med. 1991, 19, 93–96. [Google Scholar] [CrossRef] [PubMed]
- Pla, L.; Berdún, S.; Mir, M.; Rivas, L.; Miserere, S.; Dulay, S.; Samitier, J.; Eixarch, E.; Illa, M.; Gratacós, E. Non-invasive monitoring of pH and oxygen using miniaturized electrochemical sensors in an animal model of acute hypoxia. J. Transl. Med. 2021, 19, 1–11. [Google Scholar] [CrossRef] [PubMed]
- Rivas, L.; Dulay, S.; Miserere, S.; Pla, L.; Marin, S.B.; Parra, J.; Eixarch, E.; Gratacós, E.; Illa, M.; Mir, M.; et al. Micro-needle implantable electrochemical oxygen sensor: Ex-vivo and in-vivo studies. Biosens. Bioelectron. 2020, 153, 112028. [Google Scholar] [CrossRef] [PubMed]
- Dulay, S.; Rivas, L.; Miserere, S.; Pla, L.; Berdún, S.; Parra, J.; Eixarch, E.; Gratacós, E.; Illa, M.; Mir, M.; et al. in vivo Monitoring with micro-implantable hypoxia sensor based on tissue acidosis. Talanta 2021, 226, 122045. [Google Scholar] [CrossRef] [PubMed]
- Gonzalez-Bulnes, A.; Astiz, S.; H. Parraguez, V.; Garcia-Contreras, C.; Vazquez-Gomez, M. Empowering Translational Research in Fetal Growth Restriction: Sheep and Swine Animal Models. Curr. Pharm. Biotechnol. 2016, 17, 848–855. [Google Scholar] [CrossRef] [PubMed] [Green Version]
- Giussani, D.A.; Unno, N.; Jenkins, S.L.; Wentworth, R.A.; Derks, J.B.; Collins, J.H.; Nathanielsz, P. Dynamics of cardiovascular responses to repeated partial umbilical cord compression in late-gestation sheep fetus. Am. J. Physiol. Circ. Physiol. 1997, 273, H2351–H2360. [Google Scholar] [CrossRef]
- Fujii, E.Y.; Takahashi, N.; Kodama, Y.; Roman, C.; Ferriero, N.M.; Parer, J.T. Hemodynamic changes during complete umbilical cord occlusion in fetal sheep related to hippocampal neuronal damage. Am. J. Obstet. Gynecol. 2003, 188, 413–418. [Google Scholar] [CrossRef]
- Lotgering, F.K.; Bishai, J.M.; Struijk, P.C.; Blood, A.; Hunter, C.; Power, G.G.; Longo, L.D. Ten-minute umbilical cord occlusion markedly reduces cerebral blood flow and heat production in fetal sheep. Am. J. Obstet. Gynecol. 2003, 189, 233–238. [Google Scholar] [CrossRef]
- Yawno, T.; Castillo-Melendez, M.; Jenkin, G.; Wallace, E.M.; Walker, D.W.; Miller, S.L. Mechanisms of Melatonin-Induced Protection in the Brain of Late Gestation Fetal Sheep in Response to Hypoxia. Dev. Neurosci. 2012, 34, 543–551. [Google Scholar] [CrossRef]
- Michiels, C. Physiological and Pathological Responses to Hypoxia. Am. J. Pathol. 2004, 164, 1875–1882. [Google Scholar] [CrossRef] [Green Version]
- Bank, A. Regulation of human fetal hemoglobin: New players, new complexities. Blood 2006, 107, 435–443. [Google Scholar] [CrossRef] [PubMed]
- Longo, L.; Koos, B.; Power, G. Fetal myoglobin: Quantitative determination and importance for oxygenation. Am. J. Physiol. Content 1973, 224, 1032–1036. [Google Scholar] [CrossRef] [Green Version]
- Bilardo, C.M.; Nicolaides, K.; Campbell, S. Doppler measurements of fetal and uteroplacental circulations: Relationship with umbilical venous blood gases measured at cordocentesis. Am. J. Obstet. Gynecol. 1990, 162, 115–120. [Google Scholar] [CrossRef]
- Omo-Aghoja, L. Maternal and fetal acid-base chemistry: A major determinant of perinatal outcome. Ann. Med. Health Sci. Res. 2014, 4, 8–17. [Google Scholar] [CrossRef] [Green Version]
- Morrison, J.L.; Berry, M.J.; Botting, K.J.; Darby, J.R.T.; Frasch, M.G.; Gatford, K.L.; Giussani, D.; Gray, C.L.; Harding, R.; Herrera, E.A.; et al. Improving pregnancy outcomes in humans through studies in sheep. Am. J. Physiol. Integr. Comp. Physiol. 2018, 315, R1123–R1153. [Google Scholar] [CrossRef] [PubMed] [Green Version]
- Morton, S.U.; Brodsky, D. Fetal Physiology and the Transition to Extrauterine Life. Clin. Perinatol. 2016, 43, 395–407. [Google Scholar] [CrossRef] [PubMed] [Green Version]




| Stage | Basal | 50% Occlusion | 100% Occlusion | Recovery |
|---|---|---|---|---|
| FHR (bpm) | 135.8 (5.50) | 129.3 (13.68) | 116.8 (21.79) | 115.7 (12.83) |
| UAPI | 1.35 (0.23) | 1.48 (0.23) | 3.09 (1.24) | 0.99 (0.06) |
| DVPI | 0.52 (0.09) | 0.46 (0.06) | 1.79 (0.47) | 2.92 (2.37) |
| UV flow velocity (cm/s) | 16.38 (3.61) | 18.09 (6.79) | −17.70 (10.96) * | 19.78 (7.96) |
| UV diameter (mm) | 5.77 (0.41) | 3.79 (0.22) ** | 2.95 (0.51) *** | 5.77 (0.31) |
| (a) Correlation between electrochemical sensing results and pO2 and pH results | ||||
| Electrochemical Signal (nA or mV) | pO2 | pH | ||
| nA | 0.82 | — | ||
| mV | — | 0.37 | ||
| (b) Correlation between electrochemical sensing results and Doppler results | ||||
| Electrochemical Signal (nA or mV) | UAPI | DVPI | UV Diameter | UV Blood Flow Velocity |
| nA | 0.77 | 0.13 | 0.71 | 0.79 |
| mV | 0.99 * | 0.01 | 0.68 | 0.95 * |
Publisher’s Note: MDPI stays neutral with regard to jurisdictional claims in published maps and institutional affiliations. |
© 2021 by the authors. Licensee MDPI, Basel, Switzerland. This article is an open access article distributed under the terms and conditions of the Creative Commons Attribution (CC BY) license (https://creativecommons.org/licenses/by/4.0/).
Share and Cite
Illa, M.; Pla, L.; Berdún, S.; Mir, M.; Rivas, L.; Dulay, S.; Picard-Hagen, N.; Samitier, J.; Gratacós, E.; Eixarch, E. Miniaturized Electrochemical Sensors to Monitor Fetal Hypoxia and Acidosis in a Pregnant Sheep Model. Biomedicines 2021, 9, 1344. https://doi.org/10.3390/biomedicines9101344
Illa M, Pla L, Berdún S, Mir M, Rivas L, Dulay S, Picard-Hagen N, Samitier J, Gratacós E, Eixarch E. Miniaturized Electrochemical Sensors to Monitor Fetal Hypoxia and Acidosis in a Pregnant Sheep Model. Biomedicines. 2021; 9(10):1344. https://doi.org/10.3390/biomedicines9101344
Chicago/Turabian StyleIlla, Míriam, Laura Pla, Sergio Berdún, Mònica Mir, Lourdes Rivas, Samuel Dulay, Nicole Picard-Hagen, Josep Samitier, Eduard Gratacós, and Elisenda Eixarch. 2021. "Miniaturized Electrochemical Sensors to Monitor Fetal Hypoxia and Acidosis in a Pregnant Sheep Model" Biomedicines 9, no. 10: 1344. https://doi.org/10.3390/biomedicines9101344
APA StyleIlla, M., Pla, L., Berdún, S., Mir, M., Rivas, L., Dulay, S., Picard-Hagen, N., Samitier, J., Gratacós, E., & Eixarch, E. (2021). Miniaturized Electrochemical Sensors to Monitor Fetal Hypoxia and Acidosis in a Pregnant Sheep Model. Biomedicines, 9(10), 1344. https://doi.org/10.3390/biomedicines9101344

