Assessment and Impact of Cognitive Impairment in Multiple Sclerosis: An Overview
Abstract
1. Introduction
2. Cognitive Impairment in Multiple Sclerosis
3. Cognitive Domains
3.1. Learning Memory
3.2. Complex Attention—Information Processing
3.3. Executive Function
3.4. Language
3.5. Social Cognition
4. Neuropsychological Assessment
4.1. Information Processing Speed: Symbol Digit Modalities Test (SDMT)
4.2. Episodic Verbal Memory: California Learning Verbal Test (CVLT)
4.3. Episodic Visuospatial Memory: Brief Visuospatial Memory Test Revised (BVMT-R)
4.4. Working Memory: Paced Auditory Serial Addition Test (PASAT-3”)
4.5. Social Cognition
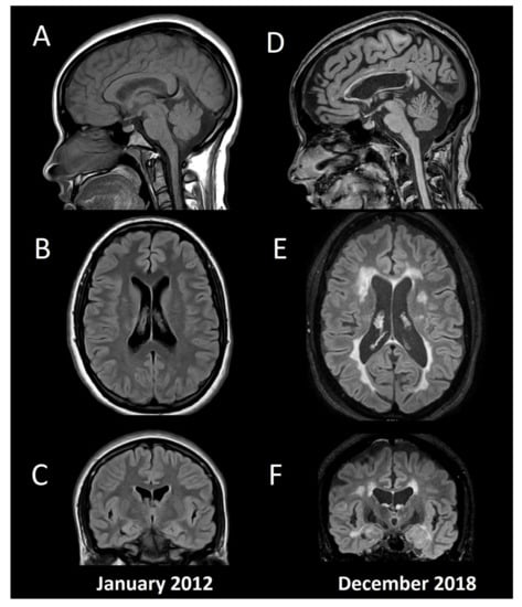
5. Neural Basis of Cognitive Impairment in MS
6. Treatment of Cognitive Impairment in MS
6.1. Pharmacological Interventions
6.1.1. MS Disease Modifying Therapies
6.1.2. Cognitive Impairment-Specific Treatment
6.2. Non-Pharmacological Interventions
6.2.1. Neuropsychological Rehabilitation
6.2.2. Exercise
7. Conclusions
Funding
Conflicts of Interest
References
- Cree, B.A.; Gourraud, P.A.; Oksenberg, J.R.; Bevan, C.; Crabtree-Hartman, E.; Gelfand, J.M.; Goodin, D.S.; Graves, J.; Green, A.J.; Mowry, E.; et al. Long-term evolution of multiple sclerosis disability in the treatment era. Ann. Neurol. 2016, 80, 499–510. [Google Scholar] [PubMed]
- Thompson, A.J.; Baranzini, S.E.; Geurts, J.; Hemmer, B.; Ciccarelli, O. Multiple sclerosis. Lancet 2018, 391, 1622–1636. [Google Scholar] [CrossRef]
- Miller, D.H.; Leary, S.M. Primary-progressive multiple sclerosis. Lancet Neurol. 2007, 6, 903–912. [Google Scholar] [CrossRef]
- Kakalacheva, K.; L€unemann, J.D. Enviromental triggers of multiple sclerosis. FEBS Lett. 2011, 585, 3724–3729. [Google Scholar] [CrossRef] [PubMed]
- Chitnis, T. Role of puberty in multiple sclerosis risk and course. Clin. Immunol. 2013, 149, 192–200. [Google Scholar] [CrossRef]
- Franciotta, D.; Salvetti, M.; Lolli, F.; Serafini, B.; Aloisi, F. B cells and multiple sclerosis. Lancet Neurol. 2008, 7, 852–858. [Google Scholar] [CrossRef]
- Fletcher, J.M.; Lalor, S.J.; Sweeney, C.M.; Tubridy, N.; Mills, K.H.G.; Lalor, S. T cells in multiple sclerosis and experimental autoimmune encephalomyelitis. Clin. Exp. Immunol. 2010, 162, 1–11. [Google Scholar] [CrossRef]
- Lublin, F.D.; Reingold, S.C.; Cohen, J.A.; Cutter, G.R.; Sørensen, P.S.; Thompson, A.J.; Wolinsky, J.S.; Balcer, L.J.; Banwell, B.; Barkhof, F.; et al. Defining the clinical course of multiple sclerosis: The 2013 revisions. Neurology 2014, 83, 278–286. [Google Scholar] [CrossRef]
- Kurtzke, J.F. Rating neurologic impairment in multiple sclerosis: An expanded disability status scale (EDSS). Neurology 1983, 33, 1444–1452. [Google Scholar] [CrossRef]
- Clemens, L.; Langdon, D. How does cognition relate to employment in multiple sclerosis? A systematic review. Mult. Scler. Relat. Disord. 2018, 26, 183–191. [Google Scholar] [CrossRef]
- Murray, J. Terminology and disease description. In Multiple Sclerosis the History of a Disease; DEMOS Medical: New York, NY, USA, 2005; Volume 2, pp. 21–26. [Google Scholar]
- Rao, S.; Leo, G.; Bernardin, I.; Unverzagt, F. Cognitive dysfunction in multiple sclerosis: Frequency, patterns, and predictions. Neurology 1991, 41, 94–97. [Google Scholar] [CrossRef]
- Sokolov, A.A.; Grivaz, P.; Bove, R. Cognitive Deficits in Multiple Sclerosis: Recent Advances in Treatment and Neurorehabilitation. Curr. Treat. Options Neurol. 2018, 20, 53. [Google Scholar] [CrossRef] [PubMed]
- American Psychiatric Association. Diagnostic and Statistical Manual of Mental Disorders, 5th ed.; American Psychiatric Publishing: Arlington, VA, USA, 2013; pp. 5–25. ISBN 978-0-89042-555-8. [Google Scholar]
- Wooddruff, B.K. Disorders of cognition. Semin. Neurol. 2011, 31, 18–28. [Google Scholar] [CrossRef] [PubMed]
- Amato, P.; Langdon, D.; Montalvan, X.; Benedict, R.; DeLuca, J.; Krupp, L.B.; Thompson, A.J.; Comi, G. Treatment of cognitive impairment in multiple sclerosis: Position paper. J. Neurol. 2013, 260, 1452–1468. [Google Scholar] [CrossRef] [PubMed]
- Chiaravaloti, N.D.; DeLuca, J. Cognitive impairment in multiple sclerosis. Lancet 2008, 7, 1139–1151. [Google Scholar] [CrossRef]
- Sumowski, J.F.; Benedict, R.; Enzinger, C.; Filippi, M.; Geurts, J.J.; Hamalainen, P.; Hulst, H.; Inglese, M.; Leavitt, V.M.; Rocca, M.A.; et al. Cognition in multiple sclerosis, State of the field and priorities for the future. Neurology 2018, 90, 278–288. [Google Scholar] [CrossRef] [PubMed]
- DiGiuseppe, G.; Blair, M.; Morrow, S.A. Prevalence of cognitive impairment in newly diagnosed relapsing-remitting multiple sclerosis. Int. J. MS Care 2018, 20, 153–157. [Google Scholar] [CrossRef]
- Vanotti, S.; Caceres, F.J. Cognitive and neuropsychiatric disorders among MS patients from Latin America. MSJ Exp. Trans. Clin. 2017, 3. [Google Scholar] [CrossRef]
- Schiavolin, S.; Leonardi, M.; Giovannetti, A.M.; Antozzi, C.; Brambilla, L.; Confalonieri, P.; Mantegazza, R.; Raggi, A. Factors related to difficulties with employment in patients with multiple sclerosis: A review of 2002–2011 literature. Int. J. Rehabil. Res. 2013, 36, 105–111. [Google Scholar] [CrossRef]
- Raggi, A.; Covelli, V.; Schiavolin, S.; Scaratti, C.; Leonardi, M.; Willems, M. Work-related problems in multiple sclerosis: A literature review on its associates and determinants. Disabil. Rehabil. 2016, 38, 936–944. [Google Scholar] [CrossRef]
- Yamout, B.; Issa, Z.; Herlopian, A.; El Bejjani, M.; Khalifa, A.; Ghadieh, A.S.; Habib, R.H. Predictors of quality of life among multiple sclerosis patients: A comprehensive analysis. Eur. J. Neurol. 2013, 20, 756–764. [Google Scholar] [CrossRef] [PubMed]
- Labbé, T.; Ciampi, E.; Carcamo Rodríguez, C. Social cognition: Concepts, neural basis and its role in multiple sclerosis. Neurol. Clin. Neurosci. 2018, 6, 3–8. [Google Scholar] [CrossRef]
- Dulau, C.; Deloire, M.; Diaz, H.; El Bejjani, M.; Khalifa, A.; Ghadieh, A.S.; Habib, R.H. Social cognition according to cognitive impairment in different clinical phenotypes of multiple sclerosis. J. Neurol. 2017, 264, 740–748. [Google Scholar] [CrossRef] [PubMed]
- Raimo, S.; Trojano, L.; Pappacena, S.; Alaia, R.; Spitaleri, D.; Grossi, D.; Santangelo, G. Neuropsychological Correlates of Theory of Mind Deficits in Patients with Multiple Sclerosis. Neuropsychology 2017. [Google Scholar] [CrossRef] [PubMed]
- Carotenuto, A.; Arcara, G.; Orefice, G.; Cerillo, I.; Giannino, V.; Rasulo, M.; Iodice, R.; Bambini, V. Communication in Multiple Sclerosis: Pragmatic Deficit and its Relation with Cognition and Social Cognition. Arch. Clin. Neuropsychol. 2017, 33, 194–205. [Google Scholar] [CrossRef] [PubMed]
- Henry, A.; Tourbah, A.; Chaunu, M.P.; Bakchine, S.; Montreuil, M. Social Cognition Abilities in Patients with Different Multiple Sclerosis Subtypes. J. Int. Neuropsychol. Soc. 2017, 23, 653–664. [Google Scholar] [CrossRef]
- Patil, I.; Young, L.; Sinay, V.; Gleichgerrcht, E. Elevated moral condemnation of third-PARTY violations in multiple sclerosis patients. Soc. Neurosci. 2017, 12, 308–329. [Google Scholar] [CrossRef]
- Mickens, M.N.; Perrin, P.B.; Aguayo, A.; Rabago, B.; Macias-Islas, M.; Arango-Lasprilla, J. Mediational Model of Multiple Sclerosis Impairments, Family Needs, and Caregiver Mental Health in Guadalajara, Mexico. Behav. Neurol. 2018. [Google Scholar] [CrossRef]
- Langdon, D.W. Cognition in multiple sclerosis. Curr. Opin. Neurol. 2011, 24, 244–249. [Google Scholar] [CrossRef]
- Benedict, R.H.; Cookfair, D.; Gavett, R.; Gunther, M.; Munschauer, F.; Garg, N.; Weinstock-Guttman, B. Validity of the Minimal Assessment of Cognitive Function in Multiple Sclerosis (MACFIMS). J. Int. Neuropsychol. Soc. 2006, 12, 549–558. [Google Scholar] [CrossRef]
- Deloire, M.S.; Ruet, A.; Hamel, D.; Bonnet, M.; Dousset, V.; Brochet, B. MRI predictors of cognitive outcome in early multiple sclerosis. Neurology 2011, 76, 1161–1167. [Google Scholar] [CrossRef] [PubMed]
- Cotter, J.; Firth, J.; Enzinger, C.; Kontopantelis, E.; Yung, A.R.; Elliott, R.; Drake, R.J. Social cognition in multiple sclerosis: A systematic review and meta-analysis. Neurology 2016, 87, 1727–1736. [Google Scholar] [CrossRef] [PubMed]
- Ruano, L.; Portaccio, E.; Goretti, B.; Niccolai, C.; Severo, M.; Patti, F.; Cilia, S.; Gallo, P.; Grossi, P.; Ghezzi, A.; et al. Age and disability drive cognitive impairment in multiple sclerosis across disease subtypes. Mult. Scler. 2017, 23, 1258–1267. [Google Scholar] [CrossRef]
- Trenova, A.G.; Slavov, G.S.; Manova, M.G.; Aksentieva, J.B.; Miteva, L.D.; Stanilova, S.A. Cognitive impairment in multiple sclerosis. Folia Med. 2016, 58, 157–163. [Google Scholar] [CrossRef] [PubMed]
- Ciampi, E.; Uribe-San-Martin, R.; Vásquez, M.; Ruiz-Tagle, A.; Labbe, T.; Cruz, J.P.; Lillo, P.; Slachevsky, A.; Reyes, D.; Reyes, A.; et al. Relationship between Social Cognition and traditional cognitive impairment in Progressive Multiple Sclerosis and possible implicated neuroanatomical regions. Mult. Scler. Relat. Disord. 2018, 20, 122–128. [Google Scholar] [CrossRef] [PubMed]
- Ntoskou, K.; Messinis, L.; Nasios, G.; Martzoukou, M.; Makris, G.; Panagiotopoulos, E.; Papathanasopoulos, P. Cognitive and Language Deficits in Multiple Sclerosis: Comparison of Relapsing Remitting and Secondary Progressive Subtypes. Open Neurol. J. 2018, 12, 19–30. [Google Scholar] [CrossRef] [PubMed]
- Lezak, M.D.; Howieson, D.B.; Bigler, E.D.; Tranel, D. Neuropsychological Assessment, 5th ed.; Oxford University Press: New York, NY, USA, 2012. [Google Scholar]
- Thornton, A.E.; Raz, N.; Tucke, K.A. Memory in multiple sclerosis: Contextual encoding defi cits. J. Int. Neuropsychol. Soc. 2002, 8, 395–409. [Google Scholar] [CrossRef] [PubMed]
- Renell, P.G.; Jensen, F.; Henry, J.D. Prospective memory in multiple sclerosis. J. Int. Neuropsychol. Soc. 2007, 13, 410–416. [Google Scholar]
- Sachdev, P.S.; Blacker, D.; Blazer, D.G.; Ganguli, M.; Jeste, D.V.; Paulsen, J.S.; Petersen, R.C. Classifying neurocognitive disorders: The DSM-5 approach. Nat. Rev. Neurol. 2014, 10, 634–642. [Google Scholar] [CrossRef] [PubMed]
- Silva, P.H.R.; Spedo, C.T.; Baldassarini, C.R.; Benini, C.D.; Ferreira, D.A.; Barreira, A.A.; Leoni, R.F. Brain functional and effective connectivity underlying the information processing speed assessed by the Symbol Digit Modalities Test. Neuroimage 2019, 184, 761–770. [Google Scholar] [CrossRef]
- Costa, S.L.; Genova, H.M.; DeLuca, J.; Chiaravalloti, N.D. Information processing speed in multiple sclerosis: Past, present, and future. Mult. Scler. J. 2016, 23, 772–789. [Google Scholar] [CrossRef] [PubMed]
- Grzegorski, T.; Losy, J. Cognitive impairment in multiple sclerosis. Rev. Neurosci. 2017, 7, 1139–1151. [Google Scholar]
- Van Schependom, J.; D’hooghe, M.B.; Cleynhens, K.; D’hooge, M.; Haelewyck, M.C.; De Keyser, J.; Nagels, G. Reduced information processing speed as primum movens for cognitive decline in MS. Mult. Scler. 2015, 21, 83. [Google Scholar] [CrossRef] [PubMed]
- Leavitt, V.M.; Wylie, G.; Krch, D.; Chiaravalloti, N.; DeLuca, J.; Sumowski, J.F. Does slowed processing speed account for executive deficits in multiple sclerosis Evidence from neuropsychological performance and structural neuroimaging. Rehabil. Psychol. 2014, 59, 422–428. [Google Scholar] [CrossRef]
- Prakash, R.S.; Snook, E.M.; Lewis, J.M.; Motl, R.W.; Kramer, A.F. Cognitive impairments in relapsing-remitting multiple sclerosis: A meta-analysis. Mult. Scler. 2008, 14, 1250–1261. [Google Scholar] [CrossRef]
- Frith, C.D.; Frith, U. Social cognition in humans. Curr. Biol. 2007, 17, R724–R732. [Google Scholar] [CrossRef]
- De Bruin, L.; Strijbos, D. Direct social perception, mindreading and Bayesian predictive coding. Conscious Cogn. 2015, 36, 565–570. [Google Scholar] [CrossRef]
- Singer, T.; Lamm, C. The social neuroscience of empathy. Ann. N. Y. Acad. Sci. 2009, 1156, 81–96. [Google Scholar] [CrossRef]
- Ruggieri, V.L. Empathy, social cognition and autism spectrum disorders. Rev. Neurol. 2013, 56, S13–S21. [Google Scholar]
- Baron-Cohen, S. Without a theory of mind one cannot participate in a conversation. Cognition 1988, 29, 83–84. [Google Scholar] [CrossRef]
- Rovira, À.; Wattjes, M.P.; Tintoré, M.; Tur, C.; Yousry, T.A.; Sormani, M.P.; De Stefano, N.; Filippi, M.; Auger, C.; Rocca, M.A.; et al. Evidence-based guidelines: MAGNIMS consensus guidelines on the use of MRI in multiple sclerosis-clinical implementation in the diagnostic process. Nat. Rev. Neurol. 2015, 11, 471–482. [Google Scholar] [CrossRef] [PubMed]
- Wattjes, M.P.; Rovira, À.; Miller, D.; Yousry, T.A.; Sormani, M.P.; de Stefano, M.P.; Tintoré, M.; Auger, C.; Tur, C.; Filippi, M.; et al. Evidence-based guidelines: MAGNIMS consensus guidelines on the use of MRI in multiple sclerosis—Establishing disease prognosis and monitoring patients. Nat. Rev. Neurol. 2015, 11, 597–606. [Google Scholar]
- Beatty, W.W.; Goodkin, D.E. Screening for cognitive impairment in multiple sclerosis. An evaluation of the Mini-Mental State Examination. Arch. Neurol. 1990, 47, 297–301. [Google Scholar] [CrossRef] [PubMed]
- Rao, S.M. Neuropsychological Screening Battery for Multiple Sclerosis; National Multiple Sclerosis Society: New York, NY, USA, 1991. [Google Scholar]
- Langdon, D.W.; Amato, M.P.; Boringa, J.; Brochet, B.; Foley, F.; Fredrikson, S.; Hämäläinen, P.; Hartung, H.-P.; Krupp, L.; Penner, I.K.; et al. Recommendations for a Brief International Cognitive Assessment for Multiple Sclerosis (BICAMS). MSJ 2012, 18, 891–898. [Google Scholar] [CrossRef]
- Benedict, R.; DeLuca, J.; Phillips, G.; LaRocca, N.; Hudson, L.D.; Rudick, R.; Multiple Sclerosis Outcome Assessments Consortium. Validity of the Symbol Digit Modalities Test as a cognition performance outcome measure formultiple sclerosis. Mult. Scler. J. 2017, 23, 721–733. [Google Scholar] [CrossRef] [PubMed]
- Delis, D.C.; Kramer, J.H.; Kaplan, E.; Ober, B.A. California Verbal Learning Test, 2nd ed.; Psychological Corporation: San Antonio, TX, USA, 2000. [Google Scholar]
- Gronwall, D. Paced auditory serial addition task: A measure of recovery from concussion. Percept. Motor Skills 1977, 44, 363–373. [Google Scholar] [CrossRef]
- Cutter, G.R.; Baier, M.S.; Rudick, R.A.; Cookfair, D.L.; Fischer, J.S.; Petkau, J.; Syndulko, K.; Weinshenker, B.G.; Antel, J.P.; Confavreux, C.; et al. Development of a Multiple Sclerosis Functional Composite as a clinical trial outcome measure. Brain 1999, 122, 101–112. [Google Scholar] [CrossRef]
- Fischer, J.S.; Rudick, R.A.; Cutter, G.R.; Reingold, S.C. The Multiple Sclerosis Functional Composite Measure (MSFC): An integrated approach to MS clinical outcome assessment. National MS Society Clinical Outcomes Assessment Task Force. Mult. Scler. 1999, 5, 244–250. [Google Scholar] [CrossRef]
- Friesen, W.V.; Ekman, P. Friesen Pictures of Facial Affect; Consulting Psychologists Press: Palo Alto, CA, USA, 1976. [Google Scholar]
- Funkiewiez, A.; Bertoux, M.; de Souza, L.C.; Lévy, R.; Dubois, B. The sea (social cognition and emotional assessment): A clinical neuropsychological tool for early diagnosis of frontal variant of frontotemporal lobar degeneration. Neuropsychology 2012, 1, 81–90. [Google Scholar] [CrossRef]
- Bertoux, M.; Volle, E.; de Souza, L.C.; Funkiewiez, A.; Dubois, B.; Habert, M.O. Neural correlates of the mini-SEA (Social cognition and Emotional Assessment) in behavioral variant frontotemporal dementia. Brain Imaging Behav. 2014, 1, 1–6. [Google Scholar] [CrossRef]
- Di Filippo, M.; Portaccio, E.; Mancini, A.; Calabresi, P. Multiple sclerosis and cognition: Synaptic failure and network dysfunction. Nat. Rev. Neurosci. 2018, 19, 599–609. [Google Scholar] [CrossRef]
- Zivadinov, R.; Sepcic, J.; Nasuelli, D.; De Masi, R.; Bragadin, L.M.; Tommasi, M.; Zambito-Marsala, S.; Moretti, R.; Bratina, A.; Ukmar, M.; et al. A longitudinal study of brain atrophy and cognitive disturbances in the early phase of relapsing-remitting multiple sclerosis. J. Neurol. Neurosurg. Psychiatry 2001, 70, 773–780. [Google Scholar] [CrossRef] [PubMed]
- Smith, S.M.; Zhang, Y.; Jenkinson, M.; Chen, J.; Matthews, P.M.; Federico, A.; de Stefano, N. Accurate, robust and automated longitudinal and cross-sectional brain change analysis. NeuroImage 2002, 17, 479–489. [Google Scholar] [CrossRef] [PubMed]
- Smith, S.M.; Jenkinson, M.; Woolrich, M.W.; Beckmann, C.F.; Behrens, T.E.J.; Johansen-Berg, H.; Bannister, P.R.; de Luca, M.; Drobnjak, I.; Flitney, D.E.; et al. Advances in functional and structural MR image analysis and implementation as FSL. NeuroImage 2004, 23, 208–219. [Google Scholar] [CrossRef] [PubMed]
- Geurts, J.G.; Calabrese, M.; Fisher, E.; Rudick, R.A. Measurement and clinical effect of grey matter pathology in multiple sclerosis. Lancet Neurol. 2012, 11, 1082–1092. [Google Scholar] [CrossRef]
- Figueira, F.F.; Santos, V.S.; Figueira, G.M.A.; Da Silva, Â.C.M. Corpus callosum index: A practical method for long-term follow-up in multiple sclerosis. Arq. Neuropsiquiatr. 2007, 65, 931–935. [Google Scholar] [CrossRef]
- Yaldizli, Ö.; Penner, I.K.; Frontzek, K.; Naegelin, Y.; Amann, M.; Papadopoulou, A.; Sprenger, T.; Kuhle, J.; Calabrese, P.; Radü, E.W.; et al. The relationship between total and regional corpus callosum atrophy, cognitive impairment and fatigue in multiple sclerosis patients. Mult. Scler. 2014, 3, 356–364. [Google Scholar] [CrossRef] [PubMed]
- Uribe-San-Martín, R.; Ciampi, E.; Di Giacomo, R.; Vásquez, M.; Cárcamo, C.; Godoy, J.; Lo Russo, G.; Tassi, L. Corpus callosum atrophy and post-surgical seizures in temporal lobe epilepsy associated with hippocampal sclerosis. Epilepsy Res. 2018, 142, 29–35. [Google Scholar] [CrossRef] [PubMed]
- Butzkueven, H.; Kolbe, S.C.; Jolley, D.J.; Brown, J.Y.; Cook, M.J.; van der Mei, I.A.; Groom, P.S.; Carey, J.; Eckholdt, J.; Rubio, J.P.; et al. Validation of linear cerebral atrophy markers in multiple sclerosis. J. Clin. Neurosci. 2008, 15, 130–137. [Google Scholar] [CrossRef]
- Lycke, J.; Wikkelso, C.; Bergh, A.C.; Jacobsson, L.; Andersen, O. Regional cerebral blood flow in multiple sclerosis masured by single photon emission tomography with technetium-99m hexamethylpropyleneamine oxime. Eur. Neurol. 1993, 33, 163–167. [Google Scholar] [CrossRef] [PubMed]
- Roelcke, U.; Kappos, L.; Lechner-Scott, J.; Brunnschweiler, H.; Huber, S.; Ammann, W.; Plohmann, A.; Dellas, S.; Maguire, R.P.; Missimer, J.; et al. Reduced glucose metabolism in the frontal cortex and basal ganglia of multiple sclerosis patients with fatigue a 18F-fl uorodeoxyglucose positron emission tomography study. Neurology 1997, 48, 1566–1571. [Google Scholar] [CrossRef]
- Labbé, T.; Ciampi, E.; Cruz, J.P.; Zurita, M.; Uribe, S.; Cárcamo, C. Functional magnetic resonance imaging in the study of multiple sclerosis. Rev. Neurol. 2018, 67, 91–98. [Google Scholar]
- Meijer, K.A.; Muhlert, N.; Cercignani, M.; Sethi, V.; Ron, M.A.; Thompson, A.J.; Miller, D.H.; Chard, D.; Geurts, J.J.; Ciccarelli, O. White matter tract abnormalities are associated with cognitive dysfunction in secondary progressive multiple sclerosis. Mult. Scler. 2016, 22, 1429–1437. [Google Scholar] [CrossRef]
- Giorgio, A.; De Stefano, N. Advanced Structural and Functional Brain MRI in Multiple Sclerosis. Semin. Neurol. 2016, 36, 163–176. [Google Scholar] [CrossRef]
- Calabrese, M.; Agosta, F.; Rinaldi, F.; Mattisi, I.; Grossi, P.; Favaretto, A.; Atzori, M.; Bernardi, V.; Barachino, L.; Rinaldi, L.; et al. Cortical lesions and atrophy associated with cognitive impairment in relapsing-remitting multiple sclerosis. Arch. Neurol. 2009, 66, 1144–1150. [Google Scholar] [CrossRef] [PubMed]
- Summers, M.M.; Fisniku, L.K.; Anderson, V.M.; Miller, D.H.; Cipolotti, I.; Ron, M. Cognitive impairment in relapsing remitting multiple sclerosis can be predicted by imaging performed several years earlier. Mult. Scler. 2008, 14, 197–204. [Google Scholar] [CrossRef] [PubMed]
- Tekok-Kilic, A.; Benedict, R.H.; Weinstock-Gutman, B.; Dwyer, M.G.; Carone, D.; Srinivasaraghavan, B.; Yella, V.; Abdelrahman, N.; Munschauer, F.; Bakshi, R.; et al. Independent contributions of cortical grey matter atrophy and ventricle enlargement for predicting neuropsychological impairment in multiple sclerosis. Neurology 2007, 36, 1294–1300. [Google Scholar]
- Steenwijk, M.D.; Geurts, J.J.G.; Daams, M.; Tijms, B.M.; Wink, A.M.; Balk, L.J.; Tewarie, P.K.; Uitdehaag, B.M.J.; Barkhof, F.; Vrenken, H.; et al. Cortical atrophy patterns in multiple sclerosis are non-random and clinically relevant. Brain 2016, 139, 115–126. [Google Scholar] [CrossRef]
- Kern, K.C.; Gold, S.M.; Lee, B.; Montag, M.; Horsfall, J.; O’Connor, M.F.; Sicotte, N.L. Thalamic-hippocampal-prefrontal disruption in relapsing-remitting multiple sclerosis. Neuroimage Clin. 2014, 8, 440–447. [Google Scholar] [CrossRef]
- Zivadinov, R.; de, M.R.; Nasuelli, D.; Bragadin, L.M.; Ukmar, M.; Pozzi-Mucelli, R.S.; Grop, A.; Cazzato, G.; Zorzon, M. MRI techniques and cognitive impairment in the early phase of relapsing-remitting multiple sclerosis. Neuroradiology 2001, 43, 272–278. [Google Scholar] [CrossRef]
- Sumowski, J.F.; Leavitt, V.M.; Rocca, M.A.; Inglese, M.; Riccitelli, G.; Buyukturkoglu, K.; Meani, A.; Filippi, M. Mesial temporal lobe and subcortical grey matter volumes differentially predict memory across stages of multiple sclerosis. Mult. Scler. 2018, 24, 675–678. [Google Scholar] [CrossRef] [PubMed]
- Planche, V.; Ruet, A.; Coupé, P.; Lamargue-Hamel, D.; Deloire, M.; Pereira, B.; Manjon, J.V.; Munsch, F.; Moscufo, N.; Meier, D.S.; et al. Hippocampal microstructural damage correlates with memory impairment in clinically isolated syndrome suggestive of multiple sclerosis. Mult. Scler. 2017, 23, 1214–1224. [Google Scholar] [CrossRef] [PubMed]
- Aladro, Y.; López-Alvarez, L.; Sánchez-Reyes, J.M.; Hernández-Tamames, J.A.; Melero, H.; Rubio-Fernández, S.; Thuissard, I.; Cerezo-García, M. Relationship between episodic memory and volume of the brain regions of two functional cortical memory systems in multiple sclerosis. J. Neurol. 2018, 265, 2182–2189. [Google Scholar] [CrossRef] [PubMed]
- Benedict, R.H.; Bakshi, R.; Simon, J.H.; Priore, R.; Miller, C.; Munschauer, F. Frontal cortex atrophy predicts cognitive impairment in multiple sclerosis. J. Neuropsych. Clin. Neurosci. 2002, 14, 44–51. [Google Scholar] [CrossRef]
- Houtchens, M.K.; Benedict, R.H.; Kiliiany, R.; Sharma, J.; Jaisani, Z.; Singh, B.; Weinstock-Guttman, B.; Guttmann, C.R.; Bakshi, R. Thalamic atrophy and cognition in multiple sclerosis. Neurology 2007, 69, 1213–1223. [Google Scholar] [CrossRef]
- Sicotte, N.L.; Kern, K.C.; Giesser, B.S.; Arshanapalli, A.; Schultz, A.; Montag, M.; Wang, H.; Bookheimer, S.Y. Regional hippocampal atrophy in multiple sclerosis. Brain 2008, 131, 1134–1141. [Google Scholar] [CrossRef]
- González Torre, J.A.; Cruz Gómez, Á.J.; Belenguer, A.; Sanchis-Segura, C.; Ávila, C.; Forn, C. Hippocampal dysfunction is associated with memory impairment in multiple sclerosis: A volumetric and functional connectivity study. Mult. Scler. 2017, 23, 1854–1863. [Google Scholar] [CrossRef]
- Minagar, A.; Barnett, M.H.; Benedict, R.H.B.; Pelletier, D.; Pirko, I.; Sahraian, M.A.; Frohman, E.; Zivadinov, R. The thalamus and multiple sclerosis: Modern views on pathologic, imaging, and clinical aspects. Neurology 2013, 80, 210–219. [Google Scholar] [CrossRef]
- Ruet, A.; Hamel, D.; Deloire, M.S.; Charré-Morin, J.; Saubusse, A.; Brochet, B. Information processing speed impairment and cerebellar dysfunction in relapsing-remitting multiple sclerosis. J. Neurol. Sci. 2014, 347, 246–250. [Google Scholar] [CrossRef]
- Moroso, A.; Ruet, A.; Lamargue-Hamel, D.; Munsch, F.; Deloire, M.; Coup, P.; Ouallet, J.C.; Planche, V.; Moscufo, N.; Meier, D.S.; et al. Posterior lobules of the cerebellum and information processing speed at various stages of multiple sclerosis. J. Neurol. Neurosurg. Psychiatry 2017, 88, 146–151. [Google Scholar]
- Foong, J.; Rozewicz, L.; Quaghebeur, G.; Davie, C.A.; Kartsounis, L.D.; Thompson, A.J.; Miller, D.H.; Ron, M.A. Executive function in multiple sclerosis. The role of frontal lobe pathology. Brain 1997, 120, 15–26. [Google Scholar] [CrossRef]
- Muhlert, N.; Sethi, V.; Schneider, T.; Daga, P.; Cipolotti, L.; Haroon, H.A.; Parker, G.J.M.; Ourselin, S.; Wheeler-Kingshott, C.A.M.; Miller, D.H.; et al. Diffusion MRI-based cortical complexity alterations associated with executive function in multiple sclerosis. J. Magn. Reson. Imaging 2013, 38, 54–63. [Google Scholar]
- Weygandt, M.; Wakonig, K.; Behrens, J.; Meyer-Arndt, L.; Söder, E.; Brandt, A.U.; Bellmann-Strobl, J.; Ruprecht, K.; Gold, S.M.; Haynes, J.-D.; et al. Brain activity, regional gray matter loss, and decision-making in multiple sclerosis. Mult. Scler. 2017, 24, 1163–1173. [Google Scholar] [CrossRef]
- Koini, M.; Filippi, M.; Rocca, M.A.; Yousry, T.; Ciccarelli, O.; Tedeschi, G.; Gallo, A.; Ropele, S.; Valsasina, P.; Riccitelli, G.; et al. Correlates of Executive Functions in Multiple Sclerosis Based on Structural and Functional MR Imaging: Insights from a Multicenter Study. Radiology 2016, 280, 869–879. [Google Scholar] [CrossRef] [PubMed]
- Matias-Guiu, J.A.; Cortés-Martínez, A.; Montero, P.; Pytel, V.; Moreno-Ramos, T.; Jorquera, M.; Yus, M.; Arrazola, J.; Matías-Guiu, J. Structural MRI correlates of PASAT performance in multiple sclerosis. BMC Neurol. 2018, 20, 214. [Google Scholar] [CrossRef] [PubMed]
- Bellmann-Strobl, J.; Wuerfel, J.; Aktas, O.; Dorr, J.; Wernecke, K.D.; Zipp, F.; Paul, F. Poor PASAT performance correlates with MRI contrast enhancement in multiple sclerosis. Neurology 2009, 73, 1624–1627. [Google Scholar] [CrossRef]
- Pardini, M.; Uccelli, A.; Grafman, J.H.; Yaldizli, O.; Mancardi, G.L.; Roccatagliata, L. Isolated cognitive relapses in multiple sclerosis. J. Neurol. Neurosurg. Psychiatry 2014, 85, 1035–1037. [Google Scholar] [CrossRef] [PubMed]
- Jehna, M.; Langkammer, C.; Wallner-Blazek, M.; Neuper, C.; Loitfelder, M.; Ropele, S.; Fuchs, S.; Khalil, M.; Pluta-Fuerst, A.; Fazekas, F.; et al. Cognitively preserved MS patients demonstrate functional differences in processing neutral and emotional faces. Brain Imaging Behav. 2011, 5, 241–251. [Google Scholar] [CrossRef]
- Mike, A.; Strammer, E.; Aradi, M.; Orsi, G.; Perlaki, G.; Hajnal, A.; Sandor, J.; Banati, M.; Illes, E.; Zaitsev, A.; et al. Disconnection mechanism and regional cortical atrophy contribute to impaired processing of facial expressions and theory of mind in multiple sclerosis: A structural MRI study. PLoS ONE 2013, 8, e82422. [Google Scholar] [CrossRef]
- Calabrese, P.; Penner, I.K. Cognitive dysfunctions in multiple sclerosis “a multiple disconnection syndrome”. J. Neurol. 2007, 254, 18–21. [Google Scholar] [CrossRef]
- Henry, A.; Tourbah, A.; Chaunu, M.; Rumbach, L.; Montreuil, M.; Bakchine, S. Social cognition impairments in relapsing-remitting multiple sclerosis. J. Int. Neuropsychol. Soc. 2011, 17, 1122–1131. [Google Scholar] [CrossRef] [PubMed]
- Batista, S.; d’Almeida, O.C.; Afonso, A.; Freitas, S.; Macário, C.; Sousa, L.; Castelo-Branco, M.; Santana, I.; Cunha, L. Impairment of social cognition in multiple sclerosis: Amygdala atrophy is the main predictor. Mult. Scler. 2017, 23, 1358–1366. [Google Scholar] [CrossRef] [PubMed]
- Chalah, M.A.; Ayache, S.S. Deficits in Social Cognition: An Unveiled Signature of Multiple Sclerosis. J. Int. Neuropsychol. Soc. 2017, 23, 266–286. [Google Scholar] [CrossRef] [PubMed]
- Benedict, R.H.; Hulst, H.E.; Bergsland, N.; Schoonheim, M.M.; Dwyer, M.G.; Weinstock-Guttman, B.; Geurts, J.J.; Zivadinov, R. Clinical significance of atrophy and white matter mean diffusivity within the thalamus of multiple sclerosis patients. Mult. Scler. 2013, 19, 1478–1484. [Google Scholar] [CrossRef] [PubMed]
- Schoonheim, M.M.; Hulst, H.E.; Brandt, R.B.; Strik, M.; Wink, A.M.; Uitdehaag, B.M.J.; Barkhof, F.; Geurts, J.J.G. Thalamus structure and function determine severity of cognitive impairment in multiple sclerosis. Neurology 2015, 84, 776–783. [Google Scholar] [CrossRef] [PubMed]
- Bisecco, A.; Rocca, M.A.; Pagani, E.; Mancini, L.; Enzinger, C.; Gallo, A.; Vrenken, H.; Stromillo, M.L.; Copetti, M.; Thomas, D.L.; et al. Connectivity-based parcellation of the thalamus in multiple sclerosis and its implications for cognitive impairment: A multicenter study. Hum. Brain Mapp. 2015, 36, 2809–2825. [Google Scholar] [CrossRef]
- Nelson, F.; Akhtar, M.A.; Zúñiga, E.; Perez, C.A.; Hasan, K.M.; Wilken, J.; Wolinsky, J.S.; Narayana, P.A.; Steinberg, J.L. Novel fMRI working memory paradigm accurately detects cognitive impairment in multiple sclerosis. Mult. Scler. 2016, 23, 836–847. [Google Scholar] [CrossRef]
- Eijlers, A.J.; Meijer, K.A.; Wassenaar, T.M.; Steenwijk, M.D.; Uitdehaag, B.M.; Barkhof, F.; Wink, A.M.; Geurts, J.J.; Schoonheim, M.M. Increased default-mode network centrality in cognitively impaired multiple sclerosis patients. Neurology 2017, 88, 952–960. [Google Scholar] [CrossRef]
- Campbell, J.; Langdon, D.; Cercignani, M.; Rashid, W. A randomised controlled trial of efficacy of cognitive rehabilitation in multiple sclerosis: A cognitive, behavioural, and MRI study. Neural Plast. 2016, 2016, 4292585. [Google Scholar] [CrossRef]
- Pinter, D.; Beckmann, C.; Koini, M.; Pirker, E.; Filippini, N.; Pichler, A.; Fuchs, S.; Fazekas, F.; Enzinger, C. Reproducibility of resting state connectivity in patients with stable multiple sclerosis. PLoS ONE 2016, 11, e0152158. [Google Scholar] [CrossRef]
- Boutiere, C.; Rey, C.; Zaaraoui, W.; Le Troter, A.; Rico, A.; Crespy, L.; Achard, S.; Reuter, F.; Pariollaud, F.; Wirsich, J.; et al. Improvement of spasticity following intermittent theta burst stimulation in multiple sclerosis is associated with modulation of resting-state functional connectivity of the primary motor cortices. Mult. Scler. 2017, 23, 855–863. [Google Scholar] [CrossRef] [PubMed]
- Pareto, D.; Sastre-Garriga, J.; Alonso, J.; Galán, I.; Arévalo, M.J.; Renom, M.; Montalban, X.; Rovira, À. Classic Block Design “Pseudo”-Resting-State fMRI Changes After a Neurorehabilitation Program in Patients with Multiple Sclerosis. J. Neuroimaging 2018, 28, 313–319. [Google Scholar] [CrossRef]
- Fisher, R.L.; Priore, R.L.; Jacobs, L.D.; Cookfair, D.L.; Rudick, R.A.; Herndon, R.M.; Richert, J.R.; Salazar, A.M. Neuropsychological effects of interferón beta 1 a in relapsing multiple sclerosis. Ann. Neurol. 2000, 48, 885–892. [Google Scholar] [CrossRef]
- Patti, F.; Amato, M.P.; Bastianello, S.; Caniatti, L.; Di Monte, E.; Ferrazza, P.; Goretti, B.; Gallo, P.; Brescia Morra, V.; Lo Fermo, S.; et al. Effects of immunomodulatory treatment with subcutaneous interferon beta-1a on cognitive decline in mildly disabled patients with relapsing-remitting multiple sclerosis. Mult. Scler. 2010, 16, 68–77. [Google Scholar] [CrossRef] [PubMed]
- Patti, F.; Morra, V.B.; Amato, M.P.; Trojano, M.; Bastianello, S.; Tola, M.R.; Cottone, S.; Plant, A.; Picconi, O. Subcutaneous interferon β-1a may protect against cognitive impairment in patients with relapsing-remitting multiple sclerosis: 5-year follow-up of the COGIMUS study. PLoS ONE 2013, 8, e74111. [Google Scholar] [CrossRef] [PubMed]
- Pliskin, N.H.; Hamer, D.P.; Goldstein, D.S.; Towle, V.L.; Reder, A.T.; Noronha, A.; Arnason, B.G. Improved delayed visual reproduction test performance in multiple sclerosis patients receiving interferon beta-1b. Neurology 1996, 47, 1463–1468. [Google Scholar] [CrossRef] [PubMed]
- Edan, G.; Kappos, L.; Montalbán, X.; Polman, C.H.; Freedman, M.S.; Hartung, H.-P.; Miller, D.; Barkhof, F.; Herrmann, J.; Lanius, V.; et al. Longterm impact of interferon beta-1b in patients with CIS: 8-year follow-up of BENEFIT. J. Neurol. Neurosurg. Psychiatry 2014, 85, 1183–1189. [Google Scholar] [CrossRef]
- Weinstein, A.; Schwid, S.I.; Schiffer, R.B.; McDermott, M.P.; Giang, D.W.; Goodman, A.D. Neuropsychologic status in multiple sclerosis after treatment with glatiramer. Arch. Neurol. 1999, 56, 319–324. [Google Scholar] [CrossRef]
- Weinstock-Guttman, B.; Galetta, S.L.; Giovannoni, G.; Havrdova, E.; Hutchinson, M.; Kappos, L.; O’Connor, P.W.; Phillips, J.T.; Polman, C.; Stuart, W.H.; et al. Additional efficacy endpoints from pivotal natalizumab trials in relapsing-remitting MS. J. Neurol. 2012, 259, 898–905. [Google Scholar] [CrossRef]
- Jacques, F.H.; Harel, B.T.; Schembri, A.J.; Paquette, C.; Bilodeau, B.; Kalinowski, P.; Roy, R. Cognitive evolution in natalizumab-treated multiple sclerosis patients. MSJ 2016, 2. [Google Scholar] [CrossRef]
- Riepl, E.; Pfeuffer, S.; Ruck, T.; Lohmannt, H.; Wiendl, H.; Meuth, S.G.; Johnen, A. Alemtuzumab improves cognitive proccesing speed in active multiple sclerosis—A longitudinal observational study. Front. Neurol. 2018, 8, 730. [Google Scholar] [CrossRef] [PubMed]
- Hauser, S.L.; Bar-Or, A.; Comi, G.; Giovannoni, G.; Hartung, H.-P.; Hemmer, B.; Lublin, F.; Montalban, X.; Rammohan, K.W.; Selmaj, K.; et al. Ocrelizumab versus Interferon Beta-1a in Relapsing Multiple Sclerosis. N. Engl. J. Med. 2017, 376, 221–234. [Google Scholar] [CrossRef] [PubMed]
- Krupp, L.B.; Christodoulou, C.; Melville, P.; Scherl, W.F.; MacAllister, W.S.; Elkins, L.E. Donepezil improved memory in multiple sclerosis in a randomized clinical trial. Neurology 2004, 63, 1579–1585. [Google Scholar] [CrossRef] [PubMed]
- Krupp, L.B.; Christodoulou, C.; Melville, P.; Scherl, W.F.; Pai, L.Y.; Muenz, L.R.; He, D.; Benedict, R.H.; Goodman, A.; Rizvi, S.; et al. Multicenter randomized clinical trial of donepezil for memory impairment in multiple sclerosis. Neurology 2011, 76, 1500–1507. [Google Scholar] [CrossRef] [PubMed]
- Lovera, J.F.; Frohman, E.; Brown, T.; Bandari, D.; Nguyen, L.; Yadav, V.; Stuve, O.; Karman, J.; Bogardus, K.; Heimburger, G.; et al. Memantine for cognitive impairment in multiple sclerosis: A randomized placebo-controlled trial. Mult. Scler. 2010, 16, 715–723. [Google Scholar] [CrossRef] [PubMed]
- Sumowski, J.F.; Chiaravalloti, N.; Erlanger, D.; Kaushik, T.; Benedict, R.H.B.; DeLuca, J. L-amphetamine improves memory in MS patients with objective memory impairment. Mult. Scler. 2011, 17, 1141–1145. [Google Scholar] [CrossRef] [PubMed]
- Broicher, S.D.; Filli, L.; Geisseler, O.; Germann, N.; Zörner, B.; Brugger, P.; Linnebank, M. Positive effects of fampridine on cognition, fatigue and depression in patients with multiple sclerosis over 2 years. J. Neurol. 2018, 265, 1016–1025. [Google Scholar] [CrossRef] [PubMed]
- Pavsic, K.; Pelicon, K.; Ledinek, A.H.; Sega, S. Short-term impact of fampridine on motor and cognitive functions, mood and quality of life among multiple sclerosis patients. Clin. Neurol. Neurosurg. 2015, 139, 35–40. [Google Scholar] [CrossRef] [PubMed]
- Ford-Johnson, L.; DeLuca, J.; Zhang, J.; Elovic, E.; Lengenfelder, J.; Chiaravalloti, N.D. Cognitive effects of modafinil in patients with multiple sclerosis: A clinical trial. Rehabil. Psychol. 2016, 61, 82–91. [Google Scholar] [CrossRef]
- Millera, E.; Morelc, A.; Redlickaa, J.; Millera, I.; Salukc, J. Pharmacological and Non-pharmacological Therapies of Cognitive Impairment in Multiple Sclerosis. Curr. Neuropharmacol. 2018, 16, 475–483. [Google Scholar] [CrossRef]
- Chiaravalloti, N.D.; Moore, N.B.; Nikelshpur, O.M.; DeLuca, J. An RCT to treat learning impairment in multiple sclerosis: The MEMREHAB trial. Neurology 2013, 81, 2066–2072. [Google Scholar] [CrossRef] [PubMed]
- Amato, M.P.; Goretti, B.; Viterbo, R.G.; Portaccio, E.; Niccolai, C.; Hakiki, B.; Iaffaldano, P.; Trojano, M. Computer-assisted rehabilitation of attention in patients with multiple sclerosis: Results of a randomized, double-blind trial. Mult. Scler. J. 2014, 20, 91–98. [Google Scholar] [CrossRef] [PubMed]
- De Giglio, L.; De Luca, F.; Prosperini, L.; Borriello, G.; Bianchi, V.; Pantano, P.; Pozzilli, C. A low-cost cognitive rehabilitation with a commercial video game improves sustained attention and executive functions in multiple sclerosis: A pilot study. Neurorehabil. Neural Repair. 2015, 29, 453–461. [Google Scholar] [CrossRef] [PubMed]
- Goverover, Y.; Chiaravalloti, N.D.; O’Brien, A.R.; DeLuca, J. Evidenced-Based Cognitive Rehabilitation for Persons with Multiple Sclerosis: An Updated Review of the Literature From 2007 to 2016. Arch. Phys. Med. Rehabil. 2018, 99, 390–407. [Google Scholar] [CrossRef]
- Carter, A.; Daley, A.; Humphreys, L.; Snowdon, N.; Woodroofe, N.; Petty, J.; Roalfet, Al.; Tosh, J.; Sharrack, B.; Saxton, J. Pragmatic intervention for increasing self-directed exercise behaviour and improving important health outcomes in people with multiple sclerosis: A randomised controlled trial. Mult. Scler. 2014, 20, 1112–1122. [Google Scholar] [CrossRef]
- Briken, S.; Gold, S.M.; Patra, S.; Vettorazzi, E.; Harbs, D.; Tallner, A.; Ketels, G.; Schulz, K.H.; Heesen, C. Effects of exercise on fitness and cognition in progressive MS: A randomized, controlled pilot trial. Mult. Scler. 2014, 20, 382–390. [Google Scholar] [CrossRef] [PubMed]
- Sandroff, B.M.; Motl, R.W.; Scudder, M.R.; DeLuca, J. Systematic, Evidence-Based Review of Exercise, Physical Activity, and Physical Fitness Effects on Cognition in Persons with Multiple Sclerosis. Neuropsychol. Rev. 2016, 26, 271–294. [Google Scholar] [CrossRef]
- Cramer, H.; Lauche, R.; Azizi, H.; Dobos, G. ; Langhorst J Yoga for Multiple Sclerosis: A Systematic Review and Meta-Analysis. PLoS ONE 2014, 9, e112414. [Google Scholar] [CrossRef]

| Cognitive Domain | Frequency |
|---|---|
| Learning Memory | 40–65% |
| Visual Episodic Memory | 20–75% |
| Verbal Episodic Memory | 15–80% |
| Complex Attention | 5–25% |
| Information processing Speed | 15–50% |
| Executive Function | 15–25% |
| Working Memory | 15–60% |
| Inhibitory control | 15–30% |
| Language | 20–58% |
| Verbal Fluency | 15–25% |
| Social Cognition | 20–40% |
| Cognitive Domain | BRB-N | MACFIMS | BICAMS |
|---|---|---|---|
| Auditory processing speed and working memory | PASAT | PASAT | - |
| Visual processing speed and working memory | SDMT | SDMT | SDMT |
| Auditory or verbal episodic memory | SRT | CVLT-II | CVLT-II |
| Visual or spatial episodic memory | 10/36 Spatial Recall Test | BVMT-R | BVMT-R |
| Expressive language | COWAT | COWAT | - |
| Spatial processing | - | JLO | - |
| Executive function | - | DKEFS sorting | - |
© 2019 by the authors. Licensee MDPI, Basel, Switzerland. This article is an open access article distributed under the terms and conditions of the Creative Commons Attribution (CC BY) license (http://creativecommons.org/licenses/by/4.0/).
Share and Cite
Macías Islas, M.Á.; Ciampi, E. Assessment and Impact of Cognitive Impairment in Multiple Sclerosis: An Overview. Biomedicines 2019, 7, 22. https://doi.org/10.3390/biomedicines7010022
Macías Islas MÁ, Ciampi E. Assessment and Impact of Cognitive Impairment in Multiple Sclerosis: An Overview. Biomedicines. 2019; 7(1):22. https://doi.org/10.3390/biomedicines7010022
Chicago/Turabian StyleMacías Islas, Miguel Ángel, and Ethel Ciampi. 2019. "Assessment and Impact of Cognitive Impairment in Multiple Sclerosis: An Overview" Biomedicines 7, no. 1: 22. https://doi.org/10.3390/biomedicines7010022
APA StyleMacías Islas, M. Á., & Ciampi, E. (2019). Assessment and Impact of Cognitive Impairment in Multiple Sclerosis: An Overview. Biomedicines, 7(1), 22. https://doi.org/10.3390/biomedicines7010022

