Involvement of Pruritus, Gut Dysbiosis and Histamine-Producing Bacteria in Paraneoplastic Syndromes
Abstract
1. Introduction
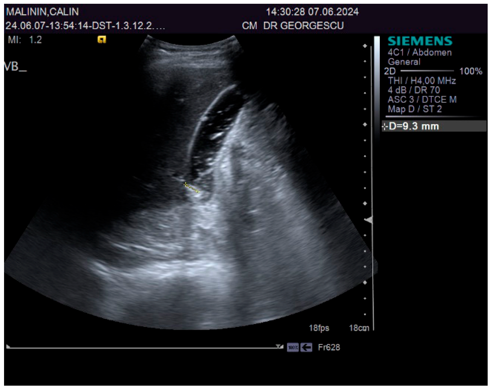
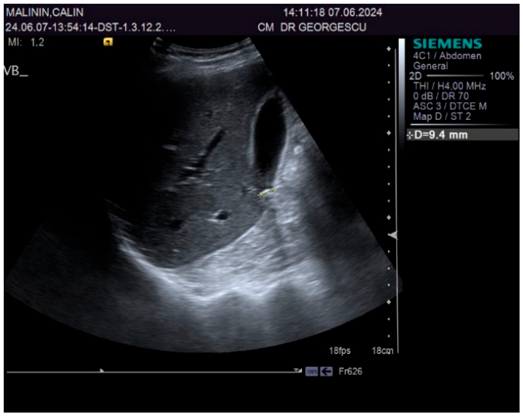
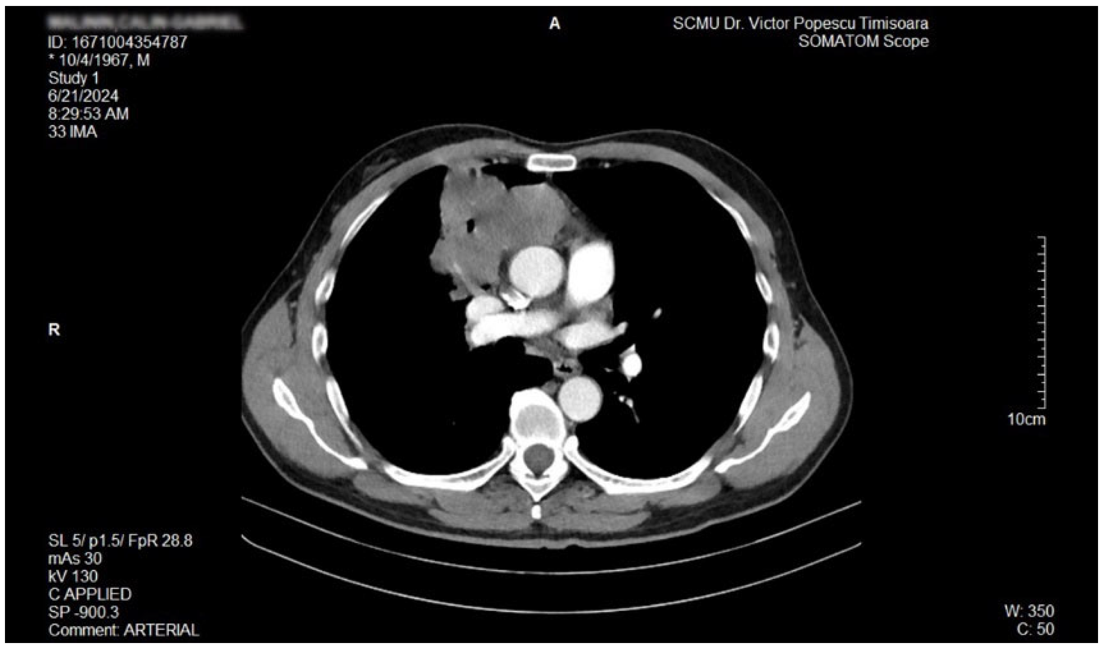
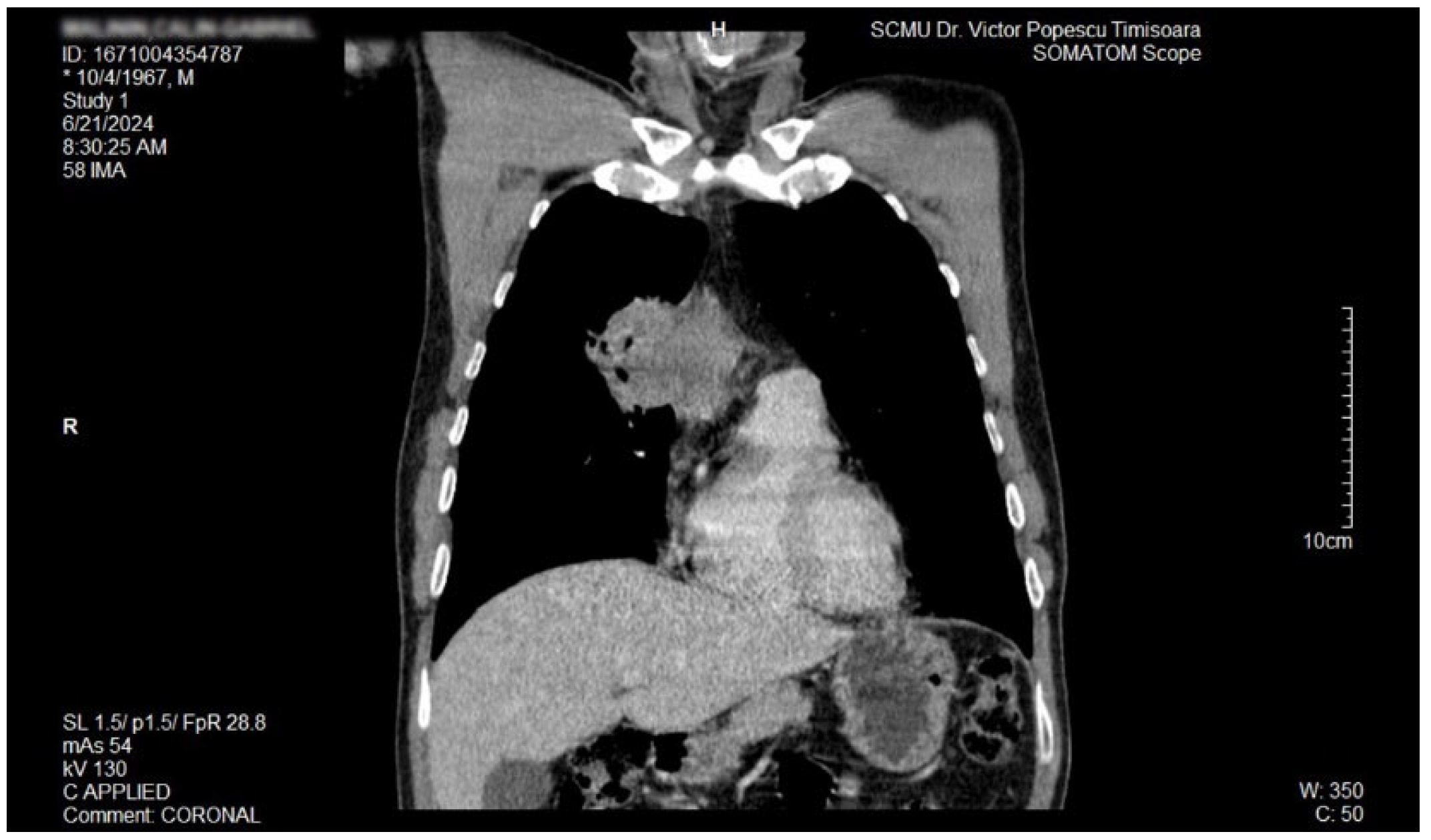
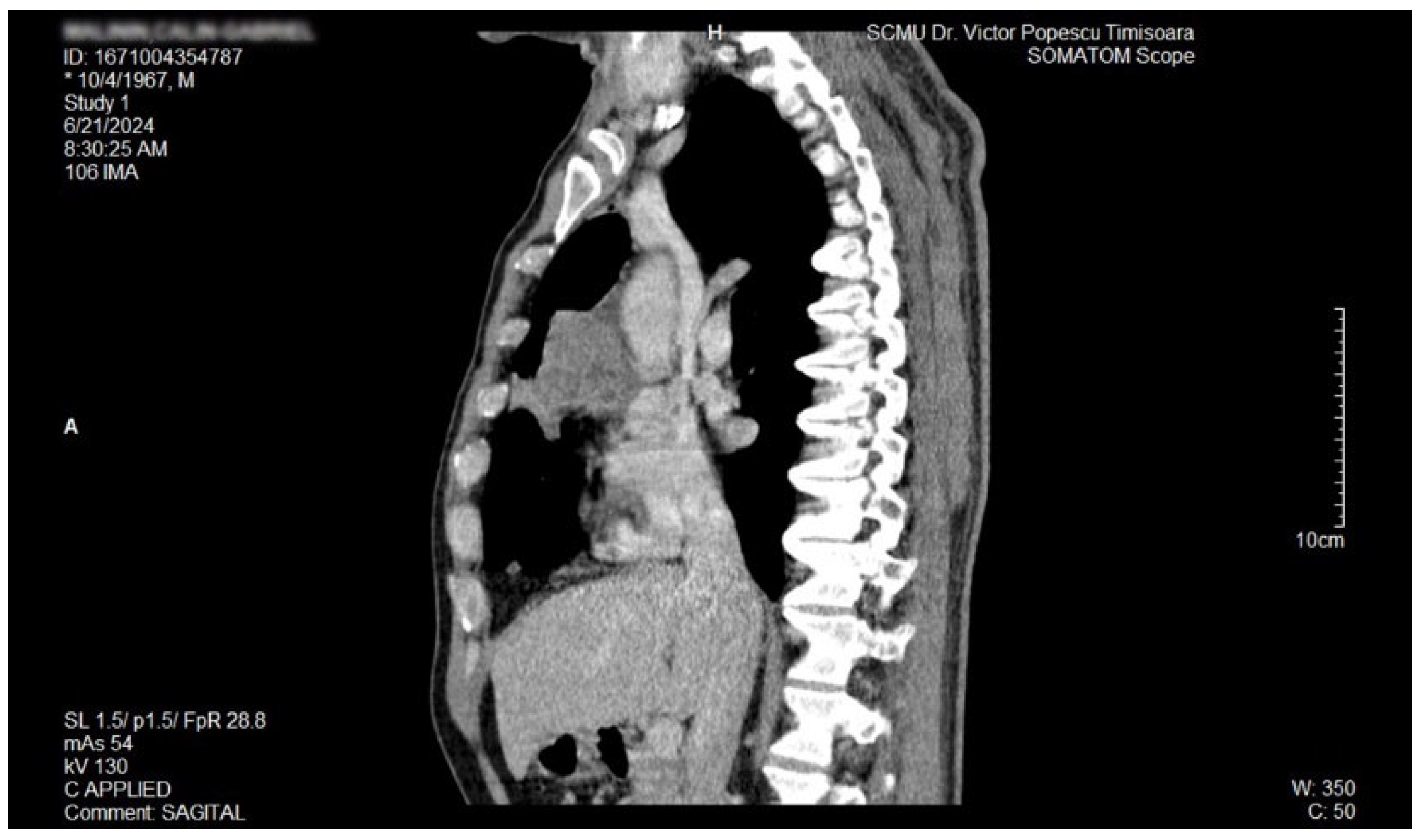
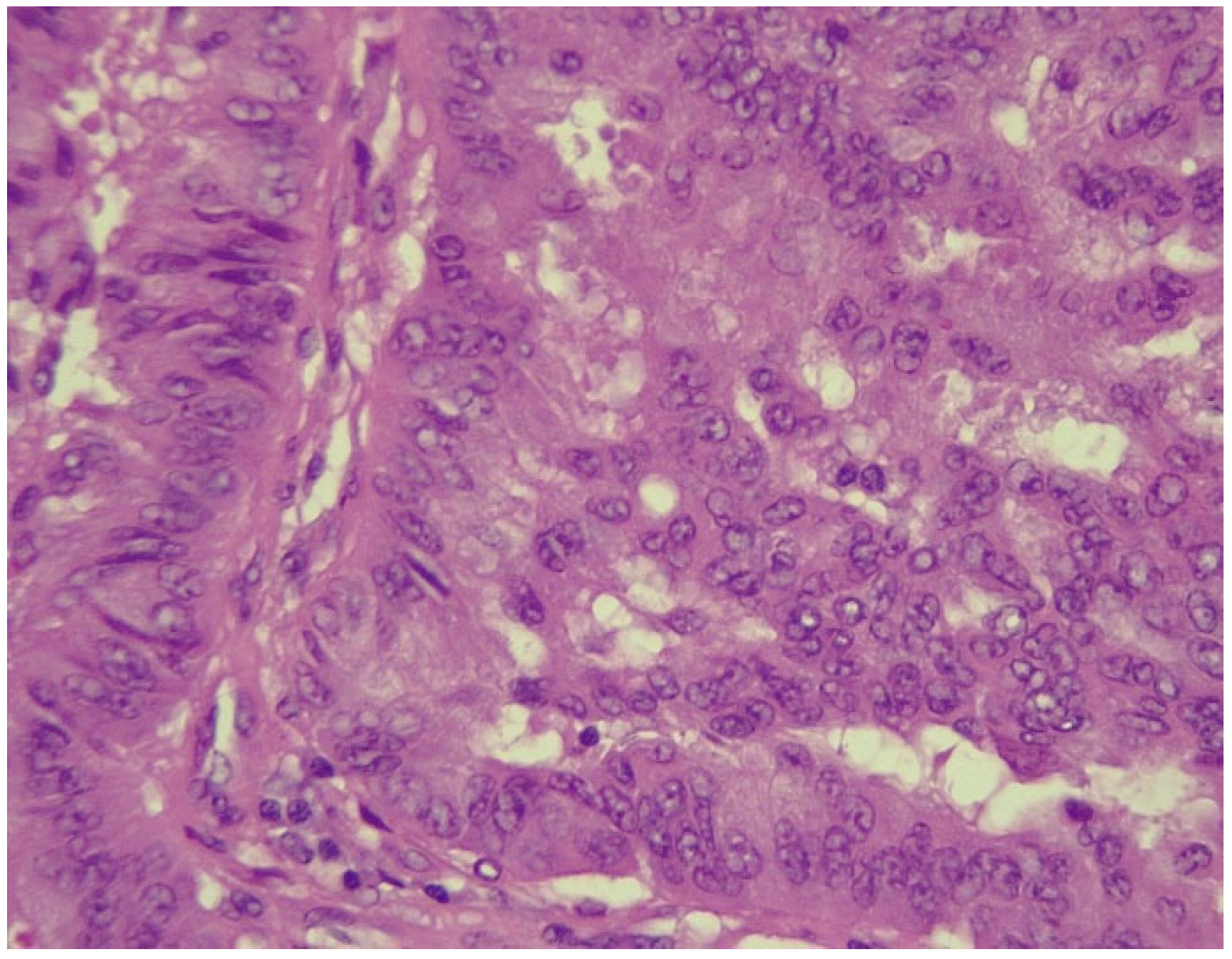
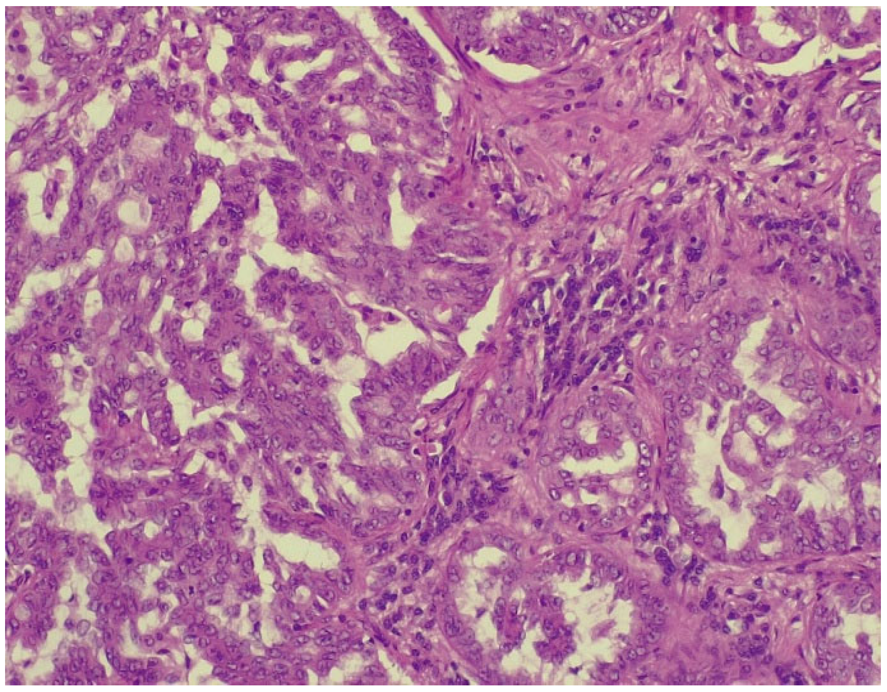
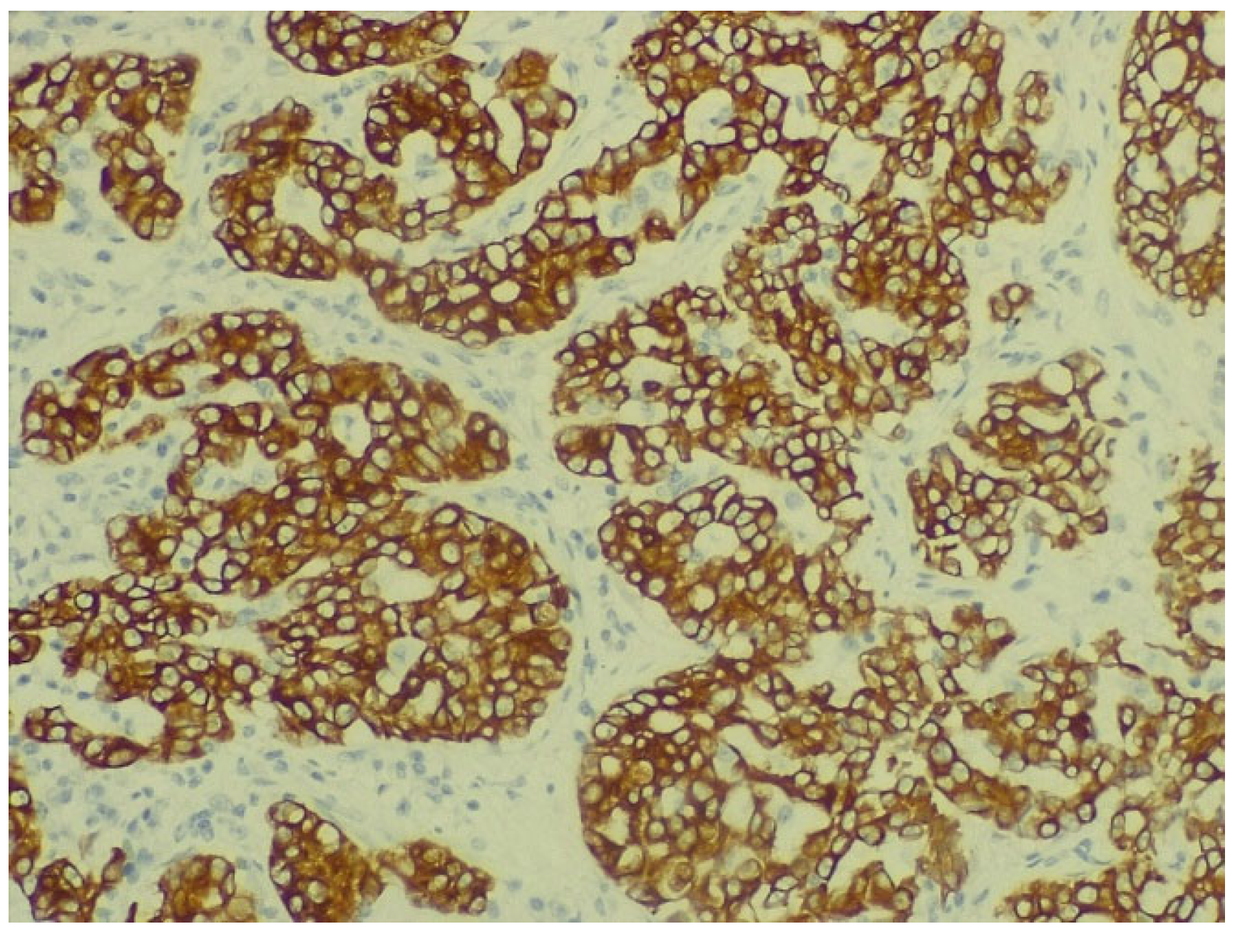
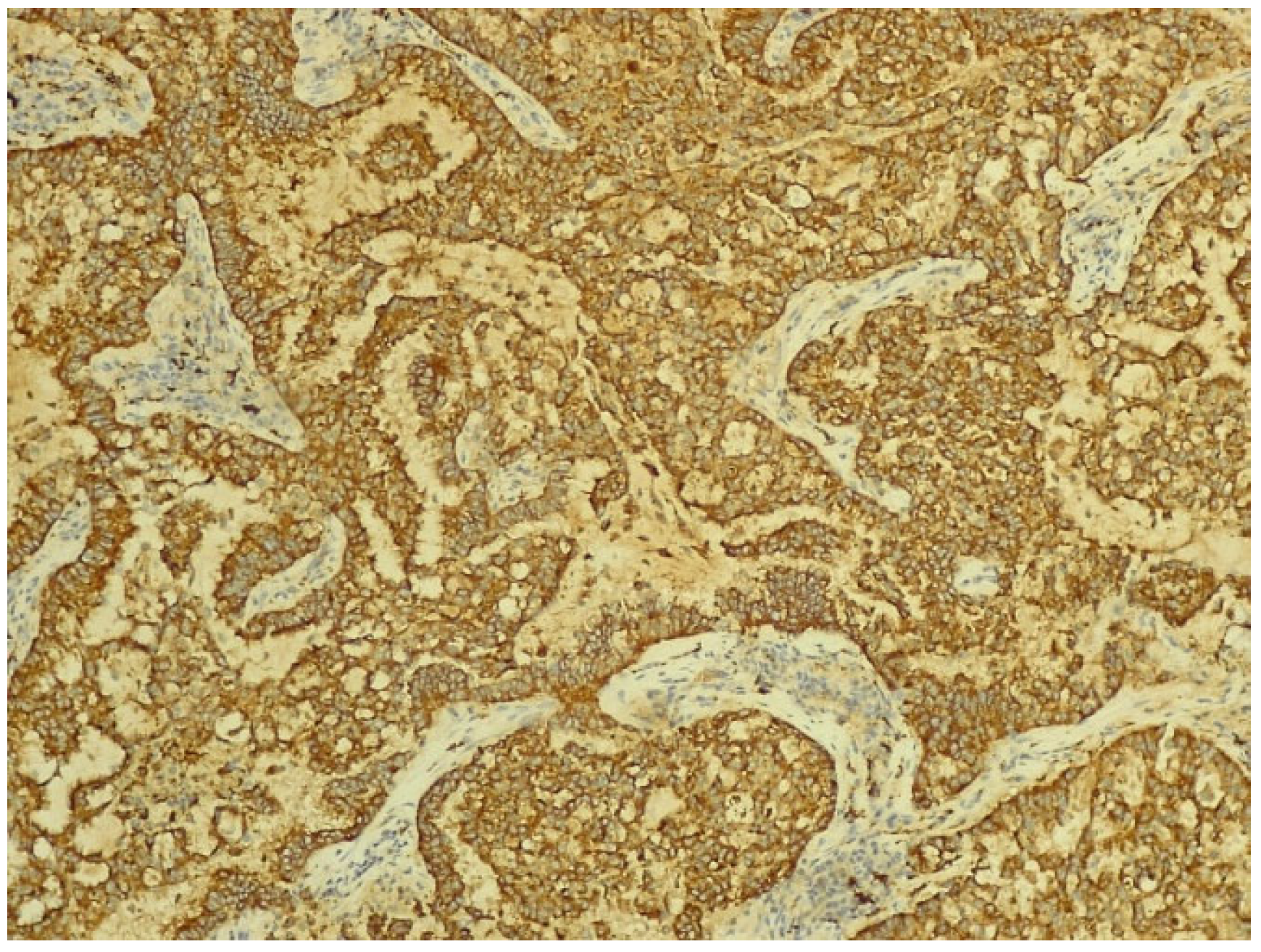
2. Case Report
3. Discussions
4. Conclusions
Author Contributions
Funding
Institutional Review Board Statement
Informed Consent Statement
Data Availability Statement
Acknowledgments
Conflicts of Interest
Abbreviations
| MDPI | Multidisciplinary Digital Publishing Institute |
| DOAJ | Directory of open access journals |
| TLA | Three-letter acronym |
| LD | Linear dichroism |
References
- Bilynsky, B.T.; Dzhus, M.B.; Litvinyak, R.I. The conceptual and clinical problems of paraneoplastic syndrome in oncology and internal medicine. Exp. Oncol. 2015, 37, 82–88. [Google Scholar] [CrossRef] [PubMed]
- Vogrig, A.; Gigli, G.L.; Segatti, S.; Corazza, E.; Marini, A.; Bernardini, A.; Valent, F.; Fabris, M.; Curcio, F.; Brigo, F.; et al. Epidemiology of paraneoplastic neurological syndromes: A population-based study. J. Neurol. 2020, 267, 26–35. [Google Scholar] [CrossRef] [PubMed]
- Binks, S.; Uy, C.; Honnorat, J.; Irani, S.R. Paraneoplastic neurological syndromes: A practical approach to diagnosis and management. Pract. Neurol. 2022, 22, 19–31. [Google Scholar] [CrossRef] [PubMed]
- Weisshaar, E.; Weiss, M.; Mettang, T.; Yosipovitch, G.; Zylicz, Z. Paraneoplastic itch: An expert position statement from the Special Interest Group (SIG) of the International Forum of the Study of Itch (IFSI). Acta Derm. Venereol. 2015, 95, 261–265. [Google Scholar] [CrossRef]
- Vallely, J.J.; Hudson, K.E.; Locke, S.C.; Wolf, S.P.; Samsa, G.P.; Abernethy, A.P.; LeBlanc, T.W. Pruritus in patients with solid tumors: An overlooked supportive care need. Support. Care Cancer. 2019, 27, 3897–3904. [Google Scholar] [CrossRef]
- Khan, F.; Kleppel, H.; Meara, A. Paraneoplastic Musculoskeletal Syndromes. Rheum. Dis. Clin. N. Am. 2020, 46, 577–586. [Google Scholar] [CrossRef] [PubMed]
- Rościszewska, A.; Tokarska, K.; Kośny, A.; Karp, P.; Leja, W.; Żebrowska, A. The Importance and Challenges of Early Diagnosis of Paraneoplastic Skin Syndromes in Cancer Detection—A Review. Cancers 2025, 17, 1053. [Google Scholar] [CrossRef]
- Pereira, M.P.; Farcas, A.; Zeidler, C.; Ständer, S. Chronic Pruritus of Unknown Origin: Clinical Profile and Disease-Related Burden. Acta Derm. Venereol. 2021, 101, adv00550. [Google Scholar] [CrossRef] [PubMed] [PubMed Central]
- Misery, L.; Weisshaar, E.; Brenaut, E.; Evers, A.; Huet, F.; Ständer, S.; Reich, A.; Berardesca, E.; Serra-Baldrich, E.; Wallengren, J.; et al. Special Interest Group on sensitive skin of the International Forum for the Study of Itch (ISFI). Pathophysiology and management of sensitive skin: Position paper from the special interest group on sensitive skin of the International Forum for the Study of Itch (IFSI). J. Eur. Acad. Dermatol. Venereol. 2020, 34, 222–229. [Google Scholar] [CrossRef] [PubMed]
- Andrade, A.; Kuah, C.Y.; Martin-Lopez, J.E.; Chua, S.; Shpadaruk, V.; Sanclemente, G.; Franco, J.V. Interventions for chronic pruritus of unknown origin. Cochrane Database Syst. Rev. 2020, 1, CD013128. [Google Scholar] [CrossRef] [PubMed] [PubMed Central]
- Fett, N.; Haynes, K.; Propert, K.J.; Margolis, D.J. Five-year malignancy incidence in patients with chronic pruritus: A population-based cohort study aimed at limiting unnecessary screening practices. J. Am. Acad. Dermatol. 2014, 70, 651–658. [Google Scholar] [CrossRef] [PubMed] [PubMed Central]
- Lavery, M.J.; Kinney, M.O.; Mochizuki, H.; Craig, J.; Yosipovitch, G. Pruritus: An overview. What drives people to scratch an itch? Ulster Med. J. 2016, 85, 164–173. [Google Scholar] [PubMed] [PubMed Central]
- Guo, C.J.; Grabinski, N.S.; Liu, Q. Peripheral Mechanisms of Itch. J. Investig. Dermatol. 2022, 142, 31–41. [Google Scholar] [CrossRef]
- Alam, J.; Buddenkotte, F.; Ahmad, M. Steinhoff Neurokinin 1 receptor antagonists for pruritus. Drugs 2021, 81, 621–634. [Google Scholar] [CrossRef] [PubMed] [PubMed Central]
- Martins, M.S.; Almeida, I.F.; Cruz, M.T.; Sousa, E. Chronic pruritus: From pathophysiology to drug design. Biochem. Pharmacol. 2023, 212, 115568. [Google Scholar] [CrossRef]
- Hills, R.D., Jr.; Pontefract, B.A.; Mishcon, H.R.; Black, C.A.; Sutton, S.C.; Theberge, C.R. Gut Microbiome: Profound Implications for Diet and Disease. Nutrients 2019, 11, 1613. [Google Scholar] [CrossRef] [PubMed] [PubMed Central]
- Georgescu, D.; Iurciuc, M.S.; Petre, I.; Georgescu, L.A.; Szasz, F.; Ionita, I.; Ancusa, O.E.; Ionita, M.; Lighezan, D. Chronic Pelvic Pain and Irritable Bowel Syndrome: Is Subclinical Inflammation Bridging the Gap? Rev. Chim. 2019, 70, 3634–3637. [Google Scholar] [CrossRef]
- Wang, L.; Alammar, N.; Singh, R.; Nanavati, J.; Song, Y.; Chaudhary, R.; Mullin, G.E. Gut Microbial Dysbiosis in the Irritable Bowel Syndrome: A Systematic Review and Meta-Analysis of Case-Control Studies. J. Acad. Nutr. Diet. 2020, 120, 565–586. [Google Scholar] [CrossRef]
- Yu, D.; Meng, X.; de Vos, W.M.; Wu, H.; Fang, X.; Maiti, A.K. Implications of Gut Microbiota in Complex Human Diseases. Int. J. Mol. Sci. 2021, 22, 12661. [Google Scholar] [CrossRef]
- Ghaffari, P.; Shoaie, S.; Nielsen, L.K. Irritable bowel syndrome and microbiome; Switching from conventional diagnosis and therapies to personalized interventions. J. Transl. Med. 2022, 20, 173. [Google Scholar] [CrossRef]
- Georgescu, D.; Ancusa, O.-E.; Azoulay, D.; Lascu, A.; Ionita, I.; Calamar-Popovici, D.; Ionita, M.; Rosca, C.I.; Brează, G.-M.; Reisz, D.; et al. Portal Vein Thrombosis in Patients with Liver Cirrhosis: What Went Wrong? Int. J. Gen. Med. 2023, 16, 3889–3906. [Google Scholar] [CrossRef] [PubMed] [PubMed Central]
- Song, H.; Yoo, Y.; Hwang, J.; Na, Y.-C.; Kim, H.S. Faecalibacterium prausnitzii subspecies–level dysbiosis in the human gut microbiome underlying atopic dermatitis. J. Allergy Clin. Immunol. 2016, 137, 852–860. [Google Scholar] [CrossRef] [PubMed]
- Ranucci, G.; Buccigrossi, V.; Borgia, E.; Piacentini, D.; Visentin, F.; Cantarutti, L.; Baiardi, P.; Felisi, M.G.; Spagnuolo, M.I.; Zanconato, S. Association between environmental determinants and intestinal microbiota structure in the development of atopic dermatitis in infants at high risk of atopy. J. Pediatr. Gastroenterol. Nutr. 2018, 66, 1162. [Google Scholar]
- Cho, D.-E.; Hong, J.-P.; Kim, Y.; Sim, J.Y.; Kim, H.S.; Kim, S.-R.; Lee, B.; Cho, H.-S.; Cho, I.-H.; Shin, S.; et al. Role of gut-derived bacterial lipopolysaccharide and peripheral TLR4 in immobilization stress-induced itch aggravation in a mouse model of atopic dermatitis. Sci. Rep. 2024, 14, 6263. [Google Scholar] [CrossRef]
- Ryguła, I.; Pikiewicz, W.; Grabarek, B.O.; Wójcik, M.; Kaminiów, K. The Role of the Gut Microbiome and Microbial Dysbiosis in Common Skin Diseases. Int. J. Mol. Sci. 2024, 25, 1984. [Google Scholar] [CrossRef]
- Bray, F.; Ferlay, J.; Soerjomataram, I.; Siegel, R.L.; Torre, L.A.; Jemal, A. Global cancer statistics 2018: GLOBOCAN estimates of incidence and mortality worldwide for 36 cancers in 185 countries. CA Cancer J. Clin. 2018, 68, 394–424. [Google Scholar] [CrossRef] [PubMed]
- Bhatt, A.P.; Redinbo, M.R.; Bultman, S.J. The role of the microbiome in cancer development and therapy. CA Cancer J. Clin. 2017, 67, 326–344. [Google Scholar] [CrossRef]
- Liu, C.; Ng, S.-K.; Ding, Y.; Lin, Y.; Liu, W.; Wong, S.H.; Sung, J.J.-Y.; Yu, J. Meta-analysis of mucosal microbiota reveals universal microbial signatures and dysbiosis in gastric carcinogenesis. Oncogene 2022, 41, 3599–3610. [Google Scholar] [CrossRef]
- Lam, K.C.; Araya, R.E.; Huang, A.; Chen, Q.; Di Modica, M.; Rodrigues, R.R.; Lopès, A.; Johnson, S.B.; Schwarz, B.; Bohrnsen, E.; et al. Microbiota triggers STING-type I IFN-dependent monocyte reprogramming of the tumor microenvironment. Cell 2021, 184, 5338–5356.e21. [Google Scholar] [CrossRef]
- Sánchez-Pérez, S.; Comas-Basté, O.; Duelo, A.; Veciana-Nogués, M.T.; Berlanga, M.; Latorre-Moratalla, M.L.; Vidal-Carou, M.C. Intestinal Dysbiosis in Patients with Histamine Intolerance. Nutrients 2022, 14, 1774. [Google Scholar] [CrossRef]
- Schnedl, W.J.; Lackner, S.; Enko, D.; Schenk, M.; Holasek, S.J.; Mangge, H. Evaluation of Symptoms and Symptom Combinations in Histamine Intolerance. Intest. Res. 2019, 17, 427–433. [Google Scholar] [CrossRef] [PubMed]
- Massari, N.A.; Nicoud, M.B.; Medina, V.A. Histamine receptors and cancer pharmacology: An update. Br. J. Pharmacol. 2020, 177, 516–538. [Google Scholar] [CrossRef] [PubMed]
- Nguyen, P.L.; Cho, J. Pathophysiological Roles of Histamine Receptors in Cancer Progression: Implications and Perspectives as Potential Molecular Targets. Biomolecules 2021, 11, 1232. [Google Scholar] [CrossRef]
- Azimi, H.; Jafari, A.; Maralani, M.; Davoodi, H. The role of histamine and its receptors in breast cancer: From pathology to therapeutic targets. Med. Oncol. 2024, 41, 190. [Google Scholar] [CrossRef]









| Parameters | Baseline Data | Normal Range |
|---|---|---|
| Hb | 13.1 g/L | 12–15 g/L |
| L | 7.5 × 103/mm3 | 4–11 × 103 mm3 |
| Eo | 0.3 | 0.04–0.40 |
| Plt | 258 × 103/dL | 150 × 103–450 × 103 |
| ALT | 31 u/L | 7–56 u/L |
| AST | 28 u/L | 10–40 u/L |
| GGT | 32 iu/L | 0–30 iu/L |
| ALP | 25 iu/L | 30–120 iu/L |
| TB | 0.8 mg/dL | 0.1–1.2 mg/dL |
| Glu | 88 mg/dL | 70–100 mg/dL |
| Hb A1c | 5.4% | <5.7% |
| HOMA-IR | 1.6 | <2.5 |
| T Chol | 228 mg/dL | <200 mg/dL |
| LDL | 131 mg/dL | <100 mg/dL |
| CRP | 1.7 mg/dL | <0.5 mg/dL |
| Fibrinogen | 550 mg/dL | 200–400 mg/dL |
| Creat | 0.9 mg/dL | 0.7–1.3 mg/dL |
| TSH | 3.5 mU/L | 0.5–5 mU/L |
| Ig E | 61 IU/mL | 0–100 IU/mL |
| HBsAg | negative | negative |
| HCV Ab | negative | negative |
| HIV serology | negative | negative |
| AN Ab | negative | negative |
| AM Ab | negative | negative |
| p ANCA | negative | negative |
| Ce Ab | negative | negative |
| Breath test lactose/sorbitol | negative | negative |
| CEA | 2.1 ng/mL | 0–2.5 ng/mL |
| CA19-9 | 14.5 U/mL | <37 U/mL |
| DAO | 2.8 U/mL | >10 U/mL |
| H. pylori Ag | 1.7 U/mL | <0.7 U/mL |
| Stool NGS exam | dysbiosis | normobiosis |
| Microbiota Alterations | Range | |
|---|---|---|
| Shannon index | 2.14 | |
| F/B ratio | 0.7 | |
| LPS + bacteria | Citrobacter spp. | 0.02 |
| Providencia spp. | 0.003 | |
| Seratia spp. | 0.001 | |
| Suterella spp. | 8.042 | |
| H producing bacteria | E. coli | 0.44 |
| Seratia spp. | 0.002 | |
| Klebsiella spp. | 0.551 | |
| Enterobacter spp. | 0.005 | |
| Mucosa protective bacteria | Akkermansia muciniphila | 0.006 |
| Faecalibacterium prausnitzii | 1.02 | |
| Enterotype | 1 | |
Disclaimer/Publisher’s Note: The statements, opinions and data contained in all publications are solely those of the individual author(s) and contributor(s) and not of MDPI and/or the editor(s). MDPI and/or the editor(s) disclaim responsibility for any injury to people or property resulting from any ideas, methods, instructions or products referred to in the content. |
© 2025 by the authors. Licensee MDPI, Basel, Switzerland. This article is an open access article distributed under the terms and conditions of the Creative Commons Attribution (CC BY) license (https://creativecommons.org/licenses/by/4.0/).
Share and Cite
Georgescu, D.; Lighezan, D.; Ionita, M.; Ciubotaru, P.; Cozma, G.; Faur, A.; Suceava, I.; Ancusa, O.E.; Buzas, R. Involvement of Pruritus, Gut Dysbiosis and Histamine-Producing Bacteria in Paraneoplastic Syndromes. Biomedicines 2025, 13, 1036. https://doi.org/10.3390/biomedicines13051036
Georgescu D, Lighezan D, Ionita M, Ciubotaru P, Cozma G, Faur A, Suceava I, Ancusa OE, Buzas R. Involvement of Pruritus, Gut Dysbiosis and Histamine-Producing Bacteria in Paraneoplastic Syndromes. Biomedicines. 2025; 13(5):1036. https://doi.org/10.3390/biomedicines13051036
Chicago/Turabian StyleGeorgescu, Doina, Daniel Lighezan, Mihai Ionita, Paul Ciubotaru, Gabriel Cozma, Alexandra Faur, Ioana Suceava, Oana Elena Ancusa, and Roxana Buzas. 2025. "Involvement of Pruritus, Gut Dysbiosis and Histamine-Producing Bacteria in Paraneoplastic Syndromes" Biomedicines 13, no. 5: 1036. https://doi.org/10.3390/biomedicines13051036
APA StyleGeorgescu, D., Lighezan, D., Ionita, M., Ciubotaru, P., Cozma, G., Faur, A., Suceava, I., Ancusa, O. E., & Buzas, R. (2025). Involvement of Pruritus, Gut Dysbiosis and Histamine-Producing Bacteria in Paraneoplastic Syndromes. Biomedicines, 13(5), 1036. https://doi.org/10.3390/biomedicines13051036

