Exploring the Potential of Voxel-Mirrored Homotopic Connectivity (VMHC) and Regional Homogeneity (ReHo) in Understanding Cognitive Changes After Heart Transplantation
Abstract
1. Introduction
2. Materials and Methods
2.1. Objects
2.2. Cognitive Assessment
2.3. MRI Data Acquisition
2.4. Data Preprocessing
2.5. Calculation of Indicators
2.6. Statistical Analysis
3. Results
3.1. Demographics and Scale Results
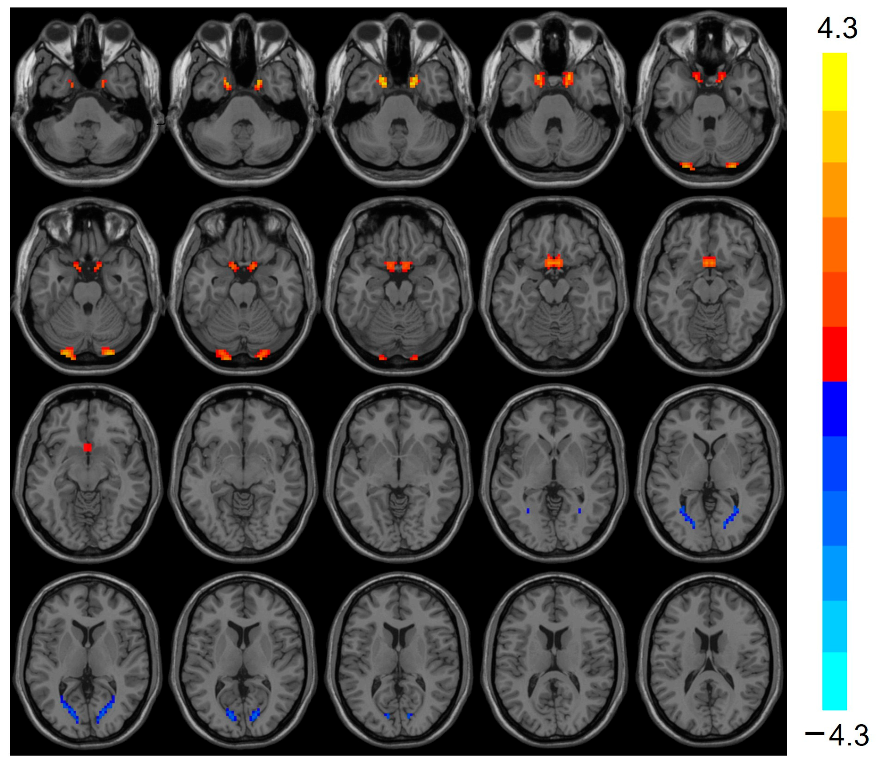
3.2. ReHo Analysis Results
3.3. VMHC Analysis Results
3.4. Correlation Analysis of Differential Brain Regions with Cognitive Scales
4. Discussion
5. Limitations
6. Conclusions
Author Contributions
Funding
Institutional Review Board Statement
Informed Consent Statement
Data Availability Statement
Conflicts of Interest
Abbreviations
| VMHC | voxel-mirrored homotopic connectivity. |
| ReHo | regional homogeneity |
| MMSE | Mini-Mental State Examination |
| MoCA | Montreal Cognitive Assessment |
| POCD | postoperative cognitive dysfunction |
| rs-fMRI | resting-state functional MRI |
| DMN | default mode network |
| KCC | Kendall’s concordance coefficient |
| MCI | mild cognitive impairment |
References
- Khush, K.K.; Hsich, E.; Potena, L.; Cherikh, W.S.; Chambers, D.C.; Harhay, M.O.; Hayes, D., Jr.; Perch, M.; Sadavarte, A.; Toll, A.; et al. The International Thoracic Organ Transplant Registry of the International Society for Heart and Lung Transplantation: Thirty-eighth adult heart transplantation report—2021; Focus on recipient characteristics. J. Heart Lung Transplant. Off. Publ. Int. Soc. Heart Transplant. 2021, 40, 1035–1049. [Google Scholar] [CrossRef] [PubMed]
- Velleca, A.; Shullo, M.A.; Dhital, K.; Azeka, E.; Colvin, M.; DePasquale, E.; Farrero, M.; García-Guereta, L.; Jamero, G.; Khush, K.; et al. The International Society for Heart and Lung Transplantation (ISHLT) guidelines for the care of heart transplant recipients. J. Heart Lung Transplant. Off. Publ. Int. Soc. Heart Transplant. 2023, 42, e1–e141. [Google Scholar] [CrossRef]
- van Dijk, D.; Keizer, A.M.; Diephuis, J.C.; Durand, C.; Vos, L.J.; Hijman, R. Neurocognitive dysfunction after coronary artery bypass surgery: A systematic review. J. Thorac. Cardiovasc. Surg. 2000, 120, 632–639. [Google Scholar] [CrossRef] [PubMed]
- Sun, X.; Lindsay, J.; Monsein, L.H.; Hill, P.C.; Corso, P.J. Silent brain injury after cardiac surgery: A review: Cognitive dysfunction and magnetic resonance imaging diffusion-weighted imaging findings. J. Am. Coll. Cardiol. 2012, 60, 791–797. [Google Scholar] [CrossRef] [PubMed]
- Guenther, U.; Hoffmann, F.; Dewald, O.; Malek, R.; Brimmers, K.; Theuerkauf, N.; Putensen, C.; Popp, J. Preoperative Cognitive Impairment and Postoperative Delirium Predict Decline in Activities of Daily Living after Cardiac Surgery-A Prospective, Observational Cohort Study. Geriatrics 2020, 5, 69. [Google Scholar] [CrossRef]
- Olotu, C. Postoperative neurocognitive disorders. Curr. Opin. Anaesthesiol. 2020, 33, 101–108. [Google Scholar] [CrossRef]
- Roman, D.D.; Holker, E.G.; Missov, E.; Colvin, M.M.; Menk, J. Neuropsychological functioning in heart transplant candidates. Clin. Neuropsychol. 2017, 31, 118–137. [Google Scholar] [CrossRef] [PubMed]
- Yan, W.; Palaniyappan, L.; Liddle, P.F.; Rangaprakash, D.; Wei, W.; Deshpande, G. Characterization of Hemodynamic Alterations in Schizophrenia and Bipolar Disorder and Their Effect on Resting-State fMRI Functional Connectivity. Schizophr. Bull. 2022, 48, 695–711. [Google Scholar] [CrossRef]
- Smallwood, J.; Bernhardt, B.C.; Leech, R.; Bzdok, D.; Jefferies, E.; Margulies, D.S. The default mode network in cognition: A topographical perspective. Nat. Rev. Neurosci. 2021, 22, 503–513. [Google Scholar] [CrossRef]
- Menon, V. 20 years of the default mode network: A review and synthesis. Neuron 2023, 111, 2469–2487. [Google Scholar] [CrossRef]
- Zuo, X.N.; Kelly, C.; Di Martino, A.; Mennes, M.; Margulies, D.S.; Bangaru, S.; Grzadzinski, R.; Evans, A.C.; Zang, Y.F.; Castellanos, F.X.; et al. Growing together and growing apart: Regional and sex differences in the lifespan developmental trajectories of functional homotopy. J. Neurosci. Off. J. Soc. Neurosci. 2010, 30, 15034–15043. [Google Scholar] [CrossRef] [PubMed]
- Zang, Y.; Jiang, T.; Lu, Y.; He, Y.; Tian, L. Regional homogeneity approach to fMRI data analysis. NeuroImage 2004, 22, 394–400. [Google Scholar] [CrossRef] [PubMed]
- Chen, S.; Honda, T.; Narazaki, K.; Chen, T.; Nofuji, Y.; Kumagai, S. Global cognitive performance and frailty in non-demented community-dwelling older adults: Findings from the Sasaguri Genkimon Study. Geriatr. Gerontol. Int. 2016, 16, 729–736. [Google Scholar] [CrossRef]
- Jia, X.; Wang, Z.; Huang, F.; Su, C.; Du, W.; Jiang, H.; Wang, H.; Wang, J.; Wang, F.; Su, W.; et al. A comparison of the Mini-Mental State Examination (MMSE) with the Montreal Cognitive Assessment (MoCA) for mild cognitive impairment screening in Chinese middle-aged and older population: A cross-sectional study. BMC Psychiatry 2021, 21, 485. [Google Scholar] [CrossRef]
- Yan, C.G.; Wang, X.D.; Zuo, X.N.; Zang, Y.F. DPABI: Data Processing & Analysis for (Resting-State) Brain Imaging. Neuroinformatics 2016, 14, 339–351. [Google Scholar] [CrossRef] [PubMed]
- Bürker, B.S.; Gude, E.; Gullestad, L.; Grov, I.; Relbo Authen, A.; Andreassen, A.K.; Havik, O.E.; Dew, M.A.; Fiane, A.E.; Haraldsen, I.R.; et al. Cognitive function among long-term survivors of heart transplantation. Clin. Transplant. 2017, 31, e13143. [Google Scholar] [CrossRef] [PubMed]
- Liu, Y.; Yang, W.; Xue, J.; Chen, J.; Liu, S.; Zhang, S.; Zhang, X.; Gu, X.; Dong, Y.; Qiu, P. Neuroinflammation: The central enabler of postoperative cognitive dysfunction. Biomed. Pharmacother. Biomed. Pharmacother. 2023, 167, 115582. [Google Scholar] [CrossRef]
- Leslie, M. The post-op brain. Science 2017, 356, 898–900. [Google Scholar] [CrossRef]
- Luo, A.; Yan, J.; Tang, X.; Zhao, Y.; Zhou, B.; Li, S. Postoperative cognitive dysfunction in the aged: The collision of neuroinflammaging with perioperative neuroinflammation. Inflammopharmacology 2019, 27, 27–37. [Google Scholar] [CrossRef] [PubMed]
- Wu, H.; Song, Y.; Yang, X.; Chen, S.; Ge, H.; Yan, Z.; Qi, W.; Yuan, Q.; Liang, X.; Lin, X.; et al. Functional and structural alterations of dorsal attention network in preclinical and early-stage Alzheimer’s disease. CNS Neurosci. Ther. 2023, 29, 1512–1524. [Google Scholar] [CrossRef]
- Zhang, Z.; Liu, Y.; Jiang, T.; Zhou, B.; An, N.; Dai, H.; Wang, P.; Niu, Y.; Wang, L.; Zhang, X. Altered spontaneous activity in Alzheimer’s disease and mild cognitive impairment revealed by Regional Homogeneity. NeuroImage 2012, 59, 1429–1440. [Google Scholar] [CrossRef] [PubMed]
- Liu, L.; Jiang, H.; Wang, D.; Zhao, X.F. A study of regional homogeneity of resting-state Functional Magnetic Resonance Imaging in mild cognitive impairment. Behav. Brain Res. 2021, 402, 113103. [Google Scholar] [CrossRef] [PubMed]
- Alagapan, S.; Lustenberger, C.; Hadar, E.; Shin, H.W.; Fröhlich, F. Low-frequency direct cortical stimulation of left superior frontal gyrus enhances working memory performance. NeuroImage 2019, 184, 697–706. [Google Scholar] [CrossRef]
- Qiu, E.; Xing, X.; Wang, Y.; Tian, L. Altered functional connectivity of the thalamus and salience network in patients with cluster headache: A pilot study. Neurol. Sci. Off. J. Ital. Neurol. Soc. Ital. Soc. Clin. Neurophysiol. 2024, 45, 269–276. [Google Scholar] [CrossRef]
- Hwang, K.; Bruss, J.; Tranel, D.; Boes, A.D. Network Localization of Executive Function Deficits in Patients with Focal Thalamic Lesions. J. Cogn. Neurosci. 2020, 32, 2303–2319. [Google Scholar] [CrossRef]
- He, X.; Zhang, Y.; Chen, J.; Xie, C.; Gan, R.; Wang, L.; Wang, L. Changes in theta activities in the left posterior temporal region, left occipital region and right frontal region related to mild cognitive impairment in Parkinson’s disease patients. Int. J. Neurosci. 2017, 127, 66–72. [Google Scholar] [CrossRef]
- Li, M.; Zheng, G.; Zheng, Y.; Xiong, Z.; Xia, R.; Zhou, W.; Wang, Q.; Liang, S.; Tao, J.; Chen, L. Alterations in resting-state functional connectivity of the default mode network in amnestic mild cognitive impairment: An fMRI study. BMC Med. Imaging 2017, 17, 48. [Google Scholar] [CrossRef]
- Tan, S.W.; Cai, G.Q.; Li, Q.Y.; Guo, Y.; Pan, Y.C.; Zhang, L.J.; Ge, Q.M.; Shu, H.Y.; Zeng, X.J.; Shao, Y. Interhemispheric Functional Connectivity Alterations in Diabetic Optic Neuropathy: A Resting-State Functional Magnetic Resonance Imaging Study. Diabetes Metab. Syndr. Obes. Targets Ther. 2021, 14, 2077–2086. [Google Scholar] [CrossRef]
- Hewitt, A.L.; Popa, L.S.; Ebner, T.J. Changes in Purkinje cell simple spike encoding of reach kinematics during adaption to a mechanical perturbation. J. Neurosci. Off. J. Soc. Neurosci. 2015, 35, 1106–1124. [Google Scholar] [CrossRef][Green Version]
- Cheron, G.; Servais, L.; Dan, B. Cerebellar network plasticity: From genes to fast oscillation. Neuroscience 2008, 153, 1–19. [Google Scholar] [CrossRef]
- Guell, X.; Schmahmann, J. Cerebellar Functional Anatomy: A Didactic Summary Based on Human fMRI Evidence. Cerebellum 2020, 19, 1–5. [Google Scholar] [CrossRef] [PubMed]
- Pagen, L.H.G.; van de Ven, V.G.; Gronenschild, E.; Priovoulos, N.; Verhey, F.R.J.; Jacobs, H.I.L. Contributions of Cerebro-Cerebellar Default Mode Connectivity Patterns to Memory Performance in Mild Cognitive Impairment. J. Alzheimer’s Dis. 2020, 75, 633–647. [Google Scholar] [CrossRef] [PubMed]
- Yu, M.; Sporns, O.; Saykin, A.J. The human connectome in Alzheimer disease—Relationship to biomarkers and genetics. Nat. Rev. Neurol. 2021, 17, 545–563. [Google Scholar] [CrossRef]
- Brunoni, A.R.; Moffa, A.H.; Fregni, F.; Palm, U.; Padberg, F.; Blumberger, D.M.; Daskalakis, Z.J.; Bennabi, D.; Haffen, E.; Alonzo, A.; et al. Transcranial direct current stimulation for acute major depressive episodes: Meta-analysis of individual patient data. Br. J. Psychiatry J. Ment. Sci. 2016, 208, 522–531. [Google Scholar] [CrossRef]




| Variable | HT | HC | t/χ2 | p-Value | Cohen’s d | 95% CI |
|---|---|---|---|---|---|---|
| Number of subjects | 68 | 56 | - | - | - | - |
| Age (years) | 49.04 ± 12.57 | 51.77 ± 10.43 | 1.319 | 0.190 | 0.234 | (−0.122, 0.588) |
| Gender (male/female) | 42/26 | 26/30 | 2.916 | 0.088 | - | - |
| Education (years) | 11.90 ± 3.90 | 13.02 ± 3.68 | 1.635 | 0.105 | 0.295 | (−0.061, 0.650) |
| MMSE score | 26.72 ± 4.06 | 28.75 ± 0.792 | 4.028 | <0.001 | 0.664 | (0.299, 1.026) |
| MoCA score | 23.38 ± 4.84 | 26.80 ± 2.81 | 4.914 | <0.001 | 0.845 | (0.474, 1.212) |
| Visuospatial/executive | 3.13 ± 1.18 | 4.57 ± 0.57 | 7.175 | <0.001 | 1.510 | (1.109, 1.911) |
| Naming | 2.52 ± 0.80 | 2.86 ± 0.36 | 2.519 | 0.014 | 0.531 | (0.170, 0.891) |
| Attention | 5.08 ± 1.13 | 5.82 ± 0.48 | 3.972 | <0.001 | 0.825 | (0.456, 1.193) |
| Language | 1.65 ± 0.81 | 2.39 ± 0.69 | 4.090 | <0.001 | 0.976 | (0.602, 1.350) |
| Abstraction | 1.19 ± 0.70 | 1.89 ± 0.31 | 5.988 | <0.001 | 1.252 | (0.865, 1.639) |
| Memory | 0.63 ± 0.89 | 3.57 ± 1.45 | 9.729 | <0.001 | 2.499 | (2.027, 2.972) |
| Orientation | 5.88 ± 0.33 | 5.93 ± 0.26 | 0.727 | 0.470 | 0.166 | (−0.187, 0.520) |
| Regions | Clusters Voxels | Peak MNI Coordinate | T-Values | ||
|---|---|---|---|---|---|
| x | y | z | |||
| Frontal_Sup_R | 43 | 24 | 6 | 54 | −4.422 |
| Thalamus_L | 29 | −9 | −30 | −3 | −3.911 |
| Calcarine_L | 34 | −12 | −84 | 6 | −3.640 |
| Temporal_Sup_L | 26 | −36 | −21 | 9 | 4.609 |
| Regions | Clusters Voxels | Peak MNI Coordinate | T-Values | ||
|---|---|---|---|---|---|
| x | y | z | |||
| Cerebelum_Crus1_L | 22 | −27 | −93 | −24 | 3.803 |
| Cerebelum_Crus1_R | 22 | 27 | −93 | −24 | 3.803 |
| Calcarine_L | 49 | −15 | −78 | 9 | −3.424 |
| Calcarine_R | 49 | 15 | −78 | 9 | −3.424 |
Disclaimer/Publisher’s Note: The statements, opinions and data contained in all publications are solely those of the individual author(s) and contributor(s) and not of MDPI and/or the editor(s). MDPI and/or the editor(s) disclaim responsibility for any injury to people or property resulting from any ideas, methods, instructions or products referred to in the content. |
© 2025 by the authors. Licensee MDPI, Basel, Switzerland. This article is an open access article distributed under the terms and conditions of the Creative Commons Attribution (CC BY) license (https://creativecommons.org/licenses/by/4.0/).
Share and Cite
Qin, Q.; Liu, J.; Fan, W.; Zhang, X.; Lu, J.; Guo, X.; Lei, Z.; Wang, J. Exploring the Potential of Voxel-Mirrored Homotopic Connectivity (VMHC) and Regional Homogeneity (ReHo) in Understanding Cognitive Changes After Heart Transplantation. Biomedicines 2025, 13, 873. https://doi.org/10.3390/biomedicines13040873
Qin Q, Liu J, Fan W, Zhang X, Lu J, Guo X, Lei Z, Wang J. Exploring the Potential of Voxel-Mirrored Homotopic Connectivity (VMHC) and Regional Homogeneity (ReHo) in Understanding Cognitive Changes After Heart Transplantation. Biomedicines. 2025; 13(4):873. https://doi.org/10.3390/biomedicines13040873
Chicago/Turabian StyleQin, Qian, Jia Liu, Wenliang Fan, Xinli Zhang, Jue Lu, Xiaotong Guo, Ziqiao Lei, and Jing Wang. 2025. "Exploring the Potential of Voxel-Mirrored Homotopic Connectivity (VMHC) and Regional Homogeneity (ReHo) in Understanding Cognitive Changes After Heart Transplantation" Biomedicines 13, no. 4: 873. https://doi.org/10.3390/biomedicines13040873
APA StyleQin, Q., Liu, J., Fan, W., Zhang, X., Lu, J., Guo, X., Lei, Z., & Wang, J. (2025). Exploring the Potential of Voxel-Mirrored Homotopic Connectivity (VMHC) and Regional Homogeneity (ReHo) in Understanding Cognitive Changes After Heart Transplantation. Biomedicines, 13(4), 873. https://doi.org/10.3390/biomedicines13040873

