Nerve Enlargement in Patients with INF2 Variants Causing Peripheral Neuropathy and Focal Segmental Glomerulosclerosis
Abstract
1. Introduction
2. Materials and Methods
2.1. Mutational Analysis
2.2. Structural Analysis
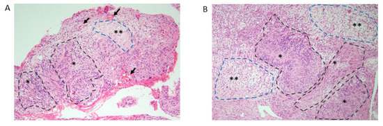
3. Results
4. Discussion
4.1. Mechanisms Through Which INF2 Variants Cause Glomerulopathy and Neuropathy
4.2. Clinical Features of Hypertrophied Nerves in CMT Caused by INF2 Variants
4.3. Roles of Schwannomatosis-Related Genes in Nerve Enlargement
4.4. Limitations
5. Conclusions
Supplementary Materials
Author Contributions
Funding
Institutional Review Board Statement
Informed Consent Statement
Data Availability Statement
Acknowledgments
Conflicts of Interest
References
- Skre, H. Genetic and clinical aspects of Charcot-Marie-Tooth’s disease. Clin. Genet. 1974, 6, 98–118. [Google Scholar] [CrossRef] [PubMed]
- Pipis, M.; Rossor, A.M.; Laura, M.; Reilly, M.M. Next-generation sequencing in Charcot-Marie-Tooth disease: Opportunities and challenges. Nat. Rev. Neurol. 2019, 15, 644–656. [Google Scholar] [CrossRef]
- Pareyson, D.; Scaioli, V.; Laura, M. Clinical and electrophysiological aspects of Charcot-Marie-Tooth disease. Neuromolecular. Med. 2006, 8, 3–22. [Google Scholar] [CrossRef] [PubMed]
- Boyer, O.; Nevo, F.; Plaisier, E.; Funalot, B.; Gribouval, O.; Benoit, G.; Huynh Cong, E.; Arrondel, C.; Tete, M.J.; Montjean, R.; et al. INF2 mutations in Charcot-Marie-Tooth disease with glomerulopathy. N. Eng. J. Med. 2011, 365, 2377–2388. [Google Scholar] [CrossRef] [PubMed]
- Korobova, F.; Ramabhadran, V.; Higgs, H.N. An actin-dependent step in mitochondrial fission mediated by the ER-associated formin INF2. Science 2013, 339, 464–467. [Google Scholar] [CrossRef] [PubMed]
- Labat-de-Hoz, L.; Jiménez, M.; Correas, I.; Alonso, M.A. Regulation of formin INF2 and its alteration in INF2-linked inherited disorders. Cell. Mol. Life Sci. 2024, 81, 463. [Google Scholar] [CrossRef]
- Palmer, N.J.; Barrie, K.R.; Dominguez, R. Mechanisms of actin filament severing and elongation by formins. Nature 2024, 632, 437–442. [Google Scholar] [CrossRef]
- Park, J.H.; Kwon, H.M.; Nam, D.E.; Kim, H.J.; Nam, S.H.; Kim, S.B.; Choi, B.O.; Chung, K.W. INF2 mutations in patients with a broad phenotypic spectrum of Charcot-Marie-Tooth disease and focal segmental glomerulosclerosis. J. Peripher. Nerv. Syst. 2023, 28, 108–118. [Google Scholar] [CrossRef]
- Werheid, F.; Azzedine, H.; Zwerenz, E.; Bozkurt, A.; Moeller, M.J.; Lin, L.; Mull, M.; Häusler, M.; Schulz, J.B.; Weis, J.; et al. Underestimated associated features in CMT neuropathies: Clinical indicators for the causative gene? Brain 2016, 6, e00451. [Google Scholar] [CrossRef]
- Pareyson, D.; Testa, D.; Morbin, M.; Erbetta, A.; Ciano, C.; Lauria, G.; Milani, M.; Taroni, F.J.N. Does CMT1A homozygosity cause more severe disease with root hypertrophy and higher CSF proteins? Neurology 2003, 60, 1721–1722. [Google Scholar]
- Heckmann, J.G.; Dütsch, M.; Buslei, R. Hereditary neuropathy with liability to pressure palsy combined with schwannomas of the median and medial plantar nerves. Muscle Nerve 2007, 35, 122–124. [Google Scholar] [CrossRef] [PubMed]
- Kwon, J.Y.; Chung, K.W.; Park, E.K.; Park, S.W.; Choi, B.-O. Charcot-Marie-Tooth 1A concurrent with schwannomas of the spinal cord and median nerve. J. Korean Med. Sci. 2009, 24, 763–766. [Google Scholar] [CrossRef] [PubMed]
- Lancaster, E.; Elman, L.B.; Scherer, S.S. A Patient with neurofibromatosis type 1 and Charcot–Marie–Tooth disease type 1B. Muscle Nerve 2010, 41, 555–558. [Google Scholar] [CrossRef] [PubMed]
- Ueda, H.; Tran, Q.T.H.; Tran, L.N.T.; Higasa, K.; Ikeda, Y.; Kondo, N.; Hashiyada, M.; Sato, C.; Sato, Y.; Ashida, A. Characterization of cytoskeletal and structural effects of INF2 variants causing glomerulopathy and neuropathy. Sci. Rep. 2023, 13, 12003. [Google Scholar] [CrossRef]
- Li, H.; Durbin, R. Fast and accurate short read alignment with Burrows-Wheeler transform. Bioinformatics 2009, 25, 1754–1760. [Google Scholar] [CrossRef]
- DePristo, M.A.; Banks, E.; Poplin, R.; Garimella, K.V.; Maguire, J.R.; Hartl, C.; Philippakis, A.A.; del Angel, G.; Rivas, M.A.; Hanna, M.; et al. A framework for variation discovery and genotyping using next-generation DNA sequencing data. Nat. Genet. 2011, 43, 491–498. [Google Scholar] [CrossRef]
- Richards, S.; Aziz, N.; Bale, S.; Bick, D.; Das, S.; Gastier-Foster, J.; Grody, W.W.; Hegde, M.; Lyon, E.; Spector, E. Standards and guidelines for the interpretation of sequence variants: A joint consensus recommendation of the American College of Medical Genetics and Genomics and the Association for Molecular Pathology. Genet. Med. 2015, 17, 405–423. [Google Scholar] [CrossRef]
- Paladino, A.; D’Angelo, F.; Noviello, T.M.R.; Iavarone, A.; Ceccarelli, M. Structural Model for Recruitment of RIT1 to the LZTR1 E3 Ligase: Evidences from an Integrated Computational Approach. J. Chem. Inf. Model 2021, 61, 1875–1888. [Google Scholar] [CrossRef]
- Hara, M.; Ichida, F.; Higuchi, A.; Tanizawa, T.; Okada, T. Nephropathy associated with Charcot-Marie-Tooth disease. J. Pediatr. Nephrol. 1984, 5, 99–102. [Google Scholar]
- Toyota, K.; Ogino, D.; Hayashi, M.; Taki, M.; Saito, K.; Abe, A.; Hashimoto, T.; Umetsu, K.; Tsukaguchi, H.; Hayasaka, K. INF2 mutations in Charcot-Marie-Tooth disease complicated with focal segmental glomerulosclerosis. J. Peripher. Nerv. Syst. 2013, 18, 97–98. [Google Scholar] [CrossRef]
- Bütefisch, C.; Gutmann, L.; Gutmann, L. Compression of spinal cord and cauda equina in Charcot-Marie-Tooth disease type 1A. Neurology 1999, 52, 890. [Google Scholar] [CrossRef] [PubMed]
- Midroni, G.; de Tilly, L.N.; Gray, B.; Vajsar, J. MRI of the cauda equina in CIDP: Clinical correlations. J. Neurol. Sci. 1999, 170, 36–44. [Google Scholar] [CrossRef] [PubMed]
- Umeki, I.; Niihori, T.; Abe, T.; Kanno, S.-i.; Okamoto, N.; Mizuno, S.; Kurosawa, K.; Nagasaki, K.; Yoshida, M.; Ohashi, H. Delineation of LZTR1 mutation-positive patients with Noonan syndrome and identification of LZTR1 binding to RAF1–PPP1CB complexes. Hum. Genet. 2019, 138, 21–35. [Google Scholar] [CrossRef] [PubMed]
- Zhang, K.; Lin, J.W.; Wang, J.; Wu, X.; Gao, H.; Hsieh, Y.C.; Hwu, P.; Liu, Y.R.; Su, L.; Chiou, H.Y.; et al. A germline missense mutation in COQ6 is associated with susceptibility to familial schwannomatosis. Genet. Med. 2014, 16, 787–792. [Google Scholar] [CrossRef]
- Kehrer-Sawatzki, H.; Farschtschi, S.; Mautner, V.F.; Cooper, D.N. The molecular pathogenesis of schwannomatosis, a paradigm for the co-involvement of multiple tumour suppressor genes in tumorigenesis. Hum. Genet. 2017, 136, 129–148. [Google Scholar] [CrossRef]
- Piotrowski, A.; Xie, J.; Liu, Y.F.; Poplawski, A.B.; Gomes, A.R.; Madanecki, P.; Fu, C.; Crowley, M.R.; Crossman, D.K.; Armstrong, L. Germline loss-of-function mutations in LZTR1 predispose to an inherited disorder of multiple schwannomas. Nat. Genet. 2014, 46, 182–187. [Google Scholar] [CrossRef]
- Min, B.-J.; Kang, Y.K.; Chung, Y.-G.; Seo, M.-E.; Chang, K.B.; Joo, M.W. Germline mutations for novel candidate predisposition genes in sporadic schwannomatosis. Clin. Orthop. Relat. Res. 2020, 478, 2442–2450. [Google Scholar] [CrossRef]
- Mademan, I.; Deconinck, T.; Dinopoulos, A.; Voit, T.; Schara, U.; Devriendt, K.; Meijers, B.; Lerut, E.; De Jonghe, P.; Baets, J. De novo INF2 mutations expand the genetic spectrum of hereditary neuropathy with glomerulopathy. Neurology 2013, 81, 1953–1958. [Google Scholar] [CrossRef]
- Rodriguez, P.Q.; Lohkamp, B.; Celsi, G.; Mache, C.J.; Auer-Grumbach, M.; Wernerson, A.; Hamajima, N.; Tryggvason, K.; Patrakka, J. Novel INF2 mutation p. L77P in a family with glomerulopathy and Charcot-Marie-Tooth neuropathy. Pediatr. Nephrol. 2013, 28, 339–343. [Google Scholar] [CrossRef]
- Tracy, J.A.; Dyck, P.J.; Klein, C.J.; Engelstad, J.K.; Meyer, J.E.; Dyck, P.J.B. Onion-bulb patterns predict acquired or inherited demyelinating polyneuropathy. Muscle Nerve 2019, 59, 665–670. [Google Scholar] [CrossRef]
- Tran, Q.T.H.; Kondo, N.; Ueda, H.; Matsuo, Y.; Tsukaguchi, H. Altered Endoplasmic Reticulum Integrity and Organelle Interactions in Living Cells Expressing INF2 Variants. Int. J. Mol. Sci. 2024, 25, 9783. [Google Scholar] [CrossRef] [PubMed]
- Griffin, J.; Stocks, E.; Fahnestock, K.; Van Praagh, A.; Trapp, B. Schwann cell proliferation following lysolecithin-induced demyelination. J. Neurocytol. 1990, 19, 367–384. [Google Scholar] [CrossRef] [PubMed]
- van Paassen, B.W.; van der Kooi, A.J.; van Spaendonck-Zwarts, K.Y.; Verhamme, C.; Baas, F.; de Visser, M. PMP22 related neuropathies: Charcot-Marie-Tooth disease type 1A and Hereditary Neuropathy with liability to Pressure Palsies. Orphanet. J. Rare. Dis. 2014, 9, 38. [Google Scholar] [CrossRef] [PubMed]
- Jessen, K.R.; Mirsky, R.; Lloyd, A.C. Schwann Cells: Development and Role in Nerve Repair. Cold Spring Harb. Perspect. Biol. 2015, 7, a020487. [Google Scholar] [CrossRef]
- Cellerini, M.; Salti, S.; Desideri, V.; Marconi, G. MR imaging of the cauda equina in hereditary motor sensory neuropathies: Correlations with sural nerve biopsy. Am. J. Neuroradiol. 2000, 21, 1793–1798. [Google Scholar]
- Subramanian, B.; Williams, S.; Karp, S.; Hennino, M.F.; Jacas, S.; Lee, M.; Riella, C.V.; Alper, S.L.; Higgs, H.N.; Pollak, M.R. INF2 mutations cause kidney disease through a gain-of-function mechanism. Sci. Adv. 2024, 10, eadr1017. [Google Scholar] [CrossRef]
- Bayraktar, S.; Nehrig, J.; Menis, E.; Karli, K.; Janning, A.; Struk, T.; Halbritter, J.; Michgehl, U.; Krahn, M.P.; Schuberth, C.E.; et al. A Deregulated Stress Response Underlies Distinct INF2-Associated Disease Profiles. J. Am. Soc. Nephrol. 2020, 31, 1296–1313. [Google Scholar] [CrossRef]
- Lin, A.L.; Gutmann, D.H. Advances in the treatment of neurofibromatosis-associated tumours. Nat. Rev. Clin. Oncol. 2013, 10, 616–624. [Google Scholar] [CrossRef]
- Petrilli, A.M.; Fernández-Valle, C. Role of Merlin/NF2 inactivation in tumor biology. Oncogene 2016, 35, 537–548. [Google Scholar] [CrossRef]
- Tartaglia, M.; Aoki, Y.; Gelb, B.D. The Molecular Genetics of RASopathies: An Update on Novel Disease Genes and New Disorders; American Journal of Medical Genetics Part C: Seminars in Medical Genetics; Wiley Online Library: Hoboken, NJ, USA, 2022; pp. 425–439. [Google Scholar]
- Zhang, Y.; Long, J.; Ren, J.; Huang, X.; Zhong, P.; Wang, B. Potential molecular biomarkers of vestibular schwannoma growth: Progress and prospects. Front. Oncol. 2021, 11, 731441. [Google Scholar] [CrossRef]
- Asthagiri, A.R.; Parry, D.M.; Butman, J.A.; Kim, H.J.; Tsilou, E.T.; Zhuang, Z.; Lonser, R.R. Neurofibromatosis type 2. Lancet 2009, 373, 1974–1986. [Google Scholar] [CrossRef] [PubMed]
- Farncombe, K.M.; Thain, E.; Barnett-Tapia, C.; Sadeghian, H.; Kim, R.H. LZTR1 molecular genetic overlap with clinical implications for Noonan syndrome and schwannomatosis. BMC Med. Genom. 2022, 15, 160. [Google Scholar] [CrossRef] [PubMed]
- Bigenzahn, J.W.; Collu, G.M.; Kartnig, F.; Pieraks, M.; Vladimer, G.I.; Heinz, L.X.; Sedlyarov, V.; Schischlik, F.; Fauster, A.; Rebsamen, M. LZTR1 is a regulator of RAS ubiquitination and signaling. Science 2018, 362, 1171–1177. [Google Scholar] [CrossRef] [PubMed]
- Castel, P.; Cheng, A.; Cuevas-Navarro, A.; Everman, D.B.; Papageorge, A.G.; Simanshu, D.K.; Tankka, A.; Galeas, J.; Urisman, A.; McCormick, F. RIT1 oncoproteins escape LZTR1-mediated proteolysis. Science 2019, 363, 1226–1230. [Google Scholar] [CrossRef]
- Olson, E.N.; Nordheim, A. Linking actin dynamics and gene transcription to drive cellular motile functions. Nat. Rev. Mol. Cell Biol. 2010, 11, 353–365. [Google Scholar] [CrossRef]
- Matsuoka, C.; Taira, Y.; Sasaki, R.; Matsumoto, N.; Tadokoro, K.; Nomura, E.; Kawahara, Y.; Takemoto, M.; Morihara, R.; Hashiguchi, A. A case of successful renal transplantation of Charcot-Marie-Tooth disease associated with FSGS due to mutation of the INF2 gene. Neurol. Clin. Neurosci. 2022, 10, 252–254. [Google Scholar] [CrossRef]
- Simonati, A.; Fabrizi, G.M.; Taioli, F.; Polo, A.; Cerini, R.; Rizzuto, N. Dejerine-Sottas neuropathy with multiple nerve roots enlargement and hypomyelination associated with a missense mutation of the transmembrane domain of MPZ/P0. J. Peripher. Nerv. Syst. 2003, 8, 128–133. [Google Scholar] [CrossRef]
- Ginsberg, L.; Platts, A.; Thomas, P. Chronic inflammatory demyelinating polyneuropathy mimicking a lumbar spinal stenosis syndrome. J. Neurol. Neurosurg. Psychiatry 1995, 59, 189–191. [Google Scholar] [CrossRef]
- Andermann, F.; Lloyd-Smith, D.L.; Mavor, H.; Mathieson, G. Observations on hypertrophic neuropathy of Dejerine and Sottas. Neurology 1962, 12, 712. [Google Scholar] [CrossRef]
- Marchini, C.; Marsala, S.Z.; Bendini, M.; Taioli, F.; Damante, G.; Lonigro, I.R.; Fabrizi, G.M. Myelin protein zero Val102fs mutation manifesting with isolated spinal root hypertrophy. Neuromuscul. Disord. 2009, 19, 849–852. [Google Scholar] [CrossRef]
- Sugimoto, T.; Ochi, K.; Hosomi, N.; Takahashi, T.; Ueno, H.; Nakamura, T.; Nagano, Y.; Maruyama, H.; Kohriyama, T.; Matsumoto, M. Ultrasonographic nerve enlargement of the median and ulnar nerves and the cervical nerve roots in patients with demyelinating Charcot–Marie–Tooth disease: Distinction from patients with chronic inflammatory demyelinating polyneuropathy. J. Neurol. 2013, 260, 2580–2587. [Google Scholar] [CrossRef] [PubMed]
- Grimm, A.; Décard, B.F.; Schramm, A.; Pröbstel, A.-K.; Rasenack, M.; Axer, H.; Fuhr, P. Ultrasound and electrophysiologic findings in patients with Guillain–Barré syndrome at disease onset and over a period of six months. Clin. Neurophysiol. 2016, 127, 1657–1663. [Google Scholar] [CrossRef] [PubMed]
- Shy, M.; Blake, J.; Krajewski, K.e.a.; Fuerst, D.; Laura, M.; Hahn, A.; Li, J.; Lewis, R.; Reilly, M. Reliability and validity of the CMT neuropathy score as a measure of disability. Neurology 2005, 64, 1209–1214. [Google Scholar] [CrossRef] [PubMed]
- Smith, T.W.; Bhawan, J.; Keller, R.B.; DeGirolami, U.; Neurology, E. Charcot-Marie-Tooth disease associated with hypertrophic neuropathy: A neuropathologic study of two cases. J. Neuropathol. Exp. Neurol. 1980, 39, 420–440. [Google Scholar] [CrossRef]
- Kleopa, K.A.; Sutton, L.N.; Ong, J.; Tennekoon, G.; Telfeian, A.E. Conus medulla—Cauda compression from nerve root hypertrophy in a child with Dejerine—Sottas syndrome: Improvement with laminectomy and duraplasty: Case report. J. Neurosurg. Spine 2002, 97, 244–247. [Google Scholar] [CrossRef]
- Aho, T.R.; Wallace, R.C.; Pitt, A.M.; Sivakumar, K. Charcot-Marie-Tooth disease: Extensive cranial nerve involvement on CT and MR imaging. Am. J. Neuroradiol. 2004, 25, 494–497. [Google Scholar]
- Roohi, F.; Cook, A.; Clarke, H.; Torno, R.; Zandieh, M. Painless cauda equina schwannoma simulating Charcot-Marie-Tooth disease. J. Neurol. Neurosurg. Psychiatry 1982, 45, 938. [Google Scholar] [CrossRef][Green Version]
- Scott, P.; Bruwer, Z.; Al-Kharusi, K.; Meftah, D.; Al-Murshedi, F. Occurrence of optic neuritis and cervical cord schwannoma with Charcot-Marie-Tooth type 4B1 disease. Oman Med. J. 2016, 31, 227. [Google Scholar] [CrossRef]
- Evans, D.G.; Mostaccioli, S.; Pang, D.; Fadzil, O.; Connor, M.; Pittara, M.; Champollion, N.; Wolkenstein, P.; Thomas, N.; Ferner, R.E.; et al. ERN GENTURIS clinical practice guidelines for the diagnosis, treatment, management and surveillance of people with schwannomatosis. Eur. J. Hum. Genet. 2022, 30, 812–817. [Google Scholar] [CrossRef]
- Plotkin:, S.R.; Messiaen, L.; Legius, E.; Pancza, P.; Avery, R.A.; Blakeley, J.O.; Babovic-Vuksanovic, D.; Ferner, R.; Fisher, M.J.; Friedman, J.M. Updated diagnostic criteria and nomenclature for neurofibromatosis type 2 and schwannomatosis: An international consensus recommendation. Genet. Med. 2022, 24, 1967–1977. [Google Scholar] [CrossRef]
- Bradley, W.G. Disorders of Peripheral Nerves; Blackwell Scientific Publications: Oxford, UK, 1974. [Google Scholar]
- Abbas, A.K.; Fausto, N.; Robbins, S.L. Robbins and Cotran Pathologic Basis of Disease; Elsevier Saunders: Amsterdam, The Netherlands, 2005. [Google Scholar]
- Yiu, E.M.; Brockley, C.R.; Lee, K.J.; Carroll, K.; De Valle, K.; Kennedy, R.; Rao, P.; Delatycki, M.B.; Ryan, M.M. Peripheral nerve ultrasound in pediatric Charcot-Marie-Tooth disease type 1A. Neurology 2015, 84, 569–574. [Google Scholar] [CrossRef] [PubMed]
- Koc, F.; Guzel, A.I. Neurofibromatosis type 1 associated with Charcot–Marie–Tooth type 1A. J. Dermatol. 2009, 36, 306–311. [Google Scholar] [CrossRef] [PubMed]
- Lupski, J.R.; Pentao, L.; Williams, L.L.; Patel, P.I. Stable inheritance of the CMT1A DNA duplication in two patients with CMT1 and NF1. Am. J. Med. Genet. 1993, 45, 92–96. [Google Scholar] [CrossRef] [PubMed]
- Onu, D.O.; Hunn, A.W.; Peters-Willke, J. Charcot-Marie-Tooth syndrome and neurofibromatosis type 1 with multiple neurofibromas of the entire spinal nerve roots. Case Rep. 2013, 2013, bcr2013010078. [Google Scholar] [CrossRef] [PubMed]
- Ma’luf, R.N.; Baha’N, N.; Ghazi, N.G.; Tawil, A.N.; Allam, S.S. Bilateral, localized orbital neurofibromas and Charcot-Marie-Tooth disease. Arch. Ophthalmol. 2005, 123, 1443–1445. [Google Scholar] [CrossRef]
- Bosch, E.P.; Murphy, M.J.; Cancilla, P.A. Peripheral neurofibromatosis and peroneal muscular atrophy. Neurology 1981, 31, 1408. [Google Scholar] [CrossRef]
- Roos, K.; Pascuzzi, R.; Dunn, D. Neurofibromatosis, Charcot-Marie-tooth disease, or both? Neurofibromatosis 1989, 2, 238–243. [Google Scholar]
- Morano, J.U.; Russell, W.F.J.R. Nerve root enlargement in Charcot-Marie-Tooth disease: CT appearance. Radiology 1986, 161, 784. [Google Scholar] [CrossRef]
- Choi, S.K.; Bowers, R.P.; Buckthal, P.E. MR imaging in hypertrophic neuropathy: A case of hereditary motor and sensory neuropathy, type I (Charcot-Marie-Tooth). Clin. Imaging 1990, 14, 204–207. [Google Scholar] [CrossRef]
- Liao, J.P.; Waclawik, A.J. Nerve root hypertrophy in CMT type 1A. Neurology 2004, 62, 783. [Google Scholar] [CrossRef]
- Wadhwa, V.; Thakkar, R.S.; Maragakis, N.; Höke, A.; Sumner, C.J.; Lloyd, T.E.; Carrino, J.A.; Belzberg, A.J.; Chhabra, A. Sciatic nerve tumor and tumor-like lesions—Uncommon pathologies. Skelet. Radiol. 2012, 41, 763–774. [Google Scholar] [CrossRef] [PubMed]
- An, H.; Li, J.; Wang, L.-M.; Cui, B.; Piao, Y.-S.; Ren, Y.-J.; Chen, H.; Wang, Y.-P.; Wu, L.-Y. A rarely concerned magnetic resonance image sign of spinal nerve root hypertrophy in type 1A Charcot-Marie-tooth disease. Chin. Med. J. 2017, 130, 2767–2768. [Google Scholar] [CrossRef] [PubMed]
- Shibuya, K.; Yoshida, T.; Misawa, S.; Sekiguchi, Y.; Beppu, M.; Amino, H.; Suzuki, Y.-i.; Suichi, T.; Tsuneyama, A.; Nakamura, K. Hidden Charcot-Marie-Tooth 1A as revealed by peripheral nerve imaging. Intern. Med. 2019, 58, 3157–3161. [Google Scholar] [CrossRef] [PubMed]
- Padua, L.; Coraci, D.; Lucchetta, M.; Paolasso, I.; Pazzaglia, C.; Granata, G.; Cacciavillani, M.; Luigetti, M.; Manganelli, F.; Pisciotta, C. Different nerve ultrasound patterns in Charcot-Marie-Tooth types and hereditary neuropathy with liability to pressure palsies. Muscle Nerve 2018, 57, E18–E23. [Google Scholar] [CrossRef]
- Noto, Y.-i.; Shiga, K.; Tsuji, Y.; Mizuta, I.; Higuchi, Y.; Hashiguchi, A.; Takashima, H.; Nakagawa, M.; Mizuno, T. Nerve ultrasound depicts peripheral nerve enlargement in patients with genetically distinct Charcot-Marie-Tooth disease. J. Neurol. Neurosurg. Psychiatry 2015, 86, 378–384. [Google Scholar] [CrossRef][Green Version]
- Schreiber, S.; Oldag, A.; Kornblum, C.; Kollewe, K.; Kropf, S.; Schoenfeld, A.; Feistner, H.; Jakubiczka, S.; Kunz, W.S.; Scherlach, C. Sonography of the median nerve in CMT1A, CMT2A, CMTX, and HNPP. Muscle Nerve 2013, 47, 385–395. [Google Scholar] [CrossRef]
- Elmansy, M.; Morrow, J.M.; Shah, S.; Fischmann, A.; Wastling, S.; Reilly, M.M.; Hanna, M.G.; Helmy, E.M.; El-Essawy, S.S.; Thornton, J.S. Evidence of nerve hypertrophy in patients with inclusion body myositis on lower limb MRI. Muscle Nerve 2022, 66, 744–749. [Google Scholar] [CrossRef]
- Martinoli, C.; Schenone, A.; Bianchi, S.; Mandich, P.; Caponetto, C.; Abbruzzese, M.; Derchi, L.E. Sonography of the median nerve in Charcot-Marie-Tooth disease. Am. J. Roentgenol. 2002, 178, 1553–1556. [Google Scholar] [CrossRef]
- Pazzaglia, C.; Minciotti, I.; Coraci, D.; Briani, C.; Padua, L. Ultrasound assessment of sural nerve in Charcot–Marie-Tooth 1A neuropathy. Clin. Neurophysiol. 2013, 124, 1695–1699. [Google Scholar] [CrossRef]
- Naito, H.; Sugimoto, T.; Hironaka, A.; Nakamori, M.; Yamazaki, Y.; Ochi, K.; Maruyama, H. Diagnostic value of lower extremity ultrasonographic nerve enlargement for differentiating demyelinating Charcot-Marie-Tooth disease from chronic inflammatory demyelinating polyneuropathy. J. Neurol. Sci. 2024, 460, 122995. [Google Scholar] [CrossRef]
- Sinclair, C.; Miranda, M.; Cowley, P.; Morrow, J.; Davagnanam, I.; Mehta, H.; Hanna, M.; Koltzenburg, M.; Reilly, M.; Yousry, T. MRI shows increased sciatic nerve cross sectional area in inherited and inflammatory neuropathies. J. Neurol. Neurosurg. Psychiatry 2011, 82, 1283–1286. [Google Scholar] [CrossRef] [PubMed]
- Zaidman, C.M.; Al-Lozi, M.; Pestronk, A. Peripheral nerve size in normals and patients with polyneuropathy: An ultrasound study. Muscle Nerve 2009, 40, 960–966. [Google Scholar] [CrossRef] [PubMed]
- Ellegala, D.B.; Monteith, S.J.; Haynor, D.; Bird, T.D.; Goodkin, R.; Kliot, M. Characterization of genetically defined types of Charcot-Marie-Tooth neuropathies by using magnetic resonance neurography. J. Neurosurg. 2005, 102, 242–245. [Google Scholar] [CrossRef] [PubMed]





| Case | Sex | Renal Phenotype | Neurological Phenotype | Other Features | ||||||
|---|---|---|---|---|---|---|---|---|---|---|
| Onset Age (Year) | Renal Histology | Onset Age Walking Disability (Year) | Electrophysiology | PMP22 Copy Number (a) | ||||||
| Proteinuria | NS | ESRD | Subtype | NCV m/s | ||||||
| 1 | F | 11 | 14 | 16 | FSGS | 10 | Demyelinating | No potential | Wild type | Hearing loss |
| 2 | M | 12 | 14 | 17 | FSGS | 10 | Demyelinating | No potential | Wild type | Onion bulb formation (b) |
| Reference | Neuropathy | Schwannomas | CMT Mutation | Other Features | ||||
|---|---|---|---|---|---|---|---|---|
| Subtype | Age Onset (Year) Sex | Initial Manifestation | Age Onset (Year) | Affected Location | ||||
| 1 | Kwon et al., 2009 [12] | CMT-1A | 9, M | Walking difficulty | 14 | Spinal cord (T12-L1) Median nerve | PMP22 duplication | No mutations in NF1 or NF2 |
| 20, F | Weakness in both lower extremities | 25 | Median Nerve | PMP22 duplication | Mother of the proband (a) | |||
| 2 | Heckman et al., 2007 [11] | HNPP | 42, F | Pain of the left medial ankle radiating into the medial plantar foot | 42 | Median and medial plantar nerves | PMP22 deletion | Clinically, absence of NF1 or NF2 manifestation. |
| 3 | Roohi et al., 1982 [58] | CMT | 28, M | Leg weakness, NCV borderline | 38 | Cauda Equina T12-L1 | N.D (b) | painless cauda equina tumours, histologically schwannoma. |
| 4 | Scott et al., 2016 [59] | CMT4B1 | 9, M | Bilateral, symmetric limbs weakness in distal limbs | 27 | Cervical cord root (C2 and C3) Optic neuritis | MTMR2, c.1768C>T (p.Gln590Ter) (c) | Only proband is affected with both CMT and schwannomas. No Schwannomas nor optic neuritis in other affected members |
Disclaimer/Publisher’s Note: The statements, opinions and data contained in all publications are solely those of the individual author(s) and contributor(s) and not of MDPI and/or the editor(s). MDPI and/or the editor(s) disclaim responsibility for any injury to people or property resulting from any ideas, methods, instructions or products referred to in the content. |
© 2025 by the authors. Licensee MDPI, Basel, Switzerland. This article is an open access article distributed under the terms and conditions of the Creative Commons Attribution (CC BY) license (https://creativecommons.org/licenses/by/4.0/).
Share and Cite
Huong, Q.T.T.; Truc, L.T.N.; Ueda, H.; Fukui, K.; Higasa, K.; Sato, Y.; Takeda, S.; Hattori, M.; Tsukaguchi, H. Nerve Enlargement in Patients with INF2 Variants Causing Peripheral Neuropathy and Focal Segmental Glomerulosclerosis. Biomedicines 2025, 13, 127. https://doi.org/10.3390/biomedicines13010127
Huong QTT, Truc LTN, Ueda H, Fukui K, Higasa K, Sato Y, Takeda S, Hattori M, Tsukaguchi H. Nerve Enlargement in Patients with INF2 Variants Causing Peripheral Neuropathy and Focal Segmental Glomerulosclerosis. Biomedicines. 2025; 13(1):127. https://doi.org/10.3390/biomedicines13010127
Chicago/Turabian StyleHuong, Quynh Tran Thuy, Linh Tran Nguyen Truc, Hiroko Ueda, Kenji Fukui, Koichiro Higasa, Yoshinori Sato, Shinichi Takeda, Motoshi Hattori, and Hiroyasu Tsukaguchi. 2025. "Nerve Enlargement in Patients with INF2 Variants Causing Peripheral Neuropathy and Focal Segmental Glomerulosclerosis" Biomedicines 13, no. 1: 127. https://doi.org/10.3390/biomedicines13010127
APA StyleHuong, Q. T. T., Truc, L. T. N., Ueda, H., Fukui, K., Higasa, K., Sato, Y., Takeda, S., Hattori, M., & Tsukaguchi, H. (2025). Nerve Enlargement in Patients with INF2 Variants Causing Peripheral Neuropathy and Focal Segmental Glomerulosclerosis. Biomedicines, 13(1), 127. https://doi.org/10.3390/biomedicines13010127

