Pituitary Hyperplasia Due to Longstanding Primary Hypothyroidism: A Case Report and Comprehensive Review of the Literature
Abstract
1. Introduction
2. Materials and Methods
2.1. Literature Search
2.2. Study Selection
2.3. Identification of Relevant Studies
2.4. Data Extraction and Synthesis
2.5. Statistical Analysis
3. Results
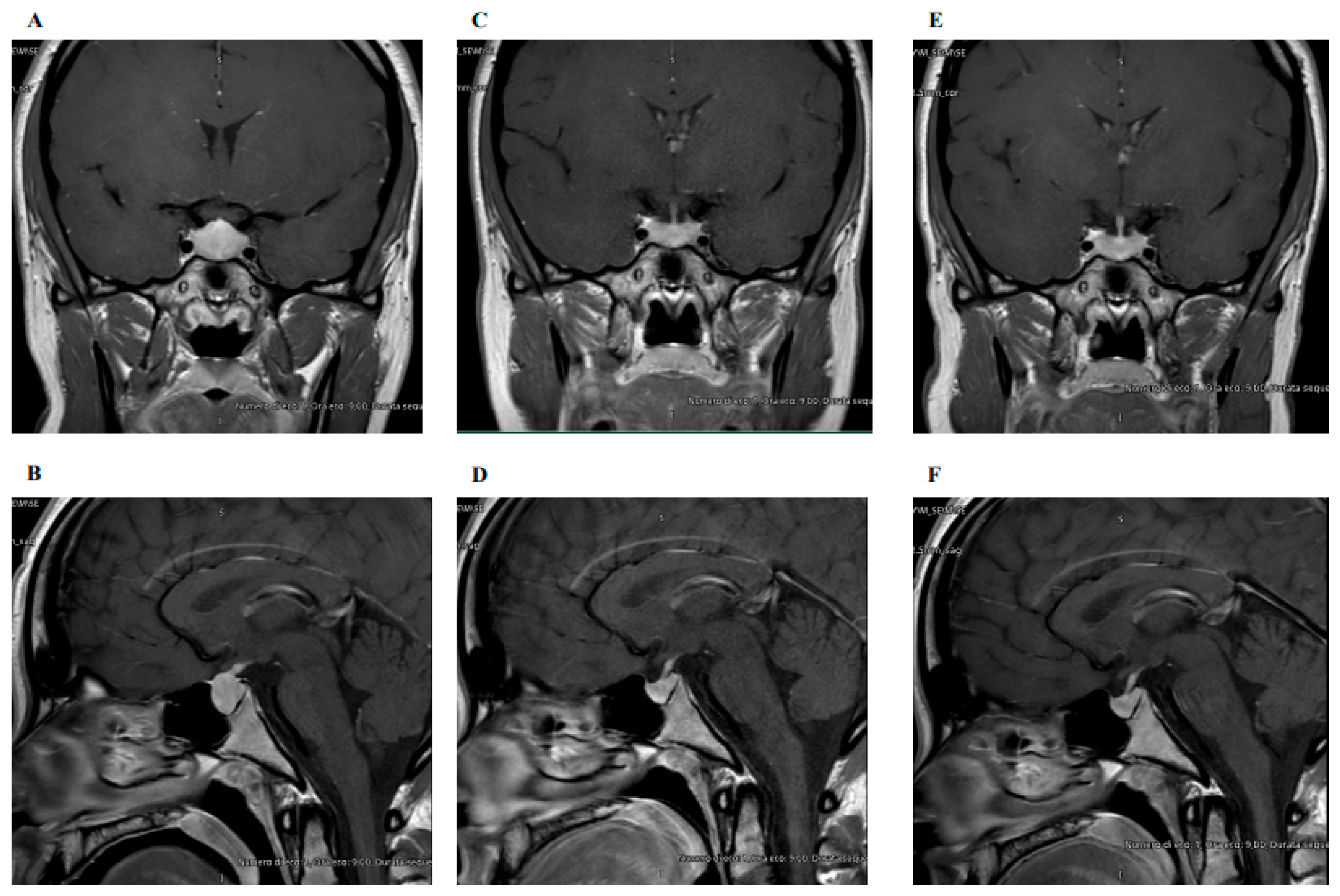
3.1. Case Description
3.2. Comprehensive Review
3.2.1. Clinical and Hormonal Features
3.2.2. Imaging Features
3.2.3. Treatment
3.2.4. Outcome
4. Discussion
- (i)
- Reports the clinical, hormonal, and radiological characteristics at the diagnosis of pituitary hyperplasia in the context of long-standing overt PH.
- (ii)
- Emphasizes the good response to therapy with levothyroxine, reporting a complete resolution of the condition in about 70% of the cases.
- (iii)
- Underscores that it is still possible, in a significant percentage of cases, to make the mistake of referring such patients to neurosurgery with possible irreversible damage, especially considering the young age of these subjects.
- (iv)
- Highlights that, even if rare, a pituitary adenoma should not be ruled out entirely: in case of evidence of unresponsiveness to levothyroxine therapy, the presence of a non-functioning pituitary adenoma, a PRL-secreting pituitary adenoma, and even a TSH-secreting pituitary adenoma must be considered.
5. Conclusions
Supplementary Materials
Author Contributions
Funding
Institutional Review Board Statement
Informed Consent Statement
Data Availability Statement
Conflicts of Interest
References
- Garber, J.R.; Cobin, R.H.; Gharib, H.; Hennessey, J.V.; Klein, I.; Mechanick, J.I.; Pessah-Pollack, R.; Singer, P.A.; Woeber, K.A.; American Association of Clinical Endocrinologists and American Thyroid Association Taskforce on Hypothyroidism in Adults. Clinical practice guidelines for hypothyroidism in adults: Cosponsored by the American Association of Clinical Endocrinologists and the American Thyroid Association. Thyroid 2012, 22, 1200–1235. [Google Scholar] [CrossRef]
- Niépce, B. Traité du Goitre et du Crétinisme; J.-B. Baillière: Paris, France, 1851; Volume 30. [Google Scholar]
- Beck-Peccoz, P.; Brucker-Davis, F.; Persani, L.; Smallridge, R.C.; Weintraub, B.D. Thyrotropin-secretingpituitarytumors. Endocr. Rev. 1996, 17, 610–638. [Google Scholar] [CrossRef]
- Jawadi, M.H.; Ballonoff, L.B.; Stears, J.C.; Katz, F.H. Primaryhypothyroidism and pituitaryenlargement. Radiologicalevidence of pituitaryregression. Arch. Intern. Med. 1978, 138, 1555–1557. [Google Scholar] [CrossRef]
- Vidal, S.; Horvath, E.; Kovacs, K.; Cohen, S.M.; Lloyd, R.V.; Scheithauer, B.W. Transdifferentiation of somatotrophs to thyrotrophs in the pituitary of patients withprotractedprimaryhypothyroidism. Virchows Arch. 2000, 436, 43–51. [Google Scholar] [CrossRef]
- Jentoft, M.E.; Osamura, R.Y.; Kovacs, K.; Lloyd, R.V.; Scheithauer, B.W. Transdifferentiation of pituitarythyrotrophs to lactothyrotrophs in primaryhypothyroidism: Case report. Virchows Arch. 2012, 461, 221–225. [Google Scholar] [CrossRef]
- Yamada, T.; Tsukui, T.; Ikejiri, K.; Yukimura, Y.; Kotani, M. Volume of sella turcica in normal subjects and in patients withprimaryhypothyroidism and hyperthyroidism. J. Clin. Endocrinol. Metab. 1976, 42, 817–822. [Google Scholar] [CrossRef]
- Chaker, L.; Bianco, A.C.; Jonklaas, J.; Peeters, R.P. Hypothyroidism. Lancet 2017, 390, 1550–1562. [Google Scholar] [CrossRef]
- Chakraborty, S.; Tiwari, M.; Palui, R.; Bhattacharya, K.; Gangopadhyay, K.K. Dome-ShapedPituitaryEnlargement in PrimaryHypothyroidism: AvoidingNeurosurgical Interventions. J. ASEAN Fed. Endocr. Soc. 2020, 35, 238–243. [Google Scholar] [CrossRef]
- Han, L.; Wang, J.; Shu, K.; Lei, T. Pituitarytumorous hyperplasia due to primaryhypothyroidism. Acta Neurochir. 2012, 154, 1489–1492. [Google Scholar] [CrossRef][Green Version]
- Ertekin, T.; Acer, N.; Turgut, A.T.; Aycan, K.; Özçelik, Ö.; Turgut, M. Comparison of three methods for the estimation of the pituitary gland volume using magnetic resonance imaging: A stereological study. Pituitary 2011, 14, 31–38. [Google Scholar] [CrossRef]
- Agerd, L.; Khabbal, Y.; Boujraf, S.; Ajdi, F. Pituitary mass induced by pharmacological interaction. Neurosci. J. 2014, 19, 56–59. [Google Scholar]
- Alkhani, A.M.; Cusimano, M.; Kovacs, K.; Bilbao, J.M.; Horvath, E.; Singer, W. Cytology of pituitary thyrotroph hyperplasia in protracted primary hypothyroidism. Pituitary 1999, 1, 291–295. [Google Scholar] [CrossRef]
- Ansari, M.S.; Almalki, M.H. Primary Hypothyroidism with Markedly High Prolactin. Front. Endocrinol. 2016, 7, 35. [Google Scholar] [CrossRef]
- Ban, Y.; Ban, Y.; Taniyama, M.; Hara, H.; Abe, T.; Katagiri, T. Aberrant luteinizing hormone-releasing hormone-stimulated adrenocorticotropic hormone secretion in a patient with pituitary hyperplasia due to primary hypothyroidism. Endocr. J. 2000, 47, 481–486. [Google Scholar] [CrossRef][Green Version]
- Bassam, T.; Ajlouni, K. A case of ovarian enlargement in severe primary hypothyroidism and review of the literature. Ann. Saudi Med. 2006, 26, 66–68. [Google Scholar] [CrossRef]
- Bhansali, A.; Sreenivasulu, P.; Khandelwal, N.; Masoodi, S.R. Reversibility of thyrotroph hyperplasia after L-thyroxine replacement therapy in patients with juvenile primary hypothyroidism. J. Pediatr. Endocrinol. Metab. 2004, 17, 655–661. [Google Scholar] [CrossRef]
- Bhansali, A.; Sreenivasulu, P.P.; Chattopadhyay, A.; Reddy, S.; Khandelwal, N. Juvenile Primary Hypothyroidism Presenting as Acute Abdomen and Later with Vision Loss. Endocrinologist 2004, 14, 229–232. [Google Scholar] [CrossRef]
- Brändle, M.; Schmid, C. Galactorrhoea and pituitary mass: A typical prolactinoma? Postgrad. Med. J. 2000, 76, 232–234. [Google Scholar] [CrossRef]
- Chakraborty, P.P.; Bhattacharjee, R.; Roy, A.; Chowdhury, S. Pseudoacromegaly: An unusual presenting manifestation of long-standing undiagnosed primary hypothyroidism. Postgrad. Med. J. 2017, 93, 639–640. [Google Scholar] [CrossRef]
- De Sousa, S.M.; Earls, P.; McCormack, A.I. Pituitary hyperplasia: Case series and literature review of an under-recognised and heterogeneous condition. Endocrinol. Diabetes Metab. Case Rep. 2015, 2015, 150017. [Google Scholar] [CrossRef]
- Du, J.; Ji, H.; Jin, J.; Gao, S.; Yan, X.; Hu, S. Pituitary adenoma secondary to primary hypothyroidism: Two case reports. Medicine 2020, 99, e19222. [Google Scholar] [CrossRef]
- Eiland, L.; Oyesiku, N.M.; Ritchie, J.C.; Isaacs, S.; Ioachimescu, A.G. Pathogenesis of marked pituitary enlargement and increased serum thyroid-stimulating hormone in primary hypothyroidism. Thyroid 2012, 22, 101–102. [Google Scholar] [CrossRef]
- Erem, C. A Case of Pituitary Hyperplasia Secondary to Primary Hypothyroidism Presenting with Irregular Menses, Galactorrhea, and Hyperprolactinemia. Endocrinologist 2010, 20, 168–170. [Google Scholar] [CrossRef]
- Ghannam, N.N.; Hammami, M.M.; Muttair, Z.; Bakheet, S.M. Primary hypothyroidism-associated TSH-secreting pituitary adenoma/hyperplasia presenting as a bleeding nasal mass and extremely elevated TSH level. J. Endocrinol. Investig. 1999, 22, 419–423. [Google Scholar] [CrossRef]
- Goswami, R.; Tandon, N.; Sharma, R.; Kochupillai, N. Residual pituitary enlargement in primary hypothyroidism despite 1 1/2 years of L-thyroxine therapy. Australas. Radiol. 1999, 43, 121–123. [Google Scholar] [CrossRef]
- Gutch, M.; Kumar, S.; Bhattacharjee, A.; Agarwal, A.; Singh, R.S.; Rungta, S. Unusual Manifestations Associated with Primary Hypothyroidism: Experience from A Tertiary Care Health Center. J. ASEAN Fed. Endocr. Soc. 2017, 32, 60–67. [Google Scholar] [CrossRef]
- Haider, S.; Templeton, K.; Omay, S.B.; Inzucchi, S.E. Primary hypothyroidism presenting as neuropsychiatric symptoms and pituitary enlargement in a young woman: Illustrative case. J. Neurosurg. Case Lessons 2023, 5, CASE22496. [Google Scholar] [CrossRef]
- Hoogenberg, K.; van Tol, K.M. Pituitary hyperplasia during primary hypothyroidism. Thyroid 2003, 13, 831–832. [Google Scholar] [CrossRef]
- Johnston, P.C.; Ellis, P.K.; Hunter, S.J. Thyrotroph hyperplasia. Postgrad. Med. J. 2014, 90, 56–57. [Google Scholar] [CrossRef]
- Joshi, A.S.; Woolf, P.D. Pituitary hyperplasia secondary to primary hypothyroidism: A case report and review of the literature. Pituitary 2005, 8, 99–103. [Google Scholar] [CrossRef]
- Kanza, R.E.; Gagnon, S.; Villeneuve, H.; Laverdiere, D.; Rousseau, I.; Bordeleau, E.; Berube, M. Spontaneous ovarian hyperstimulation syndrome and pituitary hyperplasia mimicking macroadenoma associated with primary hypothyroidism. World J. Radiol. 2013, 5, 20–24. [Google Scholar] [CrossRef][Green Version]
- Katulande, P.; Kariyawasam, S.S.; Senanayake, H.M.; Weerakkodi, M. Multicystic ovaries and pituitary pseudo-adenoma associated with primary hypothyroidism. J. Obstet. Gynaecol. 2013, 33, 17–19. [Google Scholar] [CrossRef]
- Khawaja, N.M.; Taher, B.M.; Barham, M.E.; Naser, A.A.; Hadidy, A.M.; Ahmad, A.T.; Hamamy, H.A.; Yaghi, N.A.; Ajlouni, K.M. Pituitary enlargement in patients with primary hypothyroidism. Endocr. Pract. 2006, 12, 29–34. [Google Scholar] [CrossRef]
- Khorassanizadeh, R.; Sundaresh, V.; Levine, S.N. Primary Hypothyroidism with Exceptionally High Prolactin—A Really Big Deal. World Neurosurg. 2016, 91, 675.e11–675.e14. [Google Scholar] [CrossRef]
- Kroese, J.M.; Grootendorst, A.F.; Schelfhout, L.J. Postpartum amenorrhoea-galactorrhoea associated with hyperprolactinaemia and pituitary enlargement in primary hypothyroidism. Neth. J. Med. 2004, 62, 28–30. [Google Scholar]
- Kumar, K.V.; Shaikh, A.; Anwar, I.; Prusty, P. Primary hypothyroidism presenting as pseudoacromegaly. Pituitary 2012, 15 (Suppl. S1), 49–52. [Google Scholar] [CrossRef]
- Lipkes, C.; Haider, S.; Rashid, A.; Angarita, G.A.; Riley, S. First Episode Psychosis and Pituitary Hyperplasia in a Patient with Untreated Hashimoto’s Thyroiditis: A Case Report. Front. Psychiatry 2022, 13, 863898. [Google Scholar] [CrossRef]
- Ma, W.; Ikeda, H.; Watabe, N.; Kanno, M.; Yoshimoto, T. A plurihormonal TSH-producing pituitary tumor of monoclonal origin in a patient with hypothyroidism. Horm. Res. Paediatr. 2003, 59, 257–261. [Google Scholar] [CrossRef]
- Mahesh, D.M.; Jebasingh, F.K.; Baruah, M.P.; Thomas, N. Cretinism presenting as a pseudotumour. BMJ Case Rep. 2015, 2015, bcr2014206124. [Google Scholar] [CrossRef]
- Martinez Quintero, B.; Yazbeck, C. Pituitary hyperplasia secondary to primary hypothyroidism. Clin. Case Rep. 2020, 8, 1317–1318. [Google Scholar] [CrossRef]
- Moumen, A.; Meftah, A.; El Jadi, H.; Elmoussaoui, S.; Belmejdoub, G. An unusual pituitary mass revealing a primary hypothyroidism! Clin. Pract. 2015, 5, 733. [Google Scholar] [CrossRef][Green Version]
- Myers, A.; Hatanpaa, K.J.; Madden, C.; Lingvay, I. Thyrotropin-secreting adenoma in a patient with primary hypothyroidism. Endocr. Pract. 2011, 17, e135–e139. [Google Scholar] [CrossRef]
- Nachawi, N.; Bodnar, T.W. Pituitary ‘pseudotumor’: An under-recognised complication of undertreated primary hypothyroidism. BMJ Case Rep. 2018, 2018, bcr2018225472. [Google Scholar] [CrossRef]
- Neves, C.P.; Massolt, E.T.; Peeters, R.P.; Neggers, S.J.; de Herder, W.W. Pituitary hyperplasia: An uncommon presentation of a common disease. Endocrinol. Diabetes Metab. Case Rep. 2015, 2015, 150056. [Google Scholar] [CrossRef]
- Notsu, K.; Ito, Y.; Furuya, H.; Ohguni, S.; Kato, Y. Incidence of hyperprolactinemia in patients with hashimoto’s thyroiditis. Endocr J. 1997, 44, 89–94. [Google Scholar] [CrossRef][Green Version]
- Ozbey, N.; Sariyildiz, E.; Yilmaz, L.; Orhan, Y.; Sencer, E.; Molvalilar, S. Primary hypothyroidism with hyperprolactinaemia and pituitary enlargement mimicking a pituitary macroadenoma. Int. J. Clin. Pract. 1997, 51, 409–411. [Google Scholar] [CrossRef]
- Pappy, A.L., 2nd; Oyesiku, N.; Ioachimescu, A. Severe TSH Elevation and Pituitary Enlargement After Changing Thyroid Replacement to Compounded T4/T3 Therapy. J. Investig. Med. High Impact Case Rep. 2016, 4, 2324709616661834. [Google Scholar] [CrossRef]
- Passeri, E.; Tufano, A.; Locatelli, M.; Lania, A.G.; Ambrosi, B.; Corbetta, S. Large pituitary hyperplasia in severe primary hypothyroidism. J. Clin. Endocrinol. Metab. 2011, 96, 22–23. [Google Scholar] [CrossRef]
- Quintyne, K.I.; Barratt, N.; O’Donoghue, L.; Wallis, F.; Gupta, R.K. Alopecia universalis, hypothyroidism and pituitary hyperplasia: Polyglandular autoimmune syndrome III in a patient in remission from treated Hodgkin lymphoma. BMJ Case Rep. 2010, 2010, bcr1020092335. [Google Scholar] [CrossRef]
- Ren, X.; Wang, X.; Chen, G.; Liu, X.; Guo, H.; Li, M. Coexistence of TSH-secreting adenoma and primary hypothyroidism: A case report and review of literature. BMC Endocr. Disord. 2023, 23, 116. [Google Scholar] [CrossRef]
- Sansone, A.; Sansone, M.; Vena, W.; Tedone, R.; Romanelli, F. Pituitary hyperplasia mimicking macroadenoma associated with primary hypothyroidism in a patient with selective L-thyroxine malabsorption. Neuroendocrinol. Lett. 2017, 38, 243–247. [Google Scholar]
- Sarlis, N.J.; Brucker-Davis, F.; Doppman, J.L.; Skarulis, M.C. MRI-demonstrable regression of a pituitary mass in a case of primary hypothyroidism after a week of acute thyroid hormone therapy. J. Clin. Endocrinol. Metab. 1997, 82, 808–811. [Google Scholar] [CrossRef]
- Sharma, A.; Noor, N.; Dadhwal, V. Neurological manifestation in severe hypothyroidism in pregnancy. BMJ Case Rep. 2020, 13, e238069. [Google Scholar] [CrossRef]
- Shimono, T.; Hatabu, H.; Kasagi, K.; Miki, Y.; Nishizawa, S.; Misaki, T.; Hiraga, A.; Konishi, J. Rapid progression of pituitary hyperplasia in humans with primary hypothyroidism: Demonstration with MR imaging. Radiology 1999, 213, 383–388. [Google Scholar] [CrossRef]
- Shukla, P.; Bulsara, K.R.; Luthra, P. Pituitary Hyperplasia in Severe Primary Hypothyroidism: A Case Report and Review of the Literature. Case Rep. Endocrinol. 2019, 2019, 2012546. [Google Scholar] [CrossRef]
- Siddiqi, A.I.; Grieve, J.; Miszkiel, K.; Baldeweg, S.E. Tablets or scalpel: Pituitary hyperplasia due to primary hypothyroidism. Radiol. Case Rep. 2016, 10, 1099. [Google Scholar]
- Shekhawat, V.S.; Chander, A. Reversible Tumorous Pituitary Enlargement due to Primary Hypothyroidism. Am. J. Med. 2022, 135, e117–e118. [Google Scholar] [CrossRef]
- Taher, B.M.; Ghariabeh, R.A.; Jarrah, N.S.; Hadidy, A.M.; Radaideh, A.M.; Ajlouni, K.M. Spontaneous ovarian hyperstimulation syndrome caused by hypothyroidism in an adult. Eur. J. Obstet. Gynecol. Reprod. Biol. 2004, 112, 107–109. [Google Scholar] [CrossRef]
- Vecil, G.G.; Papadopoulos, N.V.; Vassilopoulou-Sellin, R.; McCutcheon, I.E. Interferon-induced hypothyroidism causing reversible pituitary enlargement. Endocr. Pract. 2008, 14, 219–223. [Google Scholar] [CrossRef]
- Wolansky, L.J.; Leavitt, G.D.; Elias, B.J.; Lee, H.J.; Dasmahapatra, A.; Byrne, W. MRI of pituitary hyperplasia in hypothyroidism. Neuroradiology 1996, 38, 50–52. [Google Scholar] [CrossRef]
- Yamashita, Y.; Kawamura, T.; Fujikawa, R.; Mochizuki, H.; Okubo, M.; Arita, K. Regression of both pituitary and ovarian cysts after administration of thyroid hormone in a case of primary hypothyroidism. Intern. Med. 2001, 40, 751–755. [Google Scholar] [CrossRef]
- Young, M.; Kattner, K.; Gupta, K. Pituitary hyperplasia resulting from primary hypothyroidism mimicking macroadenomas. Br. J. Neurosurg. 1999, 13, 138–142. [Google Scholar] [CrossRef]
- Zhang, H.; Geng, N.; Wang, Y.; Tian, W.; Xue, F. Van Wyk and Grumbach syndrome: Two case reports and review of the published work. J. Obstet. Gynaecol. Res. 2014, 40, 607–610. [Google Scholar] [CrossRef]
- Philip, R.; Saran, S.; Gutch, M.; Gupta, K.K. An unusual case of precocious puberty and macroorchidism. Thyroid. Res. Pract. 2013, 10, 29–31. [Google Scholar] [CrossRef]
- Krassas, G.E.; Poppe, K.; Glinoer, D. Thyroid function and human reproductive health. Endocr. Rev. 2010, 31, 702–755. [Google Scholar] [CrossRef]
- Shu, J.; Xing, L.; Zhang, L.; Fang, S.; Huang, H. Ignored adult primary hypothyroidism presenting chiefly with persistent ovarian cysts: A need for increased awareness. Reprod. Biol. Endocrinol. 2011, 9, 119. [Google Scholar] [CrossRef]
- Humphry, G. Report of a Committee of the Clinical Society of London. J. Anat. Physiol. 1886, 20 Pt 3, 546–547. [Google Scholar]
- Melmed, S.A.; Goldfine, A.; Koenic, R.; Rosen, C. Williams Textbook of Endocrinology, 14th ed.; Elsevier: Philadelphia, PA, USA, 2020; pp. 404–432. [Google Scholar]
- Bauer, M.; Silverman, D.H.; Schlagenhauf, F.; London, E.D.; Geist, C.L.; van Herle, K.; Rasgon, N.; Martinez, D.; Miller, K.; van Herle, A.; et al. Brain glucose metabolism in hypothyroidism: A positron emission tomography study before and after thyroid hormone replacement therapy. J. Clin. Endocrinol. Metab. 2009, 94, 2922–2929. [Google Scholar] [CrossRef]
- Ruchala, M.; Szczepanek, E.; Tamborska-Zedlewska, M.; Czarnywojtek, A.; Wasko, R.; Sowinski, J. Congenital hypothyroidism simulating acromegaly—A diagnostic pitfall. Neuro Endocrinol. Lett. 2009, 30, 322–326. [Google Scholar]
- Honbo, K.S.; van Herle, A.J.; Kellett, K.A. Serum prolactin levels in untreated primary hypothyroidism. Am. J. Med. 1978, 64, 782–787. [Google Scholar] [CrossRef]
- Meier, C.; Christ-Crain, M.; Guglielmetti, M.; Huber, P.; Staub, J.J.; Müller, B. Prolactin dysregulation in women with subclinical hypothyroidism: Effect of levothyroxine replacement therapy. Thyroid 2003, 13, 979–985. [Google Scholar] [CrossRef]
- Bahar, A.; Akha, O.; Kashi, Z.; Vesgari, Z. Hyperprolactinemia in association with subclinical hypothyroidism. Casp. J. Intern. Med. 2011, 2, 229–233. [Google Scholar]
- Goel, P.; Kahkasha Narang, S.; Gupta, B.K.; Goel, K. Evaluation of serum prolactin level in patients of subclinical and overt hypothyroidism. J. Clin. Diagn. Res. 2015, 9, BC15–BC17. [Google Scholar] [CrossRef]
- Bigos, S.T.; Ridgway, E.C.; Kourides, I.A.; Maloof, F. Spectrum of pituitary alterations with mild and severe thyroid impairment. J. Clin. Endocrinol. Metab. 1978, 46, 317–325. [Google Scholar] [CrossRef]
- Raber, W.; Gessl, A.; Nowotny, P.; Vierhapper, H. Hyperprolactinaemia in hypothyroidism: Clinical significance and impact of TSH normalization. Clin. Endocrinol. 2003, 58, 185–191. [Google Scholar] [CrossRef]
- Sharma, L.K.; Sharma, N.; Gadpayle, A.K.; Dutta, D. Prevalence and predictors of hyperprolactinemia in subclinical hypothyroidism. Eur. J. Intern. Med. 2016, 35, 106–110. [Google Scholar] [CrossRef]
- Bowers, C.Y.; Friesen, H.G.; Hwang, P.; Guyda, H.J.; Folkers, K. Prolactin and thyrotropin release in man by synthetic pyroglutamyl-histidyl-prolinamide. Biochem. Biophys. Res. Commun. 1971, 45, 1033–1041. [Google Scholar] [CrossRef]
- Cave, W.T.; Paul, M.A. Effects of altered thyroid function on plasma prolactin clearance. Endocrinology 1980, 107, 85–91. [Google Scholar] [CrossRef]
- Cooper, D.S.; Ridgway, E.C.; Kliman, B.; Kjellberg, R.N.; Maloof, F. Metabolic clearance and production rates of prolactin in man. J. Clin. Investig. 1979, 64, 1669–1680. [Google Scholar] [CrossRef]
- Foord, S.M.; Peters, J.R.; Dieguez, C.; Scanlon, M.F.; Hall, R. Dopamine receptors on intact anterior pituitary cells in culture: Functional association with the inhibition of prolactin and thyrotropin. Endocrinology 1983, 112, 1567–1577. [Google Scholar] [CrossRef]
- Ben-Shlomo, A.; Melmed, S. Hypothalamic regulation of anterior pituitary function. In The Pituitary, 4th ed.; Academic Press: Cambridge, MA, USA, 2017; pp. 23–45. [Google Scholar] [CrossRef]
- Simşek, E.; Simşek, T.; Savaş-Erdeve, S.; Erdoğmuş, B.; Döşoğlu, M. Pituitary hyperplasia mimicking pituitary macroadenoma in two adolescent patients with long-standing primary hypothyroidism: Case reports and review of literature. Turk. J. Pediatr. 2009, 51, 624–630. [Google Scholar]


| TSH (0.35–4.94 µIU/mL) | fT4 (7–14.8 ng/L) | fT3 (1.6–3.9 ng/L) | |
|---|---|---|---|
| Baseline | 47 | 5 | 2 |
| 1st week | 23.1 | 8 | 2.4 |
| 2nd week | 5.41 | 8 | 2.6 |
| 3rd week | 2.73 | 8 | 2.9 |
| 4th week | 0.94 | 9 | 2.5 |
| Symptom | n | % | ||||
|---|---|---|---|---|---|---|
| All (n = 58) | M (n = 12) | F (n = 46) | All (100%) | M (20.7%) | F (79.3%) | |
| Headache and/or visual disturbance | 28 | 7 | 21 | 48.3 | 58.3 | 45.7 |
| Hypothyroidism | 27 | 5 | 22 | 46.6 | 41.7 | 47.8 |
| Irregular menses | 23 | NA | 23 | NA | NA | 50.0 |
| Galactorrhea | 13 | NA | 13 | NA | NA | 28.3 |
| Primary ovarian hyperstimulation syndrome | 6 | NA | 6 | NA | NA | 13.0 |
| Psychosis | 2 | 0 | 2 | 3.4 | 0 | 4.3 |
| Pseudoacromegaly | 2 | 2 | 0 | 3.4 | 16.7 | 0 |
| Cretinism | 1 | 1 | 0 | 1.7 | 8.3 | 0 |
| Others * | 6 | 1 | 5 | 10.3 | 8.3 | 10.9 |
| CT and MRI Imaging at Diagnosis | Yes (n) | No (n) | Not Specified (n) |
|---|---|---|---|
| Mass with only intrasellar extension | 3 | 57 | 33 |
| Mass with suprasellar extension | 56 | 2 | 35 |
| Mass with invasion of the cavernous sinus | 10 | 48 | 35 |
| Mass with infrasellar extension | 6 | 52 | 35 |
| Optic chiasm compression | 38 | 16 | 39 |
| Dome-shaped architecture | 24 | 12 | 57 |
| Type of Treatment | n | % |
|---|---|---|
| Levothyroxine | 76 | 81.7 |
| Neurosurgery | 1 | 1.1 |
| Triiodothyronine | 1 | 1.1 |
| Levothyroxine + Neurosurgery | 10 | 10.7 |
| Not specified | 5 | 5.4 |
Disclaimer/Publisher’s Note: The statements, opinions and data contained in all publications are solely those of the individual author(s) and contributor(s) and not of MDPI and/or the editor(s). MDPI and/or the editor(s) disclaim responsibility for any injury to people or property resulting from any ideas, methods, instructions or products referred to in the content. |
© 2024 by the authors. Licensee MDPI, Basel, Switzerland. This article is an open access article distributed under the terms and conditions of the Creative Commons Attribution (CC BY) license (https://creativecommons.org/licenses/by/4.0/).
Share and Cite
Roux, A.; Rosso, D.; Cuboni, D.; Maccario, M.; Grottoli, S.; Arvat, E.; Gasco, V. Pituitary Hyperplasia Due to Longstanding Primary Hypothyroidism: A Case Report and Comprehensive Review of the Literature. Biomedicines 2024, 12, 1368. https://doi.org/10.3390/biomedicines12061368
Roux A, Rosso D, Cuboni D, Maccario M, Grottoli S, Arvat E, Gasco V. Pituitary Hyperplasia Due to Longstanding Primary Hypothyroidism: A Case Report and Comprehensive Review of the Literature. Biomedicines. 2024; 12(6):1368. https://doi.org/10.3390/biomedicines12061368
Chicago/Turabian StyleRoux, Anna, Daniela Rosso, Daniela Cuboni, Mauro Maccario, Silvia Grottoli, Emanuela Arvat, and Valentina Gasco. 2024. "Pituitary Hyperplasia Due to Longstanding Primary Hypothyroidism: A Case Report and Comprehensive Review of the Literature" Biomedicines 12, no. 6: 1368. https://doi.org/10.3390/biomedicines12061368
APA StyleRoux, A., Rosso, D., Cuboni, D., Maccario, M., Grottoli, S., Arvat, E., & Gasco, V. (2024). Pituitary Hyperplasia Due to Longstanding Primary Hypothyroidism: A Case Report and Comprehensive Review of the Literature. Biomedicines, 12(6), 1368. https://doi.org/10.3390/biomedicines12061368

