Endurance Training Provokes Arrhythmogenic Right Ventricular Cardiomyopathy Phenotype in Heterozygous Desmoglein-2 Mutants: Alleviation by Preload Reduction
Abstract
1. Introduction
2. Materials and Methods
2.1. Experimental Animals and Training Protocol
2.2. Echocardiography
2.3. Endurance Swim Training and Preload-Reducing Therapy
2.4. Electrocardiography
2.5. Assessment of Cardiac Electrophysiology in Isolated Langendorff Hearts
2.6. Gross Morphological and Histological Examination
2.7. Immunohistochemical Analyses of the Extracellular Matrix Proteins Tenascin C and Transforming Growth Factor-Beta-Induced Protein Ig-h3 and the CD44 Antigen
2.8. Connexin-43 Immunofluorescence Staining
2.9. Transmission Electron Microscopy (TEM)
2.10. Immunoblot Analysis of Cardiac Samples
2.11. Statistical Analyses
3. Results
3.1. Cardiac Morphology and Electrophysiology of Sedentary One-Year-Old Haploinsufficient Dsg20/wt and Heterozygous Dsg2mt/wt Mutant Mice
3.1.1. Hearts of One-Year-Old Sedentary Haploinsufficient Dsg20/wt Mice
3.1.2. Hearts of One-Year-Old Sedentary Dsg2mt/wt Mice
3.2. Hearts of 16- to 29-Week-Old Sedentary Dsg2mt/wt Mice
3.3. Induction of an ARVC-like Phenotype in Heterozygous Dsg2mt/wt Mice by Endurance Swim Training
3.3.1. Electrical Phenotype in Dsg2mt/wt Mice after Endurance Swim Training
3.3.2. Structural and Functional Phenotype in Dsg2mt/wt Mice after Endurance Swim Training
3.4. Preload Reduction Therapy Diminished Development of RV Dilation in Dsg2mt/wt Mice
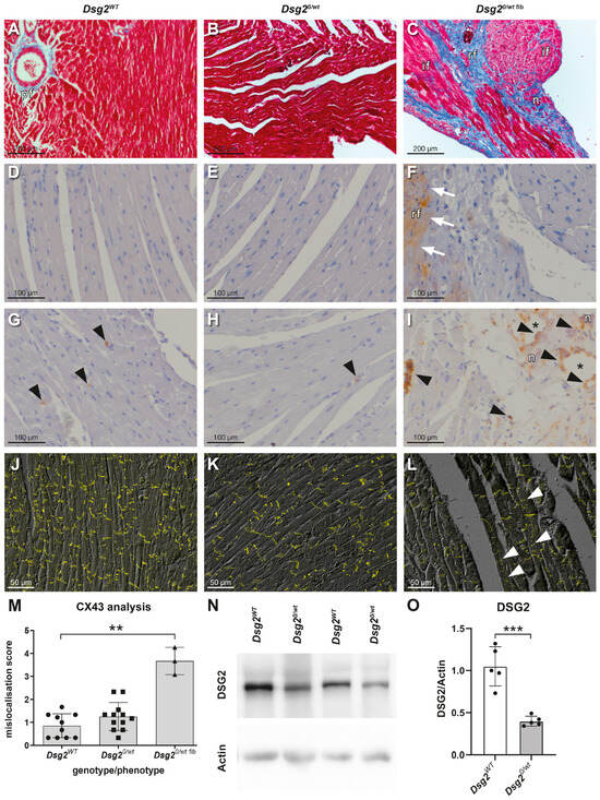
3.5. Cardiac Histology of Dsg2WT and Dsg2mt/wt Mice after Endurance Swim Training
3.6. Desmosomal Protein Contents
4. Discussion
4.1. Endurance Swim Training Induces ARVC-like Right Ventricular Pathologies in Dsg2mt/wt Hearts
4.2. Preload-Reducing Therapy Prevents Right Ventricular Dilation
4.3. The Effect of Aging on Disease Development in Dsg20/wt and Dsg2mt/wt Mice
4.4. Limitations
4.5. Conclusions
4.6. Clinical Perspective
Supplementary Materials
Author Contributions
Funding
Institutional Review Board Statement
Informed Consent Statement
Data Availability Statement
Acknowledgments
Conflicts of Interest
References
- Arbelo, E.; Protonotarios, A.; Gimeno, J.R.; Arbustini, E.; Barriales-Villa, R.; Basso, C.; Bezzina, C.R.; Biagini, E.; Blom, N.A.; de Boer, R.A.; et al. 2023 ESC Guidelines for the management of cardiomyopathies. Eur. Heart J. 2023, 44, 3503–3626. [Google Scholar] [CrossRef] [PubMed]
- Caforio, A.L.P.; Re, F.; Avella, A.; Marcolongo, R.; Baratta, P.; Seguso, M.; Gallo, N.; Plebani, M.; Izquierdo-Bajo, A.; Cheng, C.Y.; et al. Evidence From Family Studies for Autoimmunity in Arrhythmogenic Right Ventricular Cardiomyopathy: Associations of Circulating Anti-Heart and Anti-Intercalated Disk Autoantibodies with Disease Severity and Family History. Circulation 2020, 141, 1238–1248. [Google Scholar] [CrossRef] [PubMed]
- Martins, D.; Ovaert, C.; Khraiche, D.; Boddaert, N.; Bonnet, D.; Raimondi, F. Myocardial inflammation detected by cardiac MRI in Arrhythmogenic right ventricular cardiomyopathy: A paediatric case series. Int. J. Cardiol. 2018, 271, 81–86. [Google Scholar] [CrossRef]
- Mast, T.P.; James, C.A.; Calkins, H.; Teske, A.J.; Tichnell, C.; Murray, B.; Loh, P.; Russell, S.D.; Velthuis, B.K.; Judge, D.P.; et al. Evaluation of Structural Progression in Arrhythmogenic Right Ventricular Dysplasia/Cardiomyopathy. JAMA Cardiol. 2017, 2, 293–302. [Google Scholar] [CrossRef] [PubMed]
- Gilotra, N.A.; Bhonsale, A.; James, C.A.; Te Riele, A.S.J.; Murray, B.; Tichnell, C.; Sawant, A.; Ong, C.S.; Judge, D.P.; Russell, S.D.; et al. Heart Failure Is Common and Under-Recognized in Patients with Arrhythmogenic Right Ventricular Cardiomyopathy/Dysplasia. Circ. Heart Fail. 2017, 10, e003819. [Google Scholar] [CrossRef] [PubMed]
- den Haan, A.D.; Tan, B.Y.; Zikusoka, M.N.; Llado, L.I.; Jain, R.; Daly, A.; Tichnell, C.; James, C.; Amat-Alarcon, N.; Abraham, T.; et al. Comprehensive desmosome mutation analysis in north americans with arrhythmogenic right ventricular dysplasia/cardiomyopathy. Circ. Cardiovasc. Genet. 2009, 2, 428–435. [Google Scholar] [CrossRef]
- Sen-Chowdhry, S.; Syrris, P.; Pantazis, A.; Quarta, G.; McKenna, W.J.; Chambers, J.C. Mutational heterogeneity, modifier genes, and environmental influences contribute to phenotypic diversity of arrhythmogenic cardiomyopathy. Circ. Cardiovasc. Genet. 2010, 3, 323–330. [Google Scholar] [CrossRef] [PubMed]
- Hall, C.L.; Sutanto, H.; Dalageorgou, C.; McKenna, W.J.; Syrris, P.; Futema, M. Frequency of genetic variants associated with arrhythmogenic right ventricular cardiomyopathy in the genome aggregation database. Eur. J. Hum. Genet. 2018, 26, 1312–1318. [Google Scholar] [CrossRef] [PubMed]
- Sen-Chowdhry, S.; Morgan, R.D.; Chambers, J.C.; McKenna, W.J. Arrhythmogenic cardiomyopathy: Etiology, diagnosis, and treatment. Annu. Rev. Med. 2010, 61, 233–253. [Google Scholar] [CrossRef]
- Corrado, D.; Thiene, G.; Nava, A.; Rossi, L.; Pennelli, N. Sudden death in young competitive athletes: Clinicopathologic correlations in 22 cases. Am. J. Med. 1990, 89, 588–596. [Google Scholar] [CrossRef]
- Maron, B.J.; Doerer, J.J.; Haas, T.S.; Tierney, D.M.; Mueller, F.O. Sudden deaths in young competitive athletes: Analysis of 1866 deaths in the United States, 1980–2006. Circulation 2009, 119, 1085–1092. [Google Scholar] [CrossRef] [PubMed]
- Maron, B.J.; Haas, T.S.; Doerer, J.J.; Thompson, P.D.; Hodges, J.S. Comparison of U.S. and Italian experiences with sudden cardiac deaths in young competitive athletes and implications for preparticipation screening strategies. Am. J. Cardiol. 2009, 104, 276–280. [Google Scholar] [CrossRef] [PubMed]
- Martinez-Sole, J.; Sabater-Molina, M.; Braza-Boils, A.; Santos-Mateo, J.J.; Molina, P.; Martinez-Dolz, L.; Gimeno, J.R.; Zorio, E. Facts and Gaps in Exercise Influence on Arrhythmogenic Cardiomyopathy: New Insights From a Meta-Analysis Approach. Front. Cardiovasc. Med. 2021, 8, 702560. [Google Scholar] [CrossRef] [PubMed]
- Te Riele, A.; James, C.A.; Sawant, A.C.; Bhonsale, A.; Groeneweg, J.A.; Mast, T.P.; Murray, B.; Tichnell, C.; Dooijes, D.; van Tintelen, J.P.; et al. Arrhythmogenic Right Ventricular Dysplasia/Cardiomyopathy in the Pediatric Population: Clinical Characterization and Comparison with Adult-Onset Disease. JACC Clin. Electrophysiol. 2015, 1, 551–560. [Google Scholar] [CrossRef] [PubMed]
- Calkins, H.; Corrado, D.; Marcus, F. Risk Stratification in Arrhythmogenic Right Ventricular Cardiomyopathy. Circulation 2017, 136, 2068–2082. [Google Scholar] [CrossRef] [PubMed]
- Moisa, S.M.; Spoiala, E.L.; Cinteza, E.; Vatasescu, R.; Butnariu, L.I.; Brinza, C.; Burlacu, A. Arrhythmogenic Right Ventricular Cardiomyopathy in Children: A Systematic Review. Diagnostics 2024, 14, 175. [Google Scholar] [CrossRef] [PubMed]
- Awad, M.M.; Calkins, H.; Judge, D.P. Mechanisms of disease: Molecular genetics of arrhythmogenic right ventricular dysplasia/cardiomyopathy. Nat. Clin. Pract. Cardiovasc. Med. 2008, 5, 258–267. [Google Scholar] [CrossRef] [PubMed]
- Zhang, J.; Liang, Y.; Bradford, W.H.; Sheikh, F. Desmosomes: Emerging pathways and non-canonical functions in cardiac arrhythmias and disease. Biophys. Rev. 2021, 13, 697–706. [Google Scholar] [CrossRef]
- Capetanaki, Y.; Bloch, R.J.; Kouloumenta, A.; Mavroidis, M.; Psarras, S. Muscle intermediate filaments and their links to membranes and membranous organelles. Exp. Cell Res. 2007, 313, 2063–2076. [Google Scholar] [CrossRef]
- Yeruva, S.; Waschke, J. Structure and regulation of desmosomes in intercalated discs: Lessons from epithelia. J. Anat. 2023, 242, 81–90. [Google Scholar] [CrossRef]
- Badu-Nkansah, K.A.; Lechler, T. Proteomic analysis of desmosomes reveals novel components required for epidermal integrity. Mol. Biol. Cell 2020, 31, 1140–1153. [Google Scholar] [CrossRef] [PubMed]
- Angst, B.D.; Khan, L.U.; Severs, N.J.; Whitely, K.; Rothery, S.; Thompson, R.P.; Magee, A.I.; Gourdie, R.G. Dissociated spatial patterning of gap junctions and cell adhesion junctions during postnatal differentiation of ventricular myocardium. Circ. Res. 1997, 80, 88–94. [Google Scholar] [CrossRef] [PubMed]
- Hirschy, A.; Schatzmann, F.; Ehler, E.; Perriard, J.C. Establishment of cardiac cytoarchitecture in the developing mouse heart. Dev. Biol. 2006, 289, 430–441. [Google Scholar] [CrossRef] [PubMed]
- Bonda, T.A.; Szynaka, B.; Sokolowska, M.; Dziemidowicz, M.; Winnicka, M.M.; Chyczewski, L.; Kaminski, K.A. Remodeling of the intercalated disc related to aging in the mouse heart. J. Cardiol. 2016, 68, 261–268. [Google Scholar] [CrossRef] [PubMed]
- Nava, A.; Bauce, B.; Basso, C.; Muriago, M.; Rampazzo, A.; Villanova, C.; Daliento, L.; Buja, G.; Corrado, D.; Danieli, G.A.; et al. Clinical profile and long-term follow-up of 37 families with arrhythmogenic right ventricular cardiomyopathy. J. Am. Coll. Cardiol. 2000, 36, 2226–2233. [Google Scholar] [CrossRef] [PubMed]
- Thiene, G.; Corrado, D.; Basso, C. Arrhythmogenic right ventricular cardiomyopathy/dysplasia. Orphanet J. Rare Dis. 2007, 2, 45. [Google Scholar] [CrossRef] [PubMed]
- Saguner, A.M.; Brunckhorst, C.; Duru, F. Arrhythmogenic ventricular cardiomyopathy: A paradigm shift from right to biventricular disease. World J. Cardiol. 2014, 6, 154–174. [Google Scholar] [CrossRef] [PubMed]
- Corrado, D.; Basso, C.; Rizzoli, G.; Schiavon, M.; Thiene, G. Does sports activity enhance the risk of sudden death in adolescents and young adults? J. Am. Coll. Cardiol. 2003, 42, 1959–1963. [Google Scholar] [CrossRef]
- La Gerche, A.; Heidbuchel, H.; Burns, A.T.; Mooney, D.J.; Taylor, A.J.; Pfluger, H.B.; Inder, W.J.; Macisaac, A.I.; Prior, D.L. Disproportionate exercise load and remodeling of the athlete’s right ventricle. Med. Sci. Sports Exerc. 2011, 43, 974–981. [Google Scholar] [CrossRef]
- Saberniak, J.; Hasselberg, N.E.; Borgquist, R.; Platonov, P.G.; Sarvari, S.I.; Smith, H.J.; Ribe, M.; Holst, A.G.; Edvardsen, T.; Haugaa, K.H. Vigorous physical activity impairs myocardial function in patients with arrhythmogenic right ventricular cardiomyopathy and in mutation positive family members. Eur. J. Heart Fail. 2014, 16, 1337–1344. [Google Scholar] [CrossRef]
- Goff, Z.D.; Calkins, H. Sudden death related cardiomyopathies—Arrhythmogenic right ventricular cardiomyopathy, arrhythmogenic cardiomyopathy, and exercise-induced cardiomyopathy. Prog. Cardiovasc. Dis. 2019, 62, 217–226. [Google Scholar] [CrossRef] [PubMed]
- Prior, D.; La Gerche, A. Exercise and Arrhythmogenic Right Ventricular Cardiomyopathy. Heart Lung Circ. 2020, 29, 547–555. [Google Scholar] [CrossRef] [PubMed]
- Kirchhof, P.; Fabritz, L.; Zwiener, M.; Witt, H.; Schafers, M.; Zellerhoff, S.; Paul, M.; Athai, T.; Hiller, K.H.; Baba, H.A.; et al. Age- and training-dependent development of arrhythmogenic right ventricular cardiomyopathy in heterozygous plakoglobin-deficient mice. Circulation 2006, 114, 1799–1806. [Google Scholar] [CrossRef] [PubMed]
- James, C.A.; Bhonsale, A.; Tichnell, C.; Murray, B.; Russell, S.D.; Tandri, H.; Tedford, R.J.; Judge, D.P.; Calkins, H. Exercise increases age-related penetrance and arrhythmic risk in arrhythmogenic right ventricular dysplasia/cardiomyopathy-associated desmosomal mutation carriers. J. Am. Coll. Cardiol. 2013, 62, 1290–1297. [Google Scholar] [CrossRef] [PubMed]
- de la Guia-Galipienso, F.; Ugedo-Alzaga, K.; Grazioli, G.; Quesada-Ocete, F.J.; Feliu-Rey, E.; Perez, M.V.; Quesada-Dorador, A.; Sanchis-Gomar, F. Arrhythmogenic Cardiomyopathy and Athletes: A Dangerous Relationship. Curr. Probl. Cardiol. 2023, 48, 101799. [Google Scholar] [CrossRef] [PubMed]
- Lie, O.H.; Dejgaard, L.A.; Saberniak, J.; Rootwelt, C.; Stokke, M.K.; Edvardsen, T.; Haugaa, K.H. Harmful Effects of Exercise Intensity and Exercise Duration in Patients with Arrhythmogenic Cardiomyopathy. JACC Clin. Electrophysiol. 2018, 4, 744–753. [Google Scholar] [CrossRef]
- Cheedipudi, S.M.; Hu, J.; Fan, S.; Yuan, P.; Karmouch, J.; Czernuszewicz, G.; Robertson, M.J.; Coarfa, C.; Hong, K.; Yao, Y.; et al. Exercise restores dysregulated gene expression in a mouse model of arrhythmogenic cardiomyopathy. Cardiovasc. Res. 2020, 116, 1199–1213. [Google Scholar] [CrossRef]
- Pilichou, K.; Nava, A.; Basso, C.; Beffagna, G.; Bauce, B.; Lorenzon, A.; Frigo, G.; Vettori, A.; Valente, M.; Towbin, J.; et al. Mutations in desmoglein-2 gene are associated with arrhythmogenic right ventricular cardiomyopathy. Circulation 2006, 113, 1171–1179. [Google Scholar] [CrossRef]
- Jorda, P.; Bosman, L.P.; Gasperetti, A.; Mazzanti, A.; Gourraud, J.B.; Davies, B.; Frederiksen, T.C.; Weidmann, Z.M.; Di Marco, A.; Roberts, J.D.; et al. Arrhythmic risk prediction in arrhythmogenic right ventricular cardiomyopathy: External validation of the arrhythmogenic right ventricular cardiomyopathy risk calculator. Eur. Heart J. 2022, 43, 3041–3052. [Google Scholar] [CrossRef]
- Kapplinger, J.D.; Landstrom, A.P.; Salisbury, B.A.; Callis, T.E.; Pollevick, G.D.; Tester, D.J.; Cox, M.G.; Bhuiyan, Z.; Bikker, H.; Wiesfeld, A.C.; et al. Distinguishing arrhythmogenic right ventricular cardiomyopathy/dysplasia-associated mutations from background genetic noise. J. Am. Coll. Cardiol. 2011, 57, 2317–2327. [Google Scholar] [CrossRef]
- Gehmlich, K.; Syrris, P.; Reimann, M.; Asimaki, A.; Ehler, E.; Evans, A.; Quarta, G.; Pantazis, A.; Saffitz, J.E.; McKenna, W.J. Molecular changes in the heart of a severe case of arrhythmogenic right ventricular cardiomyopathy caused by a desmoglein-2 null allele. Cardiovasc. Pathol. 2012, 21, 275–282. [Google Scholar] [CrossRef]
- Kant, S.; Holthofer, B.; Magin, T.M.; Krusche, C.A.; Leube, R.E. Desmoglein 2-Dependent Arrhythmogenic Cardiomyopathy Is Caused by a Loss of Adhesive Function. Circ. Cardiovasc. Genet. 2015, 8, 553–563. [Google Scholar] [CrossRef]
- Dieding, M.; Debus, J.D.; Kerkhoff, R.; Gaertner-Rommel, A.; Walhorn, V.; Milting, H.; Anselmetti, D. Arrhythmogenic cardiomyopathy related DSG2 mutations affect desmosomal cadherin binding kinetics. Sci. Rep. 2017, 7, 13791. [Google Scholar] [CrossRef]
- Schinner, C.; Erber, B.M.; Yeruva, S.; Schlipp, A.; Rotzer, V.; Kempf, E.; Kant, S.; Leube, R.E.; Mueller, T.D.; Waschke, J. Stabilization of desmoglein-2 binding rescues arrhythmia in arrhythmogenic cardiomyopathy. JCI Insight 2020, 5, e130141. [Google Scholar] [CrossRef]
- Hawthorne, R.N.; Blazeski, A.; Lowenthal, J.; Kannan, S.; Teuben, R.; DiSilvestre, D.; Morrissette-McAlmon, J.; Saffitz, J.E.; Boheler, K.R.; James, C.A.; et al. Altered Electrical, Biomolecular, and Immunologic Phenotypes in a Novel Patient-Derived Stem Cell Model of Desmoglein-2 Mutant ARVC. J. Clin. Med. 2021, 10, 3061. [Google Scholar] [CrossRef]
- Gerull, B.; Brodehl, A. Genetic Animal Models for Arrhythmogenic Cardiomyopathy. Front. Physiol. 2020, 11, 624. [Google Scholar] [CrossRef]
- Ng, K.E.; Delaney, P.J.; Thenet, D.; Murtough, S.; Webb, C.M.; Zaman, N.; Tsisanova, E.; Mastroianni, G.; Walker, S.L.M.; Westaby, J.D.; et al. Early inflammation precedes cardiac fibrosis and heart failure in desmoglein 2 murine model of arrhythmogenic cardiomyopathy. Cell Tissue Res. 2021, 386, 79–98. [Google Scholar] [CrossRef]
- Krusche, C.A.; Holthofer, B.; Hofe, V.; van de Sandt, A.M.; Eshkind, L.; Bockamp, E.; Merx, M.W.; Kant, S.; Windoffer, R.; Leube, R.E. Desmoglein 2 mutant mice develop cardiac fibrosis and dilation. Basic Res. Cardiol. 2011, 106, 617–633. [Google Scholar] [CrossRef]
- Gercek, M.; Gercek, M.; Kant, S.; Simsekyilmaz, S.; Kassner, A.; Milting, H.; Liehn, E.A.; Leube, R.E.; Krusche, C.A. Cardiomyocyte Hypertrophy in Arrhythmogenic Cardiomyopathy. Am. J. Pathol. 2017, 187, 752–766. [Google Scholar] [CrossRef][Green Version]
- Kant, S.; Krull, P.; Eisner, S.; Leube, R.E.; Krusche, C.A. Histological and ultrastructural abnormalities in murine desmoglein 2-mutant hearts. Cell Tissue Res. 2012, 348, 249–259. [Google Scholar] [CrossRef] [PubMed]
- Lubos, N.; van der Gaag, S.; Gercek, M.; Kant, S.; Leube, R.E.; Krusche, C.A. Inflammation shapes pathogenesis of murine arrhythmogenic cardiomyopathy. Basic Res. Cardiol. 2020, 115, 42. [Google Scholar] [CrossRef]
- Pitsch, M.; Kant, S.; Mytzka, C.; Leube, R.E.; Krusche, C.A. Autophagy and Endoplasmic Reticulum Stress during Onset and Progression of Arrhythmogenic Cardiomyopathy. Cells 2021, 11, 96. [Google Scholar] [CrossRef]
- Chelko, S.P.; Asimaki, A.; Andersen, P.; Bedja, D.; Amat-Alarcon, N.; DeMazumder, D.; Jasti, R.; MacRae, C.A.; Leber, R.; Kleber, A.G.; et al. Central role for GSK3beta in the pathogenesis of arrhythmogenic cardiomyopathy. JCI Insight 2016, 1, e85923. [Google Scholar] [CrossRef]
- Chelko, S.P.; Asimaki, A.; Lowenthal, J.; Bueno-Beti, C.; Bedja, D.; Scalco, A.; Amat-Alarcon, N.; Andersen, P.; Judge, D.P.; Tung, L.; et al. Therapeutic Modulation of the Immune Response in Arrhythmogenic Cardiomyopathy. Circulation 2019, 140, 1491–1505. [Google Scholar] [CrossRef]
- Chelko, S.P.; Keceli, G.; Carpi, A.; Doti, N.; Agrimi, J.; Asimaki, A.; Beti, C.B.; Miyamoto, M.; Amat-Codina, N.; Bedja, D.; et al. Exercise triggers CAPN1-mediated AIF truncation, inducing myocyte cell death in arrhythmogenic cardiomyopathy. Sci. Transl. Med. 2021, 13, eabf0891. [Google Scholar] [CrossRef]
- Kant, S.; Freytag, B.; Herzog, A.; Reich, A.; Merkel, R.; Hoffmann, B.; Krusche, C.A.; Leube, R.E. Desmoglein 2 mutation provokes skeletal muscle actin expression and accumulation at intercalated discs in murine hearts. J. Cell Sci. 2019, 132, jcs199612. [Google Scholar] [CrossRef]
- Agrimi, J.; Scalco, A.; Agafonova, J.; Williams Iii, L.; Pansari, N.; Keceli, G.; Jun, S.; Wang, N.; Mastorci, F.; Tichnell, C.; et al. Psychosocial Stress Hastens Disease Progression and Sudden Death in Mice with Arrhythmogenic Cardiomyopathy. J. Clin. Med. 2020, 9, 3804. [Google Scholar] [CrossRef]
- Flurkey, K.; Currer, J.M.; Harrison, D.E. Chapter 20—Mouse Models in Aging Research. In The Mouse in Biomedical Research, 2nd ed.; Fox, J.G., Davisson, M.T., Quimby, F.W., Barthold, S.W., Newcomer, C.E., Smith, A.L., Eds.; Academic Press: Burlington, NJ, USA, 2007; pp. 637–672. [Google Scholar]
- Eshkind, L.; Tian, Q.; Schmidt, A.; Franke, W.W.; Windoffer, R.; Leube, R.E. Loss of desmoglein 2 suggests essential functions for early embryonic development and proliferation of embryonal stem cells. Eur. J. Cell Biol. 2002, 81, 592–598. [Google Scholar] [CrossRef]
- Wang, S.; Lai, X.; Deng, Y.; Song, Y. Correlation between mouse age and human age in anti-tumor research: Significance and method establishment. Life Sci. 2020, 242, 117242. [Google Scholar] [CrossRef]
- Fabritz, L.; Hoogendijk, M.G.; Scicluna, B.P.; van Amersfoorth, S.C.; Fortmueller, L.; Wolf, S.; Laakmann, S.; Kreienkamp, N.; Piccini, I.; Breithardt, G.; et al. Load-reducing therapy prevents development of arrhythmogenic right ventricular cardiomyopathy in plakoglobin-deficient mice. J. Am. Coll. Cardiol. 2011, 57, 740–750. [Google Scholar] [CrossRef]
- Hastings, M.H.; Herrera, J.J.; Guseh, J.S.; Atlason, B.; Houstis, N.E.; Abdul Kadir, A.; Li, H.; Sheffield, C.; Singh, A.P.; Roh, J.D.; et al. Animal Models of Exercise From Rodents to Pythons. Circ. Res. 2022, 130, 1994–2014. [Google Scholar] [CrossRef] [PubMed]
- Schlegel, N.; Meir, M.; Heupel, W.M.; Holthofer, B.; Leube, R.E.; Waschke, J. Desmoglein 2-mediated adhesion is required for intestinal epithelial barrier integrity. Am. J. Physiol. Gastrointest. Liver Physiol. 2010, 298, G774–G783. [Google Scholar] [CrossRef]
- Kondo, T. A case of arrhythmogenic right ventricular cardiomyopathy (ARVC/D) in which tenascin C immunostaining made the assessment of myocardial remodeling possible. Soud. Lek. 2014, 59, 24–25. [Google Scholar] [PubMed]
- Schwanekamp, J.A.; Lorts, A.; Sargent, M.A.; York, A.J.; Grimes, K.M.; Fischesser, D.M.; Gokey, J.J.; Whitsett, J.A.; Conway, S.J.; Molkentin, J.D. TGFBI functions similar to periostin but is uniquely dispensable during cardiac injury. PLoS ONE 2017, 12, e0181945. [Google Scholar] [CrossRef] [PubMed]
- La Gerche, A.; Rakhit, D.J.; Claessen, G. Exercise and the right ventricle: A potential Achilles’ heel. Cardiovasc. Res. 2017, 113, 1499–1508. [Google Scholar] [CrossRef]
- Coscarella, I.L.; Landim-Vieira, M.; Pinto, J.R.; Chelko, S.P. Arrhythmogenic Cardiomyopathy: Exercise Pitfalls, Role of Connexin-43, and Moving beyond Antiarrhythmics. Int. J. Mol. Sci. 2022, 23, 8753. [Google Scholar] [CrossRef]
- Cruz, F.M.; Sanz-Rosa, D.; Roche-Molina, M.; Garcia-Prieto, J.; Garcia-Ruiz, J.M.; Pizarro, G.; Jimenez-Borreguero, L.J.; Torres, M.; Bernad, A.; Ruiz-Cabello, J.; et al. Exercise triggers ARVC phenotype in mice expressing a disease-causing mutated version of human plakophilin-2. J. Am. Coll. Cardiol. 2015, 65, 1438–1450. [Google Scholar] [CrossRef]
- Sawant, A.C.; Bhonsale, A.; te Riele, A.S.; Tichnell, C.; Murray, B.; Russell, S.D.; Tandri, H.; Tedford, R.J.; Judge, D.P.; Calkins, H.; et al. Exercise has a disproportionate role in the pathogenesis of arrhythmogenic right ventricular dysplasia/cardiomyopathy in patients without desmosomal mutations. J. Am. Heart Assoc. 2014, 3, e001471. [Google Scholar] [CrossRef]
- van Opbergen, C.J.M.; Noorman, M.; Pfenniger, A.; Copier, J.S.; Vermij, S.H.; Li, Z.; van der Nagel, R.; Zhang, M.; de Bakker, J.M.T.; Glass, A.M.; et al. Plakophilin-2 Haploinsufficiency Causes Calcium Handling Deficits and Modulates the Cardiac Response Towards Stress. Int. J. Mol. Sci. 2019, 20, 4076. [Google Scholar] [CrossRef]
- Dalal, D.; Nasir, K.; Bomma, C.; Prakasa, K.; Tandri, H.; Piccini, J.; Roguin, A.; Tichnell, C.; James, C.; Russell, S.D.; et al. Arrhythmogenic right ventricular dysplasia: A United States experience. Circulation 2005, 112, 3823–3832. [Google Scholar] [CrossRef]
- Gomes, J.; Finlay, M.; Ahmed, A.K.; Ciaccio, E.J.; Asimaki, A.; Saffitz, J.E.; Quarta, G.; Nobles, M.; Syrris, P.; Chaubey, S.; et al. Electrophysiological abnormalities precede overt structural changes in arrhythmogenic right ventricular cardiomyopathy due to mutations in desmoplakin-A combined murine and human study. Eur. Heart Heart J. 2012, 33, 1942–1953. [Google Scholar] [CrossRef]
- Fulle, J.B.; de Almeida, R.A.; Lawless, C.; Stockdale, L.; Yanes, B.; Lane, E.B.; Garrod, D.R.; Ballestrem, C. Proximity mapping of desmosomes reveals a striking shift in their molecular neighbourhood associated with maturation. Mol. Cell. Proteom. 2024, 23, 100735. [Google Scholar] [CrossRef] [PubMed]
- Kalantarian, S.; Vittinghoff, E.; Klein, L.; Scheinman, M.M. Effect of preload reducing therapy on right ventricular size and function in patients with arrhythmogenic right ventricular cardiomyopathy. Heart Rhythm. 2021, 18, 1186–1191. [Google Scholar] [CrossRef] [PubMed]







| Number of Cells with Mislocalized CX43 | Number of CX43+ Intracellular Dots | Lateral Plasma Membrane Staining | |||
|---|---|---|---|---|---|
| Cell Number | Score N | Dot Number per Cell | Score D | Extent | Score L |
| 0 | 0 | 0 | 0 | 0 | 0 |
| 1–5 | 1 | 1–5 | 1 | 1–10% | 1 |
| 6–10 | 2 | 6–10 | 2 | 11–20% | 2 |
| 11–20 | 3 | >11 | 3 | ≥30% | 3 |
| >20 | 4 | ||||
| Protein | Source | Clone/Cat. No. | Species | Dilution | ECL Kit |
|---|---|---|---|---|---|
| Plakoglobin | BD Biosciences, Franklin Lakes, NJ, USA | 15/γ-Catenin | Mouse | 1:25,000 | Dura |
| Plakoglobin | Sigma, St. Louis, MO, USA | 15F11 | Mouse | 1:500 | Dura |
| Plakophilin-2 | Progen, Heidelberg, Germany | PP2/62, 2/86, 2/150 | Mouse | 1:300 | Dura |
| Desmoplakin | Serotec, Kidlington, UK | AHP320 | Rabbit | 1:2000 | Dura |
| β-catenin | Sigma, St. Louis, MO, USA | C2206 | Rabbit | 1:700 | Pico |
| DSG2 | [63] | Rb-88 | Rabbit | 1:2000 | Dura |
| DSG2 | Generated by Peptide Specialty Laboratories, Heidelberg, Germany | Gp 57, Gp 58 | Guinea pig | 1:2500 | ECL prime |
| α-actinin | P. van der Ven | 653 | Rabbit | 1:5000 | Pico |
| β-actin | Sigma, St. Louis, MO, USA | A2066 | Rabbit | 1:2000 | ECL prime |
| Genotype | Dsg2WT | Dsg20/wt |
|---|---|---|
| N | 4 | 5 |
| Age (weeks) | 53 ± 0 | 53 ± 0 |
| HR (bpm) | 601 ± 27 | 619 ± 14 |
| PQ interval (ms) | 38 ± 1 | 39 ± 1 |
| P-wave duration (ms) | 16 ± 1 | 16 ± 1 |
| QRS duration (ms) | 17 ± 1 | 17 ± 1 |
| QT interval (ms) | 53 ± 3 | 52 ± 2 |
| Genotype | Dsg2WT | Dsg20/wt |
|---|---|---|
| N | 6 | 6 |
| Age (weeks) | 51 ± 0.6 | 51 ± 0.5 |
| BW (g) | 35 ± 1 | 34 ± 2 |
| Heart rate (bpm) | 446 ± 11 | 490 ± 17 |
| RVsav (mm2) | 5.98 ± 0.7 | 6.46 ± 0.9 |
| RV4 (mm2) | 5.7 ± 1.0 | 5.9 ± 0.6 |
| RVDV (µL) | 15.4 ± 2.6 | 15.7 ± 2.4 |
| RV FAC sav (%) | 36.7 ± 2 | 41.1 ± 4 |
| LVEDV (µL) | 81.7 ± 5.6 | 96.8 ± 8.4 |
| IVSd (mm) | 0.8 ± 0.0 | 0.8 ± 0.0 |
| LVPWd (mm) | 0.9 ± 0.0 | 0.8 ± 0.0 |
| LV FAC sav (%) | 53.6 ± 2 | 46.3 ± 4 |
| LV Mass/BW (mg/g) | 4.1 ± 0.3 | 4.4 ± 0.4 |
| LVEDV/RVDV (µL/µL) | 5.7 ± 1.7 | 6.9 ± 1.1 |
| 16 Weeks | 26 Weeks | |||
|---|---|---|---|---|
| Sedentary | Dsg2WT | Dsg2mt/wt | Dsg2WT | Dsg2mt/wt |
| N | 9 | 11 | 11 | 11 |
| BW (g) | 27.9 ± 1.7 | 25.1 ± 1.3 | 25.5 ± 1.3 | 27.9 ± 0.7 |
| Heart rate (bpm) | 492 ± 197 | 492 ± 8.5 | 439 ± 13.4 | 429 ± 10.4 |
| RVsav (mm2) | 5.0 ± 0.3 | 5.5 ± 0.4 | 6.8 ± 0.4 | 6.9 ± 0.4 |
| RV4 (mm2) | 7.6 ± 0.3 | 8.8 ± 0.5 | 7.6 ± 0.3 | 8.5 ± 0.4 |
| RVDV (µL) | 9.7 ± 0.7 | 11.8 ± 1.1 | 13.8 ± 1.2 | 14.5 ± 1.2 |
| RV FAC sav (%) | 35.6 ± 6 | 32.9 ± 3 | 37.2 ± 5 | 39.1 ± 2 |
| LVEDV (µL) | 71.6 ± 3.0 | 65.5 ± 2.7 | 81.1 ± 4.0 | 88.4 ± 6.7 |
| IVSd (mm) | 0.9 ± 0.0 | 0.9 ± 0.0 | 0.6 ± 0.0 | 0.7 ± 0.1 |
| LVPWd (mm) | 0.9 ± 0.0 | 0.8 ± 0.0 | 0.7 ± 0.0 | 0.7 ± 0.0 |
| LV FAC sav (%) | 43.9 ± 1 | 47.0 ± 2 | 47.3 ± 2 | 49.7 ± 3 |
| LV Mass/BW (mg/g) | 4.8 ± 0.2 | 4.8 ± 0.1 | 4.0 ± 0.4 | 4.0 ± 0.3 |
| LVEDV/RVDV (µL/µL) | 7.4 ± 0.4 | 6.0 ± 0.5 | 6.1 ± 0.4 | 6.2 ± 0.3 |
| Protocol | Sedentary | Training | ||||
|---|---|---|---|---|---|---|
| Placebo | Preload-Reducing Therapy | |||||
| Genotype | Dsg2WT | Dsg2mt/wt | Dsg2WT | Dsg2mt/wt | Dsg2WT | Dsg2mt/wt |
| N | 7 | 8 | 12 | 13 | 5 | 10 |
| Age (weeks) | 29 ± 0.4 | 29 ± 0.4 | 21 ± 0.9 | 20 ± 0.8 | 18 ± 0.4 | 19 ± 0.3 |
| HR (bpm) | 554 ± 23 | 569 ± 36 | 528 ± 20 | 579 ± 20 | 523 ± 23 | 603 ± 30 |
| PQ interval (ms) | 38.1 ± 1 | 36.4 ± 0 | 36.1 ± 1 | 35.7 ± 1 | 34.6 ± 1 | 33.8 ± 1 # |
| P wave duration (ms) | 15.1 ± 1 | 16.5 ± 0 | 16.3 ± 1 | 17.1 ± 0 + | 14.7 ± 1 | 15.7 ± 0 |
| QRS duration (ms) | 13.3 ± 0 | 13.9 ± 0 | 14.5 ± 0 # | 14.7 ± 0 | 13.7 ± 0 | 13.8 ± 0 |
| Smin-Jpeak interval (ms) | 4.5 ± 0 | 4.5 ± 0 | 4.9 ± 0 | 5.7 ± 0 #+ | 4.4 ± 0 | 4.6 ± 0 |
| QT interval (ms) | 48.4 ± 1 | 47.6 ± 4 | 46.3 ± 2 | 49.6 ± 2 | 49.8 ± 4 | 45.1 ± 2 |
| Placebo | Preload-Reducing Therapy | |||||||
|---|---|---|---|---|---|---|---|---|
| Before Training | After Training | Before Training | After Training | |||||
| Dsg2WT | Dsg2mt/wt | Dsg2WT | Dsg2mt/wt | Dsg2WT | Dsg2mt/wt | Dsg2WT | Dsg2mt/wt | |
| N | 14 | 15 | 14 | 14 | 10 | 11 | 10 | 11 |
| Heart rate (bpm) | 449 ± 10.5 | 449 ± 8.3 | 419 ± 9.9 | 433 ± 9.1 | 465 ± 7.4 | 457 ± 9.72 | 424 ± 8.5 * | 437 ± 9.6 |
| RVsav (mm2) | 5.6 ± 0.4 | 6.1 ± 0.5 | 6.1 ± 0.3 | 7.3 ± 0.5 #* | 5.6 ± 0.2 | 6.0 ± 0.4 | 6.1 ± 0.2 | 6.3 ± 0.42 |
| RV4 (mm2) | 7.0 ± 0.3 | 7.5 ± 0.4 | 8.3 ± 0.6 | 8.2 ± 0.6 | 7.9 ± 0.3 | 8.3 ± 0.3 | 9.6 ± 0.3 * | 9.2 ± 0.5 |
| RVDV (µL) | 11.8 ± 1.2 | 14.1 ± 1.7 | 13.7 ± 0.8 | 16.8 ± 1.0 #* | 12.2 ± 0.8 | 13.6 ± 0.8 | 13.3 ± 0.5 | 13.6 ± 1.1 |
| RV FAC sav (%) | 41.3 ± 5 | 47.4 ± 4 | 39.8 ± 3 | 36.4 ± 3 * | 37.3 ± 4 | 42.9 ± 3 | 27.8 ± 2 | 30.2 ± 3 |
| RV EF (%) § | 51 ± 2 8 (n = 5) | 52 ± 3 (n = 4) | 51 ± 3 (n = 10) | 50 ± 3 (n = 10) | 60 ± 3 (n = 10) | 54 ± 3 (n = 9) | 54 ± 4 (n = 10) | 54 ± 3 (n = 10) |
| LVEDV (µL) | 70.1 ± 3.1 | 76.9 ± 3.9 | 70.5 ± 3.6 | 71.8 ± 3.5 | 73.7 ± 4.4 | 72.0 ± 3.1 | 69.5 ± 3.8 | 65.1 ± 2.8 |
| IVSd (mm) | 0.7 ± 0.0 | 0.7 ± 0.0 | 0.9 ± 0.1 * | 0.9 ± 0.0 * | 0.7 ± 0.0 | 0.8 ± 0.0 | 1.1 ± 0.1 *+ | 1.1 ± 0.0 *+ |
| LVPWd (mm) | 0.7 ± 0.0 | 0.7 ± 0.0 | 0.8 ± 0.1 | 0.8 ± 0.0 * | 0.7 ± 0.0 | 0.7 ± 0.0 | 0.7 ± 0.0 | 0.8 ± 0.0 * |
| LV FAC sav (%) | 56.1 ± 2 | 55.8 ± 4 | 49.5 ± 4 | 47.1 ± 3 | 50.9 ± 3 | 54.5 ± 2 | 47.3 ± 3 | 50.9 ± 2 |
| LV EF (%) | 54 ± 2 | 51 ± 2 | 60 ± 4 | 57 ± 3 | 48 ± 1 | 53 ±2 | 52 ± 2 | 55 ± 2 |
| LV mass/BW (mg/g) | 4.3 ± 0.2 | 4.3 ± 0.2 | 5.1 ± 0.3 * | 5.2 ± 0.3 * | 4.9 ± 0.3 | 4.8 ± 0.2 | 5.8 ± 0.2 * | 5.9 ± 0.9 * |
| LVEDV/RVDV (µL/µL) | 6.5 ± 0.5 | 6.2 ± 0.4 | 5.2 ± 0.4 | 4.4 ± 0.2 * | 6.4 ± 0.29 | 5.4 ± 0.3 | 5.2 ± 0.2 * | 5.0 ± 0.47 |
Disclaimer/Publisher’s Note: The statements, opinions and data contained in all publications are solely those of the individual author(s) and contributor(s) and not of MDPI and/or the editor(s). MDPI and/or the editor(s) disclaim responsibility for any injury to people or property resulting from any ideas, methods, instructions or products referred to in the content. |
© 2024 by the authors. Licensee MDPI, Basel, Switzerland. This article is an open access article distributed under the terms and conditions of the Creative Commons Attribution (CC BY) license (https://creativecommons.org/licenses/by/4.0/).
Share and Cite
Fabritz, L.; Fortmueller, L.; Gehmlich, K.; Kant, S.; Kemper, M.; Kucerova, D.; Syeda, F.; Faber, C.; Leube, R.E.; Kirchhof, P.; et al. Endurance Training Provokes Arrhythmogenic Right Ventricular Cardiomyopathy Phenotype in Heterozygous Desmoglein-2 Mutants: Alleviation by Preload Reduction. Biomedicines 2024, 12, 985. https://doi.org/10.3390/biomedicines12050985
Fabritz L, Fortmueller L, Gehmlich K, Kant S, Kemper M, Kucerova D, Syeda F, Faber C, Leube RE, Kirchhof P, et al. Endurance Training Provokes Arrhythmogenic Right Ventricular Cardiomyopathy Phenotype in Heterozygous Desmoglein-2 Mutants: Alleviation by Preload Reduction. Biomedicines. 2024; 12(5):985. https://doi.org/10.3390/biomedicines12050985
Chicago/Turabian StyleFabritz, Larissa, Lisa Fortmueller, Katja Gehmlich, Sebastian Kant, Marcel Kemper, Dana Kucerova, Fahima Syeda, Cornelius Faber, Rudolf E. Leube, Paulus Kirchhof, and et al. 2024. "Endurance Training Provokes Arrhythmogenic Right Ventricular Cardiomyopathy Phenotype in Heterozygous Desmoglein-2 Mutants: Alleviation by Preload Reduction" Biomedicines 12, no. 5: 985. https://doi.org/10.3390/biomedicines12050985
APA StyleFabritz, L., Fortmueller, L., Gehmlich, K., Kant, S., Kemper, M., Kucerova, D., Syeda, F., Faber, C., Leube, R. E., Kirchhof, P., & Krusche, C. A. (2024). Endurance Training Provokes Arrhythmogenic Right Ventricular Cardiomyopathy Phenotype in Heterozygous Desmoglein-2 Mutants: Alleviation by Preload Reduction. Biomedicines, 12(5), 985. https://doi.org/10.3390/biomedicines12050985

