Immunolocalization of Matrix Metalloproteinases 2 and 9 and Their Inhibitors in the Hearts of Rats Treated with Immunosuppressive Drugs—An Artificial Intelligence-Based Digital Analysis
Abstract
1. Introduction
2. Materials and Methods
2.1. Animals
2.2. Morphology
2.3. Morphometry
2.4. Vascular Density
2.5. Collagen Fibers
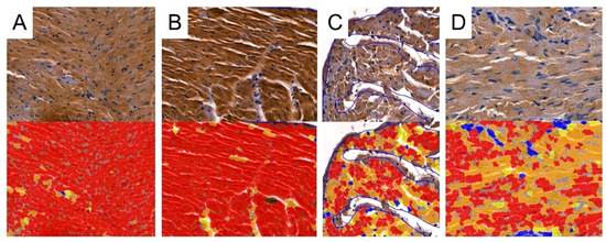
2.6. Immunohistochemical Analysis
2.7. Statistical Analysis
3. Results
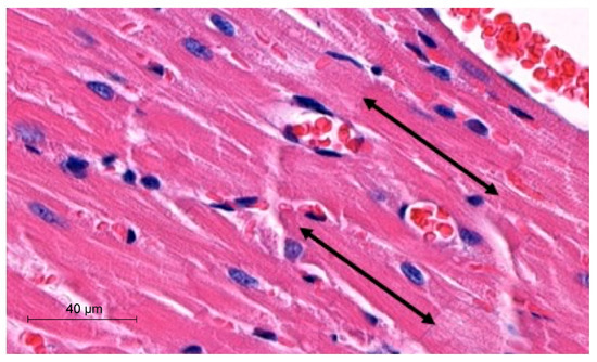
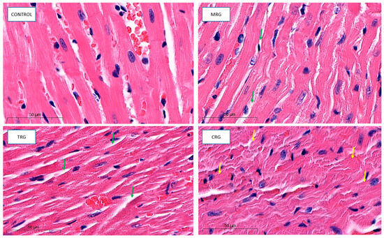
3.1. Morphology
3.2. Morphometry
3.3. Vascular Density
3.4. Collagen Analysis
3.5. Digital Analysis of Immunolocalization of the MMP-2/TIMP-2
3.6. Digital Analysis of Immunolocalization of the MMP-9/TIMP-1
4. Discussion
5. Conclusions
Author Contributions
Funding
Institutional Review Board Statement
Informed Consent Statement
Data Availability Statement
Conflicts of Interest
References
- Allison, T.L. Immunosuppressive Therapy in Transplantation. Nurs. Clin. N. Am. 2016, 51, 107–120. [Google Scholar] [CrossRef] [PubMed]
- Ye, F.; Ying-Bin, X.; Yu-Guo, W.; Hetzer, R. Tacrolimus versus cyclosporine microemulsion for heart transplant recipients: A meta-analysis. J. Heart Lung Transplant. 2009, 28, 58–66. [Google Scholar] [CrossRef] [PubMed]
- Lin, C.X.; Li, Y.; Liang, S.; Tao, J.; Zhang, L.S.; Su, Y.F.; Huang, Y.X.; Zhao, Z.K.; Liu, S.Y.; Zheng, J.M. Metformin Attenuates Cyclosporine A-induced Renal Fibrosis in Rats. Transplantation 2019, 103, e285–e296. [Google Scholar] [CrossRef] [PubMed]
- Selcoki, Y.; Uz, E.; Bayrak, R.; Sahin, S.; Kaya, A.; Uz, B.; Karanfil, A.; Ozkara, A.; Akcay, A. The protective effect of erdosteine against cyclosporine A-induced cardiotoxicity in rats. Toxicology 2007, 239, 53–59. [Google Scholar] [CrossRef]
- Omatsu-Kanbe, M.; Fukunaga, R.; Mi, X.; Matsuura, H. Atypically Shaped Cardiomyocytes (ACMs): The Identification, Characterization and New Insights into a Subpopulation of Cardiomyocytes. Biomolecules 2022, 12, 896. [Google Scholar] [CrossRef] [PubMed]
- Camelliti, P.; Borg, T.K.; Kohl, P. Structural and functional characterisation of cardiac fibroblasts. Cardiovasc. Res. 2005, 65, 40–51. [Google Scholar] [CrossRef] [PubMed]
- Banerjee, I.; Fuseler, J.W.; Price, R.L.; Borg, T.K.; Baudino, T.A. Determination of cell types and numbers during cardiac development in the neonatal and adult rat and mouse. Am. J. Physiol. Heart Circ. Physiol. 2007, 293, H1883–H1891. [Google Scholar] [CrossRef] [PubMed]
- Ma, Y.; Kobayashi, T.; Kuzuya, T.; Liu, D.; Nagasaka, T.; Yokoyama, I.; Miwa, Y.; Morozumi, K.; Oikawa, T.; Uchida, K.; et al. Is absorption profile of cyclosporine really important for effective immunosuppression? Biol. Pharm. Bull. 2006, 29, 336–342. [Google Scholar] [CrossRef]
- Joffe, I.; Katz, I.; Sehgal, S.; Bex, F.; Kharode, Y.; Tamasi, J.; Epstein, S. Lack of change of cancellous bone volume with short-term use of the new immunosuppressant rapamycin in rats. Calcif. Tissue Int. 1993, 53, 45–52. [Google Scholar] [CrossRef]
- van Westrhenen, R.; Aten, J.; Hajji, N.; de Boer, O.J.; Kunne, C.; de Waart, D.R.; Krediet, R.T. Cyclosporin A induces peritoneal fibrosis and angiogenesis during chronic peritoneal exposure to a glucose-based, lactate-buffered dialysis solution in the rat. Blood Purif. 2007, 25, 466–472. [Google Scholar] [CrossRef]
- Jolicoeur, E.M.; Qi, S.; Xu, D.; Dumont, L.; Daloze, P.; Chen, H. Combination therapy of mycophenolate mofetil and rapamycin in prevention of chronic renal allograft rejection in the rat. Transplantation 2003, 75, 54–59. [Google Scholar] [CrossRef]
- Wilk, A.; Szypulska-Koziarska, D.; Kędzierska-Kapuza, K.; Sieńko, J.; Kolasa-Wołosiuk, A.; Ciechanowski, K.; Wiszniewska, B. The Comparison of Parameters of Oxidative Stress in Native Rat Livers between Different Immunosuppressive Regimens. Med. Sci. Monit. 2019, 25, 8242–8247. [Google Scholar] [CrossRef]
- Kedzierska, K.; Sporniak-Tutak, K.; Kolasa, A.; Domański, L.; Domański, M.; Sindrewicz, K.; Smektała, T.; Bober, J.; Safranow, K.; Osekowska, B.; et al. The effect of immunosuppressive therapy on renal cell apoptosis in native rat kidneys. Histol. Histopathol. 2015, 30, 105–116. [Google Scholar] [CrossRef]
- Surówka, A.; Szumilas, K.; Wilk, A.; Misiakiewicz-Has, K.; Ciechanowski, K.; Kędzierska-Kapuza, K. The Effect of Chronic Immunosuppressive Regimens Treatment on Aortal Media Morphology and the Balance between Matrix Metalloproteinases (mmp-2 and mmp-9) and Their Inhibitors in the Abdominal Aorta of Rats. Int. J. Environ. Res. Public Health 2022, 19, 6399. [Google Scholar] [CrossRef]
- Ume, A.C.; Wenegieme, T.Y.; Williams, C.R. Calcineurin inhibitors: A double-edged sword. Am. J. Physiol. Renal Physiol. 2021, 320, F336–F341. [Google Scholar] [CrossRef]
- Allison, A.C.; Eugui, E.M. Mechanisms of action of mycophenolate mofetil in preventing acute and chronic allograft rejection. Transplantation 2005, 80, S181–S190. [Google Scholar] [CrossRef]
- Terada, N.; Lucas, J.J.; Szepesi, A.; Franklin, R.A.; Domenico, J.; Gelfand, E.W. Rapamycin blocks cell cycle progression of activated T cells prior to events characteristic of the middle to late G1 phase of the cycle. J. Cell Physiol. 1993, 154, 7–15. [Google Scholar] [CrossRef]
- Waller, J.R.; Brook, N.R.; Bicknell, G.R.; Murphy, G.J.; Nicholson, M.L. Mycophenolate mofetil inhibits intimal hyperplasia and attenuates the expression of genes favouring smooth muscle cell proliferation and migration. Transplant. Proc. 2005, 37, 164–166. [Google Scholar] [CrossRef]
- Eleftheriades, E.G.; Ferguson, A.G.; Samarel, A.M. Cyclosporine A has no direct effect on collagen metabolism by cardiac fibroblasts in vitro. Circulation 1993, 87, 1368–1377. [Google Scholar] [CrossRef]
- Rezzani, R.; Angoscini, P.; Rodella, L.; Bianchi, R. Alterations induced by cyclosporine A in myocardial fibers and extracellular matrix in rat. Histol. Histopathol. 2002, 17, 761–766. [Google Scholar] [CrossRef]
- Berthier, C.C.; Pally, C.; Weckbecker, G.; Raulf, F.; Rehrauer, H.; Wagner, U.; Le Hir, M.; Marti, H.P. Experimental heart transplantation: Effect of cyclosporine on expression and activity of metzincins. Swiss Med. Wkly. 2009, 139, 233–240. [Google Scholar] [CrossRef]
- Bianchi, R.; Rodella, L.; Rezzani, R. Cyclosporine A up-regulates expression of matrix metalloproteinase 2 and vascular endothelial growth factor in rat heart. Int. Immunopharmacol. 2003, 3, 427–433. [Google Scholar] [CrossRef]
- Ha, E.; Mun, K.C. Effects of cyclosporine on metalloproteinase in endothelial cells. Transplant. Proc. 2012, 44, 991–992. [Google Scholar] [CrossRef]
- Lauritano, D.; Palmieri, A.; Lucchese, A.; Di Stasio, D.; Moreo, G.; Carinci, F. Role of Cyclosporine in Gingival Hyperplasia: An In Vitro Study on Gingival Fibroblasts. Int. J. Mol. Sci. 2020, 21, 595. [Google Scholar] [CrossRef]
- Nazemisalman, B.; Sajedinejad, N.; Darvish, S.; Vahabi, S.; Gudarzi, H. Evaluation of inductive effects of different concentrations of cyclosporine A on MMP-1, MMP-2, MMP-3, TIMP-1, and TIMP-2 in fetal and adult human gingival fibroblasts. J. Basic. Clin. Physiol. Pharmacol. 2019, 30, 20180176. [Google Scholar] [CrossRef]
- Lan, C.C.; Fang, A.H.; Wu, P.H.; Wu, C.S. Tacrolimus abrogates TGF-β1-induced type I collagen production in normal human fibroblasts through suppressing p38MAPK signalling pathway: Implications on treatment of chronic atopic dermatitis lesions. J. Eur. Acad. Dermatol. Venereol. 2014, 28, 204–215. [Google Scholar] [CrossRef]
- Alnsasra, H.; Asleh, R.; Oh, J.K.; Maleszewski, J.J.; Lerman, A.; Toya, T.; Chandrasekaran, K.; Bois, M.C.; Kushwaha, S.S. Impact of Sirolimus as a Primary Immunosuppressant on Myocardial Fibrosis and Diastolic Function Following Heart Transplantation. J. Am. Heart Assoc. 2021, 10, e018186. [Google Scholar] [CrossRef]
- Samidurai, A.; Saravanan, M.; Ockaili, R.; Kraskauskas, D.; Lau, S.Y.V.; Kodali, V.; Ramasamy, S.; Bhoopathi, K.; Nair, M.; Roh, S.K.; et al. Single-Dose Treatment with Rapamycin Preserves Post-Ischemic Cardiac Function through Attenuation of Fibrosis and Inflammation in Diabetic Rabbit. Int. J. Mol. Sci. 2023, 24, 8998. [Google Scholar] [CrossRef]
- Yu, S.Y.; Liu, L.; Li, P.; Li, J. Rapamycin inhibits the mTOR/p70S6K pathway and attenuates cardiac fibrosis in adriamycin-induced dilated cardiomyopathy. Thorac. Cardiovasc. Surg. 2013, 61, 223–228. [Google Scholar] [CrossRef]
- O’Connell, S.; Slattery, C.; Ryan, M.P.; McMorrow, T. Sirolimus enhances cyclosporine a-induced cytotoxicity in human renal glomerular mesangial cells. J. Transplant. 2012, 2012, 980910. [Google Scholar] [CrossRef]
- Naoumov, N.V.; Brees, D.; Loeffler, J.; Chng, E.; Ren, Y.; Lopez, P.; Tai, D.; Lamle, S.; Sanyal, A.J. Digital pathology with artificial intelligence analyses provides greater insights into treatment-induced fibrosis regression in NASH. J. Hepatol. 2022, 77, 1399–1409. [Google Scholar] [CrossRef]
- Eloy, C.; Marques, A.; Pinto, J.; Pinheiro, J.; Campelos, S.; Curado, M.; Vale, J.; Polónia, A. Artificial intelligence-assisted cancer diagnosis improves the efficiency of pathologists in prostatic biopsies. Virchows. Arch. 2023, 482, 595–604. [Google Scholar] [CrossRef]












| Variable | Control (n = 6) | CRG (n = 4) | TRG (n = 6) | MRG (n = 6) | p-Value (Kruskal–Wallis) | p-Value (vs. Control) | P1 | P2 | P3 |
|---|---|---|---|---|---|---|---|---|---|
| Cardiomyocyte width | 8 (6.4; 9.35) | 5.9 (4.95; 7.4) | 6.65 (5.4; 8.55) | 5.4 (4.8; 7.5) | 0.0001 | CRG: <0.0001 TRG: 0.0129 MRG: 0.0113 | 0.0241 | 0.2271 | 0.0032 |
| Cardiomyocyte length | 84.8 (73.2; 98.2) | 57.5 (54.3; 64.3) | 76.15 (74.3; 84.5) | 49.4 (47.1; 55.6) | 0.0001 | CRG: <0.0001 TRG: 0.2421 MRG: <0.0001 | <0.0001 | 0.0177 | <0.0001 |
| Vascular density | 38.9 (35.59; 54.5) | 53.28 (51.34; 84.17) | 45.33 (42.5; 51.47) | 65.87 (52.15; 76.49) | 0.008 | CRG: 0.0062 TRG: 0.2579 MRG: 0.0019 | 0.032 | 0.3483 | 0.0125 |
| Collagen area | 1.18 (1.12; 1.24) | 1.29 (1.105; 1.385) | 1.03 (0.94; 1.18) | 1.125 (0.77; 1.56) | 0.675 | CRG: 0.2555 TRG: 0.2592 MRG: 0.4645 | 0.1084 | 0.2305 | 0.2888 |
| MMP-2 area | 60.9 (58.85; 61.84) | 54.4 (52.42; 55.52) | 57.33 (56.21; 58.27) | 41.8 (40.41; 43.12) | 0.0009 | CRG: 0.0239 TRG: 0.1284 MRG: 0.0000 | 0.1674 | 0.0641 | 0.0027 |
| TIMP-2 area | 52.91 (51.14; 53.59) | 65.44 (61.43; 68.77) | 50.08 (47.18; 54.94) | 49.61 (46.63; 52.02) | 0.0214 | CRG: 0.0282 TRG: 0.2118 MRG: 0.1332 | 0.0043 | 0.0019 | 0.3778 |
| MMP-9 area | 55.18 (53.17; 56.53) | 53.06 (52.54; 53.32) | 53.49 (50.2; 57.85) | 41.31 (40.87; 42.89) | 0.004 | CRG: 0.2132 TRG: 0.2385 MRG: 0.0003 | 0.4368 | 0.0117 | 0.0033 |
| TIMP-1 area | 53.9 (51.49; 58.04) | 54.75 (51.53; 58.54) | 44.64 (40.71; 47.99) | 34.78 (33.4; 39.29) | 0.0005 | CRG: 0.5 TRG: 0.0131 MRG: 0.0001 | 0.0234 | 0.0006 | 0.0774 |
Disclaimer/Publisher’s Note: The statements, opinions and data contained in all publications are solely those of the individual author(s) and contributor(s) and not of MDPI and/or the editor(s). MDPI and/or the editor(s) disclaim responsibility for any injury to people or property resulting from any ideas, methods, instructions or products referred to in the content. |
© 2024 by the authors. Licensee MDPI, Basel, Switzerland. This article is an open access article distributed under the terms and conditions of the Creative Commons Attribution (CC BY) license (https://creativecommons.org/licenses/by/4.0/).
Share and Cite
Wilk, A.; Król, M.; Kiełbowski, K.; Bakinowska, E.; Szumilas, K.; Surówka, A.; Kędzierska-Kapuza, K. Immunolocalization of Matrix Metalloproteinases 2 and 9 and Their Inhibitors in the Hearts of Rats Treated with Immunosuppressive Drugs—An Artificial Intelligence-Based Digital Analysis. Biomedicines 2024, 12, 769. https://doi.org/10.3390/biomedicines12040769
Wilk A, Król M, Kiełbowski K, Bakinowska E, Szumilas K, Surówka A, Kędzierska-Kapuza K. Immunolocalization of Matrix Metalloproteinases 2 and 9 and Their Inhibitors in the Hearts of Rats Treated with Immunosuppressive Drugs—An Artificial Intelligence-Based Digital Analysis. Biomedicines. 2024; 12(4):769. https://doi.org/10.3390/biomedicines12040769
Chicago/Turabian StyleWilk, Aleksandra, Małgorzata Król, Kajetan Kiełbowski, Estera Bakinowska, Kamila Szumilas, Anna Surówka, and Karolina Kędzierska-Kapuza. 2024. "Immunolocalization of Matrix Metalloproteinases 2 and 9 and Their Inhibitors in the Hearts of Rats Treated with Immunosuppressive Drugs—An Artificial Intelligence-Based Digital Analysis" Biomedicines 12, no. 4: 769. https://doi.org/10.3390/biomedicines12040769
APA StyleWilk, A., Król, M., Kiełbowski, K., Bakinowska, E., Szumilas, K., Surówka, A., & Kędzierska-Kapuza, K. (2024). Immunolocalization of Matrix Metalloproteinases 2 and 9 and Their Inhibitors in the Hearts of Rats Treated with Immunosuppressive Drugs—An Artificial Intelligence-Based Digital Analysis. Biomedicines, 12(4), 769. https://doi.org/10.3390/biomedicines12040769

