Spondylodiscitis and Its Mimickers: A Pictorial Review
Abstract
1. Epidemiology
2. Pathogenesis and Clinical Presentation
3. Diagnostic Work-Up
3.1. Conventional Radiographs
3.2. Computed Tomography (CT)
3.3. Nuclear Medicine
3.4. MR Imaging
4. Imaging Features of Spondylodiscitis of Bacterial Origin
5. Tuberculous Origin (Pott’s Disease)
6. Brucellar Origin
7. Post-SARS-CoV-2 Infection
8. Mimickers: Differential Diagnosis
8.1. Modic Type I Degeneration
8.2. Acute Schmorl’s Node
8.3. Ankylosing Spondylitis
8.4. Osteoporotic Fractures
8.5. Spinal Neuropathic Arthropathy
9. Treatment
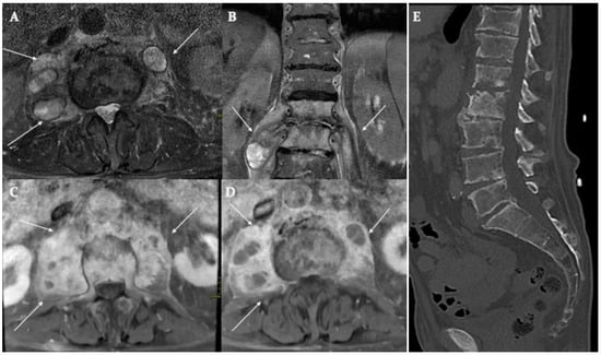
Paraspinal and Iliopsoas Abscess
10. Discussion
11. Conclusions
Author Contributions
Funding
Data Availability Statement
Conflicts of Interest
References
- Sans, N.; Faruch, M.; Lapèue, F.; Ponsot, A.; Chiavassa, H.; Railhac, J.J. Infections of the spinal column–Spondylodiscitis. Diagn. Interv. Imaging 2012, 93, 520–526. [Google Scholar] [CrossRef] [PubMed]
- Homagk, L.; Marmelstein, D.; Homagk, N.; Hofmann, G.O. SponDT (Spondylodiscitis Diagnosis and Treatment): Spondylodiscitis scoring system. J. Orthop. Surg. Res. 2019, 14, 100. [Google Scholar] [CrossRef] [PubMed]
- Lener, S.; Hartmann, S.; Barbagallo, G.M.V.; Certo, F.; Thomè, C.; Tschugg, A. Management of spinal infection: A review of the literature. Acta Neurochir. 2018, 160, 487–496. [Google Scholar] [CrossRef] [PubMed]
- Gentile, L.; Benazzo, F.; De Rosa, F.; Boriani, S.; Dallagiacoma, G.; Franceschetti, G.; Gaeta, M.; Cuzzocrea, F. A systematic review: Characteristics, complications and treatment of spondylodiscitis. Eur. Rev. Med. Pharmacol. Sci. 2019, 23 (Suppl. 2), 117–128. [Google Scholar]
- Stangenberg, M.; Mende, K.C.; Mohme, M.; Krätzig, T.; Viezenas, L.; Both, A.; Rohde, H.; Dreimann, M. Influence of microbiological diagnosis on the clinical course of spondylodiscitis. Infection 2021, 49, 1017–1027. [Google Scholar] [CrossRef]
- Shanmuganathan, R.; Ramachandran, K.; Prasad Shetty, A.; Kanna, R.M. Active tuberculosis of spine: Current updates. N. Am. Spine Soc. J. 2023, 16, 100267. [Google Scholar] [CrossRef] [PubMed]
- Sheikh, A.F.; Khosravi, A.D.; Goodarzi, H.; Nashibi, R.; Teimouri, A.; Motamedfar, A.; Ranjbar, R.; Afzalzadeh, S.; Cyrus, M.; Hashemzadeh, M. Pathogen Identification in Suspected Cases of Pyogenic Spondylodiscitis. Front. Cell. Infect. Microbiol. 2017, 7, 60. [Google Scholar] [CrossRef]
- George, A.J.; Santhanagopal, S.; Mohan, M.M.; Lal, J.V.; Basappa, M.; Thomas, J.C.; Jeevo, J. Spondylodiscitis: A Diagnostic and Management Dilemma. Cureus 2024, 16, e58284. [Google Scholar] [CrossRef]
- Crombé, A.; Fadli, D.; Clinca, R.; Reverchon, G.; Cevolani, L.; Girolami, M.; Hauger, O.; Matcuk, G.R.; Spinnato, P. Imaging of Spondylodiscitis: A Comprehensive Updated Review—Multimodality Imaging Findings, Differential Diagnosis, and Specific Microorganisms Detection. Microorganisms 2024, 12, 893. [Google Scholar] [CrossRef]
- Shroyer, S.; Boys, G.; April, M.D.; Long, B.; Mehta, S.; Davis, W.T. Imaging characteristics and CT sensitivity for pyogenic spinal infections. Am. J. Emerg. Med. 2022, 58, 148–153. [Google Scholar] [CrossRef]
- Pola, E.; Cipolloni, V.; Nasto, L.A.; Piccone, L.; Formica, V.; Pambianco, V.; Colangelo, D.; Fantoni, M. New classification for the treatment of pyogenic spondylodiscitis: Validation study on a population of 250 patients with a follow-up of 2 years. Lo Scalpello J. 2022, 36, 122–130. [Google Scholar] [CrossRef]
- Piccolo, C.L.; Mallio, C.A.; Vaccarino, F.; Grasso, R.F.; Zobel, B.B. Imaging of knee osteoarthritis: A review of multimodal diagnostic approach. Quant. Imaging Med. Surg. 2023, 13, 7582–7595. [Google Scholar] [CrossRef] [PubMed]
- Palumbo, P.; Bruno, F.; Arrigoni, F.; Zappia, M.; Ierardi, A.M.; Guglielmi, G.; Zugaro, L.; Carotti, M.; Di Cesare, E.; Splendiani, A.; et al. Diagnostic and interventional management of infective spine diseases. Acta Biomed. 2020, 91, 125–135. [Google Scholar] [PubMed]
- Singh, D.K.; Mukund, A. Tissue Diagnosis in Infective Spondylodiscitis by CT-Guided Spinal Biopsy: A Standard Practice before Starting Treatment. Indian J. Radiol. Imaging 2023, 33, 287–288. [Google Scholar] [CrossRef]
- Compagnone, D.; Cecchinato, R.; Pezzi, A.; Langella, F.; Damilano, M.; Redaelli, A.; Vanni, D.; Lamartina, C.; Berjano, P.; Boriani, S. Diagnostic Approach and Differences between Spinal Infections and Tumors. Diagnostics 2023, 13, 2737. [Google Scholar] [CrossRef]
- Boriani, L.; Zamparini, E.; Albrizio, M.; Serani, F.; Ciani, G.; Marconi, L.; Vommaro, F.; Greggi, T.; Fanti, S.; Nanni, C. Spine Infections: The Role of Fluorodeoxyglucose Positron Emission Tomography (FDG PET) in the Context of the Actual Diagnosis Guideline. Curr. Med. Imaging 2022, 18, 216–230. [Google Scholar] [CrossRef]
- Kouijzer, I.J.E.; Scheper, H.; de Rooy, J.W.J.; Bloem, J.L.; Janssen, M.J.R.; van den Hoven, L.; Hosman, A.J.F.; Visser, L.G.; Oyen, W.J.G.; Bleeker-Rovers, C.P.; et al. The diagnostic value of 18F-FDG-PET/CT and MRI in suspected vertebral osteomyelitis—A prospective study. Eur. J. Nucl. Med. Mol. Imaging 2018, 45, 798–805. [Google Scholar] [CrossRef]
- Casali, M.; Lauri, C.; Altini, C.; Bertagna, F.; Cassarino, G.; Cistaro, A.; Erba, A.P.; Ferrari, C.; Mainolfi, C.G.; Palucci, A.; et al. State of the art of 18F-FDG PET/CT application in inflammation and infection: A guide for image acquisition and interpretation. Clin. Transl. Imaging 2021, 9, 299–339. [Google Scholar] [CrossRef]
- Sharma, A.; Chhabra, H.S.; Mahajan, R.; Chabra, T.; Batra, S. Magnetic resonance imaging and GeneXpert: A rapid and accurate diagnostic tool for the management of tuberculosis of the spine. Asian Spine J. 2016, 10, 850–856. [Google Scholar] [CrossRef][Green Version]
- Galhotra, R.D.; Jain, T.; Sandhu, P.; Galhotra, V. Utility of magnetic resonance imaging in the differential diagnosis of tubercular and pyogenic spondylodiscitis. J. Nat. Sci. Biol. Med. 2015, 6, 388–393. [Google Scholar] [CrossRef]
- Lury, K.; Smith, J.K.; Castillo, M. Imaging of spinal infections. Semin. Roentgenol. 2006, 41, 363–379. [Google Scholar] [CrossRef] [PubMed]
- Piccolo, C.L.; Galluzzo, M.; Ianniello, S.; Trinci, M.; Russo, A.; Rossi, E.; Zeccolini, M.; Laporta, A.; Guglielmi, G.; Miele, V. Pediatric musculoskeletal injuries: Role of ultrasound and magnetic resonance imaging. Musculoskelet. Surg. 2017, 101 (Suppl. 1), 85–102. [Google Scholar] [CrossRef] [PubMed]
- Moritani, T.; Kim, J.; Capizzano, A.A.; Kirby, P.; Kademian, J.; Sato, Y. Pyogenic and non-pyogenic spinal infections: Emphasis on diffusion-weighted imaging for the detection of abscesses and pus collections. Br. J. Radiol. 2014, 87, 20140011. [Google Scholar] [CrossRef]
- Thurnher, M.M.; Bammer, R. Diffusion-weighted magnetic resonance imaging of the spine and spinal cord. Semin. Roentgenol. 2006, 41, 294–311. [Google Scholar] [CrossRef]
- Sundaram, V.K.; Doshi, A. Infections of the spine: A review of clinical and imaging findings. Appl. Radiol. 2016, 45, 10–20. [Google Scholar] [CrossRef]
- El Zein, S.; Berbari, E.F.; Passerini, M.; Petri, F.; Maamari, J.; Murad, M.H.; Sendi, P.; Tande, A.J. Rifampin Based Therapy for Patients with Staphylococcus aureus Native Vertebral Osteomyelitis: A Systematic Review and Meta-analysis. Clin. Infect. Dis. 2024, 25, 40–47. [Google Scholar] [CrossRef]
- Millot, F.; Bonnaire, B.; Clavel, G.; Deramond, H.; Fardellone, P.; Grados, F. Hematogenous Staphylococcus aureus discitis in adults can start outside the vertebral body. Jt. Bone Spine 2010, 77, 76–77. [Google Scholar] [CrossRef] [PubMed]
- Zhu, W.; Zhou, S.; Zhang, J.; Li, L.; Liu, P.; Xiong, W. Differentiation of Native Vertebral Osteomyelitis: A Comprehensive Review of Imaging Techniques and Future Applications. Med. Sci. Monit. 2024, 30, e943168. [Google Scholar] [CrossRef] [PubMed]
- Abid, W.; Ladeb, M.F.; Chidambaranathan, N.; Peh, W.C.G.; Vanhoenacker, F.M. Imaging of musculoskeletal tuberculosis. Skelet. Radiol. 2024, 53, 2081–2097. [Google Scholar] [CrossRef]
- Lee, K.Y. Comparison of pyogenic spondylitis and tuberculous spondylitis. Asian Spine J. 2014, 8, 216–223. [Google Scholar] [CrossRef]
- Alvi, A.A.; Raees, A.; Khan Rehmani, M.A.; Aslam, H.M.; Saleem, S.; Ashraf, J. Magnetic resonance image findings of spinal tuberculosis at first presentation. Int. Arch. Med. 2014, 7, 12. [Google Scholar] [CrossRef] [PubMed]
- Ben Taarit, C.H.; Turki, S.; Ben Maiz, H. Spondylodiscites infectieuses: Étude d’une série de 151 cas. Acta Orthop. Belg. 2002, 68, 381–387. [Google Scholar] [PubMed]
- Qiu, M.; Jayasekara, D.; Jayasekara, A. Post-COVID-19 Infection with Meticillin-Sensitive Staphylococcus aureus (MSSA) Bacteremia, Discitis/Osteomyelitis, and Diffuse Abscesses: A Case Report. Cureus 2022, 14, e25824. [Google Scholar] [CrossRef]
- Ramlee, F.A.M.; Harun, M.H.B.; Nagaretnam, V.; Lim, T.S.; Aris, H.F.; Tan, C.N. A Case Series of Spinal Infections Following COVID-19: A Delayed Complication. Cureus 2022, 14, e29272. [Google Scholar]
- Ali Adam, A.; Sheikh Hassan, M.; Adam Osman, A. Spinal brucellosis causing spondylodiscitis. Ann. Med. Surg. 2022, 82, 104782. [Google Scholar]
- Spernovasilis, N.; Karantanas, A.; Markaki, I.; Konsoula, A.; Ntontis, Z.; Koutserimpas, C.; Alpantaki, K. Brucella Spondylitis: Current Knowledge and Recent Advances. J. Clin. Med. 2024, 19, 595. [Google Scholar] [CrossRef]
- Jevtic, V. Magnetic resonance imaging appearances of different discovertebral lesions. Eur. Radiol. 2001, 11, 1123–1135. [Google Scholar] [CrossRef] [PubMed]
- Kwon, J.W.; Yoon, Y.C.; Choi, S.H.; Jung, J.Y.; Choe, B.K. MR imaging for the differentiation of early infectious spondylitis and modic type I change in the lumbar spine. J. Korean Soc. Radiol. 2010, 62, 563–570. [Google Scholar] [CrossRef]
- Bron, J.L.; de Vries, M.K.; Snieders, M.N.; van der Horst-Bruinsma, I.E.; van Royen, B.J. Discovertebral (Andersson) lesions of the spine in ankylosing spondylitis revisited. Clin. Rheumatol. 2009, 28, 883–892. [Google Scholar] [CrossRef]
- Daghighi, M.H.; Poureisa, M.; Safarpour, M.; Behzadmehr, R.; Fouladi, D.F.; Meshkini, A.; Varshochi, M.; Kiani Nazarlou, A. Diffusion-weighted magnetic resonance imaging in differentiating acute infectious spondylitis from degenerative Modic type 1 change; the role of b-value, apparent diffusion coefficient, claw sign and amorphous increased signal. Br. J. Radiol. 2016, 89, 20150152. [Google Scholar] [CrossRef]
- Santiago, F.R.; Ramos-Bossini, A.J.L.; Wáng, Y.X.J.; Barbero, J.P.M.; Espinosa, J.G.; Martínez, A.M. The value of magnetic resonance imaging and computed tomography in the study of spinal disorders. Quant. Imaging Med. Surg. 2022, 12, 3947–3986. [Google Scholar] [CrossRef] [PubMed]
- Wáng, Y.X.J.; Che-Nordin, N. Some radiographically ‘occult’ osteoporotic vertebral fractures can be evidential if we look carefully. Quant. Imaging Med. Surg. 2019, 9, 1992–1995. [Google Scholar] [CrossRef] [PubMed]
- Othman, M.; Menon, V.K. The prevalence of Schmorl’s nodes in osteoporotic vs normal patients: A Middle Eastern population study. Osteoporos. Int. 2022, 33, 1493–1499. [Google Scholar] [CrossRef]
- Ledbetter, L.N.; Salzman, K.L.; Sanders, R.K.; Shah, L.M. Spinal Neuroarthropathy: Pathophysiology, Clinical and Imaging Features, and Differential Diagnosis. Radiographics 2016, 36, 783–799. [Google Scholar] [CrossRef]
- Madhavan, K.; Chieng, L.O.; Armstrong, V.L.; Wang, M.Y. Spondylodiscitis in end-stage renal disease: A systematic review. J. Neurosurg. Spine 2019, 30, 674–682. [Google Scholar] [CrossRef] [PubMed]
- Jevtic, V. Vertebral infection. Eur. Radiol. 2004, 14 (Suppl. 3), E43–E52. [Google Scholar] [CrossRef]
- Iwasaki, M.; Yano, S.; Aoyama, T.; Hida, K.; Iwasaki, Y. Acute onset intramedullary spinal cord abscess with spinal artery occlusion: A case report and review. Eur. Spine J. 2011, 20 (Suppl. 2), S294–S301. [Google Scholar] [CrossRef]
- Dokponou, Y.C.H.; Obame, F.L.O.; Mohcine, S.; Saad, M.E.; Abderrahmane, H.; Imbunhe, N.; Mandour, C.; Gazzaz, M. Extensive Spinal Epidural Abscess: A Systematic Review of Risk Factors, Clinical Presentation, and Management with a Case Illustration. World Neurosurg. 2024, 189, 273–284. [Google Scholar] [CrossRef]
- Corrah, T.W.; Enoch, D.A.; Aliyu, S.H.; Lever, A.M. Bacteraemia and subsequent vertebral osteomyelitis: A retrospective review of 125 patients. QJM 2011, 104, 201–207. [Google Scholar] [CrossRef]
- Arko, L.; Quach, E.; Nguyen, V.; Chang, D.; Sukul, V.; Kim, B.-S. Medical and surgical management of spinal epidural abscess: A systematic review. Neurosurg. Focus 2014, 37, E4. [Google Scholar] [CrossRef]
- Hu, S.Y.; Hsieh, M.S.; Chang, Y.T.; Huang, C.C.; Tsai, C.A.; Tsai, C.L.; Hsu, C.Y.; Shen, C.H.; Chang, Y.Z. Clinical features, management, and outcome of iliopsoas abscess associated with cardiovascular disorders: A hospital-based observational case series study. BMC Musculoskelet. Disord. 2019, 20, 474. [Google Scholar] [CrossRef] [PubMed]
- Xu, C.; Zhou, Z.; Wang, S.; Ren, W.; Yang, X.; Chen, H.; Zheng, W.; Yin, Q.; Pan, H. Psoas abscess: An uncommon disorder. Postgrad. Med. J. 2024, 100, 482–487. [Google Scholar] [CrossRef] [PubMed]
- Shields, D.; Robinson, P.; Crowley, T.P. Iliopsoas abscess—A review and update on the literature. Int. J. Surg. 2012, 10, 466–469. [Google Scholar] [CrossRef] [PubMed]
- Dagirmanjian, A.; Schils, J.; McHenry, M.; Modic, M.T. MR imaging of vertebral osteomyelitis revisited. AJR Am. J. Roentgenol. 1996, 167, 1539–1543. [Google Scholar] [CrossRef]
- Passavanti, Z.; Leschka, S.; Wildermuth, S.; Forster, T.; Dietrich, T.J. Differentiating epidural fibrosis from disc herniation on contrast-enhanced and unenhanced MRI in the postoperative lumbar spine. Skelet. Radiol. 2020, 49, 1819–1827. [Google Scholar] [CrossRef]







Disclaimer/Publisher’s Note: The statements, opinions and data contained in all publications are solely those of the individual author(s) and contributor(s) and not of MDPI and/or the editor(s). MDPI and/or the editor(s) disclaim responsibility for any injury to people or property resulting from any ideas, methods, instructions or products referred to in the content. |
© 2024 by the authors. Licensee MDPI, Basel, Switzerland. This article is an open access article distributed under the terms and conditions of the Creative Commons Attribution (CC BY) license (https://creativecommons.org/licenses/by/4.0/).
Share and Cite
Piccolo, C.L.; Villanacci, A.; Di Stefano, F.; Fusco, N.; Donno, D.R.; Cristofaro, M.; Taglietti, F.; Ianniello, S. Spondylodiscitis and Its Mimickers: A Pictorial Review. Biomedicines 2024, 12, 2566. https://doi.org/10.3390/biomedicines12112566
Piccolo CL, Villanacci A, Di Stefano F, Fusco N, Donno DR, Cristofaro M, Taglietti F, Ianniello S. Spondylodiscitis and Its Mimickers: A Pictorial Review. Biomedicines. 2024; 12(11):2566. https://doi.org/10.3390/biomedicines12112566
Chicago/Turabian StylePiccolo, Claudia Lucia, Alberta Villanacci, Federica Di Stefano, Nicoletta Fusco, Davide Roberto Donno, Massimo Cristofaro, Fabrizio Taglietti, and Stefania Ianniello. 2024. "Spondylodiscitis and Its Mimickers: A Pictorial Review" Biomedicines 12, no. 11: 2566. https://doi.org/10.3390/biomedicines12112566
APA StylePiccolo, C. L., Villanacci, A., Di Stefano, F., Fusco, N., Donno, D. R., Cristofaro, M., Taglietti, F., & Ianniello, S. (2024). Spondylodiscitis and Its Mimickers: A Pictorial Review. Biomedicines, 12(11), 2566. https://doi.org/10.3390/biomedicines12112566

