Inflammatory Bowel Disease and Endometriosis: Diagnosis and Clinical Characteristics
Abstract
1. Introduction
2. Materials
3. Relevant Sections
3.1. Inflammatory Bowel Disease
3.2. Endometriosis
- Ovarian endometriosis, with the typical appearance of an ovarian cyst containing coagulated, chocolate-colored blood (endometrioma).
- Superficial peritoneal endometriosis, with typical superficial lesions (red or brown), with or without adhesions between various pelvic organs.
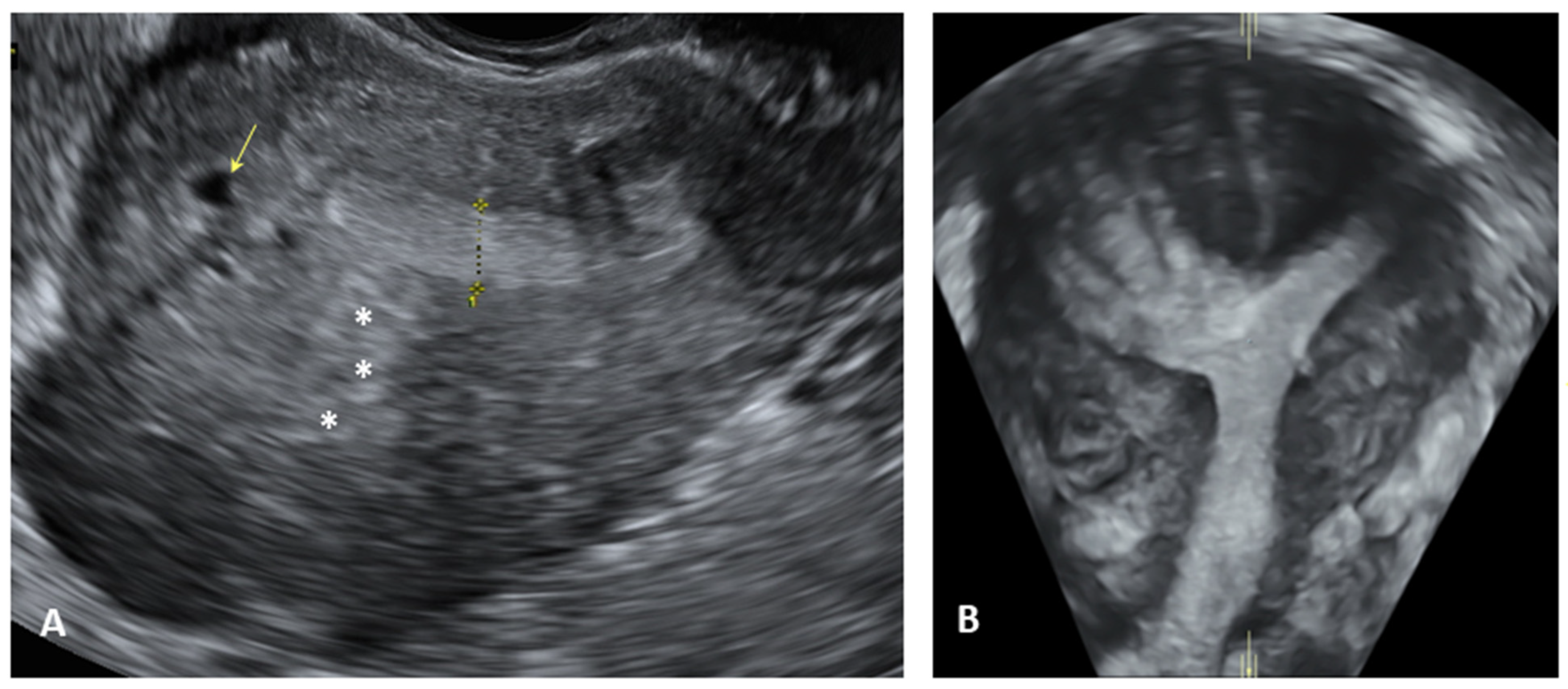
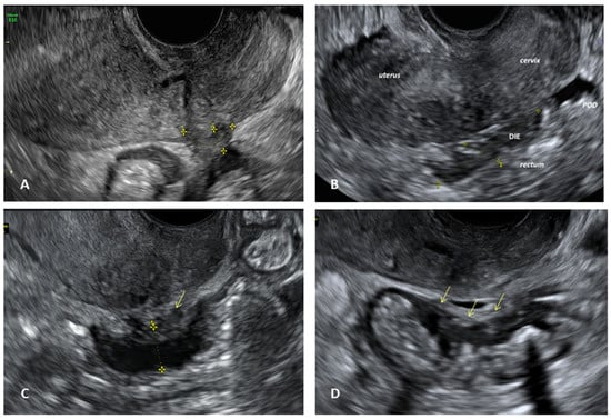
- Deep infiltrating endometriosis (DIE), defined as a lesion infiltrating the peritoneum and involving the retroperitoneal space or the walls of pelvic organs, larger than 5 mm.
3.3. IBD and Endometriosis: Shared Features
3.4. Impact of Endometriosis on Inflammatory Bowel Disease Risk
3.5. Characteristics of IBD in Patients with Concomitant Endometriosis
3.6. Characteristics of Endometriosis in Patients with Concomitant IBD
3.7. Treatments for Endometriosis in Patients with IBD
3.8. Biologic Therapies for Treating Endometriosis
4. Discussion
5. Conclusions
6. Future Perspectives
Funding
Conflicts of Interest
References
- Bulun, S.E. Endometriosis. N. Engl. J. Med. 2009, 360, 268–279. [Google Scholar] [CrossRef] [PubMed]
- Gomollón, F.; Dignass, A.; Annese, V.; Tilg, H.; Van Assche, G.; Lindsay, J.O.; Peyrin-Biroulet, L.; Cullen, G.J.; Daperno, M.; Kucharzik, T.; et al. 3rd European Evidence-based Consensus on the Diagnosis and Management of Crohn’s Disease 2016: Part 1: Diagnosis and Medical Management. J. Crohn’s Colitis 2017, 11, 3–25. [Google Scholar] [CrossRef] [PubMed]
- Craninx, M.; D’Haens, G.; Cokelaere, K.; Baert, F.; Penninckx, F.; D’Hoore, A.; Ectors, N.; Rutgeerts, P.; Geboes, K. Crohn’s disease and intestinal endometriosis: An intriguing co-existence. Eur. J. Gastroenterol. Hepatol. 2000, 12, 217–221. [Google Scholar] [CrossRef] [PubMed]
- Nothnick, W.B. Treating endometriosis as an autoimmune disease. Fertil. Steril. 2001, 76, 223–231. [Google Scholar] [CrossRef]
- Molodecky, N.A.; Soon, I.S.; Rabi, D.M.; Ghali, W.A.; Ferris, M.; Chernoff, G.; Benchimol, E.I.; Panaccione, R.; Ghosh, S.; Barkema, H.W.; et al. Increasing incidence and prevalence of the inflammatory bowel diseases with time, based on systematic review. Gastroenterology 2012, 142, 46–54.e42. [Google Scholar] [CrossRef]
- Nielsen, N.M.; Jørgensen, K.T.; Pedersen, B.V.; Rostgaard, K.; Frisch, M. The co-occurrence of endometriosis with multiple sclerosis, systemic lupus erythematosus and Sjogren syndrome. Hum. Reprod. 2011, 26, 1555–1559. [Google Scholar] [CrossRef] [PubMed]
- Jess, T.; Frisch, M.; Jørgensen, K.T.; Pedersen, B.V.; Nielsen, N.M. Increased risk of inflammatory bowel disease in women with endometriosis: A nationwide Danish cohort study. Gut 2011, 61, 1279–1283. [Google Scholar] [CrossRef]
- Roman, H.; Ness, J.; Suciu, N.; Bridoux, V.; Gourcerol, G.; Leroi, A.M.; Tuech, J.J.; Ducrotté, P.; Savoye-Collet, C.; Savoye, G. Are digestive symptoms in women presenting with pelvic endometriosis specific to lesion localizations? A preliminary prospective study. Hum. Reprod. 2012, 27, 3440–3449. [Google Scholar] [CrossRef]
- Guadagno, A.; Grillo, F.; Vellone, V.G.; Ferrero, S.; Fasoli, A.; Fiocca, R.; Mastracci, L. Intestinal endometriosis: Mimicker of inflammatory bowel disease? Digestion 2015, 92, 14–21. [Google Scholar] [CrossRef]
- Lee, K.K.; Jharap, B.; Maser, E.A.; Colombel, J.F. Impact of concomitant endometriosis on phenotype and natural history of inflammatory bowel disease. Inflamm. Bowel Dis. 2016, 22, 159–163. [Google Scholar] [CrossRef]
- de Silva, P.S.; Hansen, H.H.; Wehberg, S.; Friedman, S.; Nørgård, B.M. Risk of Ectopic Pregnancy in Women With Inflammatory Bowel Disease: A 22-Year Nationwide Cohort Study. Clin. Gastroenterol. Hepatol. 2017, 16, 83–89.e1. [Google Scholar] [CrossRef] [PubMed]
- Porpora, M.G.; Scaramuzzino, S.; Sangiuliano, C.; Piacenti, I.; Bonanni, V.; Piccioni, M.G.; Ostuni, R.; Masciullo, L.; Panici, P.L.B. High prevalence of autoimmune diseases in women with endometriosis: A case-control study. Gynecol. Endocrinol. 2019, 36, 356–359. [Google Scholar] [CrossRef] [PubMed]
- Greenbaum, H.; Weil, C.; Chodick, G.; Shalev, V.; Eisenberg, V.H. Evidence for an association between endometriosis, fibromyalgia, and autoimmune diseases. Am. J. Reprod. Immunol. 2019, 81, e13095. [Google Scholar] [CrossRef] [PubMed]
- Neri, B.; Russo, C.; Mossa, M.; Martire, F.G.; Selntigia, A.; Mancone, R.; Calabrese, E.; Rizzo, G.; Exacoustos, C.; Biancone, L. High Frequency of Deep Infiltrating Endometriosis in Patients with Inflammatory Bowel Disease: A Nested Case-Control Study. Dig. Dis. 2023, 41, 719–728. [Google Scholar] [CrossRef]
- Maaser, C.; Sturm, A.; Vavricka, S.R.; Kucharzik, T.; Fiorino, G.; Annese, V.; Calabrese, E.; Baumgart, D.C.; Bettenworth, D.; Borralho Nunes, P.; et al. ECCO-ESGAR guideline for diagnostic assessment in IBD part 1: Initial diagnosis, monitoring of known IBD, detection of complications. J. Crohn’s Colitis 2019, 13, 144–164. [Google Scholar] [CrossRef] [PubMed]
- Magro, F.; Gionchetti, P.; Eliakim, R.; Ardizzone, S.; Armuzzi, A.; Barreiro-de Acosta, M.; Burisch, J.; Gecse, K.B.; Hart, A.L.; Hindryckx, P.; et al. Third European evidence-based consensus on diagnosis and management of ulcerative colitis. Part 1: Definitions, diagnosis, extra-intestinal manifestations, pregnancy, cancer surveillance, surgery, and ileo-anal pouch disorders. J. Crohn’s Colitis 2017, 11, 649–670. [Google Scholar] [CrossRef]
- Xavier, R.J.; Podolsky, D.K. Unravelling the pathogenesis of inflammatory bowel disease. Nature 2007, 448, 427–434. [Google Scholar] [CrossRef]
- Kikut, J.; Konecka, N.; Ziętek, M.; Kulpa, D.; Szczuko, M. Diet supporting therapy for inflammatory bowel diseases. Eur. J. Nutr. 2021, 60, 2275–2291. [Google Scholar] [CrossRef]
- Moschen, A.R.; Tilg, H.; Raine, T. IL-12, IL-23 and IL-17 in IBD: Immunobiology and therapeutic targeting. Nat. Rev. Gastroenterol. Hepatol. 2018, 16, 185–196. [Google Scholar] [CrossRef]
- Monteleone, G.; Biancone, L.; Marasco, R.; Morrone, G.; Marasco, O.; Luzza, F.; Pallone, F. Interleukin 12 is expressed and actively released by Crohn’s disease intestinal lamina propria mononuclear cells. Gastroenterology 1997, 112, 1169–1178. [Google Scholar] [CrossRef]
- Larabi, A.; Barnich, N.; Nguyen, H.T.T. New insights into the interplay between autophagy, gut microbiota and inflammatory responses in IBD. Autophagy 2019, 16, 38–51. [Google Scholar] [CrossRef] [PubMed]
- Cekin, A.H. A Microbial Signature for Crohn’s Disease. Turk. J. Gastroenterol. 2017, 28, 237–238. [Google Scholar] [CrossRef]
- Yilmaz, B.; Spalinger, M.R.; Biedermann, L.; Franc, Y.; Fournier, N.; Rossel, J.-B.; Juillerat, P.; Rogler, G.; Macpherson, A.J.; Scharl, M. The presence of genetic risk variants within PTPN2 and PTPN22 is associated with intestinal microbiota alterations in Swiss IBD cohort patients. PLoS ONE 2018, 13, e0199664. [Google Scholar] [CrossRef]
- Qiu, P.; Ishimoto, T.; Fu, L.; Zhang, J.; Zhang, Z.; Liu, Y. The Gut Microbiota in Inflammatory Bowel Disease. Front. Cell. Infect. Microbiol. 2022, 12, 733992. [Google Scholar] [CrossRef]
- Kikut, J.; Mokrzycka, M.; Drozd, A.; Grzybowska-Chlebowczyk, U.; Ziętek, M.; Szczuko, M. Involvement of Proinflammatory Arachidonic Acid (ARA) Derivatives in Crohn’s Disease (CD) and Ulcerative Colitis (UC). J. Clin. Med. 2022, 11, 1861. [Google Scholar] [CrossRef] [PubMed]
- Abraham, C.; Cho, J.H. Inflammatory bowel disease. N. Engl. J. Med. 2009, 361, 2066–2078. [Google Scholar] [CrossRef] [PubMed]
- Rogler, G.; Singh, A.; Kavanaugh, A.; Rubin, D.T. Extraintestinal Manifestations of Inflammatory Bowel Disease: Current Concepts, Treatment, and Implications for Disease Management. Gastroenterology 2021, 161, 1118–1132. [Google Scholar] [CrossRef]
- Neri, B.; Mossa, M.; Salvatori, S.; Appolloni, V.; Pensa, C.; Lambiase, S.; Lolli, E.; Calabrese, E.; Monteleone, G.; Bianchi, L.; et al. Hidradenitis suppurativa and inflammatory bowel disease in a nested case-control study. Dig. Liver Dis. 2022, 55, 490–495. [Google Scholar] [CrossRef]
- Neurath, M.F. Strategies for targeting cytokines in inflammatory bowel disease. Nat. Rev. Immunol. 2024, 24, 559–576. [Google Scholar] [CrossRef]
- Armuzzi, A.; Bouhnik, Y.; Cummings, F.; Bettey, M.; Pieper, B.; Kang, T. Enhancing treatment success in inflammatory bowel disease: Optimising the use of anti-TNF agents and utilising their biosimilars in clinical practice. Dig. Liver Dis. 2020, 52, 1259–1265. [Google Scholar] [CrossRef]
- Leppkes, M.; Neurath, M.F. Cytokines in inflammatory bowel diseases—Update 2020. Pharmacol. Res. 2020, 158, 104835. [Google Scholar] [CrossRef] [PubMed]
- Le Berre, C.; Honap, S.; Peyrin-Biroulet, L. Ulcerative colitis. Lancet 2023, 402, 571–584. [Google Scholar] [CrossRef] [PubMed]
- Kornbluth, A.; Sachar, D.B. Practice Parameters Committee of the American College of Gastroenterology Ulcerative colitis practice guidelines in adults: American College Of Gastroenterology, Practice Parameters Committee. Am. J. Gastroenterol. 2010, 105, 501–523. [Google Scholar] [CrossRef]
- Beaugerie, L.; Itzkowitz, S.H. Cancers Complicating Inflammatory Bowel Disease. N. Engl. J. Med. 2015, 372, 1441–1452. [Google Scholar] [CrossRef]
- Neri, B.; Mancone, R.; Savino, L.; Schiavone, S.; Formica, V.; Pizzi, F.; Salvatori, S.; Mossa, M.; Migliozzi, S.; Fiorillo, M.; et al. Mucinous and Signet-Ring Cell Colonic Adenocarcinoma in Inflammatory Bowel Disease: A Case–Control Study. Cancers 2023, 15, 3803. [Google Scholar] [CrossRef]
- Neri, B.; Scribano, M.L.; Armuzzi, A.; Castiglione, F.; D’Incàà, R.; Orlando, A.; Festa, S.; Riegler, G.; Fries, W.; Meucci, G.; et al. On Behalf Of Ig-Ibd Italian Group For The Study Of Inflammatory Bowel Disease. Incident Colorectal Cancer in Inflammatory Bowel Disease. Cancers 2022, 14, 721. [Google Scholar] [CrossRef]
- Annese, V.; Daperno, M.; Rutter, M.D.; Amiot, A.; Bossuyt, P.; East, J.; Ferrante, M.; Götz, M.; Katsanos, K.H.; Kießlich, R.; et al. European evidence based consensus for endoscopy in inflammatory bowel disease. J. Crohn’s Colitis 2013, 7, 982–1018. [Google Scholar] [CrossRef]
- Magro, F.; Langner, C.; Driessen, A.; Ensari, A.; Geboes, K.; Mantzaris, G.; Villanacci, V.; Becheanu, G.; Nunes, P.B.; Cathomas, G.; et al. European consensus on the histopathology of inflammatory bowel disease. J. Crohn’s Colitis 2013, 7, 827–851. [Google Scholar] [CrossRef] [PubMed]
- Neri, B.; Mossa, M.; Scucchi, L.; Sena, G.; Palmieri, G.; Biancone, L. Histological scores in inflammatory bowel disease. J. Dig. Dis. 2020, 22, 9–22. [Google Scholar] [CrossRef]
- Raine, T.; Bonovas, S.; Burisch, J.; Kucharzik, T.; Adamina, M.; Annese, V.; Bachmann, O.; Bettenworth, D.; Chaparro, M.; Czuber-Dochan, W.; et al. ECCO Guidelines on Therapeutics in Ulcerative Colitis: Medical Treatment. J. Crohn’s Colitis 2021, 16, 2–17. [Google Scholar] [CrossRef]
- Bressler, B.; Marshall, J.K.; Bernstein, C.N.; Bitton, A.; Jones, J.; Leontiadis, G.I.; Panaccione, R.; Steinhart, A.H.; Tse, F.; Feagan, B.; et al. Clinical practice guidelines for the medical management of nonhospitalized ulcerative colitis: The Toronto consensus. Gastroenterology 2015, 148, 1035–1058.e3. [Google Scholar] [CrossRef] [PubMed]
- Neri, B.; Mancone, R.; Fiorillo, M.; Schiavone, S.C.; De Cristofaro, E.; Migliozzi, S.; Biancone, L. Comprehensive overview of novel chemical drugs for ulcerative colitis: Focusing on phase 3 and beyond. Expert Opin. Pharmacother. 2024, 25, 485–499. [Google Scholar] [CrossRef] [PubMed]
- Ananthakrishnan, A.N. Epidemiology and risk factors for IBD. Nat. Rev. Gastroenterol. Hepatol. 2015, 12, 205–217. [Google Scholar] [CrossRef] [PubMed]
- Benchimol, E.I.; Mack, D.R.; Guttmann, A.; Nguyen, G.C.; To, T.; Mojaverian, N.; Quach, P.; Manuel, D.G. Inflammatory bowel disease in immigrants to Canada and their children: A population-based cohort study. Am. J. Gastroenterol. 2015, 110, 553–563. [Google Scholar] [CrossRef]
- Baumgart, D.C.; Sandborn, W.J. Crohn’s disease. Lancet 2012, 380, 1590–1605. [Google Scholar] [CrossRef]
- Salvatori, S.; Marafini, I.; Venuto, C.; Laudisi, F.; Neri, B.; Lavigna, D.; Franchin, M.; De Cristofaro, E.; Biancone, L.; Calabrese, E.; et al. Frail phenotype in patients with inflammatory bowel disease. Inflamm. Bowel Dis. 2022, 29, 1555–1562. [Google Scholar] [CrossRef]
- Eglinton, T.W.F.; Barclay, M.L.F.; Gearry, R.B.F.; Frizelle, F.A.F. The spectrum of perianal crohn’s disease in a population-based cohort. Dis. Colon Rectum 2012, 55, 773–777. [Google Scholar] [CrossRef]
- Adamina, M.; Bonovas, S.; Raine, T.; Spinelli, A.; Warusavitarne, J.; Armuzzi, A.; Bachmann, O.; Bager, P.; Biancone, L.; Bokemeyer, B.; et al. ECCO Guidelines on Therapeutics in Crohn’s Disease: Surgical Treatment. J. Crohn’s Colitis 2020, 14, 155–168. [Google Scholar] [CrossRef]
- Feakins, R.M. British Society of Gastroenterology Inflammatory bowel disease biopsies: Updated British Society of Gastroenterology reporting guidelines. J. Clin. Pathol. 2013, 66, 1005–1026. [Google Scholar] [CrossRef]
- Torres, J.; Bonovas, S.; Doherty, G.; Kucharzik, T.; Gisbert, J.P.; Raine, T.; Adamina, M.; Armuzzi, A.; Bachmann, O.; Bager, P.; et al. ECCO Guidelines on Therapeutics in Crohn’s Disease: Medical Treatment. J. Crohn’s Colitis 2019, 14, 4–22. [Google Scholar] [CrossRef]
- Ghosh, S.; Panaccione, R. Review: Anti-adhesion molecule therapy for inflammatory bowel disease. Ther. Adv. Gastroenterol. 2010, 3, 239–258. [Google Scholar] [CrossRef] [PubMed]
- Tamilarasan, A.G.; Cunningham, G.; Irving, P.M.; Samaan, M.A. Recent advances in monoclonal antibody therapy in IBD: Practical issues. Frontline Gastroenterol. 2019, 10, 409–416. [Google Scholar] [CrossRef] [PubMed]
- Meuleman, C.; Vandenabeele, B.; Fieuws, S.; Spiessens, C.; Timmerman, D.; D’Hooghe, T. High prevalence of endometriosis in infertile women with normal ovulation and normospermic partners. Fertil. Steril. 2009, 92, 68–74. [Google Scholar] [CrossRef] [PubMed]
- Burney, R.O.; Giudice, L.C. Pathogenesis and pathophysiology of endometriosis. Fertil. Steril. 2012, 98, 511–519. [Google Scholar] [CrossRef]
- Vercellini, P.; Crosignani, P.; Somigliana, E.; Viganò, P.; Buggio, L.; Bolis, G.; Fedele, L. The ‘incessant menstruation’ hypothesis: A mechanistic ovarian cancer model with implications for prevention. Hum. Reprod. 2011, 26, 2262–2273. [Google Scholar] [CrossRef]
- Christ, J.P.; Yu, O.; Schulze-Rath, R.; Grafton, J.; Hansen, K.; Reed, S.D. Incidence, prevalence, and trends in endometriosis diagnosis: A United States population-based study from 2006 to 2015. Am. J. Obstet. Gynecol. 2021, 225, 500.e1–500.e9. [Google Scholar] [CrossRef]
- Bougie, O.; Healey, J.; Singh, S.S. Behind the times: Revisiting endometriosis and race. Am. J. Obstet. Gynecol. 2019, 221, 35.e1–35.e5. [Google Scholar] [CrossRef]
- Allaire, C.; Bedaiwy, M.A.; Yong, P.J. Diagnosis and management of endometriosis. Can. Med. Assoc. J. 2023, 195, E363–E371. [Google Scholar] [CrossRef]
- Vercellini, P.; Bandini, V.; Viganò, P.; Ambruoso, D.; Cetera, G.E.; Somigliana, E. Proposal for targeted, neo-evolutionary-oriented secondary prevention of early-onset endometriosis and adenomyosis. Part II: Medical interventions. Hum. Reprod. 2023, 39, 18–34. [Google Scholar] [CrossRef]
- Pino, I.; Belloni, G.M.; Barbera, V.; Solima, E.; Radice, D.; Angioni, S.; Arena, S.; Bergamini, V.; Candiani, M.; Maiorana, A.; et al. “Better late than never but never late is better”, especially in young women. A multicenter Italian study on diagnostic delay for symptomatic endometriosis. Eur. J. Contracept. Reprod. Health Care 2022, 28, 10–16. [Google Scholar] [CrossRef]
- Pillet, M.-C.L.; Schneider, A.; Borghese, B.; Santulli, P.; Souza, C.; Streuli, I.; de Ziegler, D.; Chapron, C. Deep infiltrating endometriosis is associated with markedly lower body mass index: A 476 case-control study. Hum. Reprod. 2011, 27, 265–272. [Google Scholar] [CrossRef] [PubMed]
- Koninckx, P.; Ussia, A.; Wattiez, A.; Adamyan, L.; Martin, D.; Gordts, S. The severity and frequency distribution of endometriosis subtypes at different ages: A model to understand the natural history of endometriosis based on single centre/single surgeon data. Facts Views Vis. Obgyn 2021, 13, 209–219. [Google Scholar] [CrossRef] [PubMed]
- Caserta, D.; Maranghi, L.; Mantovani, A.; Marci, R.; Maranghi, F.; Moscarini, M. Impact of endocrine disruptor chemicals in gynaecology. Hum. Reprod. Updat. 2007, 14, 59–72. [Google Scholar] [CrossRef] [PubMed]
- Sampson, J.A. Peritoneal endometriosis due to the menstrual dissemination of endometrial tissue into the peritoneal cavity. Am. J. Obstet. Gynecol. 1927, 14, 422–469. [Google Scholar] [CrossRef]
- Vercellini, P.; Viganò, P.; Somigliana, E.; Fedele, L. Endometriosis: Pathogenesis and treatment. Nat. Rev. Endocrinol. 2014, 10, 261–275. [Google Scholar] [CrossRef]
- Vercellini, P.; Bandini, V.; Viganò, P.; Di Stefano, G.; Merli, C.E.M.; Somigliana, E. Proposal for targeted, neo-evolutionary-oriented, secondary prevention of early-onset endometriosis and adenomyosis. Part I: Pathogenic aspects. Hum. Reprod. 2023, 39, 1–17. [Google Scholar] [CrossRef]
- Maruyama, S.; Imanaka, S.; Nagayasu, M.; Kimura, M.; Kobayashi, H. Relationship between adenomyosis and endometriosis; Different phenotypes of a single disease? Eur. J. Obstet. Gynecol. Reprod Biol. 2020, 253, 191–197. [Google Scholar] [CrossRef]
- Kobayashi, H. Endometrial Inflammation and Impaired Spontaneous Decidualization: Insights into the Pathogenesis of Adenomyosis. Int. J. Environ. Res. Public Health 2023, 20, 3762. [Google Scholar] [CrossRef]
- Symons, L.K.; Miller, J.E.; Kay, V.R.; Marks, R.M.; Liblik, K.; Koti, M.; Tayade, C. The Immunopathophysiology of Endometriosis. Trends Mol. Med. 2018, 24, 748–762. [Google Scholar] [CrossRef]
- Malvezzi, H.; Hernandes, C.; Piccinato, C.A.; Podgaec, S. Interleukin in endometriosis-associated infertility-pelvic pain: Systematic review and meta-analysis. Reproduction 2019, 158, 1–12. [Google Scholar] [CrossRef]
- Kats, R.; Collette, T.; Metz, C.N.; Akoum, A. Marked elevation of macrophage migration inhibitory factor in the peritoneal fluid of women with endometriosis. Fertil. Steril. 2002, 78, 69–76. [Google Scholar] [CrossRef] [PubMed]
- Eisermann, J.; Gast, M.J.; Pineda, J.; Odem, R.R.; Collins, J.L. Tumor necrosis factor in peritoneal fluid of women undergoing laparoscopic surgery. Fertil. Steril. 1988, 50, 573–579. [Google Scholar] [CrossRef] [PubMed]
- Harada, T.; Yoshioka, H.; Yoshida, S.; Iwabe, T.; Onohara, Y.; Tanikawa, M.; Terakawa, N. Increased interleukin-6 levels in peritoneal fluid of infertile patients with active endo-metriosis. Am. J. Obstet. Gynecol. 1997, 176, 593–597. [Google Scholar] [CrossRef]
- Podgaec, S.; Rizzo, L.V.; Fernandes, L.F.; Baracat, E.C.; Abrao, M.S. CD4(+) CD25(high) Foxp3(+) cells increased in the peritoneal fluid of patients with endometriosis. Am. J. Reprod. Immunol. 2012, 68, 301–308. [Google Scholar] [CrossRef]
- Gupta, D.; Hull, M.L.; Fraser, I.; Miller, L.; Bossuyt, P.M.; Johnson, N.; Nisenblat, V. Endometrial biomarkers for the non-invasive diagnosis of endometriosis. Cochrane Database Syst. Rev. 2016, 2016, CD012165. [Google Scholar] [CrossRef]
- Akoum, A.; Al-Akoum, M.; Lemay, A.; Maheux, R.; Leboeuf, M. Imbalance in the peritoneal levels of interleukin 1 and its decoy inhibitory receptor type II in endometriosis women with infertility and pelvic pain. Fertil. Steril. 2008, 89, 1618–1624. [Google Scholar] [CrossRef]
- Sikora, J.; Smycz-Kubańska, M.; Mielczarek-Palacz, A.; Kondera-Anasz, Z. Abnormal peritoneal regulation of chemokine activation—The role of IL-8 in pathogenesis of endometriosis. Am. J. Reprod. Immunol. 2017, 77, e12622. [Google Scholar] [CrossRef]
- Suen, J.-L.; Chang, Y.; Chiu, P.-R.; Hsieh, T.-H.; Hsi, E.; Chen, Y.-C.; Chen, Y.-F.; Tsai, E.-M. Serum Level of IL-10 Is Increased in Patients with Endometriosis, and IL-10 Promotes the Growth of Lesions in a Murine Model. Am. J. Pathol. 2014, 184, 464–471. [Google Scholar] [CrossRef]
- Szczuko, M.; Kikut, J.; Komorniak, N.; Bilicki, J.; Celewicz, Z.; Ziętek, M. The Role of Arachidonic and Linoleic Acid Derivatives in Pathological Pregnancies and the Human Reproduction Process. Int. J. Mol. Sci. 2020, 21, 9628. [Google Scholar] [CrossRef]
- Li, J.; Guan, L.; Zhang, H.; Gao, Y.; Sun, J.; Gong, X.; Li, D.; Chen, P.; Liang, X.; Huang, M.; et al. Endometrium metabolomic profiling reveals potential biomarkers for diagnosis of endometriosis at minimal-mild stages. Reprod. Biol. Endocrinol. 2018, 16, 1–10. [Google Scholar] [CrossRef]
- Hopeman, M.M.; Riley, J.K.; Frolova, A.I.; Jiang, H.; Jungheim, E.S. Serum Polyunsaturated Fatty Acids and Endometriosis. Reprod. Sci. 2015, 22, 1083–1087. [Google Scholar] [CrossRef]
- E Salliss, M.; Farland, L.V.; Mahnert, N.D.; Herbst-Kralovetz, M.M. The role of gut and genital microbiota and the estrobolome in endometriosis, infertility and chronic pelvic pain. Hum. Reprod. Updat. 2021, 28, 92–131. [Google Scholar] [CrossRef] [PubMed]
- Smolarz, B.; Szyłło, K.; Romanowicz, H. Endometriosis: Epidemiology, Classification, Pathogenesis, Treatment and Genetics (Review of Literature). Int. J. Mol. Sci. 2021, 22, 10554. [Google Scholar] [CrossRef]
- Becker, C.M.; Bokor, A.; Heikinheimo, O.; Horne, A.; Jansen, F.; Kiesel, L.; King, K.; Kvaskoff, M.; Nap, A.; Petersen, K.; et al. ESHRE guideline: Endometriosis. Hum. Reprod. Open 2022, 2022, hoac009. [Google Scholar] [CrossRef] [PubMed]
- E Warner, P.; Critchley, H.O.; Lumsden, M.A.; Campbell-Brown, M.; Douglas, A.; Murray, G.D. Menorrhagia I: Measured blood loss, clinical features, and outcome in women with heavy periods: A survey with follow-up data. Am. J. Obstet. Gynecol. 2004, 190, 1216–1223. [Google Scholar] [CrossRef]
- Leyendecker, G.; Wildt, L.; Mall, G. The pathophysiology of endometriosis and adenomyosis: Tissue injury and repair. Arch. Gynecol. Obstet. 2009, 280, 529–538. [Google Scholar] [CrossRef] [PubMed]
- Ozkan, S.; Murk, W.; Arici, A. Endometriosis and infertility: Epidemiology and evidence-based treatments. Ann. N. Y. Acad. Sci. 2008, 1127, 92–100. [Google Scholar] [CrossRef]
- Kavallaris, A.; Köhler, C.; Kühne-Heid, R.; Schneider, A. Histopathological extent of rectal invasion by rectovaginal endometriosis. Hum. Reprod. 2003, 18, 1323–1327. [Google Scholar] [CrossRef]
- Siquara De Sousa, A.C.; Capek, S.; Amrami, K.K.; Spinner, R.J. Neural involvement in endometriosis: Review of anatomic distribution and mechanisms. Clin. Anat. 2015, 28, 1029–1038. [Google Scholar] [CrossRef]
- Habib, N.; Centini, G.; Lazzeri, L.; Amoruso, N.; El Khoury, L.; Zupi, E.; Afors, K. Bowel Endometriosis: Current Perspectives on Diagnosis and Treatment. Int. J. Women’s Health 2020, 12, 35–47. [Google Scholar] [CrossRef]
- Eskenazi, B.; Warner, M.L. Epidemiology of endometriosis. Obstet. Gynecol. Clin. N. Am. 1997, 24, 235–258. [Google Scholar] [CrossRef] [PubMed]
- Meuleman, C.; Tomassetti, C.; D’Hoore, A.; Ben Van Cleynenbreugel, B.; Penninckx, F.; Vergote, I.; D’Hooghe, T. Surgical treatment of deeply infiltrating endometriosis with colorectal involvement. Hum. Reprod. Updat. 2011, 17, 311–326. [Google Scholar] [CrossRef] [PubMed]
- Goncalves, M.O.; Neto, J.S.; Andres, M.P.; Siufi, D.; de Mattos, L.A.; Abrao, M.S. Systematic evaluation of endometriosis by transvaginal ultrasound can accurately replace diagnostic laparoscopy, mainly for deep and ovarian endometriosis. Hum. Reprod. 2021, 36, 1492–1500. [Google Scholar] [CrossRef] [PubMed]
- Condous, G.; Gerges, B.; Thomassin-Naggara, I.; Becker, C.; Tomassetti, C.; Krentel, H.; van Herendael, B.J.; Malzoni, M.; Abrao, M.S.; Saridogan, E.; et al. Non-invasive imaging techniques for diagnosis of pelvic deep endometriosis and endometriosis classification systems: An International Consensus Statement. Ultrasound Obstet. Gynecol. 2024, 64, 129–144. [Google Scholar] [CrossRef]
- Guerriero, S.; Condous, G.; van den Bosch, T.; Valentin, L.; Leone, F.P.; Van Schoubroeck, D.; Exacoustos, C.; Installé, A.J.; Martins, W.P.; Abrao, M.S.; et al. Systematic approach to sonographic evaluation of the pelvis in women with suspected endometriosis, including terms, definitions and measurements: A consensus opinion from the International Deep Endo-metriosis Analysis (IDEA) group. Ultrasound Obstet. Gynecol. 2016, 48, 318–332. [Google Scholar] [CrossRef]
- Van den Bosch, T.; Dueholm, M.; Leone, F.P.; Valentin, L.; Rasmussen, C.K.; Votino, A.; Van Schoubroeck, D.; Landolfo, C.; Installé, A.J.; Guerriero, S. Terms, definitions and measurements to describe sonographic features of my-ometrium and uterine masses: A consensus opinion from the Morphological Uterus Sonographic Assessment (MUSA) group. Ul-trasound Obstet. Gynecol. 2015, 46, 284–298. [Google Scholar] [CrossRef] [PubMed]
- Harmsen, M.J.; Bosch, T.V.D.; de Leeuw, R.A.; Dueholm, M.; Exacoustos, C.; Valentin, L.; Hehenkamp, W.J.K.; Groenman, F.; De Bruyn, C.; Rasmussen, C.; et al. Consensus on revised definitions of Morphological Uterus Sonographic Assessment (MUSA) features of adenomyosis: Results of modified Delphi procedure. Ultrasound Obstet. Gynecol. 2022, 60, 118–131. [Google Scholar] [CrossRef]
- Savelli, L.; Manuzzi, L.; Coe, M.; Mabrouk, M.; Di Donato, N.; Venturoli, S.; Seracchioli, R. Comparison of transvaginal sonography and double-contrast barium enema for diagnosing deep infiltrating endometriosis of the posterior compartment. Ultrasound Obstet. Gynecol. 2011, 38, 466–471. [Google Scholar] [CrossRef]
- Moore, J.; Copley, S.; Morris, J.; Lindsell, D.; Golding, S.; Kennedy, S. A systematic review of the accuracy of ultrasound in the diagnosis of endometriosis. Ultrasound Obstet. Gynecol. 2002, 20, 630–634. [Google Scholar] [CrossRef]
- Martire, F.G.; Russo, C.; Selntigia, A.; Nocita, E.; Soreca, G.; Lazzeri, L.; Zupi, E.; Exacoustos, C. Early noninvasive diagnosis of endometriosis: Dysmenorrhea and specific ultrasound findings are important indicators in young women. Fertil. Steril. 2022, 119, 455–464. [Google Scholar] [CrossRef]
- Exacoustos, C.; Lazzeri, L.; Martire, F.G.; Russo, C.; Martone, S.; Centini, G.; Piccione, E.; Zupi, E. Ultrasound Findings of Adenomyosis in Adolescents: Type and Grade of the Disease. J. Minim. Invasive Gynecol. 2021, 29, 291–299.e1. [Google Scholar] [CrossRef] [PubMed]
- de Arruda, G.T.; Driusso, P.; Rodrigues, J.C.; de Godoy, A.G.; Degani, A.; Danna-Dos-Santos, A.; Avila, M.A. Are menstrual symptoms associated with central sensitization inventory? A cross-sectional study. Eur. J. Pain 2022, 26, 1759–1767. [Google Scholar] [CrossRef] [PubMed]
- Selntigia, A.; Exacoustos, C.; Ortoleva, C.; Russo, C.; Monaco, G.; Martire, F.G.; Rizzo, G.; Della-Morte, D.; Mercuri, N.B.; Albanese, M. Correlation between endometriosis and migraine features: Results from a prospective case-control study. Cephalalgia 2024, 44. [Google Scholar] [CrossRef] [PubMed]
- Wüest, A.; Limacher, J.M.; Dingeldein, I.; Siegenthaler, F.; Vaineau, C.; Wilhelm, I.; Mueller, M.D.; Imboden, S. Pain levels of women diagnosed with endometriosis: Is there a difference in younger women? J. Pediatr. Adolesc. Gynecol. 2023, 36, 140–147. [Google Scholar] [CrossRef]
- Lund, C.I.; Engdahl, B.; Rosseland, L.A.; Stubhaug, A.; Grimnes, G.; Furberg, A.S.; Steingrímsdóttir, Ó.A.; Nielsen, C.S. The association between age at menarche and chronic pain outcomes in women: The Tromsø Study, 2007 to 2016. Pain 2022, 163, 1790–1799. [Google Scholar] [CrossRef]
- Lungaro, L.; Costanzini, A.; Manza, F.; Barbalinardo, M.; Gentili, D.; Guarino, M.; Caputo, F.; Zoli, G.; De Giorgio, R.; Caio, G. Impact of Female Gender in Inflammatory Bowel Diseases: A Narrative Review. J. Pers. Med. 2023, 13, 165. [Google Scholar] [CrossRef]
- Fenoglio-Preiser, C.M. Gastrointestinal Pathology: An Atlas and Text, 3rd ed.; Wolters Kluwer/Lippincott Williams & Wilkins: Philadelphia, PA, USA, 2008; pp. 878–881. [Google Scholar]
- Russo, C.; Lazzeri, L.; Siciliano, T.; Selntigia, A.; Farsetti, D.; Chiaramonte, C.; Martire, F.; Zupi, E.; Exacoustos, C. Reproducibility of #Enzian classification by transvaginal ultrasound and its correlation with symptoms. Facts Views Vis. Obgyn 2024, 16, 47–58. [Google Scholar] [CrossRef]
- Mo, Y.; Wang, L.; Zhang, H.; Wu, S.; Sandai, D.; Shuid, A.N.; Chen, X. Potential shared pathogenic mechanisms between endometriosis and inflammatory bowel disease indicate a strong initial effect of immune factors. Front. Immunol. 2024, 15, 1339647. [Google Scholar] [CrossRef]
- Cornish, J.; Tan, E.; Simillis, C.; Clark, S.; Teare, J.; Tekkis, P.P. The Risk of Oral Contraceptives in the Etiology of Inflammatory Bowel Disease: A Meta-Analysis. Am. J. Gastroenterol. 2008, 103, 2394–2400. [Google Scholar] [CrossRef]
- Ortizo, R.; Lee, S.Y.; Nguyen, E.T.; Jamal, M.M.; Bechtold, M.M.; Nguyen, D.L. Exposure to oral contraceptives increases the risk for development of inflammatory bowel disease: A meta-analysis of case-controlled and cohort studies. Eur. J. Gastroenterol. Hepatol. 2017, 29, 1064–1070. [Google Scholar] [CrossRef]
- Wang, X.; Fan, X.; Deng, H.; Zhang, X.; Zhang, K.; Xu, J.; Li, N.; Han, Q.; Liu, Z. Use of oral contraceptives and risk of ulcerative colitis—A systematic review and meta-analysis. Pharmacol. Res. 2019, 139, 367–374. [Google Scholar] [CrossRef] [PubMed]
- Pierdominici, M.; Maselli, A.; Varano, B.; Barbati, C.; Cesaro, P.; Spada, C.; Zullo, A.; Lorenzetti, R.; Rosati, M.; Rainaldi, G.; et al. Linking estrogen receptor β expression with inflammatory bowel disease activity. Oncotarget 2015, 6, 40443–40451. [Google Scholar] [CrossRef] [PubMed]
- Braniste, V.; Jouault, A.; Gaultier, E.; Polizzi, A.; Buisson-Brenac, C.; Leveque, M.; Martin, P.G.; Theodorou, V.; Fioramonti, J.; Houdeau, E. Impact of oral bisphenol A at reference doses on intestinal barrier function and sex differences after perinatal exposure in rats. Proc. Natl. Acad. Sci. USA 2009, 107, 448–453. [Google Scholar] [CrossRef] [PubMed]
- Cutolo, M.; Capellino, S.; Sulli, A.; Serioli, B.; Secchi, M.E.; Villaggio, B.; Straub, R.H. Estrogens and Autoimmune Diseases. Ann. N. Y. Acad. Sci. 2006, 1089, 538–547. [Google Scholar] [CrossRef]
- Langen, M.L.-V.; Hotte, N.; Dieleman, L.A.; Albert, E.; Mulder, C.; Madsen, K.L. Estrogen receptor-β signaling modulates epithelial barrier function. Am. J. Physiol. Liver Physiol. 2011, 300, G621–G626. [Google Scholar] [CrossRef]
- Torres, J.; Chaparro, M.; Julsgaard, M.; Katsanos, K.; Zelinkova, Z.; Agrawal, M.; Ardizzone, S.; Campmans-Kuijpers, M.; Dragoni, G.; Ferrante, M. European Crohn’s and Colitis Guidelines on Sexuality, Fertility, Pregnancy, and Lactation. J. Crohn’s Colitis 2023, 17, 1–27. [Google Scholar] [CrossRef]
- Zapata, L.B.; Paulen, M.E.; Cansino, C.; Marchbanks, P.A.; Curtis, K.M. Contraceptive use among women with inflammatory bowel disease: A systematic review. Contraception 2010, 82, 72–85. [Google Scholar] [CrossRef]
- Boyko, E.J.; Theis, M.K.; Vaughan, T.L.; Nicol-Blades, B. Increased Risk of Inflammatory Bowel Disease Associated with Oral Contraceptive Use. Am. J. Epidemiol. 1994, 140, 268–278. [Google Scholar] [CrossRef]
- Vahedi, H.; Chaharmahali, M.; Momtahen, S.; Kolahdoozan, S.; Khademi, H.; Olfati, G.; Tabrizian, T.; Rashtak, S.; Khaleghnejad, R.; Naserimoghadam, S.; et al. A case–control study on the risk factors of IBD in 258 Iranian patients. Govaresh 2011, 16, 61–67. [Google Scholar]
- Rodríguez, L.A.G.; González-Pérez, A.; Johansson, S.; Wallander, M. Risk factors for inflammatory bowel disease in the general population. Aliment. Pharmacol. Ther. 2005, 22, 309–315. [Google Scholar] [CrossRef]
- Han, D.Y.; Fraser, A.G.; Dryland, P.; Ferguson, L.R. Environmental factors in the development of chronic inflammation: A case–control study on risk factors for Crohn’s disease within New Zealand. Mutat. Res. Mol. Mech. Mutagen. 2010, 690, 116–122. [Google Scholar] [CrossRef] [PubMed]
- Katschinski, B.; Fingerle, D.; Scherbaum, B.; Goebell, H. Oral contraceptive use and cigarette smoking in Crohn’s disease. Dig. Dis. Sci. 1993, 38, 1596–1600. [Google Scholar] [CrossRef] [PubMed]
- Pasvol, T.J.; Bloom, S.; Segal, A.W.; Rait, G.; Horsfall, L. Use of contraceptives and risk of inflammatory bowel disease: A nested case–control study. Aliment. Pharmacol. Ther. 2021, 55, 318–326. [Google Scholar] [CrossRef]
- Koninckx, P.R.; Craessaerts, M.; Timmerman, D.; Cornillie, F.; Kennedy, S. Anti-TNF-alpha treatment for deep endometriosis associated pain: A randomized placebo-controlled trial. Hum. Reprod. 2008, 23, 2017–2023. [Google Scholar] [CrossRef]
- Salvatori, S.; Neri, B.; Marafini, I.; Brigida, M.; Monteleone, G. Emerging oral drug options for ulcerative colitis. Expert Opin. Emerg. Drugs 2023, 28, 191–201. [Google Scholar] [CrossRef] [PubMed]
- Felice, C.; Leccese, P.; Scudeller, L.; Lubrano, E.; Cantini, F.; Castiglione, F.; Gionchetti, P.; Orlando, A.; Salvarani, C.; Scarpa, R.; et al. Red flags for appropriate referral to the gastroenterologist and the rheumatologist of patients with inflammatory bowel disease and spondyloarthritis. Clin. Exp. Immunol. 2018, 196, 123–138. [Google Scholar] [CrossRef]
- Ordás, I.; Eckmann, L.; Talamini, M.; Baumgart, D.C.; Sandborn, W.J. Ulcerative colitis. Lancet 2012, 380, 1606–1619. [Google Scholar] [CrossRef]
- Torres, J.; Mehandru, S.; Colombel, J.F.; Peyrin-Biroulet, L. Crohn’s disease. Lancet 2017, 389, 1741–1755. [Google Scholar] [CrossRef]
- Oldani, A.; Monni, M.; Gentilli, S. Ileal endometriosis and Crohn’s disease: An unusual association causing acute bowel obstruction. Ann. Ital. Chir. 2016, 87, S2239253X1602510X. [Google Scholar]
- Casiraghi, S.; Baggi, P.; Lanza, P.; Bozzola, A.; Vinco, A.; Villanacci, V.; Castelli, F.; Ronconi, M. Simultaneous Diagnosis of Acute Crohn’s Disease and Endometriosis in a Patient Affects HIV. Case Rep. Gastrointest. Med. 2018, 2018, 1–5. [Google Scholar] [CrossRef]




| Author | Year | Study Design | Patients with Endometriosis Only (n=) | Patients with IBD Only (n=) | Patients with Both IBD and Endometriosis (n=) | Surgical Diagnosis of Endometriosis Only | Primary Aim | Primary Outcome |
|---|---|---|---|---|---|---|---|---|
| Craninx et al. [3] | 2000 | Case Series | 0 | 319 (CD) | 8 | Yes | Endometriosis in CD patients undergoing surgery | Endometriosis diagnosed in the resected bowel of patients with CD |
| Jess et al. [7] | 2012 | Cohort study | 37,341 | 0 | 320 (92 CD, 228 UC) | Yes | To assess the risk of CD and UC in a nationwide cohort of endometriosis patients | Increased risk of IBD, CD and UC in patients with vs. without endometriosis (SIR 1.5 [1.4–1.7], SIR 1.5 [1.3–1.7], SIR 1.6 [1.3–2.0]) |
| Roman et al. [8] | 2012 | 3-arm cohort prospective study | 116 | 0 | 0 | Yes | Digestive symptoms in patients with different endometriosis sites | Low frequency of rectal stenosis (26.4%) in rectal endometriosis |
| Guadagno et al. [9] | 2015 | Retrospective observational study | 100 | 0 | 0 | No | Frequency of IBD-like histology in intestinal endometriosis | IBD-histological mucosal features in 3% of samples |
| Lee et al. [10] | 2016 | Case-control study | 0 | 102 (54 CD 48 UC) | 51 (28 CD, 23 UC) | No | Phenotype and prognosis of IBD in endometriosis patients | Comparable race, age at IBD diagnosis, IBD or UC duration, UC phenotype |
| de Silva et al. [11] | 2018 | Case-control study | n.a. | 14,000 (7401 UC, 6584 CD) | 297 pregnancies with endometriosis (150 UC, 147 CD) | No | Risk of ectopic pregnancy in patients with vs. without IBD | Higher risk of ectopic pregnancy, in CD (but not in UC) vs. no IBD (CD: OR 1.23; [1.01–1.49]; UC: OR 0.98 [0.80–1.20]) |
| Porpora et al. [12] | 2019 | Case-control study | 143 | 0 | 5 | No | Prevalence of IMIDs in patients with/without endometriosis | Higher prevalence of IBD in patients with/without endometriosis (5/148 vs. 0/150; p = 0.07) |
| Greenbaum et al. [13] | 2019 | Retrospective cross-sectional study | 6883 | 0 | 165 | No | Prevalence and association between endometriosis, fibromyalgia and IMIDs | Higher IBD prevalence in patients with/without endometriosis and fibromyalgia (6.2% vs. 1%; p < 0.001) |
| Neri et al. [14] | 2023 | Case control study | 100 | 0 | 25 (13 UC, 12 CD) | No | Symptoms, type and site of endometriosis in patients with/without IBD | Dyspareunia, dyschezia, DIE and posterior adenomyosis more frequent in IBD vs. controls (n [%]: 25 [73.7%] vs. 26 [45.6%]; p = 0.03; 25 [100%] vs. 80 [80%]; p = 0.03 and 19 [76%] vs. 48 [48%] p = 0.02) |
Disclaimer/Publisher’s Note: The statements, opinions and data contained in all publications are solely those of the individual author(s) and contributor(s) and not of MDPI and/or the editor(s). MDPI and/or the editor(s) disclaim responsibility for any injury to people or property resulting from any ideas, methods, instructions or products referred to in the content. |
© 2024 by the authors. Licensee MDPI, Basel, Switzerland. This article is an open access article distributed under the terms and conditions of the Creative Commons Attribution (CC BY) license (https://creativecommons.org/licenses/by/4.0/).
Share and Cite
Fiorillo, M.; Neri, B.; Mancone, R.; Russo, C.; Iacobini, F.; Schiavone, S.C.; De Cristofaro, E.; Migliozzi, S.; Exacoustos, C.; Biancone, L. Inflammatory Bowel Disease and Endometriosis: Diagnosis and Clinical Characteristics. Biomedicines 2024, 12, 2521. https://doi.org/10.3390/biomedicines12112521
Fiorillo M, Neri B, Mancone R, Russo C, Iacobini F, Schiavone SC, De Cristofaro E, Migliozzi S, Exacoustos C, Biancone L. Inflammatory Bowel Disease and Endometriosis: Diagnosis and Clinical Characteristics. Biomedicines. 2024; 12(11):2521. https://doi.org/10.3390/biomedicines12112521
Chicago/Turabian StyleFiorillo, Mariasofia, Benedetto Neri, Roberto Mancone, Consuelo Russo, Federica Iacobini, Sara Concetta Schiavone, Elena De Cristofaro, Stefano Migliozzi, Caterina Exacoustos, and Livia Biancone. 2024. "Inflammatory Bowel Disease and Endometriosis: Diagnosis and Clinical Characteristics" Biomedicines 12, no. 11: 2521. https://doi.org/10.3390/biomedicines12112521
APA StyleFiorillo, M., Neri, B., Mancone, R., Russo, C., Iacobini, F., Schiavone, S. C., De Cristofaro, E., Migliozzi, S., Exacoustos, C., & Biancone, L. (2024). Inflammatory Bowel Disease and Endometriosis: Diagnosis and Clinical Characteristics. Biomedicines, 12(11), 2521. https://doi.org/10.3390/biomedicines12112521

