Acquired Hemophilia A after SARS-CoV-2 Infection: A Case Report and an Updated Systematic Review
Abstract
1. Introduction
2. Materials and Methods
2.1. Case Presentation
2.2. Systematic Review
3. Results
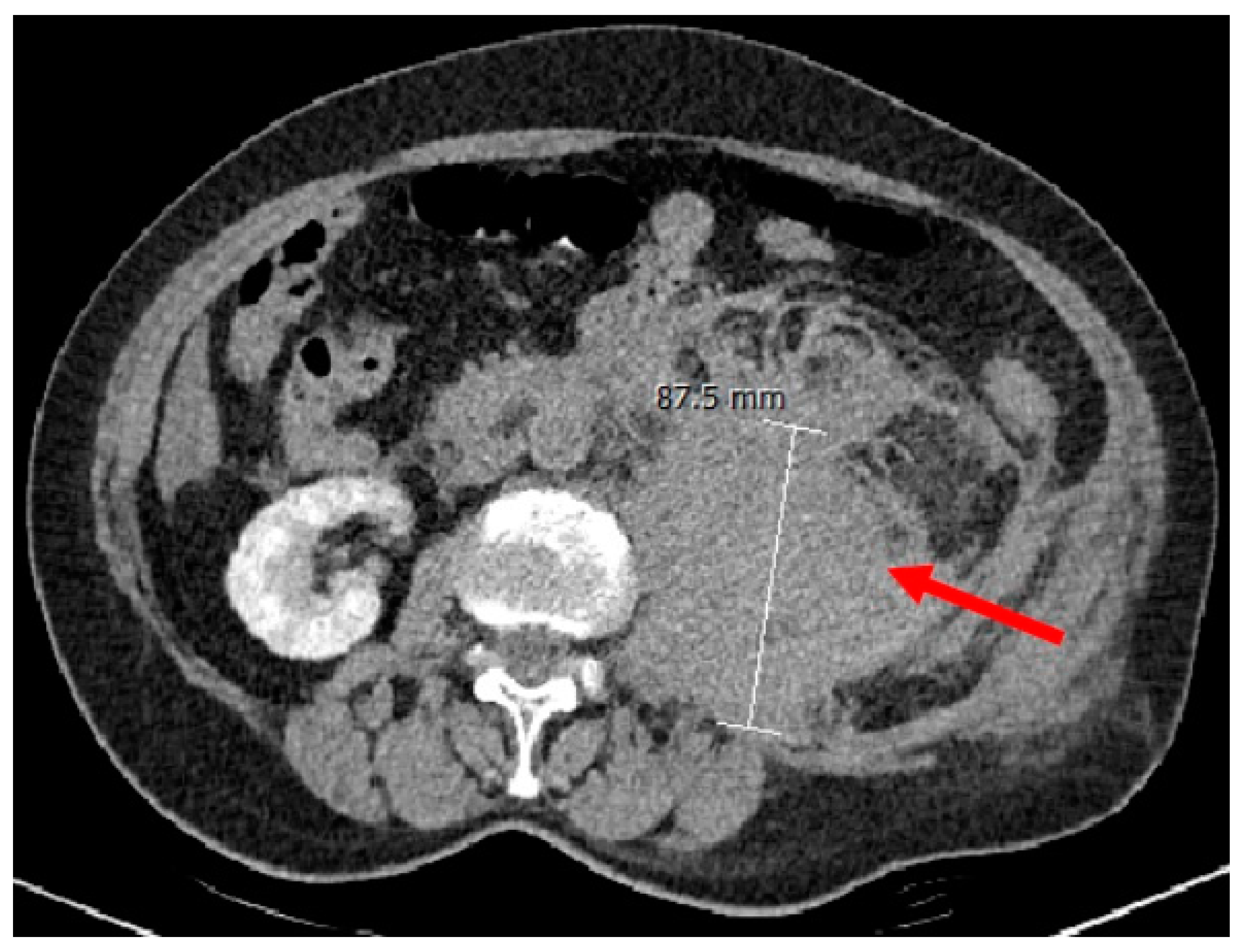
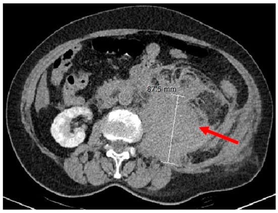
3.1. Case Presentation
3.2. Systematic Review
3.2.1. Search and Selection
3.2.2. Demography
3.2.3. Diagnostics and Severity of SARS-CoV-2 Infection
3.2.4. Diagnostics and Severity of Acquired Hemophilia A
3.2.5. Treatment of Acquired Hemophilia A
3.2.6. Outcome
3.2.7. Relationship of SARS-CoV-2 Infection and Acquired Hemophilia A
4. Discussion
5. Conclusions
Supplementary Materials
Author Contributions
Funding
Institutional Review Board Statement
Informed Consent Statement
Data Availability Statement
Conflicts of Interest
Correction Statement
References
- Cohen, A.J.; Kessler, C.M. Acquired inhibitors. Bailliere’s Clin. Haematol. 1996, 9, 331–354. [Google Scholar] [CrossRef]
- Collins, P.W.; Hirsch, S.; Baglin, T.P.; Dolan, G.; Hanley, J.; Makris, M.; Keeling, D.M.; Liesner, R.; Brown, S.A.; Hay, C.R. Acquired hemophilia A in the United Kingdom: A 2-year national surveillance study by the United Kingdom Haemophilia Centre Doctors’ Organisation. Blood 2007, 109, 1870–1877. [Google Scholar] [CrossRef]
- Mizrahi, T.; Doyon, K.; Dubé, E.; Bonnefoy, A.; Warner, M.; Cloutier, S.; Demers, C.; Castilloux, J.F.; Rivard, G.E.; St-Louis, J. Relapse pattern and long-term outcomes in subjects with acquired haemophilia A. Haemoph. Off. J. World Fed. Hemoph. 2019, 25, 252–257. [Google Scholar] [CrossRef] [PubMed]
- Lindahl, R.; Nummi, V.; Lehtinen, A.E.; Szanto, T.; Hiltunen, L.; Olsson, A.; Glenthoej, A.; Chaireti, R.; Vaide, I.; Funding, E.; et al. Acquired Haemophilia A in four north European countries: Survey of 181 patients. Br. J. Haematol. 2023, 201, 326–333. [Google Scholar] [CrossRef]
- Tiede, A.; Collins, P.; Knoebl, P.; Teitel, J.; Kessler, C.; Shima, M.; Di Minno, G.; d’Oiron, R.; Salaj, P.; Jiménez-Yuste, V.; et al. International recommendations on the diagnosis and treatment of acquired hemophilia A. Haematologica 2020, 105, 1791–1801. [Google Scholar] [CrossRef] [PubMed]
- Zanon, E. Acquired Hemophilia A: An Update on the Etiopathogenesis, Diagnosis, and Treatment. Diagnostics 2023, 13, 420. [Google Scholar] [CrossRef]
- Franchini, M.; Focosi, D. Association between SARS-CoV-2 infection or vaccination and acquired hemophilia A: A case report and literature update. Thromb. Res. 2023, 222, 7–11. [Google Scholar] [CrossRef]
- Jacobs, J.W.; Adkins, B.D.; Walker, S.C.; Booth, G.S.; Wheeler, A.P. Coagulation factor inhibitors in COVID-19: From SARS-CoV-2 vaccination to infection. Res. Pract. Thromb. Haemost. 2022, 6, e12700. [Google Scholar] [CrossRef]
- Siddiqui, H.F.; Ejaz, T.; Siddiqui, A.F.; Shaikh, F.N. Acquired Hemophilia A: A possibly fatal complication of SARS-CoV-2 infection. Ann. Med. Surg. 2022, 80, 104275. [Google Scholar] [CrossRef]
- Franchini, M.; Glingani, C.; De Donno, G.; Casari, S.; Caruso, B.; Terenziani, I.; Perotti, C.; Del Fante, C.; Sartori, F.; Pagani, M. The first case of acquired hemophilia A associated with SARS-CoV-2 infection. Am. J. Hematol. 2020, 95, E197–E198. [Google Scholar] [CrossRef]
- Marumo, A.; Sugihara, H.; Omori, I.; Morishita, E. Relapse of acquired hemophilia A following COVID-19. J. Nippon. Med. Sch. 2023. [Google Scholar] [CrossRef]
- Miatech, J.L.; Kantamani, D.; Stagg, M.P. Management of Acquired Factor VIII Inhibitors with NovoSeven and Obizur. Cureus 2021, 13, e19145. [Google Scholar] [CrossRef] [PubMed]
- Gelbenegger, G.; Traby, L.; Rahimi, N.; Knöbl, P. Management of acquired haemophilia A in severe COVID-19: Haemostatic bridging with emicizumab to keep the balance between bleeding and thrombosis. Br. J. Clin. Pharmacol. 2023, 89, 908–913. [Google Scholar] [CrossRef]
- Ghafouri, S.; Rettig, M.; Kahlon, K.S. An 89-year-old man with COVID-19-associated coagulopathy presenting with a prolonged partial thromboplastin time, lupus anticoagulant, and a high titer of factor viii inhibitor. Am. J. Case Rep. 2020, 21, e926728-1–e926728-4. [Google Scholar] [CrossRef] [PubMed]
- Guerra, J.D.; Gowarty, J.; Buess, J.; Mason, J.; Halka, K. A Case of Acquired Hemophilia A in a Patient with Exposure to COVID-19. Case Rep. Hematol. 2022, 2022, 9494249. [Google Scholar] [CrossRef]
- Hafzah, H.; McGuire, C.; Hamad, A. A Case of Acquired Hemophilia A Following SARS-CoV-2 Infection. Cureus 2021, 13, e16579. [Google Scholar] [CrossRef]
- Hajigholami, A.; Ansari, H.; Ansari, S.; Hassanzadeh, S. Acquired hemophilia in a patient with SARS-CoV-2 infection; A case report. J. Nephropharmacol. 2022, 11, e10453. [Google Scholar] [CrossRef]
- Lackovic, M.; Mihajlovic, S.; Pljesa, I.; Filipovic, I. Abnormal postpartum uterine bleeding in adolescence associated with SARS-CoV-2 infection. J. Pediatr. Adolesc. Gynecol. 2023, 36, 250. [Google Scholar] [CrossRef]
- Medeiros, C.; Brito, D.; Jorge, R.S. Acquired Haemophilia associated with SARS-CoV2 infection. Julio-Agosto-Septiembre 2022, 2022, 39. [Google Scholar]
- Nardella, J.; Comitangelo, D.; Marino, R.; Malcangi, G.; Barratta, M.D.; Sabba, C.; Perrone, A. Acquired Hemophilia A After SARS-CoV-2 Infection: A Case Report. J. Med. Cases 2022, 13, 197–201. [Google Scholar] [CrossRef]
- Nikolina, B.; Marija, M.; Marija, B.; Maja, M.; Dubravka, P. Acquired hemophilia A secondary to SARS-CoV-2 pneumonia: A case report. Biochem. Med. 2022, 32, 030801. [Google Scholar] [CrossRef]
- Olsen, G.M.; Rinder, H.M.; Tormey, C.A. De novo acquired hemophilia as an immune dysregulation phenomenon following SARS-CoV-2 infection. Transfusion 2021, 61, 989–991. [Google Scholar] [CrossRef]
- Wang, K.Y.; Shah, P.; Roarke, D.T.; Shakil, S.A. Severe acquired haemophilia associated with asymptomatic SARS-CoV-2 infection. BMJ Case Rep. 2021, 14, e242884. [Google Scholar] [CrossRef] [PubMed]
- Witkowski, M.; Ryżewska, W.; Robak, T. Post COVID-19 acquired haemophilia A treated with recombinant porcine factor VIII. J. Transfus. Med. 2022, 15, 329–332. [Google Scholar] [CrossRef]
- Kessler, C.M.; Ma, A.D.; Al-Mondhiry, H.A.; Gut, R.Z.; Cooper, D.L. Assessment of acquired hemophilia patient demographics in the United States: The Hemostasis and Thrombosis Research Society Registry. Blood Coagul. Fibrinolysis Int. J. Haemost. Thromb. 2016, 27, 761–769. [Google Scholar] [CrossRef]
- Favaloro, E.J.; Pasalic, L.; Lippi, G. Autoimmune Diseases Affecting Hemostasis: A Narrative Review. Int. J. Mol. Sci. 2022, 23, 14715. [Google Scholar] [CrossRef] [PubMed]
- Conway, E.M.; Mackman, N.; Warren, R.Q.; Wolberg, A.S.; Mosnier, L.O.; Campbell, R.A.; Gralinski, L.E.; Rondina, M.T.; van de Veerdonk, F.L.; Hoffmeister, K.M.; et al. Understanding COVID-19-associated coagulopathy. Nat. Rev. Immunol. 2022, 22, 639–649. [Google Scholar] [CrossRef] [PubMed]
- Loo, J.; Spittle, D.A.; Newnham, M. COVID-19, immunothrombosis and venous thromboembolism: Biological mechanisms. Thorax 2021, 76, 412–420. [Google Scholar] [CrossRef] [PubMed]
- Keddie, S.; Ziff, O.; Chou, M.K.L.; Taylor, R.L.; Heslegrave, A.; Garr, E.; Lakdawala, N.; Church, A.; Ludwig, D.; Manson, J.; et al. Laboratory biomarkers associated with COVID-19 severity and management. Clin. Immunol. 2020, 221, 108614. [Google Scholar] [CrossRef]
- Nopp, S.; Moik, F.; Jilma, B.; Pabinger, I.; Ay, C. Risk of venous thromboembolism in patients with COVID-19: A systematic review and meta-analysis. Res. Pr. Thromb. Haemost. 2020, 4, 1178–1191. [Google Scholar] [CrossRef]
- James D McFadyen, J.D.; Stevens, H.; Peter, K. The Emerging Threat of (Micro)Thrombosis in COVID-19 and Its Therapeutic Implications. Circ. Res. 2020, 127, 571–587. [Google Scholar] [CrossRef] [PubMed]
- Klok, F.A.; Kruip, M.J.H.A.; van der Meer, N.J.M.; Arbous, M.S.; Gommers, D.A.M.P.J.; Kant, K.M.; Kaptein, F.H.J.; van Paassen, J.; Stals, M.A.M.; Huisman, M.V.; et al. Incidence of thrombotic complications in critically ill ICU patients with COVID-19. Thromb. Res. 2020, 191, 145–147. [Google Scholar] [CrossRef] [PubMed]
- Favaloro, E.J.; Henry, B.M.; Lippi, G. Increased VWF and Decreased ADAMTS-13 in COVID-19: Creating a Milieu for (Micro)Thrombosis. Semin. Thromb. Hemost. 2021, 47, 400–418. [Google Scholar] [CrossRef]
- Seth, R.; McKinnon, T.A.J.; Zhang, X.F. Contribution of the von Willebrand factor/ADAMTS13 imbalance to COVID-19 coagulopathy. Am. J. Physiol.-Heart Circ. Physiol. 2022, 322, H87–H93. [Google Scholar] [CrossRef] [PubMed]
- Bielosludtseva, K.; Pertseva, T. Plasminogen activator inhibitor-1 (PAI-1) like the best mortality predictor of in the COVID-19-associated pneumonia. Eur. Respir. J. 2022, 60, 2509. [Google Scholar] [CrossRef]
- Tang, N.; Li, D.; Wang, X.; Sun, Z. Abnormal coagulation parameters are associated with poor prognosis in patients with novel coronavirus pneumonia. J. Thromb. Haemost. 2020, 18, 844–847. [Google Scholar] [CrossRef]
- Valeriani, E.; Porfidia, A.; Ageno, W.; Spoto, S.; Pola, R.; Di Nisio, M. High-dose versus low-dose venous thromboprophylaxis in hospitalized patients with COVID-19: A systematic review and meta-analysis. Intern. Emerg. Med. 2022, 17, 1817–1825. [Google Scholar] [CrossRef]
- Gazzaniga, G.; Tavecchia, G.A.; Bravi, F.; Scavelli, F.; Travi, G.; Campo, G.; Vandenbriele, C.; Tritschler, T.; Sterne, J.A.C.; Murthy, S.; et al. The effect of antithrombotic treatment on mortality in patients with acute infection: A meta-analysis of randomized clinical trials. Int. J. Cardiol. 2023, 383, 75–81. [Google Scholar] [CrossRef]
- Zuo, Y.; Warnock, M.; Harbaugh, A.; Yalavarthi, S.; Gockman, K.; Zuo, M.; Madison, J.A.; Knight, J.S.; Kanthi, Y.; Lawrence, D.A. Plasma tissue plasminogen activator and plasminogen activator inhibitor-1 in hospitalized COVID-19 patients. Sci. Rep. 2021, 11, 1580. [Google Scholar] [CrossRef]
- Poor, H.D. Pulmonary Thrombosis and Thromboembolism in COVID-19. Chest 2021, 160, 1471–1480. [Google Scholar] [CrossRef]
- Goyal, A.; Saigal, S.; Niwariya, Y.; Sharma, J.; Singh, P. Successful use of tPA for thrombolysis in COVID related ARDS: A case series. J. Thromb. Thrombolysis 2021, 51, 293–296. [Google Scholar] [CrossRef]
- Wang, J.; Hajizadeh, N.; Moore, E.E.; McIntyre, R.C.; Moore, P.K.; Veress, L.A.; Yaffe, M.B.; Moore, H.B.; Barrett, C.D. Tissue plasminogen activator (tPA) treatment for COVID-19 associated acute respiratory distress syndrome (ARDS): A case series. J. Thromb Haemost. 2020, 18, 1752–1755. [Google Scholar] [CrossRef] [PubMed]
- Boechat, J.L.; Chora, I.; Morais, A.; Delgado, L. The immune response to SARS-CoV-2 and COVID-19 immunopathology—Current perspectives. Pulmonology 2021, 27, 423–437. [Google Scholar] [CrossRef] [PubMed]
- Mobasheri, L.; Nasirpour, M.H.; Masoumi, E.; Azarnaminy, A.F.; Jafari, M.; Esmaeili, S.A. SARS-CoV-2 triggering autoimmune diseases. Cytokine 2022, 154, 155873. [Google Scholar] [CrossRef]
- Damoiseaux, J.; Dotan, A.; Fritzler, M.J.; Bogdanos, D.P.; Meroni, P.L.; Roggenbuck, D.; Goldman, M.; Landegren, N.; Bastard, P.; Shoenfeld, Y.; et al. Autoantibodies and SARS-CoV2 infection: The spectrum from association to clinical implication: Report of the 15th Dresden Symposium on Autoantibodies. Autoimmun. Rev. 2022, 21, 103012. [Google Scholar] [CrossRef] [PubMed]
- Chang, R.; Yen-Ting Chen, T.; Wang, S.; Hung, Y.; Chen, H.; James Wei, C. Risk of autoimmune diseases in patients with COVID-19: A retrospective cohort study. eClinicalMedicine 2023, 56, 101783. [Google Scholar] [CrossRef]
- Franchini, M.; Cappello, E.; Valdiserra, G.; Bonaso, M.; Moretti, U.; Focosi, D.; Tuccori, M. Investigating a Signal of Acquired Hemophilia Associated with COVID-19 Vaccination: A Systematic Case Review. Semin. Thromb. Hemost. 2023, 49, 15. [Google Scholar] [CrossRef]



| Study | Country | Age, Sex | Bleeding Type | SARS-CoV-2 | AHA | Estimated Temporary Relationship between SARS-CoV-2 and AHA | Outcome | ||||||||
|---|---|---|---|---|---|---|---|---|---|---|---|---|---|---|---|
| Severity SARS-CoV-2 Infection | Diagnostics | FVIII Activity at Diagnosis | Method of Measurement of FVIII Activity | Inhibitor Titer at Diagnosis (BU) | Method of Measurement of Inhibitor Titer | Hemostatic Control and Bleeding Prevention | Inhibitor Eradication | Potential Provoking Factors Other than SARS-CoV-2 | |||||||
| Gelbenegger et al., 2022 [13] | Austria | 75, M | major bleeding of the psoas muscle, pectineus muscle bleeding | critical | PCR | <1% | one-stage assay, chromogenic assays a | 41.8 | Nijmegen-modified Bethesda assay b | rFVIIa, emicizumab | prednisone, dexamethasone, rituximab | none | concomitant | AHA remission, alive at 110 days | |
| Ghafouri et al., 2020 [14] | USA | 89, M | moderate gross hematuria | critical | PCR | <1% | one-stage assay, chromogenic assays | 2222 | ELISA assay | rFVIIa | probably none | advanced prostate cancer in remission | concomitant | died in acute DIC | |
| Guerra et al., 2022 [15] | USA | 74, F | gross hematuria | mild | not reported | <1% | not reported | 48 | not reported | FEIBA, rFVIIa | prednisone, cyclophosphamide, rituximab | none | AHA 1 month after SARS-CoV-2 infection | AHA remission, discharge | |
| Hafzah et al., 2021 [16] | USA | 73, M | ecchymosis of the left thigh, arms, bruises on the trunk, conjunctival bleeding | severe | not reported | <1% | not reported | 70.4 | Bethesda assay | none | prednisone, cyclophosphamide | none | AHA 4 month after SARS-CoV-2 infection | AHA remission, discharge | |
| Hajigholami et al., 2021 [17] | Iran | 45, F | hemoptysis | critical | PCR | 76% (after FVIII treatment) | not reported | probably not measured | not reported | FVIII, rFVIIa | none | epiglottis tumor removed 10 days before presentation | concomitant | died probably in sepsis | |
| Lackovic et al., 2023 (conference abstract) [18] | Serbia | 19, F | postpartum vaginal bleeding | not reported | not reported | not reported | not reported | not reported | not reported | unclear | unclear | pregnancy (postpartum 6th week) | concomitant | positive response to treatment | |
| Medeiros et al., 2022 [19] | Portugal | 73, M | quadriceps muscle hematoma, bleeding from puncture sites, alveolar hemorrhage, hemarthrosis | mild | IgG SARS-CoV-2 antibody | <1% | not reported | 719 | not reported | rFVIIa | prednisolone, rituximab | none | AHA 3 month after SARS-CoV-2 infection | death due to infection | |
| Nardella et al., 2022 [20] | Italy | 53, F | bilateral ecchymosis in the deltoid area, subcutaneous hematomas in the lower limbs, iliopsoas hematoma | mild | anti-spike protein antibody (no vaccination) | <1% | not reported | 142 | not reported | rFVIIa, rpFVIII, FEIBA | methylprednisolone, cyclophosphamide, rituximab, dexamethasone | none | unknown | AHA remission at 6 months | |
| Nikolina et al., 2022 [21] | Croatia | 73, M | several skin suffusions | severe or critical | PCR | <2% | clot-based method | not reported | not reported | FEIBA | methylprednisolone, cyclophosphamide | none | AHA 3 month after SARS-CoV-2 infection | AHA remission at 3 months | |
| Olsen et al., 2021 [22] | USA | 83, F | extensive ecchymoses, iliac muscle hematoma | mild | IgG SARS-CoV-2 antibody | 2.2% (<10%) c | one-stage assay, chromogenic assay | 25 | not reported | none | corticosteroids (not specified), rituximab | none | concomitant | AHA remission at 1 month | |
| Wang et al., 2021 [23] | USA | 65, M | severe subcutaneous bleedings, bleeding from puncture site, small pulmonary hematoma | asymptomatic | SARS-CoV-2 antibodies | <1% | not reported | 176 | Bethesda assay | rFVIIa, FEIBA | methylprednisolone, cyclophosphamide, rituximab | Hashimoto-thyroiditis, prior viral infection | unknown | AHA remission at 3 weeks | |
| Witkowski et al., 2022 [24] | Poland | 86, M | extensive cutaneous petechiae | mild | not reported | <1% | not reported | 21 | not reported | rFVIIa, rpFVIII | prednisone, cyclophosphamide | none | AHA 3 month after SARS-CoV-2 infection | AHA remission, discharge | |
Disclaimer/Publisher’s Note: The statements, opinions and data contained in all publications are solely those of the individual author(s) and contributor(s) and not of MDPI and/or the editor(s). MDPI and/or the editor(s) disclaim responsibility for any injury to people or property resulting from any ideas, methods, instructions or products referred to in the content. |
© 2023 by the authors. Licensee MDPI, Basel, Switzerland. This article is an open access article distributed under the terms and conditions of the Creative Commons Attribution (CC BY) license (https://creativecommons.org/licenses/by/4.0/).
Share and Cite
Németh, M.; Mühl, D.; Csontos, C.; Nagy, Á.; Alizadeh, H.; Szakács, Z. Acquired Hemophilia A after SARS-CoV-2 Infection: A Case Report and an Updated Systematic Review. Biomedicines 2023, 11, 2400. https://doi.org/10.3390/biomedicines11092400
Németh M, Mühl D, Csontos C, Nagy Á, Alizadeh H, Szakács Z. Acquired Hemophilia A after SARS-CoV-2 Infection: A Case Report and an Updated Systematic Review. Biomedicines. 2023; 11(9):2400. https://doi.org/10.3390/biomedicines11092400
Chicago/Turabian StyleNémeth, Márton, Diána Mühl, Csaba Csontos, Ágnes Nagy, Hussain Alizadeh, and Zsolt Szakács. 2023. "Acquired Hemophilia A after SARS-CoV-2 Infection: A Case Report and an Updated Systematic Review" Biomedicines 11, no. 9: 2400. https://doi.org/10.3390/biomedicines11092400
APA StyleNémeth, M., Mühl, D., Csontos, C., Nagy, Á., Alizadeh, H., & Szakács, Z. (2023). Acquired Hemophilia A after SARS-CoV-2 Infection: A Case Report and an Updated Systematic Review. Biomedicines, 11(9), 2400. https://doi.org/10.3390/biomedicines11092400

